Дифференциальная диагностика туберкулеза пожилых. Лечение туберкулеза пожилых.
Добавил пользователь Евгений Кузнецов Обновлено: 29.10.2025
Клиника туберкулеза бронхов. Дифференциальная диагностика туберкулеза бронхов.
Клинические проявления туберкулеза крупных бронхов зависят от его характера, тяжести, распространенности и локализации, наличия осложнений (стеноз, деструкция), а также от изменений в легочной ткани. Классические симптомы в виде надсадного сухого кашля, локализованных болей в груди, приступообразной одышки, которая неадекватна распространенности легочных изменений, кровохарканья или бацилловыделения при отсутствии деструкции в легких, откашливания частиц казеоза или кальцинатов и др. наблюдаются редко, главным образом у больных с тяжелыми свищевыми или язвенными поражениями, осложненными стенозами, п более выражены при локализации патологического процесса в рефлексогенных зонах.
В настоящее время у 39—55% больных отмечается бессимптомное течение туберкулеза крупных бронхов. Остальные жалуются на более или менее сильный кашель с выделением необильной мокроты без запаха, а при нарушении бронхиального дренажа — на периодическую задержку мокроты.
Рентгенологическое отображение туберкулеза крупных бронхов складывается из прямых и косвенных признаков. К прямым симптомам, выявляемым с помощью рентгенотомографии и бронхографии, относятся изменения ширины просвета и толщины стенок бронха, а также выбухание или прерывистость внутреннего контура бронха на отдельных участках. К косвенным рентгенологическим симптомам относятся обусловленные туберкулезом бронхов различного рода нарушения вентиляции легких (гиповентиляция, клапанное вздутие, обтурационный ателектаз), нарушение дренажной функции бронхов (уровень жидкости в каверне), а также наличие бронхогенного обсеменения при отсутствии деструкции в легочной ткани.

Сходные с туберкулезом клинические и рентгенологические признаки наблюдаются при неспецифических заболеваниях органов дыхания (хронические бронхиты, затяжные пневмонии, первичные злокачественные и доброкачественные опухоли, саркоидоз и др.). В этих случаях возникает необходимость дифференцировать природу патологических изменений в трахеобронхиальной системе. Эндоскопическая картина, цито-гистологическое и бактериологическое исследование материала, получаемого при бронхоскопии, а также наблюдение за динамикой бронхиального процесса позволяют установить характер заболевания.
Неспецифические эндобронхиты характеризуются большей распространенностью, выраженной отечностью, гиперемией, иногда кровоточивостью слизистой оболочки, образованием обильного слизистого или гнойного секрета и меньшей степенью инфильтрации стенок бронхов. Эти изменения могут обусловить образование воспалительного стеноза, который обычно не достигает значительной степени. Кроме того, при неспецифическом эндобронхите в отличие от туберкулеза редко разрастаются грануляции, образуются язвы, свищи и рубцы в бронхах. Следует иметь в виду, что воспалительные поражения бронхов выявляются у больных преимущественно при обострении хронических, особенно гнойных, процессов в легких (абсцессы, бронхоэктазы, гангрена и др.). Для верификации характера бронхиальных изменений рекомендуется производить биопсию патологических участков, исследовать бронхиальный секрет, мазки и смывы со стенок бронхов. В цитограмме можно обнаружить элементы неспецифического воспаления, между тем как при туберкулезе выявляются эпителиоидные и гигантские клетки Пирогова — Лангханса. Неспецифические эндобронхиты при соответствующем лечении ликвидируются быстрее, чем туберкулезные, и это надо учитывать при оценке данных повторных бронхоскопий.
Вместе с тем следует иметь в виду, что в морфологической картине современного туберкулеза бронхов значительно выражен неспецифический компонент воспаления, что затрудняет дифференциальную диагностику, особенно при незначительном размере биопсированного кусочка ткани.
Дифференциальная диагностика туберкулеза и опухолей бронхов основана на учете эндоскопической картины, а главным образом на результатах цитологического и гистологического исследования материала, полученного при биопсии, катетеризации, пункции и т. д.
В зависимости от характера роста, локализации и стадии развития рака бронхов выявляются прямые и косвенные его признаки. К прямым относятся различного вида разрастания ткани (округлые, бугристые, типа малины или цветной капусты) или шероховатые утолщения на внутренней оболочке бронха. Они розового, белесоватого, красного или вишневого цвета, иногда с плотными наложениями на поверхности, а чаще с некрозом или изъязвлением, легко кровоточат при прикосновении. В таких случаях прямая биопсия опухоли, мазки и отпечатки позволяют поставить диагноз по гистологическим и цитологическим данным.
Косвенные признаки опухоли выявляются обычно при ее перибронхиальном росте. Они выражаются в сужении просвета бронха за счет смещения и выпячивания его стенок, а также в изменении слизистой оболочки, которая становится утолщенной, шероховатой и кровоточивой. Цвет слизистой оболочки меняется в связи со сдавлением и прорастанием опухолью сосудов бронха. Очень важными функциональными симптомами рака являются ригидность стенок бронхов и их устьев («симптом мертвого устья») при дыхании, а также отсутствие передаточной пульсации. Однако при биопсии стенки измененного бронха не всегда удается обнаружить раковые клетки. При метастазировании опухоли в лимфатические узлы средостения можно наблюдать уплощение шпоры трахеи, приобретающей иногда седлообразную форму. При этом в части случаев при трансбронхиальной пункции можно получить материал из лимфатического узла, содержащий клетки опухоли.
Информация на сайте подлежит консультации лечащим врачом и не заменяет очной консультации с ним.
См. подробнее в пользовательском соглашении.
Дифференциальная диагностика туберкулеза пожилых. Лечение туберкулеза пожилых.
Дифференциальная диагностика туберкулеза органов дыхания в пожилом и старческом возрасте основывается на тех же принципах, что и у более молодых больных. Но у пожилых требуются большая онкологическая настороженность и учет различных сопутствующих болезней, которые могут маскировать основной патологический процесс. Возникающие при этом диагностические затруднения усугубляются невозможностью использования у части больных бронхоскопического и других инструментальных методов исследования, а также из-за снижения общей и иммунологической реактивности организма. Этими причинами в некоторой степени следует объяснить более частые диагностические ошибки по сравнению с таковыми у больных молодого возраста. Избежать таких ошибок можно лишь при тщательном учете анамнестических данных, результатов физического и рентгенологического исследования больного.
Лечение больных туберкулезом пожилого возраста отличается некоторыми особенностями. Они обусловлены измененной реактивностью таких больных, часто плохой переносимостью ими некоторых туберкулоста-тических препаратов, сопутствующими заболеваниями, затрудняющими применение последних, ограниченными возможностями использования оперативного вмешательства и т. д. Тем не менее при правильно построенном комплексном лечении у многих больных старческим туберкулезом может быть достигнут не только симптоматический, но и хороший местный эффект, абациллирование и стойкое излечение.
Своеобразие патогенеза и клиники туберкулеза в пожилом и старческом возрасте определяет результаты лечения таких больных. По нашим наблюдениям, а также по данным А. А. Рейнвальда (1973), А. Д. Семенова и соавт. (1963), И. А. Флита (1973) и др., под влиянием химиотерапии при свежих инфильтративных, диссеминированных и очаговых формах туберкулеза легких дезинтоксикация, абациллирование мокроты и закрытие каверн наступают почти также часто, как и у лиц более молодого возраста. Но репаративные процессы при старческом туберкулезе замедлены, и поэтому его излечение наступает в более длительные сроки (12—18 мес и более).

Между тем при старом туберкулезе в результате химиотерапии реже прекращается бацилловыделение и еще реже закрываются каверны. Кроме того, у пожилых и престарелых больных чаще, чем у молодых, туберкулостатические средства вызывают различные побочные явления, особенно при наличии у них одновременно атеросклероза, гипертонической болезни, хронического колита, гепатита, диабета и т. д. Лечение затрудняется, кроме того, из-за частой лекарственной устойчивости микобактерий, образующихся при длительном, но беспорядочном лечении. В таких случаях довольно ограничены возможности оперативного лечения. Резекция легкого или торакопластика могут быть применены главным образом при ограниченных процессах, удовлетворительных функциональных показателях, при отсутствии серьезных сопутствующих заболеваний.
Эти обстоятельства побуждают строго индивидуализировать методику химиотерапии у больных пожилого возраста, используя наименее токсичные препараты, в частности этамбутол, метазид, рифадин, интермиттирующие курсы их применения и т. д. Весьма важное значение имеет одновременное использование способов патогенетической терапии, а также различных средств, улучшающих обменные процессы, функцию нервной системы, дыхания и кровоснабжения.
Профилактика развития старого туберкулеза неразрывно связана со своевременным выявлением и рациональным лечением больных еще в молодом и среднем возрасте, а также с систематическим флюорографическим контролем лиц старшего возраста.
Но проблема туберкулеза в пожилом и старческом возрасте не ограничивается только вопросами патогенеза, клиники, терапии и профилактики. Не малое значение имеют и ее эпидемиологические аспекты. Многие из этих больных — бацилловыделители. Не все из них тщательно соблюдают правила личной гигиены и санитарной профилактики. При таких условиях создается реальная возможность рассеивания инфекции среди окружающих, особенно детей и подростков. И действительно, наблюдения показывают, что уровень инфицированности и заболеваемости контактирующих с такими больными еще остается сравнительно высоким. Вот почему методы по предупреждению распространения инфекции больными пожилого возраста приобретают весьма важное значение (изоляция, более длительное пребывание в лечебном учреждении и т. д.).
Существенную роль имеет также правильное решение вопроса о трудоспособности и реабилитации пожилых людей, страдающих различными формами туберкулеза органов дыхания. Наблюдения показывают, что преклонный и даже старческий возраст не всегда синоним инвалидности. Те больные, у которых процесс протекает благоприятно, без частых и выраженных обострений и при отсутствии серьезных сопутствующих заболеваний, порой длительно сохраняют трудоспособность. Наиболее продуктивен труд пожилых людей высокой квалификации, занятых на работах, требующих специального опыта и знаний и не сопровождающихся значительной затратой физических сил. При правильном трудоустройстве, сокращении рабочего дня и в благоприятных санитарно-гигиенических условиях они могут успешно работать в своей или в близкой к ней профессии.
Таким образом, туберкулез в пожилом и старческом возрасте — актуальная проблема современной фтизиатрии и гериатрии, важная в клиническом, терапевтическом, эпидемиологическом и социально-экономическом отношении.
Туберкулез легких
Туберкулез легких – это инфекционная патология, вызываемая бациллой Коха, характеризующаяся различными в клинико-морфологическом отношении вариантами поражения легочной ткани. Многообразие форм туберкулеза легких обусловливает вариабельность симптоматики. Наиболее типичны для туберкулеза легких респираторные нарушения (кашель, кровохарканье, одышка) и симптомы интоксикации (длительный субфебрилитет, потливость, слабость). Для подтверждения диагноза используются лучевые, лабораторные исследования, туберкулинодиагностика. Химиотерапия туберкулеза легких проводится специальными туберкулостатическими препаратами; при деструктивных формах показано хирургическое лечение.
МКБ-10


Общие сведения
Туберкулез легких – заболевание инфекционной этиологии, протекающее с образованием в легких специфических воспалительных очагов и общеинтоксикационным синдромом. Заболеваемость туберкулезом легких имеет древнейшую историю: туберкулезная инфекция была известна еще представителям ранних цивилизаций. Прежнее название заболевания «рhtisis» в переводе с греческого обозначает «чахотка, истощение», а учение о туберкулезе получило название «фтизиатрии».
На сегодняшний день туберкулез легких представляет не только медико-биологическую, но и серьезную социально-экономическую проблему. По данным ВОЗ, туберкулезом инфицирован каждый третий житель планеты, смертность от инфекции превышает 3 млн. человек в год. Легочный туберкулез является самой частой формой туберкулезной инфекции. Удельный вес туберкулеза других локализаций (суставов, костей и позвоночника, гениталий, кишечника, серозных оболочек, ЦНС, глаз, кожи) в структуре заболеваемости значительно ниже.

Причины
Характеристика возбудителя
Отличительной чертой МБТ является их высокая устойчивость к внешним воздействиям (высоким и низким температурам, влажности, воздействию кислот, щелочей, дезинфектантов). Наименьшую стойкость возбудители туберкулеза легких демонстрируют к солнечному свету. Для человека опасность представляют туберкулезные бактерии человеческого и бычьего типа; случаи инфицирования птичьим типом микобактерий крайне редки.
Пути заражения
Основной путь заражения при первичном туберкулезе легких – аэрогенный: от больного открытой формой человека микобактерии распространяются с частичками слизи, выделяемыми в окружающую среду при разговоре, чихании, кашле; могут высыхать и разноситься с пылью на значительные расстояния. В дыхательные пути здорового человека инфекция чаще попадает воздушно-капельным или пылевым путем.
Меньшую роль в инфицировании играют алиментарный (при употреблении зараженных продуктов), контактный (при использовании общих предметов гигиены и посуды) и трансплацентарный (внутриутробный) пути. Причиной вторичного туберкулеза легких выступает повторная активация ранее перенесенной инфекции либо повторное заражение.
Факторы риска
Однако попадание МБТ в организм не всегда приводит к заболеванию. Факторами, на фоне которых туберкулез легких развивается особенно часто, считаются:
- неблагоприятные социально-бытовые условия
- курение и другие химические зависимости
- недостаточное питание
- иммуносупрессия (ВИЧ-инфекция, прием глюкокортикоидов, состояние после трансплантации органов)
- онкологические заболевания и др.
В группе риска по развитию туберкулеза легких находятся мигранты, заключенные, лица, страдающие наркотической и алкогольной зависимостью. Также имеет значение вирулентность инфекции и длительность контакта с больным человеком.
Патогенез
При снижении местных и общих факторов защиты микобактерии беспрепятственно проникают в бронхиолы, а затем в альвеолы, вызывая специфическое воспаление в виде отдельных или множественных туберкулезных бугорков или очагов творожистого некроза. В этот период появляется положительная реакция на туберкулин - вираж туберкулиновой пробы. Клинические проявления туберкулеза легких на этой стадии часто остаются нераспознанными. Небольшие очажки могут самостоятельно рассасываться, рубцеваться или обызвествляться, однако МБТ в них длительно сохраняются.
«Пробуждение» инфекции в старых туберкулезных очагах происходит при столкновении с экзогенной суперинфекцией либо под влиянием неблагоприятных эндо- и экзогенных факторов. Вторичный туберкулез легких может протекать в экссудативной или продуктивной форме. В первом случае вокруг первоначального очага развивается перифокальное воспаление; в дальнейшем инфильтраты могут подвергаться распаду, расплавлению с отторжением казеозных масс и формированию каверн. При продуктивных формах туберкулезного процесса в легких разрастается соединительная ткань, что приводит к легочному фиброзу, деформации бронхов, формированию бронхоэктазов.
Классификация
Первичный туберкулез легких - это впервые развившаяся инфильтрация легочной ткани у лиц, не имеющих специфического иммунитета. Диагностируется преимущественно в детском и подростковом возрасте; реже возникает у лиц старшего и пожилого возраста, которые в прошлом перенесли первичную инфекцию, закончившуюся полным излечением. Первичный туберкулез легких может принимать форму:
- первичного туберкулезного комплекса (ПТК)
- туберкулеза внутригрудных лимфоузлов (ВГЛУ)
- хронически текущего туберкулеза.
Вторичный туберкулез легких развивается при повторном контакте с МБТ или в результате реактивации инфекции в первичном очаге. Основные вторичные клинические формы представлены:
Отдельно различают кониотуберкулез (туберкулез, развивающийся на фоне пневмокониозов), туберкулез верхних дыхательных путей, трахеи, бронхов; туберкулезный плеврит. При выделении больным МБТ в окружающую среду с мокротой говорят об открытой форме (ВК+) туберкулеза легких; при отсутствии бацилловыделения – о закрытой форме (ВК–). Также возможно периодическое бацилловыделение (ВК±).
Течение туберкулеза легких характеризуется последовательной сменной фаз развития:
- 1) инфильтративной
- 2) распада и обсеменения
- 3) рассасывания очага
- 4) уплотнения и обызвествления.
Симптомы туберкулеза легких
Первичный туберкулезный комплекс
Первичный туберкулезный комплекс сочетает в себе признаки специфического воспаления в легком и регионарный бронхоаденит. Может протекать бессимптомно или под маской простудных заболеваний, поэтому выявлению первичного туберкулеза легких способствуют массовые скрининги детей (проба Манту) и взрослых (профилактическая флюорография).
Чаще возникает подостро: больного беспокоит сухой кашель, субфебрилитет, утомляемость, потливость. При острой манифестации клиника напоминает неспецифическую пневмонию (высокая лихорадка, кашель, боль в груди, одышка). В результате лечения происходит рассасывание или обызвествление ПТК (очаг Гона). В неблагоприятных случаях может осложняться казеозной пневмонией, образованием каверн, туберкулезным плевритом, милиарным туберкулезом, диссеминацией микобактерий с поражением почек, костей, мозговых оболочек.
Туберкулез внутригрудных лимфоузлов
При туберкулезе ВГЛУ симптоматика обусловлена сдавлением крупных бронхов и органов средостения увеличенными лимфоузлами. Для данной формы характерны сухой кашель (коклюшеподобный, битональный), увеличение шейных и подмышечных узлов. У детей раннего возраста нередко возникает затрудненный выдох - экспираторный стридор. Температура субфебрильная, могут иметь место фебрильные «свечки».
Признаки туберкулезной интоксикации включают отсутствие аппетита, снижение массы тела, утомляемость, бледность кожи, темные круги под глазами. На венозный застой в грудной полости может указывать расширение венозной сети на коже грудной клетки. Данная форма нередко осложняется туберкулезом бронхов, сегментарными или долевыми ателектазами легких, хронической пневмонией, экссудативным плевритом. При прорыве казеозных масс из лимфоузлов через стенку бронхов могут формироваться легочные очаги туберкулеза.
Очаговый туберкулез легких
Клиническая картина очагового туберкулеза малосимптомна. Кашель отсутствует или возникает редко, иногда сопровождается выделением скудной мокроты, болями в боку. В редких случаях отмечается кровохарканье. Чаще больные обращают внимание на симптомы интоксикации: непостоянный субфебрилитет, недомогание, апатию, пониженную работоспособность. В зависимости от давности туберкулезного процесса различают свежий и хронический очаговый туберкулез легких.
Течение очагового туберкулеза легких относительно доброкачественное. У больных с нарушенной иммунной реактивностью заболевание может прогрессировать в деструктивные формы туберкулеза легких.
Инфильтративный туберкулез легких
Клиническая картина инфильтративного туберкулеза легких зависит от величины инфильтрата и может варьировать от нерезко выраженных симптомов до острого лихорадочного состояния, напоминающего грипп или пневмонию. В последнем случае отмечается выраженная высокая температура тела, ознобы, ночная потливость, общая слабость. Со стороны органов дыхания беспокоит кашель с мокротой и прожилками крови.
В воспалительный процесс при инфильтративной форме туберкулеза легких часто вовлекается плевра, что обусловливает появление болей в боку, плеврального выпота, отставание пораженной половины грудной клетки при дыхании. Осложнениями инфильтративного туберкулеза легких могут стать казеозная пневмония, ателектаз легкого, легочное кровотечение и др.
Диссеминированный туберкулез легких
Может манифестировать в острой (милиарной), подострой и хронической форме. Тифоидная форма милиарного туберкулеза легких отличается преобладанием интоксикационного синдрома над бронхолегочной симптоматикой. Начинается остро, с нарастания температуры до 39-40 °С, головной боли, диспепсических расстройств, резкой слабости, тахикардии. При усилении токсикоза может возникать нарушение сознания, бред.
При легочной форме милиарного туберкулеза легких с самого начала более выражены дыхательные нарушения, включающие сухой кашель, одышку, цианоз. В тяжелых случаях развивается острая сердечно-легочная недостаточность. Менингеальной форме соответствуют симптомы поражения мозговых оболочек.
Подострое течение диссеминированного туберкулеза легких сопровождается умеренной слабостью, понижением работоспособности, ухудшением аппетита, похуданием. Эпизодически возникают подъемы температуры. Кашель продуктивный, не сильно беспокоит больного. Иногда первым признаком заболевания становится легочное кровотечение.
Хронический диссеминированный туберкулез легких при отсутствии обострения бессимптомен. Во время вспышки процесса клиническая картина близка к подострой форме. Диссеминированный туберкулеза легких опасен развитием внелегочного туберкулеза, спонтанного пневмоторакса, тяжелых легочных кровотечений, амилоидоза внутренних органов.
Кавернозный и фиброзно-кавернозный туберкулез легких
Характер течения кавернозного туберкулезного процесса волнообразный. В фазу распада нарастают интоксикационные симптомы, гипертермия, усиливается кашель и увеличивается количество мокроты, возникает кровохарканье. Часто присоединяется туберкулез бронхов и неспецифический бронхит.
Фиброзно-кавернозный туберкулез легких отличается формированием каверн с выраженным фиброзным слоем и фиброзными изменениями легочной ткани вокруг каверны. Протекает длительно, с периодическими обострениями общеинфекционной симптоматики. При частых вспышках развивается дыхательная недостаточность II-III степени.
Осложнениями, связанными с деструкцией легочной ткани, являются профузное легочное кровотечение, бронхоплевральный свищ, гнойный плеврит. Прогрессирование кавернозного туберкулеза легких сопровождается эндокринными расстройствами, кахексией, амилоидозом почек, туберкулезным менингитом, сердечно-легочной недостаточностью – в этом случае прогноз становится неблагоприятным.
Цирротический туберкулез легких
Является исходом различных форм туберкулеза легких при неполной инволюции специфического процесса и развитии на его месте фиброзно-склеротических изменений. При пневмоциррозе бронхи деформированы, легкое резко уменьшено в размерах, плевра утолщена и нередко обызвествлена.
Изменения, происходящие при цирротическом туберкулезе легких, обусловливают ведущие симптомы: выраженную одышку, тянущую боль в груди, кашель с гнойной мокротой, кровохарканье. При обострении присоединятся признаки туберкулезной интоксикации и бацилловыделение. Характерным внешним признаком пневмоцирроза служит уплощение грудной клетки на стороне поражения, сужение и втянутость межреберных промежутков. При прогрессирующем течении постепенно развивается легочное сердце. Цирротические изменения в легких необратимы.
Туберкулома легкого
Представляет собой инкапсулированный казеозный очаг, сформировавшийся в исходе инфильтративного, очагового или диссеминированного процесса. При стабильном течении симптомы не возникают, образование выявляется при рентгенографии легких случайно. В случае прогрессирующей туберкуломы легкого нарастает интоксикация, появляется субфебрилитет, боль в груди, кашель с отделением мокроты, возможно кровохарканье. При распаде очага туберкулома может трансформироваться в кавернозный или фиброзно-кавернозный туберкулез легких. Реже отмечается регрессирующее течение туберкуломы.
Диагностика
Диагноз той или иной формы туберкулеза легких выставляется врачом-фтизиатром на основании совокупности клинических, лучевых, лабораторных и иммунологических данных. Для распознавания вторичного туберкулеза большое значение имеет подробный сбор анамнеза. Для подтверждения диагноза проводится:
- Лучевая диагностика.Рентгенография легких является обязательным диагностической процедурой, позволяющей выявить характер изменений в легочной ткани (инфильтративный, очаговый, кавернозный, диссеминированный и т. д.), определить локализацию и распространенность патологического процесса. Выявление кальцинированных очагов указывает на ранее перенесенный туберкулезный процесс и требует уточнения данных с помощью КТ или МРТ легких.
- Анализы. Обнаружение МБТ достигается неоднократным исследованием мокроты (в т. ч. с помощью ПЦР), промывных вод бронхов, плеврального экссудата. Но сам по себе факт отсутствия бацилловыделения не является основанием для исключения туберкулеза легких. Современные иммунологические тесты позволяют выявить туберкулезную инфекцию почти со 100%-ной вероятностью. К ним относятся QuantiFERON и Т-спот. ТБ.
- Туберкулинодиагностика. К методам туберкулинодиагностики относятся диаскин-тест, пробы Пирке и Манту, однако сами по себе данные методы могут давать ложные результаты. Иногда для подтверждения туберкулеза легких приходится прибегать к пробному лечению противотуберкулезными препаратами с оценкой динамики рентгенологической картины.
По результатам проведенной диагностики туберкулез легких дифференцируют с пневмонией, саркоидозом легких, периферическим раком легкого, доброкачественными и метастатическими опухолями, пневмомикозами, кистами легких, абсцессом, силикозом, аномалиями развития легких и сосудов. Дополнительные методы диагностического поиска могут включать бронхоскопию, плевральную пункцию, биопсию легкого.

Лечение туберкулеза легких
Во фтизиатрической практике сформировался комплексный подход к лечению туберкулеза легких, включающий медикаментозную терапию, при необходимости - хирургическое вмешательство и реабилитационные мероприятия. Лечение проводится поэтапно: сначала в тубстационаре, затем в санаториях и, наконец, амбулаторно. Режимные моменты требуют организации лечебного питания, физического и эмоционального покоя.
- Противотуберкулезная терапия. Ведущая роль отводится специфической химиотерапии с помощью препаратов с противотуберкулезной активностью. Для терапии различных форм туберкулеза легких разработаны и применяются 3-х, 4-х и 5-тикомпонентные схемы (в зависимости от количества используемых препаратов). К туберкулостатикам первой линии (обязательным) относятся изониазид и его производные, пиразинамид, стрептомицин, рифампицин, этамбутол; средствами второго ряда (дополнительными) служат аминогликозиды, фторхинолоны, циклосерин, этионамид и др. Способы введения препаратов различны: перорально, внутримышечно, внутривенно, эндобронхиально, внутриплеврально, ингаляторно. Курсы противотуберкулезной терапии проводят длительно (в среднем 1 год и дольше).
- Патогенетическая терапия. При туберкулезе легких включает прием противовоспалительных средств, витаминов, гепатопротекторов, инфузионную терапию и пр. В случае лекарственной резистентности, непереносимости противотуберкулезных средств, при легочных кровотечениях используется коллапсотерапия.
- Хирургическое лечение. При соответствующих показаниях (деструктивных формах туберкулеза легких, эмпиеме, циррозе и ряде др.) применяются различные оперативные вмешательства: кавернотомию, торакопластику, плеврэктомию, резекцию легких.
Профилактика
Профилактика туберкулеза легких является важнейшей социальной проблемой и приоритетной государственной задачей. Первым шагом на этом пути является обязательная вакцинация новорожденных, детей и подростков. При массовых обследованиях в дошкольных и школьных учреждениях используется постановка внутрикожных туберкулиновых проб Манту. Скрининг взрослого населения осуществляется путем проведения профилактической флюорографии.
Причины туберкулеза пожилых. Проявления туберкулеза пожилых.
Schwartz и Beuttas (1972) при тщательном рентгеноморфологическом исследовании органов дыхания 325 умерших от различных причин (кроме туберкулеза) в возрасте от 50 до 97 лет обнаружили почти во всех случаях обызвествленные и почти в 20% — свежие гранулирующие туберкулезные очаги, в 2% — каверны; более чем в половине случаев из этих очагов были выделены вирулентные микобактерии туберкулеза. При неблагоприятных условиях такие латентные специфические изменения обостряются, что проявляется соответствующей клинической картиной болезни.
Отрицательную роль играют при этом различные патологические изменения в органах и функциональные расстройства, характерные для пожилого и старческого возраста. В результате этих изменений могут развиться вегетативно-трофические, нервно-психические, эндокринные и адаптационно-регуляторные нарушения, понижается фагоцитарная активность ретикуло-гистиоцитарной системы. Происходят дистрофические изменения соединительной ткани в виде фрагментации коллагеновых волокон, нарастания гиалиноза и накопления кислых мукополисахаридов в капсуле туберкулезных очагов и рубцов. Определенное значение нарастающему с возрастом гиалинозу и амилоидозу в специфических очагах придают также Schwartz и Beuttas (1972). Все эти условия, естественно, способствуют оживлению старых и прогрессированию вновь образованных туберкулезных очагов в легких, лимфатических узлах и других органах пожилых людей.
Неблагоприятно отражаются на сопротивляемости их организма туберкулезной инфекции различные сопутствующие заболевания. Еще Naunyn называл пожилого человека большим ансамблем возрастных нарушений и многих заболеваний. О справедливости этого утверждения свидетельствуют также многочисленные наблюдения ряда современных авторов над больными туберкулезом органов дыхания. Правда, частота обнаруживаемых при этом заболеваний варьирует в значительных пределах в зависимости от возрастно-полового состава больных, характера и давности у них специфического процеса, применяемых методов обследования и даже профиля лечебно-профилактических учреждений, под наблюдением которых состоят больные туберкулезом (диспансеры, санатории, клиники, больницы). Кроме того, при изучении данного вопроса не всегда различают сопутствующие основному процессу заболевания от его осложнений.

Это относится прежде всего к оценке таких состояний, как хронический бронхит, эмфизема, пневмосклероз. Вот почему наиболее репрезентативными следует считать сведения о частоте тех или иных заболеваний, сопутствующих туберкулезу у впервые выявленных больных, учтенных диспансерами. Среди именно такой группы лиц старше 50 лет И. А. Флит (1973) обнаружил в среднем у 55,6% различные неспецифические заболевания органов дыхания, у 53,8% — органов кровообращения, у 16,4% — пищеварительного тракта, у 5,8 % — диабет, у 3,2 % — заболевания суставов, у 2% — злокачественные новообразования. Уровень этих показателей закономерно увеличивается с возрастом. В этом мы могли убедиться при изучении клинического состава больших групп впервые выявленных больных (более 3000 человек), наблюдавшихся на протяжении последних 10 лет в ряде диспансеров Москвы, некоторых санаториях и клинике туберкулеза ЦОЛИУ врачей.
Наряду с указанными клинико-биологическими факторами весьма важную роль в заболевании туберкулезом людей пожилого возраста играют социально-бытовые условия их жизни, доступпость и качество оказываемой им лечебно-профилактической помощи. Во многих капиталистических странах они испытывают экономические затруднения, неполноценно питаются, недостаточно обеспечены благоустроенным жилищем и медицинским обслуживанием, страдают алкоголизмом и т. д.
Вот каким представляется, по описанию Freour (1960), образ пожилого больного туберкулезом органов дыхания во Франции: в возрасте 50—65 лет — это мужчина в 3 из 4 случаев, алкоголик в 2 случаях из 3, почти всегда испытывающий различные житейские невзгоды и обездоленный в социальном отношении, в 1 из 3 случаев отягощенный различными приобретенными в прошлом заболеваниями. В 65—79 лет — это в одном из 2 случаев мужчина, в одном из 4 — алкоголик, в одном из 2 страдает различными соматическими болезнями и нередко психическими нарушениями, почти всегда истощенный из-за нищеты и недоедания. Больной туберкулезом 80 лет и старше, как правило, истощен, часто обездолен жизнью, лишен положительных эмоций и представляет собой «музей» различных патологических состояний. Вместе с тем ему мало доступна квалифицированная медицинская помощь, а лица старше 65 лет, особенно женщины, сравнительно редко подвергаются систематическому флюорографическому обследованию. Таким образом, заключает Freour, пожилые люди представляют собой как бы отрезанный от всего остального населения ломоть, забытый медициной и законодательством.
Более половины из них умерли в терапевтических и инфекционных отделениях общих больниц, около 1/4 — дома, а остальные в противотукрайне редко смог обнаружить у умерших в преклонном возрасте изменения в легких и во внутригрудных лимфатических узлах, более или менее характерные для данной формы процесса. За многие годы работы в клинике мы ни разу не наблюдали ее у пожилых больных туберкулезом.
В то же время обращает на себя внимание другой бесспорный и повсеместно установленный факт — прогрессирующая с возрастом частота обнаружения специфических изменений в органах дыхания у клинически здоровых людей. Еще до Великой Отечественной войны мы могли установить при рентгенографическом исследовании, что очаги Гона, обызвествленные внутригрудные лимфатические узлы, участки фиброза, инкапсулированные очаги, плевральные изменения среди здоровых людей, не имеющих явного соприкосновения с бацилловыделителями, отмечаются в возрасте 15—19 лет — у 3% обследованных, в 20—29 лет — у 5,4%, в 30—39 лет — у 6,3%, а после 40 лет — у 10,3%. Среди «контактов» такого рода изменения определялись в 2—3 раза чаще. Подобная закономерность имеет место и в настоящее время. Так, при сплошном флюорографическом обследовании населения, проживавшего в 1969 г. в Москве в районе противотуберкулезного диспансера № 13, указанные выше рентгенологические находки отмечались среди мужчин и женщин в возрасте до 40 лет соответственно у 7,1 и 7,9%, 40—49 лет — у 16,7 и 14,2%, 50— 59 лет - у 18,6 и 18%, 60-69 лет - у 22,1 и 18,9%, а в возрасте 70 лет и старше — у 25,7 — 16,9%.
Диссеминированный туберкулез легких ( Милиарный туберкулез )
Диссеминированный туберкулез легких – это клиническая форма туберкулезной инфекции, характеризующаяся формированием в легких многочисленных очагов специфического воспаления вследствие гематогенного или лимфогенного распространения микобактерий. Диссеминированный туберкулез легких протекает остро, подостро или хронически; с общим недомоганием, гипертермией, одышкой, влажным кашлем, кровохарканьем. Основными методами выявления диссеминированного туберкулеза легких служат рентгенодиагностика, туберкулинодиагностика, определение МБТ в мокроте и секрете бронхов. Лечение проводится специфическими противотуберкулезными препаратами по специальным схемам.

Диссеминированный туберкулез легких может представлять собой осложненный вариант первичного туберкулеза или носить вторичный характер и развиваться у пациентов, ранее перенесших первичную туберкулезную инфекцию. Возникновение диссеминированной формы связано с распространением микобактерий по кровеносным или лимфатическим путям из легочного очага или других органов (внутригрудных лимфатических узлов, костей, мочеполовой системы и т. д.). Для развития диссеминированного туберкулеза легких необходимо наличие следующих условий:
- туберкулезной бактериемии (или бактериолимфии),
- гиперсенсибилизации к туберкулезной инфекции,
- резкого снижения общей резистентности.
Рассеиванию МБТ по организму способствуют другие инфекционные заболевания (грипп, корь, ВИЧ), аллергические реакции и иммунодефициты различного генеза, гиповитаминоз, алкоголизм и наркомания, гиперинсоляция или переохлаждение и пр. Довольно часто диссеминированный туберкулез легких развивается у пациентов с эндокринными нарушениями (сахарным диабетом) или физиологическими гормональными изменениями (в период беременности и после родов, в пожилом и старческом возрасте).
К группе высокого риска относятся лица, находящиеся в тесном контакте с больными открытой формой туберкулеза (выделяющими микобактерии). Также диссеминированный туберкулез легких может развиваться у детей, не получавших вакцину БЦЖ.
В условиях снижения напряженности общего и противотуберкулезного иммунитета может возникнуть реверсия туберкулезной инфекции в остаточных очагах с выходом микобактерий в кровяное или лимфатическое русло. Оседанию МБТ в легких способствует густая сеть легочных капилляров, артериол и венул, относительно медленный кровоток. При поступлении значительного количества микобактерий в кровь и выраженном снижении противотуберкулезного иммунитета может развиться генерализованный диссеминированный туберкулез с очагами в различных органах или туберкулезный сепсис.
В зависимости от путей распространения микобактерий по организму различают гематогенный, лимфогенный и лимфобронхогенный диссеминированный туберкулез. Все три варианта могут носить острое, подострое или хроническое течение, ограниченный или распространенный характер.
- Острый диссеминированный туберкулез легких чаще всего имеет гематогенное распространение. По размеру туберкулезных очагов он делится на мелкоочаговый (милиарный, с очагами диаметром 1-2 мм) и крупноочаговый (очаги диаметром до 10 мм). При милиарном туберкулезе на рентгенограммах выявляется густая «просовидная» диссеминация, обычно расположенная симметрично в обоих легких. Может протекать по тифоидному (с лихорадкой и резкой интоксикацией), легочному (с выраженной дыхательной недостаточностью) или менингеальному варианту (с явлениями менингита, менингоэнцефалита). Острый крупноочаговый туберкулез легких протекает в виде долевой казеозной пневмонии; очаги крупные, симметричные, с преимущественной субплевральной локализацией в верхних долях. Прогрессирование крупноочаговых изменений может приводить к деструкции легочной ткани с формированием каверн.
- Подострый диссеминированный туберкулез легких может иметь гематогенный и лимфогенный генез. В первом случае очаги диссеминации чаще располагаются в верхних отделах легких; во втором – в нижних и прикорневых отделах, сочетаясь с выраженным лимфангитом. Очаги имеют средние или крупные размеры; характерно их сочетание с тонкостенными «штампованными» кавернами, пневмосклерозом.
- Хронический диссеминированный туберкулез легких возникает на фоне повторных эпизодов микобактериемии. Очаги диссеминации в легких полиморфны, имеют различную степень давности и величину (от мелких до крупных); их количество и размеры увеличиваются в периоды обострений. В легких формируется диффузный пневмосклероз, эмфизема, фиброзные и цирротические изменения верхних долей.
Симптомы
Различные клинические формы диссеминированного туберкулеза легких имеют свои специфические особенности течения. Примерно у трети больных поражение легких является случайно находкой и обнаруживается при прохождении массовой флюорографии. Остальные пациенты целенаправленно обращаются к врачу в связи с ухудшением самочувствия. Диссеминированный туберкулез легких может сочетаться с туберкулезом гортани, костей и суставов, почек, гениталий. В этом случае признакам поражения легких может предшествовать другая органная симптоматика (дисфония, боль в горле, суставах и позвоночнике, гематурия, бесплодие и т. д.).
Острая форма
Острый диссеминированный туберкулез легких в начальном периоде часто напоминает ОРВИ или внебольничную пневмонию. Он манифестирует внезапно, с резкого недомогания, повышения температуры до 38°С, диспепсических нарушений, головной боли. На фоне неспецифических симптомов возникают сухой кашель, одышка, цианоз. Симптоматика прогрессивно нарастает в течение 1-2 недель: температура может достигать 40°С; кашель становится продуктивным с выделением слизисто-гнойной мокроты; может возникать кровохарканье; выражены адинамия, тахикардия, ночная потливость.
При тифоидной форме преобладает интоксикационный синдром, могут иметь место нарушение сознания и бред. У больных с легочной формой, кроме токсикоза, тяжесть состояния усугубляется резко выраженной дыхательной недостаточностью. В случае перехода туберкулезного воспаления на мозговые оболочки развивается менингеальная форма с соответствующей симптоматикой (ригидностью мышц затылка, симптомами Брудзинского и Кернига).
Редко наблюдается острейшее течение диссеминированного туберкулеза легких - туберкулезный сепсис. Ему подвержены лица со сниженным иммунитетом (тяжелым сахарным диабетом, лейкемией и т. д.). Он протекает крайне тяжело с высокой лихорадкой, спутанностью сознания, гепатоспленомегаией, легочно-сердечной недостаточностью.
Подострая форма
Клиническая картина подострого диссеминированного туберкулеза легких маскируется под затяжной бронхит; отличается умеренно выраженными проявлениями: раздражительностью, снижением работоспособности, общей слабостью, потерей аппетита и похуданием, периодической гипертермией, несильным влажным кашлем, болью в боку. Нередко развитию симптоматики предшествует туберкулезный плеврит.
Хроническая форма
Хронический диссеминированный туберкулез легких вне обострения протекает бессимптомно. В период активизации специфического воспаления появляются умеренные симптомы интоксикации; при длительном течении туберкулезного процесса преобладают признаки дыхательной недостаточности. Вследствие редукции сосудистого русла и повышения давления в сосудах малого круга развивается легочное сердце.
Физикальное обследование выявляет ослабленное дыхание, влажные мелко- и среднепузырчатые хрипы. Подтвердить или опровергнуть диагноз помогают следующие диагностические данные:
- Гемограмма на фоне диссеминированного туберкулеза легких претерпевает существенные сдвиги: лейкоцитоз сменяется лейкопенией, развивается лимфопения, эозинопения, нейтрофилез, тромбоцитопения, резко увеличивается СОЭ. В мокроте или смывах с бронхов микобактерии туберкулеза выявляются только у половины больных диссеминированным туберкулезом. При менингеальной форме с целью дифференциальной диагностики прибегают к люмбальной пункции и исследованию спинномозговой жидкости.
- Рентгеносемиотика диссеминированного туберкулеза легких зависит от клинической формы заболевания. Признаками острого процесса служат наличие в обоих легочных полях множественных однотипных очагов, расположенных симметрично, в виде цепочки по ходу сосудов. При подострой диссеминации очаги имеют тенденцию к слиянию, возможно образование полостей распада. Для хронической диссеминации характерно асимметричное расположение очаговых теней, которые имеют разную форму, величину, очертания, интенсивность в зависимости от срока давности их возникновения. Рентгенография легких, как правило, дополняется линейной или компьютерной томографией.
- В начале острой формы диссеминированного туберкулеза легких реакция Манту у больных бывает умеренно положительной или гиперергической, однако в дальнейшем угасает. При подостром и хроническом процессе выявляется слабоположительная или умеренно выраженная реакция на туберкулин.
- При диагностической бронхоскопии на слизистой оболочке бронхов могут обнаруживаться туберкулезные бугорки. Эндоскопическое исследование позволяет произвести биопсию бронха, трансбронхиальную биопсию легкого или лимфатического узла, получить бронхоальвеолярный смыв для исследования на МБТ.
- ИФА-диагностика проводится для верификации диагноза у лиц из групп риска. Широкое применение квантиферонового теста и T-SPOT-диагностики сдерживается высокой стоимостью анализов.
Дифференциальная диагностика диссеминированного туберкулеза легких проводится с саркоидозом, лимфогранулематозом, пневмокониозом, пневмомикозом, коллагенозами, очаговой пневмонией, альвеолитом, карциноматозом легких.

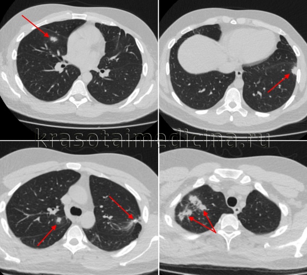
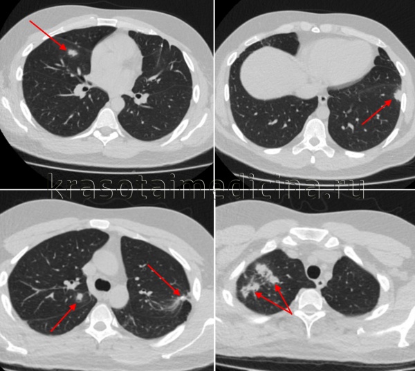
КТ ОГК. Множественные очаговые поражения верхней и средней доли правого легкого, верхней и нижней доли левого легкого у пациента с диссеминированным туберкулезом.
Лечение диссеминированного туберкулеза легких
Больные с диссеминированным туберкулезом легких госпитализируются в стационар противотуберкулезного профиля. Специфическая химиотерапия назначается и контролируется фтизиатром. При впервые выявленном диссеминированном туберкулезе легких, независимо от формы, назначается рифампицин, изониазид и этамбутол (или стрептомицин); при массивном бактериовыделении или тяжелом течении добавляется четвертый препарат - пиразинамид.
Активная терапия продолжается до рассасывания очагов диссеминации, прекращения выделения микобактерий и закрытия каверн. После этого, еще 6-9 месяцев, лечение осуществляется двумя противотуберкулезными антибиотиками (изониазид+этамбутол, изониазид+пиразинамид или изониазид+рифампицин). В схему лечения острого диссеминированного туберкулеза легких включают кортикостероиды (преднизолон) и иммуномодуляторы (препараты тимуса, альфа интерферон). В некоторых случаях (при сохранении полостей распада) прибегают к оперативной коллапсотерапии.
Прогноз и профилактика
Исход острого диссеминированного туберкулеза легких может быть благоприятным при условии своевременного выявления и проведения полноценного курса этиотропной терапии. Осложнение в виде туберкулезного менингита может привести к гибели больного. Подострое течение может подвергаться обратному развитию или переходить в хроническую форму. Хронический диссеминированный туберкулез имеет длительное, многолетнее течение, может осложняться появлением внелегочных очагов и прогрессированием в фиброзно-кавернозный туберкулез.
Профилактика диссеминированного туберкулеза легких заключается в предупреждении и лечении первичного туберкулезного процесса, своевременной БЦЖ-вакцинации детей, проведении профилактического рентгенологического скрининга среди взрослых. Пациенты, перенесшие туберкулез, должны в течение 2-х лет находиться под наблюдением фтизиатра. Снятие с диспансерного учета может быть осуществлено только при отсутствии рецидивов, остаточных изменений (туберкулом, кальцинатов, цирроза легких и пр.) и отягощающих факторов (иммунодефицитных состояний, хронических заболеваний, вредных зависимостей).
1. Федеральные клинические рекомендации по диагностике и лечению диссеминированного (милиарного) туберкулёза легких у детей/ под ред. проф. Аксеновой В.А. – 2013.
2. Туберкулез. Особенности течения, возможности фармакотерапии: Учебное пособие для врачей/ под ред. проф. Иванова А.К. – 2009.
3. Диагностика диссеминированного туберкулеза и других гранулематозных заболеваний легких (клинико-лабораторное исследование): Автореферат диссертации/ Николаева Г. М. – 2004.
Читайте также:
- Злокачественная фиброзная гистиоцитома кости - лучевая диагностика
- Лучевая анатомия нижней челюсти
- Метастазы неплоскоклеточного рака в заглоточные лимфоузлы - лучевая диагностика
- Симптомы ушного менингита. Клиника травматического гнойного менингита
- Спорадический зоб. Диффузно-узловое увеличение щитовидной железы
