Вальгусная деформация стопы: причины, симптомы и лечение
Добавил пользователь Владимир З. Обновлено: 22.11.2025
Вальгусная деформация стопы - это патология, сопровождающаяся уплощением стоп и их «заваливанием» кнутри. В области голеностопных суставов и стоп образуется вальгусное (Х-образное) искривление, пятка опирается на поверхность своим внутренним краем. В положении стоя при сведенных вместе выпрямленных ногах пятки располагаются на расстоянии 4 и более сантиметров друг от друга. Диагноз выставляется на основании осмотра, плантографии, рентгенографии и подометрии. Лечение на начальных стадиях консервативное, включает в себя физиотерапию и ношение ортопедической обуви. При выраженном искривлении выполняется хирургическая коррекция.
МКБ-10

Общие сведения
Вальгусная деформация стопы - искривление оси стопы, при котором средний отдел стопы опускается, пятка разворачивается кнаружи, ее внутренний край также опускается. При положении больного стоя со сведенными ногами видна Х-образная деформация в области голеностопных суставов и задних отделов стопы - при соприкасающихся внутренних лодыжках пятки расположены на значительном расстоянии друг от друга. Патология обычно возникает в раннем детском возрасте. У взрослых может развиваться вследствие усугубления плоскостопия, а также под воздействием различных травматических и нетравматических факторов.

Причины
Основной причиной формирования вальгусной деформации стопы, как правило, становится врожденная дисплазия соединительной ткани. В числе факторов риска - травмы (переломы костей стопы, разрывы и надрывы связок), остеопороз, эндокринные заболевания (диабет, болезни щитовидной железы) и избыточная нагрузка на стопы из-за лишнего веса. Вальгусные стопы также могут являться одним из проявлений нарушенной осанки.
В отдельных случаях (при врожденных аномалиях) деформация стопы выявляется сразу после рождения, но чаще возникает, когда ребенок начинает ходить и усугубляется из-за ношения неправильной обуви, недостаточной физической активности или неграмотно подобранных физических нагрузок. Развитие вальгусных стоп в старшем возрасте, как правило, происходит в период беременности или резкого набора веса на фоне уже существующего плоскостопия. При параличах и скелетной травме стопы вальгусная деформация может формироваться без ранее существовавшего плоскостопия.
Патанатомия
Эволюционно обусловленная форма стопы обеспечивает ее максимальную эффективность при опоре и движениях. Кости предплюсны, плюсны и пальцев удерживаются прочными связками, а вся «конструкция» в целом представляет собой подвижное, устойчивое к нагрузкам образование, обеспечивающее амортизацию при ходьбе и беге. Амортизация становится возможной, благодаря выпуклым сводам стопы: продольному и поперечному. Из-за наличия этих сводов вся основная нагрузка при опоре в норме распределяется между тремя точками: пятой плюсневой костью, пяточной костью и головкой первой плюсневой кости.
Врожденное или приобретенное нарушение формы, размера или функциональных способностей отдельных элементов (костей, мышц, связок) оказывает влияние все на остальные отделы стопы. Соотношение между анатомическими образованиями нарушается, происходит перераспределение нагрузки. В ряде случаев свод стопы уплощается, что ведет к дальнейшему усугублению патологических изменений. По мере прогрессирования плоскостопия кости плюсны, предплюсны и голени все больше смещаются по отношению друг к другу, формируется вальгусная деформация стопы.
Классификация
В зависимости от причины развития специалисты в области ортопедии и травматологии выделяют следующие виды вальгусных стоп:
- Статическая. Является одним из проявлений нарушений осанки.
- Структурная. Возникает при врожденной патологии - вертикальном расположении таранной кости.
- Компенсаторная. Формируется при укороченном ахилловом сухожилии, «скручивании» большеберцовой кости кнутри и косом расположении голеностопного сустава.
- Паралитическая. Является последствием перенесенного энцефалита или полиомиелита.
- Спастическая. Возникает при малоберцово-экстензорных мышечных спазмах.
- Гиперкоррекционная. Формируется при неправильном лечении косолапости.
- Рахитическая. Наблюдается при рахите.
- Травматическая. Развивается после переломов костей стопы, надрывов и разрывов связок. При перераспределении нагрузки и нарушении оси конечности может компенсаторно возникать после тяжелых травм вышележащих отделов (переломов голени, переломов бедра и повреждений коленного сустава).
С учетом тяжести выделяют три степени вальгусных стоп:
Симптомы вальгусной стопы
Пациента беспокоят боли после ходьбы или статической нагрузки, особенно выраженные при использовании неправильной обуви. Возможны также напряжение, боли в мышцах голени и нарушения походки. В тяжелых случаях болевой синдром становится практически постоянным. При внешнем осмотре выявляется ряд типичных изменений: больной опирается на пол не наружным краем стопы, а всей поверхностью, обнаруживается тыльное сгибание переднего отдела по отношению к заднему.
Ниже внутренней лодыжки определяется выпячивание, образовавшееся вследствие смещения головки таранной кости. В отдельных случаях под этим выпячиванием появляется еще одно - выстоящий рог ладьевидной кости. Передний отдел отведен по отношению к заднему. Продольная ось стопы искривлена. Пятка отклонена кнаружи и опирается на пол не срединной частью, а внутренним краем. Наружная лодыжка сглажена, внутренняя выступает.
