Гепатобластома - диагностика, лечение
Добавил пользователь Евгений Кузнецов Обновлено: 08.11.2025
Гепатобластома (Gepatoblastoma) - злокачественная опухоль печени, которая развивается из эмбрионально плюрипотентной закладки. Чаще встречается у грудных детей. Опухоль обычно представлена узлом беловато-желтого цвета, который прорастает ткань печени.
Гепатобластома встречается у детей до 3-летнего возраста. Она одна из наиболее выявляемых опухолей в грудном возрасте. После 5 лет эта форма опухоли печени выявляется очень редко. Средний возраст обнаружения гепатоцеллюлярного рака составляет 12 лет.
Что провоцирует / Причины Гепатобластомы:
Из факторов риска, повышающих вероятность возникновения гепатобластомы, следует отметить врожденные пороки развития, цирроз печени, полипоз толстого кишечника, глистные инвазии, вирусный гепатит В, обменные нарушения, афлатоксины, нитрозамины и некоторые другие.
Патогенез (что происходит?) во время Гепатобластомы:
Микроскопически выделяют два типа гепатобластомы:
1. эпителиальный, состоящий только из эпителиальных клеток;
2. смешанный, эпителиально-мезенхимальный тип.
В эпителиальном типе обнаруживают два вида клеток: первый вид - фетальные, очень мелкие (по сравнению с нормальными) гепатоциты с относительно крупным ядром и различным числом митозов.
Трабекулы расположены неправильно, густыми рядами, по две молодые (как в фетальной печени) клетки в каждом. Встречаются и вакуолизированные клетки, заполненные липидами и гликогеном. Иногда выявляют очаги гемопоэза (каких нет в нормальной паренхиме).
Второй вид клеток - эмбриональные, мелкие, продолговатые и темные, расположенные на подобие розеток. Никогда не обнаруживается ни очагов гемопоэза, ни вакуолизации, ни липидов и гликогена.
Мелкоклеточный недифференцированный компонент состоит из лимфоцитоподобных округлых или овальных клеток с высокой митотической активностью, экспреассирующих только цитокератины СК18 и СК19.
Смешанный тип гепатобластомы обычно представлен сочетанием фетального и/ или эмбрионального видов дифференцировки гепатоцитов с производными мезенхимы (фиброзная, остеоидная, хондроидная ткань), которым свойственна иммуноэкспрессия виментина, нейронспецифической энолазы и S100-протеина. Такой вариант опухоли иногда обозначают как смешанный тин гепатобластомы без тератоидных структур. Реже наряду с перечисленными производными в новообразовании имеются островки поперечнополосатой мышечной ткани, многослойного плоского или слизеобразующего эпителия, а также меланинсодержашие клетки. Такие опухоли относят к смешанному типу гепатобластомы с тератоидными структурами.
Симптомы Гепатобластомы:
Особых симптомов не существует. При пальпации живота обычно прощупывается опухолевая масса в правом подреберье или же новообразование выявляется в связи с увеличением размеров живота. К общим признакам относятся анорексия, потеря массы, недомогание, фебрильное состояние.
Лабораторные данные: анемия, лейкоцитоз с полинуклеозом и сдвигом влево, повышенная СОЭ, гипертромбоцитоз в связи с внутриопухолевым образованием тромбоцитов, повышенное содержание трансаминаз, лактатдегидрогеназы, щелочной фосфатазы и холестерола (10,3 - 15,5 ммоль/л или 400 - 600 мг%), наличие альфа-фетопротеина в 80% случаев.
Диагностика Гепатобластомы:
Обычно к моменту выяснения диагноза размеры опухоли большие, но метастазов еще нет. Ранний диагноз злокачественных новообразований всегда составляет затруднения ввиду продолжительного бессимптомного течения.
Сцинтиграфия и эхография позволяют определить топографию болезни. Печеночная биопсия связана с угрозой возникновения геморрагии. Рекомендуют раннюю пробную лапаротомию и, по мере возможности, резекцию. Гипертромбоцитоз является указанием на злокачественность. Наличие альфа-фетопротеина помогает выяснению диагноза.
Биопсия (взятие кусочка опухоли для микроскопического изучения) при помощи пункции или во время операции выполняется в тех случаях, когда данные проведенного всестороннего обследования сомнительны.
Рентгенография грудной клетки дает возможность обнаружить метастатическое поражение легочной ткани, которое встречается в 20% случаев на момент диагностики основной опухоли.
Рентгенография брюшной полости позволяет выявить кальцификаты (обызвествления) в опухолях печени и исключить другие опухолевые заболевания, например, метастазы нейробластомы.
Ультразвуковое исследование (УЗИ) помогает подтвердить происхождение опухоли из печени, уточнить ее расположение и распространение в органе, выявить поражение печеночных сосудов.
Компьютерная томография (КТ) с контрастированием, магнитно-резонансная томография (МРТ), радиоизотопное сканирование печени, ангиография (контрастное исследование сосудов) применяются для получения дополнительной информации, необходимой при планировании объема операции.
Дифференциальный диагноз необходимо проводить с опухолью Вильмса, нейробластомой надпочечника, нейробластомой с метастазами в печень, псевдокистой поджелудочной железы, кистоподобным расширением желчного протока и другими опухолями в брюшной полости.
Лечение Гепатобластомы:
Лечение хирургическое: резекция печени вместе с опухолью, химиотерапия или пересадка.
Что происходит после окончания лечения?
После завершения всей программы лечения больные должны находиться под постоянным наблюдением врачей и проходить обследование (рентгенография грудной клетки, УЗИ, КТ, МРТ).
Важным методом исследования является определение уровня АФП, на основании которого можно судить об эффективности лечения и возникновении рецидива (возврата) болезни.
Прогноз при радикальном удалении гепатобластомы благоприятный - 60% больных выздоравливают. Прогноз при гепатоцеллюлярном раке хуже - выздоравливают лишь 10 - 12% детей. При левосторонней гемигепатэктомии исход лучше, чем при правосторонней. Метастазы выявляются в легких, реже в мозге, костях.
Профилактика Гепатобластомы:
Ввиду того, что гепатобластома имеет черты семейной отягощенности (хотя и редко), риск возникновения заболевания среди младших братьев и сестер более высокий, в связи с чем их следует взять на учет и подвергать периодическому контролю (клинический осмотр и лабораторные исследования, в частности на содержание альфа-фетопротеина).
К каким докторам следует обращаться если у Вас Гепатобластома:
Вас что-то беспокоит? Вы хотите узнать более детальную информацию о Гепатобластомы, ее причинах, симптомах, методах лечения и профилактики, ходе течения болезни и соблюдении диеты после нее? Или же Вам необходим осмотр? Вы можете записаться на прием к доктору .
Доброкачественные опухоли печени
Доброкачественные опухоли печени – это новообразования с дифференцированными клетками, которые могут формироваться из гепатоцитов, эпителия печени или сосудистых структур и всегда имеют ограниченный рост, не склонны к метастазированию. Клинические проявления возникают только при достижении опухолью больших размеров и нарушении кровотока, сдавлении желчевыводящих путей или соседних органов. Опухоли малых размеров зачастую являются диагностической находкой. К информативным методам исследования относятся УЗИ, КТ и МРТ печени и желчевыводящих путей. При больших размерах образования лечение хирургическое.
Общие сведения
Доброкачественные опухоли печени – новообразования, формирующиеся из эпителиальной ткани печени, стромы органа или сосудистых элементов, не склонные к стремительному росту и метастазированию, имеющие дифференцированные клетки и в большинстве случаев протекающие бессимптомно. В клинической гастроэнтерологии новообразования печени доброкачественной природы встречаются довольно редко.
В 90% случаев диагностируется гемангиома печени, реже – гепатоцеллюлярная аденома, липома, фиброма, лимфангиома и смешанные опухоли – тератомы или гамартомы. К доброкачественным опухолям печени также относят кистозные образования: ретенционные, дермоидные кисты, поликистоз. Чаще всего такие образования являются диагностической находкой, поскольку клинические симптомы возникают только при достижении опухолью значительных размеров, нарушении портального кровотока.
Причины
Причины развития данной патологии не установлены, однако доказана роль ряда факторов, повышающих риск формирования доброкачественных опухолей печени. Установлено, что заболеваемость выше среди лиц, имеющих отягощенный по онкопатологии семейный анамнез, при неблагоприятной экологической обстановке. Важная роль отводится приему гормональных препаратов, в том числе пероральных контрацептивов, а также особенностям питания: избытку в рационе животных жиров, недостатку клетчатки, витаминов, белка. Факторами риска являются вредные привычки: курение и употребление алкоголя. Индуцирует развитие опухолей печени и физиологическая гиперэстрогенемия при беременности.
Классификация
Гастроэнтерологи классифицируют данную патологию в зависимости от локализации и ткани, из которой происходит новообразование. Выделяют гемангиому печени (опухоль из сосудистых элементов), гепатоцеллюлярную аденому (образование непосредственно из гепатоцитов), локальную узловую гиперплазию (округлый очаг из печеночных клеток), фибронодулярную гиперплазию (единичный очаг опухоли из фиброзной ткани), регенераторную мультинодулярную гиперплазию (множественные очаги).
Кроме того, различают цистаденому (образование из железистых клеток пузыревидной формы), липому (опухоль из жировой ткани), фиброму (из соединительнотканных элементов) и фибромиому (из соединительной и мышечной ткани). К опухолям желчных протоков относят холангиоаденому (формируется из железистых клеток протоков), холангиофиброму (из соединительной ткани) и холангиоцистому (полостное образование).
Симптомы
В подавляющем большинстве случаев новообразования протекают бессимптомно до тех пор, пока не достигнут существенных размеров. Некрупные опухоли могут быть обнаружены при обследовании пациента по поводу другой патологии. При больших размерах неоплазии возникают жалобы на чувство тяжести в правом подреберье, эпигастральной области, постоянные ноющие боли, не связанные с приемом пищи (боль является следствием сдавления опухолью соседних органов или нарушения кровотока с некротизированием тканей). Возможны диспепсические явления: тошнота, отрыжка, ощущение горечи во рту.
Все доброкачественные новообразования печени имеют ряд признаков, позволяющих отличить их от злокачественных: в первом случае нет синдрома опухолевой интоксикации (выраженной слабости, утомляемости, снижения аппетита, бледности кожи, быстрой потери веса), отсутствует стремительный рост образования, в анализах крови не обнаруживаются специфические онкомаркеры, нет отягощенного онкологического анамнеза.
Осложнения
Крайне редко отмечаются проявления портальной гипертензии: увеличение в объеме живота, гепатоспленомегалия. В отдельных случаях выявляется механическая желтуха, развивающаяся при сдавлении образованием желчных протоков и нарушении оттока желчи, желудочно-кишечное кровотечение как следствие портальной гипертензии, лихорадка (при некротизировании участка с нарушенным кровоснабжением) и сердечная недостаточность (вследствие массивного артериовенозного шунтирования).
Диагностика
Доброкачественные неоплазии печени выявляются в ходе обследования по поводу другой патологии или при достижении образованием больших размеров, сдавлении соседних органов или нарушении кровотока. Консультация гастроэнтеролога позволяет выяснить, как давно появились жалобы на ощущение тяжести, есть ли болевой синдром, как быстро развивалась клиническая картина. При объективном обследовании пациента врач может выявить увеличение размеров печени (гепатомегалию) с пальпируемым неровным краем.
Общий анализ крови обычно не обнаруживает никаких отклонений от нормы. В печеночных пробах может определяться незначительное повышение маркеров цитолиза и холестаза (щелочной фосфатазы, АлТ, АсТ, ЛДГ, билирубина). Обязательно проводится определение в крови специфических онкомаркеров: альфа-фетопротеина, антигена СА 19-9 и раково-эмбрионального антигена. Отсутствие повышения их концентрации свидетельствует в пользу доброкачественной природы заболевания.
Основную роль в диагностике играют инструментальные методы исследования. УЗИ органов брюшной полости позволяет визуализировать образование, определить его размеры, границы, оценить состояние соседних органов. Выявляются единичные или множественные четко ограниченные гиперэхогенные очаги. Под ультразвуковым контролем проводится пункционная биопсия печени с последующим морфологическим исследованием биоптатов. Данный метод позволяет определить тип опухолевых клеток, степень их дифференцировки и отличить от злокачественной патологии.
Компьютерная томография и МРТ печени и желчевыводящих путей обладают высокой информативностью, поскольку дают возможность определить образования даже малых размеров, оценить характер их роста, отсутствие прорастания в окружающие ткани и метастазирования в регионарные лимфатические узлы и отдаленные области. При подозрении на гемангиому проводится ангиография (оцениваются особенности кровотока в образовании, устанавливается связь опухоли с сосудами печени), а также допплерография фокального образования.
Лечение доброкачественных опухолей печени
Как правило, опухоли, протекающие без клинической симптоматики, не требуют лечения. Однако пациент должен постоянно наблюдаться у врача-гепатолога для оценки характера роста образования. При использовании гормональных препаратов (особенно контрацептивов женщинами) решается вопрос об их отмене. В некоторых случаях (при гепатоцеллюлярной карциноме) это приводит к регрессу образования, если оно является гормонозависимым.
При крупных размерах опухоли, сдавлении кровеносных сосудов или желчевыводящих путей производится ее удаление с резекцией доли печени. Также оперативному удалению подлежат кистозные образования с высоким риском разрыва и кровотечения. Доброкачественные новообразования печени часто гормонозависимые, поэтому даже при небольших размерах могут удаляться у женщин, планирующих беременность.
Прогноз и профилактика
Прогноз при данном заболевании благоприятный. Образования могут длительное время существовать без значительного роста, не вызывая у пациента дискомфорта, и крайне редко перерождаются в злокачественные опухоли. Возможны такие осложнения, как разрыв образования и внутрибрюшное кровотечение. Специфической профилактики не существует. Необходимо соблюдение рационального питания, отказ от курения и употребления алкоголя, а также отсутствие бесконтрольного использования лекарственных препаратов, в особенности гормональных.
Гепатобластома
Гепатобластома – это злокачественная низкодифференцированная опухоль печени эмбрионального происхождения, развивающаяся в раннем детском возрасте. Клинически проявляется увеличением размера живота, пальпируемым объемным образованием в области правого подреберья, болями, тошнотой, снижением аппетита. В диагностике используют УЗИ печени, КТ и МРТ брюшной полости, сцинтиграфию, биопсию печени, определение уровня альфа-фетопротеина в крови. Гепатобластома может быть удалена путем резекции печени; лечение при необходимости дополняется химиотерапией; в редких случаях возможна пересадка печени.
МКБ-10
Гепатобластома – наиболее часто диагностируемая злокачественная опухоль печени у детей, которая встречается в раннем возрасте до 5 лет, преимущественно – на первом году жизни. При возникновении у пациентов старше 5 лет обычно характеризуется более агрессивным течением. Мальчики страдают в 1,5-2 раза чаще девочек. Специалисты отмечают, что гепатобластомы чаще диагностируются у лиц, страдающих семейным полипозом толстого кишечника, что указывает на возможную наследственную предрасположенность.
Причины гепатобластомы
Точные причины возникновения неоплазии не выяснены. Опухоль часто выявляется при наследственных аномалиях, имеющих склонность к развитию злокачественных новообразований (семейном аденоматическом полипозе, гемигипертрофии, синдроме Бекуита-Видеманна). Нарушение внутриутробного развития вследствие генных мутаций или действия определенного онкогена может приводить к нарушению дифференцировки, неконтролируемой пролиферации незрелых клеток и развитию эмбриональных опухолей.
Гепатобластома может сочетаться с другими опухолями детского возраста, например, опухолью Вильмса (нефробластомой). Повышенный риск возникновения новообразования наблюдается у детей, перенесших гепатит B в период новорожденности, имеющих глистную инвазию, полипоз толстого кишечника, метаболические нарушения - наследственную тирозинемию, гликогеновую болезнь I типа и др. Существует определенная связь между появлением опухоли и приемом матерью комбинированных оральных контрацептивов, алкогольным синдромом плода. У детей с гепатобластомой практически не отмечается развитие цирроза печени.
Патанатомия
Новообразование обычно поражает правую долю печени, состоит из одного или нескольких узлов беловато-желтого цвета, не имеющих капсулы, свободно прорастающих в печеночную ткань и способных продуцировать желчь. На разрезе неоплазия имеет четко очерченное, дольчатое строение с очагами кровоизлияний и некроза. Гепатобластома возникает из эмбриональных клеток печени и содержит незрелые гепатоциты, находящиеся на разных стадиях развития и неспособные к выполнению нормальных функций. В современной онкологии выделяют эпителиальный и смешанный (эпителиально-мезенхимальный) морфологические типы опухоли.
Эпителиальный тип гепатобластомы характеризуется наличием эмбриональных, фетальных и мелкоклеточных недифференцированных клеточных структур. Опухоли из эмбриональных и фетальных клеток часто содержат очаги экстрамедуллярного кроветворения и сосудистые «озера» (расширенные сосуды, включающие эритроциты и костномозговые клетки). Мелкоклеточный недифференцированный компонент представлен лимфоцитоподобными клетками с высокой митотической активностью.
Смешанный тип гепатобластомы сочетает в себе фетальный и/или эмбриональный виды гепатоцитов с компонентами мезенхимы (фиброзной, хондроидной, остеоидной ткани). Смешанный тип новообразования также может содержать тератоидные структуры: островки многослойного плоского или железистого эпителия, поперечнополосатой мышечной ткани, меланинсодержащие клетки.
Классификация гепатобластомы по стадиям проводится с учетом остаточного объема опухоли после резекции печени. I-ой стадии соответствует полное удаление опухоли и отсутствие метастазов; II-ой стадии - микроскопически неполное удаление опухоли, отсутствие метастазов; III-ей – макроскопически неполное удаление опухоли или вовлеченность регионарных лимфоузлов, отсутствие метастазов; IV-ой стадии – наличие отдаленных метастазов.
Симптомы гепатобластомы
Начальный период протекает без выраженной симптоматики, развернутая клиника свойственна для прогрессирующей, метастатической стадии опухоли. У детей может обнаруживаться увеличение объема живота, его выбухание; определяться объемное уплотнение в правом подреберье, болевой синдром. Прогрессирование гепатобластомы сопровождается потерей аппетита, снижением веса тела, тошнотой, недомоганием.
Диспепсические расстройства встречаются редко. Появление фебрильной температуры, рвоты, проявлений желтухи, снижение массы тела указывает на далеко зашедший опухолевый процесс. В отдельных случаях может происходить преждевременное половое созревание вследствие продукции опухолью хорионического гонадотропина. Гепатобластома является быстрорастущей неоплазией. Существует высокий шанс метастазирования гематогенным путем в легкие, головной мозг, кости и брюшную полость.
Специфических методов диагностики не существует. Общий осмотр и пальпация живота позволяют определить наличие образования в правом подреберье. УЗИ печени и брюшной полости выявляет расположение опухоли, количество узлов, поражение печеночных сосудов и нижней полой вены. КТ и МРТ, радиоизотопное сканирование печени и ангиография помогают при определении стадии заболевания и планировании объема операции. Рентгенография грудной клетки и брюшной полости позволяют установить метастатическое поражение других органов, наличие в основной опухоли кальцификатов, исключить другие новообразования. Биопсию печени выполняют в случае сомнительного диагноза.
Гепатобластома может проявляться анемией, лейкоцитозом, повышением СОЭ, тромбоцитозом и высоким уровнем альфа-фетопротеина - АФП (за счет внутриопухолевой продукции), повышенным содержанием печеночных ферментов (трансаминаз, лактатдегидрогеназы, щелочной фосфатазы), холестерина. Дифференциальный диагноз проводят с опухолью Вильмса, нейробластомой надпочечника и ее метастазами в печень, кистозоподобным расширением желчного протока, псевдокистой поджелудочной железы.
Лечение гепатобластомы
Лечение хирургическое, заключается в удалении опухоли путем частичной гепатэктомии. При этом чаще производится удаление одной или нескольких долей печени, пораженных гепатобластомой - лобэктомия или гемигепатэктомия. Печень, обладая высоким регенеративным потенциалом, часто способна к полному самовосстановлению.
В более тяжелых случаях применяют предоперационную химиотерапию для уменьшения размеров и более полного иссечения опухоли, сокращения объема оперативного вмешательства. Обычно детям химиотерапия необходима не только до, но и после операции для уничтожения неудаленных опухолевых клеток. Лучевая терапия может применяться только паллиативно для купирования болей и уменьшения проявлений желтухи. В некоторых случаях возможно проведение трансплантации печени.
Прогноз определяется наследственностью, возрастом пациента, стадией опухоли, радикальностью операции, степенью восприимчивости организма к проводимому лечению. Ранняя диагностика увеличивает шанс на излечение заболевания. После лечения больные находятся под постоянным врачебным наблюдением онколога, гастроэнтеролога или гепатолога, периодически проходят обследование, включающее определение уровня АФП, УЗИ, КТ и МРТ, рентгенографию грудной клетки. Послеоперационная выживаемость в течение 2,5 лет при гепатобластоме I стадии составляет 90% и более, IV стадии - меньше 30%.
Рак печени
Категория пациентов: пациенты с верифицированным раком печени, либо выставленным на основании лабораторно-инструментальных методов обследования.

Автоматизация клиники: быстро и недорого!
- Подключено 300 клиник из 4 стран
- 800 RUB / 4500 KZT / 27 BYN - 1 рабочее место в месяц

Автоматизация клиники: быстро и недорого!
- Подключено 300 клиник из 4 стран
- 1 место - 800 RUB / 4500 KZT / 27 BYN в месяц
Мне интересно! Свяжитесь со мной
13-15 октября, Алматы, "Атакент"
600 брендов, более 150 компаний-участников из 20 стран.
Новинки рынка стоматологии. Цены от производителей
1. Гепатоцеллюлярная карцинома (гепатома, печеночно-клеточный рак, происходящий из клеток паренхимы печени).
2. Холангиокарцинома (опухоль из клеток эпителия желчных протоков, составляющую 5-30% всех первичных злокачественных опухолей печени).
3. Ангиосаркома печени (злокачественная гемангиоэндотелиома печени - одна из самых злокачественных опухолей печени, произрастающая из эндотелия сосудов).
4. Гепатобластома (злокачественная опухоль печени детского возраста).
T2 - Солитарная опухоль с сосудистой инвазией или множественные первичные очаги опухоли не более 5 см в наибольшем измерении.
ТЗ - Множественные первичные очаги опухоли, один из которых более 5 см или опухоль, прорастающая главную ветвь воротной или печеночной вены (вен).
Т4 - Опухоль (опухоли) с непосредственной инвазией в соседние органы (кроме жёлчного пузыря) или в висцеральную брюшину.
ТЗ - Опухоль прорастает в висцеральную брюшину или непосредственно в соседние внепеченочные структуры.
Требования к определению категорий pT, pN, pM соответствуют требованиям к определению категорий T, N, M.
G4 - недифференцируемый рак.
Группировка по стадиям:
| Стадия 0 | Тis | N0 | М0 |
| Стадия І | Т1 | N0 | М0 |
| Стадия ІІ | Т2 | N0 | М0 |
| Стадия ІІІА Стадия ІІІВ Стадия ІІІС | Т3 | N0 | М0 |
| Т4 | N0 | М0 | |
| Любая Т | N1 | М0 | |
| Стадия ІV | Любая Т | Любая N | М1 |
Диагностические критерии
Жалобы и анамнез
Патогномоничных симптомов рака печени не установлено. Жалобы больного могут соответствовать проявлениям различных заболеваний печени (хронический гепатит, цирроз и т.д.). Похудание и слабость, анемия, тошнота, так же, как и при других локализациях рака, являются общими симптомами интоксикации.
При типичной картине заболевания ведущими симптомами являются прогрессирующая слабость, адинамия, потеря аппетита, кахексия, нередко тошнота и рвота. Появляется чувство тяжести и постоянные боли в правом подреберье или эпигастрии, развивается анемия.
При развитии рака печени на фоне цирроза в клинической картине заболевания все чаще преобладают симптомы злокачественного новообразования. Быстро прогрессирует ухудшение состояния больного, усиливаются боли в области печени, появляются и нарастают асцит, желтуха, лихорадка, возникают частые носовые кровотечения, нередко обнаруживаются кожные телеангиэктазии.
Малосимптомная форма первичного рака печени протекает часто по типу хронического гепатита, без постоянных и типичных клинических признаков злокачественного новообразования. В ряде случаев в клинической картине первичного рака печени ведущими могут быть симптомы возникшего осложнения либо признаки метастазирования опухоли.
При ранних стадиях заболевания - консервативная, инфузионная, спазмолитическая и общеукрепляющая терапия способствуют купированию этих симптомов.
Физикальное обследование
Печень довольно быстро увеличивается в размерах, при этом ее нижний край нередко определяется на уровне пупка и ниже, при пальпации она умеренно болезненна, плотная, бугристая, иногда определяется изолированный опухолевый узел.
В некоторых случаях первичного рака печени отмечается высокая лихорадка, неподдающаяся терапии; симптомы поражения печени в этих случаях появляются позже.
В клинической симптоматике осложнений характерны: обтурационная желтуха (сдавление магистральных желчных протоков опухолью либо ее метастазами), спленомегалия, асцит, расширение подкожных вен передней брюшной стенки, желудочно-кишечные кровотечения (сдавления воротной вены), признаки разрыва опухоли спонтанной или под влиянием незначительной травмы с внутрибрюшным кровотечением и последующим перитонитом.
Метастазы рака печени наиболее часто выявляются в самой печени (внутриорганное метастазирование), в лимфатических узлах ворот печени, малого сальника, чревных, параортальных, а также других органах (легкие, плевра, брюшина, почки, поджелудочная железа, кости).
Распознавание рака печени, особенно в начальной стадии, довольно трудно, так как нет специфических симптомов заболевания. Поэтому рак печени часто диагностируется уже в далеко зашедших стадиях. Важное значение имеют данные анамнеза (лихорадка, боли в правой половине живота, увеличение печени), клинического обследования (увеличение или деформация живота, выраженная подкожная сосудистая сеть в верхней половине живота, изменение формы и размеров печени).
Инструментальные исследования
Ультразвуковое исследование (УЗИ) позволяет обнаружить опухоль и в некоторых случаях ее тип.
Компьютерная томография (КТ) очень эффективна при диагностике опухолей печени. В некоторых случаях для улучшения изображения печени внутривенно вводится контрастное вещество.
Магнитно-резонансная томография (МРТ) позволяет не только обнаружить опухоль в печени, но и иногда дает возможность отличить злокачественную опухоль от доброкачественной.
Ангиография. В артерию вводится контрастное вещество, что позволяет обнаружить сосуды, кровоснабжающие опухоль печени, и решить вопрос об объеме операции.
При подозрении на опухоль печени природа и характер образования должны быть твердо установлены во время обследования, включающее сбор анамнеза, осмотр, визуализацию опухоли (УЗИ, МРТ, КТ), а также определение опухолевых маркеров.
Динамическое наблюдение больного с целью уточнения природы образования недопустимо!

Схематично алгоритм действий при подозрении на новообразование печени можно представить следующим образом:
Верификация диагноза достигается путем тонкоигольной пункции или биопсии. Повышение АФП выше 400 нг/мл при наличии цирроза печени и очаговых гиперваскулярных образований (>2 см) при использовании, по крайней мере, одного метода визуализации исключает необходимость цитологической верификации.
Больным с потенциально резектабельной опухолью и АФП выше 400 нг/мл должна выполняться операция без предварительной пункции или биопсии.
Любые ухудшения функции печени у больных с установленным циррозом печени, любой этиологии должны вызывать подозрения в отношении гепатоцеллюлярного рака.
Лечение каждого больного с ГЦР всегда должно обсуждаться на мультидисциплинарном консилиуме - хирург, химиотерапевт, радиолог. План лечения должен основываться на точных данных о распространенности болезни, степени роста опухоли, функциональных резервах печени и общем состоянии больного.
Консультация сосудистого хирурга при распространенном процессе на предмет возможности проведения комбинированной операции.
Диагностические мероприятия
Основные, проводятся на догоспитальном этапе:
1. Общий анализ крови.
2. Биохимический анализ крови: общий белок, мочевина, креатинин, билирубин, амилаза, трансаминазы, электролиты, глюкоза.
3. УЗИ органов брюшной полости с чрескожной пункционной биопсией печени.
4. КТ/МРТ ОБП с контрастированием (артериальная фаза).
7. Рентгенологическое исследование легких.
8. УЗИ периферических лимфатических узлов, пальцевое исследование прямой кишки, осмотр гинеколога (у женщин).
9. Группа крови, резус-фактор.
Дополнительные:
1. Сцинтиграфия печени, лапароскопия, ангиография, сцинтиграфия костей скелета.
2. Спленопортография, трансумбиликальная портогепатография, целиакография, радиоизотопное сканирование печени, ПЦР-диагностика, ПЭТ-исследование.
Лабораторная диагностика
Лабораторные исследования:
3. Кровь на онкомаркер АФП, РЭА, СА 19-9.
Лабораторные исследования обнаруживают гипохромную анемию, лейкоцитоз, ускорение СОЭ, увеличение активности трансаминаз и щелочной фосфатазы, увеличение уровня онкомаркеров.
Опухоли печени
Опухоли печени – новообразования злокачественного и доброкачественного характера, исходящие из паренхимы, желчных протоков или сосудов печени. Наиболее частыми проявлениями опухолей печения служат тошнота, похудение, потеря аппетита, гепатомегалия, желтуха, асцит. Диагностика опухолей печени включает проведение УЗИ, исследование печеночных проб, КТ, биопсию печени. Лечение опухолей печени хирургическое и заключается в резекции пораженного участка органа.
В гепатологии принято различать первичные доброкачественные опухоли печени, первичные и вторичные (метастатические) злокачественные новообразования (рак печени). Знание вида и происхождения опухоли печени позволяет проводить дифференцированное лечение. Доброкачественные опухоли печени встречаются сравнительно редко. Обычно они протекают бессимптомно и выявляются случайно. Чаще в гастроэнтерологии приходится сталкиваться с первичным раком печени или вторичным метастатическим поражением органа. Метастазы в печени нередко обнаруживаются у пациентов с первичным раком желудка, легких, толстой кишки, раком молочной железы.
Классификация
Среди доброкачественных опухолей печени в клинической практике встречаются аденомы (гепатоаденомы, аденомы желчного протока, билиарные цистаденомы, папилломатоз). Они происходят из эпителиальных и соединительнотканных элементов печени или желчных протоков. К опухолям печени мезодермального происхождения относятся гемангиомы, лимфангиомы. Редко встречаются гамартомы, липомы, фибромы печени. Иногда к опухолям печени причисляют непаразитарные кисты.
Аденомы печени представляют собой одиночные или множественные круглые образования сероватого или темно-красного цвета различного размера. Они располагаются под капсулой печени или в толще паренхимы. Считается, что развитие аденом печени у женщин может быть связано с длительным использованием пероральной контрацепции. Некоторые виды доброкачественных опухолей печени (трабекулярные аденомы, цистаденомы) склонны к перерождению в гепатоцеллюлярный рак.
Сосудистые образования (ангиомы) встречаются среди доброкачественных опухолей печени наиболее часто. Они имеют пещеристое губчатое строение и исходят из венозной сети печени. Среди сосудистых опухолей печени различают кавернозные гемангиомы и каверномы. Существует мнение, что сосудистые образования печени являются не истинными опухолями, а врожденной васкулярной аномалией.
Узловатая гиперплазия печени развивается вследствие локальных циркуляторных и билиарных нарушений в отдельных зонах печени. Макроскопически данная опухоль печени может иметь темно-красный или розовый цвет, мелкобугристую поверхность, различную величину. Консистенция узловатой гиперплазии печени плотная, микроскопически обнаруживаются явления локального цирроза. Не исключается перерождение узловатой гиперплазии в злокачественную опухоль печени.
Происхождение непаразитарных кист печени может быть врожденным, травматическим, воспалительным.
Симптомы
Большая часть доброкачественных опухолей печени не имеет четко выраженной клинической симптоматики. В отличие от злокачественных опухолей печени, доброкачественные образования растут медленно и длительно не приводят к нарушению общего самочувствия.
Гемангиомы печени больших размеров могут вызывать боли и тяжесть в эпигастрии, тошноту, отрыжку воздухом. Опасность гемангиомы печени заключается в высокой вероятности разрыва опухоли с развитием кровотечения в брюшную полость и гемобилии (кровотечения в желчные протоки), перекрутом ножки опухоли. Крупные кисты печени вызывают тяжесть и давление в подреберье и эпигастрии. Осложнениями кист печени могут являться разрыв, нагноение, желтуха, кровоизлияние в полость опухоли.
Аденомы печени при достижении значительных размеров могут вызывать боли в животе, а также пальпироваться в виде опухолевидного образования в правом подреберье. В осложненных случаях может произойти разрыв аденомы с развитием гемоперитонеума. Узловатая гиперплазия печени обычно не имеет выраженных симптомов. При пальпации печени может отмечаться гепатомегалия. Спонтанные разрывы данной опухоли печени наблюдаются редко.
Диагностика
С целью диагностики доброкачественных опухолей печени используются УЗИ печени, гепатосцинтиграфия, КТ, гепатоангиография, диагностическая лапароскопия с прицельной биопсией печени и морфологическим исследованием биоптата. При аденомах или узловатой гиперплазии возможно проведение чрескожной биопсии печени.
Лечение доброкачественных опухолей печени
Ввиду вероятности малигнизации и осложненного течения доброкачественных опухолей печени основная тактика их лечения – хирургическая, предполагающая резекцию печени в границах здоровых тканей. Объем резекции определяется локализацией и размерами опухоли печени и может включать краевую резекцию (в т. ч. лапароскопическую), сегментэктомию, лобэктомию или гемигепатэктомию.
При кисте печени может производиться иссечение кисты, эндоскопическое или открытое дренирование, наложение цистодуоденоанастомоза, марсупиализация.
Злокачественные опухоли печени
Злокачественные опухоли печени могут быть первичными, т. е. исходить непосредственно из структур печени, или вторичными, связанными с разрастанием метастазов, занесенных из других органов. Вторичные опухоли печени встречаются в 20 раз чаще, чем первичные, что связано с фильтрацией через печень крови, идущей от различных органов и гематогенным заносом опухолевых клеток.
Первичные злокачественные опухоли печени – явление относительно редкое. Встречается преимущественно у лиц мужского пола старше 50 лет. По происхождению выделяют следующие формы первичных злокачественных опухолей печени:
- гепатоцеллюлярная карцинома (печеночно-клеточный рак, гепатома), исходящая из клеток печеночной паренхимы
- холангиокарцинома, исходящая из эпителиальных клеток желчных протоков
- ангиосаркома, произрастающая из эндотелия сосудов
- гепатобластома – опухоль печени, встречающаяся у детей
Причины
Среди причин образования первичных злокачественных опухолей печени первенство принадлежит хроническим вирусным гепатитам В и С. Вероятность развития гепатоцеллюлярного рака у пациентов с гепатитом увеличивается в 200 раз. Среди других факторов, связанных с риском развития злокачественных опухолей печени, выделяют цирроз печени, паразитарные поражения (шистосомоз, описторхоз), гемохроматоз, сифилис, алкоголизм, канцерогенное воздействие различных химических соединений (тетрахлористого углерода, нитрозаминов, органических хлорсодержащих пестицидов), алиментарные причины (пищевой микотоксин – афлатоксин).
Симптомы злокачественных опухолей печени
К начальным клиническим проявлениям злокачественных опухолей печени относятся недомогание и общая слабость, диспепсия (ухудшения аппетита, тошнота, рвота), тяжесть и ноющая боль в подреберье справа, субфебрилитет, похудание.
С увеличением размеров опухоли печень выступает из-под края реберной дуги, приобретает бугристость и деревянистую плотность. В поздних стадиях развивается анемия, желтуха, асцит; нарастает эндогенная интоксикация, печеночная недостаточность. Если опухолевые клетки обладают гормональной активностью, то возникают эндокринные нарушения (синдром Кушинга). При сдавлении растущей опухолью печени нижней полой вены, появляются отеки нижних конечностей. При эрозии сосудов возможно развитие внутрибрюшного кровотечения; в случае варикозного расширения вен пищевода и желудка может развиться желудочно-кишечное кровотечение.
Типичными для всех злокачественных опухолей печени являются сдвиги в биохимических показателях, характеризующих функционирование органа: снижение альбуминов, увеличение фибриногена, рост активности трансаминаз, повышение мочевины, остаточного азота и креатинина. В связи с этим при подозрении на злокачественную опухоль печени необходимо исследовать печеночные пробы и коагулограмму.
Для более точной диагностики прибегают к проведению ультразвукового сканирования, компьютерной томографии, МРТ печени, ангиографии печени. С целью гистологической верификации образования проводится пункционная биопсия печени или диагностическая лапароскопия.

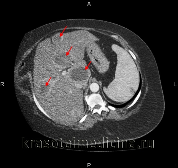
КТ органов брюшной полости. Множественные вторичные опухоли печени (первичная опухоль – рак молочной железы)
При признаках метастатического поражения печени необходимо установление локализации первичной опухоли, для чего может потребоваться выполнение рентгенографии желудка, ЭГДС, маммографии, УЗИ молочных желез, колоноскопии, ирригоскопии, рентгенографии легких и т. д.
Лечение злокачественных опухолей печени
Полное излечение злокачественных опухолей печени возможно только при их радикальном удалении. Как правило, при опухолях печени производится резекция доли печени или гемигепатэктомия. При холангиокарциномах прибегают к удалению протока и наложению соустий (гепатикоеюноанастомоза, гепатикодуоденоанастомоза).
При единичных опухолевых узлах печени возможно выполнение их деструкции с помощью радиочастотной абляции, химиоабляции, криоабляции. Методом выбора при злокачественных опухолях печени является химиотерапия (системная, внутрисосудистая).
Прогноз
Неосложненные доброкачественные опухоли печени в прогностическом плане благоприятны. Злокачественные опухоли печени характеризуются бурным течением и без лечения приводят к гибели пациента в течение 1 года. При операбельных злокачественных опухолях печени продолжительность жизни в среднем составляет около 3-х лет; 5-летняя выживаемость — менее 20%.
Читайте также:
