УЗИ при растянутом желчном пузыре (дилатации)
Добавил пользователь Евгений Кузнецов Обновлено: 14.12.2025
Гиперпластический холецистоз представлен различными дегенеративными и пролиферативными изменениями желчного пузыря, характеризующимися гиперконцентрацией, гипервозбудимостью и гиперэкскретией. Холестероз и аденомиоматоз желчного пузыря являются двумя типами этого состояния.
Холестероз
Холестероз — это состояние, при котором холестерин откладывается в пластинках желчного пузыря. Процесс заболевания часто связан с холестериновыми камнями. Это часто упоминается как «клубничный желчный пузырь», потому что слизистая напоминает поверхность клубники.
У большинства пациентов с холестерозом УЗИ не показывает утолщение стенок желчного пузыря, а небольшой процент пациентов с этим условием покажет холестериновые полипы, которые могут быть обнаружены с ультразвуком. Полипы желчного пузыря представляют собой небольшие, четко очерченные мягкотканные структуры со стороны стенки желчного пузыря. Холестериновый полип представляет собой небольшую структуру, покрытую одним слоем эпителия и прикрепленную к желчному пузырю тонкой ножкой. Эти полипы обычно находятся в средней трети желчного пузыря и имеют диаметр на УЗИ менее 10 мм. Холестериновые полипы являются наиболее распространенной псевдопухолью желчного пузыря. Другие образования, при которых происходит гиперплазия слизистой оболочки - это воспалительные изменения в полипах, слизистые кисты и гранулемы (в результате паразитарных инфекций).
Сонографические находки
Холестериновые полипы представляют собой небольшие гладкие выступы яйцевидной формы, образующиеся из стенки желчного пузыря. Полипы на УЗИ обычно бывают множественными, не затеняются и остаются фиксированными к стенке с изменениями положения больного. Может присутствовать артефакт кометного хвоста, исходящий от холестериновых полипов, и это состояние может быть неотличимо от аденомиоматоза.

Аденомиоматоз на УЗИ
Аденомиоматоз доброкачественное состояние, которое демонстрирует гиперпластическое изменение в стенке желчного пузыря. Это вызвано увеличением нормальных инвагинаций эпителия в просвет ЖП (синусы Рокитанского-Ашоффа) с сопутствующей пролиферацией гладкой мускулатуры.
Кристаллы холестерина могут оседать в этих синусовых карманах. Это состояние характеризуется гиперплазией слизистой оболочки и утолщением мышечного слоя стенки желчного пузыря. Папилломы могут возникать поодиночке или группами и могут быть рассеяны по большей части слизистой поверхности желчного пузыря. Эти папилломы не являются предшественниками рака.
Сонографические находки
Доброкачественные опухоли появляются в виде небольших возвышений в просвете желчного пузыря. На пораженных участках отмечается утолщение стенки желчного пузыря с внутренними кистозными пространствами. Аденомиоматоз может быть очаговым или диффузным. На УЗИ обычно видны небольшие эхогенные очаги в стенке желчного пузыря, которые создают очень специфический артефакт кометы. Различные положения пациента и сжатие датчиком показывают, что выявленные изменения неподвижны в желчном пузыре. Позади этого папилломатозного возвышения акустическая тень не видна.
Аденома желчного на УЗИ
Аденомы представляют собой доброкачественные новообразования желчного пузыря с предраковым потенциалом значительно ниже, чем аденомы толстой кишки. Это состояние обычно возникает как одиночное поражение. Более мелкие поражения имеют ножку, тогда как более крупные могут содержать очаги злокачественной трансформации. Аденомы имеют тенденцию быть однородно гиперэхогенными на УЗИ, но становятся более гетерогенными по мере роста. Если стенка желчного пузыря утолщена рядом с аденомой, следует заподозрить злокачественность.
Рак желчного пузыря на УЗИ
Первичная карцинома желчного пузыря встречается редко и почти всегда является быстро прогрессирующим заболеванием со смертностью, приближающейся к 100%. Это связано с желчнокаменной болезнью примерно в 80% до 90% случаев (хотя нет прямых доказательств того, что камни в желчном пузыре являются канцерогенным агентом). Он встречается в два раза чаще, чем рак желчных протоков, и наиболее часто встречается у женщин в возрасте 60 лет и старше. Опухоль возникает в теле желчного пузыря или редко в пузырном протоке. Опухоль проникает в желчный пузырь локально или диффузно и вызывает утолщение и ригидность стенки. В соседнюю печень часто проникает прямая непрерывность, проходящая через тканевые пространства, протоки Лушки, лимфатические каналы или их комбинацию. Обструкция пузырного протока возникает в результате прямого расширения опухоли или внешней компрессии вовлеченными лимфатическими узлами (эта обструкция возникает рано).
Опухоль желчного пузыря обычно представляет собой столбчато-клеточную аденокарциному, иногда муцинозного типа. Плоскоклеточный рак встречается редко. Метастатическая карцинома желчного пузыря может быть вторичной по отношению к меланоме. Это состояние обычно сопровождается метастазами в печень. Большинство пациентов не имеют симптомов, которые относятся к желчному пузырю, если нет осложняющего острого холецистита.
Сонографические находки
Наиболее распространенным сонографическим проявлением образования является гетерогенная твердая или полутвердая эхо-текстура. Опухоль чаще сосредоточена в ямке желчного пузыря, которая полностью или частично облитерирует просвет. Стенка желчного пузыря заметно аномальна и утолщена. Это утолщение может быть фокальным или диффузным, но обычно нерегулярным и асимметричным. Идентификация камней в желчном пузыре помогает идентифицировать образование как часть желчного пузыря. Соседняя ткань печени, в области шейки, часто неоднородна из-за прямого распространения опухоли. В паренхиме печени могут быть расширены желчные протоки, что приводит к появлению знака «дробовик» («двуствольное» появление воротных вен и расширенных протоков).
Карцинома желчного пузыря практически не выявляется на стадии резекции. Закупорка пузырного протока опухолью или лимфатическими узлами происходит в начале течения заболевания и вызывает не визуализацию желчного пузыря на оральной холецистограмме. Дифференциальная диагностика образований желчного пузыря включала опухолевидный сладж, утолщение воспалительной стенки, полипы, метастазы и очаговый аденомиоматоз.
Патология желчного дерева. Кисты холедоха на УЗИ
Кисты холедоха - необычная, разнообразная группа заболеваний, которые могут проявляться как врожденное, очаговое или диффузное кистозное расширение желчного дерева. Киста холедоха может быть результатом рефлюкса панкреатических соков в желчный проток из-за аномального соединения панкреатического протока в дистальный общий желчный проток, вызывая аномалию стенки протока, слабость и выпячивание его стенок. Эти кисты редки; заболеваемость чаще встречается у женщин, чем у мужчин (4:1), с увеличением заболеваемости у младенцев (состояние может возникнуть менее чем у 20% взрослых). Кисты холедоха могут быть связаны с желчными камнями, панкреатитом или циррозом печени. Больной имеет абдоминальное образование, боль, лихорадку или желтуху. Диагноз может быть подтвержден с помощью УЗИ. Большинство случаев считаются врожденными и являются результатом рефлюкса желчи. Образование представлена в виде кистозного расширения желчевыводящей системы.
Классификация кист холедоха делится на пять типов. Тип I - веретенообразное расширение общего желчного протока. Кисты II типа являются истинным дивертикулярным выпячиванием желчных протоков. Кисты III типа (холедохоцеле) представляют собой расширение дистальной муральной части общего желчного протока, которая выступает в двенадцатиперстную кишку. Кисты IV типа представляют собой мультифокальные желчные расширения внутрипеченочных и внепеченочных протоков. Кисты типа V были классифицированы как болезнь Кароли.
Сонографические находки
Кисты холедоха появляются как истинные кисты в правом подреберье с видимой связью с желчной системой или без нее. Кистозная структура может содержать внутренний осадок, камни или твердые новообразования. Если киста очень большая, то соединение с желчным протоком бывает трудно выявить на сонографии.
Болезнь Кароли на УЗИ
Болезнь Кароли является редкой врожденной аномалией, которая, скорее всего, наследуется аутосомно-рецессивным способом. Это состояние представляет собой сообщающуюся кавернозную эктазию внутрипеченочных протоков, характеризующуюся врожденной сегментарной мешковидной кистозной дилатацией крупных внутрипеченочных желчных протоков. На УЗИ обычно встречается у молодых взрослых или у детей и может быть связано с почечной болезнью или врожденным фиброзом печени. Симптомы включают повторяющиеся судорожные боли в верхней части живота, вторичные по отношению к застою желчных протоков, камням в протоках, холангиту и фиброзу печени. Кистозная болезнь почек (медуллярная губчатая почка) тесно связана с болезнью Кароли. Почечная недостаточность может быть доминирующим признаком. Существует два типа болезни Кароли: простая классическая форма и более распространенная форма, связанная с перипортальным фиброзом печени.
Сонографические находки
При уотразвуковом исследовании множественные кистозные структуры в области протоковой системы сходятся к воротам печени. Эти образования можно рассматривать как локализованные или диффузно рассеянные кисты, которые сообщаются с желчными протоками. Дифференциальная диагностика будет включать кистозное заболевание печени или обструкцию желчевыводящих путей. В дополнение к патологии в воротах печени, протоки могут выглядеть симптомом «вышивка бисером» возникающим по мере того, как они удлиняют в периферию печени. На УЗИ могут присутствовать эктазии внепеченочных и общих желчных протоков. Кроме того, осадок или камни могут находиться в расширенных каналах. Могут возникать вторичные признаки портальной гипертензии. Классическим для заболевания Кароли является знак «центральная точка» и вызван растянутым протоком окрущего смежную печеночную артерию и портальную вену.
Расширенные желчные протоки на ультрсонографии
Небольшой размер периферических внутрипеченочных желчных протоков (обычно менее 2 мм) означает, что сонография не может отображать протоки регулярно, пока их размер не расширится до более чем 4 мм. Оценка портальных структур позволит врачу УЗИ искать расширенные протоки, так как они параллельны ходу воротных вен. Общий печеночный проток имеет внутренний диаметр менее 4 мм. Диаметр канала 5 мм является пограничным, и один из 6 мм требует дальнейшего исследования. У пациента может быть печеночный проток нормального размера и дистальная обструкция. Дистальный проток часто затенен газом в дуоденальной петле. Общий желчный проток имеет внутренний диаметр, немного превышающий диаметр печеночного протока. Обычно канал диаметром более 6 мм считается пограничным и более 10 мм расширенным. Расширенный проток отличается от воротной вены своей извитостью, увеличенной за счет передачи и центральной звездчатой конфигурации.
Обструкция желчевыводящих путей на УЗИ
Наиболее распространенной причиной обструкции желчных протоков является наличие опухоли или закупорки в системе протоков. Процесс может быть найден в внепеченочном или внутрипеченочном протоковом пути. Обструкция желчевыводящей системы диагностируется на УЗИ, когда врач обнаруживает наличие расширения протока. Это открытие было названо на сонографии как «слишком много трубок» или знак «дробовик», когда внутрипеченочные протоки расширены. Эти расширенные внутрипеченочные протоки можно рассматривать как параллельные каналы, прилегающие к воротным венам. Нормальные внутрипеченочные протоки должны составлять не более 40% диаметра соседней воротной вены. Кроме того, диаметр периферийных каналов не должен превышать 2 мм. Желчные протоки расширяются центрифугально от точки закупорки. Поэтому внепеченочное расширение происходит перед внутрипеченочным расширением. У пациентов с механической желтухой может наблюдаться изолированное расширение внепеченочного протока. Фиброзная или инфильтративная болезнь печени может предотвратить внутрипеченочную дилатацию из-за несоответствия печеночной паренхимы. Клинически повышение холестатических показателей печени может проявляться желтухой. Болезненная желтуха проявляется острой обструкцией или инфекцией, которая может проникнуть в желчное дерево.
Внепеченочная обструкция желчных путей на УЗИ
Работа врача УЗИ заключается в локализации уровня и причины обструкции. Наименее ограничивающим сегментом желчного протока является средний сегмент между правой печеночной артерией и поджелудочной железой, поэтому этот сегмент сначала расширяется при обструкции. Расширение присутствует, когда диаметр становиться больше, чем 7 мм. Врач должен иметь в виду, что проток действительно увеличивается в размерах с возрастом и после холецистэктомии.
Другая оценка расширения внепеченочного протока заключается в измерении проксимального протока в точке, где он пересекает правую печеночную артерию. Канал более 4 мм является аномальным на этом пересечении. Этот сегмент не может расширяться уже в средней части. Также может наблюдаться частичная или прерывистая непроходимость протока.
Существует три основных области возникновения обструкции: 1) интрапанкреатическая, 2) супрапанкреатическая и 3) портальная (в воротах печени).
Интрапанкреатическая обструкция на УЗИ
Существуют три важных состояния, которые вызывают большую часть обструкции желчевыводящих путей на уровне дистального протока и вызывают полное расширение внепеченочного протока: 1) рак поджелудочной железы, 2) холедохолитиаз и 3) хронический панкреатит со стриктурным образованием.
Супрапанкреатическая обструкция на УЗИ
Эта непроходимость возникает между поджелудочной железой и воротами печени. Наиболее распространенной причиной этой обструкции является злокачественная опухоль или аденопатия на этом уровне.
Печеночная непроходимость в области ворот печени
Эта область обструкции обычно обусловлена новообразованием. У пациентов с обструкцией на уровне ворот печени УЗИ покажет внутрипеченочное расширение протока и нормальный общий проток. Водянка желчного пузыря также может присутствовать.
Синдром Мириззи является редкой причиной внепеченочной обструкции желчных путей в результате воздействия камня в пузырном протоке или шейке желчного пузыря, что создает внешнюю механическую компрессию общего печеночного протока. Больной страдает болезненной желтухой. Этот камень может проникать в общий печеночный проток или кишечник, что приводит к образованию холецистобилиарного или холецистентериального свища. В этом случае пузырный проток входит необычно низко в общий печеночный проток, и, таким образом, два протока имеют параллельное выравнивание, что позволяет развивать этот синдром. Используя УЗИ, внутрипеченочная дуктальная дилатация может быть увидена с общим протоком нормального размера и большим камнем в шейке желчного пузыря или в пузырном протоке.
Сонографические находки
Минимальная дилатация может наблюдаться у пациентов с желчными камнями или панкреатитом или у пациентов с желтухой с камнем или опухолью общего протока. Однако диаметр более 11 мм предполагает обструкцию камнем или опухолью протока или поджелудочной железы или другого источника.
Расширенные протоки также могут быть найдены при отсутствии желтухи. У пациента может быть обструкция желчевыводящих путей, включающая один печеночный проток. Ранняя обструкция, вторичная по отношению к карциноме, или камню в желчном пузыре, вызывающие прерывистую обструкцию в результате действия типа шарового клапана.
Желчный пузырь
Утолщение стенки желчного пузыря является диагностическим признаком, который встречается максимально часто при диагностике болезней желчного пузыря. Исторически так сложилось, что при утолщении стенки желчного пузыря врачи в первую очередь врачи думают о первичном заболевания желчного пузыря, а именно остром холецистите. В данной статье хотелось бы разобрать, какие патологические состояния приводят к утолщению стенки желчного пузыря так, как помимо воспалительных заболеваний желчного пузыря существует другие патологии, приводящие к тому же патоморфологическому признаку, как утолщение стенки желчного пузыря.

Схематичная патология. На данном рисунке продемонстрирован растянутый и гиперемичный желчный пузырь. Данные изменения встречаются при калькулезном холецистите, обусловленные обструкцией камнем желчного протока или шейки желчного пузыря.
УЗИ признаки калькулезного холецистита.
При помощи УЗИ, МРТ и КТ всегда возможно различить нормальную стенку желчного пузыря от утолщенной. Традиционно, УЗИ используется в качестве первого метода исследования при заболеваниях желчного пузыря так, как данный метод обладает высокой чувствительностью и специфичностью при обнаружении камней желчного пузыря. Также к достоинствам УЗИ относится:
- возможность оценки в реальном времени.
- дешевый метод.
- быстрый в выполнении.
- нет лучевой нагрузки.
Однако, компьютерная томография стала популярным методом при диагностике пациентов с симптомами острого живота. При остром животе КТ является первым методом исследования желчного пузыря во многих хирургических клиниках. Также КТ используют, как дополнительный метод исследования, если на УЗИ не выявили патологию или возникли какие-либо сомнения.
У МРТ также высокая диагностическая ценность при визуализации патологии желчного пузыря, но в связи с дороговизной метода и долгим временем выполнения диагностики, используют редко.
В норме стенки желчного пузыря на УЗИ визуализируется следующим образом:
- слизистой слой — гиперэхогенный.
- мышечный слой — гипоэхогенный.
- наружный или серозный слой — гиперэхогенный.
Толщина стенки желчного пузыря зависит от того насколько растянут желчный пузырь. Также толщина желчного пузыря увеличивается при следующих патологиях:
- холецистит.
- цирроз печени.
- асцит.
- острый вирусный гепатит.
- гипопротеинемия.
- злокачественное новообразование.
- правожелудочковая недостаточность.

Сверху: УЗИ желчного пузыря стенка норма в виде «карандаша». Справа УЗИ картина псевдо-утолщения стенки желчного пузыря.
На КТ желчный пузырь в норме визуализируется, как образование с плотностью присущей мягким тканям. Указано стрелкой.
Утолщение стенки желчного пузыря — это частая диагностическая находка. Утолщением является размер стенки более 3 мм. При УЗИ утолщенная стенка имеет слоистый внешний вид, а на КТ выявляется гиподенсный слой, что соответствует субсерозному отеку.

Слева — УЗИ — желчного пузыря у 59 летней женщины с острым холециститом. Субсерозный отек так, как гипоэхогенное утолщение между гиперэхогенными слоями (мышечным и слизистым). Справа — КТ брюшной полости с контрастным усилением. Также визуализируется субсерозный отек так, как наружный слой гиподенсный.

Острый холецистит стоит на четвертом месте среди заболеваний брюшной полости, требующих немедленной госпитализации. Если на УЗИ у пациентов, поступивших с острым животом, визуализируется утолщение стенки желчного пузыря, то первое о чем думают радиологи — это острый холецистит. Для постановки диагноза холецистита должны присутствовать также следующие признаки, как на УЗИ, так и на КТ:
- Дилатация желчного пузыря.
- Камни.
- Положительный симптом Мерфи при надавливании ультразвуковым датчиком в область желчного пузыря.
- Гиперемия стенки желчного пузыря в режиме Допплер.
- Воспалительный процесс в жировой клетчатке, окружающая желчный пузырь.

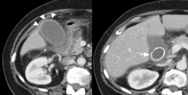
Острый калькулезный холецистит. После контрастного усиления визуализируется растянутый желчный пузырь (белые наконечники) со слегка утолщенной стенкой. Визуализируется камень в шейки желчного пузыря (белая стрелка).

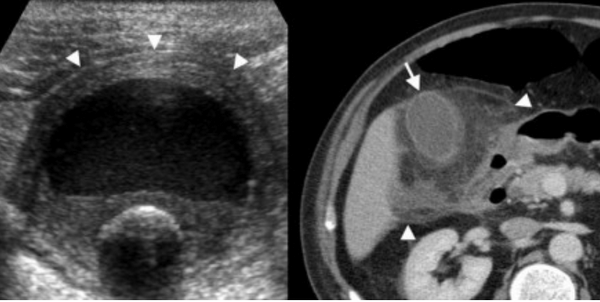
Сверху изображения пациента 62 лет с калькулезным холециститом. На УЗИ визуализируется стенки желчного пузыря растянутые, с субсерозным отеком (указано белыми стрелками) и в просвете желчного пузыря камень и взвесь. На КТ визуализируется переход воспалительного процесса с желчного пузыря на соседние ткани (перихолецистит).
УЗИ некалькулезный холецистит.
Острый бескаменный холецистит возникает у пациентов во время поста, а также у пациентов, которые принимают лекарства, вызывающие холестаз. К признакам некалькулезного холецистита относятся все признаки острого калькулезного холецистита кроме наличия камней в просвете желчного пузыря, но при этом взвесь обычно присутствует.

74 — летнему мужчине выполнено УЗИ желчного пузыря. Диагноз: острый некалькулезный холецистит. На левой сонограмме стрелкой указано утолщение стенок желчного пузыря. В просвете желчного пузыря взвесь. На правой сонограмме у того же пациента при исследовании в доплеровском режиме выявлен еще один признак воспаления — гиперемия.
УЗИ хронических холецистит
Термин хронического холецистита используют для обозначения вялотекущего воспалительного процесса с фиброзированием стенки желчного пузыря и образованием в просвете камней.

Представлен больной с хроническими болями в правом подреберье, который ежедневно воздерживался от еды с вечера. Утолщение слабо выраженное и не является физиологическим. Также визуализируются обструкция и камень. После УЗИ данному больному был поставлен диагноз — хронический холецистит.
Ксантогранулематозный холецистит.
Ксантогранулематозный холецистит — это воспалительное заболевание, характеризующаяся тем, что в стенке желчного пузыря образуются ксантомы и гранулемы. При исследовании выявляют утолщение стенки желчного пузыря, уменьшение органа в размере, а также интрамуральные узелки, которые визуализируются, как гипоэхогенные включения на УЗИ и гиподенсные на компьютерной томограмме. Данные включения схожи с включениями при карциноме желчного пузыря.

УЗИ и КТ желчного пузыря. Ксантогранулематозный холецистит. Слева на УЗИ визуализируется (помечено стрелками) утолщение стенки желчного пузыря с интрамуральным включением и с камнем в просвете органа. Справа на КТ выявляется утолщение стенки с гиподенсными включениями.

Выше представлено КТ пациента 71 года с ксантогранулематозным холециститом. Постконтрастное КТ. Визуализируется утолщение стенки желчного пузыря с включениями, которые соответствуют абсцессу или фокусам воспаления.
КТ желчного пузыря/Рак желчного пузыря
Наиболее часто встречаемый рак желчного пузыря является карцинома. Карцинома желчного пузыря занимает пятое место по частоте встречаемости среди раков желудочно-кишечного тракта. Чаще его обнаруживают случайно (в 2% случаях) при гистологической проверке после холецистэктомии. Карцинома желчного пузыря выявляется на последних стадиях заболевания так, как себя не проявляет клинически на ранних. Специфических признаков при карциноме желчного пузыря также нет. Рак может поражать желчный пузырь диффузно, целиком стенку или пристеночно. Карцинома желчного пузыря имеет схожую картину с ксантогрануломатозным холециститом, но при постановке диагноза радиологу помогают такие находки:
- Прорастание в соседние органы.
- Вторичная дилатация желчных протоков.
- Метастазирование в печень или лимфатические узлы.

УЗИ (слева) и КТ (справа) желчного пузыря. На УЗИ ярко выраженное утолщение стенки желчного пузыря (указаны белыми стрелками). Множественные камни в просвете желчного пузыря (указано стрелкой). Компьютерная томография с контрастным усилением. На КТ визуализируются утолщение стенки с внутристеночными гиподенсными включениями. На КТ также выявлено, что процесс распространился на печень (указано стрелкой).
Закупорка желчных протоков
Закупорка желчных протоков - механическое препятствие на пути продвижения желчи из печени и желчного пузыря в двенадцатиперстную кишку. Развивается на фоне желчнокаменной болезни, опухолевых и воспалительных заболеваний желчевыводящих путей, стриктур и рубцов общего желчного протока. Симптомами патологии являются боли в правом подреберье, желтуха, ахоличный кал и темная моча, значительное повышение уровня билирубина в крови. Диагноз ставится на основании исследований биохимических проб крови, РХПГ, УЗИ, МРТ и КТ органов брюшной полости. Лечение обычно хирургическое - возможно проведение эндоскопического, лапароскопического либо расширенного оперативного вмешательства.
Общие сведения
Закупорка желчных протоков - опасное осложнение различных заболеваний пищеварительной системы, которое приводит к развитию механической желтухи. Наиболее частой причиной закупорки желчных протоков является желчнокаменная болезнь, поражающая до 20% людей. По наблюдениям специалистов в сфере гастроэнтерологии и абдоминальной хирургии, женщины страдают ЖКБ в три раза чаще, чем мужчины.
Затруднение оттока желчи из печени и желчного пузыря сопровождается постепенным развитием клинической картины подпеченочной (механической) желтухи. Острая закупорка желчных путей может развиться сразу после приступа желчной колики, однако этому практически всегда предшествуют симптомы воспаления желчных путей. Несвоевременное оказание помощи пациенту с закупоркой желчных протоков может привести к развитию печеночной недостаточности и даже смерти больного.
Причины
Вызвать обструкцию желчных путей может как их закупорка изнутри, так и сдавление извне. Механическое препятствие оттоку желчи может быть полным или частичным, от степени обструкции зависит яркость клинических проявлений. Существует ряд заболеваний, которые могут способствовать нарушению прохождения желчи из печени в двенадцатиперстную кишку. Закупорка протоков возможна при наличии у пациента: конкрементов и кист желчных путей; холангита или холецистита; рубцов и стриктур протоков.
Патологическое состояние может возникать на фоне опухолей поджелудочной железы, гепатобилиарной системы; панкреатита, гепатита и цирроза печени; увеличения лимфатических узлов ворот печени; паразитарных инвазий; травм и оперативных вмешательств на желчных путях. Факторами риска являются ожирение или, наоборот, быстрая потеря веса; травмы правой половины брюшной полости; недавние оперативные вмешательства на желчных путях; инфекции гепатобилиарной системы и поджелудочной железы на фоне значительного ослабления иммунитета.
Патогенез
Патогенез закупорки желчных протоков многокомпонентный, началом обычно служит воспалительный процесс в желчных путях. Воспаление приводит к утолщению слизистой, сужению просвета протоков. Если в этот момент в протоки попадает конкремент, он не может самостоятельно покинуть холедох и вызывает полное или частичное перекрытие его просвета. Желчь начинает скапливаться в желчных путях, вызывая их расширение. Из печени желчь может сначала попадать в желчный пузырь, значительно растягивая его и вызывая обострение симптомов холецистита.
Если в желчном пузыре есть конкременты, они могут попадать в пузырный проток и перекрывать его просвет. При отсутствии оттока желчи по пузырному протоку может развиться эмпиема или водянка желчного пузыря. Неблагоприятным прогностическим признаком при закупорке желчных путей является секреция слизистой холедоха беловатой слизи (белой желчи) - это говорит о начале необратимых изменений в желчных протоках. Задержка желчи во внутрипеченочных протоках приводит к деструкции гепатоцитов, попаданию желчных кислот и билирубина в кровоток.
В кровь попадает активный прямой билирубин, не связанный с белками крови, из-за чего он вызывает значительное повреждение клеток и тканей организма. Желчные кислоты, содержащиеся в желчи, облегчают всасывание и обмен жиров в организме. Если желчь не попадает в кишечник, нарушается всасывание жирорастворимых витаминов А, D, Е, К. Из-за этого у пациента развивается гипопротромбинемия, нарушение свертываемости крови, другие симптомы гиповитаминоза. Дальнейший застой желчи во внутрипеченочных путях приводит к значительному повреждению паренхимы печени, развитию печеночной недостаточности.
Симптомы
Симптомы закупорки желчных протоков обычно появляются постепенно, острое начало встречается достаточно редко. Обычно развитию клиники желчной обструкции предшествует инфекция желчевыводящих путей. Пациент предъявляет жалобы на повышение температуры, потерю веса, схваткообразные боли в правом подреберье. Кожа приобретает желтушный оттенок, больного беспокоит зуд кожных покровов. Отсутствие желчных кислот в кишечнике приводит к обесцвечиванию кала, а повышенное выведение прямого билирубина почками - к появлению мочи темного цвета. При частичной закупорке возможно чередование обесцвеченных порций кала с окрашенными.
Осложнения
На фоне деструкции гепатоцитов нарушаются все функции печени, развивается острая печеночная недостаточность. В первую очередь страдает дезинтоксикационная деятельность печени, что проявляется слабостью, повышенной утомляемостью, постепенным нарушением функционирования других органов и систем (легких, сердца, почек, головного мозга). Если пациенту не будет оказана помощь до наступления этого этапа заболевания, прогноз крайне неблагоприятный. При отсутствии своевременного хирургического лечения патологии у больного может развиться сепсис, билирубиновая энцефалопатия, цирроз печени.
Диагностика
Начальные проявления закупорки желчных протоков напоминают симптомы холецистита или желчной колики, с которыми пациент может быть госпитализирован в отделение гастроэнтерологии. Предварительная диагностика осуществляется с помощью такого простого и безопасного метода, как ультрасонография поджелудочной железы и желчных путей. Если будут обнаружены конкременты желчных путей, расширение холедоха и внутрипеченочных желчных протоков, для уточнения диагноза может потребоваться проведение МР-панкреатохолангиографии, КТ желчевыводящих путей.
Для уточнения причины механической желтухи, расположения конкремента, степени закупорки желчных путей проводится чрескожная чреспеченочная холангиография, динамическая сцинтиграфия гепатобилиарной системы. Они позволяют обнаружить нарушение динамики желчи, ее оттока из печени и желчного пузыря. Наиболее информативным методом диагностики является ретроградная холангиопанкреатография. Данная методика включает в себя одновременное эндоскопическое и рентгенологическое исследование желчевыводящих путей. При обнаружении камней в просвете протока во время проведения этой процедуры может быть произведена экстракция конкрементов из холедоха. При наличии опухоли, сдавливающей желчный проток, берется биопсия.
В биохимических пробах печени отмечается повышение уровня прямого билирубина, щелочной фосфатазы, трансаминаз, амилазы и липазы крови. Протромбиновое время удлиняется. В общем анализе крови может быть выявлен лейкоцитоз со сдвигом лейкоформулы влево, снижение уровня эритроцитов и тромбоцитов. В копрограмме обнаруживается значительное количество жира, желчные кислоты отсутствуют.
Лечение закупорки желчных протоков
Всем пациентам требуется консультация абдоминального хирурга. После проведения всех обследований, выяснения локализации и степени обструкции, определяется тактика оперативного лечения. Если состояние пациента тяжелое, может потребоваться его перевод в отделение интенсивной терапии для проведения антибактериальной, инфузионной и дезинтоксикационной терапии.
До стабилизации состояния больного проведение расширенной операции может быть опасным, поэтому используют неинвазивные методики облегчения оттока желчи. К ним относят экстракцию конкрементов желчных протоков и назобилиарное дренирование при РПХГ (через зонд, введенный выше места сужения желчных протоков), чрезкожную пункцию желчного пузыря, холецистостомию и холедохостомию. Если состояние пациента не улучшается, может потребоваться более сложное вмешательство: чрескожное транспеченочное дренирование желчных протоков.
После того, как состояние больного нормализуется, рекомендуют использование эндоскопических методик лечения. Во время эндоскопии проводят расширение (эндоскопическое бужирование) желчных путей при их рубцовом стенозе и опухолевых стриктурах, введение в желчные пути специальной пластиковой или сетчатой трубки для сохранения их просвета (эндоскопическое стентирование холедоха). При обтурации конкрементом рубцово-суженного сосочка двенадцатиперстной кишки может потребоваться эндоскопическая баллонная дилатация сфинктера Одди.
Если удалить конкременты и другие препятствия для оттока желчи эндоскопическим способом не получается, требуется проведение расширенной операции. Во время такого оперативного вмешательства производится вскрытие холедоха (холедохотомия), поэтому в дальнейшем нужно предотвратить просачивание желчи через швы желчного протока в брюшную полость. Для этого производится наружное дренирование желчных путей по Керу (Т-образной трубкой), а после холецистэктомии - наружное дренирование желчных протоков по Холстеду (поливинилхлоридным катетером, введенным в культю пузырного протока).
Прогноз и профилактика
Прогноз при своевременном оказании медицинской помощи благоприятный. Значительно ухудшает течение заболевания и результаты лечения раковая обструкция холедоха. Профилактика заключается в лечении хронических воспалительных заболеваний гепатобилиарной системы, желчнокаменной болезни. Рекомендовано соблюдение здорового образа жизни, правильное питание с исключением жирной, жареной и экстрактивной пищи.
Перегиб желчного пузыря
Перегиб желчного пузыря — это один из вариантов аномалии строения, который характеризуется деформацией органа. В большинстве случаев состояние протекает без клинических симптомов и обнаруживается случайно при инструментальных исследованиях. Выраженный перегиб проявляется болями и тяжестью в правом подреберье, тошнотой и горечью во рту, неустойчивым стулом. Для диагностики применяют инструментальные визуализирующие методы — сонографию желчного пузыря, эндоскопическую РХПГ. Перегиб с бессимптомным течением не нуждаются в лечении. При ухудшении состояния назначают холекинетики, ферментные препараты, спазмолитики.
МКБ-10
Перегиб желчного пузыря относится к группе аномалий формы органа. Состояние нельзя причислить к заболеваниям, поскольку обычно деформация желчного пузыря никак себя не проявляет. Перегибы очень распространены: их доля составляет от 50 до 74% всех вариантов нарушений развития билиарной системы. Частота встречаемости аномалии в популяции — около 3-5%. Перегиб может локализоваться в шейке, теле или дне желчного пузыря — соотношение этих анатомических вариантов составляет 4:2:1.
Поскольку перегиб бывает врожденным и приобретенным, аномалия носит полиэтиологический характер. В современной гастроэнтерологии принято считать, что основной причиной являются генетические нарушения, передающиеся по наследству. При изучении семейных случаев установлены типичные изменения мышечного слоя и слизистой оболочки желчного пузыря. Другие этиологические факторы:
- Особенности постнатального развития. После рождения ребенка желчный пузырь начинает расти вместе с другими органами. При этом увеличение самого органа, ложа желчного пузыря, билиарных протоков происходит диспропорционально. Как следствие, пузырь перерастягивается и деформируется, его шейка искривляется под более острым углом.
- Перихолецистит. Длительно существующее воспаление околопузырных тканей сопровождается фиброзными процессами. Образуются соединительнотканные спайки, которые изменяют контуры желчного пузыря, фиксируя его к соседним органам брюшной полости. На этом фоне возникает не только перегиб, но и внутренние перетяжки.
- Изменение физических свойств желчи. Сгущение содержимого желчного пузыря с развитием билиарного сладжа способствует формированию аномалий. Перегиб обусловлен повышенной сократимостью стенки органа. Вероятность его появления значительно возрастает, если у пациента диагностируется желчнокаменная болезнь.
Факторы риска
Фактором риска перегиба желчного пузыря служит наличие дисплазии соединительной ткани с астеническим телосложением, непропорционально длинными ногами и руками, деформацией позвоночника и грудной клетки. Состояние часто ассоциировано с пролапсом митрального клапана как одним из проявлений дисморфогенеза. Не исключена роль инфекционных поражений гепатобилиарной системы в анте- и постнатальном периодах, но достоверных доказательств влияния этого фактора на формирование перегиба не обнаружено.
При врожденной форме перегиб возникает во внутриутробном периоде. В этом случае наблюдаются 3 типичных варианта изменения формы: нефизиологичный изгиб в области тела, дна или шейки. Обычно у людей с врожденной патологией выражены изменения в капиллярной сети органа, из-за чего нарушается его кровоснабжение. Возможны точечные кровоизлияния в подслизистый слой, в стенке пузыря происходят дегенеративные процессы.
Нарушение анатомических взаимоотношений компонентов билиарной системы провоцирует снижение моторной функции органа. Замедляется выделение желчи в ответ на прием пищи, что вызывает хронические проблемы с пищеварением. Более серьезные изменения встречаются при приобретенных перегибах: желчный пузырь имеет причудливую изогнутую форму, резко деформируется при попытке мышечного сокращения.
У большинства людей врожденный перегиб — вариант нормы, при отсутствии провоцирующих факторов он не сопровождается какими-либо неприятными проявлениями. Приобретенные формы чаще имеют клиническую симптоматику, которая усугубляет признаки ведущей патологии гепатобилиарного тракта. Состояние ухудшается при употреблении большого количества животных жиров, стрессах, интеркуррентных заболеваниях.
Типичный признак аномалии желчного пузыря — боли справа в подреберье или эпигастрии. Зачастую боли тупые, ноющие. Болевой синдром при перегибе может иррадиировать в межлопаточную зону, правое плечо. Неприятные ощущения возникают спустя 40-60 минут после еды и длятся до 2-3 часов. Реже болевой синдром представлен сильными спазмами, которые начинаются спустя 15-20 минут по окончании приема пищи и продолжаются недолго.
Из-за нарушений выделения желчи в кишечник появляются диспепсические симптомы. Беспокоит тошнота, отвращение к жирной пище. Периодически открывается рвота. На языке образуется желтоватый налет, характерен неприятный запах изо рта. По утрам в ротовой полости ощущается горький привкус. Стул становится неустойчивым: запоры чередуются с диареей. При обострении состояния кал приобретает сероватый цвет, содержит частицы непереваренной пищи.
Самое распространенное последствие перегибов желчного пузыря — различные формы дискинезии желчевыводящих путей. Моторная дисфункция преимущественно отмечается в детском возрасте и составляет около 60-80% всех гепатобилиарных заболеваний в педиатрии. У взрослых дискинезия ЖВП чаще наблюдается в молодом возрасте, тогда как у больных среднего и пожилого возраста перегиб часто провоцирует начало органических болезней билиарного тракта.
При выраженных перегибах и нарушении нормального оттока желчи повышается ее литогенный потенциал. Изменяется соотношение холестерина и лецитина, что способствует накоплению взвеси и формированию камней. В результате развивается желчнокаменная болезнь. Ишемические процессы в стенке желчного пузыря и задержка желчи повышают вероятность бактериального инфицирования с возникновением холецистита.
Данные, полученные при физикальном осмотре, недостаточно информативны. В период ухудшения состояния определяются положительные пузырные симптомы. Лабораторные методики также не позволяют поставить диагноз, но они важны для подтверждения синдрома мальабсорбции и мальдигестии. Основными в диагностическом поиске являются инструментальные способы визуализации. План обследования включает следующие методы:
- УЗИ желчного пузыря. Наиболее простой и точный способ обнаружения деформации органа. При сонографии врач оценивает степень перегиба и его локализацию, сократимость стенок пузыря. Чтобы подтвердить сопутствующие дискинетические нарушения, проводят УЗИ после «желчегонного завтрака».
- РХПГ. Если на УЗИ не удалось установить наличие перегиба, для детальной визуализации протоков и желчного пузыря выполняется рентгенологическое исследование с контрастным веществом. РХПГ в основном рекомендуют при подозрении на приобретенный перегиб.
- Дуоденальное зондирование. Методика используется для изучения желчевыделительной функции пузыря, получения материала для микроскопического анализа различных порций желчи. Исследование информативно для обнаружения сопутствующей патологии: холецистита, дискинезии ЖВП, холангита.
Лечение перегиба желчного пузыря
Если перегиб желчного пузыря стал случайной находкой при инструментальном обследовании и не сопровождается неприятными симптомами, лечить его не нужно. При появлении симптомов у пациентов с врожденными аномалиями проводится терапия, идентичная лечебной схеме при функциональных расстройствах билиарного тракта. Приобретенный перегиб требует терапии основного заболевания. Врачи-гастроэнтерологи назначают следующие препараты:
- Холеретики и холекинетики. Действие лекарств направлено на повышение объема и улучшение реологических характеристик желчи, стимуляцию ее выделения в 12-перстную кишку. Медикаменты улучшают переваривание жиров, устраняют тяжесть и болевые ощущения в животе после еды.
- Ферменты. Как правило, перегиб сочетается со снижением внешнесекреторной функции поджелудочной железы, требующим лекарственной коррекции. Комплексные препараты содержат все панкреатические энзимы для переваривания белков, жиров и углеводов.
- Седативные средства. Более половины случаев обострения симптоматики связано с психоэмоциональными и нейровегетативными расстройствами. Успокоительные медикаменты помогают восстановить баланс между звеньями вегетативной иннервации, улучшают общее самочувствие.
- Спазмолитики. Препараты показаны, если перегиб провоцирует гипертонические расстройства моторики желчного пузыря, сопровождающиеся интенсивными болями. Спазмолитики расслабляют гладкую мускулатуру и облегчают отток желчи.
Перегиб желчного пузыря не представляет угрозы для здоровья человека, поэтому прогноз расценивается как благоприятный. Внушают опасения серьезные аномалии, которые возникли у больных, длительно страдающих органическими болезнями билиарной системы. Профилактика врожденных форм перегиба не разработана. Для предупреждения приобретенных вариантов необходимо своевременно выявлять и лечить гастроэнтерологические заболевания.
1. Болезни желчного пузыря и желчевыводящих путей: учебное пособие/ Д.И. Трухан, И.А. Викторова, Е.А. Лялюкова. — 2011.
3. Взаимосвязь аномалий желчного пузыря и желчевыводящих путей с клинической картиной холецистита: Автореферат диссертации/ Е.М. Майорова. — 2008.
4. Варианты строения желчного пузыря и желчевыводящих протоков при использовании современных методов инструментального исследования (обзор литературы)/ А.В. Самохина// Журнал Гродненского государственного медицинского университета. — 2011.
Стриктуры жёлчных протоков
Стриктуры жёлчных протоков - сужение и облитерация просвета желчных путей травматического или рубцово-воспалительного генеза. Стриктуры жёлчных протоков приводят к развитию холестаза, появлению болей в подреберье, желтухи, интоксикации, лихорадки. Диагностика стриктур жёлчных протоков основывается на лабораторных показателях, данных УЗИ, РХПГ, сцинтиграфии, чрескожной чреспеченочной холангиографии, МРТ. Лечение стриктур жёлчных протоков проводится путем эндоскопического бужирования или дилатации, стентирования, хирургической коррекции (холедохоеюностомия, гепатикоеюностомия).
Стриктуры жёлчных протоков являются одной из актуальных и сложных проблем в оперативной гастроэнтерологии. Увеличение частоты развития данной патологии в последние годы обусловлено возросшей хирургической активностью при желчнокаменной болезни. Стриктуры жёлчных протоков в большинстве случаев формируются в результате интраоперационного повреждения желчевыводящих путей во время вмешательств на желчном пузыре (открытой холецистэктомии, холецистэктомии из мини-доступа, лапароскопической холецистэктомии).
По месту возникновения различают стриктуры долевых жёлчных протоков, общего желчного и общего печеночного протока. По степени проходимости желчных протоков стриктуры могут быть частичными или полными.
Причины стриктур жёлчных протоков
Выделяют три основные группы причин формирования стриктур жёлчных протоков: травматические, воспалительные и опухолевые. Травматические стриктуры жёлчных протоков, как правило, развиваются в результате интраоперационных повреждений желчных путей при холецистэктомии, эндоскопических манипуляциях, резекции желудка, трансплантации и резекции печени. К этой же группе относят рубцовые сужения билиодигестивных анастомозов, наложенных по поводу непроходимости желчных протоков, абдоминальных травм.
Интраоперационные повреждения жёлчных протоков, как правило, происходят при сложных условиях хирургического вмешательства: тяжелом состоянии пациента, экстренности операции, кровотечении в брюшную полость, присутствии сильного отека и гноя в зоне операционного вмешательства, наличии ожирения и т. д. В этих случаях не исключается ошибочная оценка хирургом анатомического строения желчных протоков, их прошивание или пересечение, повреждение лазером или электрокоагулятором и пр.
В случае полной перевязки или пересечения холедоха стриктура жёлчного протока развивается в ближайшем послеоперационном периоде; при частичной перевязке или ранении - в сроки от 2 до 6 месяце; облитерация билиодигестивного анастомоза обычно формируется в течение 1 года с момента его наложения. К возникновению воспалительных стриктур жёлчных протоков приводят рубцовые изменения стенок протоков при склерозирующем холангите, хроническом панкреатите, низких язвах 12-перстной кишки, паразитарных заболеваниях печени (эхинококкозе, описторхозе), пролежнях от конкрементов, фиксированных в пузырном протоке и т. д.
Опухолевые стриктуры жёлчных протоков встречаются при раке внепеченочных желчных путей, раке желчного пузыря, метастатических поражениях ворот печени и гепатодуоденальной связки. В редких случаях стриктуры жёлчных протоков бывают обусловлены врожденными анатомическими аномалиями желчных путей, проведением лучевой терапии.
Наличие стриктуры вызывает расширение и утолщение стенок желчных протоков, расположенных выше места сужения. Желчь в закупоренных протоках застаивается, становится вязкой, легко инфицируется, что создает условия для образования желчных камней. Длительное нарушение оттока желчи из печени при нераспознанной и неустраненной обструкции способствует развитию вторичного билиарного цирроза печени и портальной гипертензии.
Симптомы стриктур жёлчных протоков
Проявления стриктур зависят от вида и степени повреждения жёлчных протоков. В случае полного пересечения холедоха клинические признаки стриктуры развиваются уже на 3-7 послеоперационные сутки: появляется боль в правых отделах живота, лихорадка, желтуха, истечение желчи, свидетельствующее о формировании наружной желчной фистулы. Отмечаются диспепсические явления - тошнота, рвота, анорексия, метеоризм; в некоторых случаях развивается кишечная непроходимость. При выделении желчи через поврежденный желчный проток в брюшную полость развивается желчный перитонит, возможно формирование подпеченочного абсцесса.
При перевязке или пережатии холедоха возникают явления нарастающей холестатической желтухи и холангита с лихорадкой, ознобами, болями в эпигастрии, обесцвечиванием кала и потемнением мочи, кожным зудом. При частичной стриктуре жёлчного протока признаки холангита и желтухи развиваются в течение нескольких месяцев, имеют более легкое течение, напоминающее ОРВИ.
Стриктуры желчных протоков при несвоевременном устранении обструкции вызывают образование абсцессов брюшной полости, сепсис, билиарный цирроз печени, портальную гипертензию, желудочно-кишечные кровотечения, печеночную недостаточность.
Диагностика стриктур жёлчных протоков
В большинстве случаев на развитие стриктур желчных протоков указывает связь клинических проявлений с оперативным вмешательством. Биохимические пробы печени характеризуются повышением уровня билирубина, трансаминаз, активности щелочной фосфатазы.
Первичным методом визуализации стриктур желчных протоков служит УЗИ, с помощью которого выявляется выраженность и уровень обструкции. Для обнаружения истечения желчи используется сцинтиграфия гепатобилиарной системы. С помощью МРТ желчевыводящих путей возможно определение причин, локализации, степени, протяженности стриктуры, развитие вторичных осложнений.
Высокую информативность при стриктурах желчных протоков имеет проведение чрескожной чреспеченочной холангиографии, релаксационной дуоденографии, ретроградной холангиопанкреатографии, МРТ панкреатохолангиографии. С диагностической и лечебной целью может применяться лапароскопия, позволяющая осмотреть брюшную полость, удалить остатки желчи, установить дренажи.
Лечение стриктур жёлчных протоков
Опасность тяжелых последствий длительной обструкции желчных путей требует обязательного устранения стриктур желчных протоков эндоскопическим или открытым хирургическим способом. В предоперационном периоде для снятия интоксикации проводится инфузионная терапия, противомикробная терапия с учетом данных посева желчи и крови.
К малоинвазивным методам лечения стриктур желчных протоков относятся чрескожная или эндоскопическая баллонная дилатация, эндоскопическое бужирование стриктур, эндоскопическое стентирование холедоха. Ограниченность применения данных методов заключается в возможности их использования только при неполных и непротяженных стриктурах, а также в высокой частоте развития рестеноза желчных протоков.
При невозможности малоинвазивного устранения стриктур желчных протоков прибегают к иссечению стриктуры и проведению реконструктивных операций. В хирургической практике наиболее часто проводятся операции наложения анастомозов между проксимальным концом холедоха и петлей тощей кишки (холедохоеюноанастомоза) или печеночным протоком и тощей кишкой (гепатикоеюноанастомоза). В некоторых случаях для разрешения механической желтухи первым этапом выполняется декомпрессия билиарного тракта путем наружного дренирования желчных протоков, чрескожного транспеченочного дренирования, назобилиарного дренирования при РПХГ, а затем, в холодном периоде, проводятся реконструктивно-восстановительные вмешательства.
Если устранение стриктуры желчного протока не приводит к уменьшению портальной гипертензии, дополнительно требуется проведение портокавального шунтирования.
Прогноз и профилактика стриктур жёлчных протоков
Своевременное устранение обструкции желчных путей позволяет избежать развития осложнений. Тем не менее, все пациенты со стриктурами желчных путей в анамнезе, требуют наблюдения гастроэнтеролога и гепатолога для исключения повторного развития стеноза.
Профилактика ятрогенных стриктур желчных протоков заключается в квалифицированном и технически грамотном проведении операций на ЖКТ. Предупреждению воспалительных стриктур жёлчных протоков способствует своевременная терапия холангита, панкреатита, гепатита, холедохолитиаза и др. заболеваний.
Читайте также:
- Методы пластики дефекта кончика пальца и их результаты
- Редкие тонкие волосы
- Характеристики питательных сред для культивирования бактерий. Консервирующие среды для бактерий. Среды обогащения для бактерий. Элективные и селективные питательные среды для выращивания бактерий.
- Причины неправильного прикуса, лечение и диагностика
- Регистрация сократительной деятельности матки. Наружная гистерография. Многоканальная наружная гистерография. Формула Хасина.