В положении пациента стоя со сведенными вместе ногами пятки расположены на расстоянии друг от друга. Отвес, опущенный от средней части икроножной мышцы, располагается кнутри от пятки. При пальпации выявляются болезненные точки по внутреннему краю подошвенного апоневроза, под ладьевидной костью и чуть выше верхушки наружной лодыжки. Нередко также отмечается диффузная болезненность мышц голени, особенно выраженная по задней поверхности голени над пяткой (в нижней части икроножной мышцы), по внутренней поверхности голени и в области переднего гребня большеберцовой кости. Боли в мышцах обусловлены повышенной нагрузкой и постоянным напряжением из-за нарушения нормальной функции стопы.
Обычно патология возникает в детском возрасте. При отсутствии лечения или недостаточном лечении деформация сохраняется в течение всей жизни, однако, до возникновения функциональных нарушений больные не обращаются к врачам. Рецидив может развиться в любом возрасте. У подростков и молодых людей, наряду с появлением болей, возможно усугубление вальгусной деформации.
У пациентов зрелого и пожилого возраста морфологические изменения, как правило, не усугубляются, отмечается преобладание функциональных расстройств. Болевой синдром при вальгусной деформации стопы во взрослом возрасте чаще появляется на фоне повышенных нагрузок и изменения общего состояния организма: на последних месяцах беременности, при быстром наборе веса, в климактерическом периоде, а также после длительной гиподинамии, обусловленной изменениями условий жизни или приковывающими к постели тяжелыми заболеваниями.
Диагностика
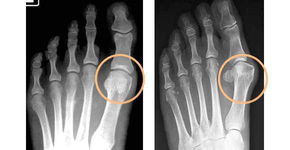
Диагноз вальгусная деформация стопы выставляется на основании внешних признаков и данных инструментальных исследований. При внешнем осмотре врач обращает внимание на уплощение сводов стопы, выпячивание внутренней и сглаживание наружной лодыжки, а также отклонение пятки кнаружи. Для подтверждения диагноза и определения степени деформации выполняется плантография, рентгенография стоп и подометрия.
На рентгенограммах выявляется уменьшение высоты свода стопы, нарушение взаиморасположения переднего, среднего и заднего отделов стопы, а также отдельных костей в суставах предплюсны. Подометрия используется для оценки распределения нагрузки на стопу. Компьютерная плантография применяется для расчета углов, параметров и индексов, позволяющих определить наличие и тип плоскостопия.
Больных со спастической и паралитической деформацией направляют на консультацию к неврологу или нейрохирургу. При подозрении на болезни эндокринной системы назначают консультацию эндокринолога. При подозрении на остеопороз необходима денситометрия, двойная рентгенографическая абсорбциометрия или фотонная абсорбциометрия. Если причиной остеопороза является климактерический синдром, пациентке показана консультация гинеколога.
Лечение вальгусной деформации стопы
Лечение осуществляется травматологами-ортопедами. При вальгусной деформации стопы у детей эффективна консервативная терапия, включающая в себя ношение ортопедической обуви, массаж, озокерит, парафин, лечебные грязи, магнитотерапию, диадинамотерапию, электрофорез и ЛФК. Хирургические вмешательства требуются редко и, как правило, проводятся при врожденном вертикальном расположении таранной кости или укорочении ахиллова сухожилия.
Кроме того, при вертикальном таране применяется комбинированная методика Доббса: вначале стопу выводят в правильное положение, используя этапные гипсовые повязки, а затем фиксируют таранно-ладьевидный сустав при помощи спицы Киршнера и выполняют полную чрезкожную ахиллотомию. Потом накладывают гипс на 8 недель, в последующем назначают ношение брейсов, а затем - ортопедической обуви.
Возможности консервативного лечения взрослых пациентов ограничены, при выраженной вальгусной стопе требуется оперативное вмешательство. В зависимости от типа и степени плоскостопия могут быть проведены резекция таранно-пяточного сустава, артродез таранно-пяточного сустава, пересадка сухожилия длинной малоберцовой мышцы и другие артропластические операции.
1. Врожденные и приобретенные деформации у детей и подростков/ Кононов М.П., Лапшин Ю.А., Клычкова И.Ю., Дрожжина Л.А.
2. Современные подходы к лечению плоско-вальгусной деформации стоп у детей и подростков/ Кожевников О.В., Косов И.С., Иванов А.В., Болотов А.В.// Кубанский научный медицинский вестник - 2010 - №6
3. Особенности диагностики и лечения статических, паралитических и ятрогенных деформаций суставов стопы/ Ежов М. Ю., Баталов О.А., Ежов Ю.И.// Казанский медицинский журнал - 2012 - Т.93, №5
Вальгусная деформация стопы у детей
Вальгусная деформация стопы у детей - дефект, характеризующийся снижением высоты сводов стопы и Х-образным искривлением ее оси. При вальгусной деформации отмечается разворот пальцев и пятки наружу, опущение среднего отдела стопы, неуклюжесть походки, повышенная утомляемость и боль в ногах. Диагностика вальгусной деформации проводится детским ортопедом на основании внешнего осмотра, рентгенографии стоп в 3-х проекциях, плантографии, подометрии. Лечение проводится с помощью ЛФК, массажа, ношения ортопедической обуви, наложения ортопедических шин; при неэффективности - выполняется хирургическое вмешательство.

Под вальгусной деформацией понимают такую деформацию стопы у детей, при котором при тугом сжатии и выпрямлении коленей, расстояние между внутренними краями лодыжек составляет более 4-5 см. При этом пальцы и пятка отклоняются к внешней стороне, а внутренние своды стоп «заваливаются» внутрь. Такая кривизна ног называется Х-образной, в отличие от варусной (О-образной) деформации стоп. Если вальгусная деформация сопровождается снижением высоты сводов стопы, говорят о плоско-вальгусной деформации стопы. Именно эта форма патологии чаще всего встречается в детской травматологии и ортопедии.

Вальгусная деформация стопы у ребенка может быть врожденной или приобретенной. В первом случае определяющими являются внутриутробные нарушения формы и расположения костей стопы, а деформация стоп диагностируется уже в первые месяцы жизни ребенка. К наиболее тяжелым истинно врожденным деформациям стопы относится «стопа-качалка» или «вертикальный таран».
Приобретенная вальгусная деформация связана с несовершенством сухожильно-связочного аппарата и отклонениями в развитии опорно-двигательной системы ребенка. Такие отклонения обычно выявляются к 10-12 месяцам, при попытках ребенка сделать первые самостоятельные шаги. Вальгусная деформация чаще формируется у ослабленных детей с мышечной гипотонией. Причины последней могут крыться в недоношенности ребенка, внутриутробной гипотрофии, врожденной слабости соединительной ткани, частых заболеваниях детей раннего возраста ОРВИ, бронхитами, пневмониями.
Особая роль в ослаблении связочно-мышечного и костного аппарата стопы принадлежит рахиту. Нарушение статико-динамических взаимоотношений в нижних конечностях вторично развивается у детей на фоне нейромышечных заболеваний: полинейропатии, ДЦП, миодистрофии, полиомиелита. Деформация стопы может быть следствием ожирения и чрезмерных нагрузок на стопу из-за избыточной массы тела.
Иногда деформация стопы развивается после травм связок, мышц, костей голени и стопы и длительного пребывания конечности в гипсе. В более редких случаях вальгусная деформация стопы возникает у детей с дисплазией и врожденным вывихом бедра. Причинами вальгусной деформации у ребенка могут выступать ранняя постановка ребенка на ножки, неправильный подбор обуви (слишком мягкой и плохо фиксирующей стопу).
При слабости мышечного тонуса под тяжестью веса ребенка свод стопы уплощается, большеберцовые мышцы, а также мышцы и связки пальцев стопы ослабляются и растягиваются и не могут удержать стопу в оптимальном положении. При вальгусной деформации происходит смещение голеностопного сустава внутрь, а пятки и пальцев - кнаружи.
Симптомы
В большинстве случаев первые признаки деформации стопы у ребенка родители замечают ближе к 1 году, вскоре после того, как ребенок сделал первые шаги. При этом обращает внимание, что при ходьбе малыш наступает не на всю стопу, а на ее внутренний край.
С течением времени стопа приобретает Х-образную форму, походка становится неуклюжей, неуверенной, шаркающей; дети быстро устают при игре со сверстниками, жалуются на боли в нижних конечностях и позвоночнике. К вечеру стопа ребенка опухает, возможны судороги в икроножных мышцах. При осмотре обуви ребенка заметно ее неравномерное снашивание - обувь стаптывается по внутренней стороне подошвы.
Вальгусная деформация стопы у ребенка может быть заподозрена педиатром, однако окончательно судить о наличии патологии и степени ее выраженности позволяет только осмотр ребенка детским травматологом-ортопедом и специальное обследование. При осмотре ребенка обращает внимание отклонение пальцев и пятки кнаружи, сглаживание сводов и смещение внутренней части стопы - внутрь.
Для окончательного решения вопросов диагностики у ребенка вальгусной деформации стопы проводится рентгенография стоп, компьютерная плантография и подометрия. На рентгенограммах стоп, выполненных в 3-х проекциях, удается увидеть изменение положения стоп относительно друг друга. Компьютерная плантография позволяет рассчитать различные морфологические параметры стопы. С помощью подометрии оценивается распределение нагрузки на разные отделы стопы. Компьютерная подометрия позволяет выявить изменения, когда клинические признаки вальгусной деформации стопы у детей еще не проявились. В ряде случаев с уточняющей целью может потребоваться проведение УЗИ суставов.
Для исключения патологии центральной и периферической нервной системы дети должны быть осмотрены детским неврологом.
Лечение
Целью лечения вальгусной деформации стопы у детей служит восстановление ее нормальной формы и функции, укрепление мышечного и связочного аппарата.
При врожденной вальгусной деформации может понадобиться иммобилизация конечностей с помощью гипсовых повязок. Подбор и моделирование повязки осуществляется детским ортопедом с учетом типа деформации и градуса отклонения от нормы.
На следующем этапе (а в случае приобретенной вальгусной деформации стопы - с самого начала) рекомендуется проведение ножных ванн, курсов массажа (пояснично-крестцовой области, суставов ног, стоп), парафинотерапии, озокеритовых и грязевых аппликаций, электрофореза, диадинамотерапии, магнитотерапии, электростимуляции мышц голени и стопы, ИРТ. Полезны занятия лечебным плаванием и ЛФК.
Дети с вальгусной деформацией стоп нуждаются в подборе индивидуальных функциональных стелек или специальной ортопедической обуви с жесткой боковой фиксацией стопы и пятки, супинатором.
К оперативному лечению прибегают относительно редко (примерно в 7% случаев). Способ коррекции вальгусной деформации стоп определяется индивидуально с учетом особенностей и выраженности патологии. Наибольшее распространение в детской травматологии ортопедии получили методы пересадки сухожилия длинной малоберцовой мышцы на внутренний край стопы с удлинением ахиллова сухожилия; артродез таранно-ладьевидного сустава, наложения аппарата внешней фиксации и др.
Прогноз
Вальгусная деформация стопы у детей может достигать тяжелых степеней, являясь не только выраженным косметическим дефектом, но и вызывая функциональные нарушения конечности, вплоть до инвалидизации в молодом трудоспособном возрасте. В случае невысокой степени деформации и своевременного лечения возможно полное восстановление функции стопы.
Профилактика
Во избежание развития вальгусной деформации стопы у детей следует исключить нагрузку на нижние конечности ребенка до 7-8 месяцев. Необходимо придерживаться рационального режима, включающего закаливание, гимнастику, профилактический массаж, полноценное питание, достаточный сон и прогулки. Важное значение имеет предупреждение рахита, прием витамина D и микроэлементов.
В обязательном порядке следует регулярно посещать педиатра, а также профилактические осмотры, осуществляемые специалистами разного профиля (в т. ч. детским хирургом и ортопедом). Необходимо уделять серьезное внимание правильному подбору обуви для ребенка: она должна быть по размеру (не мала и не велика); изготовлена из качественных натуральных материалов; иметь плотный супинатор, жесткие заднюю и боковую части.
Поперечное плоскостопие - симптомы и лечение
Что такое поперечное плоскостопие? Причины возникновения, диагностику и методы лечения разберем в статье доктора Коршуновой Светланы Михайловны, детского ортопеда со стажем в 4 года.
Над статьей доктора Коршуновой Светланы Михайловны работали литературный редактор Юлия Липовская , научный редактор Евгений Коновалов и шеф-редактор Маргарита Тихонова

Определение болезни. Причины заболевания
Поперечное плоскостопие (transverse flatfoot) — это деформация стопы, при которой её поперечный свод опускается и не может выполнять свои функции: удерживать равновесие тела и обеспечивать плавность и пружинистость походки.

Поперечный свод стопы — это арка, которая состоит из 5 плюсневых костей. Вершиной этой арки является 2-я плюсневая кость. В норме стоя мы опираемся на три точки — пятку и головки 1-й и 5-й плюсневых костей. При плоскостопии головки 2-й и 4-й пальцев опускаются и становятся в один ряд с 1-й и 5-й костями.
Причины поперечного плоскостопия
- Малоподвижный образ жизни.
- Неудобная тяжёлая обувь.
- Ношение обуви дома, в том числе тапочек. .
- Недостаток витаминов и микроэлементов.
- Неврологические нарушения, например паралич подошвенных мышц стопы, последствие полиомиелита.
- Работа, при которой приходится долго стоять. Чаще плоскостопие возникает у продавцов, пекарей, столяров, учителей и др. .
- Травмы стопы: переломы костей стопы, травмы лодыжки, разрыв сухожилий и связок стопы.
Распространённость
Поперечное плоскостопие и вальгусная деформация большого пальца (hallux valgus) — наиболее частые нарушения опорно-двигательного аппарата. Среди всех ортопедических патологий они составляют около 10 % [1] .
По данным Всемирной организации здравоохранения (ВОЗ), у 75 % жителей планеты есть проблемы со стопами. Среди патологий переднего отдела стопы поперечное плоскостопие составляет 63,6 % случаев. У женщин оно встречается чаще: на каждые 20 женщин с поперечным плоскостопием приходится один мужчина. Это связано со слабостью связочного аппарата у женщин [3] [19] .
При обнаружении схожих симптомов проконсультируйтесь у врача. Не занимайтесь самолечением - это опасно для вашего здоровья!
Симптомы поперечного плоскостопия
- болезненность в переднем отделе стопы при длительной ходьбе;
- мозоли под головками плюсневых костей;
- мозоли на мизинце;
- мозоли на фалангах 1-го (большого) пальца; , образование «шишки» на стопе;
- болезненность при пальпации мышц между плюсневыми костями;
- боль в области пятки при ходьбе;
- боль при вставании на носочки;
- трудность в подборе обуви из-за узкого переднего отдела и мозолей в области большого пальца и мизинца.

Симптомы появляются не сразу. Около трёх лет болезнь может себя не проявлять. Затем пациент ощущает тяжесть в стопах, быструю утомляемость мышц голени и стоп [13] . Часто эти симптомы путают с началом варикозной болезни вен.
Позже возникает отёчность стоп и голеностопного сустава, появляются натоптыши на подошве стопы [14] . Также пациенты отмечают, что обувь стала мала, особенно к концу для, появляется боль в области пятки и между плюсневыми костями. С годами состояние прогрессирует.
Патогенез поперечного плоскостопия
Структурно стопа состоит из препдлюсны, плюсны и пальцев. Её форма зависит от состояния мышц, связок и положения костей [5] .

Стопу образуют 28 костей. Они соединены между собой суставами и укреплены связками. Связки придают стопе сложную форму, напоминающую спираль или лопасть пропеллера, и делают её подвижной в трёх плоскостях. Поверх связок лежат мышцы. Только они испытывают нагрузку, когда человек стоит, идёт или бежит. Кроме этого, мышцы стопы и голени формируют свод и поддерживают форму стопы [8] [15] .
Арка поперечного свода стопы поддерживается поперечными связками и четырьмя мышцами, сужающими стопу [6] . Если мышцы в стопе слабые, под весом тела они не могут удержать кости в нужном положении. Тогда кости разводятся в стороны, в итоге передний отдел выглядит распластанным, а головка 2-й плюсневой кости опускается и становится опорной. Межкостные мышцы при этом перерастягиваются и не могут больше сокращаться. Связки начинают испытывать нагрузку, которой в норме быть не должно. Из-за этого возникает боль в области головок плюсневых костей.
Наиболее уязвимы при поперечном плоскостопии фасция подошвы и мышцы, приводящие большой палец. Фасция подошвы (плантарная фасция, или подошвенный апоневроз) — тонкая неэластичная плёнка, которая одним концом прикреплена к пяточному бугру, а другим — к основаниям пальцев стопы [8] . При правильной анатомии стопы на неё не ложится вес и нагрузка. Если передний отдел растягивается, то мышцы не могут удержать кости в нормальном состоянии и на плантарную фасцию ложится большая нагрузка, она перерастягивается и травмируется в области прикрепления. Из-за этого возникает боль по всей поверхности стопы, преимущественно в области пятки.

Мышца, приводящая большой палец стопы, идёт от всех пальцев и прикрепляется к кости под головкой 1-й плюсневой кости (сесамовидной) [9] . Её задача — приводить большой палец к стопе и поддерживать стопу узкой. Эта мышца работает при ходьбе босиком. Чем чаще мы ходим в обуви, тем меньше на неё нагрузка. Без нагрузки она слабеет, растягивается и не может приводить большой палец, поэтому он отклоняется в сторону и стопа становится распластанной.

Классификация и стадии развития поперечного плоскостопия
Классификация плоскостопия:
- поперечное — опускается поперечный свод стопы;
- продольное — опускается продольный свод стопы;
- смешанное — опускается продольный и поперечный своды стопы [12] .

Степени тяжести поперечного плоскостопия:
- Лёгкая степень — передний отдел стопы расширяется. Могут опуститься головки 2-й и 3-й плюсневых костей. Появляется утомляемость и тяжесть в ногах к концу дня.
- Средняя тяжесть — опускаются головки 2-й и 3-й плюсневых костей, увеличивается расстояние между плюсневыми костями. Появляется болезненность при пальпации (прощупывании) межкостных мышц. При длительной ходьбе стопа начинает болеть.
- Тяжёлая степень — деформация переднего отдела стопы, стойкий болезненный синдром при нагрузке и в покое, появляются множественные натоптыши под головками плюсневых костей [10] .
Степень плоскостопия по результатам рентгена:
- I степень — угол между 1-й и 2-й плюсневыми костями составляет 10-12°, а угол отклонения большого пальца 15-20°;
- II степень — углы увеличиваются до 15 и 30°;
- III степень — углы увеличиваются до 20 и 40°;
- IV степень — углы превышают 20 и 40° [17] .
Осложнения поперечного плоскостопия
Без лечения и коррекции могут развиваться:
- ( hallux valgus ). Мышца, приводящая большой палец, атрофируется. Палец выходит из своего сустава. Внешне проявляется как шишка на пальце.
- Молоточкообразная деформация пальцев стопы. Сухожилия сгибателей пальцев натягивается. Пальцы находятся в стойкой деформации: согнуты в суставах фаланг, их невозможно разогнуть. От постоянного соприкосновения с обувью на суставах пальцев образуются множественные мозоли.
![Молоточкообразная деформация пальцев стопы [21]](https://probolezny.ru/media/bolezny/poperechnoe-ploskostopie/molotochkoobraznaya-deformaciya-palcev-stopy-21_s.jpg)
- Боли в крупных суставах ног. При нарушении биомеханики шага и постановки стопы нарушается вся работа ног. Из-за этого часто болят коленные суставы при ходьбе и беге, в тазобедренных суставах могут появиться щелчки.
Ранее считалось, что поперечное плоскостопие может привести к проблемам в позвоночнике (болям, сколиозу и остеохондрозу). Но общенациональное исследование показало, что проблемы стопы не являются фактором развития патологий позвоночника [7] . Вросший ноготь также не связан с плоскостопием.
Диагностика поперечного плоскостопия
Сбор анамнеза и осмотр
Врач собирает историю болезни и осматривает стопы. При осмотре обращает внимание на походку, положение стопы в покое, натоптыши на тыльной поверхности стопы, стирание каблука у обуви, болезненность при пальпации, проводит двигательные тесты: просит пациента встать на носочки, постоять на одной ноге, поднять и отвести большие пальцы стоп.
Также специалист задаёт уточняющие вопросы:
- когда появляется боль в стопе;
- как часто она возникает;
- как долго пациент ходит в течение дня;
- какую обувь выбирает;
- что помогает снизить боль.
По результатам осмотра можно установить диагноз. Если возникли сомнения, нужно провести инструментальные исследования.
Инструментальная диагностика
Рентгенография стоп с нагрузкой. Снимки делают в двух проекциях:
- Прямая — опираясь рукой на стул, пациент встаёт одной стопой на кассету с рентгеновской плёнкой размером 18 × 24 см, вторую ногу держит на весу, затем выполняется прямой снимок [17] .
- Боковая — снимок делается сбоку, при этом нужно захватить 4-5 см голеностопного сустава. Пациент также стоит на одной ноге.
Снимки в двух проекция выполняются поочерёдно для обоих ног. Степень поперечного плоскостопия определяют по углу отклонения 1-й плюсневой кости и большого пальца. На рентгенограммах проводят три прямые линии, соответствующие продольным осям 1-й и 2-й плюсневой кости и основной фаланге большого пальца [2] .
![Рентген стоп в прямой проекции. Определение степени плоскостопия [22]](https://probolezny.ru/media/bolezny/poperechnoe-ploskostopie/rentgen-stop-v-pryamoy-proekcii-opredelenie-stepeni-ploskostopiya-22_s_wzfaB23.jpg)
Раз в 1-2 года лучше сделать повторный снимок, чтобы оценить динамику лечения.
Осмотр на плантоскопе. Плантоскоп — это устройство, с помощью которого можно со стороны увидеть отпечатки ступней пациента в режиме статической нагрузки. Для этого пациент встаёт босиком на плантоскоп. Доктор оценивает величину кожного свода стопы, точки, на которые пациент больше всего опирается, отклонение большого пальца, соприкосновение пальцев стоп с поверхностью.

Лабораторная диагностика
Лабораторные исследования проводятся, чтобы исключить другие патологии, которые могут привести к болям в стопе: подагру, ревматоидный полиартрит, артрозы суставов стопы. Как правило, выполняются общий и биохимический анализы крови: оценивают уровень С-реактивного белка (СРБ), ревматоидного фактора, мочевой кислоты и мочевины.
Лечение поперечного плоскостопия
Лечение поперечного плоскостопия консервативное. Цель лечения — уменьшить боли в стопе, улучшить кровоток в тканях и поддержать свод стопы [16] .
ЛФК при поперечном плоскостопии
Лечебная физкультура выполняется ежедневно по 10-15 минут два раза в день. Так как поперечное плоскостопие связано со слабостью мышц стопы, то при лечебной физкультуре упражнения направлены на тренировку этих мышц.
Базовые упражнения при плоскостопии:
- Попеременно стоять то на внутренней, то на наружной стороне стоп. Сначала сидя, затем стоя, повторять 10 раз.
- Вращать стопами по кругу, поставив их пятками на пол. Сначала сидя, затем стоя, держась за опору. Выполнять 10 раз.

- Встать, поставить ноги на ширину плеч и переносить вес с пяток на носки. Делать это упражнение в трёх вариантах: сначала стопы параллельны друг другу, затем развёрнуты друг к другу носками, затем пятками. Повторять по 10 раз в каждой позиции.
- Ходить по пять шагов на носках, на пятках, на внутренних, затем на внешних сторонах стоп.
- Ходить, перекатываясь с пятки на носок, делать так 40 шагов.
- Катать палку попеременно каждой ногой, сначала сидя, затем стоя, по 1-2 минуте на каждую ногу.
- В течение 5-10 минут прокатывать теннисный мяч каждой стопой от кончиков пальцев к пятке и обратно, сначала сидя, затем стоя. Можно использовать другой мяч, подходящий по размеру [11] .

Эти упражнения подходят и детям, и взрослым. Через боль заниматься нельзя. Противопоказания: отёк стопы, горячий 1-й плюснефаланговый сустав, раны на тыле стопы.
При регулярных занятиях боль в стопах обычно исчезает в течение 9 недель [19] . Но прекращать занятия не нужно, иначе боль может появиться снова.
Индивидуальные ортопедические стельки
Снять боль и напряжение с переднего отдела стопы помогают индивидуальные стельки с метатарзальной подушкой, которая устанавливается на уровне головок 2-й и 3-й плюсневых костей. Эти стельки делает врач. Готовые стельки не подойдут, так как длина пальцев стоп и ширина поперечного свода у каждого человека индивидуальны.
Массаж стоп
Нужно нанести на стопу крем или растительное масло и массировать её [18] . Массаж стоп помогает улучшить кровоток в мышцах, расслабляет межкостные и короткие мышцы стопы, снимает с них напряжение и уменьшает боль [18] .

Выбор обуви
При выборе обуви стоит отдавать предпочтение моделям с широким передним отделом. Подошва обуви должна гнуться под пальцами. Для этого можно встать на носочки при примерке обуви и немного походить. Если есть дискомфорт, лучше поменять обувь.
Дома стоит ходить только босиком. Тапки и шлёпанцы противопоказаны при поперечном плоскостопии. При ходьбе в них поднимаются пальцы и нарушается биомеханика шага. Если нет возможности ходить босиком, лучше выбрать тапки с фиксацией на пятке.
Прогноз. Профилактика
Как правило, после 4-9 недель консервативного лечения боль в стопах и мышцах голени проходит, уменьшается отёк. Если забросить ЛФК, боль может вернуться. ЛФК стоит выполнять ежедневно по 10 минут в день.
Вальгусная деформация стопы - симптомы и лечение
Что такое вальгусная деформация стопы? Причины возникновения, диагностику и методы лечения разберем в статье доктора Саковича Никиты Валерьевича, ортопеда со стажем в 9 лет.
Над статьей доктора Саковича Никиты Валерьевича работали литературный редактор Елена Бережная , научный редактор Сергей Федосов
Вальгусная деформация стопы — комплексное заболевание, которое проявляется поперечным и продольным плоскостопием, искривлением первого пальца, образованием костной «шишки» и нарушением собственного мышечно-связочного баланса. [2] [6] [13]

Заболевание сопровождается уплощением стоп и их «заваливанием» на внутреннюю часть.

Согласно статистическим данным, среди многочисленных ортопедических заболеваний стоп ведущее место занимает поперечно-распластанная деформация ее переднего отдела, сопровождающаяся вальгусным (наружным) отклонением І пальца. Впервые патология была описана более 200 лет назад и по сей день составляет около 80% всех вариантов деформаций стоп. В большей степени данная патология касается женщин — около 98%. [3] [8]
В повседневной жизни люди называют это заболевание по разному — галюкс, халюкс, шишка на пальце, искривление первого пальца и т. д. Как ни назови, а суть не меняется: первый палец отклоняется в сторону второго, и происходит деформация в плюснефаланговом суставе (та самая «шишка»). Помимо эстетической составляющей, заболевание причиняет человеку неприятные ощущения и неудобства при ходьбе.
Выделяют множество причин, приводящих к искривлению стопы, но они редко встречаются изолированно:
- плоскостопие: поперечное, продольное, комбинированное; врожденное и приобретенное;
- остеопороз: низкое содержание кальция в костях, что приводит к потере жесткости и изменению формы. Причиной могут быть гормональные сбои и наследственная предрасположенность; [10]
- лишний вес: у стопы есть предельный потенциал давления, который она может выдержать, не деформируясь. При снижении сопротивляемости или увеличении веса связки и мышцы не выдерживают и перерастягиваются;
- генетическая предрасположенность: гиперэластичность стопы может быть врожденной. [15] При этом мышечно-связочный аппарат слабый, и вероятность развития плоскостопия увеличивается;
- ходьба в неправильной обуви. Нежелательно постоянно носить узкую обувь и на высоких каблуках, так как нагрузка на стопу распределяется неправильно - почти весь вес приходится на передний отдел, а именно на плюснефаланговый сустав первого пальца; [13][17]
- эндокринные нарушения: резкие изменения гормонального фона во время беременности, при климаксе и даже просто ежемесячные его колебания, обусловленные менструальным циклом, могут стать причиной ослабления связок; [9]
- травмы стопы: удар или падение тяжелого предмета на ногу могут быть причиной перелома или ушиба, которые провоцируют начало деформации.
Симптомы вальгусной деформации стопы
На начальных стадиях появляется утомляемость во время ходьбы, «натоптыши» на стопе и «омозолелость» с внутренней стороны первого плюснефалангового сустава. [13] Появляется боль в суставах, большой палец отклоняется в сторону, появляется «шишка» с внутренней стороны. Вместе с первым пальцем деформируются и остальные, становятся молоткообразными.

Боль усиливается, прежняя обувь становится узкой, и подобрать удобные туфли практически невозможно. Мозоль и утолщенные мягкие ткани становятся болезненными и воспаляются. Формируется бурсит, который может стать хроническим.

Задний отдел стопы тоже искривляется, что выглядит, как необычная косолапость. [11] [15] Боль усиливается и начинает появляться в подтаранном и голеностопном суставе. При отсутствии лечения перегружаются колени, тазобедренные суставы и позвоночник. [2] [7] Иногда происходит врастание ногтя первого пальца, что создает дискомфорт при ходьбе.
Вначале больных обычно беспокоит лишь косметический дефект — отклонение первого пальца и костный нарост с внутренней стороны сустава. Это особенно заметно при ношении открытой обуви, посещении пляжа или бассейна. Именно это заставляет многих женщин прийти к травматологу-ортопеду.
Патогенез вальгусной деформации стопы
В результате ослабления мышечно-связочного аппарата стопы и неправильной нагрузки происходит изменение точек опоры и уплощение поперечного и продольного сводов.

Нагрузка и опора переходит на все плюснефаланговые суставы, что приводит к веерообразному расхождению костей переднего отдела стопы. [4] [15] Происходит дисбаланс мышечной силы, которая держит первый палец ровно, в результате он отклоняется, и искривление прогрессирует.

Значимым смещением костей первого пальца кнаружи считается смещение более чем на 10 градусов. Параллельно изменения происходят в капсульно-связочном аппарате — растяжение наружных отделов, смещение сесамовидного гамака. [6] [13]
Еще поперечное распластывание способствует развитию метатарзалгии — болей в области II-IV плюсневых костей из-за избыточной нагрузки, так как в норме в переднем отделе основная опора приходится на головки I и V. [5] [8]
Помимо метатарзалгии формируются молоткообразные второй, третий и даже четвертый пальцы из-за повышенного натяжения сухожилий сгибателей и разгибателей. Это приводит к вывихам и контрактурам в соответствующих суставах. [12]
Деформация (опускание) среднего отдела стопы происходит при ослаблении связочного аппарата Шопарова сустава. [10] Данная патология встречается нечасто и обычно является следствием травм.
Задний отдел также подвергается изменению: он искривляется в области пяточной кости — происходит ее пронация (внутреннее вращение), при увеличении которой диагностируется подвывих в подтаранном суставе.
Классификация и стадии развития вальгусной деформации стопы
В зависимости от отдела деформации стопы — переднего или заднего, выделяют разные стадии заболеваний. Для определения стадии необходима рентгенограмма в двух проекциях и осмотр травматолога-ортопеда.
В деформации первого пальца выделяют три стадии на основании углов отклонения:
При уплощении продольного свода стопа соприкасается с полом всей поверхностью подошвы. [16] Немного увеличивается длина ступни, так как свод исчезает. В этом процессе выделяют три стадии:
- При первой степени человек, как правило, не чувствует дискомфорта или болей. Однако ноги быстрее устают, длительные нагрузки переносятся уже не так легко. Рентгенографически угол свода 130-140 градусов, а высота 25 мм. [2][14]
- Вторая степень диагностируется увеличением угла до 141-155 градусов и опущением свода от 17 до 25 мм. Появляются боли, усиливающиеся при нагрузке. Прежняя обувь становится тесной.
- Третья степень — стопа совсем уплощается, ее угол свода возрастает более 155 градусов, а высота опускается ниже 17 мм. Постоянные боли в мышцах ног, суставах, спине. [7] Развиваются различные осложнения, привычную обувь невозможно носить, а передвигаться на дальние расстояния невозможно.
При уплощении поперечного свода распластывание характеризуется расхождением пальцев и увеличением ширины стопы. [13] Поэтому определение степени тяжести плоскостопия происходит путем измерения угла между 1 и 2 плюсневыми костями:
- первая стадия: расхождение не более 10-12 градусов;
- при второй степени этот угол увеличивается до 15 градусов;
- третья степень характеризуется расхождением до 19 градусов.
Осложнения вальгусной деформации стопы
Наиболее частым осложнением является воспаление синовиальных сумок (бурс). [12] Проявляется гиперемией, отечностью, болями, которые усиливаются при механическом воздействии.
Другим частым осложнением является формирование артроза первого плюснефалангового сустава — разрушение хряща, появление костных экзостозов (разрастаний), уменьшение подвижности и начало болей.

Если обобщить остальные нарушения, то это поражение суставов стопы, и в целом нарушение походки. При запущенных случаях страдают коленные, тазобедренные суставы и позвоночник, что проявляется артрозом и их деформацией. [9] [12]
Распространенным осложнением является «пяточная шпора», которая возникает из-за перерастяжения плантарной фасции. [10] Пациенты страдают при этом резкой болью при ходьбе в области пятки. Иногда возникает ахилобурсит - воспаление в области ахилового сухожилия. Итак, несвоевременное лечение приводит комплекс осложнений, которые требуют дополнительного лечения.
Диагностика вальгусной деформации стопы
Для назначения адекватного лечения и в целях предотвращения прогрессирования болезни необходимо проведение полного обследование пациента, чтобы выявить причины возникновения деформации и определить стадии процесса.
Основные методы диагностики:
- очная консультация ортопеда-травматолога;
- рентгенография стоп в 3-х проекциях — в целях определения стадии заболевания, а также выявления сопутствующих патологий, к которым относятся артроз, подвывих и вывих суставов. Исследование необходимо делать под нагрузкой, так как результат искривления углов может отличаться на 20%. По рентгеновскому снимку проводят все расчеты, необходимые для определения тактики лечения.

- плантография — для определения плоскостопия (отпечатки стоп);
- подоскопия — осмотр подошвенной части стопы в положении стоя;
- при необходимости исключения других заболеваний может быть назначено КТ или МРТ;
- УЗИ необходимо для исследования сосудов при подозрении на нарушение кровообращения.
После обследования необходима дифференциальная диагностика для исключения заболеваний с похожими симптомами (артрит, подагра, деформирующий остеоартроз). Для этого назначаются лабораторные исследования: факторы воспаления, специфические маркеры и общеклинические исследования. [13]
За последние сто лет хирургия стопы не только не утратила своей актуальности, но и делает постоянные шаги вперед, с появлением более совершенных инструментов и фиксаторов. На данный момент разработано более 400 видов операций и их модификаций с целью коррекции деформации различных отделов стопы. [5] [16]
При начальных изменениях можно обойтись малотравматичной операцией — МакБрайда, метод Сильвера, метод Р.Р. Вредена. [13] При этом кость не распиливается, а меняется место прикрепления сухожилия приводящей мышцы большого пальца. Период восстановления минимальный и составляет 2-3 недели.

Если диагностируется II и III степень, то выполняется более травматичная операция — остеотомия (перепиливание кости) с выставлением правильного угла и фиксацией винтами либо спицами. [12] [15] Существует множество методик коррекции первого пальца:
• Дистальные (применяются, если угол между 1 и 2 плюсневыми костями не более 14°): операция Шеде — удаление экзостоза («шишки»), подголовчатая клиновидная остеотомия по J. Reverdin, операция T.R. Allen, операция D.W. Austin (шевронная остеотомия);
• Диафизарные (применяется, если угол между 1 и 2 плюсневыми костями от 15° до 22°): Z-образная остеотомия M. Meyer (scarf), операция K. Ludloff, остеотомия C.L. Mitchell;
• Проксимальные (угол между I и II плюсневыми костями более 22°): двойная остеотомия по Logroscino, клиновидная остеотомия M. Loison, E. Juvara, остеотомия по G.W. Patton и J.E. Zelichowski;
Иногда при наличии деформации основной фаланги первого пальца требуется дополнительная остеотомия O.F. Akin (Моберга). [13]
Выбор делает травматолог-ортопед, учитывая локализацию основных изменений, конгруэнтность первого плюснефалангового сустава (сохранение суставных поверхностей) и тяжесть патологии.

Если первый плюснефаланговый или плюснеклиновидный сустав разрушен деформирующим артрозом либо другой патологией, то выполняется артродез (заклинивание, обездвиживание сустава) либо, в редких случаях, — эндопротезирование. [16]
После операции пациент ходит в течение 4 недель в специальной обуви (Барука), которая нужна для разгрузки переднего отдела стопы. После контрольных рентгеновских снимков врач разрешает ходить, нагружая всю стопу, но ограничивая тяжелые и спортивные нагрузки. Как правило, через 2 месяца пациент возвращается к обычному образу жизни. Фиксирующие винты не удаляются и не приносят никакого дискомфорта.
С целью коррекции «малых» лучей стопы (II-IV плюсневые) применяются методики Weil, субкапитальные шарнирные остеотомии, DMMO. [9] [15] Для коррекции деформации Тейлора (V плюсневая) — методики Willson, Bosh и DMMO.
Для коррекции плосковальгусных деформаций применяются следующие методики:
- транспозиция сухожилий;
- медиализирующая остеотомия пяточной кости; операция Коттона;
- удлинение латеральной колонны;
- артродез сустава Лисфранка;
- артроэрез;
- трехсуставной артродез. [1][6]
Основной задачей современных методик лечения является максимально возможное приближение всех анатомо-функциональных параметров к норме. Игнорирование индивидуальных особенностей стопы, выбор неправильной методики лечения ведут не только к рецидиву деформации, но и к ее усугублению. [18] Отказ от хорошо известных и зарекомендовавших себя операций и массовое увлечение новыми, равно как и слепое использование одних и тех же операций на протяжении десятилетий, без учета индивидуальных особенностей каждой стопы, категорически не приемлемы. [13]
Лечение вальгусной деформации большого пальца стопы почти всегда начинают с подбора удобной обуви, не вызывающей трения или нагрузки. Нестероидные противовоспалительные препараты и физиотерапия могут быть назначены, чтобы уменьшить воспалительный процесс и снять боли. [6] Кроме того, возможны инъекции кортикостероидов. [11]
Используются различные ортопедические изделия (супинаторы, корректоры пальцев стопы, межпальцевые валики). Применение ортопедических приспособлений незначительно помогает на ранних стадиях остановить дальнейшую деформацию. [10] При выраженной деформации применение ортопедических изделий может только несколько уменьшить болевые ощущения.
Ортопедические стельки являются неотъемлемой частью лечения деформации стоп. [17] В большинстве случаев стандартные стельки не эффективны, поэтому лучше использовать индивидуальные, изготовленные именно для вашей стопы. [12] Обязательное условие: если вы носили ортопедические стельки до операции, после их нужно менять на новые, так как исправленная стопа меняет свои характеристики.
При правильно выбранном лечении прогноз положительный. Боли прекращаются, достигается удовлетворительный косметический результат, и ходьба становится комфортной. Важным моментом является соблюдение всех рекомендаций врача, что обеспечит гладкий послеоперационный период и снизит риск рецидива. [13] И, конечно, чем раньше обратиться к травматологу-ортопеду, тем меньше будет объем оперативного вмешательства и короче сроки реабилитации.
Вальгусное отклонение 1 пальца - симптомы и лечение
Что такое вальгусное отклонение 1 пальца? Причины возникновения, диагностику и методы лечения разберем в статье доктора Валеева Марата Мазгаровича, ортопеда со стажем в 38 лет.
Над статьей доктора Валеева Марата Мазгаровича работали литературный редактор Вера Васина , научный редактор Сергей Федосов и шеф-редактор Лада Родчанина
Вальгусное отклонение первого пальца — прогрессирующее дистрофическое заболевание стопы, при котором большой палец отклоняется наружу, а в области его сустава образуется экзостоз или "шишка". Помимо косметического дефекта, деформация приводит к нарушению ходьбы, вызывает боль и часто требует хирургического вмешательства. Пациенты с патологией не могут носить обычную обувь, а на тяжёлых стадиях — и ортопедическую. Это приводит к снижению подвижности и нарушению психологического равновесия больного.

Вальгусное отклонение большого пальца составляет более 70 % от всех ортопедических патологий [13] . Заболеванием в 95 % случаев страдают женщины. Нарушение возникает после 30-40 лет и вызвано гормональными изменениями: яичники вырабатывают меньше половых гормонов — эстрогенов, оказывающих защитное воздействие на соединительную ткань [3] [7] . Соединительная ткань непрерывно обновляется, подвергается перестройке в ответ на нагрузку и повреждение. Структурным компонентом соединительной ткани являются коллагеновые волокна. Основная функция коллагена заключается в том, чтобы придавать соединительной ткани прочность и долговечность. Дефицит эстрогенов ведет к снижению образования коллагена в соединительной ткани. В результате капсульно-связочная система, состоящая из соединительной ткани, теряет прочность.
Другая причина заболевания — наследственная предрасположенность. В большинстве случаев, если нарушение есть у матери, его выявляют и у дочери [4] [10] .
Основным фактором, способствующим развитию деформации стопы, является ношение неудобной обуви — узкой и на каблуке более трёх-четырёх сантиметров [9] . Усугубить патологию может беременность, продольное плоскостопие, травмы стопы и голени.
Симптомы вальгусного отклонения 1 пальца
На начальной стадии заболевание протекает без симптомов. Позже па циенты замечают, что обувь начала давить, натирать и быстрее изнашиваться. Затем в области большого пальца формируется "шишка", которая вызывает дискомфорт при продолжительной ходьбе. Увидеть искривление большого пальца в этот период можно, только если тщательно разглядывать стопу. В дальнейшем угол отклонения увеличивается, что приводит к нарастанию симптомов:
- появляется усталость в ногах, особенно к вечеру;
- узкая обувь и обувь на каблуках вызывают значительный, но проходящий в покое дискомфорт;
- "шишка" в области большого пальца, помимо косметического дефекта, становится источником боли;
- воспаление суставной капсулы (бурсит) приводит к припухлости и покраснению поражённого участка;

- боль, вызванная разрушением хряща суставных поверхностей (деформирующим артрозом), нарастает;
- кожа на подошве стопы утолщается, появляется омозоленность;
- искривляются второй и третий пальцы (молоткообразная деформация).

Пациенты, как правило, обращаются к врачу с жалобами на усталость в ногах, возникающую при длительной нагрузке. Другой распространённый повод для посещения ортопеда — проблемы при выборе обуви. Пациенты жалуются на необходимость частой её замены, а из-за давления "шишки" вынуждены покупать туфли на два-три размера больше [7] .
Патогенез вальгусного отклонения 1 пальца
Ношение неудобной обуви ведёт к неравномерному распределению нагрузки на стопу. Кроме того, давление усиливается из-за разрушения соединительной ткани и слабости капсульно-связочного аппарата. В результате развивается распластанность переднего отдела стопы и поперечное плоскостопие.

Изменение формы стопы запускает механизм развития вальгусной деформации большого пальца.

В патологический процесс вовлекаются мышечные, костные и капсульно-сухожильные образования стопы. В результате мышечного дисбаланса смещаются сесамовидные кости (мелкие кости, которые принимают на себя нагрузку при ходьбе) и первая плюсневая кость с последующим отклонением большого пальца.

Из-за смещения суставных поверхностей происходит перестройка костной ткани с образованием болезненного остеофита [1] [6] .
Классификация и стадии развития вальгусного отклонения 1 пальца
На основе данных рентгенографии выделяют три стадии заболевания. Степень деформации определяют на основании величины углов между первой и второй плюсневыми костями (межплюсневый угол) и отклонением большого пальца стопы.

Осложнения вальгусного отклонения 1 пальца
Постоянное давление на капсулу первого плюснефалангового сустава приводит к воспалению синовиальных сумок (синовиту). Патология проявляется гиперемией кожи, отёчностью, болями в области сустава. Иногда синовит усугубляется образованием синовиального свища (канала, соединяющий полости тела), который приводит к инфицированию сустава.

При вальгусном отклонении может возникать подвывих большого пальца, приводящий к артрозу первого плюснефалангового сустава. При этом разрушается суставной хрящ и появляются костные экзостозы ( образования новой костной ткани) , которые вызывают постоянную боль.
Ухудшение кровоснабжения костной ткани приводит к остеопорозу, уплощению головки плюсневой кости, врастанию ногтя, омозоленности, сколиозу. Со временем анатомические изменения переходят в функциональные нарушения суставов предплюсны, что способствует неустойчивости при ходьбе [10] .

Диагностика вальгусного отклонения 1 пальца
Появление первых симптомов заболевания требует незамедлительного обращения к врачу-ортопеду. Диагностика при вальгусном отклонении большого пальца включает:
1. Уточнение симптомов и сбор анамнеза. Распространённая жалоба пациентов — появление "шишек", иногда болезненных. На поздней стадии заболевания к ним добавляется омозоленность, также причиняющая боль.
2. Клинический осмотр. При внешнем осмотре отчётливо видна распластанность переднего отдела, деформация первого пальца и плюснефалангового сустава. Иногда возникает гиперемия кожи стопы и молоткообразная деформация второго и третьего пальцев. Движения в суставах становятся болезненными, интенсивность боли зависит от степени деформации. При диагностике обязателен осмотр и второй стопы для сравнительного анализа [1] [4] [9] .
3. Рентгенография. Обследование, выполненное в положении стоя и в двух проекциях, позволяет детализировать степень деформации и выбрать дальнейшую тактику лечения. Основное значение при анализе данных рентгенограмм играют следующие показатели:
- угол наклона дистальной суставной поверхности к оси первой плюсневой кости;
- угол, образованный осями первой и второй плюсневых костей;
- угол отклонения первого пальца от оси первой плюсневой кости;
- угол между осями ногтевой и основной фалангами первого пальца.

4. Плантография — снимок отпечатка подошвы стопы, выполненный с помощью сканирования на специальном устройстве (плантографе). Исследование включает получение отпечатков обоих стоп как в норме, так и с нагрузочной пробой, и дальнейший анализ этих снимков.

Лечение вальгусного отклонения 1 пальца
Лечение вальгусного отклонения первого пальца стопы следует начать с подбора удобной обуви , ортопедических стелек и выполнения упражнений для укрепления мышц. Зачастую стандартные ортопедические стельки не помогают остановить деформацию и облегчить боль, поэтому важно использовать стельки, изготовленные индивидуально для пациента.
Для профилактики и лечения заболевания врач может рекомендовать вальгусную шарнирную шину — фиксатор, который удерживает сустав в нормальном положении. Чтобы уменьшить воспаление и облегчить боль назначают нестероидные противовоспалительные препараты (например целекоксиб, кетопрофен) [12] .

Безоперационное лечение может облегчить симптомы, но не исправляет деформацию стопы. Поэтому, если боль сохраняется, показана операция. Поиски действенных способов лечения начались с 19 века и, по данным разных авторов, существует от 200 до 500 различных хирургических техник [13] . Однако проблема актуальна до сих пор: хирургическое воздействие приносит временное облегчение, но не устраняет причину — слабость мышечного аппарата стопы. Все существующие методы операций на стопе можно разделить на два типа: на мягких тканях и на костях. Решение о том, какая хирургическая техника используется, зависит от степени деформации, дегенеративных изменений сустава, а также формы и размера плюсневой кости. Операции на мягких тканях рекомендованы при лёгкой и средней степени поражения. На тяжёлых стадиях деформации возникает необходимость восстановить костные структуры, для этого применяют остеотомию (лат. osteotomia - рассечение кости).
Общепризнанным методом хирургического лечения вальгусного отклонения первого пальца является оригинальная техника Мак-Брайда, созданная в 1928 г. В дальнейшем метод усовершенствовали разные авторы, что позволило снизить травматичность операции и улучшить её результаты. Операция Мак-Брайда заключается в проведении и фиксации сухожилия мышцы, приводящей первый палец, через отверстие в плюсневой кости. Этот метод является частным случаем миотенопластики (пересадки мышц и сухожилий) и относится к операциям, проводимым на мягких тканях. В некоторых случаях операция Мак-Брайда может дополняться остеотомией [3] [5] [13] .
Этапы операции по реконструкции переднего отдела стопы при помощи миотенопластики:
1. Стопы до операции.

2. Выделение сухожилия мышцы, отводящей первый палец.
3. Удаление головки первой плюсневой кости (операция Шаде).
4. Создание канала для проведения сухожилия мышцы, отводящей первый палец.
5. Проведения в канал сухожилия мышцы, отводящей первый палец.
6. Проксимальная клиновидная остеотомия.
7. Остеосинтез (соединение) костных фрагментов первой плюсневой кости.
8. Создание стяжки.

9. Стопы сразу после операции.

Из стационара пациента выписывают, как правило, менее, чем через неделю после операции. Ш вы снимают на 12-14 сутки. После операции пациент в течение месяца использует ортопедическую обувь Барука с подошвой клиновидной формы для разгрузки переднего отдела стопы. Её носят от двух до восьми недель в зависимости от сложности проведённой операции.

В среднем через два месяца пациент может носить обычную обувь и возвращается к привычному образу жизни. Однако д о полугода с момента операции нежелательно носить обувь на каблуках более трёх сантиметров. Для профилактики рецидивов следует носить стельки. Выводы об успешности операции можно делать через три-четыре месяца (в тяжелых случаях — через полгода) на основании контрольных рентгенологических снимков.
Лечения, которое могло бы устранить причину деформации стопы, на данный момент не существует, операция устраняет только последствие разрушения соединительной ткани [11] . Однако своевременная реконструкция на основе миотенопластики на длительный срок стабилизирует состояние больного: улучшает опорную функцию стопы, устраняет боль и эстетический дефект [4] .
Как правило, данное заболевание носит наследственный характер. Если у ближайших родственников выявлена деформация переднего отдела стопы, то профилактика должна включать:
- ношение удобной, не давящей обуви из натуральных материалов, с высотой каблука не более четырёх сантиметров;
- постоянное использование ортопедических стелек;
- регулярное посещение врача-ортопеда для коррекции стелек и определения показаний к операции;
- соблюдение режима труда и отдыха, если работа связана с повышенной нагрузкой на стопы [7] .
Действенным способом профилактики также является регулярная гимнастика для стоп, которая поможет укрепить мышцы и связки. Для упражнений потребуется 5-10 минут ежедневно:
Читайте также:
- Радиационное поражение головного и спинного мозга
- Редкие причины рецидивирующих кратковременных головокружений
- Исследования контрдиффузии. Интерпретация результатов изобарического газообмена
- Техника эндоскопического шейного доступа к краниовертебральному сочленению и шейному отделу позвоночника
- Железистый рак молочной железы: лечение аденокарциномы, классификация рака груди
