Внеочаговый остеосинтез костей таза в отделении неотложной помощи. Задачи
Добавил пользователь Евгений Кузнецов Обновлено: 11.12.2025
Таз представляет собой мощное костное кольцо, служащее основанием для позвоночника. Переломы костей таза встречаются относительно нечасто, составляя у взрослых лишь 3% всех переломов.
Большинство переломов таза возникают вследствие высокоэнергетической травмы, например при автомобильных авариях. Поскольку кости таза располагаются в непосредственной близости от крупных кровеносных сосудов и внутренних органов, переломы этих костей могут сопровождаться массивным внутренним кровотечением и другими повреждениями, требующими неотложного медицинского вмешательства.
В некоторых случаях, например у лиц пожилого возраста с низким качеством костной ткани, для возникновения перелома таза достаточно низкоэнергетической травмы — обычно падения с высоты собственного роста.
Тактика лечения переломов таза варьирует и зависит от тяжести повреждения. Низкоэнергетические повреждения зачастую можно лечить консервативно, тогда как высокоэнергетические обычно требуют хирургического лечения, задачей которого является восстановление анатомии и стабильности тазового кольца, которое позволит пациенту вернуться к полноценной повседневной жизни.
Таз представляет собой костное кольцо, расположенное в нижней части тела и являющееся связующим звеном между позвоночником и нижними конечностями. Таз образован следующими костями:
- крестец (крупная треугольная кость, являющаяся основанием позвоночника);
- копчик;
- 2 безымянные (тазобедренные) кости.
Каждая безымянная кость образована тремя костями — подвздошной, седалищной и лонной. У детей они существуют как три отдельные кости, однако по мере созревания скелета сливаются в единую кость. В месте своего слияния эти три кости образуют вертлужную впадину — чашеобразное углубление, являющееся частью тазобедренного сустава.
Кости таза соединяются с крестцом мощными соединительнотканными пучками, называемыми связками, и вместе они под грудной клеткой образуют чашеобразную полость, вмещающую органы таза.
В полости таза расположены крупные нервные стволы, кровеносные сосуды, часть петель кишечника, мочевой пузырь и органы репродуктивной системы. Таз служит защитой для этих важных анатомических образований. Кроме того, кости таза являются местом прикрепления мышц пояса нижних конечностей, бедра и живота.

Таз служит местом прикрепления мышц и защитой для органов нижнего отдела брюшной полости.
Поскольку таз представляет собой кольцо, перелом в одной его части нередко сопровождается переломом или повреждением связок в другой. Принято выделять несколько типов переломов костей таза. Отношение перелома к тому или иному типу определяется направлением линии перелома и характером травмирующей силы, которая привела к его возникновению.
Наряду с описанием собственно характера перелома повреждения таза принято разделять на «стабильные» и «нестабильные», что определяется сохранением или нарушением структурной целостности тазового кольца.
Стабильные переломы. Данный тип переломов обычно отличается наличием лишь одной линии перелома и сохранением анатомии тазового кольца. Низкоэнергетические переломы — это обычно стабильные повреждения. К стабильным переломам относятся следующие:

На рисунке — перелом крыла подвздошной кости

На рисунке — Перелом верхней и нижней ветвей лонной кости

На рисунке — Изолированный перелом крестца
Нестабильные переломы. Данный тип переломов характеризуется нарушением целостности тазового кольца как минимум в двух точках, при котором анатомия таза, как правило, нарушается (происходит смещение фрагментов). Чаще всего такие переломы возникают вследствие высокоэнергетической травмы. К нестабильным переломам относят следующие:

На рисунке — Повреждение в результате передне-задней компрессии таза

На рисунке — Вертикально-нестабильный перелом. При данном переломе одна половина таза смещается вверх

На рисунке — Перелом в результате боковой компрессии. При данном типе перелома одна половина таза ротируется внутрь.
И стабильные, и нестабильные переломы таза подразделяются на «открытые», при которых имеется повреждение кожных покровов в области перелома, и «закрытые», когда кожа в области перелома не повреждена. Открытые переломы считаются наиболее серьезными, поскольку рана является входными воротами для инфекции. Для профилактики инфекционных осложнений необходимо неотложное начало лечебных мероприятий.
Высокоэнергетическая травма
Перелом костей таза может возникать вследствие высокоэнергетической травмы при:
- дорожно-транспортных происшествиях;
- сдавлении таза вследствие обрушения тех или иных конструкций;
- падении с высоты (например, с лестницы).
В зависимости от направления вектора и величины травмирующей силы повреждения таза могут представлять непосредственную угрозу жизни и требовать неотложного начала лечебных мероприятий.
Низкое качество костной ткани
Переломы костей таза могут развиваться на фоне снижения качества костной ткани. Наиболее часто такие переломы наблюдаются у лиц пожилого возраста, страдающих остеопорозом. Переломы у таких пациентов могут возникать даже при падении с высоты собственного роста или при обычных безобидных действиях, например при вставании из ванны или спуске по лестнице. Такие повреждения обычно стабильны, не сопровождаются нарушением целостности тазового кольца и могут представлять собой лишь повреждение единственной кости.
Другие причины
Гораздо реже встречаются, например, такие переломы, когда происходит отрыв костного фрагмента в месте прикрепления мышцы. Эти переломы называются отрывными и чаще всего встречаются у молодых спортсменов с пока еще незрелой костной системой. Отрывные переломы обычно не приводят к нестабильности таза и не сопровождаются повреждением внутренних органов.
Переломы костей таза всегда сопровождаются болевым синдромом. Боль усиливается при движениях в тазобедренном суставе и при попытках встать и пойти. Нередко во избежание усиления болевого синдрома пациент удерживает ногу в определенном положении — обычно в положении сгибания в тазобедренном суставе. У некоторых пациентов могут иметь место отек и кровоизлияния в области тазобедренного сустава.
Немедленная стабилизация состояния
Пациенты с переломами, являющимися следствием высокоэнергетической травмы, практически всегда попадают или доставляются в травматологические центры или отделения неотложной помощи, где ввиду тяжести полученных повреждений они нуждаются в немедленном оказании медицинской помощи.
Переломам, полученным вследствие высокоэнергетической травмы, могут сопутствовать повреждения головы, груди, брюшной полости и конечностей. Массивная кровопотеря может привести к развитию такого состояния, как травматический шок — жизнеугрожающее нарушение функций организма, сопровождающееся нарушением работы большинства внутренних органов.
Лечение пациентов с высокоэнергетическими переломами костей таза требует мультидисциплинарного подхода с вовлечением значительного числа медицинских специалистов. В некоторых случаях прежде, чем приступить к лечению перелома костей таза и других повреждений, пациент нуждается в восстановлении проходимости дыхательных путей, коррекции дыхательных и гемоциркуляторных нарушений.
Физикальное обследование
При обследовании врач оценит состояние таза, тазобедренных суставов и нижних конечностей. Также он оценит, сохранены ли движения в голеностопных суставах и пальцах стопы и чувствительность подошвенной поверхности стопы.
Также врач, с тем чтобы не пропустить другие повреждения, самым тщательным образом обследует иные части тела. Дополнительные методы исследования
Лучевая диагностика
Рентгенография обеспечивает возможность получения статических изображений плотных анатомических образований, например костей. Все переломы костей таза требуют рентгенологического исследования, нередко с использованием дополнительных проекций, которые позволяют врачу оценить характер смещения фрагментов.

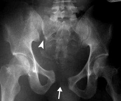
Рентгенограмма нестабильного повреждения таза с разрывом лонного симфиза (стрелка) и крестцово-подвздошного сочленения (треугольная стрелка).
Компьютерная томография (КТ). Ввиду достаточно сложного анатомического строения таза наиболее часто для диагностики и оценки характера переломов этой локализации применяется компьютерная томография. Она обеспечивает врача более детализированными разноплоскостными срезами костей таза и используется для оценки характера перелома, диагностики других, сочетанных, повреждений и предоперационного планирования.
Магнитно-резонансная томография (МРТ). МРТ назначается в редких случаях, когда линия перелома не видна ни на рентгенограммах, ни на КТ.
При выборе тактики лечения мы исходим из следующих факторов:
- характер перелома;
- степень смещения костных фрагментов;
- состояние здоровья пациента в целом.
Консервативное лечение
Консервативное лечение может быть рекомендовано при стабильных переломах без смещения либо с минимальным смещением костных фрагментов.
Консервативное лечение включает:
- Использование вспомогательных средств опоры. Для исключения нагрузки на поврежденную конечность врач может рекомендовать использовать костыли или ходунки на срок до 3 месяцев или до того момента, пока не наступит сращение перелома. Если у пациента имеются повреждения обеих нижних конечностей, для передвижения до тех пор, пока не будет разрешена нагрузка хотя бы на одну конечность, используется инвалидное кресло.
- Медикаментозная терапия. Врач может рекомендовать такие препараты, как обезболивающие и антикоагулянты. Последние назначаются с целью профилактики тромбозов вен нижних конечностей.
Хирургическое лечение
Пациенты с нестабильными переломами костей таза могут нуждаться в одном или более хирургических вмешательств.
Наружная фиксация. Наружная фиксация применяется для стабилизации тазового кольца. Операция заключается во введении через небольшие кожные разрезы и мышцы в кости таза металлических стержней или винтов. Концы этих стержней и винтов остаются над поверхностью кожи по обе стороны таза и фиксируются к карбоновым соединительным балкам. Наружный фиксатор выполняет роль стабилизирующей рамки, удерживающей кости таза в правильном положении.
В некоторых случаях наружный фиксатор применяется для стабилизации вплоть до наступления сращения перелома. У пациентов, которые на данный момент по состоянию здоровья не могут перенести более продолжительное и сложное хирургическое вмешательство, которое им показано, наружный фиксатор может использоваться в качестве временной меры, используемой до момента стабилизации состояния пациента и выполнения окончательной фиксации перелома.

В данном случае для стабилизации костей таза использован наружный фиксатор.
Скелетное вытяжение. Скелетное вытяжение представляет собой систему блоков, грузов и противовесов, которые используются для репозиции костных фрагментов. Скелетное вытяжение нередко накладывается в ближайшее время после травмы и снимается после операции. Иногда некоторые переломы вертлужной впадины лечат с использованием одного только скелетного вытяжения. Однако применяется данный метод достаточно редко, и, если в этом возникнет необходимость, решение об этом будет приниматься непосредственно вами вместе с вашим лечащим врачом.
При наложении скелетного вытяжения через бедренную или большеберцовую кость проводится металлическая спица. К спице фиксируется груз, который за счет тяги способствует удержанию фрагментов в максимально близком к анатомическому положении. У многих пациентов скелетное вытяжение также позволяет в той или иной мере снизить выраженность болевых ощущений.
Открытая репозиция и внутренняя фиксация. В ходе операции костные фрагменты в первую очередь возвращаются в нормальное анатомическое положение (репонируются). Для удержания фрагментов в этом положении до наступления сращения используются металлические пластины и винты.

В данном случае для стабилизации перелома костей таза использованы пластины и винты.
Риски осложнений сопутствуют любой операции независимо от ее сложности. Перед операцией лечащий врач обсудит с вами каждый из этих рисков и примет все необходимые меры, чтобы их избежать.
Возможные осложнения включают:
- проблемы с заживлением раны, в т. ч. вследствие развития инфекции;
- повреждение нервов или кровеносных сосудов;
- тромбозы вен;
- тромбоэмболию легочной артерии — попадание тромбов с током крови в сосуды легких.
Обезболивание
После операции вы будете испытывать в той или иной мере выраженные болевые ощущения. Это неотъемлемая часть процесса заживления. Врач и медицинские сёстры сделают всё необходимое, чтобы уменьшить выраженность болевого синдрома и тем самым ускорить процесс вашего восстановления.
С целью обезболивания в послеоперационный период применяются различные типы препаратов: опиоиды, нестероидные противовоспалительные препараты и местные анестетики. Чтобы оптимизировать их эффект и снизить потребность в опиоидных анальгетиках, препараты могут назначаться в различных комбинациях друг с другом.
Помните, что, хотя опиоиды и позволяют эффективно купировать послеоперационный болевой синдром, они являются наркотиками и к ним возможно развитие привыкания. Наркотическая зависимость и передозировка наркотиков давно уже стали социально значимыми проблемами в большинстве развитых стран. Применение опиоидов возможно только по назначению врача. Как только болевой синдром становится менее выраженным, от них лучше отказаться. Если этого не происходит в течение нескольких дней после операции, проблему следует обсудить с лечащим врачом.
Ранние движения
В большинстве случаев врач порекомендует вам как можно раньше начинать движения в суставах. Большинство пациентов вскоре после операции начинают ходить, хотя и с определенными ограничениями по нагрузке, и как можно раньше после операции начинают заниматься упражнениями, связанными с сокращением мышц голеней и стоп.
Физиотерапия
Физиотерапия включает специальные комплексы упражнений, направленные на восстановление подвижности и объема движений в тазобедренных суставах. Другие упражнения помогут вам восстановить силу и выносливость, необходимые вам для всего, с чем вы сталкиваетесь в повседневной жизни.
Профилактика тромбозов
Несмотря на то, что вам будет разрешено двигаться, ваша мобильность в послеоперационный период всё же будет ограничена. По этой причине для профилактики тромбозов глубоких вен нижних конечностей и таза врач может назначить вам антикоагулянты — препараты, снижающие свертываемость крови.
Нагрузка
Большинство пациентов в течение некоторого периода времени после операции должны пользоваться костылями или ходунками. Полная нагрузка допускается через 3 месяца после операции или тогда, когда наступит полное сращение перелома. После этого еще в течение некоторого периода времени вы также вынуждены будете пользоваться тростью или другими вспомогательными средствами опоры.
Стабильные переломы таза обычно достаточно хорошо срастаются. Нестабильные повреждения таза, возникшие вследствие высокоэнергетической травмы, могут стать причиной развития достаточно серьезных осложнений, в т. ч. массивного кровотечения, повреждений внутренних органов и инфекции. При эффективном лечении этих осложнений переломы обычно также хорошо срастаются.
Если в результате травмы оказались поврежденными также мышцы в области таза, то в течение нескольких месяцев после нее у вас может сохраняться хромота. Восстановление функции и силы поврежденных мышц может продолжаться до года.
Результатом сочетанных с переломами таза повреждений нервов и органов таза могут стать такие проблемы, как длительно сохраняющийся болевой синдром, нарушение походки и сексуальная дисфункция.
Клиника травматологии и ортопедии расположена недалеко от центра Москвы и по праву считается одной из лучших в России. Мы специализируемся на предоставлении высококвалифицированной медицинской помощи пациентам с травмами и заболеваниями опорно-двигательного аппарата. Клиника предоставляет широкий спектр как диагностических исследований, так и лечебных процедур. Вы можете быть уверены, что находитесь в надежных руках. Здоровье пациента — наш приоритет. Мы можем предложить Вам самые передовые и эффективные методы как консервативного, так и оперативного лечения. Команда наших врачей состоит из опытных и авторитетных хирургов травматологов-ортопедов, а также реабилитологов и физиотерапевтов. Все они стремятся к одному: безопасно достичь хороших и отличных результатов Вашего лечения. И мы не останавливаемся на достигнутом: все сотрудники клиники периодически повышают свой уровень квалификации, участвуют в международных конференциях и мастер-классах.
ПОЛИТРАВМА / POLYTRAUMA
Бондаренко А.В., Круглыхин И.В., Плотников И.А., Талашкевич М.Н.
Федеральное г осударственное бюджетное образовательное учреждение высшего образования «Алтайский государственный медицинский университет» Министерства здравоохранения Российской Федерации ,
КГБУЗ «Краевая клиническая больница скорой медицинской помощи»,
г. Барнаул, Россия
МАЛОИНВАЗИВНЫЙ ОСТЕОСИНТЕЗ ПОВРЕЖДЕНИЙ ЗАДНЕГО ПОЛУКОЛЬЦА ТАЗА ПРИ ПОЛИТРАВМЕ
Цель исследования - выяснить особенности применения илеосакральных транскутанных канюлированных винтов при реконструкции повреждений тазового кольца у пациентов с ПТ.
МАТЕРИАЛ И МЕТОДЫ
За 10 лет MIO заднего комплекса при помощи канюлированных винтов использовали при реконструкции тазового кольца у 297 пациентов с ПТ. Из них у 196 фиксация переднего комплекса не производилась, у 101 дополнительно выполнили его остеосинтез. Для этого у 43 пациентов использовали аппараты наружной фиксации (АНФ), у 58 - пластины и винты .
Мужчин было 162 (54,5 %), женщин - 135 (45,5 %), возраст - от 10 до 79 лет (средний - 34 года). Работающих - 156 (52,5 %), неработающих лиц трудоспособного возраста - 83 (27,9 %), учащихся, студентов и пенсионеров - 58 (19,6 %).
Причинами травм чаще всего служили дорожно-транспортные происшествия - 202 (68,1 %), падения с высоты - 82 (27,6 %), сдавления таза тяжелыми предметами - 13 (4,3 %).
Сочетанная травма отмечена у 213 (71,7 %) пациентов, множественные переломы - у 81 (27,2 %), комбинированная травма - у 3 (1,1 %). ПТ тяжестью по шкале ISS [19] от 17 до 25 баллов отмечалась у 146 (49,2 %), от 26 до 40 - у 89 (29,9 %), свыше 41 - у 62 (20,9 %) пациентов. Черепно-мозговые травмы различной степени тяжести - у 154 (51,9 %), повреждения внутренних органов - у 133 (44,8 %), травмы опорно-двигательной системы других локализаций - у 160 (53,8 %), ожоги - у 3 (1,1 %).
При оценке повреждений тазового кольца использовали классификацию АО [20]. Остеосинтез заднего комплекса при стабильных повреждениях тазового кольца (тип А) не проводили. Частично стабильные повреждения (тип В) с горизонтальной и ротационной нестабильностью вследствие травм от переднезадней или наружной компрессии отмечены у 196 (65,9 %) пациентов, нестабильные (тип С) с вертикальной нестабильностью в результате травм от сдвига или комбинированных воздействий - у 101 (34,1 %). У 172 (57,9 %) повреждения заднего комплекса были унилатеральные, у 125 (42,1 %) - билатеральные. Всего у 297 пациентов отмечено 422 повреждения структур, образующих заднее полукольцо таза. Из них переломы костей (крестец и подвздошная кость) отмечались в 198 случаях, разрывы связочного аппарата крестцово-подвздошных сочленений (КПС) - в 224.
При поступлении, на реанимационном этапе временная фиксация наружными фиксирующими устройствами - тазовыми щипцами и АНФ выполнена у 71 пациента. Показанием к экстренной стабилизации служили открытые, а также механически и гемодинимические нестабильные повреждения тазового кольца.
Тазовую реконструкцию при помощи винтов с каналом проводили по стабилизации состояния пострадавших. В первые трое суток после травмы остеосинтез заднего комплекса выполнен у 34 пациентов, от трех суток до трех недель - у 229, свыше 3 недель - у 34. Сроки выполнения операций колебались от суток до 78 дней. Медиана (Ме) - 10 суток, интерквартильный размах - от 6 до 15 суток. При тазовой реконструкции использовали металлоконструкции фирм « Synthes» (Швейцария) и «Остеомед» (Россия).
Всего остеосинтез заднего комплекса винтами с каналом при закрытых повреждениях использован у 266 пациентов, открытых - у 31. При унилатеральных повреждениях - у 172, билатеральных - у 125.
Как основной метод лечения, без стабилизации переднего полукольца таза, остеосинтез заднего комплекса винтами (рис. 1) выполнен у 196 пациентов. Из них открытые переломы встречались у 15 (7,7 %) и были представлены в 12 случаях разрывами мочевого пузыря, в 3 - разрывами уретры. У 161 пациента отмечались повреждения типа В, у 35 - типа С, у 124 - унилатеральные, у 72 - билатеральные. Повреждения переднего полукольца таза были представлены у 3 пациентов разрывами лонного сочленения, у 193 - переломами ветвей лонных костей. Разрыв КПС как основное повреждение заднего комплекса таза встречался у 75 пациентов, переломы подвздошной кости и крестца - у 121.
Рисунок 1. Рентгенограммы пациентки Б. 31 года, повреждение тазового кольца 61-В1: a) до реконструкции; b) после остеосинтеза заднего комплекса винтом с каналом 7,3 мм
Как правило, изолированно остеосинтез илеосакральными винтами заднего комплекса использовался у пациентов без смещения отломков или с незначительным смещением. В случае смещений, превышающих 2,5 см по длине и 1,0 см по ширине, всегда требовалась репозиция и дополнительная фиксация переднего полукольца таза. При этом вставал вопрос об очередности этапов оперативного вмешательства. Какое полукольцо таза восстанавливать в первую очередь: переднее или заднее? Репозиция и стабильная фиксация отломков переднего комплекса способствовала восстановлению правильных взаимоотношений задних отделов таза при горизонтальной или ротационной нестабильности, что значительно облегчало проведение транскутанного остеосинтеза заднего комплекса. В случае повреждений от сдвига или при смешанном механизме, когда имелось вертикальное или заднее смещение, в первую очередь восстанавливали заднее полукольцо, а затем уже переднее, так как в противном случае возникали проблемы при репозиции переднего комплекса.
У 43 пациентов дополнительно с остеосинтезом заднего комплекса был выполнен остеосинтез переднего - при помощи АНФ (рис. 2). Из них открытые повреждения встречались у 10 (23,3 %) и были представлены у 7 - разрывами мочевого пузыря, у 2 - разрывами уретры, у 1 - открытым перелом крыла подвздошной кости. У 18 пациентов отмечались повреждения типа В, у 25 - типа С, у 22 - унилатеральные, у 21 - билатеральные. У 10 пациентов наблюдались разрывы лонного сочленения, у 33 - переломы ветвей лонных костей. Из 10 пациентов, имевших разрыв лонного сочленения, 2 имели повреждения заднего комплекса таза типа В, 8 - типа С. Разрыв КПС как основное повреждение заднего комплекса тазового кольца встречался у 28, переломы подвздошной кости и крестца - у 15 пациентов.
Рисунок 2. Рентгенограммы пациентки И. 27 лет, повреждени етаза 61-В2: a) при поступлении; b) после реконструкции переднего комплекса таза при помощи АНФ; c) после остеосинтеза заднего комплекса таза винтом 7,3 ммс каналом
У 58 пациентов дополнительно выполнен остеосинтез переднего комплекса пластинами и винтами. Из них открытые повреждения встречались у 6 (10,3 %) пациентов и были представлены в 4 случаях разрывами мочевого пузыря, в 2 - разрывами уретры. У 17 пациентов отмечались повреждения типа В, у 41 - типа С, унилатеральные - у 24, билатеральные - у 34. У 50 пациентов наблюдались разрывы лонного сочленения, у 8 - переломы ветвей лонных костей. Из 50 пациентов, имевших разрыв лонного сочленения, у 14 имело место повреждение заднего комплекса типа В, у 36 - типа С. Разрывы КПС как основное повреждение заднего комплекса тазового кольца встречались у 37, переломы крестца и подвздошной кости - у 21.
В случае разрывов лонного симфиза использовали остеосинтез пластинами (рис. 3) , при переломах лонной кости фиксацию в большинстве случаев осуществляли при помощи винтов (рис. 4). Показанием к этому служили повреждения тазового кольца типа В2 от латеральной компрессии или типа С от сдвига или комбинированных воздействий.
Рисунок 3. Рентгенограммы таза пациента А. 48 лет, повреждение тазового кольца 61-В3: a) при поступлении с цистографическим исследованием; b) после наложения тазовых щипцов; c) после окончательной реконструкции переднего полукольца таза пластиной, заднего - винтами с каналом 7,3 мм
Рисунок 4. Рентгенограммы и компьютерная 3D-реконструкция таза пациента К. 19 лет, повреждение тазового кольца 61-В2: a) рентгенограмма таза до операции; b) рентгенограмма после остеосинтеза винтами переднего и заднего комплексов таза; c) 3D-реконструкция таза до операции; d) 3D-реконструкция таза после остеосинтеза переднего и заднего комплексов
При оценке результатов учитывали число и характер осложнений, исходы лечения. Анализ данных начинали с построения полигона частот. Определяли Ме и интерквантильный размах. Для оценки статистической значимости различий использовали расчет критерия χ 2 с поправкой Йейтса и применением метода Бонферрони при множественных сравнениях. При проверке нулевых гипотез критический уровень значимости различий принимался меньше 0,05 [21].
Исследование выполнено в соответствии с этическими принципами Хельсинкской декларации (World Medical Association Declaration of Helsinki - Ethical Principles for Medical Research Involving Human Subjects, 2013) и «Правилами клинической практики в Российской Федерации» (Приказ Минздрава РФ от 19.06.2003 г. № 266) с получением согласия пациента на участие в исследовании и одобрено локальным этическим комитетом.
РЕЗУЛЬТАТЫ И ОБСУЖДЕНИЕ
Умерло 3 (1 %) пациента. Причина смерти в одном случае - ТЭЛА, в другом - кровотечение из стресс-язвы желудка, в третьем - сепсис. Летальные исходы не были связаны с оперативными вмешательствами на тазовом кольце, а являлись следствием осложнений тяжелой ПТ.
Отмечено 155 соматических осложнений у 105 (35,4 %) пациентов, их характер и частота представлены в таблице 1. Наиболее часто встречались тромбозы глубоких вен нижних конечностей, реже - бронхо-легочные, абдоминальные осложнения, пролежни, сепсис и др.
Таблица 1. Характер и частота соматических осложнений (n = 297)
Загородний Н.В., Солод Э.И. , Алсмади Я.М. , Лазарев А.Ф., Абдулхабиров М.А., Ананьин Д.А. , Петровский Р.А., Дмитров И.А.
Кафедра травматологии и ортопедии РУДН, ГБУЗ «ГКБ имени А.К. Ерамишанцева ДЗМ», Г. Москва, Россия
КОНВЕРСИОННЫЙ ОСТЕОСИНТЕЗ ПРИ ЛЕЧЕНИИ ПАЦИЕНТОВ С ПЕРЕЛОМАМИ ДЛИННЫХ КОСТЕЙ КОНЕЧНОСТЕЙ
МАТЕРИАЛЫ И МЕТОДЫ
Настоящее исследование основано на проспективном и ретроспективном анализе клинического материала конверсионного остеосинтеза у 105 пациентов с переломами длинных костей конечностей, поступивших в течение часа с момента травмы за период времени с января 2017 по январь 2019 года. Из них 56 (53 %) женщин и 49 (46 %) мужчин в возрастной группе от 18 до 67 лет. Из исследования исключались пациенты, которые умирали до и в течение 4 недель после конверсионного остеосинтеза от осложнений, не связанных с остеосинтезом, в связи с необходимостью оценки отдаленных результатов заживления переломов и мягких тканей.
Все пациенты были разделены на две группы. Первая группа - 41 пациент с переломами длинных костей (бедро, голень, плечо, предплечье) при политравме. Вторая группа включала 64 пациента с закрытыми изолированными нестабильными оскольчатыми и многооскольчатыми переломами длинных костей (бедро, голень, плечо, предплечье) с выраженным посттравматическом отеком и закрытой травмой мягких тканей с высоким риском развития мягкотканных осложнений. Для оценки переломов длинных костей и состояния мягких тканей мы использовали международную классификацию переломов и повреждений мягких тканей Ассоциации остеосинтеза (АО).
При поступлении у всех пациентов исследовали целостность кожных покровов, выраженность отека и гематомы, а также наличие или отсутствие повреждения магистральных сосудов и нервов, выполняли рентгеновские исследования в прямой и боковой проекции с захватом смежных суставов. С целью диагностики сочетанной травмы выполняли компьютерную томографию от головы до таза, а при внутрисуставных переломах - КТ перелома для предоперационного планирования.
Пациентам первой группы при поступлении в качестве противошоковой терапии производили экстренную фиксацию поврежденного сегмента стержневым аппаратом внешней фиксации по принципам Damage control. Такой подход обеспечивал возможность эффективного ухода и наблюдения за пострадавшими с целью профилактики развития у пациентов травматического шока, жировой эмболии и тромбозов вен поврежденного сегмента, а также вторичного повреждения магистральных сосудов и нервов.
На первом этапе анатомическая репозиция в аппарате не выполнялась с целью уменьшения травматизации мягких тканей и сокращения срока операции. Отдельное внимание команды травматологов уделялось бережному обращению с мягкими тканями, проведению чрескостных элементов с учетом последующего внутреннего остеосинтеза и необходимости стабильной фиксации перелома на первом этапе. При внутрисуставных и околосуставных переломах произвели фиксацию смежных сегментов (joint-spanning external fixation technique) без фиксации в метафизарной зоне с целью усиления степени фиксации и профилактики инфекционных осложнений.
После улучшения общего состояния вторым этапом этим пациентам производили конверсию на погружной остеосинтез блокируемыми стержнями или пластинами в зависимости от характера и локализации переломов.
Минимальными требованиями для перехода (конверсии) из внеочаговой фиксации в погружной остеосинтез послужили: гемоглобин более 90 г/л; гематокрит более 35; нахождение пациента без ИВЛ более суток без допамина (вазопрессоров); стабилизация артериального давления более 90 мм рт. ст. не менее суток наблюдения; адекватный диурез не менее суток; стабильные показатели сатурации крови не менее суток наблюдения; отсутствие ацидоза; отсутствие признаков воспаления области ран конечности при их наличии.
Пациентам второй группы производили первичный остеосинтез стержневыми аппаратами при наличии выраженного отека и мягкотканных повреждений, что не позволило первично проводить первичный погружной остеосинтез. Фиксация отломков в аппаратах внешней фиксации позволяет стабилизировать отломки, уменьшая отек и ускоряя заживление мягких тканей, а также позволяя пациентам передвигаться и ухаживать за собой до второго этапа операции.
Критериями для перехода в погружной остеосинтез являлись: регресс отека мягких тканей, заживление ссадин кожных покровов; отсутствие инфекционных осложнений, удовлетворительное общее состояние пациента по анализам крови и дополнительным методам обследования. При соблюдении данных условий производили конверсию на погружной остеосинтез блокируемыми стержнями или пластинами в зависимости от характера и локализации переломов.
В послеоперационном периоде пациенты обеих групп наблюдались амбулаторно до заживления переломов в течение 1 года с визитами для оценки состояния в сроки 6 недель, 12 недель, 6 месяцев и год.
Оценка результатов лечения пациентов с переломами длинных костей конечностей была произведена по системе оценки исходов (СОИ) предложенной Любошицом - Маттисом - Шварцбергом, которая включает 9 пунктов в баллах в сроки от 6 месяцев до 1 года после операции. При индексе 3,5-4,0 балла результат лечения оценивали как хорошо, при индексе 2,5-3,5 балла - удовлетворительно, а при 2,5 балла и менее - неудовлетворительно. При анализе результатов лечения по методике конверсионного остеосинтеза нагноения мягких тканей в зоне операции у наших пациентов не было.
Статистическую обработку полученных результатов проводили с использованием программ Exсel. Для выполнения описания были использованы методы описательной статистики.
Исследование соответствует Хельсинкской декларации Всемирной медицинской ассоциации «Этические принципы проведения научных медицинский исследований с участием человека» и «Правилам клинической практики в Российской Федерации», утвержденным Приказом Минздрава РФ от 19.06.2003 г. № 266. Все лица, участвующие в исследовании, дали информированное согласие на участие в исследовании.
Обобщенные данные наших собственных наблюдений приведены в таблицах 1 и 2. Большая часть пациентов - 62 % - пострадала от высокоэнергетической травмы: ДТП, кататравма, падение с высоты выше собственного роста, что обуславливало множественный характер повреждений и значительную травму мягких тканей.
Таблица 1. Распределение пациентов по локализации переломов и времени конверсии
Внеочаговый остеосинтез костей таза в отделении неотложной помощи. Задачи
Проведен сравнительный анализ результатов лечения 340 больных с переломами костей таза и длинных трубчатых костей нижних конечностей с множественной травмой. В контрольной группе было 112, в основной - 228 пострадавших. Анализ эффективности традиционных методов лечения пострадавших с переломами костей таза и конечностей при тяжёлых множественных повреждениях позволил определить основные причины ошибок и осложнений, которые привели к неудовлетворительным результатам лечения данной группы больных. Для улучшения результатов лечения пострадавших были предложены новые устройства и методы хирургического лечения, ставшие основой усовершенствованной тактики ЗМХЛ пострадавших с множественной травмой. Изучены отдалённые результаты лечения у 325 (95,6 %) пострадавших с применением балльной системы оценки анатомического и функционального состояния конечностей, восстановления трудоспособности с применением шкалы Neer-Grantham-Shelton.
1. Гуманенко Е.К., Бояринцев В.В., Супрун Т.Ю., Ляшедько П.П. Объективная оценка тяжести травм. - СПб.: ВМедА, 1999. - 111 с.
2. Гуманенко Е.К., Лебедев В.Ф. Политравма и госпитальные инфекции // Новые технологии в военно-полевой хирургии и хирургии повреждений мирного времени. - СПб., ВМедА. 2006. - С. 19-23.
3. Ерюхин И.А., Гуманенко Е.К. Теоретические и практические аспекты травматической болезни // Вестн. хирургии. - 1989. - Т. 142, № 5. - С. 11-15.
5. Лебедев В.Ф., Козлов В.К., Гаврилин С.В. Иммунопатогенез тяжёлых ранений и травм: возможности имунокоррекции // Вестн. хирургии. - 2002. - Т. 161, № 4. - С. 85-90.
6. Мазуркевич Г.С., Багненко С.Ф. Шок. Теория, клиника, организация противошоковой помощи. «Политехника». - 2008. - 539 с.
7. Соколов В.А. Множественные и сочетанные травмы / В.А. Соколов. - М.: ГЭОТАР-Медиа, 2006. - С. 141.
8. Пашковский Э.В., Гончаров А.В., Гайдук С.В. Состояние центральной гемодинамики при травматической болезни // Вестник хирургии им. И.И. Грекова. - 2001. - Т. 160, № 5. - С. 109-113.
9. Bone R.S. Let´s agree on terminology: definition of sepsis // Crit. Care Med. - 1991. - Vol. 19, № 7. - P. 973-976.
10. Ertel W., Morrison M.H., Wang P. The complex pattern of cytokines in sepsis // Ann. Surg. - 1991. - Vol. 214, № 2. - P. 141-148.
Травма является ведущей причиной смертности для людей в возрасте 5-44 лет, а также важной причиной нетрудоспособности. Поэтому предупреждение травматизма - одна из важнейших задач, стоящих перед общественным здравоохранением. Более 60 % всех летальных исходов от травм составляют пациенты с множественной и сочетанной травмой. Эти же пациенты составляют 8-14 % всех стационарных больных [7]. По оценкам, в мире ежегодно в дорожных авариях погибают 1,2 млн человек и около 50 млн получают травмы. Прогнозы показывают, что эти цифры увеличатся примерно на 65 % за последующие 20 лет [11].
Множественные травмы - это травмы, при которых происходит несколько повреждений в пределах одной анатомической области. В большинстве случаев в результате таких повреждений развивается жизнеугрожающее состояние - шок. Основным звеном патогенеза травматического шока являются первичные нарушения микроциркуляции. Острая недостаточность кровообращения [6, 8] и недостаточность перфузии тканей кровью приводят к несоответствию между энергетическими потребностями клеток организма и сниженными возможностями их удовлетворения из-за нарушенной микроциркуляции. Некробиоз клеток сопровождается выделением в окружающую ткань медиаторов воспаления. На ранних этапах воспалительной реакции роль медиаторов разной природы состоит в усилении физиологически оправданной изоляции местных очагов воспаления и микрофлоры, размножающейся в поврежденных тканях. Ликвидация относительной «информационной автономии» очагов воспаления, прорыв микроорганизмами и микробными токсинами барьерной функции местной воспалительной реакции, выброс медиаторов воспаления, а также массированный выход активированных мононуклеаров в общий кровоток являются началом генерализации воспаления и развития системного воспалительного ответа (CВО). Представления о СВО и цитокиновая концепция патогенеза сепсиса введены R. Bone и W. Ertel в клиническую практику сравнительно недавно - в 90-е годы XX века [9, 10].
Рассматривая основные звенья патогенеза травматической болезни в контексте концепции СВО, следует руководствоваться представлениями о том, что варианты течения и исходы данной патологии определяются стадийностью развертывания системной воспалительной реакции в условиях кооперативных эффектов таких этиологических факторов, как травма, шок, эндотоксикоз, воспаление и инфекция [2, 3, 4, 5].
Материалы и методы исследования
Началу работы предшествовал ретроспективный анализ результатов лечения 112 пострадавших с множественными повреждениями, находившихся в стационаре с 2001 по 2006 г. (контрольная группа), у которых были использованы традиционная тактика лечения данной патологии. Собственные клинические наблюдения основаны на результатах лечения 228 пострадавших с сочетанными повреждениями, лечившихся на клинических базах СЗГМУ им. И.И. Мечникова с 2007 по 2013 г. (основная группа). В этой группе при лечении пострадавших использовалась усовершенствованная тактика оказания травматологической хирургической помощи, основанная на объективных критериях тяжести травм и состояния пострадавших, а также широком применении предложенных нами методов и устройств, с целью создания условий для раннего восстановления функций конечностей. С целью объективной оценки тяжести повреждений и тяжести состояния пострадавших была применена шкала оценки тяжести состояния при политравме [1] и тактика запрограммированного многоэтапного хирургического лечения (ЗМХЛ).
Результаты исследования и их обсуждение
При лечении повреждений опорно-двигательного аппарата в контрольной группе (112) преобладал консервативный метод. На первом этапе большинству пострадавших была выполнена иммобилизация гипсовой повязкой или наложено скелетное вытяжение. Выполнение окончательного остеосинтеза значительно задерживалось в связи с необходимостью лечения осложнений, развившихся из-за неадекватной и недостаточно активной травматологической хирургической тактики на реанимационном этапе, включающей в себя преимущественно консервативные методы стабилизации отломков. У больных с множественными повреждениями для первичной стабилизации отломков костей конечности и таза в 45 (40,2 %) случаях были использованы гипсовые повязки и скелетное вытяжение. Из оперативных методов в качестве первичного остеосинтеза чаще всего использовали внеочаговый остеосинтез - у 16 (14,3 %) пострадавших. Остеосинтез пучком спиц - у 8 (7,1 %).
На профильном отделении остеосинтез был выполнен у 51 (45,5 %) пострадавшего. Среди плановых операций в отдалённом периоде после травмы чаще всего - у 31 (27,7 %) больного - применялся внутренний остеосинтез, у 12 (10,7 %) - произведена замена АНФ на внутренний фиксатор, в 8 (7 %) случаях - внеочаговый остеосинтез после использования консервативных методик. Сроки лечения пострадавших на реанимационном этапе оказания специализированной медицинской помощи определялись тяжестью полученной травмы. Большинство пострадавших (156 или 71,9 %), получивших нетяжёлые сочетанные повреждения, находились в реанимации до 2 суток. Консервативное лечение с использованием гипсовых повязок было применено у 45 (40,2 %) пострадавших.
Анатомо-функциональные результаты лечения пострадавших представлены в табл. 1.
Анатомо-функциональные результаты лечения пострадавших с множественными повреждениями
Повреждения костей таза
Категории МКБ: Вывих крестцово-подвздошного сустава и крестцово-копчикового соединения (S33.2), Множественные переломы пояснично-крестцового отдела позвоночника и костей таза (S32.7), Перелом вертлужной впадины (S32.4), Перелом копчика (S32.2), Перелом крестца (S32.1), Перелом лобковой кости (S32.5), Перелом подвздошной кости (S32.3), Переломы других и неуточненных частей пояснично-крестцового отдела позвоночника и костей таза (S32.8), Растяжение и перенапряжение капсульно-связочного аппарата другой и неуточненной части пояснично-крестцового отдела позвоночника и таза (S33.7), Растяжение и перенапряжение капсульно-связочного аппарата крестцово-подвздошного сустава (S33.6), Травматический разрыв лобкового симфиза [лонного сочленения] (S33.4)
Общая информация
Краткое описание
Одобрено
Объединенной комиссией по качеству медицинских услуг
Министерства здравоохранения Республики Казахстан
от «25» мая 2017 года
Протокол № 23
Повреждения костей таза - это нарушение их целости под влиянием внешних воздействий или травмирующих факторов [1].
Код(ы) МКБ-10:
| МКБ-10 | |
| Код | Название |
| S32.1 | Перелом крестца |
| S32.2 | Перелом копчика |
| S32.3 | Перелом подвздошной кости |
| S32.4 | Перелом вертлужной впадины |
| S32.5 | Перелом лобковой кости |
| S32.7 | Множественные переломы пояснично-крестцового отдела позвоночника и костей таза |
| S32.8 | Переломы других и неуточненных частей пояснично-крестцового отдела позвоночника и костей таза |
| S33.2 | Вывих крестцово-подвздошного сустава и крестцово-копчикового соединения |
| S33.4 | Травматический разрыв лобкового симфиза [лонного сочленения] |
| S33.6 | Растяжение и повреждение капсульно-связочного аппарата крестцово-подвздошного сустава |
| S33.7 | Растяжение и повреждение капсульно-связочного аппарата другой и неуточненной части пояснично-крестцового отдела позвоночника и таза |
Дата разработки/пересмотра протокола:2017 год.
Сокращения, используемые в протоколе:
| АО | - | ассоциация остеосинтеза |
| ТРОД | - | терапия ран отрицательным давлением |
| ХПН | - | хроническая почечная недостаточность |
Пользователи протокола:врачи скорой помощи, фельдшера, травматологи-ортопеды, хирурги, врачи общей практики, сосудистые хирурги (интервенционные хирурги), нейрохирурги, урологи, гинекологи.
Категория пациентов: взрослые.
Шкала уровня доказательности:
| А | Высококачественный мета-анализ, систематический обзор РКИ или крупное РКИ с очень низкой вероятностью (++) систематической ошибки результаты которых могут быть распространены на соответствующую популяцию. |
| В | Высококачественный (++) систематический обзор когортных или исследований случай-контроль или Высококачественное (++) когортное или исследований случай-контроль с очень низким риском систематической ошибки или РКИ с невысоким (+) риском систематической ошибки, результаты которых могут быть распространены на соответствующую популяцию. |
| С | Когортное или исследование случай-контроль или контролируемое исследование без рандомизации с невысоким риском систематической ошибки (+). Результаты которых могут быть распространены на соответствующую популяцию или РКИ с очень низким или невысоким риском систематической ошибки (++ или +), результаты которых не могут быть непосредственно распространены на соответствующую популяцию. |
| D | Описание серии случаев или неконтролируемое исследование или мнение экспертов. |
| GPP | Наилучшая клиническая практика. |

Автоматизация клиники: быстро и недорого!
- Подключено 300 клиник из 4 стран
- 800 RUB / 4500 KZT / 27 BYN - 1 рабочее место в месяц

Автоматизация клиники: быстро и недорого!
- Подключено 300 клиник из 4 стран
- 1 место - 800 RUB / 4500 KZT / 27 BYN в месяц
Мне интересно! Свяжитесь со мной
Классификация
Классификация
В соответствии с классификацией, повреждения таза делятся на 3 типа (рисунок 1).
Переломы типа А- стабильные, с минимальным смещением и, как правило, без нарушения целостности тазового кольца. Все переломы без повреждения тазового кольца. К переломам типа А1 относятся отрыв передневерхнего или передненижнего гребня подвздошных костей, переломы седалищных бугров. К типу А2 относятся одно- или двусторонние переломы лонных и седалищных костей, но без смещения фрагментов, поэтому с сохраненным, в стабильном состоянии тазовым кольцом. К типу A3 отнесены поперечные или краевые переломы крестца и копчика, как без, так и с минимальным смещением.
Переломы типа В- так называемые ротационно-нестабильные (но вертикально-стабильные), возникающие вследствие воздействия на таз боковых компрессионных или ротационных сил. К переломам типаВ- повреждения характеризуются ротационной нестабильностью. При этом связочный комплекс задних отделов таза и дна остается неповрежденным или частично поврежденным с одной или двух сторон. Переломы типа В1 называются повреждениями типа «открытая книга» или наружно-ротационно нестабильным. Обе половины таза нестабильны, развернуты с одной или с двух сторон, а лобковый симфиз разорван. При повреждениях типа В2 происходит разрыв крестцово-подвздошных связок с одной стороны с переломом лобковых и седалищных костей той же половины таза. При этом лобковый симфиз может быть как сохраненным, так и разорванным, чаще в передне-заднем направлении. Сзади может иметь место перелом крестца, но при этом не происходит смещения тазового кольца вертикально.К типу ВЗ отнесены двусторонние переломы заднего и переднего полуколец таза, как правило, с одной стороны имеется повреждение по типу «открытая книга» с другой стороны типа «закрытая книга».
Переломы типа С - повреждения с ротационной и вертикальной нестабильностью, с полным разрывом тазового кольца.С- анатомически тяжелые повреждения с ротационной и вертикальной нестабильностью. Они характеризуются полным разрывом тазового кольца и дна, включая весь задний комплекс крестцово-подвздошных связок. Смещение тазового кольца уже происходит и по горизонтали и по вертикали. При повреждениях типа С1 с выраженным односторонним смещением могут быть односторонний перелом подвздошной кости, переломовывих в крестцово-подвздошном сочленении или полный вертикальный перелом крестца; повреждение в заднем полукольце таза происходит с одной стороны. При повреждениях типа С2 разрушения тазового кольца более существенны, особенно в задних отделах. С одной стороны имеется повреждение типа С1, с другой типа В. Повреждения типа СЗ обязательно двусторонние типа С.

Рисунок 1. Классификация переломов таза.
Для понимания механизма травмы и определения тактики лечения при переломах вертлужной впадины удобна классификация LetournelandJudet (рисунок 2). По данной классификации все переломы вертлужной впадины делятся на 10 видов: 5 простых и 5 сложных (сочетанных) переломов. Простые переломы: перелом передней стенки (d), перелом передней колонны (c), перелом задней стенки (a), перелом задней колонны (b), поперечный перелом (e). Сочетанные переломы: перелом задней стенки + перелом задней колонны (f), Т-образный перелом (j), перелом обеих колонн (j), перелом задней стенки + поперечный перелом(g), перелом передней колонны + полупоперечный перелом (h).

Рисунок 2. Классификация переломов вертлужной впадины.
Переломы крестца делятся на поперечные (горизонтальные) и вертикальные (рисунок 3).При вертикальных переломах крестца используется классификация, предложенная F. Denis [2]:
· переломы крыла крестца (1 зона);
· фораминальный перелом - линия перелома проходит через крестцовое отверстие (2 зона);
· центральный перелом - линия перелома проходит через сакральный канал (3 зона).
Переломы крыла крестца встречаются довольно часто, при этом линия перелома проходит латеральнеекрестцовых отверстии.Фораминальный перелом проходит через крестцовые отверстия и встречается редко, однако часто осложняется повреждением корешков крестцовых нервов.Центральные переломы проходят через спинномозговой (сакральный) канал.

Рисунок 3. Классификация переломов крестца.
Диагностика
МЕТОДЫ, ПОДХОДЫ И ПРОЦЕДУРЫ ДИАГНОСТИКИ
Диагностические критерии
Жалобы и анамнез:
· боли в области таза;
· нарушение опороспособности конечности(ей) и двигательной функции.
Анамнез:
· наличие травмы.
Физикальное обследование
· вынужденное положение пациента;
· наружная ротация стоп;
· полусогнутое положение ног в тазобедренном и коленном суставах;
· асимметрия таза;
· укорочение конечности;
· необходимо уделить особое внимание к целостности кожи, повреждение которых указывать на открытый характер перелома.
При пальпации определяется:
· болезненность места перелома таза;
· боль усиливается при нагрузках и движениях нижними конечностями;
· положительный симптом Ларрея;
· положительный симптом Вернея;
· положителен симптом прилипшей пятки.
Лабораторные исследования: нет.
Инструментальные исследования:
· обзорная рентгенограмма таза- в переднезадней проекции таза - грубые смещения отломков, разрыв симфиза с диастазом, смещения половины таза вверх удается установить;
NB! Очень часто эти рентгенограммы недостаточно информативны и на них не всегда четко определяются повреждения задних отделов таза (крестцово-подвздошных сочленений, крестца), колонн вертлужной впадины и переломы без смещения.
· многопроекционнаярентгенография таза. Это вход в таз (рентгеновская трубка устанавливается под углом 30-45° краниально) и выход из таза (рентгеновская трубка устанавливается под углом 30-45° каудально) позволяет уточнить не только степень вертикального, но и величину заднего смещения. При переломах вертлужной впадины для уточнения диагноза и определения тактики лечения необходимо произвести дополнительные рентгенографические исследования (проекции Judet): подвздошная и запирательная проекции. Для проведения рентгенографии в подвздошной и запирательной проекции больного укладывают с поворотом туловища или тубуса рентген аппарата на 30-45 градусов вправо и влево [3].
NB! При переломах и вывихах крестца и копчика дополнительно надо провести рентгенографию в боковой проекции.
· компьютерная томография - является чувствительной и позволяет оценить целостность заднего отдела таза, а также можно определить размер и локализацию гематомы.
Консультация специалистов:
· консультация уролога - для выявления уретроррагии по типу разбрызгивания капелек крови вокруг наружного отверстия мочеиспускательного канала у мужчин, на внутренней поверхности бедер — важный клинический симптом, с большой долей вероятности, указывающий на повреждение уретры;
· консультация хирурга или проктолога - при выявлении следов крови или кровотечения из заднего прохода;
· консультация гинеколога - при выявлении крови или кровотечении из влагалища;
· консультация невропатолога - при признаках повреждения седалищного нерва, корешков L5, S1, S2 и нарушениях функции тазовых органов.
Диагностический алгоритм:

Схема 1. Диагностический алгоритм при переломах костей тазового кольца

Схема 2. Лечебный алгоритм при переломах вертлужной впадины
Дифференциальный диагноз
| Диагноз | Обоснование для дифференциальной диагностики | Обследования | Критерии исключения диагноза |
| Перелом лонной, седалищной, крестцовой костей | Боль в области таза | Обзорная рентгенография таза Компьютерная томография | Положителен симптом Ларрея Положителен симптом Вернея Нарушение костной структуры бедренной кости на рентгенограмме |
| Перелом проксимального отдела бедра | Боль в области тазобедренного сустава | Рентгенография тазобедренного сустава в двух проекциях Компьютерная томография | Боль усиливается при осевой нагрузке Нарушение костной структуры костей таза на рентгенограмме |
| Перелом поясничного отдела позвоночника | Боль в области поясницы и крестца | Рентгенография поясничного отдела позвоночника в двух проекциях | Боль в области остистых и поперечных отростков поясничных позвонков Нарушение костной структуры на рентгенограмме |
Лечение
Препараты (действующие вещества), применяющиеся при лечении
| Диазепам (Diazepam) |
| Кеторолак (Ketorolac) |
| Натрия хлорид (Sodium chloride) |
| Трамадол (Tramadol) |
| Тримеперидин (Trimeperidine) |
Лечение (стационар)
ТАКТИКА ЛЕЧЕНИЯ НА СТАЦИОНАРНОМ УРОВНЕ
Карта наблюдения пациента, маршрутизация пациента: нет.
Немедикаментозноелечение:
· диета 15;
· режим -1.
· иммобилизациятаза пеленанием/наложением лечебно-транспортного тазового пояса (бандаж), аппаратом внешней фиксации. В качестве пояса можно использовать простыню. Наложение тазового пояса всегда и в любых обстоятельствах возможно. Пояс располагают позади таза. Затем концы сводят спереди и закрепляют зажимами (можно зашить) рисунок 4.
· положение «лягушки» или по Волковичу;Стабилизация таза аппаратами внешней фиксации уменьшает внутритазовое пространство и восстанавливает физиологический гемостаз, тем самим противодействует кровотечению. Тип наружного фиксатора определяется травматологом исходя из специфики перелома.
Аппараты наружной фиксации можно установить в палате интенсивной терапии и реанимации под местной или общей анестезией из маленьких разрезов-проколов.
· наложение скелетного вытяжения;
· наложение гамака;
Терапия ран отрицательным давлением (ТРОД) - VAC система.
Показания:
· открытые переломы костей таза;
· обширные послеоперационные раны как доступ при нестабильных переломах.
NB! ТРОД - является методом выбора при лечении и профилактики гнойно-воспалительных осложнений при повреждениях таза.

Рисунок 4. Наложение лечебно-транспортного тазового пояса.
Медикаментозное лечение:
Перечень основных лекарственных средств:
| № | МНН лекарственного средства | Дозирование | Длитель-ность применения | Уровень доказательности |
| Нестероидные противоспалительные средства для купирования болевого синдрома | ||||
| 1 | Кеторолак | Внутрь, взрослым, по 10 мг до 4-х раз в сутки, максимальная суточная доза не должна превышать 40 мг (больным с массой тела менее 50 кг или с нарушением функции почек 1-2 раза в день) Максимальные суточные дозы для внутримышечного и внутривенного введения составляют 90 мг/сут для пациентов в возрасте 16 лет-64 года с массой тела, превышающей 50 кг, и 60 мг/сут для взрослых пациентов с массой тела менее 50 кг или с ХПН, а также пожилым пациентам. Детям до 15 лет не рекомендуется. | Длитель-ность лечения не должна превышать 5 суток. | В |
| Опиоидные анальгетики | ||||
| 2 | Трамадол | в/в (медленно капельно), в/м по 50-100 мг (1-2 мл раствора). При отсутствии удовлетворительного эффекта через 30-60 минут возможно дополнительное введение 50 мг (1 мл) препарата. Кратность введения составляет 1-4 раза в сутки в зависимости от выраженности болевого синдрома и эффективности терапии. Максимальная суточная доза - 600 мг. Детям до 12 лет не рекомендуется. | 1-3 сут. | |
Хирургическое вмешательство
Название оперативного вмешательства:
· открытая репозиция костных отломков другой уточненной кости с внутренней фиксацией (79.39);
· закрытая репозиция костных отломков другой уточненной кости с внутренней фиксацией (79.19);
· применение внешнего фиксирующего устройства на прочие кости (78.19).
Показания для оперативного вмешательства:переломы костей таза с неудовлетворительным стоянием отломков.
Противопоказания для оперативного вмешательства:
· острые и хронические гнойно-воспалительные процессы
· острые заболевания внутренних органов, в том числе инфекционные.
· тяжелая соматическая патология (психиатрические заболевания, цирроз печени, постинфарктный кардиосклероз, полиорганная недостаточность и др.).
Дальнейшее ведение:
· пациент в ранние сроки активизируются, обучается передвижению на костылях без нагрузки на оперированную сторону;
· выписывается на амбулаторное лечение после освоения техники передвижения на костылях, купирования боли.
· контрольные рентгенограмы проводятся на 6, 12 и 36 неделе после операции.
Индикаторы эффективности лечения
· устранение смещения отломков и восстановление тазового кольца на контрольных рентгенограммах;
· купирование боли;
· восстановление опороспособности нижних конечностей.
Госпитализация
ПОКАЗАНИЯ ДЛЯ ГОСПИТАЛИЗАЦИИ С УКАЗАНИЕМ ТИПА ГОСПИТАЛИЗАЦИИ
Показания для плановой госпитализации: нет.
Показания для экстренной госпитализации:
· повреждения костей таза.
Читайте также:
