УЗИ при остром пиелонефрите
Добавил пользователь Алексей Ф. Обновлено: 02.11.2025
Роль УЗИ почек в диагностика при пиелонефрите
Роль УЗИ почек в диагностика при пиелонефрите
Ультразвуковая диагностика является одним из наиболее ходовых инструментальных методов благодаря своей показательности, безопасности, возможности сохранения фото и видеодокументов, а также относительной простоте проведения. УЗИ почек при пиелонефрите даёт достаточно много информации для определения диагноза и дальнейшей тактики ведения пациента. Такую процедуру можно проводить беременным во время гестационного срока, его обязательно делают ребёнку на первом году жизни.
Ультразвуковая характеристика
Морфологически, пиелонефрит - воспалительное заболевание чашечно-лоханочной системы почки. Данный процесс может быть двух видов: первичный - без предшествующей патологии со стороны органов мочевыделения (инфекционный агент попадает через кровь из других очагов) и вторичный - на фоне заболеваний, проявляющихся местно в чашечно-лоханочной системе. Грань между этими типами достаточно тонка. Данное расстройство чаще имеет односторонний характер.
Важно обратить внимание на то, что результаты УЗИ не всегда могут чётко разграничить хронический и острый воспалительный процесс, первичное и вторичное инфекционное поражение. Заключение по расшифровке ультразвуковой терапии не является диагнозом - только описанием эхоструктуры. Потому результаты УЗИ всегда становится дополнением к общей картине состояния пациента, анамнеза, симптомов, наличия других заболеваний (сердца), данных лабораторного исследования.
Что можно увидеть с помощью ультразвука?
Свежий процесс
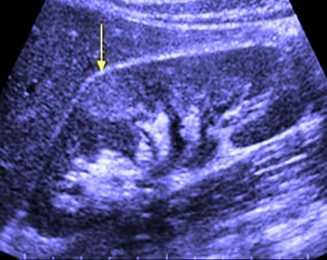
Эхопризнаки острого пиелонефрита на УЗИ, отражённые на картинке:
- появление бугристости, связанной с инфильтрацией лейкоцитами;
- отёк (экссудация), в результате которого происходит увеличение. Нормы размера органа по УЗИ следующие: длина - 10-12 см, ширина - 5-6 см, толщина - 4-5 см, касаемо паренхимы - 1,5-2,5 см. Также определяется разница в размерах правой и левой почек, которые не должны отличаться более, чем на 2 см. Разница может колебаться в зависимости от роста у взрослого, допустимо некоторое увеличение и расширение лоханки при беременности, у ребенка - в зависимости от количества лет, у пожилого человека несколько атрофируется паренхима (толщина уменьшается примерно в 2 раза);
- нарушается чёткость деления ткани внутренней среды на корковое и мозговое вещество, происходящее вследствие отёка и искажения эхогенности;
- при акте дыхания нет изменения положения почки в забрюшинном пространстве, которое в норме присутствует;
- возможен рефлюкс мочи из мочеточника в чашечно-лоханочную систему, что и способствует инфицированию;
- изменяется эхогенность ткани почки, это связано с экссудацией и инфильтрацией. Причём снижается она при диффузном про, а повышается - при очаговом.
Эхопризнаки острого пиелонефрита на УЗИ
Длительное течение
Для хронического протекания характерны:
- снижение толщины функционального слоя из-за постепенной атрофии;
- в то же время происходит расширение чашечно-лоханочной системы, что связано с истощением почечной паренхимы. К тому же постепенно она деформируется, появляются спайки, что может нарушать отток мочи;
- бугристость поверхности, выявляемая на УЗИ, тесно связанная с инфильтрацией лейкоцитами. Однако этот процесс отличается от острофазной по морфологическому составу и обусловливает в большей степени замещение функциональной эпителиальной ткани рубцовой. В связи с чем паренхима становится более плотной и имеет повышенную эхогенность;
- увеличение размеров или уменьшение и сморщивание поражённой почки.
При хроническом протекании воспалительного процесса чаще возникают предпосылки для дальнейших проблем.
Осложнённое течение
- Прорыв гноя за пределы чашечно-лоханочной системы с инфицированием околопочечного пространства с возможным дальнейшим распространением. Данный процесс сопровождается увеличением области со сниженной эхогенностью за пределы почки.
- Образование камней из-за воспалительного процесса, связанное с тем, что белок при этом выделяемый, является матрицей для выпадающих солей, которые становятся нерастворимыми. В то же время стимулируется продолжение хронического процесса в лоханке и нарушение оттока мочи. Камни определяются как чётко ограниченные очаги с повышенной плотностью и оставляющие за собой акустическую тень. Чашечно-лоханочная система при этом может быть расширена.
Образование камней из-за воспалительного процесса
- Также хронический очаг воспаления - всегда фактор, предрасполагающий к возникновению, со временем, опухоли. Причём это касается не только чашечно-лоханочной системы почек.
- При апостематозном пиелонефрите УЗИ способно показывать гипоэхогенные очаги абсцессов.
Гипоэхогенные очаги абсцессов
Дополнительные и дальнейшие методы диагностики
Ультразвуковое исследование само по себе не является первым этапом терапии воспалительных заболеваний мочевыводящих путей. До этого исследуются общеклинические анализы крови и мочи. По этим результатам выявляется наличие самого воспаления в мочевыделительной системе и предполагается локализация.
Для определения признаков данного процесса в организме в целом применяется общеклинический анализ крови, в котором отражается увеличение количества лейкоцитов (также и молодых их форм), повышение СОЭ (больше характеризует хронический процесс). Общеклинический анализ мочи также обязателен. Он подтвердит воспаление мочевыводящих путей (высокий уровень лейкоцитов, белка, может определяться наличие флоры и её количество). Анализ мочи по Нечипоренко более показателен для дифференцировки по уровням поражения мочевыделительной системы.
Далее, для выявления тактики лечения, при необходимости, используется посев мочи для изучения флоры и её чувствительности. Это определяет выбор, в первую очередь, таблеток или инъекций антибиотиков, которые нужно будет принимать.
Биохимический анализ крови используется для исследования экскреторной функции почек по уровню показателей мочевины и креатинина.
Лечение пиелонефрита
Пиелонефрит - это воспаление чашечно-лоханочной системы почки и ее паренхимы преимущественно бактериального происхождения. Чаще всего заболевают дети в возрасте до 8 лет и женщины из-за наличия короткого мочеиспускательного канала. У мужчин пиелонефрит встречается реже, но вероятность развития заболевания повышается, если имеется аденома предстательной железы. Недолеченный или запущенный острый пиелонефрит может перейти в хроническую форму, что чревато множеством осложнений, в том числе и возникновением почечной недостаточности.
Медицинский центр «Частная практика» помогает пациентам выполнить полное медицинское обследование, провести информативную диагностику и получить результативное лечение. В штате клиники работают исключительно квалифицированные и опытные специалисты, которые проводят эффективное и безопасное лечение и составляют грамотные рекомендации по профилактике обострений.
Причины пиелонефрита
Имеется ряд причин, из-за которых возникает данное заболевание:
- переохлаждение;
- сопутствующие патологии (например, сахарный диабет);
- иммунодефицитное состояние; ;
- аномалии развития мочеполовой системы (несколько почечных лоханок, удвоение мочеточников);
- пузырно-мочеточниковый рефлюкс (заброс содержимого мочевого пузыря в почку);
- рубцы или стриктуры (например, после оперативного вмешательства на мочевом пузыре и\или мочеточниках);
- гиповитаминоз;
- хронический очаг инфекции (фурункулез, кариес, синусит);
- длительный прием гормональных препаратов;
- беременность, роды; .
Классификация
Заболевание по своему течению подразделяется на острую и хроническую форму. У мужчин этот процесс практически всегда имеет хроническую форму, что связано с причинами его вызвавшими, а также с характерной для них поздней обращаемостью. Острый тип чаще всего развивается гематогенным или лимфогенным путем, при наличии у больного хронических бронхита, энтероколита или гастрита.
Симптомы пиелонефрита
Острый пиелонефрит может начинаться постепенно и молниеносно, отсюда его деление на серозную и гнойную формы. При первом варианте человек может еще за сутки до дебюта заболевания ощутить болезненность в пояснице, отметить изменение мочи в виде помутнения и появления специфического запаха. Затем присоединяется синдром интоксикации: головная боль, повышение температуры тела, озноб, тошнота, рвота. Гнойный тип протекает гораздо тяжелее, лихорадка гектическая (до 41 градуса), болевой синдром ярко выражен, признаки интоксикации проявляются сильнее. Хронический пиелонефрит имеет стадию обострения и ремиссии. В стадии обострения клиническая картина может иметь или такое же течение, или же более сглаженную симптоматику, что затрудняет диагностику заболевания.
Также пиелонефрит делят на обструктивный и необструктивный. Обструктивный - это боль по типу почечной колики, пациент не может найти себе места из-за сильной боли в пояснице, беспокоен, находится в лихорадочном состоянии. При необструктивном варианте течения больной больше соблюдает постельный режим, стремится лечь и укрыть спину, чтобы уменьшить дискомфорт в проекции почек (в некоторых случаях боль носит тянущий или ноющий характер).
Диагностика пиелонефрита
В нашей клинике вы сможете пройти все необходимые диагностические обследования для исключения патологии почек, а именно:
- (при пиелонефрите отмечается сдвиг лейкоцитарной формулы влево, лейкоцитоз, повышение СОЭ). (C-реактивный белок увеличивается при воспалительном процессе; мочевина, креатинин будут повышены особенно при формировании почечной недостаточности). (бактерии, слизь, лейкоциты, иногда эритроциты и белок).
- Анализ мочи по Нечипоренко (позволит более детально выявить поражение чашечно-лоханочной системы и паренхимы почек, также будут обнаружены бактерии, слизь, лейкоциты, наличие гноя).
- Бактериологический посев мочи (выделение возбудителя для проведения грамотной антибиотикотерапии).
- КТ, МРТ.
- Сцинтиграфия.
- Биопсия.
- Обзорная рентгенография органов брюшной полости.
Также для определения заболевания используется ультразвуковое исследование. На УЗИ врач может определить и другие болезни почек: гломерулонефрит, мочекаменную болезнь, доброкачественные и злокачественные новообразования и др.
Пиелонефрит на УЗИ в остром периоде болезни выглядит следующим образом:
- Отмечается неровный контур пораженной почки.
- Размер почки увеличен вследствие отека. Если поражена одна почка, врач указывает на асимметрию размеров почек.
- Эхогенность ткани почки снижена из-за воспалительного отека.
- Подвижность пораженной почки уменьшена.
- Если пиелонефрит имеет вторичной происхождение, в частности, при наличии камней почек, визуализируются конкременты, а также расширение чашечно-лоханочной системы.
- Паренхима больной почки имеет большую толщину. Отмечается также уплотнение сосочков почек.
Пиелонефрит на УЗИ может не выявляться столь явно при начинающемся воспалительном процессе. По мере прогрессирования болезни эхо-признаки становятся более явными.
Тяжелые формы пиелонефрита или развивающиеся осложнения, как правило, хорошо выявляются на УЗИ. Острый апостематозный пиелонефрит характеризуется нарушением границ коркового и мозгового слоев почки. Абсцесс почки выглядит как анэхогенное (темное) образование с уровнем жидкости.
Хронический пиелонефрит при ультразвуковом исследовании имеет следующие признаки:
- размеры почек нормальные или, наоборот, уменьшены,
- эхогенность почечной ткани повышена вследствие замещения участков воспаления соединительной тканью,
- толщина коркового слоя уменьшена.
Таким образом, УЗИ почек при пиелонефрите помогает врачу-урологу подтвердить диагноз, поэтому не стоит пренебрегать данным исследованием.
Медицинский центр «Частная практика» располагает новейшим диагностическим оборудованием и имеет возможность оперативно и с высокой точностью провести инструментальные и лабораторные исследования. Стоимость анализов начинается от 300 руб., что вполне доступно для большинства пациентов. Результаты многих исследований можно получить в день обращения.
Лечение пиелонефрита в клинике «Частная практика»
Лечение пиелонефрита в нашем медицинском учреждении может проводиться как в амбулаторных, так и в стационарных условиях, но с обязательным приемом антибактериальных препаратов. Обычно наши врачи назначают антибиотики широкого спектра действия в сочетании с цефалоспоринами, так как частым возбудителем заболеваний почек является кишечная палочка. Курс лечения в среднем достигает 10 дней.
Больным рекомендуется постельный режим в течение нескольких дней до снятия синдрома интоксикации. Параллельно необходимо принимать обезболивающие и жаропонижающие препараты, пить большое количество воды и витаминизированных компотов, морсов в течение дня (до 2-2,5 литров в сутки). Целесообразно применение растительных диуретиков, исключение из рациона питания соли, ограничение белковой пищи. После купирования острой стадии может быть проведено физиотерапевтическое лечение - электрофорез на проекцию почки, УВЧ.
Хирургическое вмешательство применяется только при тяжелом течении пиелонефрита, формировании крупных абсцессов или почечной недостаточности.
Лечение острого пиелонефрита
Острый пиелонефрит представляет собой инфекционный процесс, поражающий чашечно-лоханочный аппарат и паренхиму почек. Неправильное лечение патологии способствует ее переходу в хроническую форму.
Медицинский центр «Частная практика» проводит лечение острого пиелонефрита оптимальными методами, чтобы добиться выздоровления в короткие сроки с максимальной эффективностью. Мы обеспечиваем индивидуальный подход к пациенту и точнейшую диагностику.
Лечение острого пиелонефрита проводится высококвалифицированными урологами и включает в себя антибиотикотерапию, применение НПВС, спазмолитиков при обструкции, диуретиков растительного происхождения. Лекарственные препараты врач-уролог подбирает с учетом чувствительности выявленных в моче бактерий. Продолжительность антибактериальной терапии может составлять от 5 дней до двух недель. Дополнительно доктор может назначить медикаменты, способствующие дезинтоксикации, а также иммуностимуляторы. Для каждого пациента уролог выбирает индивидуальную тактику лечения пиелонефрита.
При остром пиелонефрите рекомендуются постельный режим, обильное питье до 2-2,5 литров в сутки. Хорошие результаты дают компоты домашнего производства, особенно ягодные (шиповник, брусника, клюква).
Если в почке имеются абсцессы, карбункулы, то тогда необходимо хирургическое вмешательство.
Успешному лечению больных пиелонефритом способствует комплексный подход и применение современных методов.
Лечение хронического пиелонефрита
Медицинский центр «Частная практика» - многопрофильное медицинское учреждение, которое предлагает пациентам широкий спектр услуг по многим направлениям. Центр проводит точнейшую диагностику и комплексное лечение хронического пиелонефрита. Высококвалифицированные урологи клиники не только эффективно проводят комплексное лечение, но также составляют рекомендации по профилактике обострений хронического заболевания.
Лечение хронического пиелонефрита основано на своевременной терапии обострений. Во время проявления клинической картины врач-уролог больному назначает антибиотики, нестероидные противовоспалительные лекарственные препараты, растительные диуретики. Курс терапии регулируется врачом-урологом в зависимости от степени запущенности заболевания и поражения почки.
Помимо медикаментозного лечения, обязательно должны быть включены в каждодневный рацион витаминизированные напитки на основе ягод (морс, компот, кисель) домашнего производства. В сутки человек должен выпивать до 2 литров жидкости, при этом ограничив потребление соли. При повышенном давлении назначаются гипотензивные препараты.
Наши специалисты готовы предоставить вам свои услуги по разумной цене (стоимость комплексного лечения начинается от 4000 руб.). Лечение хронического пиелонефрита проводится комплексным методом высококвалифицированными врачами-урологами с большим опытом работы. Для каждого пациента разрабатывается индивидуальная схема терапии.
Последствия пиелонефрита
Если терапия не начата вовремя или была проведена не в полном объеме, возможны неприятные последствия, поэтому необходима консультация врача-уролога.
Острый пиелонефрит после лечения характеризуется незначительными признаками воспаления в анализе мочи, которые проходят через некоторое время: может отмечаться незначительное повышение уровня лейкоцитов, бактерий. После острого пиелонефрита самочувствие больного нормализуется, ничто не будет напоминать о прошедшем заболевании. С хроническим пиелонефритом все иначе: изменения в общем анализе мочи могут присутствовать постоянно, ткань почек претерпевает ряд патологических изменений, которые год от года прогрессируют. Периодически возникают обострения воспалительного процесса, переходящие затем в ремиссии (периоды стихания клинических признаков). Ремиссия пиелонефрита длится тем дольше, чем легче стадия болезни. Важное значение имеет режим, соблюдаемый больным: нужно соблюдать определенную диету, избегать переохлаждений.
Осложнения острого пиелонефрита - это:
- абсцесс почки;
- острая почечная недостаточность;
- переход острого процесса в хронический;
- формирование карбункула почки и др.
Осложнения хронического пиелонефрита:
- развитие нефросклероза, при котором нормальная ткань почки замещается соединительной;
- хроническая почечная недостаточность;
- педункулит, папиллит (воспалительные процессы в тканях почек) и др.
Вторичный пиелонефрит - что это?
Это хронический процесс, развивающийся на фоне различных патологий мочевыделительной системы. Он может быть обструктивным и необструктивным.
Обструктивный вторичный пиелонефрит формируется вследствие нарушений мочевыделения разной природы: наследственной, врожденной, приобретенной (аномалии развития, туберкулез почки, мочекаменная болезнь и т.д.). Необструктивный пиелонефрит - причина дефицита работы иммунитета, обменных нарушений, заболеваний эндокринной системы и др.
Своевременная консультация врача-уролога очень важна, чтобы не допустить развития вторичного пиелонефрита. Ведь очень часто люди занимаются самолечением, не желая обращаться к врачу, но лечение это может стать не только неэффективным, но и опасным. Не до конца подавляются патогенные бактерии-возбудители, воспалительный процесс становится длительным. Кроме того, играют роль имеющиеся сопутствующие заболевания.
Лечение пиелонефрита на Чистых Прудах и на Варшавке
Лечение пиелонефрита в наших клиниках ежедневно с 9.00 до 21.00
Ультразвуковая диагностика пиелонефрита и рака почек
Пиелонефрит и рак почек - это патологии мочевыделительной системы, которые можно диагностировать при помощи ультразвукового метода исследования на ранних этапах развития.
5.00 (Проголосовало: 1)
- Пиелонефрит
- Рак почки
- УЗИ при пиелонефрите
- Подготовка
- Ультразвуковая диагностика рака почек
- Солидный рак
- Инфильтративный рак
- Мультикистозный рак
- Рак стенки кисты
- Карцинома лоханки
Пиелонефрит
Пиелонефрит - воспаление почек с вовлечением в воспалительный процесс почечной паренхимы, чашечек и лоханки. Возбудителями чаще всего становятся бактерии - кишечная палочка, энтерококки, протей, стафилококки и синегнойная палочка. Микробы могут проникать в почки восходящим путем из нижних отделов мочеполового тракта, а также попадать в них с кровью из отдаленных инфекционных очагов (например, из кариозных очагов, воспаленных миндалин).
![]()
По течению различают две основные формы пиелонефрита - острую и хроническую. Для острого воспаления характерны признаки общей интоксикации и местные симптомы:
- слабость;
- головная боль;
- снижение работоспособности;
- повышение температуры;
- боль в пояснице обычно ноющего характера;
- учащение мочеиспускания;
- необычный цвет мочи, появление неприятного запаха.
Хронический пиелонефрит во время обострения проявляется практически теми же симптомами, что и острый пиелонефрит. Со временем присоединяются признаки хронической недостаточности почек - анемия, отечность, хроническая интоксикация, повышение артериального давления.
Рак почки
![]()
Заболеваемость раком почки за последнее время возросла. Часто эту патологию обнаруживают случайно при ультразвуковом или рентгенологическом исследовании по поводу другого заболевания. Рак почек может какое-то время протекать бессимптомно, а его начальные признаки порой напоминают пиело- или гломерулонефрит. К ним относятся:
- боли в пояснице;
- появление крови в моче;
- артериальная гипертензия;
- слабость;
- снижение веса;
- отеки;
- симптомы анемии;
- длительное незначительное повышение температуры без видимых причин;
- симптомы со стороны других органов вследствие метастазирования - переломы костей, кровохаркание, кашель, признаки сдавления спинного мозга и др.
УЗИ при пиелонефрите
УЗИ почек и надпочечников - один из основных методов диагностики пиелонефрита, который позволяет оценить структурные изменения почечной ткани.
Подготовка
Перед проведением процедуры примерно за 3 дня рекомендуется придерживаться диеты, направленной на снижение газообразования в кишечнике. Для этого исключают из пищи бобы, фасоль, горох и другие бобовые, зерновые крупы, черный и отрубной хлеб, фрукты и свежее молоко. При метеоризме на это время назначают препараты, снижающие газообразование (эспумизан, активированный уголь и др.). В некоторых случаях требуется наполненный мочевой пузырь, с целью чего пациент должен выпить за час до исследования 1 литр жидкости. Обычно об этом специалист предупреждает заранее.
УЗ-признаки острого пиелонефрита:
- почки увеличены в размерах;
- подвижность почек ограничена во время дыхания;
- расширена чашечно-лоханочная система;
- наблюдается везикуло-уретральный рефлюкс (обратный ток мочи из мочевого пузыря в мочеточники).
Ультразвуковые признаки хронического пиелонефрита:
- размеры почек уменьшены;
- контур имеет неровности и деформации;
- неравномерность эхосигнала в области лоханок;
- истончение и повышенная эхогенность паренхиматозного слоя почек.
![]()
Ультразвуковая диагностика рака почек
УЗИ почек и надпочечников не только помогает диагностировать различные заболевания этих органов, но и дифференцировать их между собой. Как сказано выше, симптомы рака почки часто схожи с признаками пиелонефрита. Ультразвуковое исследование позволяет разграничить эти патологии без инвазивных вмешательств. Существует несколько форм почечного рака, ультразвуковые признаки которых отличаются.
Солидный рак
УЗ-признаком солидной формы рака является обнаружение в области почки однородного гипо- или изоэхогенного образования. Солидная опухоль обычно растет «наружу». Определяется неровный внешний контур, нередко имеются участки кальцификации (отложение солей кальция). С помощью допплеровского картирования (разновидность УЗИ) можно определить кровоток опухоли, который усилен в центре и ослаблен по периферии образования.
Инфильтративный рак
Инфильтрирующая опухоль прорастает внутрь почечных синусов. Она имеет однородную структуру и сниженную эхогенность. По мере роста приобретает неоднородную структуру вследствие появления очагов кровоизлияний. Чашечно-лоханочная система может быть расширенной. Вследствие инфильтративного роста такая форма рака почек раньше дает симптомы, поэтому диагностируется на более ранних стадиях, чем солидные опухоли.
Мультикистозный рак
В почке обнаруживается анэхогенное (т.е. темное на картинке) образование, которое часто имеет внутренние перегородки. Может быть принято за многокамерную кисту.
Рак стенки кисты
На ранней стадии в почках при УЗИ обнаруживают кисту с плотными стенками. По мере роста раковой опухоли на стенке кисты начинает определяться гипоэхогенное образование, состоящее из нескольких кистозных полостей, заполненных гипоэхогенным содержимым (некротические массы). Необходима дифференциальная диагностика с гематомой надпочечников, полученной в результате травмы.
Карцинома лоханки
На ранней стадии в чашечно-лоханочной системе определяется образование с однородной структурой и сниженной эхогенностью. Постепенно структура теряет однородность, опухоль прорастает в ткани мочевого пузыря и уретры.
Дифференциальная диагностика пиелонефрита и рака почки
В отличие от пиелонефрита, рак почек чаще бывает односторонним. В большинстве случаев при УЗ-исследовании определяется отдельное образование, а при пиелонефрите изменения бывают более диффузные. Для уточнения диагноза используют дополнительные лабораторно-инструментальные методы диагностики. Рак почки - очень серьезное заболевание, которое можно вылечить на ранних стадиях. Пиелонефрит имеет более благоприятный прогноз, но при несвоевременном лечении может приводить к развитию хронической почечной недостаточности и другим осложнениям (гидронефроз, сепсис и т. др.).
Поэтому при любых симптомах патологии почек необходимо как можно скорее пройти обследование, в частности, УЗ-исследование почек и надпочечников.
Ультразвуковая диагностика воспалительных заболеваний почек
Заболевания почек — одна из актуальных проблем современной медицины. Патология выявляется у 21% населения и занимает третье место в структуре заболеваемости, уступая лишь болезням сердечно - сосудистой системы и органов дыхания. Нередко данная группа заболеваний протекает бессимптомно и человек обращается к специалисту уже тогда, когда имеются необратимые изменения в органах. К воспалительным заболеваниям почек относятся острый и хронический пиелонефрит, апостематозный пиелонефрит, пионефроз, карбункул и абсцесс почки, острый и хронический гломерулонефрит, паранефрит и перинефрит. Ультразвуковое исследование является одним из ведущих методов диагностики этой патологии, что обусловлено его значительными преимуществами: отсутствием лучевой нагрузки, неинвазивностью, мобильностью и доступностью. Метод не требует применения контрастных веществ.
Острый пиелонефрит представляет собой острый воспалительный процесс в почечной паренхиме и чашечно-лоханочной системе. Данное заболевание встречается во всех возрастных группах и составляет 10-15% всех заболеваний почек. Во время беременности заболевание наблюдается у 3-5% беременных. Пиелонефрит у мужчин в молодом и среднем возрасте связан преимущественно с мочекаменной болезнью, хроническим простатитом, стриктурой мочеиспускательного канала, аномалиями развития почек и мочевых путей. Увеличение частоты пиелонефрита у мужчин пожилого возраста связано с наличием аденомы простаты. При ультразвуковом исследовании можно обнаружить расширение мочеточника и собирательной системы почки, увеличение её размеров, а также утолщение и снижение эхогенности паренхимы.
Хронический пиелонефрит, как правило, является следствием острого пиелонефрита. Сонографическая диагностика заболевания в начальной стадии вне обострения не возможна, так как ультразвуковая картина почек ничем не отличается от нормальной. При обострении хронического пиелонефрита иногда можно обнаружить такой признак, как утолщение стенки лоханки и проявление ее слоистой структуры. Многократные обострения приводят к постепенному уменьшению объёма поражённой почки и, при истощении ее возможностей, начинает развиваться увеличение противоположной почки.
Апостематозный пиелонефрит - гнойно - воспалительный процесс с образованием многочисленных мелких гнойничков (апостем) преимущественно в коре почки. Чаще всего является осложнением острого обструктивного пиелонефрита. При развёрнутой картине апостематозного гнойного процесса при ультразвуковом исследовании определяется резко увеличение почек в объёме, под капсулой появляются множественные мелкие абсцессы размером с булавочную головку, контуры почек неровные, бугристые, подвижность при дыхании практически отсутствует. С поверхностно расположенных абсцессов гной может распространяться под капсулу почек, на перинефрий и паранефрий.
Паранефрит представляет собой воспалительный процесс в околопочечной клетчатке. Воспалительный процесс почечной капсулы, которая, как правило, вовлекается в процесс при тяжелом гнойном пиелонефрите, называют перинефритом. При данных процессах при ультразвуковом исследовании определяется резкое снижение дыхательной подвижности почек, нечеткость их контуров. Вокруг почек определяются зоны пониженной эхогенности, а также жидкостные полости.
Сонография является важным, а иногда и единственным лучевым методом, позволяющим выявить карбункул почки. Заболевание представляет собой гнойно-некротическое поражение органа с образованием отграниченного инфильтрата. В зоне образования карбункула выявляется крупноочаговый участок неоднородной структуры, пониженной, а иногда и повышенной, эхогенности, деформирующий контур почки. При динамическом исследовании в данном образовании со временем образуются полости, содержащие жидкость. В дальнейшем наблюдается уменьшение размеров образования и формируется капсула абсцесса. При формировании абсцесса ультразвуковая картина представлена очагом с кистозной структурой с толстой неровной стенкой, в полости которой определяется взвесь. В дальнейшем очаг может прорваться в чашечку или лоханку. Но чаще всего разрешение происходит в прилежащие ткани - паранефральную клетчатку, что приводит к развитию гнойного паранефрита. Данный процесс может являться также осложнением острого пиелонефрита либо результатом слияния гнойничков при апостематозном пиелонефрите.
Паранефрит. Карбункул почки.
Пионефроз - заболевание представляет собой терминальную стадию гнойно-деструктивного пиелонефрита.
Пионефротическая почка при сонографии представляет собой орган, подвергшийся гнойному расплавлению, состоящий из отдельных полостей, заполненных гноем, мочой и продуктами распада. Пионефроз всегда сопровождается пери- или паранефритом. Заболевание наблюдается преимущественно в возрасте 30-50 лет.
Острый гломерулонефрит - острое иммуновоспалительное заболевание почек с поражением клубочков и в меньшей степени канальцев почек. Встречается чаще у людей молодого возраста. При остром гломерулонефрите при ультразвуковом исследовании определяется симметричное увеличение почек в объёме; на поперечном срезе почка округлой формы. Паренхима утолщена, выглядит набухшей. Изменения почек обратимы, при нормализации клинико-лабораторных данных сонографическая картина вновь становится нормальной.
Хронический гломерулонефрит - прогрессирующее диффузное иммуновоспалительное поражение клубочкового аппарата почек с исходом в склероз и почечную недостаточность. Сонографическая картина хронического гломерулонефрита зависит от фазы и длительности заболевания. В фазе обострения в начальных стадиях может быть немного увеличен объем почек и слегка повышена эхогенность паренхимы. Вне обострения ультразвуковая картина может быть нормальной. По мере прогрессирования заболевания объем почек симметрично уменьшается, эхогенность паренхимы становится постоянно повышенной. В конечной стадии хронического гломерулонефрита почки уменьшены в размерах, плохо определяются на фоне окружающих тканей, с равномерно истончённой паренхимой.
Важным дополнительным методом диагностики воспалительных заболеваний почек является ультразвуковое дуплексное сканирование. При апостематозном пиелонефрите обнаруживается такой признак, как неравномерное диффузное ослабление почечного кровотока. Объективным методом диагностики ультразвуковая допплерография является при обнаружении карбункула или абсцесса почки. При исследовании выявляются локальные зоны ослабления кровотока с его усилением по краям воспалительного очага.
Карбункул почки. Ультразвуковая допплерография.
В отделении ультразвуковой диагностики ГБУЗ «ТОКБ им. В.Д. Бабенко» ежегодно проводится более 4000 исследований почек, при этом в 60-70% выявляется патология. Доступность, неинвазивность и простота подготовки позволяют широко использовать метод ультразвуковой диагностики врачами - специалистами различных направлений и делают его «золотым стандартом» при выявлении патологии мочевыделительной системы.
Острый пиелонефрит
Острый пиелонефрит - это неспецифическое воспалительное поражение паренхимы почек. Для патологии характерна высокая лихорадка с ознобами и потоотделением, головная боль, миалгии, артралгии, общее недомогание, боль в пояснице, изменения в моче по типу лейкоцитурии и пиурии. Диагностика включает микроскопическое и бактериологическое исследование мочи, УЗИ почек; при необходимости - проведение экскреторной урографии, радиоизотопных исследований, томографии. Назначается диета, обильное питье, антибиотики, нитрофураны, спазмолитики. При обструктивном пиелонефрите показана установка мочеточникового катетера-стента или пункционная нефростомия; при гнойно-деструктивных процессах - декапсуляция почки или нефрэктомия.
МКБ-10
![Острый пиелонефрит]()
Общие сведения
Острый пиелонефрит является наиболее частым заболеванием почек в современной урологии. Патология нередко возникает в детском возрасте, когда нагрузка на почки очень интенсивна, а их морфо-функциональное развитие еще не завершено. Девочки страдают в 10 раз чаще мальчиков. В возрасте до 40 лет среди больных преобладают женщины, в старшей возрастной группе отмечается превалирование пациентов мужского пола. Возможно поражение одной или обеих почек.
Причины
Острый пиелонефрит развивается при эндогенном или экзогенном проникновении патогенных микроорганизмов в почку. Обычно патология вызывается кишечной палочкой (в 50% случаев), протеем, синегнойной палочкой, реже - стафилококками или стрептококками. При первичном процессе инфекция может попадать в почку гематогенным путем из первичных очагов воспаления в мочеполовых органах (при аднексите, цистите, простатите и др.) или из отдаленных органов. Реже инфицирование происходит по восходящему механизму, по стенке или просвету мочеточника (при пузырно-мочеточниковом рефлюксе).
Вторичный острый пиелонефрит связан с нарушением пассажа мочи на фоне стриктур мочеточника, обструкции мочеточника камнем, стриктур и клапанов уретры, аденомы предстательной железы, рака простаты, фимоза, нейрогенного мочевого пузыря. Предрасполагающими моментами к развитию данной формы заболевания служат переохлаждение, обезвоживание, гиповитаминоз, переутомление, респираторные инфекции, беременность, сахарный диабет.
Патогенез
Воспаление связано не только с микробной инвазией, но и попаданием содержимого лоханки в интерстициальную ткань, что обусловлено обратным током мочи, т. е. форникальным рефлюксом. Почки полнокровны, несколько увеличены. Слизистая почечных лоханок отечна, воспалена, изъязвлена; в лоханках может находиться воспалительный экссудат. В дальнейшем в мозговом и корковом слое почки могут формироваться многочисленные гнойники или абсцессы; иногда отмечается гнойно-деструктивное расплавление почечной паренхимы. Стадии острого пиелонефрита отвечают морфологическим изменениям, происходящим в почке.
Начальная фаза серозного воспаления характеризуется увеличением и напряжением почки, отеком околопочечной клетчатки, периваскулярной инфильтрацией межуточной ткани. При своевременном соответствующем лечении данная стадия подвергается обратному развитию; в противном случае - переходит в стадию гнойно-деструктивного воспаления. В стадии гнойного воспаления выделяют фазы апостематозного пиелонефрита, карбункула и абсцесса почки. Апостематозный (гнойничковый) пиелонефрит протекает с образованием в корковом слое почки множественных мелких гнойничков размером 1-2 мм.
В случае слияния гнойничков может образовываться локальный нагноительный очаг - карбункул почки, не имеющий наклонности к прогрессирующему абсцедированию. Карбункулы имеют размер от 0,3 до 2 см, могут быть одиночными или множественными. При гнойном расплавлении паренхимы формируется почечный абсцесс. Опасность абсцесса почки заключается в возможности опорожнения сформировавшегося гнойника в паранефральную клетчатку с развитием гнойного паранефрита или забрюшинной флегмоны.
При благоприятном исходе инфильтративные очаги постепенно рассасываются, замещаясь соединительной тканью, что сопровождается образованием рубцовых втяжений на поверхности почки. Рубцы вначале имеют темно-красный, затем - бело-серый цвет и клиновидную форму, на разрезе доходящую до лоханки.
Острый пиелонефрит может быть первичным (необструктивным) и вторичным (обструктивным). Первичный вариант заболевания протекает на фоне нормального оттока мочи из почек; вторичный связан с нарушением проходимости верхних мочевых путей вследствие их внешнего сдавления или обструкции. По характеру воспалительных изменений патология может носить серозный или гнойно-деструктивный характер (пиелонефрит апостематозный, абсцесс или карбункул почки).
Симптомы острого пиелонефрита
Течение характеризуется местной симптоматикой и признаками выраженного общего инфекционного процесса, которые различаются в зависимости от стадии и формы заболевания. Серозный пиелонефрит протекает более спокойно; при гнойном воспалении развиваются ярко выраженные клинические проявления. При остром необструктивном процессе преобладают общие симптомы инфекции; при обструктивном - местная симптоматика.
Клиника острого необструктивного пиелонефрита развивается молниеносно (от нескольких часов до одних суток). Появляется недомогание, слабость, потрясающие ознобы со значительным повышением температуры до 39-40 °С, обильное потоотделение. Значительно ухудшает самочувствие головная боль, тахикардия, артралгия, миалгия, тошнота, запор или понос, метеоризм.
Из местных симптомов отмечается боль в пояснице, распространяющаяся по ходу мочеточника в область бедра, иногда - в живот и спину. По характеру боль может быть постоянной тупой или интенсивной. Мочеиспускание, как правило, не нарушено; суточный диурез уменьшается за счет обильной потери жидкости с потом. Пациенты могут обращать внимание на помутнение мочи и ее необычный запах.
Вторичный пиелонефрит, вызванный обструкцией мочевых путей, обычно манифестирует с почечной колики. На высоте болевого приступа возникает лихорадка с ознобом, головная боль, рвота, жажда. После обильного потоотделения температура критически снижается до субнормальных или нормальных цифр, что сопровождается некоторым улучшением самочувствия. Однако если фактор обструкции мочевых путей не будет ликвидирован в ближайшие часы, то приступ колики и подъема температуры повторится вновь.
Гнойные формы патологии протекают с упорной болью в пояснице, лихорадкой гектического типа, ознобами, резким напряжением мышц брюшной стенки и поясничной области. На фоне выраженной интоксикации может отмечаться спутанность сознания и бред.
Диагностика
В процессе распознавания острого пиелонефрита важны данные физикального обследования. При пальпации поясничной области и подреберья оценивают размеры почки, консистенцию, структуру поверхности, подвижность, болезненность. Почка обычно увеличена, мышцы поясницы и живота напряжены, поколачивание ребром ладони по XII ребру - болезненно, симптом Пастернацкого положителен. У мужчин необходимо проведение ректального осмотра простаты и пальпации мошонки, у женщин - вагинального исследования. Дифференциальная диагностика проводится с аппендицитом, холециститом, холангитом, аднекситом.
- Лабораторная диагностика. В моче отмечается тотальная бактериурия, незначительная протеинурия, лейкоцитурия, при вторичном поражении - эритроцитурия. Бактериальный посев мочи позволяет определиться с видом возбудителя и его чувствительностью к противомикробным препаратам. Показатели крови характеризуются анемией, лейкоцитозом, повышением СОЭ, токсической зернистостью нейтрофилов.
- УЗИ почек. Используется не только при диагностике, но и для динамического контроля процесса лечения. Ценность данных эхоскопии заключается в возможности визуализации деструктивных очагов в паренхиме, состояния паранефральной клетчатки, выявления причины обструкции верхних мочевых путей.
- Рентгеновские методики. При обзорной урографии обращает внимание увеличение размеров почек, выбухание контура при абсцессе или карбункуле, нечеткость очертаний паранефральной клетчатки. С помощью экскреторной урографии определяется ограничение подвижности почки при дыхании, что является характерным признаком острого воспалительного процесса. Точное выявление деструктивных очагов, причин и уровня обструкции при остром гнойном пиелонефрите возможно при помощи КТ почек.
Проводится госпитализация пациента; лечение осуществляется под контролем врача-уролога. Терапевтическая тактика при необструктивном и обструктивном остром пиелонефрите, серозной и гнойно-деструктивной форме различается. К общим мероприятиям относится назначение постельного режима, обильного питья (до 2-2,5 л в сутки), фруктово-молочной диеты, легкоусвояемого белкового питания.
При первичном варианте воспаления сразу начинается патогенетическая терапия, основу которой составляют антибиотики, активные в отношении грамотрицательной флоры, - цефалоспорины, аминогликозиды, фторхинолоны. При выборе противомикробного препарата также учитываются результаты антибиотикограммы. Дополнительно назначаются НПВС, нитрофураны, иммунокорректоры, дезинтоксикационная терапия.
При выявлении обструкции первоочередной мерой служит декомпрессия - восстановление уродинамики в пораженной почке. С этой целью предпринимается катетеризация лоханки мочеточниковым катетером или катетером-стентом, в некоторых случаях - пункционное наложение чрескожной нефростомы.
При наличии гнойно-деструктивных очагов прибегают к декапсуляции почки и наложению нефростомы, с помощью чего достигается уменьшение внутрипочечного давления. При обнаружении сформировавшихся гнойников производится их вскрытие. В случае тотального поражения почечной паренхимы и невозможности органосохраняющей тактики выполняется нефрэктомия.
Прогноз и профилактика
Своевременная адекватная терапия позволяет достичь излечения острого пиелонефрита у большинства пациентов в течение 2-3 недель. В трети случаев отмечается переход в хроническую форму (хронический пиелонефрит) с последующим склерозированием почки и развитием нефрогенной артериальной гипертензии. Среди осложнений может встречаться паранефрит, ретроперитонит, уросепсис, почечная недостаточность, бактериотоксический шок, интерстициальная пневмония, менингит. Тяжелые септические осложнения ухудшают прогноз и нередко становятся причиной летального исхода.
Профилактикой является санация очагов хронического воспаления, которые могут служить источниками потенциального гематогенного заноса возбудителей в почки; устранение причин возможной обструкции мочевых путей; соблюдение гигиены мочеполовых органов для недопущения восходящего распространения инфекции; соблюдение условий асептики и антисептики при проведении урологических манипуляций.
Читайте также:




