Внутрисуставной перелом: причины, симптомы и лечение
Добавил пользователь Евгений Кузнецов Обновлено: 28.01.2026
Что такое перелом голени? Причины возникновения, диагностику и методы лечения разберем в статье доктора Вахитова-Ковалевича Руслана Маратовича, ортопеда со стажем в 8 лет.
Над статьей доктора Вахитова-Ковалевича Руслана Маратовича работали литературный редактор Вера Васина , научный редактор Никита Геращенко и шеф-редактор Маргарита Тихонова

Определение болезни. Причины заболевания
Перелом голени (Fracture of lower leg) — это нарушение целостности большеберцовой или малоберцовой кости. При переломе человек не может опереться на ногу, возникает острая боль, меняется длина и конфигурация голени [1] .

Распространённость
В России травмы крупных костей скелета (плечевой, бедренной и большеберцовой кости) — это основная причина смерти пациентов младше 40 лет [3] . Переломы костей голени занимают первое место среди повреждений длинных трубчатых костей: на них приходится от 20 до 37,3 % случаев [11] .
Причины переломов голени
Повреждения голени чаще всего происходят при автодорожных авариях, падении с высоты, занятиях спортом, катании на коньках и на лыжах.
При переломе голени нередко повреждается несколько костей, например:
- при автодорожной аварии перелом центральной части большеберцовой кости часто сочетается с травмой верхнего конца малоберцовой кости;
- падение с большой высоты может привести к перелому нижнего конца большеберцовой кости и наружной лодыжки.
Чем быстрее оказана медицинская помощь и при необходимости проведена операция, тем реже развиваются осложнения.
При обнаружении схожих симптомов проконсультируйтесь у врача. Не занимайтесь самолечением - это опасно для вашего здоровья!
Симптомы перелома голени
Один из первых признаков перелома — это острая боль, которая возникает из-за повреждения мягких тканей. Чаще всего она не проходит, даже если нога зафиксирована и не двигается, и стихает только после медицинской помощи.
Боль локализуется в зоне перелома и усиливается при прикосновении или надавливании. При движениях она может распространяться выше по ноге, но, как правило, человек этого не замечает, потому что боль слишком сильная.
Нарастающий отёк мягких тканей — второй характерный симптом, который развивается в первые часы после травмы. При отёке часто возникает местная ишемия, т. е. ухудшается кровообращение из-за сужения или полной закупорки просвета артерии. Кроме того, из-за отёка в области перелома развивается дополнительное раздражение, повреждаются мягкие ткани и усиливается боль.
Гематома образуется в месте перелома вслед за отёком из-за повреждения мелких сосудов окружающих и костных тканей. Гематома усиливает отёк и боль, поэтому пока не остановится внутреннее кровотечение, отёк будет нарастать — так замыкается круг симптомов. Чтобы его прервать, ногу нужно зафиксировать.

Деформация ноги и невозможность опереться всегда сопровождают переломы голени. Заметить их можно сразу после травмы.
Характерное потрескивание отломков (крепитация), щелчки и выраженный хруст в области травмы — это достоверные признаки перелома голени. Патологическая подвижность голени, нетипичные движения в ноге, которые вызывают острую боль, также свидетельствуют о переломе. Обычно из-за сильной боли пациенты максимально щадят ногу, стараются не шевелить ею и не дают к ней прикоснуться.
Перечисленные симптомы всегда оцениваются в совокупности: чем больше признаков выявлено, тем вероятнее перелом [1] .
Патогенез перелома голени
Выделяют два вида проявлений перелома голени: местные, возникшие в травмированной ноге, и системные, затрагивающие весь организм.
Основное местное проявление перелома голени — это острая боль, которая напрочь лишает желания двигать ногой [4] .
Мышцы голени в момент травмы рефлекторно сокращаются, что усугубляет перелом: острые костные отломки смещаются и повреждают мышечную ткань. Чем толще кость и сильнее развит мышечный каркас, тем вероятнее, что костные отломки сместятся.
При непроизвольном сокращении мышц из повреждённых мелких сосудов начинается кровотечение. В зоне перелома появляется гематома, развивается отёк мягких тканей и боль усиливается.
Вне зависимости от типа перелома, примерно с 10-го дня гематома становится основой для костной мозоли. Костная мозоль — это будущая соединительная ткань, которая при заживлении преобразуется в кость. Период образования мозоли длится до двух недель, в это время могут возникать системные проявления перелома: обостряются хронические заболевания, повышается температура и систолическое (верхнее) давление.
В дальнейшем, благодаря активному кровоснабжению и доставке минеральных элементов, формируется вторичная костная мозоль и перелом срастается.
Важную роль в сращении перелома играет кровоснабжение кости, наличие костных отломков, расстояние между ними и тип фиксации. Переломы без осколков срастаются лучше, чем оскольчатые. Осколки, как правило, лишены кровоснабжения и отдалены друг от друга, поэтому такие переломы считаются сложными и плохо заживают.
После сращения перелома костная мозоль выглядит как нарост, но в дальнейшем перестраивается [5] . В среднем через 3-3,5 месяца человек может вернуться к бытовым нагрузкам, через полгода линия перелома становится незаметной.
При множественных переломах костей голени, обширной кровопотере, длительном травмирующем воздействии и интенсивной боли может развиться травматический шок, при котором нарушаются функции нервной системы, ухудшается кровообращение и дыхание, что усугубляет патогенез перелома.
Классификация и стадии развития перелома голени
В Международной классификации болезней 10-го пересмотра (МКБ-10) перелом голени кодируется как S82.1 .
- открытый перелом — кость сообщается с окружающей средой, в открытой ране видны костные отломки;
- закрытый перелом — кожа не повреждена, открытых ран нет.
По повреждению кортикального слоя (самой прочной части костной ткани):
- полный перелом — нарушена целостность кости;
- неполный перелом — костная стенка разрушена не полностью.
Чаще всего при неполном переломе появляется боль и выраженный отёк. Нога подвижна и не деформирована, хруста отломков нет. В народе такой перелом называют «трещиной».

По локализации перелома:
- повреждение диафиза — перелом средней трети голени, тела трубчатой кости;
- эпифиза — перелом конца трубчатой кости эпифизарной зоны;
- метафиза — перелом верхней или нижней трети голени (как правило, в отдельную группу такие переломы не выделяют).

По смещению костных отломков переломы бывают:
- Без смещения — простые переломы, при которых не нужно совмещать костные отломки.
- Со смещением — осложнённые переломы, требующие совмещения костных отломков. При таких переломах голень сильно деформирована, отекает и болит, есть крепитация отломков.
По прохождению линии перелома по кости (заметно только на рентгенограмме):
- поперечные;
- косые;
- винтообразные;
- вколоченные;
- фрагментарные;
- отрывные.
Чтобы упростить постановку диагноза, оценить тяжесть и прогноз травмы, Ассоциацией остеосинтеза была создана универсальная классификация переломов длинных трубчатых костей (AO ASIF Trauma).
Основной принцип данной классификации — это разделение переломов в зависимости от повреждённой кости, её сегмента и типа перелома. Фрагмент из классификации приведён на рисунке ниже [12] .

Осложнения перелома голени
Все осложнения перелома голени могут быть разделены на две группы:
- По времени возникновения:
- ранние — возникают в первые часы после травмы;
- поздние — развиваются в процессе лечения и реабилитации.
- По месту проявления: локальные и системные [7] .
Местные, или локальные осложнения
- повреждение мягких тканей (разрыв мышц, сухожилий и фасций);
- повреждение сосудисто-нервного пучка, онемение ноги и нарушение кровотока;
- местная ишемия тканей;
- контрактуры и атрофия мышц, которые проявляются скованностью движений;
- ложный сустав — несросшийся перелом, нарушение непрерывности трубчатой кости.
Ложный сустав можно распознать по рентгенограмме: видна линия перелома, костные края становятся округлыми, ось кости нарушена. Главная опасность заключается в утрате опорной функции голени, из-за чего пациент не может полноценно ходить.
Общие, или системные осложнения
Такие осложнения могут быть опасны для жизни. К ним относятся:
- Травматико-геморрагический шок, который возникает из-за боли при травме или потери крови. Пациент может потерять сознание, у него сильно понижаются давление и частота дыхания.
- Жировая эмболия — закупорка сосудов каплями жира, которые попали в кровь из участка перелома. Сопровождается помутнением сознания, эйфорией и неадекватным поведением: человек плохо осознаёт свои действия, отказывается от помощи, пытается встать и уйти.
- Тромбоэмболия — закупорка сосудов тромбами, из-за чего возникает ишемия или некроз тканей. В тяжёлых случаях, например при тромбоэмболии лёгочной артерии, пациент может погибнуть. Закупорка мелких сосудов приводит к ишемии тканей, в результате чего они разрушаются и организм отравляется продуктами распада. При закупорке крупных сосудов пациент может потерять сознание, у него резко падает давление и возникает терминальное состояние, близкое к клинической смерти.
Осложнения множественных травм носят комплексный характер: повреждается несколько костей или органов, например перелом ноги может сочетаться с черепно-мозговой травмой.
Диагностика перелома голени
Сбор анамнеза и осмотр
Диагностика всех видов травм начинается со сбора анамнеза — врач спрашивает, какие действия привели к перелому и что делал пациент после травмы.
Затем проводится физикальный осмотр и уточняются симптомы. Выделяют два вида признаков перелома:
- достоверные, к которым относится деформация, патологическая подвижность, укорочение или удлинение ноги и костный хруст (крепитация);
- недостоверные — боль, отёк и невозможность опираться на ногу.
Чем больше выявлено достоверных симптомов, тем вероятнее перелом костей голени.
Инструментальные методы диагностики
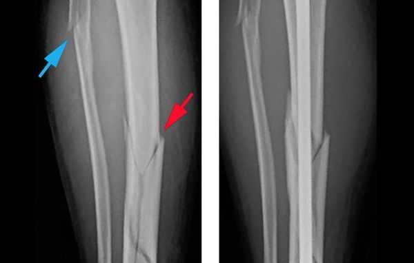
Объективно подтвердить диагноз позволяет рентгенологическое исследование голени в двух стандартных проекциях: прямой и боковой [8] . Чтобы избежать ошибок, рентген следует выполнять строго по стандартным укладкам.

Шок, вынужденное неестественное положение ноги из-за боли, наличие шин и фиксаторов затрудняют диагностику перелома. Если металлические шины или фиксаторы мешают сделать качественный снимок, то их придётся снять. Когда положение ноги не позволяет сделать снимок, её вправляют под местной анестезией.
В некоторых случаях, если требуется детальная диагностика нескольких сегментов голени или пациент находится в тяжёлом состоянии, показана компьютерная томография с 3d-реконструкцией кости. Исследование можно проводить и при вынужденном положении конечности, но такой томограф есть не во всех клиниках. Поэтому в некоторых случаях, если информации недостаточно, делаются уточняющие прицельные рентгеновские снимки отдельных сегментов кости.

К дополнительным методам диагностики относятся:
- рентгеновские снимки под углом;
- рентгеноскопия (просвечивание) — процедура, при которой изображение выводится на светящемся экране;
- томография с введением контрастных веществ — метод, позволяющий выявить метастазы, которые могли стать причиной перелома;
- денситометрия — исследование плотности костной ткани.
Перечисленные диагностические методы применяются в тех случаях, когда причинно-следственная связь между переломом и предшествующими событиями недостаточно ясна. К примеру, если из-за резкого подъёма с кровати возник оскольчатый перелом обеих костей голени.
Лабораторная диагностика
Лабораторные методы при диагностике травм голени вторичны, они позволяют оценить общее состояние пациента и решить, нужно ли ему ложиться в больницу.
- при критически низком уровне эритроцитов и гемоглобина (свидетельствует о сильной кровопотере);
- при высоком уровне лейкоцитов (возникает при нарушениях в работе внутренних органов).
Лечение перелома голени
При поступлении в стационар проводят следующие процедуры:
- Чтобы уменьшить боль, внутримышечно вводят анальгетики центрального действия. Также показано местное обезболивание раствором Новокаина.
- Выполняется закрытая репозиция конечности, т. е. восстанавливают ось ноги, выводят её в правильное положение.
- В зависимости от типа перелома накладывают скелетное вытяжение или гипсовую повязку. Выбирают тот метод, который позволяет оптимально зафиксировать ногу [9] .
Далее лечение сводится к основным принципам травматологии:
- если общее самочувствие пациента стабильно, костные отломки не смещены или смещены незначительно, то показано консервативное лечение;
- при грубом смещении, угловой деформации и укорочении конечности потребуется операция [10] .
Консервативное лечение
При консервативном лечении пациенту накладывают гипсовую повязку. Повязки могут быть как классическими, так и из полимерных материалов. Тип повязки на сращение перелома не влияет, важно качество наложения и адекватная фиксация. От материала зависит только удобство ношения повязки. Фиксаторы в остром периоде практически не используются.
Общие рекомендации по ношению гипса:
- не мочить повязку, иначе кожа под ней будет преть;
- не пытаться самостоятельно ослабить повязку, не обрезать края и не стараться сделать её удобнее;
- не подсовывать под повязку линейку, расчёску и прочие предметы, чтобы почесать кожу;
- следить за тем, чтобы повязка не пережимала ногу слишком сильно;
- если отёк нарастает, то рекомендуется обратиться к доктору и переложить повязку.
Гипс можно снимать только после того, как кости срослись (это видно на рентгенограмме). В среднем это происходит через 3-3,5 месяца.
Хирургическое лечение
Хирургическое лечение состоит в открытой репозиции костных фрагментов и остеосинтезе — операции, при которой восстанавливают правильную ось ноги и придают отломкам нужное положение. Процедура проводится под общей анестезией. Подходящую технику остеосинтеза врач подбирает в зависимости от участка перелома.

При использовании металлоконструкций кости голени сращиваются в среднем через 3-3,5 месяца после операции. Удалять конструкции по медицинским показаниям можно не ранее, чем через полгода. К таким показаниям относятся риск перфорации кожи и травмы мягких тканей. Также конструкцию нужно убрать, если она мешает разработке сустава, сдвинулась или поломалась.
Если конструкция мешает пациенту, её можно удалить, но не раньше, чем через год.
Аппараты внешней фиксации, например стержневые фиксаторы или аппарат Илизарова, применяют только временно, пока состояние пациента нестабильно и нельзя провести операцию.
Прогноз. Профилактика
Прогноз зависит от вида перелома, возраста пациента, сопутствующих заболеваний и осложнений. Также важно, как быстро человек обратился за помощью, соблюдал ли рекомендации врача и какая тактика лечения была выбрана [1] .
При переломе большеберцовой кости отломки чаще всего смещаются и кость долго сращивается. Большинство переломов диафиза голени, как правило, хорошо фиксируются как при консервативном лечении, так и при оперативном. Хуже заживает перелом нижней трети и опорной площадки голени. Непредсказуемы исходы множественных переломов костей голени и переломы обеих ног.
В целом, если выбрана правильная тактика лечения и своевременно проведена операция, то большинство переломов сращиваются за 3-3,5 месяца.
Внутрисуставной перелом
Внутрисуставной перелом - это перелом, линия излома которого полностью либо частично располагается в полости сустава. Требует особого подхода к диагностике, лечению и реабилитации. Отличительными особенностями таких переломов являются вовлечение в патологический процесс не только поврежденной кости, но и всего сустава, возможное нарушение конгруэнтности суставных поверхностей, а также высокая вероятность развития контрактур и тугоподвижности в отдаленном периоде. Отличительными признаками является отек, боль и гемартроз, возможна крепитация. Диагноз выставляется на основании симптомов и рентгенографической картины, иногда требуется КТ и МРТ сустава. Лечение может быть как консервативным, так и оперативным.
МКБ-10


Общие сведения
Внутрисуставной перелом - повреждение кости внутри суставной капсулы. Это сложная травма, требующая повышенного внимания со стороны травматолога-ортопеда и особого подхода к лечению, поскольку объем движений зависит от того, насколько точно были восстановлены суставные поверхности. Может возникать в области любых суставов, как крупных, так и мелких. Наибольшее клиническое значение в силу возможных отдаленных последствий имеют внутрисуставные переломы крупных суставов конечностей.

Причины
Причиной может стать как бытовая или спортивная травма (падение, скручивание конечности, непрямое воздействие или прямой удар), так и автодорожное происшествие, падение с высоты, стихийное бедствие или производственная травма. Во всех случаях, за исключением бытовой и спортивной травмы, существует высокая вероятность сочетанных или комбинированных повреждений. Внутрисуставные переломы могут сочетаться с другими переломами костей конечностей, тупой травмой живота, черепно-мозговой травмой, переломами таза, травмой мочеполовых органов и повреждениями грудной клетки.
Переломы шейки и головки плечевой кости, как правило, возникают у пожилых людей и являются следствием падения на отведенную руку, плечо или локоть. Повреждения локтевого сустава могут наблюдаться в любом возрасте, но чаще встречаются у детей и молодых пациентов, ведущих активный образ жизни. Причиной обычно становится падение на выпрямленную руку или согнутый локоть. Переломы в лучезапястном суставе также могут возникать у людей всех возрастов, однако, подавляющая часть пациентов - дети или пожилые люди. Типичный механизм травмы - падение на выпрямленную руку с опорой на ладонь.
Переломы шейки и головки бедра характерны для людей пожилого возраста и являются результатом падения. Повреждения коленного сустава чаще встречаются у спортсменов и людей трудоспособного возраста, механизм травмы может быть различным, от падения на колено до подворачивания и прямого удара. Переломы лодыжек наблюдаются у пациентов всех возрастов и обычно возникают при подворачивании ноги.
Патанатомия
Сустав состоит из двух или более подходящих друг другу по форме концов костей, которые соединяются между собой посредством капсулы и связок. Капсула образует полость, изолированную от других анатомических образований. Внутри и снаружи капсулы располагаются связки, которые удерживают кости, не позволяя им слишком сильно смещаться. Концы костей покрыты гладким хрящом, благодаря которому кости могут беспрепятственно скользить друг относительно друга. Внутри сустава содержится небольшое количество жидкости - смазки, облегчающей скольжение и доставляющей питательные вещества к хрящевой ткани. Все анатомические структуры вместе образуют своеобразный шарнир.
При внутрисуставных переломах патологический процесс распространяется на все или почти на все структуры. Наряду с костью нарушается целостность суставного хряща. Кровь из отломков изливается в полость сустава, возникает гемартроз. Капсула растягивается и воспаляется. Кроме того, капсула и связки могут разрываться непосредственно в момент травмирующего воздействия или повреждаться костными фрагментами. Из-за действия травмирующей силы и тяги мышц отломки кости смещаются и становятся неконгруэнтными (несовпадающими, не подходящими друг к другу по форме). Если форму суставных концов не восстановить или восстановить недостаточно точно, в последующем это приведет к ограничению движений. Кроме того, недостаточная гладкость суставных поверхностей в сочетании с последствиями повреждений других структур может стать причиной развития артроза.
Любой внутрисуставной перелом требует серьезного подхода к лечению. Однако в силу широкой распространенности и тяжести возможных последствий наибольшее клиническое значение имеют переломы в области крупных суставов: локтевого, коленного, тазобедренного и голеностопного. Тяжесть переломов локтевого сустава обусловлена его сложной конфигурацией, большим количеством типичных внутрисуставных повреждений, в число которых входят как обычные переломы (чрезмыщелковые переломы, перелом локтевого отростка, перелом головки луча), так и переломовывихи (перелом Монтеджа, перелом Монтеня), а также трудностями при репозиции и удержании отломков.
Среди скелетных повреждений тазобедренного сустава особую опасность представляют переломы шейки и головки бедра - эта область плохо кровоснабжается, поэтому отломки не срастаются, а лишь «схватываются» между собой рубцовой тканью. Тяжесть переломов в области коленного и голеностопного суставов объясняется их сложной конфигурацией и важностью полного функционального восстановления этих сегментов. Внутрисуставные переломы в области плечевого и лучезапястного сустава, как правило, более просты в репозиции и реже заканчиваются формированием контрактур. Тем не менее, в ряде случаев, особенно при большом количестве отломков и значительном смещении костных фрагментов, подобные повреждения также могут представлять трудности в лечении и реабилитации.
Симптомы внутрисуставного перелома
Как и при других переломах, при таких повреждениях возникает интенсивная боль, отек и нарушение функции конечности. Подвижность отломков выявляется не всегда, что может быть обусловлено как особенностями травмы, так и недоступностью внутрисуставных структур (например, межмыщелкового возвышения при переломе большеберцовой кости) для непосредственного исследования. Помимо общих признаков для внутрисуставных переломов характерна деформация сустава и нарушение взаимоотношений между костными выступами (опознавательными точками). При переломах в области крупных суставов определяется гемартроз. Выраженность каждого из перечисленных симптомов может варьироваться и зависит от типа и локализации повреждения, степени смещения костных фрагментов, тяжести и многих других факторов.
Диагностика
Диагноз внутрисуставной перелом выставляется на основании клинических и рентгенологических признаков. Для уточнения плоскости излома и положения отломков, наряду со снимками в стандартных проекциях, нередко выполняют рентгенограммы в специальных укладках и тангенциальных проекциях. При необходимости пациента направляют на КТ сустава, МРТ сустава и артроскопию.

КТ коленных суставов. Внутрисуставной перелом латерального и медиального мыщелков большеберцовой кости
Лечение внутрисуставного перелома
В большинстве случаев требуется госпитализация в отделение травматологии и ортопедии. Лечение основывается на принципах максимально точного восстановления нормального анатомического положения отломков и минимально возможного срока фиксации. При переломах коленного сустава на начальном этапе выполняют одну или несколько пункций. При повреждениях других суставов пункции обычно не требуются. Гипсовую повязку чаще применяют при переломах без смещения. При смещении фрагментов, как правило, накладывают скелетное вытяжение или производят хирургическое вмешательство. Предпочтение обычно отдается оперативным методикам, поскольку они позволяют рано возобновить движения и избежать развития иммобилизационных (фиксационных) контрактур.
В связи с многообразием внутрисуставных переломов метод лечения всегда выбирается с учетом конкретной патологии. В период реабилитации пациента обязательно направляют на ЛФК и физиотерапию. Показания к массажу определяют индивидуально, поскольку в некоторых случаях, особенно у детей, этот метод лечения может спровоцировать образование избыточной костной мозоли.
4. Реабилитация пациентов с внутрисуставными переломами длинных трубчатых костей/ Голубев В.Г., Юзов В.В., Лапынин П.В., Секирин А.Б., Шишкин В.Б., Крупаткин А.И.// Медико-социальная экспертиза и реабилитация - 2010 - №3
Перелом надколенника
Переломы надколенника - нарушение целостности коленной чашечки в результате травматического воздействия. Патология сопровождается припухлостью колена и болью, усиливающейся при сгибании ноги в коленном суставе, ограничением разгибания голени. При повреждениях со смещением ходьба становится невозможной. Диагностика включает рентгенологическое исследование, при необходимости МРТ и пункцию коленного сустава. Переломы надколенника без смещения лечатся путем фиксации гипсовой шиной, при наличии смещения требуется операция.

Переломы надколенника составляют 1,5% от общего количества переломов. Чаще встречаются у людей среднего и пожилого возраста, обычно являются результатом уличной травмы. Нередко сопровождаются выраженным смещением отломков, обусловленным тягой четырехглавой мышцы бедра. Характеризуются достаточно благоприятным прогнозом. Лечение патологии осуществляют врачи-травматологи.
Обычно перелом надколенника становится результатом прямой травмы при падении на согнутое колено или ударе коленной чашечкой об острый и твердый предмет. Перелом в результате непрямой травмы возможен при внезапном резком сокращении четырехглавой мышцы бедра. Выделяют смешанный механизм перелома, возникающий при сочетании элементов прямой и непрямой травмы. Перелом надколенника часто сочетается с повреждением бокового сгибательного аппарата - сухожильных волокон четырехглавой мышцы бедра. При разрыве сухожилий отмечается выраженное расхождение отломков надколенника.
Надколенник - плоская округлая кость, расположенная на передней поверхности коленного сустава. К верхней части надколенника (коленной чашечки) прикрепляются сухожилия всех головок четырехглавой мышцы бедра, к нижней - собственная связка надколенника. С наружной и внутренней стороны кость поддерживается боковыми связками.
Своей гладкой внутренней поверхностью коленная чашечка прилегает к надколенниковой поверхности бедренной кости. Шероховатая наружная поверхность надколенника покрыта сухожильными волокнами. Надколенник защищает колено при травмах и выполняет функцию блока, увеличивающего силу четырехглавой мышцы бедра.
Классификация
Выделяют закрытые и открытые (сообщающиеся с через рану с внешней средой) переломы надколенника. В зависимости от локализации специалисты в сфере травматологии и ортопедии подразделяют переломы надколенника на продольные, поперечные, оскольчатые, краевые. Чаще всего наблюдаются поперечные переломы коленной чашечки, реже - краевые, очень редко - продольные. Все переломы надколенника, за исключением краевых переломов верхушки, являются внутрисуставными.
Симптомы перелома надколенника
Наблюдается выраженная припухлость в области коленного сустава. При ощупывании выявляется резкая болезненность, щель между отломками, гемартроз (кровь в коленном суставе). Иногда определяется патологическая подвижность и хруст (крепитация) костных отломков. Боли резко усиливаются при попытке сгибания колена. Активное разгибание голени невозможно или резко ограничено. При переломе без смещения пациент сохраняет способность ходить, однако ходьба сопровождается выраженными болевыми ощущениями. Перелом надколенника со смещением исключает ходьбу, поднятие выпрямленной конечности и активные движения в суставе.
Диагноз перелома надколенника устанавливается в ходе консультации травматолога на основании характерной клинической картины и данных рентгенографического исследования. Дополнительно проводится МРТ коленного сустава. Гемартроз подтверждает диагностическая пункция сустава. Перелом надколенника дифференцируют от разрыва собственной связки надколенника, разрыва сухожилия четырехглавой мышцы, травматического артрита и препателлярного бурсита. Во всех указанных случаях отсутствует щель между отломками, выявляется баллотирование коленной чашечки, надколенник смещается полностью.
В отдельных случаях перелом надколенника приходится дифференцировать с аномалией развития коленной чашечки - разделенным надколенником (patella partita). В отличие от перелома надколенника при patella partita в анамнезе отсутствует травма, нет резких болей, щель между костными фрагментами ровная, закругленная. Patella partita, как правило, выявляется с двух сторон.
Лечение перелома надколенника
При повреждении без смещения или со смещением не более, чем на 0,5 см, показано консервативное лечение - фиксация конечности задней гипсовой шиной на срок 2-3 недели. Пациенту разрешают ходить на костылях. После снятия шины назначают лечебную физкультуру, массаж и физиолечение: УВЧ, электрофорез, магнитолазеротерапия и др. Трудоспособность восстанавливается через 1,5-2 месяца.
Перелом надколенника со смещением отломков более, чем на 0,5 см является показанием к операции. Могут применяться различные методики с использованием шва мягких тканей, костного шва и мышечно-сухожильной пластики. Самый популярный метод - операция Берже-Шультце (сближение отломков с последующим прошиванием мягких тканей вокруг надколенника). Срок иммобилизации в послеоперационном периоде составляет 1 месяц. После снятия гипсовой шины назначают массаж, физиопроцедуры и лечебную гимнастику.
При многооскольчатых переломах в некоторых случаях (наличие мелких отломков, невозможность восстановления надколенника) применяют иссекающие операции - удаление костных фрагментов или всего надколенника. Если есть возможность сохранить коленную чашечку, иссекающие операции проводить не рекомендуется.
Прогноз и профилактика
Прогноз обычно благоприятный, функции конечности полностью восстанавливаются. Сроки нетрудоспособности зависят от тяжести повреждения и колеблются от 2 месяцев при неосложненных переломах надколенника до 3 месяцев при переломах с повреждением сухожилия четырехглавой мышцы бедра. Профилактика предусматривает проведение мероприятий по предупреждению уличного травматизма, особенно - в зимнее время года.
1. ереломы надколенника и их лечение: учебно-методическое пособие/ Загородний Н.В., Хиджазин В.Х, Абдулхабиров М.А., Солод Э.И., Футрык А.Б. - 2017
Перелом мыщелков большеберцовой кости
Перелом мыщелков большеберцовой кости - это нарушение целостности боковых отделов верхней части большеберцовой кости. Относится к числу внутрисуставных переломов. Может сопровождаться смещением или вдавлением отломков. Проявляется резкой болью, гемартрозом, выраженным ограничением движений в коленном суставе и нарушением опоры. Диагноз уточняют при помощи рентгенографии, реже используют КТ. Тактика лечения зависит от вида перелома, может использоваться гипсовая повязка, скелетное вытяжение и различные хирургические методики.


Перелом мыщелков большеберцовой кости - внутрисуставное повреждение боковых отделов верхнего эпифиза большеберцовой кости. Обычно сопровождается смещением или вдавлением участка суставной поверхности, поэтому характеризуется склонностью к развитию посттравматического артроза. Составляет примерно 13% от общего количества повреждений трубчатых костей, выявляется у людей любого возраста и пола, нередко встречается в составе политравмы. Переломы мыщелков могут сочетаться с повреждением связок коленного сустава, повреждениями менисков, переломами малоберцовой кости и межмыщелкового возвышения.

Перелом мыщелков большеберцовой кости возникает вследствие прямого удара в область коленного сустава, падения на колено либо на выпрямленные ноги (в последнем случае, как правило, образуются переломы с вдавлением отломков). Выделяют следующие основные причины:
- Дорожно-транспортные происшествия. Занимают значительную долю в структуре заболеваемости. У пешеходов повреждение появляется при ударе по верхним отделам большеберцовой кости бампером автомобиля (половина случаев от суммарного количества травм) или при падении на колено на асфальт. У пассажиров и водителей поражение провоцируется ударом о переднюю панель автомобиля. При ДТП данный перелом нередко обнаруживается в составе сочетанной и комбинированной травмы.
- Падения с высоты. Составляют 15-20% от общего числа случаев данной нозологии. Переломы могут формироваться как при ударе коленом о землю, так и при непрямом механизме травмы. Во втором случае причиной повреждения становится боковое искривление голени кнаружи или кнутри, сопровождающееся значительной нагрузкой на ограниченную часть суставной поверхности.
Иногда данный вид переломов большеберцовой кости выявляется у спортсменов (лыжников, футболистов и пр.), развивается вследствие высокоэнергетического воздействия, например, падения на большой скорости, столкновения с соперником или препятствием. У пожилых людей, страдающих остеопорозом, повреждения могут развиваться при незначительном травматическом воздействии - подворачивании ноги или падении на улице, в ряде случаев остаются недиагностированными из-за стертой клинической картины.
Патогенез
При переломах мыщелков наблюдается повреждение суставного хряща, поверхностного кортикального слоя, подлежащей губчатой кости эпифизарной и метафизарной зон. В результате губчатая кость, имеющая трабекулярную структуру, «сминается», образуется импрессионный (компрессионный) перелом, который характеризуется уменьшением высоты пораженного участка. Суставная поверхность большеберцовой кости становится неконгруэнтной, на ней образуется «ступенька».
Плотная кортикальная кость растрескивается в продольном направлении, что может вызывать распространение линии перелома за пределы мыщелков вплоть до диафиза. Реже возникают не компрессионные, а отрывные переломы, при которых костный фрагмент вместе с прикрепляющимися к нему мягкотканными структурами, например, внутренней боковой связкой, отделяется и смещается в сторону от остальной кости.
К верхней части большеберцовой кости прилежит или крепится большое количество различных мягкотканных образований, что объясняет высокую вероятность одновременного повреждения менисков и связок при всех видах переломов мыщелков. Все перечисленные особенности обуславливают высокую вероятность формирования вторичных артрозов в отдаленном периоде. Риск развития дегенеративно-дистрофических изменений напрямую зависит от своевременности и адекватности репозиции отломков.
Возможные переломы со смещением и без смещения. Чаще всего диагностируются переломы наружного мыщелка большеберцовой кости, второе место по распространенности занимают переломы обоих мыщелков и третье - поражения внутреннего мыщелка. Открытые переломы составляют около 8% от общего числа травм. Согласно классификации AO (универсальной международной классификации переломов длинных трубчатых костей) различают три типа поражений мыщелков:
- Внутрисуставные (тип А). Включает отрывные переломы, простые и сложные (многооскольчатые) переломы метафизов большеберцовой кости.
- Неполные внутрисуставные (тип В). Состоит из изолированных переломов мыщелков без импрессии, с импрессией, с импрессией и образованием осколков.
- Полные внутрисуставные (тип С). Включает повреждения обоих мыщелков без сдавления, с наличием сдавления, со сдавлением и образованием фрагментов.
Симптомы перелома мыщелков
В момент травмы появляется резкая боль в колене. Колено увеличено в объеме, при переломе внутреннего мыщелка большеберцовой кости может выявляться варусная деформация, при переломе наружного - вальгусная. Опора существенно ограничена, активные движения отсутствуют, пассивные резко ограничены из-за боли. Самостоятельный подъем выпрямленной конечности невозможен. Наблюдается патологическая подвижность при боковых движениях в суставе.
При осмотре выявляется увеличение поперечника большеберцовой кости на уровне мыщелков по сравнению со здоровой стороной. Аккуратно надавливая на мыщелки одним пальцем, обычно можно четко определить зону максимальной болезненности. Имеется выраженный гемартроз, который иногда становится причиной нарушений местного кровообращения. Объем сустава увеличен, переднебоковые зоны над и под надколенником выбухают из-за скопления жидкости.
Осложнения
Иногда переломы мыщелков сопровождаются сдавлением нервов и сосудов. Перелом наружного мыщелка может сочетаться с отрывом шейки либо головки малоберцовой кости, в таких случаях возможна травма малоберцового нерва, проявляющаяся двигательными и чувствительными расстройствами в зоне иннервации. После завершения лечения нередко наблюдаются контрактуры различной степени выраженности, обусловленные продолжительной иммобилизацией, недостаточно точным сопоставлением фрагментов, рубцеванием мягких тканей.
Основным осложнением отдаленного периода считается артроз коленного сустава. В случае сложных переломов, некорректного лечения, неточного сопоставления отломков большеберцовой кости отмечается склонность к быстрому прогрессированию дегенеративных изменений, ранняя инвалидизация больных, требующая установки эндопротеза. Даже при адекватном лечении, хороших функциональных результатах остеоартроз может развиваться через 20-30 лет после травмы.
Диагноз перелома мыщелков большеберцовой кости устанавливается врачом-травматологом на основании данных анамнеза, результатов внешнего осмотра и дополнительных исследований. Используются следующие процедуры:
- Объективное обследование. В пользу переломов эпифиза и метафизов большеберцовой кости свидетельствуют резкие боли, усиливающиеся при надавливании на больной мыщелок, типичное нарушение конфигурации пораженной зоны, быстро возникающий значительный гемартроз. Крепитация отломков нехарактерна.
- Рентгенография коленного сустава. Является основным методом инструментальной диагностики. Рентгеновские снимки выполняют в двух проекциях. В абсолютном большинстве случаев это позволят достоверно установить не только факт наличия перелома мыщелков, но и характер смещения отломков.
- Другие визуализационные методики. При неоднозначных результатах рентгенографии пациента направляют на КТ коленного сустава. При подозрении на сопутствующее повреждение мягкотканных структур (связок или менисков) назначают МРТ коленного сустава.
Наличие данных, свидетельствующих в пользу повреждения сосудисто-нервного пучка, является основанием для осмотра сосудистого хирурга и нейрохирурга.

Лечение перелома мыщелков большеберцовой кости
Первая помощь предполагает иммобилизацию конечности шиной от стопы до верхней трети бедра и срочную доставку пострадавшего в медицинское учреждение. Лечение данной патологии осуществляется в условиях травматологического отделения. При поступлении травматолог выполняет пункцию коленного сустава и вводит новокаин для обезболивания перелома. Дальнейшая тактика определяется с учетом особенностей повреждения.
При неполных переломах, трещинах большеберцовой кости, краевых переломах без смещения план лечения предусматривает наложение гипсовой повязки на 6-8 нед. Назначают анальгетики, ходьбу на костылях и приподнятое положение конечности в периоды отдыха. Направляют пациента на УВЧ и ЛФК. После прекращения иммобилизации рекомендуют продолжать использовать костыли и не опираться на конечность в течение 3 месяцев с момента травмы.
При переломах со смещением в зависимости от вида повреждения большеберцовой кости лечение включает одномоментную ручную репозицию с последующим вытяжением или вытяжение без предшествующей репозиции. Наличие незначительного смещения допускает использование клеевого вытяжения. При переломе одного мыщелка или обоих мыщелков со значительным смещением, переломе одного мыщелка с подвывихом или вывихом другого мыщелка накладывают скелетное вытяжение.
Вытяжение обычно сохраняют в течение 6 недель, все это время проводят ЛФК. Затем вытяжение снимают, пациенту рекомендуют ходить на костылях без опоры на ногу. Отличительной особенностью внутрисуставных переломов верхнего отдела большеберцовой кости является замедленное сращение, поэтому легкую нагрузку на ногу разрешают только через 2 месяца, а полную опору - спустя 4-6 мес.
Показанием к оперативному лечению является безуспешная попытка вправления отломков, резко выраженная компрессия отломков, ущемление фрагмента в суставной полости, сдавление сосудов или нервов и перелом межмыщелкового возвышения большеберцовой кости со смещением при безуспешности закрытой репозиции. Операции выполняют в плановом порядке спустя несколько дней после поступления.
Поскольку использование скелетного вытяжения в значительном количестве случаев не позволяет добиться точного сопоставления отломков, в настоящее время список показаний к операции расширяется. Специалисты в области травматологии и ортопедии все чаще предлагают пациентам хирургическое лечение не только при перечисленных выше повреждениях, но и при любых переломах мыщелков с достаточно выраженным смещением фрагментов.
- При обычных свежих повреждениях производят артротомию. Фрагменты, свободно лежащие в полости сустава, удаляют. Крупные отломки вправляют и фиксируют винтом, выполняют интрамедуллярный или накостный остеосинтез гвоздем, спицами или специальными Г- и Т-образными опорными пластинами.
- При многооскольчатых повреждениях большеберцовой кости и открытых переломах осуществляют наружный остеосинтез с использованием аппарата Илизарова.
- При свежих переломах со значительной компрессией, неправленых и застарелых переломах, а также вторичном оседании мыщелков из-за преждевременной нагрузки на ногу выполняют костнопластическую операцию по Ситенко.
По методике Ситенко сустав вскрывают, производят остеотомию, приподнимают верхний фрагмент мыщелка так, чтобы его суставная поверхность располагалась на одном уровне и в одной плоскости с поверхностью второго мыщелка, а затем вводят в образовавшуюся щель клин, изготовленный из аутогенной или гетерогенной кости. Фрагменты скрепляют стягивающими шурупами и пластиной. После остеосинтеза рану послойно ушивают и дренируют. При стабильной фиксации иммобилизация в послеоперационном периоде не требуется.
Дренаж удаляют на 3-4 сутки, затем начинают ЛФК с пассивными движениями для предотвращения развития посттравматической контрактуры сустава. Послеоперационное лечение включает обезболивающие, антибиотики, тепловые процедуры (озокерит, парафин). После уменьшения болей переходят к активной разработке сустава. Легкую осевую нагрузку на конечность при обычном остеосинтезе разрешают через 3-3,5 мес., при проведении костной пластики - через 3,5-4 мес. Полная опора на ногу возможна через 4-4,5 мес.
Прогноз
Прогноз при адекватном сопоставлении отломков, соблюдении рекомендаций врача и сроков лечения обычно удовлетворительный. Отсутствие полной анатомической репозиции, а также преждевременная осевая нагрузка могут спровоцировать оседание отломка большеберцовой кости, что становится причиной формирования вальгусной или варусной деформации конечности с последующим развитием прогрессирующего посттравматического артроза.
Профилактика
Первичная профилактика переломов мыщелков большеберцовой кости включает меры по предупреждению падений с высоты, бытовых и автодорожных травм. Профилактика отдаленных осложнений со стороны врачей предусматривает выбор оптимальной тактики лечения с учетом характера травмы, со стороны пациентов - строгое следование рекомендациям, регулярные занятия лечебной физкультурой для предупреждения контрактур.
3. Особенности хирургического лечения переломов мыщелков большеберцовой кости: автореферат диссертации/ Муса Недаль Халед - 2004
Внутрисуставный перелом
Внутрисуставные переломы относятся к тяжелым травмам, при которых нарушается целостность кости (полностью или частично), находящейся в суставной полости.

Что такое сустав и его перелом?
Суставы - сложные структуры опорно-двигательной системы, состоящие из:
сочленовных поверхностей, покрытых гиалиновым хрящем;
Каждый сустав окружен мышцами, сухожилиями, связками, сосудами, нервами, которые чувствительны к любым внешним и внутренним воздействиям. При внутрисуставных переломах патологические процессы наблюдаются во всех вышеперечисленных структурах. Так, разрыв кровеносных сосудов и кровоизлияние в полость сустава в момент повреждения приводят к гемартрозу. Возможен разрыв воспаленной капсулы и связок. Костные обломки склонны к смещению.
Сложности диагностики и лечения
Из-за анатомического своеобразия суставов возникают следующие трудности с диагностикой лечением:
выявление внутрисуставных переломов более сложное, по сравнению с обычными;
лечебные мероприятия должны быть своевременными, тщательными и точными;
восстановительный период после внутрисуставного перелома занимает достаточного много времени, так как сустав - функционально активный орган.
При неадекватном или несвоевременном лечении внутрисуставных переломов развиваются осложнения в виде хронического болевого синдрома, ограничения подвижности.
Особенно опасно, если от перелома страдает шейка или головка бедра. Они плохо восстанавливаются из-за затрудненного кровоснабжения. Нарушение питания поврежденной области вызывает риск асептического некроза и коксартроза.
Коленный и голеностопный суставы имеют сложную конфигурацию, что затрудняет их полное функциональное восстановление. Плечевой и лучезапястный суставы легче всего поддаются лечению, при отсутствии значительного смещения и большого количества отломков.
Переломы, берущие начало в суставе и распространяющиеся за его границы, также считаются внутрисуставными, т.к. затрагивают кость сустава.
Причины внутрисуставных переломов
Описываемые травмы являются результатом бытовых и производственных падений, дорожно-транспортных происшествий и др.
У детей по время падения обычно страдают лучезапястные суставы, у стариков - тазобедренный. У спортсменов чаще всего встречается внутрисуставный перелом большеберцовой кости.
К внутрисуставным переломам могут привести и незначительные травмы: подвернутая при ходьбе нога или легкий удар по суставу. Повреждение не всегда обусловлено прямым механическим воздействием. Чтобы волна деформации достигла сустава, достаточно упасть на выпрямленные конечности без группировки.
Внутрисуставные переломы (патологические) - частые спутники некоторых хронических заболеваний, которые не являются непосредственной причиной повреждений, а лишь провоцируют их.
Гиперпаратиреоза - болезни паращитовидных желез, приводящей к повышению выработки паратиреоидного гормона и увеличению содержания кальция в организме.
Остеопороза, при котором снижается плотность и прочность костей. Это опасно обычными и внутрисуставными переломами, даже при резком движении, незначительных травмах или поднятии груза порядка 10 кг. Заболеванию чаще подвержены люди пожилого возраста.
Синдрома мальабсорбции, влекущем нарушение всасывания питательных веществ в тонкой кишке.
Хронической почечной недостаточности - постепенного ухудшения функций почек, что приводит к изменению минерального метаболизма костной ткани и опасно внутрисуставными переломами костей.
Остеомаляции - недостаточной минерализации костей при дефиците витамина D.
Сахарного диабета из-за угнетения процесса образования костной ткани.
К внутрисуставным переломам может привести длительный прием некоторых лекарственных средств:
с содержанием гормонов или гормоноидов, влияющих на кальциевый метаболизм;
противоэпилептических средств, которые ускоряют вывод из организма кальция. В результате появляется опасность внутрисуставного перелома в период эпилептических припадков и сильных судорог;
препаратов от повышенного холестерина - статинов.
При проведении диагностики внутрисуставного перелома возможно обнаружение костных метастазов, которые длительное время не проявляют себя, но приводят к постепенному разрушению костной ткани.
Виды переломов
Выделяют следующие виды внутрисуставных переломов.
Открытые. Повреждается не только сустав, но и нарушается целостность кожных покровов и близлежащих мягких тканей. Опасны нагноением раны, развитием остеомиелита, гангрены, тромбоза.
Закрытые. Перелом не влечет повреждения кожных покровов и мягких тканей.
Суставные повреждения также подразделяются на:
осложненные - сопровождаются травмированием близрасположенных органов;
не осложненные - без их повреждения.
Существует классификация внутрисуставных переломов по линиям излома. Они бывают:
оскольчатыми - образуются два и более обломка;
поперечными - перелом располагается перпендикулярно к кости;
продольными - перелом параллелен кости;
спиральными (крутильными) - накладываются по оси кости при скручивающем усилии;
вдавленными (компрессионными) - появляются при одновременном сдавливании и сжатии.
Если причиной внутрисуставного перелома является заболевание (эндокринное, онкологическое), то он считается патологическим. Если повреждение вызвано травмой, его относят к травматическим.
Полноценная двигательная активность поврежденного сустава невозможна, что связано с сильным болевым синдромом, отечностью и нарушенной конфигурацией. Определить внутрисуставный перелом можно по ряду достоверных симптомов: патологической подвижности, крепитации, деформации. Все остальные проявления считаются относительными, требующими диагностического подтверждения.
- Первый симптом внутрисуставных переломов - острые болевые ощущения, возникающие мгновенно после получения травмы и не прекращающиеся после приема обезболивающих препаратов. Постепенно они становятся невыносимыми и распирающими, т.к. в суставе постепенно скапливается кровь. Одновременно с болью начитает появляться отечность, которая нарастает несколько часов. Наблюдается расширение мелких сосудов, усиление местного кровообращения, повышение температуры в пораженной области.
- К достоверному симптому внутрисуставных переломов относят крепитацию - наличие костного хруста и щелчков в поврежденном участке. Ее вызывает трение костных обломков в процессе пальпации или при попытке совершить какие-либо движения.
- Внутрисуставные переломы приводят к паталогической подвижности суставов не характерной для этого участка. В некоторых случаях наблюдается деформация суставов, они теряют свое очертание, что становится заметным при визуальном осмотре или пальпации.
- В тяжелых случаях возможно развитие травматического шока, сопровождающегося различными симптомами, в зависимости от фазы, вплоть до побледнения, потери сознания, критического снижения артериального давления, летального исхода.
Незначительные симптомы внутрисуставного перелома возможны при небольшой травмировавшей силе, минимальном смещении или отсутствии отломков. Но и в этих случаях высока вероятность кровоизлияния в суставную полость - гемартроза. Растяжение капсулы провоцирует сильнейший болевой синдром, кожные покровы в зоне повреждения приобретают синюшно-красный оттенок и специфический блеск. Самостоятельное исчезновение крови из сустава невозможно. Она постепенно сворачивается и становится сгустком, а в дальнейшем и грубой соединительной тканью в виде плотного рубца, препятствующего двигательной активности.
Также при внутрисуставном переломе возможно развитие жировой или тромботической эмболии, при которой происходит закупорка кровеносного сосуда частицами жировой ткани или тромбом. Данная патология опасна нарушением кровоснабжения, кислородным голоданием тканей и постепенным их отмиранием. При несвоевременном лечении не исключен летальный исход.
Очень критично смещение отломков, при которых происходит неравномерная нагрузка на сустав. Это оказывает разрушающее воздействие на гиалиновый хрящ с дальнейшим развитием посттравматического артроза - дегенеративно-дистрофических изменений в суставных структурах.
Любое подозрение на внутрисуставный перелом костей требует незамедлительной транспортировки пациента в больницу или травм пункт. Важно обеспечить неподвижность поврежденного сустава, используя шину из любых подручных средств: досок, лыж, палок, прутьев, зонта. Болевой синдром устраняется при помощи наркотических и ненаркотических анальгетиков.
Открытые переломы требуют остановки кровотечения (при необходимости) путем наложения давящей повязки или жгута. Во избежание инфицирования, кожные покровы вокруг раны обрабатываются антисептическими препаратами.
Диагностические мероприятия для выявления внутрисуставных переломов проводятся врачом-травматологом. Первоначально в задачу специалиста входит оценка жалоб, сбор анамнеза, проведение осмотра и пальпации поврежденного участка.
Далее пациент направляется на прохождение следующих исследований.
- Рентгенографии в 2-х проекциях (прямой, боковой). Относится к наиболее распространенным диагностическим методам. Позволяет определить патологические изменения в суставах связанных с травматическим повреждением.
МРТ (магнитно-резонансной томографии), КТ (компьютерной томографии). Более точные методы, по сравнению с рентгенографией. С их помощью становится доступной информация о мягких тканях, внутрисуставных повреждениях, наличии кровоизлияний, гноя. Важное преимущество компьютерной томографии - возможность получения трехмерного изображения для оценки пространственного соотношения отломков.
УЗИ (ультразвукового исследования) в качестве дополнительного обследования.
Артроскопии. Она необходима для детального осмотра через незначительные проколы всех отделов сустава с использованием специального прибора - артроскопа, оснащенного камерой и осветителем. Процедура относится к минимально инвазивной хирургической манипуляции, проводится под местной анестезией.
Проведение внутрисуставной пункции при внутрисуставных переломах необходимо для получения синовии. В дальнейшем она подвергается анализу для выявления крови, гноя, воспалительного транссудата, экссудата.
Лечение внутрисуставных переломов
Целью лечения внутрисуставного перелома является полное восстановление анатомической структуры и подвижности сустава. Оно может быть консервативным или оперативным.
Оперативное лечение
При отсутствии смещений целесообразно наложение гипсовой повязки для обездвиживания пораженного участка, уменьшения болей и скорейшего сращения перелома.
При внутрисуставных переломах со смещением лечение проводится посредством следующих методов.
Скелетного вытяжения. Позволяет зафиксировать поврежденный сустав и удерживать отломки в одном положении. Как только образуется первичная мозоль, заменяется на гипсовую или пластиковую повязку.
Оперативного вмешательства (остеосинтеза). Операция предусматривает сопоставление отломков и их фиксацию при помощи пластин, винтов, спиц.
При сильных повреждениях или бесперспективности вышеописанных лечебных мероприятий прибегают к эндопротезированию - замещению поврежденного сустава искусственным. Так поступают обычно при внутрисуставном переломе большеберцовой кости.
Медикаментозная терапия
Она основана на назначении и комплексном применении следующих препаратов:
обезболивающих средств: наркотических, нестероидных противовоспалительных;
антикоагулянтов, антиагрегантов для предупреждения образования тромбов;
антибактериальных средств (при открытых переломах) с целью предотвращения инфекционных осложнений;
хондропротекторов - препаратов, необходимых для скорейшего восстановления костной ткани, гиалинового хряща и предупреждения осложнений. Они отличаются высокой эффективностью при отсутствии противопоказаний и побочных воздействий.
Выраженным восстанавливающим действием обладает Артракам - препарат с хондопротекторным действием на основе глюкозамина. Он восстанавливает поврежденные хрящевые и суставные ткани, блокируя и предотвращая воспаление, мягко усваивается, не вызывая выраженных побочных эффектов. Его прием способствует ускоренному восстановлению деформированных суставов.
Физиотерапия
Физиотерапия снижает травматический отек и болевой сидром в период острой стадии. В восстановительный период - улучшает кровообращение, способствует формированию костной мозоли и регенерации. Пациенту рекомендуются сеансы магнито- и криотерапии, ультразвуковой и лазеротерапии.
Лечебный массаж и физкультура
Лечебный массаж назначают для стимуляции регенеративных процессов, кровообращения, а также уменьшения отечности, болевого синдрома, мышечных спазмов. В реабилитационный период он предупреждает слабость и атрофию мышц, восстанавливает нормальную подвижность поврежденного участка.
Лечебная физкультура при переломах стимулирует восстановительные процессы в поврежденных тканях, улучшает их трофику, кровообращение, повышает общий тонус организма, предотвращает ригидность и мышечную атрофию, восстанавливает двигательную активность. Комплекс упражнений подбирается в индивидуальном порядке с учетом локализации и специфики перелома, состояния здоровья человека.
Профилактические меры направлены на предотвращение внутрисуставных переломов костей и предусматривают своевременное лечение провоцирующих их заболеваний, нормализацию веса, предупреждение бытовых, уличных, производственных, спортивных травм.
Важно повышать прочность костей и суставов. Для этого необходимо полноценно питаться и включить в рацион молочные продукты, злаковые, рыбу, растительные масла. Также требуется поддерживать физическую активность, снизить потребление кофе и соли.
Для укрепления суставов и предупреждения их заболеваний рекомендуется профилактический прием хондропротекторов. Курс Артракама 1-2 раза в год позволит поддержать суставные, хрящевые и костные ткани в здоровом состоянии, избежать их истончения, хрупкости и ломкости.
Внутрисуставные переломы требуют длительного и сложного лечения, вплоть до оперативного вмешательства. При любых травмах, сопровождающихся даже незначительными симптомами повреждения суставов, необходимо безотлагательно обратиться за профессиональной медицинской помощью.
Читайте также:
