Введение в лучевую диагностику носа и придаточных пазух: лучевая анатомия, методы исследования
Добавил пользователь Евгений Кузнецов Обновлено: 28.01.2026
ГБОУ ВПО «Курский государственный медицинский университет» Минздрава России, ул. Карла Маркса, 3, Курск, Российская Федерация, 305041
кафедра лучевой диагностики и терапии Курского государственного медицинского университета Минздрава России, Курск, Россия, 305000
Изменения костной стенки верхнечелюстной пазухи и жировой клетчатки в лучевой диагностике одонтогенных синуситов
Журнал: Российская ринология. 2015;23(3): 49‑53
В статье проанализированы результаты 114 рентгеновских компьютерных томографий и 10 магнитно-резонансных томографий пациентов с одонтогенными верхнечелюстными синуситами. У 63,2% больных определялось асимметричное повышение денситометрических показателей ретромаксиллярной клетчатки, у 14% — уменьшение ее объема, у 8,8% — сочетание истончения и уплотнения жировой ткани, у 0,8% — расширение прилегающей жировой клетчатки. При магнитно-резонансном исследовании у 80% пациентов определялось асимметричное снижение интенсивности сигнала от клетчатки. Истончение ретромаксиллярной жировой клетчатки выявлялось в 30% случаев. Утолщение костных стенок верхнечелюстной пазухи определялось у 21% больных в костном режиме программы просмотра изображений и у 30,7% — в мягкотканном режиме программы просмотра изображений.
Диагностика верхнечелюстных синуситов одонтогенной природы является актуальной проблемой оториноларингологии, стоматологии и челюстно-лицевой хирургии, так как их возникновение является следствием заболевания и лечения зубов и челюстей [1]. В структуре синуситов, по мнению ряда исследователей, доля одонтогенных синуситов составляет от 14 до 24% [2, 3].
Распространенность различных форм кариеса среди трудоспособного населения и неудовлетворительная организация стоматологической службы делают эту проблему не только медицинской, но и экономической и социальной.
Рентгеновская компьютерная томография (РКТ) является оптимальным вариантом исследования альвеолярного отростка, полости носа, околоносовых пазух и окружающих мягких тканей при подозрении на одонтогенную природу синусита. Несмотря на высокую лучевую нагрузку, проведение РКТ позволяет одномоментно дать оценку состояния костей лицевой зоны и определить их анатомические особенности, выявить связь с «причинным» зубом, уточнить локализацию инородного включения и степень воспалительных изменений слизистой. В случаях длительного воспаления в сочетании с перепломбировкой канала оперативное удаление материала является единственным действенным методом лечения, для планирования которого необходимо знать пространственную анатомию [4]. Эти данные можно получить при проведении РКТ.
При прогрессировании синусита в зависимости от характера воспаления изменяется толщина прилежащей костной стенки: при острых гнойных процессах возникает остеопороз, при хронических рецидивирующих процессах — остеосклероз, при осложненных формах — остеомиелит и деструкция костной стенки [5].
Изменяется и ретромаксиллярная (ретроантральная) клетчатка как структура, интимно расположенная к трансформированной костной стенке. Анатомически она представлена большей частью крылонебного отростка жирового тела щеки, расположена в подвисочном пространстве и крылонебной ямке. Жировое тело, которое прилежит к верхней и нижней челюстям, служит проводником воспалительных процессов одонтогенного происхождения, первично развивающихся в челюстях [6].
Магнитно-резонансная томография (МРТ) позволяет выявить более «тонкие» изменения в мягких тканях. При подозрении на раннюю стадию грибкового синусита рекомендуется использовать МРТ как метод, наиболее чувствительный к инвазии костной стенки [7]. Но данный метод имеет ряд недостатков: «недостоверность» пространственной анатомии костных структур, трудности выявления костных стенок одонтогенных кист, пломбировочного материала, артефакты от металлических конструкций, а также высокую частоту гипердиагностики и др., которые серьезно ограничивают его применение [8].
Цели исследования — изучить варианты изменения жировой клетчатки и заднебоковой костной стенки верхнечелюстной пазухи и определить дифференциально-диагностическую ценность изменений ретромаксиллярной жировой клетчатки и задней костной стенки верхнечелюстной пазухи у больных одонтогенным гайморитом по данным РКТ и МРТ.
Пациенты и методы
Нами был проведен анализ результатов 114 РКТ и 10 МРТ пациентов с одонтогенным верхнечелюстным синуситом. РКТ-исследование проходило в отделении компьютерной томографии Курской областной клинической больницы (КОКБ) на рентгеновских компьютерных томографах фирмы «General Electric» (США) моделей NXI и VCT в аксиальной и коронарной проекциях. МРТ-исследование — на томографах фирмы «General Electric» моделей SIGNA PROFILE 0,2 Т и SIGNA OVATION 0,35 Т в аксиальной, сагиттальной и коронарной проекциях. Измерения производились с помощью программы просмотра диагностических изображений RadiAnt DICOM Viewer инструментами line и ellipse.
Результаты
Изучены результаты РКТ и МРТ 70 мужчин и 54 женщин в возрасте от 12 до 75 лет. Одонтогенный верхнечелюстной синусит выявлен справа в 73 случаях, слева — у 47 больных, у 4 пациентов обнаружена двусторонняя локализация процесса.
У 72 (63,2%) больных на РКТ определялось уплотнение (асимметричное повышение денситометрической плотности) ретромаксиллярной клетчатки. Рентгенологические проявления одонтогенного синусита были в виде: деструкций альвеолярного отростка (n=14), грибковых поражений (n=10), одонтогенных кист (n=6), в 6 случаях определялся пломбировочный материал. Причем у 2 больных изменения были обнаружены на контралатеральной стороне одонтогенного поражения (у одного пациента биопсия подтвердила рак альвеолярного отростка, у другого — фиброзно-отечные полипы). Асимметричное утолщение костной стенки в костном окне программы просмотра имелось в 22 (19,3%) случаях, в мягкотканном — в 30 (26,3%) случаях.
У 16 (14%) больных на РКТ наблюдалось истончение (уменьшение толщины) ретромаксиллярной клетчатки, причем одонтогенный верхнечелюстной синусит в этом случае выявлялся в виде: одонтогенных кист (n=6) и грибковых синуситов (n=2). Утолщение костной стенки в костном окне было выявлено в 1 случае, в мягкотканном окне — в 3 случаях.
У 10 (8,8%) больных на РКТ отмечалось сочетание истончения и уплотнения жировой ткани. Причинами синусита в 8 случаях была деструкция альвеолярного отростка и в 2 случаях — одонтогенные кисты. Утолщение костной стенки в костном окне было выявлено в 1 случае, в мягкотканном окне — в 2 случаях.
У 1 (0,8%) больного на РКТ определялось расширение прилегающей жировой клетчатки (одонтогенная внутрикостная киста распространялась в переднюю стенку и не соприкасалась с задней стенкой верхнечелюстной пазухи). Толщина стенок при просмотре в мягкотканом и костном режимах симметрична.
При МРТ-исследовании у 8 (80%) больных определялось асимметричное снижение интенсивности сигнала в режиме Т1 от ретромаксиллярной клетчатки, а ее истончение выявилось в 3 (30%) случаях. Изменений со стороны костной стенки у этих больных не выявлено.
Для одонтогенных гайморитов характерна односторонность поражения: 96,5% по данным РКТ и 100% по данным МРТ.
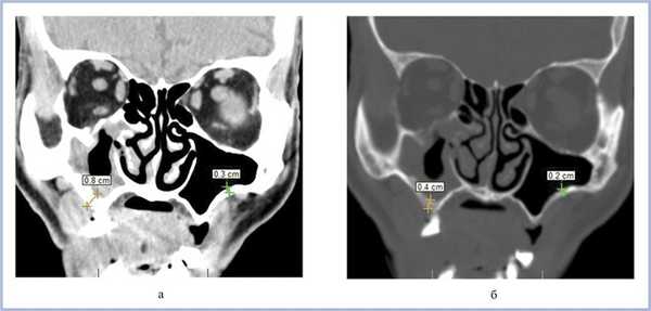
Воспалительные изменения слизистой оболочки верхнечелюстной пазухи, существующие в течение длительного времени, вовлекают в процесс костную стенку. На компьютерных томограммах отмечается утолщение костной стенки в костном режиме и появление «оптического эффекта» — уплотнение стенки в 1,5—3 раза за счет отека надкостницы — при просмотре в мягкотканом режиме (рис. 1, а, б) [9]. При одностороннем процессе, характерном для одонтогенного поражения, на контралатеральной интактной стороне такого эффекта не определяется.

Рис. 1. Рентгеновская компьютерная томограмма околоносовых пазух. Коронарная проекция: мягкотканное окно (а) и костное окно (б).
В костном режиме программы просмотра изображений утолщение костных стенок верхнечелюстной пазухи определялось в 21% случаев (рис. 2, 3), что указывает на хронический характер воспаления. «Оптический эффект» в мягкотканном режиме программы просмотра диагностических изображений определялся у 30,7% больных, что указывает на вовлечение надкостницы.

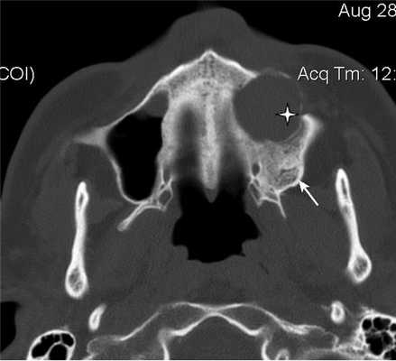
Рис. 2. Рентгеновская компьютерная томограмма околоносовых пазух. Аксиальная проекция, костное окно.

Рис. 3. Рентгеновская компьютерная томограмма околоносовых пазух. Аксиальная проекция, костное окно.
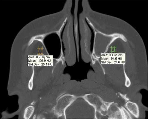
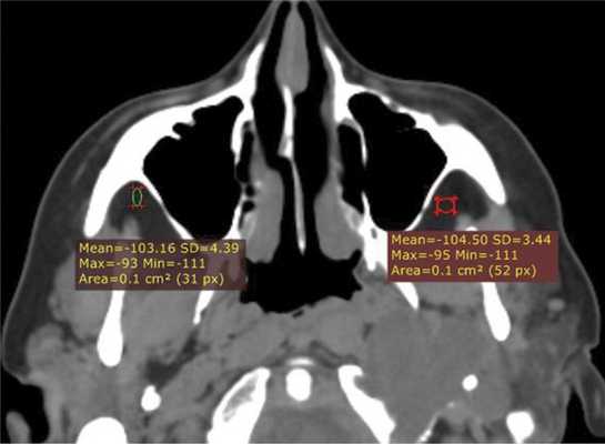
При воспалительных изменениях в ретроантральной жировой клетчатке верхнечелюстной пазухи на РКТ повышаются денситометрические значения ее плотности [10]. При одностороннем процессе отмечается выраженная асимметричность значений плотностей (рис. 4).

Рис. 4. Рентгеновская компьютерная томограмма околоносовых пазух. Аксиальная проекция, костное окно.
В 63,2% случаев на РКТ при выявлении одонтогенного верхнечелюстного синусита отмечалось уплотнение жировой клетчатки. Исследователи связывают это с переходом воспалительной инфильтрации пристеночной слизистой по периваскулярным пространствам к ретромаксиллярной клетчатке [7, 11, 12].
Остальные варианты — истончение (15,2%) и сочетание истончения и уплотнения (17,8%) жировой ткани встречается реже. Эти дистрофические изменения жировой клетчатки являются ответом на длительно текущее, расположенное по соседству воспаление.
Расширение клетчатки, которое встретилось у 1 больного, контактно не связанное с кистой, вероятно, является вариантом фенотипа.
При МРТ жировая ретроантральная клетчатка имеет высокие значения интенсивности сигнала в режимах Т1 и Т2. При локальном отеке клетчатки интенсивность сигнала меняется [12].
МРТ — более чувствительный метод диагностики изменений жировой клетчатки.
Клинический пример 1
Больной Л., 44 года, 15 лет назад терапевтическое лечение 16-го зуба с последующей перепломбировкой; 5 лет назад было осуществлено удаление 16-го зуба. В настоящее время больной обратился за помощью в ЛОР-отделение по поводу давящих болей в верхнечелюстной области справа. Больному была выполнена РКТ верхнечелюстных пазух (рис. 5, а, б), которая показала, что правая пазуха тотально заполнена мягкотканным содержимым и высокоплотным пломбировочным материалом. Отмечается утолщение костных стенок правой верхнечелюстной пазухи и прилежащей ретромаксиллярной клетчатки (-52 HU справа, -86 HU слева)

Рис. 5. Рентгеновская компьютерная томограмма верхнечелюстных пазух. Аксиальная проекция: костное окно (а), мягкотканное окно (б).
Клинический пример 2
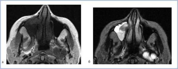
Больная Б., 43 года, проходила исследование в отделении компьютерной томографии КОКБ по поводу объемного образования среднего уха. В качестве случайной находки выявлена правосторонняя одонтогенная киста (рис. 6, а, б; 7).

Рис. 6. Магнитно-резонансная томограмма верхнечелюстных пазух, изображения в режимах Т1 (а) и Т2 (б), аксиальная проекция.

Рис. 7. Контрольная рентгеновская компьютерная томограмма в аксиальной проекции, мягкотканный режим.
Выводы
РКТ и МРТ позволяют единовременно произвести сканирование полости носа и придаточных пазух, при этом получив информацию не только о состоянии костных структур воздушных полостей, но и мягких тканей.
МРТ более чувствительна к диагностике изменений мягких тканей.
Костная стенка реагирует на воспалительные процессы в пазухах изменением толщины. В зависимости от вовлечения надкостницы толщина может изменяться в различных режимах (окнах) программы просмотра.
Прилежащая ретромаксиллярная клетчатка реагирует на воспалительные процессы в пазухах изменением толщины и плотности, в зависимости от длительности воспаления.
Рекомендуется выполнение РКТ придаточных пазух носа для поиска костных нарушений и выявления изменений клетчатки при подозрении на одонтогенный характер поражения. Выполнение МРТ целесообразно для выявления изменений ретромаксиллярной клетчатки на ранних стадиях.
Лучевая диагностика заболеваний придаточных пазух носа
1. Лучевая диагностика заболеваний придаточных пазух носа
Нос - начальный отдел дыхательной системы:
Наружный нос (две кости, изучаем при травмах).
Полость носа.
Придаточные пазухи носа - система парных, чаще
асимметричных полостей, расположенных внутри
костей черепа. Выстланы слизистой оболочкой и
сообщаются с полостью носа с помощью
апертур-узких ходов или отверстий.
3. Верхнечелюстные пазухи
• Имеют вид 4-х угольной пирамиды. Стенки:
• Верхняя -нижняя стенка орбиты.
• Наружная - от орбиты до альвеолярного
отростка.
• Внутренняя- наружная стенка полости носа.
• Нижняя- альвеолярный отросток в\челюсти
• Задняя-это бугор в\челюсти.
• Передняя -соединяет подглазничный край и
альвеолярный отросток в\челюсти.
Подглазничный канал с нервом.
4. Лобная пазуха
• В толще лобной кости. Вариабельны и
асимметричны. Стенки её-замыкательная
пластинка чешуи лобной кости. Через
лобноносовой канал- со средним носовым
ходом. Если достигают середины орбит -
обычное развитие.
• > - гиперпневматизация.
• < - гипоплазия.
• В них много перегородок - бухтообразное
строение.
5. Клетки решётчатых костей.
• Тянутся вдоль боковой стенки носа.
• Передние и средние ячейки - связаны со
средним носовым ходом.
• Задние ячейки-с верхним носовым ходом.
• Все клетки связаны через продырявленную
пластинку с полостью черепа, при их травме -
пневмоцефалия. Их стенка, как пергамент, и
процессы с них могут переходить на слезный
мешок, орбиту, зрительный нерв.
6. Основная пазуха.
• В теле клиновидной кости, парная с тонкой
перегородкой, чаще-асимметричные.
Сообщается с верхним носовым ходом.
• Сверху-турецкое седло и зрительные каналы.
• По бокам -ВСА, пещеристый синус,
глазодвигательный, блоковый и отводящий нервы.
• Нижняя - свод носоглотки.
• Задняя - скат.
7. Придаточные пазухи носа
10. Методы исследования. Рентгенография
• Наружный нос. Укладка-как на череп в боковой
проекции. Луч-на наружный угол орбиты. Мягкие
лучи.
• ППН - носоподбородочная проекция. Пациент -
лицом к стойке. Подбородок касается стойки, а
кончик носа - на 2-2,5 см от неё. Голова -
ровно(сагитальная плоскость головы
перпендикулярно стойке. Рот открыт.
• Центрация - на центр кассеты. Фокус - 1 метр.
12. Критерии правильности укладки
• Одинаковое расстояние от наружных стенок
орбит до края.
• Пирамиды височных костей - вне
верхнечелюстных пазух (внизу).
• На боковой R-грамме - дно турецкого седла не
раздвоено, у спинки один контур, совмещены
оба височнонижнечелюстных сустава.
• Маркировка - сторона!(левая, правая)
14. Что оцениваем
• Степень развития пазух и симметрию.
• Пневматизацию.
• Прозрачность - сравниваем с прозрачностью
орбит.
15. Лобные пазухи
• Чётко видимый фестончатый верхний контур.
• Наличие костной перегородки между пазухами
и дополнительных перегородок, формирующих
бухты.
• Под лобными пазухами - костная арка из
носовых костей и лобных отростков в\челюсти.
16. Если не видим лобные пазухи?
17. Верхнечелюстные пазухи
• Свободные полости с
чётким ровным
контуром.
• На медиальные
стенки накладываются
задние ячейки
решётчатых костей.
• В области передних
стенок у нижнего
края орбит -
подглазничые
отверстия.
18. Правильная и неправильная укладки
19. Травмы носовых костей
• Обычно - переломы обеих носовых костей. Не
путать - лобноносовой и носоверхнечелюстной
швы.
• Определение характера костных повреждений,
смещение осколков, инородные тела в мягких
тканях и пазухах.
20. Переломы костей носа
21. Затемнения ППН
Субстрат -
Отёк и гиперплазия слизистой
Фиброзногнойные и фиброзные наслоения
Жидкость.
Опухоли.
По форме затемнения бывают -
Пристеночные
Диффузные с уровнем жидкости
Полусферические
тотальные
22. Пристеночные затемнения
• При воспалительном и аллергическом отёке
слизистой, которая в норме не видна.
• Обусловлены:
• Отёком слизистой
• Гиперплазией слизистой
• Фиброзногнойными напластованиями
• Фиброзом слизистой.
23. Аллергический отёк
• Слизистая увеличивается в несколько раз,
сначала равномерно, потом
неравномерно(подушкообразно).
• Может наступить облитерация пазухи резко
отёчной слизистой.
• Во всех или во многих пазухах.
• Если присоединяется инфицирование -
жидкость.
24. Воспалительный отёк
• При остром катаральном воспалении-синусите.
• Могут поражаться как отдельные пазухи, так и
несколько и все(геми, пансинусит)
• Тонкие пристеночные затемнения, при
прогрессировании - жидкость.
• При +динамике -нормализация картины(в
отличие от гиперплазии)
25. Отёк слизистой
26. Утолщение слизистой - МРТ.
27. Полипозный синусит
• Развитие множественных полипов в слизистой.
• На R-грамме - полициклическое стойкое
затемнение чаще нижних отделов пазух.
• При прогрессировании - тотальное затемнение
(при томографии - между ними воздух).
• Затемнения в полости носа - полипы.
28. Диффузные затемнения нижних отделов пазух с уровнем жидкости
Отёк или гиперплазия
• присоединяется
Гной, слизь, кровь
• Если апертура проходима -
горизонтальный уровень жидкости, если
нет - дугообразный или тотальное
затемнение.
29. Верхнечелюстной синусит
30. Полусферические затемнения
Субстрат - костные или мягкотканные
образования, исходящие из стенки пазухи или
соседних органов. Они постепенно увеличиваются,
пока не заполнят весь объём пазухи
Тотальное затемнение
Подушкообразные выбухания при вазоматорном
рините, одонтогенном гайморите.
Полипы
Из слизистой
Ретенционные кисты
Доброкачественные мягкотканные образования
Остеомы
Остеохондромы
Из костных структур
хондромы
Врастающие в пазухи
Одонтогенная киста
Рак слизистой альвеолярного отростка
Саркома, цилиндрома вепрхней челюсти
Опухоли мягких тканей полости носа и носоглотки
32. Ретенционные кисты
• Полусферические образования, образуются в
результате закупорки протоков слизистых желёз
и формирования полости, заполненной
жидкостью. Сначала - бессимптомно,
прогрессивно увеличиваются.
• Чаще - в верхнечелюстных пазухах.
• Чёткий и ровный контур.
33. Кисты верхнечелюстных пазух
34. Остеома в лобной пазухе
35. Полипоз
36. Рак верхнечелюстной пазухи
37. Тотальное затемнение пазух
38. Симптомы злокачественных опухолей
• Симптом однородной тени
• Симптом мягкотканного
компонента(индуративный отёк щеки, боковой
поверхности носа).
• Симптом регионарного лимфостаза(утолщение
контура мягких тканей).
• Деструкция костных стенок.
39. Острый этмоидит
• Изолированно -редко.
• На R-грамме в носоподбородочной проекции-не
всегда из-за суммации с тенью мягких тканей
носа.
• Рентгенограмма по Фастовскому(укладка, как
на ППН, затем-поворот головы, чтобы
исследуемая сторона была ближе к кассете).
КТ или МРТ.
40. КТ- этмоидит
41. Острый фронтит
• Затемнение обусловлено отёком слизистой или
(и) жидким содержимым.
• Отёчная слизистая на R-грамме - сплошное
равномерное( в небольшой пазухе)
• Или неравнмерное (в большой пазухе с
многочисленными бухтами и перегородками).
• Если накапливается жидкость - уровень или
тотальное затемнение.
Информативность рентгенографии в диагностике заболеваний придаточных пазух носа
Бисенова Э.М., Рудазова К.В.
Научный руководитель: ассистент кафедры Крючков И.А.
Университетская клиническая больница №1 имени С.Р. Миротворцева СГМУ ФГБОУ ВО Саратовский ГМУ им. В.И. Разумовского Минздрава России Кафедра лучевой диагностики и лучевой терапии им. профессора Н.Е. Штерна
Актуальность. Распространенность заболеваний ЛОР-органов по данным обращаемости составляет 105,4 случаев на 1000 населения в РФ. Заболеваемость воспалительными и не воспалительными заболеваниями ЛОР-органов не имеет тенденции к снижению. До 15% взрослого населения в мире страдают различными формами ОС, у детей он встречается еще чаще. В России данное заболевание ежегодно переносят не менее 10 млн. человек.
Цель работы: оценить информативность рентгенографии (РГ) в дифференциальной диагностике заболеваний придаточных пазух носа (ППН).
Материалы и методы. Проведен анализ историй болезни и рентгенограмм 44 пациента в возрасте от 17 до 50 лет, обращавшихся в отоларингологическое отделение УКБ №1 им. С.Р. Миротворцева с октября по декабрь 2020 года.
Результаты. При РГ ППН у 20 из 44 пациентов (45,5%) выявлено острое воспаление гайморовых пазух: одностороннее поражение - у 10 (22,7%): в 4-х случаях (9,09%) синусит верхнечелюстных пазух в фазе отека, в 3-х (6,8%) - в фазе экссудации (тотальное поражение), в 3-х (6,8%) - в фазе экссудации (частичное поражение); двухстороннее поражение наблюдалось у 10 пациентов (22,7%): в 6-ти случаях (13,6%) острый верхнечелюстной синусит выявлен в фазе отека с одной стороны, в фазе экссудации - с другой, и у 4-х (9,09%) пациентов синусит верхнечелюстных пазух в фазе экссудации с двух сторон.
Хронический верхнечелюстной синусит в стадии обострения выявлен у 12 (27,27%) пациентов; у 4 (9,09%) пациентов - вне обострения с признаками эксцентрической облитерации. В 4 из 44 наблюдений (9,09%) был обнаружен одонтогенный синусит.
Выявленные по данным РГ воспалительные изменения ППН были подтверждены клиническим течением и результатами РГ в динамике.
Киста гайморовой пазухи выявлена у 3 больных (6,8%), на РГ отмечалась полусферическая тень с четким ровным контуром, исходящая из нижней стенки ГП, подтверждены КТ. Остеома лобной пазухи была выявлена у 1 (2,27%) больного, отмечалась высокоинтенсивная однородная тень с ровными четкими контурами, исходящая из верхней стенки ЛП, подтверждена КТ.
Выводы. Рентгенография является эффективным методом диагностики заболеваний ППН, позволяющим не только диагностировать наличие патологических изменений, но и провести дифференциальную диагностику заболеваний ППН.
Лучевая диагностика синуситов
Острый синусит - это воспаления околоносовых пазух. Обычно процесс захватывает и слизистую полости носа, поэтому, процесс правильно называть риносинуситом.
Синуситы относятся к частым заболеваниям с четкой сезонной предрасположенностью. Экономический ущерб от нетрудоспособности и затрат на лечение исчисляется миллиардами.
Риносинусит может классифицироваться по анатомической области: гайморит, фронтит, этмоидит и сфеноидит; и по типу возбудителя: бактериальный, вирусный и грибковый.
Острый синусит - это клинический диагноз. Принципиально важно дифференцировать его с аллергическим и вазомоторным ринитом, а также с банальной инфекцией верхних дыхательных путей. Повторные эпизоды острого синусита в течение года с промежутками не меньше 8 недель рассматриваются как рецидив. Длительность процесса от 4 до 12 недель позволяет говорить о подостром синусите, больше 12 недель уже о хроническом процессе.
Анатомия и функция
Околоносовые пазухи представляют собой костные полости, заполненные воздухом, простирающиеся от основания черепа до альвеолярного отростка и латерально от полости носа до нижнемедиального края орбиты и скулового отростка. Полости синусов выстланы ворсинчатым эпителием, переходящим через отверстия в эпителий полости носа. Эпителий содержит субмукозные и серомукозные железы, вырабатывающие поверхностную слизь.
Передние и задние решетчатые синусы состоят из множества воздушных клеток, отделённых друг от друга тонкими костными перегородками. Каждая клетка дренируется самостоятельным отверстием диаметром 1-2 мм, которые легко перекрываются слизью или отёчной слизистой. Основная (клиновидная) пазуха расположена сразу позади клеток решетчатой кости и граничит сзади с турецким седлом.
Артериальное кровоснабжение придаточных пазух идёт из ветвей наружной и внутренней сонных артерий. Венозный и лимфатический отток идёт в сплетение полости носа, а также через безклапанные сосуды непосредственно в артериальное русло.
Все отверстия синусов дренируются в полость носа под средней и верхней носовыми раковинами через несколько анатомических структур, объединяемых в остиомеатальный комплекс. Отверстия верхнечелюстных пазух, передние клетки и лобные пазухи дренируются в общее место в среднем носовом ходе. Это место называется полулунной расщелиной, и представляет собой узкий промежуток между крючковидным отростком и большим пузырьком решетчатой кости. Единое место дренажа для синусов приводит к относительно легкому распространению инфекции даже при локальном воспалении. Задние клетки и основной синус дренируются в сфеноэтмоидальный карман, расположенный в верхнем носовом ходе ниже верхней носовой раковины.
Процесс эффективного дренажа состоит из сложного взаимодействия движений ворсинок эпителия, определенной вязкости слизи и диаметра отверстий.
Функция придаточных пазух многообразна: уменьшение веса черепа, выравнивание давления, увлажнение и согревание вдыхаемого воздуха, поглощение тепла и предотвращение перегрева мозга, звуковой резонанс, увеличение обонятельной площади.
КТ.Передний остиомеатальный комплекс в норме. КТ. Фронтальная плоскость. Обозначения: сплошная линия - вход в решетчатый синус, точечная линия - полулунная расщелина, звездочка - отверстие верхнечелюстной пазухи, 1- средний носовой ход, 2- крючковидный отросток.
КТ.Полулунная расщелина (лобный карман) в норме. КТ. Фронтальная плоскость. Обозначения: 1 - лобный карман, 2 - клетки носа.
КТ.Сфеноэтмоидальный карман (задний остиомеатальный комплекс). КТ. Фронтальная плоскость. Обозначения: 1 - отверстие клиновидного синуса, 2 - пневмотизированный сошник.
КТ.Анатомия пазух. КТ. Сагиттальная реконструкция. Обозначения: точечные линии верхняя - воронка решетчатого синуса, нижняя - полулунная расщелина, 1- слизистая средней раковины, 2- слизистая нижней раковины, 3- лобный карман, 4- отверстие клиновидной пазухи, 5- сфеноэтмоидальный карман, 6- клиновидный синус.
Патофизиология
Благодаря однонаправленному (в сторону полости носа) току секрета слизистой придаточные пазухи остаются стерильными. Отёк слизистой носа в месте вхождения дренирующих отверстий приводит к застою слизи и легкому её инфицированию. При застое развивается вторичная гипоксия ворсинтчатого эпителия и нарушение его функции, а также повышение вязкости слизи. Нарушение функции ворсинтчатого эпителия также может быть генетически обусловленным при синдроме Картагенера (situs inversus, хронический синусит и бронхоэктазия), вызываться прямым токсическим действием бактерий и вирусов, а также аллергическими заболеваниями.
Нарушению оттока могут также способствовать анатомические предпосылки. Наиболее часто встречается удлиненный крючковидный отросток. Это приводит к перекрытию полулунной расщелины. То же наблюдается и при латеральном отклонении верхушки крючковидного отростка. Пневмотизированные раковины среднего носового хода (concha bullosa) могут сдавливать крючковидный отросток и перекрывать средний носовой ход. Инфраорбитальные воздушные клетки Галлера в норме распространяются вниз на пузырь решетчатой кости и крышу верхнечелюстной пазухи. При больших размерах они переходят в клетки решетчатой кости и сдавливают средний носовой ход. Такое же функциональное значение имеет и увеличенный этмоидальный пузырь (булла). Искривление носовой перегородки и её шипы, парадоксальная кривизна раковин, увеличенный этмоидальный пузырь способствуют нарушению оттока. Нарушение дренажа также может быть связано с механической обструкцией полипом, опухолью или инородным телом.
КТ.Удлинененный в сторону дна решетчатой кости крючковидный отросток. КТ. Фронтальная плоскость. Обозначения: 1- удлиненный крючковидный отросток, 2- concha bullosa средней раковины, 3- норманый крючковидный отросток, 4- воронка решетчатой кости.
КТ.Отклоненный латерально крючковидный отросток. КТ. Фронтальная плоскость. Обозначения: 1- крючковидный отросток отклонен в сторону орбиты, 2- нормальный крючковидный отросток.
КТ.Concha bullosa средней раковины. КТ. Фронтальная плоскость. Обозначения: 1- крючковигый отросток доходит до дна решетчатой пазухи, 2- сужена этмоидальная воронка, 3- concha bullosa, 4- отсутствует крючковидный отросток справа.
КТ.Увеличенный этмоидальный пузырь (стрелки).
КТ.Парадоксальная кривизна средних раковин с сужением носовых ходов.
Этиология
В подавляющем большинстве случаев острый риносинусит вызывается вирусной инфекцией: риновирусом, реже, коронавирусом, вирусами гриппа и парагриппа, синцитиальным вирусом верхних дыхательных путей, аденовирусом и даже энтеровирусом. В 0,5-2% случаев к вирусному синуситу присоединяется бактериальная инфекция. Бактериальный синусит может быть обусловлен одним или несколькими возбудителями, такими как стафилококки (S. aureus), стрептококки (S. pneumoniae, S. pyogenes), пневмококки (H. influenza), а также другой флорой (P. aeruginosa M. catarrhalis, E. coli, P. mirabilis, K. pneumoniae, Enterobacter). Грибковые синуситы встречаются очень редко. Непосредственными возбудителями служат Aspergillus и Alternaria, другие виды грибков могут вызывать аллергические синуситы.
Клинические проявления
Проявления заболевания неспецифические, обычно на фоне типичной инфекции верхних дыхательных путей:
- Боли в области лица, особенно, лба. Нередко боли усиливаются при наклонах. Могут отдавать в височную и затылочную области.
- Покраснение и отёчность кожи носа, щек, гиперемия глазных яблок
- Нарушение носового дыхания и выделения из носа
Продолжительность симптомов вирусной инфекции свыше 2 недель служит настораживающим признаком в плане синусита. Острый вирусный синусит обычно излечивается спонтанно, однако, примерно в 1 случае из 3 острый синусит переходит в хроническую форму. Местным осложнением синусита может быть мукоцеле. Оно представляет собой эпителиальную кисту, возникающую вследстве обструкции протока секретирующей железы или отверстия синуса. Кисты верхнечелюстных пазух часто являются случайной находкой при рентгенологическом исследовании. Они достигают больших размеров и обычно бессимптомны. Напротив, кисты лобной и основной пазух вызывают клинические симптомы и, иногда, осложняются костной эрозией.
Ухудшение клинической симптоматики подозрительно на присоединение бактериальной инфекции. В редких случаях бактериальные синуситы могут приводить к тяжелым осложнениям - токсическому шоку, менингиту и энцефалиту, остеомиелиту.
Рентгенография
Рентгенография, несмотря на её существенные недостатки, остается наиболее массовым методом исследования при синуситах. Исследование желательно в 3 проекциях: затылочно-подбородочной, затылочно-лобной и боковой.
В затылочно-подбородочной проекции наиболее отчётливо видны верхнечелюстные пазухи. Лобный синус виден в косой плоскости. Основная пазуха прослеживается через открытый рот. Хуже всего видны клетки решетчатой кости.
В затылочно-лобной проекции лучше всего видны лобные пазухи и дно верхнечелюстных пазух, а также передние клетки решетчатой кости. Хуже видна основная пазуха.
В боковой проекции наилучшим образом видны основная и лобная пазухи, в то время как структуры других пазух наслаиваются.
Наиболее типичной находкой при остром синусите является уровень жидкости. При хронических процессах наблюдается утолщение слизистой, ретенционные кисты и гипертрофия раковин.
Главная проблема состоит в наслоении структур и большом количестве ложных результатов. Кроме того невозможно оценить остиомеатальный комплекс и состояние задних клеток решетчатой кости. Полное затенение пазухи может быть обусловлено как жидкостью, так и утолщенной слизистой. В возрасте до 3 лет пазухи ещё не пневмотизированы, потому стандартная рентгенография у них неинформативна.
Уровень жидкости (стрелка) в верхнечелюстной пазухе. Рентгенография в боковой проекции.
Полипозный синусит в правой верхнечелюстной пазухе и ретенционная киста в левой. Рентгенография во фронтальной (затылочно-лобной) проекции.
Компьютерная рентгеновская томография (КТ)
КТ является методом выбора при хронических синуситах, так как даёт возможность понять анатомические предпосылки к процессу. Основной диагностической плоскостью для шаговых КТ служит корональная. Срезы должны быть 2-3 мм толщиной и с высоким разрешением. Реформированные изображение имеют меньшее разрешение и, потому, нежелательны. Однако они могут стать вынужденной мерой при наличии артефактов от металлических зубных конструкций. Спиральная КТ позволяет уменьшить толщину срезов до 1 мм, что улучшает качество реформированных изображений. При использовании спиральной КТ нет необходимости во фронтальных укладках.
В костном окне хорошо виден остиомеатальный комплекс, а в мягкотканном - жидкость, полипы, распространение процесса за пределы синусов, в том числе на орбиту, подвисочную ямку и мозг.
Наиболее типичной находкой при острых синуситах является полипозное утолщение слизистой. В пазухе может быть выявлена жидкость, причем её заполнение может быть полным или частичным. При хронических синуситах часто вовлекаются клетки решетчатой кости. Помимо утолщенной слизистой видны полипы и ретенционные кисты. Ретенционные кисты (мукоцеле) чаще всего наблюдаются в лобных и верхнечелюстных пазухах.
Главным недостатком КТ является сложность в дифференцировке опухоли, локализующейся в синусе, от застойной жидкости.
Правосторонний этмоидит (стрелка). КТ. Фронтальная плоскость.
Киста (мукоцеле) лобной пазухи. КТ. Фронтальная плоскость.
Магнитно-резонансная томография
МРТ придаточных пазух особенно важна в диагностике осложнений, особенно, распространения инфекции в полость черепа.
Стандартное исследование предполагает корональные Т1- и Т2-зависимые МРТ
изображения. Подавление сигнала от жира рекомендуется, но не является обязательным. Необходимость других проекций и импульсных последовательностей диктуется конкретной клинической ситуацией. При подозрении на опухоль рекомендуется исследование с контрастированием.
Жидкость, ретенционные кисты и отёчная слизистая гиперинтенсивны на Т2-зависимых МРТ изображениях. Т1-зависимые МРТ изображения иногда вносят ясность, так как ретенционные кисты могут быть светлее за счет повышенного содержания белка. Жидкость, напротив, обычно темнее воспаленной слизистой.
Главным недостатком МРТ является плохая визуализация костных границ синусов. Кроме того, отмечается высокий уровень ложно-положительных результатов. Небольшой гиперинтенсивных сигнал от слизистой на Т2-зависимых томограммах при отсутствии клинической симптоматики наблюдается часто у здоровых лиц. Таким образом, при неосложненных острых синуситах МРТ не является обязательной диагностической процедурой.
Этмоидит. МРТ придаточных пазух носа. Поперечная плоскость (увеличение), Т1-зависимое МРТ изображение.
Введение в лучевую диагностику носа и придаточных пазух: лучевая анатомия, методы исследования
НИО гибридных технологий лучевой медицины Первого МГМУ им. И.М. Сеченова Минздрава России, Москва, Россия, 119991
Лучевая диагностика одонтогенного верхнечелюстного синусита
Журнал: Вестник оториноларингологии. 2017;82(2): 46‑50
Цель исследования — проанализировать возможности таких методов лучевой диагностики, как рентгенография, мультиспиральная компьютерная томография (МСКТ) и конусно-лучевая компьютерная томография (КЛКТ) в диагностике одонтогенного верхнечелюстного синусита, а также описать изменения верхнечелюстных синусов, выявляемые с помощью вышеуказанных методов. Были обследованы 166 пациентов с верхнечелюстным синуситом в возрасте от 21 до 81 года, всем пациентам было проведено рентгенологическое исследование. Выявлена низкая эффективность проекционных методов рентгенографии. Применение компьютерной томографии позволило из 166 обследованных пациентов у 110 (66,2%) больных верифицировать диагноз, определить рентгенологические признаки одонтогенной этиологии выявленных изменений и грамотно подобрать дальнейшую тактику лечения. МСКТ и КЛКТ является наиболее информативными методами в диагностике изменений верхнечелюстных синусов одонтогенной этиологии.
Несмотря на значительный прогресс стоматологической помощи населению, в последние годы отмечается увеличение заболеваемости одонтогенным верхнечелюстным синуситом (ОВЧС), что связано со стремительным развитием интервенционной стоматологии [1, 2]. ОВЧС занимает одно из ведущих мест среди воспалительных процессов одонтогенной этиологии [1—4]. Связь ОВЧС с заболеванием зубов зачастую недооценивается специалистами, особенно если она не является очевидной, а зачастую ОВЧС рассматривается как риногенный, что может приводить к неправильному ведению пациентов. В первую очередь это касается хронических форм одонтогенного синусита при относительно бессимптомном его течении [4—8].
По данным отечественных и зарубежных исследователей, ОВЧС составляет не менее 5—8% от общего числа воспалительных заболеваний челюстно-лицевой области [9, 10]. Это объясняется тем, что очаги хронической одонтогенной инфекции не всегда удается установить при визуальном осмотре полости рта. Также они могут быть сопутствующими при риногенной форме синусита и усугублять его течение. Нередко хронический ОВЧС выявляется случайно при рентгенологическом исследовании костей лицевого черепа по поводу другой патологии [5, 7].
Частой причиной развития ОВЧС являются ошибки в эндодонтическом лечении зубов и стоматологической имплантации — проведение инструментов для обработки корневых каналов (корневые иглы, дрильборы, каналонаполнители, пульпэкстракторы), а также пломбировочного материала и импланта за верхушку корня зуба в полость пазухи. Реже инородными телами в полости синусов являются фрагменты корней зубов [1, 2, 5, 12]. К причинам развития ОВЧС также относят инфицирование пазухи при оперативном вмешательстве с перфорацией дна полости верхнечелюстного синуса: наиболее часто (до 80%) при случайном вскрытии пазухи при экстракции и кюретаже лунки после экстракции первого и второго моляров верхней челюсти, реже — при резекции верхушки корня, цистэктомии, удалении ретинированных зубов, секвестрэктомии, подсадке зубного имплантата, удалении новообразования этой области [1, 10, 15].
Ведущая роль в диагностике ОВЧС по-прежнему остается за лучевыми методами исследования. Традиционно для оценки околоносовых синусов, в том числе верхнечелюстных, применяется рентгенография в носо-подбородочной проекции, обзорные рентгенограммы черепа в прямой и боковых проекциях. Для визуализации зубов используются ортопантомография или внутриротовая контактная рентгенография, которые не позволяют достоверно оценить состояние верхнечелюстных синусов [11—14]. С внедрением современных высокотехнологичных методов лучевой диагностики — мультиспиральной компьютерной томографии (МСКТ), конусно-лучевой компьютерной томографии (КЛКТ), магнитно-резонансной томографии (МРТ) — многие врачи стали отказываться от классических рентгенологических методик ввиду их малой информативности [12—14]. При этом в протоколы описания околоносовых синусов не всегда включаются данные о состоянии альвеолярного отростка, зубов верхней челюсти [11, 13]. Это может привести к несвоевременной диагностике и различным местным и общим осложнениям у таких пациентов [15, 16].
Цель исследования — определение возможностей современных лучевых методов исследования — МСКТ и КЛКТ — в диагностике воспалительных изменений верхнечелюстных синусов (ВЧС) одонтогенной этиологии.
В период с 2013 г. по 2015 г. в отделении лучевой диагностики УКБ № 1 Первого МГМУ им. И.М. Сеченова были обследованы 166 пациентов с верхнечелюстными синуситами различной этиологии. У 110 больных (66,2%) была подтверждена одонтогенная этиология заболевания. Анализ распределения больных в соответствии с возрастом и полом показал, что из обследованных больных с ОВЧС большинство — 91 (54,8%) человек — были в молодом и зрелом возрасте от 21 года до 60 лет. Пациентов старше 60 лет было 19 (11,4%) человек, средний возраст пациентов составил 48 лет (от 21 до 81 года). Преобладали лица женского пола (62 (37,3%) женщины и 48 (28,9%) мужчин) трудоспособного возраста.
Сопоставление клинических проявлений одонтогенного ВЧС и рентгенологической картины позволило условно объединить пациентов в две группы: 66 (39,7%) пациентов с острым воспалительным процессом в верхнечелюстном синусе имели соответствующие клинические симптомы заболевания, а 44 (26,5%) пациента жалоб со стороны верхнечелюстных синусов не предъявляли (воспалительный процесс в верхнечелюстном синусе был хроническим).
Комплексное рентгенологическое исследование проводилось во всех случаях. Всем больным была выполнена компьютерная томография (МСКТ или КЛКТ): МСКТ — 76 (45,8%) пациентам, КЛКТ — 90 (54,2%) пациентам. 122 (73,5%) пациентам была выполнена рентгенография околоносовых синусов в носо-подбородочной, полуаксиальной проекциях. Для уточнения состояния зубов верхней челюсти проводилась ортопантомография (n=166, 100%) и внутриротовая контактная рентгенография (n=12, 7,3%).
При оценке и анализе диагностических изображений критериями одонтогенного синусита были следующие признаки: наличие инородного тела металлической плотности, соответствующего пломбировочному материалу или имплантату в полости синуса; глубокий кариес и признаки периодонтита премоляров и моляров верхней челюсти; разрушение нижней костной стенки верхнечелюстных синусов в области патологически измененных зубов.
Результаты и обсуждение
Анализ результатов методов лучевой диагностики позволил выявить признаки ОВЧС в 110 (66,2%) из 166 случаев. 66 (39,7%) пациентов имели характерные клинические симптомы заболевания (головная боль, субфебрильная температура, нарушение сна, ощущение тяжести в соответствующей половине лица при наклоне головы кпереди, заложенность носа только с одной стороны); эти больные были направлены на лучевое обследование оториноларингологами. Остальные 44 (26,5%) человека жалоб со стороны верхнечелюстных синусов не предъявляли; ранее они были направлены на обследование стоматологами и челюстно-лицевыми хирургами по следующим показаниям: 22 (13,2%) пациента — для уточнения стоматологического статуса, 12 (7,3%) пациентов — перед дентальной имплантацией, 10 (6%) пациентов — для послеоперационного контроля после хирургических вмешательств на верхней челюсти. В этих случаях выявленное воспаление верхнечелюстного синуса было диагностической находкой.
Как известно, острое одонтогенное воспаление верхнечелюстного синуса развивается в течение 1—3 дней. Достаточно часто причиной является воспалительный процесс верхней челюсти (острый или обострение хронического). К таким состояниям относят осложнения кариеса зубов, периодонтиты, периостит, остеомиелит, а также нагноение кист зубов или гранулем [7, 8].
Характерными жалобами пациентов с острым верхнечелюстным синуситом были: затруднение носового дыхания, ринорея, потеря обоняния, головная и лицевая боль, ощущение тяжести в соответствующей половине лица при наклоне головы кпереди, субфебрильная лихорадка, а также ночной кашель и нарушение сна. Одонтогенный синусит в отличие от риногенного имеет следующие отличительные признаки: изолированное поражение одного из верхнечелюстных синусов, боль в зубе или в пародонтальных тканях, предшествующая заболеванию, нарушение конфигурации лица в результате отека мягких тканей щеки и боль при пальпации переднелатеральной стенки верхнечелюстной пазухи.
При остром синусите на рентгенограммах определялась утолщенная слизистая оболочка, затемнение и уровень жидкости. При хроническом синусите отмечалось снижение прозрачности синуса.
При оценке и анализе диагностических изображений критериями одонтогенного синусита были следующие признаки: наличие инородного тела металлической плотности, соответствующего пломбировочному материалу или импланту в полости синуса; глубокий кариес и признаки периодонтита премоляров и моляров верхней челюсти; разрушение нижней костной стенки верхнечелюстных синусов в области патологически измененных зубов, а также частичная адентия верхней челюсти в зоне, соответствующей изменениям верхнечелюстного синуса.
При рентгенологическом исследовании у 44 (26,5%) пациентов с острым верхнечелюстным синуситом на обзорной рентгенограмме определялись утолщенная слизистая оболочка и/или субтотальное затемнение с горизонтальным уровнем жидкости. У 78 (47%) пациентов отмечалось тотальное снижение прозрачности синуса, из них у 38 (22,8%) пациентов в полости синуса были обнаружены инородные тела металлической плотности (соответствующие пломбировочному материалу). Однако низкая контрастность жидкости и мягких тканей, суммация теней затрудняли объективную оценку полученных рентгенограмм. Для дополнительной оценки состояния зубов верхней челюсти всем пациентам выполнялась ортопантомография, которая не позволяла достоверно судить о состоянии верхнечелюстных синусов, а у 13 (7,8%) пациентов — точно интерпретировать изменения в области верхушек зубов верхней челюсти (вследствие отражения проекционного наслоения сложных анатомических структур).
По результатам нашего исследования у 24 (14,5%) пациентов были обнаружены признаки хронического периодонтита в области премоляров и моляров верхней челюсти (рис. 1). Глубокий кариес был диагностирован у 4 (2,4%) пациентов, кисты верхней челюсти в области корней премоляров и моляров визуализировались в 6 (3,6%) случаях.

Рис. 1. КЛКТ. Панорамная (а) и мультипланарные реконструкции правого (б) и левого (в) верхнечелюстных синусов пациента М., 37 лет. Диагноз: двусторонний одонтогенный хронический верхнечелюсной синусит. Отмечаются КТ-признаки хронического гранулематозного периодонтита зубов 1.8, 2.7, 2.8 (в виде очагов деструкции у верхушек корней, округлой формы, с четкими ровными контурами). Нижние костные стенки синусов истончены, не прослеживаются в области периодонта зубов 1.8 и 2.8 (указаны стрелками). В нижнем отделе правого верхнечелюстного синуса определяется пристеночное мягкотканное образование гомогенной структуры с полицикличным верхним контуром. Левый верхнечелюстной синус субтотально заполнен мягкотканным содержимым гомогенной структуры с округлым верхним контуром.
Пломбировочный материал был обнаружен у 38 (22,8%) пациентов (рис. 2). Из них у 34 (20,4%) больных в подслизистом слое нижней стенки синуса, у 4 (2,4%) — в верхнем отделе у медиальной стенки синуса (рис. 3). У 8 (4,8%) пациентов диагностированы ошибки стоматологической имплантации: верхушка импланта была погружена в полость синуса, что стало причиной развития хронического одонтогенного верхнечелюстного синусита, а также осложнений в виде хронического полисинусита (n=4; 2,4%).

Рис. 2. МСКТ. Коронарная (а) и сагиттальная (б) реконструкции правого верхнечелюстного синуса пациента К., 29 лет. Диагноз: правосторонний одонтогенный хронический верхнечелюстной синусит. Корни зубов 1.6, 1.7 и 1.8 погружены в полость верхнечелюстного синуса. Состояние после эндодонтического лечения зубов 1.6 и 1.7, с выведением пломбировочного материала за верхушку небного корня 1.7. В области корней зубов 1.6 и 1.7 отмечается разрежение костной ткани с нечеткими неровными контурами (рентгенологические признаки гранулирующего периодонтита). В нижнем отделе синуса определяется пристеночное мягкотканное образование с полицикличным контуром, костные стенки синуса в данной области не прослеживаются.

Рис. 3. КЛКТ. Сагиттальная реконструкция, правый верхнечелюстной синус. Пациент У., 48 лет. Диагноз: правосторонний одонтогенный хронический верхнечелюстной синусит. Зубы 1.6 и 1.7 после эндодонтического лечения, отмечается выведение пломбировочного материала за верхушки корней зуба 1.6 (материал располагается в костной ткани альвеолярного отростка и в подслизистом слое синуса). Определяется разрежение костной ткани в области корней 1.6 и 1.7, костная стенка синуса в данной области не прослеживается (стрелка). В нижнем отделе синуса определяется утолщение слизистой оболочки до 10 мм, в верхнемедиальном отделе синуса визуализируется инородное тело неправильной формы металлической плотности (соответствует фрагментам пломбировочного материала).
В нашем исследовании у 30 (18,1%) пациентов наблюдалось отсутствие зубов верхней челюсти в зоне, соответствующей изменениям верхнечелюстного синуса, что также позволяло судить об одонтогенности верхнечелюстного синусита.
1. Высокотехнологичные методы лучевой диагностики (МСКТ или КЛКТ) являются необходимой составляющей комплексной диагностики ОВЧС.
2. Применение компьютерной томографии (МСКТ или КЛКТ) позволяет определить причину ОВЧС и, таким образом, выбрать правильную тактику ведения пациентов.
3. МСКТ или КЛКТ должны быть рекомендованы пациентам до и после эндодонтического лечения зубов и стоматологической имплантации, а также при хирургических вмешательствах на верхней челюсти с целью своевременного выявления возможных патологических изменений верхнечелюстных синусов (в том числе бессимптомных).
Конфликт интересов: авторы статьи подтвердили отсутствие финансовой поддержки/конфликта интересов, о которых необходимо сообщить.
Читайте также:
