УЗИ при раке протока поджелудочной железы
Добавил пользователь Владимир З. Обновлено: 28.11.2025
Институт хирургии им. А.В. Вишневского, Москва
ФГБУ «Национальный медицинский исследовательский центр хирургии им. А.В. Вишневского» Минздрава России, Москва, Россия
Волгоградский государственный медицинский университет, Волгоград, Россия
Ошибки диагностики внутрипротоковой папиллярно-муцинозной опухоли поджелудочной железы
Журнал: Хирургия. Журнал им. Н.И. Пирогова. 2019;(2): 96‑100
Представлено наблюдение хирургического лечения и послеоперационного контроля пациента с внутрипротоковой папиллярно-муцинозной опухолью. Панкреатическая гипертензия, возникшая через 5 лет после выполненной панкреатодуоденальной резекции, расценена как рецидив опухоли. Интраоперационная оценка ситуации позволила выявить истинную причину гипертензии — стриктуру панкреатикоеюноанастомоза и избежать экстирпации культи поджелудочной железы.
Внутрипротоковая папиллярно-муцинозная опухоль (ВПМО) поджелудочной железы (ПЖ) — потенциально злокачественное заболевание, характеризующееся формированием папиллярных разрастаний протокового эпителия и избыточной секрецией муцина. Папиллярные разрастания и густой вязкий секрет являются причиной нарушения оттока панкреатического секрета, с последующим кистозным расширением протоковой системы ПЖ и развитием хронического панкреатита [1, 2]. Частота встречаемости ВПМО составляет 0,8 случая на 100 тыс. населения, а в возрасте более 70 лет достигает 10% [1, 3]. В диагностике и лечении ВПМО руководствуются критериями, принятыми на конгрессах Международной панкреатологической ассоциации (International Association of Pancreatology — IAP) в 2004 и 2010 гг. [4]. ВПМО проходит в своем развитии ряд последовательных морфологических изменений от неинвазивных форм до инвазивного рака (ВПМО карцинома). Выбор оптимальной хирургической тактики напрямую зависит от качества дооперационной диагностики, включающей КТ, МРТ с магнитно-резонансной холангиопанкреатографией (МРХПГ), эндосонографию (эндоУЗИ) [4]. Специфическая особенность опухоли — возможность мульцентрического и метахронного поражения протоков ПЖ, что может являться причиной рецидива заболевания. Присоединение клинических проявлений хронического панкреатита затрудняет диагностику и может приводить к диагностическим ошибкам.
Приводим клиническое наблюдение.
C учетом прогрессивного увеличения кистозной опухоли и наличия выраженной боли, инвалидизирующей пациента, принято решение о необходимости хирургического лечения в объеме панкретодуоденальной резекции с сохранением привратника. В феврале 2013 г. пациент госпитализирован в первое абдоминальное отделение института и оперирован. В крючковидном отростке ПЖ располагалась опухоль диаметром 4 см, магистральные сосуды в опухоль не вовлечены; ширина протока ПЖ, пересеченной на уровне перешейка, составила 3 мм; панкреатический секрет, выделяемый из дистальной культи протока прозрачный, макроскопических признаков наличия муцина нет; дистальная часть железы мягкая, дольчатая. При срочном гистологическом исследовании среза железы опухолевых клеток не выявлено. Реконструктивный этап операции выполнен на одной петле тощей кишки, анастомозы сформированы рассасывающейся монофиламентной нитью 5/0. При плановом морфологическом исследовании: проток ПЖ и его ветви в области расширения выстланы высоким муцинозным эпителием, местами с наличием сосочковых и псевдососочковых структур. Гистологическая картина соответствовала ВПМО 3-го (смешанного) типа с легкой и умеренной степенью дисплазии.
В послеоперационном периоде сформировалось жидкостное скопление, которое устранено пункцией под ультразвуковым контролем. На фоне скопления жидкости в ретрогастральном пространстве возник гастростаз (тип В по ISGPS), который разрешился к исходу 5-х суток. Больной выписан на 22-е сутки после операции.
В процессе динамического диспансерного наблюдения в поликлиническом отделении института в 2015 г. обнаружено расширение протока ПЖ до 5—7 мм, однако данных за рецидив ВПМО не выявлено (рис. 6). Рис. 6. Брюшная полость, аксиальный срез, артериальная фаза. Расширенный проток поджелудочной железы указан стрелкой. Компьютерная томограмма. а — через 6 мес после операции; б — через 1 год после операции; магнитно-резонансная холангиопанкреатограмма; в — через 1 год после операции; г — через 2 года после операции. a — in 6 months after surgery; b — in 1 year after surgery; cholangiopancreatic MRI-scan; c — in 1 year after surgery; d — in 2 years after surgery. Состояние пациента было удовлетворительным, жалоб не предъявлял до октября 2017 г., когда возобновилась боль в верхних отделах живота. Консультирован в институте. По данным КТ брюшной полости обнаружена панкреатическая гипертензия с расширением протока до 10 мм, заподозрено наличие карциномы (рис. 7). Рис. 7. Компьютерная томограмма брюшной полости, аксиальный срез, артериальная фаза, через 5 лет после операции. Проток поджелудочной железы указан стрелкой. Ситуация расценена как рецидив ВПМО, карцинома? Больному предложено хирургическое лечение в объеме экстирпации культи ПЖ, на что получено согласие.
Операция 20.02.18. После разделения плоскостных сращений обнажена культя ПЖ и анастомозированная с ней петля тощей кишки. ПЖ незначительно уплотнена, атрофична. В области панкреатикоеюноанастомоза опухоль пальпаторно не определялась. Тощая кишка отделена от культи железы, при этом установлено, что просвет анастомоза полностью облитерирован. Произведена резекция культи ПЖ на протяжении 1,5 см. Проток П.Ж. расширен до 10 мм, в просвете прозрачный панкреатический секрет. При срочном гистологическом исследовании резецированной части железы элементов опухоли не выявлено. Интраоперационная ситуация расценена как стриктура панкреатикоеюноанастомоза. Произведено реанастомозирование протока культи ПЖ с тощей кишкой рассасывающейся монофиламентной нитью 5/0.
Послеоперационный период протекал без осложнений, пациент выписан на 12-е сутки после операции в удовлетворительном состоянии.
Диагностика ВПМО является сложной задачей. В соответствии с международными рекомендациями предоперационное обследование ВПМО требует комплексных диагностических мероприятий, включающих КТ с внутривенным контрастированием, МРТ с МРХПГ, УЗИ, в том числе эндоУЗИ [5]. Помимо выявления самой опухоли на дооперационном этапе, необходима дифференциальная диагностика ее различных типов, что в значимой степени определяет тактику лечения.
В зависимости от локализации опухоли выделяют 3 типа: 1-й — ВПМО, или главного протока ПЖ (main duct IPMN, MD-IPMN), 2-й — ВПМО боковых ветвей протока ПЖ (brunch duct IPMN, BD-IPMN), 3-й — смешанный. Основным критерием ВПМО 1-го типа при лучевых методах исследования является локальное или диффузное расширение главного протока ПЖ более 5 мм при отсутствии других причин обструкции. В соответствии с согласительными рекомендациями, расширение протока ПЖ в пределах 5—9 мм вызывает подозрение на наличие малигнизации, а его расширение более 10 мм является признаком высокого риска злокачественной трансформации [4]. Кроме того, к признакам ВПМО-карциномы относят размеры солидного компонента более 3 см, утолщение стенок кисты, кальцинаты в структуре опухоли, признаки билиарной гипертензии и инвазии в соседние органы. При ВПМО 1-го типа ввиду высокой (60%) вероятности малигнизации рекомендуется агрессивная хирургическая тактика [4].
ВПМО 2-го типа характеризуется наличием кист, исходящих из боковых ветвей протока ПЖ [4—7]. Появление клинической симптоматики в виде рецидивирующего болевого синдрома вследствие обструкции протока ПЖ папиллярными разрастаниями является признаком возможной злокачественной трансформации опухоли. Пациенты с ВПМО 2-го типа размером до 3 см при отсутствии клинических проявлений требуют динамического наблюдения. Частота злокачественной трансформации ВПМО 2-го типа достигает 24,4%, в связи с чем при увеличении размера опухоли или возникновении клинических проявлений следует решать вопрос о хирургическом лечении [4, 5]. S. Fritz и соавт. [5] представили сводные результаты хирургического лечения 512 больных ВПМО, у 29% из них до операции предполагалась ВПМО 2-го типа, однако по результатам срочного гистологического исследования было обнаружено вовлечение в опухолевый процесс и протока ПЖ (3-й тип опухоли), что потребовало выполнения панкреатодуоденальной резекции.
Данные литературы свидетельствуют о 5-летней выживаемости 80—100% больных, оперированных по поводу неинвазивных форм ВПМО [8—13]. Вследствие мультифокального характера заболевания велик риск рецидива ВПМО даже после выполнения R0-резекции. Так, S. Hirono и соавт. [11] указывают на рецидив в 21,8% случаев после оперативного лечения ВПМО. В отличие от неинвазивных форм, ВПМО-карцинома характеризуется злокачественным течением с метастатическим поражением регионарных лимфатических узлов и отдаленным метастазированием. В связи с этим оперированные пациенты с инвазивными формами ВПМО нуждаются в послеоперационном ведении в соответствии с онкологическими принципами, установленными для пациентов с протоковой аденокарциномой П.Ж. Ряд исследований [9, 10, 14—16] указывает на увеличение доли пятилетней общей выживаемости среди пациентов, получающих адьювантную химиотерапию. Оперированные пациенты также нуждаются в регулярном послеоперационном контроле. В соответствии с международными рекомендациями пациент должен проходить плановую КТ/МРТ каждые 6 мес в 1-й год после операции, затем через 2, 3, 5 лет и более после операции [3]. При наличии признаков, не позволяющих исключить рецидив опухоли, необходимо склоняться в пользу хирургического вмешательства [6, 7, 11, 17].
Таким образом, описанное клиническое наблюдение демонстрирует неоправданно длительное консервативное лечение больного ВПМО из-за ошибочного диагноза хронического панкреатита. Возникшая через 5 лет после ПДР стриктура панкреатикоеюноанастомоза была расценена как рецидив опухоли, однако правильная трактовка диагноза во время повторной операции позволила избежать экстирпации культи ПЖ.
УЗИ рака поджелудочной железы (начало)
Существует четыре подтипа кистозных новообразований поджелудочной железы, которые имеют различный злокачественный потенциал: серозные кистозные опухоли, муцинозные кистозные новообразования, внутрипротоковые папиллярные кистозные новообразования и солидные псевдопапиллярные новообразования. Кистозные новообразования поджелудочной железы составляют от 10% до 15% всех кист поджелудочной железы на УЗИ и менее 1% всех злокачественных опухолей поджелудочной железы.
Серозные кистозные опухоли на ультразвуковом исследовании
Серозная цистаденома — это редкая, доброкачественная, хорошо очерченная опухоль на УЗИ с множественными крошечными кистами, чаще встречающимися у пожилых женщин. При этом поражении наименее вероятно развитие рака, то есть малый злокачественный потенциал. Сонографический внешний вид зависит от количества и размера кист. Поражения могут казаться кистозными, солидными или даже эхогенными, если кисты очень маленькие и более многочисленные по периферии. Грубо дольчатые кистозные опухоли иногда представляют собой на УЗИ с стенками кисты, более толстыми, чем мембраны между мультилокулярными кистами. Меньшая часть кист имеет эхогенный центральный звездчатый рубец, который может иметь кальцификацию.
Псевдокапсула и перегородки образования имеют тенденцию к повышению васкуляризации и хорошо видны с применением цветного допплера. Опухоль обычно не вызывает обструкции протока поджелудочной железы. Трудно дифференцировать серозную цистаденому от злокачественного слизисто-кистозного рака без патологического подтверждения.

Муцинозные кистозные новообразования на ультрасонографии
Муцинозная цистаденома / цистаденокарцинома является редкой, медленно растущей опухолью, которая поднимается из протоков в виде кистозного новообразования. Опухоль может быть злокачественной или доброкачественной со значительным «злокачественным потенциалом». Она встречается преимущественно у женщин среднего и пожилого возраста, обычно обнаруживается на УЗИ в теле или хвосте поджелудочной железы. Клинически пациенты имеют боль в эпигастральной области или ощутимое образование, потерю веса, и желтуху. Многие пациенты имеют сопутствующие заболевания: диабет, калькулезное заболевание желчевыводящих путей или артериальная гипертензия.
Это поражение представляет собой на ультразвуковом исследовании хорошо очерченные, гладкостенные, тонкостенные или толстостенные, одноклеточные или многозеркальные кистозные поражения различных размеров (обычно более 20 мм в диаметре и менее шести). Опухоль, как правило, состоит из четко определенных кист, содержащих густую слизистую жидкость, внутренние перегородки или настенные узлы. Большая киста (более 5 см) с перегородками или без них, нерегулярная стенка и кальцификация стенки кисты обладают значительным злокачественным потенциалом; По сравнению с аденокарциномой поджелудочной железы выживаемость лучше при цистаденокарциноме, если поражение не повреждено. Часто очаги кальцификации можно увидеть в поджелудочной железе.
Внутрипротоковые папиллярные слизистые новообразования. Внутрипротоковая папиллярная муцинозная опухоль является формой муцинозного кистозного новообразования. Опухоль происходит из главного протока поджелудочной железы или его ветвей. Это медленно растущее поражение поражает как пожилых мужчин, так и женщин. Гистология варьируется от доброкачественной до злокачественной. Многие пациенты с внутрипротоковыми папиллярными слизистыми новообразованиями протекают бессимптомно. Тем не менее, некоторые пациенты имеют рецидивирующий анамнез острого панкреатита или симптомов, свидетельствующих о хроническом панкреатите, которые возникают в результате прерывистой обструкции протока поджелудочной железы слизистыми пробками. Наличие болей в спине, желтуха, потеря веса, анорексия, стеаторея и диабет могут быть предвестниками рака.
Опухоли протоков демонстрируют специфические паттерны на УЗИ брюшной полости при подозрении на рак. Основной тип представлен как сегментарное или диффузное расширение протока с или без расширения боковой ветви. Разветвленный тип показывает одиночное или мультикистозное образование с микрокистозным или макрокистозным видом. Тщательное изучение образования должно показать связь с протоком поджелудочной железы, обычно лучше всего наблюдаемым при контрастировании. Опухоли могут присутствовать в виде несосудистых узлов в расширенных протоках. Наличие сосудистых узелков и толстой стенки отличает доброкачественные опухоли от злокачественных.
Солидные псевдопапиллярные новообразования на ультрасонографии
Обнаружение гетерогенного сонографического паттерна с солидными и кистозными компонентами у молодой женщины наводит на мысль о псевдопапиллярном новообразовании. Эта опухоль имеет более низкий уровень злокачественности. Пациенты с псевдопапиллярным новообразованием обычно имеют симптомы такие как: боли в животе, тошнота, рвота и потеря веса. Дополнительные симптомы, такие как пальпация брюшного образования, желудочно-кишечная непроходимость, анемия, желтуха и панкреатит также могут присутствовать. Эти опухоли обычно меньше по размеру и, следовательно, кроме УЗИ поджелудочной железы, МРТ может оказаться более специфичной.
УЗИ рака поджелудочной железы (окончание)
Результаты ультразвукового исследования при раке поджелудочной железы
Проявление аденокарциномы на УЗИ — это потеря нормальной структуры паренхимы поджелудочной железы. Наиболее распространенным результатом сонографии является плохо выраженное образование в области поджелудочной железы. Поражение представляет собой локализованное изменение эхогенности текстуры железы. Эхо-картина гипоэхогенная или изоэхогенная, с текстурой менее плотной, чем поджелудочная железа или печень. Гипоэхогенная или изоэхогенная плохо выраженная опухоль лучше выявляется, когда структура поджелудочной железы более эхогенная. Редко некроз будет рассматриваться как кистозная область в опухоли Границы железы на УЗИ становятся нерегулярными, поджелудочная железа может быть увеличена. Также встречается вторичное расширение общего протока в результате отека или инвазии рака в головку. Если рак вызывает закупорку протока, то нужно обратить внимание на расширение протока поджелудочной железы на УЗИ (более 2-3 мм). Если опухоль находится внутри головки, то нужно исключить расширение желчных протоков. Необходимо помнить, что уровень обструкции может быть в головке, над головкой или в воротах печени, в зависимости от размера поражения. Наличие эхогенного сладжа в общем желчном протоке может с трудом отделяться от распространения опухоли. Дилатация как поджелудочной железы, так и общего желчного протока может наблюдаться при хроническом панкреатите, а также при аденокарциноме поджелудочной железы.

На УЗИ может быть расширение или сжатие смежных структур. Образование псевдокисты, вторичной по отношению к ассоциированному панкреатиту, обычно наблюдается рядом с карциномой. Обширное распространение рака по всей поджелудочной железе может проявляться как отечный панкреатит. Врач должен тщательно оценить железу на наличие расплывчатого очага и соотнести его с клиническими симптомами. При этом необходимо искать метастатическое распространение в печени, лимфатических узлах (аномальное смещение верхней брыжеечной артерии) или портальной венозной системы. Верхние брыжеечные сосуды могут быть смещены сзади поджелудочной железой; переднее смещение присутствует, когда карцинома находится в хвосте, а заднее смещение присутствует, когда опухоль находится в головке или теле. Утолщение мягких тканей, вызванное неопластической инфильтрацией периваскулярных лимфатических узлов, может наблюдаться вокруг чревного ствола, или верхней брыжеечной артерии и становиться более заметна на УЗИ при раке тела и хвоста.
Многие пациенты с раком в головке железы будут иметь механическую желтуху и сдавление передней стенки нижней полой вены. Опухоль в хвосте может сдавливать селезеночную вену, вызывая вторичное расширение селезенки. Раковый рост может сместить или проникнуть в селезеночную или портальную вену или вызвать тромбоз. Атрофия железы, проксимальной к препятствующей опухоли в головке, может выглядеть гипоэхогенной или гиперэхогенной. Доплеровские характеристики кровотока имеют характеристики других злокачественных поражений с повышенной скоростью и уменьшенным сопротивлением потока. Увеличение скорости, скорее всего, связано с артериовенозным шунтированием и уменьшением импеданса сосудистых пространств, в которых отсутствуют мышечные стенки.
Значение УЗИ в постановке рака поджелудочной железы
Ультразвуковое исследование может играть важную роль скрининга не только в определении рака поджелудочной железы, но и в оценке возможности резекции опухоли. Хирургическое лечение остается методом выбора при карциномах, которые считаются резектабельными, но с высоким уровнем смертности и заболеваемости. Способность идентифицировать расширение карциномы за пределы поджелудочной железы, включая ее инвазию в лимфатические узлы, окружающие венозные структуры и органы, забрюшинный жир и метастазы в печени, исключает возможность проведения операции. Это обследование органов брюшной полости / таза может стать более эффективным при оценке перед операцией. Демонстрация анатомических структур с помощью УЗИ будет определяться адекватным качеством изображения. Забрюшинные структуры часто исключаются из-за интерференции газов кишечника и, следовательно, неадекватного качества изображения. Однако, если поджелудочная железа может быть адекватно визуализирована полностью и имеет нормальный вид, карцинома поджелудочной железы может быть исключена с высокой степенью достоверности.
Врач УЗИ должен стараться тщательно оценивать сосудистые структуры, окружающие поджелудочную железу. Железа находится в середине значительного сосудистого пути, чревного сплетения, и, если в поджелудочной железе имеется рак, он может легко перемещаться в соседние органы. Часто бывает трудно различить сжатие и инвазию венозных структур. Следует отметить вторичные признаки, такие как тромбоз вены, органомегалия или коллатеральное образование в перипанкреатической и перипортальной области и вдоль стенки желудка. Увеличение лимфатических узлов в области поджелудочной железы может привести к нарушению хода чревного ствола или верхней брыжеечной артерии.
Дифференциальная диагностика рака поджелудочной железы на УЗИ
Первичным дифференциальным диагнозом карциномы поджелудочной железы является очаговый панкреатит или очаговое образование, связанные с хроническим панкреатитом. Кальцификация может наблюдаться у пациентов с панкреатитом, что помогает определить саму железу. Однако при наличии панкреатита возможен одновременный рост рака. Сравнительная визуализация УЗИ с КТ и МСКТ может быть необходима для оценки текстуры железы и забрюшинного пространства и для дальнейшей оценки протока поджелудочной железы.
Увеличенные лимфатические узлы в области поджелудочной железы можно дифференцировать от рака поджелудочной железы путем выявления эхогенных перегородок между каждым из гипоэхогенных узлов. Отсутствие желтухи при наличии образования возле головки поджелудочной железы способствует наличию лимфаденопатии по сравнению с карциномой поджелудочной железы.
Ампуллярные аденокарциномы имеют лучший прогноз, чем аденокарцинома поджелудочной железы, когда поражения размером менее 2 см. Эндоскопическое ультразвуковое исследование позволяет визуализировать проток поджелудочной железы, чтобы определить стадию опухолевого роста. Расширение поджелудочной железы и общего протока характерно для ампулярной опухоли.
Метастатическая болезнь поджелудочной железы на УЗИ
Вообще говоря, метастазирование в поджелудочную железу встречается редко, но, как сообщается, встречается при ультразвуковом исследовании у 10% больных раком. Первичные опухоли, которые могут метастазировать в поджелудочную железу, включают меланомы, опухоли молочной железы, желудочно-кишечные опухоли и опухоли легких.
Парапанкреатические новообразования на ультрасонографии
Лимфомы — это злокачественные новообразования, которые поднимаются из лимфоидных тканей. Они являются наиболее частыми парапанкреатическими новообразованиями. Часто довольно трудно отделить парапанкреатическую лимфаденопатию от первичного поражения поджелудочной железы. Интраабдоминальная лимфома может появиться в виде гипоэхогенной опухоли с некрозом или кистозным образованием в поджелудочной железе.
Верхняя брыжеечная артерия на УЗИ может быть смещена вперед, а не назад, как это бывает при первичном раке поджелудочной железы. Множественные лимфатические узлы обычно видны вдоль поджелудочной железы, двенадцатиперстной кишки, ворот печени и верхней брыжеечной артерии, их бывает сложно отличить от самой опухоли поджелудочной железы. Увеличенные узлы выглядят гипоэхогенными и хорошо выраженными.
Другие типы забрюшинных новообразований, которые могут появляться в виде кистозного поражения вблизи области поджелудочной железы, включают лимфангиомы, параганглиомы, кистозные тератомы и метастазы. Лимфангиомы чаще всего представляют собой тонкостенные, однородные, мелкие кисты, у них на УЗИ наблюдаются септы, толстые стенки, кальцификация и внутренний дебрис. Параганглиомы обычно находятся вблизи нижней брыжеечной артерии или около почки. Кистозные тератомы чаще встречаются у детей и молодых людей. Их появление представляет собой смешанный сонографический паттерн кистозного, солидного, жирового и кальцификационного характера.
Рак поджелудочной железы: причины, симптомы и лечение
Рак поджелудочной железы — это злокачественная опухоль, которая развивается из клеток поджелудочной железы в результате мутаций. Он зачастую длительно протекает бессимптомно, а когда появляются первые симптомы, как правило, заболевание уже находится на поздней стадии, и бороться с ним очень сложно.
Если диагноз установлен на ранней стадии, пятилетняя выживаемость составляет не более 15%. За счет того, что железа расположена глубоко и окружена другими органами брюшной полости, операции на ней сложны и требуют от хирурга большого мастерства. Высок риск серьезных и подчас фатальных послеоперационных осложнений. [1,2]

Злокачественная опухоль поджелудочной железы в цифрах и фактах:
- По частоте среди прочих онкологических заболеваний у взрослых занимает шестое место.
- Согласно американской статистике, злокачественные новообразования поджелудочной железы составляют около 3% от всех онкологических заболеваний и обусловливает 7% смертности от всех видов рака.
- Чаще всего опухоль встречается у людей старше 60-65 лет.
- Мужчины и женщины болеют одинаково часто.
- В 50-60% случаев опухоль поражает только головку поджелудочной железы, в 10% — тело, в 6-8% — хвост. В 25-30% случаев поражена вся поджелудочная железа. [1,3,8]
Виды рака поджелудочной железы
В поджелудочной железе есть экзокринная ткань, которая вырабатывает пищеварительные ферменты, и эндокринная, функцией которой является производство некоторых гормонов. Соответственно, в зависимости от происхождения, выделяют экзокринные и эндокринные злокачественные опухоли поджелудочной железы. Первые встречаются намного чаще. Когда говорят о раке поджелудочной железы, в большинстве случаев имеют в виду именно экзокринные опухоли.
Аденокарцинома — опухоль из железистых клеток, является самым распространенным типом экзокринного рака. Она встречается в 80-95% случаев. В большинстве случаев опухоль происходит из клеток, выстилающих протоки поджелудочной железы — протоковая аденокарцинома. Реже встречаются новообразования из клеток, которые вырабатывают пищеварительные ферменты, в ацинусах. Такой рак называется ацинарно-клеточным.
Отдельно выделяют внутрипротоковые папиллярные и кистозные муцинозные опухоли, ассоциированные с инвазивным раком. Эти новообразования являются доброкачественными, но со временем могут трансформироваться в рак. Люди, у которых диагностированы эти патологии, должны наблюдаться у врача. Кистозные опухоли обычно удаляют хирургически из-за риска озлокачествления. Папиллярные оперируют при определенных условиях, например, если новообразование находится в главном протоке.
Более редкие разновидности злокачественных опухолей поджелудочной железы: плоскоклеточный, недифференцированный, аденосквамозный рак, цистаденокарцинома, перстневидно-клеточная карцинома.
Менее 5% от всех новообразований поджелудочной железы составляют опухоли, которые развиваются из эндокринных клеток — нейроэндокринные опухоли, или опухоли островковых клеток. К ним относят гастриномы, инсулиномы, глюкагономы, соматостатиномы. Чаще всего они доброкачественные, но могут оказаться злокачественными, и даже биопсия не всегда помогает вовремя установить правильный диагноз. [1,5]
Локализация рака поджелудочной железы
Злокачественная опухоль может находиться в головке, теле или хвосте поджелудочной железы. В зависимости от локализации, она будет иметь некоторые особенности.
Рак головки поджелудочной железы
Чаще всего встречается рак головки поджелудочной железы. Например, здесь локализуется около 75% протоковых аденокарцином. Злокачественные опухоли, удаленные из головки, в среднем имеют размер 2,5-3,5 см, в то время как в теле и хвосте они обычно крупнее. Однако, из-за близкого расположения желчного протока, даже небольшие новообразования головки способны сдавливать его и приводить к механической желтухе. Другие характерные осложнения: стеноз двенадцатиперстной кишки и кровотечение из распадающегося рака.
Рак тела поджелудочной железы
Тело поджелудочной железы — вторая по распространенности локализации рака часть органа. Протоковые аденокарциномы встречаются здесь в 18% случаев. Если опухоль находится в теле или хвосте, то по сравнению с раком головки чаще встречаются такие осложнения, как тромбофлебиты, флеботромбозы, сахарный диабет. Видимо, это связано с тем, что новообразования тела и хвоста имеют более крупные размеры. Если возникает желтуха, обычно это говорит о запущенном раке.
Рак хвоста поджелудочной железы
Рак хвоста поджелудочной железы встречается реже всего. Такую локализацию имеют лишь 7% протоковых аденокарцином. Из-за близости желудка, ободочной кишки и легкого такие опухоли сложнее обнаружить во время УЗИ. [6]

Стадии рака поджелудочной железы
Классификация рака поджелудочной железы по стадиям базируется на общепринятой системе TNM.
Буква T обозначает характеристики первичной опухоли. T1 — опухоль, которая находится в пределах поджелудочной железы, имеет размер до 2 см (T1a) или более (T1b) и не прорастает в капсулу, сосуды, и соседние органы. Стадии T2 и T3 обозначают разную степень прорастания рака в различные структуры.
Буквой N обозначается распространение раковых клеток в лимфатические узлы. N0 — очаги в лимфоузлах отсутствуют. N1,2,3 — распространение рака в различные группы лимфатических узлов.
M — это наличие (M1) или отсутствие (M0) отдаленных метастазов.
В зависимости от сочетаний разных значений T, N и M, рак поджелудочной железы делят на четыре стадии с подстадиями:
Ультразвуковая диагностика образований поджелудочной железы. Профессор В. А. Изранов. Лекция для врачей

- Солидные гипоэхогенные образования поджелудочной железы
- Рак поджелудочной железы
- Очаговый панкреатит
- Лимфома
- Метастазы
- Нейроэндокринные опухоли
- Островково-клеточная опухоль
- Тромбированная аневризма
- Рак ПЖ представляет собой аденокарциному, происходящую из протокового эпителия
- Составляет более 90% всех опухолей ПЖ
- Составляет 5% случаев всей онкологической смертности и занимает 4-е место после рака легких, рака МЖ и колоректального рака
- 1-летняя выживаемость около 10%
- Чаще всего в возрастной группе 60-80 лет
- До 40 лет встречается редко. 60% - 70% опухолей развиваются в головке ПЖ
- Типичная симптоматика - желтуха без болевого синдрома. 10% - 20% опухолей развиваются в области тела и 5-10% в области хвоста
- Для этих локализаций характерны неспецифические симптомы, в частности потеря веса
- Диффузное поражение отмечается в 5% случаев
- Опухоли головки могут быть обнаружены на ранних стадиях из-за симптомов желтухи и могут быть потенциально резектабельными
- Напротив, опухоли в области тела и хвоста обнаруживаются уже крупных размеров. Редко являются резектабельными
- В большинстве случаев РПЖ представлен гипоэхогенным образованием (в сравнении с прилежащей паренхимой ПЖ)
- Изменение контура ПЖ зависит от размера и локализации опухоли
- Обструкция ОЖП является частым симптомом
- Обычно расширенный проток прослеживается дистально и обрывается на уровне образования
- Обструкция панкреатического протока также является частым симптомом. Одновременное расширение ОЖП и панкреатического протока (симптом двух протоков) всегда является подсказкой наличия рака ПЖ. В целом, расширение панкреатического протока имеет меньшую извитость и неровность контуров в сравнении с хроническим панкреатитом
- Может иметь форма без расширения протока. В таких случаях развивается атрофия ПЖ левее опухоли
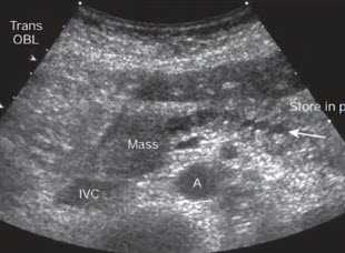
- Поперечное сканирование в эпигастральной области. Образование в головке (Mass), приводящее обструкции панкреатического протока. Четкообразное неравномерное расширение протока (стрелка). А - аорта, IVC - нижняя полая вена
- Косое сканирование в эпигастральной области. Гипоэхогенное образование в хвосте поджелудочной железы (ПЖ)
- Косое сканирование в эпигастральной области. Гипоэхогенное образование в хвосте поджелудочной железы
- Образование в головке ПЖ (белая стрелка) неоднородной структуры преимущественно повышенной эхогенности (типичными примерами являются гипоэхогенные образования). Отмечается симптом «двух протоков»:
- панкреатический проток (PD) неравномерно расширен
- в левой доле печени лоцируются расширения внутрипеченочных протоков (желтые стрелки).
- Рак поджелудочной железы. Пример
- Косое сканирование через общий желчный проток (CBD). Образование (М) приводит к выраженной дилатации ОЖП (диаметр ОЖП вдвое превышает диаметр воротной вены). D - верхняя часть двенадцатиперстной кишки. НПВ-нижняя полая вена.
- Дифференциальный диагноз
- Дифференциальный диагноз гипоэхогенных образований ПЖ первоначально включает РПЖ и локальный панкреатит. Локальный панкреатит исключается при обнаружении метастазов и вовлечении сосудов. Напротив, выявление разбросанных кальцинатов является симптомом панкреатита
- Расширение панкреатического протока с внутренними кальцификатами при локальной форме панкреатита.
Подтверждающее изображение КТ
- Диагностическая тактика при раке поджелудочной железы
- Хотя УЗИ может быть методом выявления РПЖ сопоставимым с КТ по способности выявления РПЖ в хорошо доступных для визуализации отделах (головка и тело), оно не позволяет визуализировать всю ПЖ целиком, поэтому КТ является предпочтительным методом визуализации
- ЭРХПГ и эндоскопическое УЗИ являются довольно чувствительными методами, но являются инвазивными дорогостоящими процедурами и могут провоцировать панкреатит. Их следует резервировать для случаев, когда УЗИ и КТ являются недиагностическими или у пациентов, требующих биопсии или постановки билиарного стента
- КТ и МРТ играют основную роль в определение резектабельности РПЖ
- Для врача УЗИ важно знать критерии резектабельности
- Критерии нерезектабельности:
- обнаружение печеночных, перитонеальных или других отдаленных метастазов
- вовлечение перипанкреатических артерий и вен
- инвазия в прилежащие органы (за исключением ДПК)
- наличие асцита
В - инфильтрированные мягкие ткани (указаны стрелками), окружающие чревный ствол (С)
С- продольное сечение на уровне чревного ствола (С). Стрелка демонстрирует инфильтрацию мягких тканей
- Сосудистая инвазия при РПЖ II
- А - поперечное сканирование на уровне тела ПЖ: солидное гипоэхогенное образование
- В - ЦДК демонстрирует чревный ствол с инвазией в область основания селезеночной артерии.
- Лимфома
- Лимфома ПЖ обычно является вторичной и неходжкинской. Первичная лимфома ПЖ является редкой (не более 2% экстранодальных лимфом и 1% всех опухолей ПЖ). Наиболее часто имеет место у пациентов с иммунодефицитом. Обычно представлена очаговыми единичными или множественными гипоэхогенными образованиями с нечеткими контурами. Часто инфильтрирует прилежащие ткани
- А - Гипоэхогенные образования (L) в теле и хвосте ПЖ
- В - КТ у того же пациента. Результаты биопсии: лимфома Беркитта
- Нейроэндокринные опухоли (НЭОп)
- Составляют от 1 до 5 % опухолей ПЖ. Они возникают из плюрипотентных клеток протокового эпителия. НЭОп часто ассоциированы с нейрофиброматозом 1 типа, болезнью von Hippel Lindau и туберозным склерозом. В зависимости от продуцируемого гормона подразделяются на:
- 1. Инсулинома
- 2. Гастринома
- 3. Глюкагонома, VIPoma, соматостатинома
- 4. Нефункционирующие НЭОп
- Локализация НЭОп до операции требует сочетанного применения КТ, МРТ и эндоскопического УЗИ
- Инсулиномы. Мелкие (10 мм) гипоэхогенные солидные образования, гиперваскулярные при ЦДК
- Гастриномы составляют до 20% НЭОп. В сравнении в инсулиномами большинство гастрином злокачественные. До 60% пациентов на момент постановки диагноза имеют отдаленные метастазы. Симптомы обусловлены избыточной секреций гастрина и включают тяжелые пептические язвы и секреторную диарею. Гастриномы являются мелкими опухолями и дооперационное выявление их при УЗИ ограничено. Эндоскопическое УЗИ очень чувствительно к выявлению как внутриорганных, так и внеорганных поражений, которые чаще всего обнаруживаются в стенке ДПК. Интраоперационное УЗИ чувствительно к выявлению интрапанкреатических опухолей и часто используется для точной локализации опухоли. Гастриномы у различных пациентов. Интраоперационное сканирование. А.В - мелкие (до 5 мм) гипоэхогенные солидные образования. С - жидкость в просвете ДПК (L) и внутристеночное образование
- Нефункционирующая НЭОп
- Поперечное сканирование на уровне ПЖ: крупное образование (М) и крупный тромб (Т) в области воротно-селезеночного конфлюэнса
- В - опухолевый тромб в селезеночной вене. ЭД демонстрирует отчетливую васкуляризацию опухоли
- В - выраженная гиперваскуляризация при ЦДК
- С - контраст-усиленное КТ у того же пациента
- Метастазы обнаруживаются на аутопсиях в 2-5% всех злокачественных опухолей ПЖ. Наиболее часто в ПЖ метастазирует рак легких и почечно-клеточный рак. Эхографически это солидные гипоэхогенные образования. Отличительными особенностями являются множественность поражения. Выявление образования в ПЖ у пациента с анамнезом экстрапанкреатической локализации злокачественного процесса должно вызывать подозрение на метастатическую болезнь
- Метастаз рака легких в поджелудочную железу. Гипоэхогенное образование в хвосте ПЖ
- Метастаз рака почки в поджелудочной железы
- А-КТ с контрастированием: образование в теле поджелудочной железы
- В - Серошкальное изображение при интраоперационном УЗИ
- С - гиперваскуляризация образования при интраоперационном УЗИ
- Кистозные образования поджелудочной железы
- Классификация кистозных образований поджелудочной железы
- Псевдокисты / Кистозные некроз
- Кистозные неоплазии (5% опухолей ПЖ):
- Муцинозная кистозная неоплазия
- Серозная цистаденома (микрокистозная аденома)
Читайте также:
- Составляют от 1 до 5 % опухолей ПЖ. Они возникают из плюрипотентных клеток протокового эпителия. НЭОп часто ассоциированы с нейрофиброматозом 1 типа, болезнью von Hippel Lindau и туберозным склерозом. В зависимости от продуцируемого гормона подразделяются на:
