Гиперпаратиреоидная генерализованная фиброзная остеодистрофия (болезнь Реклингаузена) - морфология, патологическая анатомия
Добавил пользователь Владимир З. Обновлено: 22.12.2025
1 ФГБУ «Уральский научно-исследовательский институт травматологии и ортопедии им. В.Д. Чаклина» Минздрава России
Болезнь Энгеля ‒ Реклингхаузена (генерализованная фиброзная остеодистрофия) – это эндокринное заболевание, при котором отмечается повышенная функциональная активность околощитовидных желез, проявляющаяся гиперпаратиреозом и вторичными изменениями костной ткани. Присутствующие рентгенологические и гистологические изменения характерны как для изолированной костной кисты, так и для гигантоклеточной опухоли. Основу морфологической картины составляет лакунарное рассасывание костной ткани при продолжающемся процессе костеобразования. Диагностика гиперпаратиреоидной остеодистрофии представляет собой определенные трудности, учитывая специфические клинические проявления, рентгенологические данные, проявляющиеся в достаточно поздние сроки, отсутствие ясных биохимических изменений. Представлен интересный клинический случай, иллюстрирующий особенности течения этого заболевания. Данная ситуация показывает необходимость тщательного, детального обследования больного, при этом обращая особое внимание на анамнестические, рентгенологические и лабораторные данные.
1. Зубов Д.А., Оксимец В.М. Цитокиновая иммунорегуляция репаративной регенерации костной ткани культивированными мезенхимальными стволовыми клетками // Травма. – 2008. – Т. 9, № 2. – С. 145–153.
2. Климова М.К. Дифференциальная рентгендиагностика гиперпаратиреоидной остеодистрофии и остеолитического метастатического опухолевого поражения // Актуальные вопросы травматологии и ортопедии. – 1972. – Вып. 6. – С. 109–113.
4. Мякотин В.А. Генетические аспекты процессов костного ремоделирования // Научно-практическая ревматология. – 2006. – № 5. – С. 4–7.
5. Нейштад Э.Л., Маркочев А.Б. Опухоли и опухолеподобные заболевания костей. – СПб.: ООО «Изд-во ФОЛИАНТ», 2007. – 344 с.: ил
7. Agarwal G. [et al.] Recovery pattern of patients with osteitisfibrosacystica in primary hyperparathyroidism after successful parathyroidectomy / G. Agarwal., S. K. Mishra, D. K. Kar [et al.] // Surgery. – 2002. – Vol.132 (6). – P. 1075–1083; discussion 1083–5. doi:10.1067/msy.2002.128484.
8. Aloia J.F., Feuerman M., Yeh J. K. Reference range for serum parathyroid hormone // Endocrine practice. – 2006. – Vol.12 (2). – P. 137–144. PMC 1482827.PMID 16690460.
9. Disseminated brown tumors from hyperparathyroidism masquerading as metastatic cancer: a complication of parathyroid carcinoma / A. Gupta, M.C. Horattas, A.R. Moattari, S.D. Shorten // Am. Surg. – 2001. – Vol. 67 (10). – P. 951–955. PMID 11603552.Retrieved 2009-02-26.
11. Kearns A.E., Thompson G. B. Medical and surgical management of hyperparathyroidism // Mayo Clinic Proceedings. – 2002. – Vol. 77(1). – P. 87–91. doi:10.4065/77.1.87. PMID 11794462.
12. Kemp Anna M.C., Bukvic M., Sturgis C.D. Fine needle aspiration diagnosis of osteitisfibrosacystica (brown tumor of bone) // Acta Cytologica. – 2008. – Vol. 52 (4). – P. 471–474. doi:10.1159/000325556. PMID 18702368.
13. Melton L. 3rd. The epidemiology of primary hyperparathyroidism in North America // J. Bone Mineral Res. – 2002. – Vol. 17. – Suppl 2. – № 12–17. PMID 12412772.
Гиперпаратиреоидная остеодистрофия – системное заболевание, в основе которого лежит нарушение функции паращитовидных желез [2, 6, 7]. Болезнь характеризуется хроническим течением и выявляется преимущественно в возрасте 30–40 лет. Частота заболевания составляет 25–28 новых случаев на 100000 населения ежегодно, чаще поражаются женщины [13].
Целью данной работы является обзор современных взглядов на особенности патогенеза и клинико-лабораторной диагностики патологического состояния.
Результаты исследования и их обсуждение
В большинстве случаев солитарная или множественная аденома (80–85 %) приводит к гиперфункции паращитовидных желез, реже – диффузная гиперплазия (2–12 %) и гормонально активная карцинома (5 %) [9]. Увеличение числа паренхиматозных клеток и патологическая клеточная регуляция освобождения паратгормона способствуют увеличению его продукции и содержания в плазме, первичному гиперпаратиреозу [10]. В результате чего нарушается функция остеобластов, возрастает число остеокластов, за счет ускорения созревания клеток-предшественников остеокластов [8]. В начале заболевания из-за остеокластической резорбции отмечается усиление лакунарного и очагового рассасывания кости, истончаются трабекулы, уменьшается их число, увеличивается расстояние между ними, появляется порозность кортикального слоя [3, 6]. В последующем нарастает содержание неминерализованного остеоида, недифференцированных мезенхимальных клеток и многоядерных гигантских остеокластов [5]. Необходимо отметить, что паратгормон воздействует на остеокластогенез опосредованно, через систему RANKLs/RANK/OPG [7]. RANKLs, являясь эффекторной молекулой, вызывает активацию и дифференцировку остеокластов [1]. Он связывается на поверхности клеток моноцитарно-макрофагальной линии с родственным трансмембранным рецептором RANK [1, 4]. Этот комплекс активирует ядерный фактор κB (NKκB), что в свою очередь стимулирует пролиферацию и дифференцировку остеокластов, следовательно, усиливает процессы костной резорбции [1, 4]. OPG – остеокласт ингибирующий фактор, является ключевым звеном ингибирования остеокластов. Это растворимый рецептор – «ловушка» для RANKLs, «запрещающая» взаимодействие между RANKLs и RANK [1, 4]. Он тормозит процессы остеокластогенеза и костной деструкции. Дисбаланс этой системы приводит к нарушениям костеобразования и ремоделирования костной ткани [4].
Избыточная концентрация паратгормона способствует увеличению содержания лимонной кислоты в костях, что создает благоприятные условия для действия кислых гидролаз и растворения солей кальция [8, 12]. При гиперпаратиреозе возникает снижение реабсорбции фосфатов в канальцах почек, что приводит к гиперфосфатурии и гипофосфатемии, избыточному накоплению солей кальция в тубулярной эпителиальной системе почки, что ведет к возникновению нефросклероза [11]. Считается, что почечные явления выражают интенсивность основного заболевания, а костные – длительность [3, 6].
М.К. Климова выделяет 3 типа структурных изменений при первичном гиперпаратиреозе: остеопоротический, кистозный, смешанный ‒ и 2 стадии: начальная, при которой выявляются кистозные изменения и остеопороз в отдельных костях, вторая (выраженная) – остеопороз и множественные кистозные очаги, наблюдающиеся во всех костях [2]. Опухолевидные образования, макро- и микроскопически идентичны как гигантоклеточной опухоли – остеобластокластоме, так и множественным кистозным очагам, локализующимся в костномозговом канале [2, 3, 6].
Общепринятым методом диагностики определения уровня паратгормона в плазме является иммунорадиологический метод [11]. Однако более перспективным направлением принято считать измерение уровня активности ксантиноксидазы в крови [12]. Для топической диагностики аденомы или гиперплазированной околощитовидной железы применяют ультразвуковое исследование, сканирование с таллием-технецием, непрямую лимфографию, компьютерную и магнитно-резонансную томографию [13].
На ранних стадиях заболевания чаще всего больные предъявляют жалобы на глухие неопределенные боли в костях, общую мышечную слабость, повышенную утомляемость, головные боли [6, 9]. Пациенты испытывают повышенную жажду, потерю аппетита, описывают симптомы мочекаменной болезни. Часто при самоосмотре больные обнаруживают различные деформации: утолщения, бугристости в области метафизов длинных трубчатых костей [2, 3]. Отложение солей извести в барабанной перепонке или поражение пирамиды височной кости приводит к изменению слуха [8, 11]. Атрофия зрительного нерва и склеротические процессы глазного дна способствуют утрате зрения [6].
Представленный случай из практики интересен с точки зрения как клинических проявлений заболевания, так и своевременной диагностики гиперпаратиреоидной остеодистрофии.
Клинический случай. Больная Я., 1975 года рождения, находилась на лечении в ортопедическом отделении № 1 ФГБУ «УНИИТО им. В.Д. Чаклина» с диагнозом: остеобластокластома правой таранной кости с прорывом в мягкие ткани, фиброзная дисплазия нижней трети левой большеберцовой кости.
Жалобы при поступлении: постоянная боль в области правого голеностопного сустава, отек, местное повышение температуры, периодические боли в нижней трети левой голени.
Из анамнеза заболевания: зимой 2012 г. подвернула правую стопу, после чего появились боль, отек и дискомфорт в области голеностопного сустава. В течение 1,5–2 месяцев отек не уменьшался, периодически увеличивался, кожная температура в области сустава была повышена. Летом 2012 г. обратилась в Свердловскую областную клиническую больницу № 1, где была выполнена компьютерная томография и рентгенологическое исследование левой голени и правого голеностопного сустава. На основании выявленных патологических изменений поставлен промежуточный диагноз: гигантоклеточная опухоль правой таранной кости, фиброзная дисплазия левой большеберцовой кости. Пациентка была направлена в Свердловский областной онкологический диспансер, 24.08.12 выполнена трепанобиопсия таранной и большеберцовой костей (гистологический № 7625.12, 7626.13.1 – гигантоклеточная опухоль правой таранной кости, левой большеберцовой – губчатая кость без признаков атипии). В дальнейшем рекомендовано лечение в условиях ортопедического отделения УНИИТО.
Из анамнеза жизни: мочекаменная болезнь, хронический вторичный пиелонефрит вне обострения с 2010 г. В 2010 году плановая беременность, одни роды.
В УНИИТО повторно проводилось томографическое и рентгенологическое исследование: гигантоклеточная опухоль правой таранной кости с признаками малигнизации, фиброзная дисплазия левой большеберцовой кости (рис. 1, 2).
Рис. 1. Компьютерная томограмма правой таранной кости больной Я.
Рис. 2. Компьютерная томограмма левой большеберцовой кости больной Я.
Клинико-биохимические показатели крови и мочи находились в пределах референсных значений, за исключением уровня креатинина (136 мкмоль/л).
12.09.12 выполнена частичная резекция правой таранной кости, удаление опухоли, пластика костным цементом. Интраоперационная картина: выделено тело таранной кости, имеется прорыв в мягкие ткани; они желтоватой окраски. Выявлена полость, занимающая тело, блок и шейку, заполненная рыхлой мягкой тканью, напоминающей «рыбье мясо». Произведена экскохлеация опухоли, кюретаж, обработка электрокоагуляцией, экспозиция 5 % йодом и 96 % спиртом. Полость плотно заполнена костным цементом (20 грамм GMVsmartest c гентамицином) (рис. 3, 4). Полученное содержимое направлено на гистологическое исследование.
Рис. 3. Рентгенограмма правой таранной кости (фас) больной Я. после операции (дефект плотно заполнен костным цементом)
Рис. 4. Рентгенограмма правой таранной кости (профиль) больной Я. после операции (дефект плотно заполнен костным цементом)
Послеоперационный период протекал без особенностей. Клинико-биохимические показатели крови и мочи находились в пределах референсных значений, уровень креатинина совпадал с его предоперационным значением. При выписке наложена циркулярная гипсовая повязка на 1,5 месяца.
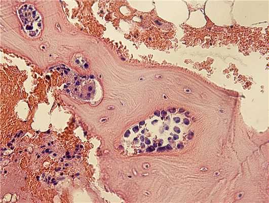
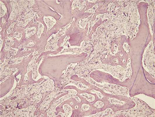
При микроскопическом исследовании гистологического препарата определяется образование, состоящее из: вытянутых клеток с гиперхромным ядром, клеток овальной формы с умеренно выраженной цитоплазмой и светлым ядром, многоядерных гигантских клеток, равномерно рассеянных по опухолевому полю, инфильтратов из лимфоцитов, скоплений эритроцитов. Имеются очажки пролиферации одноядерных остеобластических элементов. В периферических отделах располагаются пучки коллагеновых волокон и узкие прослойки волокнистой соединительной ткани. Таким образом, вышеописанная гистологическая картина представляет больше данных за гигантоклеточную опухоль [5] (рис. 5, 6).
Рис. 5. Гигантоклеточная опухоль правой таранной кости больной Я. Г+Э. Ув. х 100 (фото гистологического препарата)
Рис. 6. Гигантоклеточная опухоль правой таранной кости больной Я. Г+Э. Ув. х 200 (фото гистологического препарата)
26.10.12 пациентка обратилась на повторный прием, снята гипсовая повязка. По данным томографического и рентгенологического исследований, дефект таранной кости замещен цементом, структура окружающей костной ткани не изменена, данных за рецидив опухоли нет.
13.05.13 на консультативном приеме больная предъявила жалобы на постоянную ноющую боль в правом тазобедренном суставе, подвздошной области, отек и боль в правом коленном суставе, нарушение слуха и зрения справа. Выполнено рентгенологическое и томографическое обследование, выявлено: полифокальное очаговое поражение костей таза доброкачественного характера (рис. 7, 8). Рекомендовано исследовать гормональную активность щитовидной и паращитовидной желез в условиях эндокринологического отделения городской клинической больницы № 40, динамическое наблюдение в УНИИТО.
Рис. 7. Рентгенограмма обзорного снимка таза больной Я. (полифокальное очаговое поражение костей таза)
Рис. 8. Компьютерная томограмма костей таза больной Я. на одном из срезов (полифокальное очаговое поражение костей таза)
27.05.13 пациентка госпитализирована в хирургическое отделение № 5 городской клинической больницы № 40 с диагнозом: аденома паращитовидной железы, первичный гиперпаратиреоз. Уровень паратгормона составил 748 пг/мл. 30.05.13 выполнена парааденомэктомия. Результат гистологического исследования: № 10607 – аденома околощитовидной железы. Рекомендовано наблюдение и лечение у эндокринолога по месту жительства, контроль уровня кальция, прием глюконата кальция.
18.10.13 проведен очередной консультативный прием в УНИИТО. Больная отметила положительную динамику собственного состояния: уменьшился болевой синдром, стала лучше слышать и видеть. По результатам рентгенологического исследования: полифокальное поражение костей таза доброкачественного характера без отрицательной динамики по сравнению с предыдущей картиной.
Заключение
Данный пример демонстрирует необходимость своевременной клинической, лабораторной диагностики больных с гиперпаратиреоидной дистрофией на этапе консультативного приема, учитывая пол, возраст, анамнестические данные (мочекаменная болезнь, хронический пиелонефрит) и в особенности обнаружения вторичных костных изменений («бурых» опухолей, кистозных поражений нескольких сегментов костной системы).
Рецензенты:
Герасимов А.А., д.м.н., профессор, зав. кафедрой медицины катастроф, ГБОУ ВПО «Уральский государственный медицинский университет» Минздрава РФ, г. Екатеринбург;
Борзунов И.В., д.м.н., ученый секретарь Ученого совета, ГБОУ ВПО «Уральский государственный медицинский университет» Минздрава РФ, г. Екатеринбург.
Гиперпаратиреоидная генерализованная фиброзная остеодистрофия (болезнь Реклингаузена) - морфология, патологическая анатомия
Гиперпаратиреоз может возникнуть в результате гиперпластических или адепоматозных, реже карципоматозных процессов в околощитовидных железах. Причиной первичного гиперпаратиреоза являются различные опухоли эпителиальных телец, среди которых, по данным А. К. Горчакова, Б. М. Мазуровской, Б. П. Угрюмова, В. С. Ягодовского, В. И. Соколова, В. М. Волчек, Д. К. Скобелкина, Л. Р. Крыштальской, примерно 80—90% приходится па солитарпые аденомы.
Кроме этого, различают аденоматозную гиперплазию околощитовидных желез (Я. Е. Шапиро, З. Г. Спекторова, Л. Л. Байдер), которая также может сопровождаться гиперпаратиреозом. Обычно при наличии аденомы одной из околощитовидных желез вторая железа в результате компенсаторной реакции подвергается атрофическим изменениям.
Нередко в паренхиме околощитовидных желез отмечаются дистрофические нарушения в виде отложения амилоида в сосудистой системе, тромбозы, а также диффузные и очаговые кровоизлияния. В редких случаях в околощитовидной железе обнаруживаются кистозпые изменения, причем кистозно измененные околощитовидные железы, как правило, находятся в гипорфункциональном состоянии.
Встречаются клинические случаи гиперпаратиреоза, когда, помимо основных активно функционирующих эпителиальных телец, имеются добавочные околощитовидные железы. Такие добавочные эпителиальные тельца могут располагаться атипично (чаще всего за пределами щитовидной железы) и обнаружить их во время оперативного вмешательства или на секции чрезвычайно трудно.

В. Р. Брайцев считает, что первичный гиперпаратиреоз является следствием врожденной гиперплазии клеток околощитовидных желез, а вторичный представляет собой компенсаторную реакцию этих эпителиальных телец на различные заболевания костной системы. В настоящее время существует мнение о том, что причиной возникновения первичного гиперпаратиреоза являются дисфункциональные расстройства в гипоталамической области головного мозга, вследствие чего первоначально изменяется минеральный обмен, вызывая реактивную гипертрофию околощитовидных желез, на основе которой и развивается аденома эпителиальных телец.
Аденомы околощитовидных желез обычно имеют доброкачественное течение. Эти образования небольших размеров, с бугристой поверхностью мягкой консистенции, покрытые капсулой. Описаны случаи микроаденом, которые диагностировались только при микроскопическом исследовании биопсийного материала (А. В. Русаков, В. В. Хворов, Н. А. Зарубина). Встречаются и довольно крупные аденомы, достигающие иногда размеров головы новорожденного ребенка (Г. А. Масалитинов).
И в том и в другом случае аденомы сопровождались явлениями гиперпаратиреоидной остеодистрофии. Кроме доброкачественных опухолей в околощитовидных железах могут возникать и злокачественные новообразования, которые также сопровождаются, как отмечают А. В. Русаков, В. Ё. Хворов, В. М. Перельман, Р. В. Логвинова, выраженными клиническими признаками гиперпаратиреоза. Нередко встречаются плеоморфные аденомы околощитовидной железы, которые имеют такое же морфологическое строение, как несомненно злокачественные новообразования с признаками инфильтративного роста, атипии и фигурами митоза. Однако, как отмечает Н. Фут, они не обнаруживают явлений озлокачествления.
На разрезе аденоматозная паренхима околощитовидной железы однородно-дольчатого строения, розовато-белого, в некоторых случаях темно-коричневого цвета.
При микроскопическом исследовании доброкачественных солитарных аденом обнаруживаются эпителиальные клетки кубической формы с оксифильной мелкозернистой протоплазмой и округлым пузырьковидным ядром. Эти клетки образуют ячейки, разделенные между собой тончайшими соединительнотканными прослойками. Нередко аденома состоит из полигональных клеток с расплывчатыми и нечеткими границами. Протоплазма таких эпителиальных клеток слабо базофильна, а ядра пикнотичны.
По периферии опухоли можно отметить ветвящиеся аденоматозные разрастания, состоящие в основном из главных клеток околощитовидной железы. Эозинофильноподобные клетки чаще группируются в виде розеток. Нередко встречаются участки деструкции аденоматозпой паренхимы, очаги некроза, а также коллоидного превращения.
Гиперпаратиреоз или паратириоидная остеодистрофия. Фиброзно-кистозный остеит и болезнь Реклингаузена
Гиперпаратиреоз (паратиреоидная остеодистрофия, генерализованный фиброзно-кистозный остеит, болезнь Реклингаузена) — заболевание, обусловленное первичной гиперфункцией паращитовидиых желез.
Этиология и патогенез гиперпаратиреоза. Причиной заболевания являются в 86% случаев единичные и множественные аденомы или адеиокарциномы или в 14% случаев гиперплазия паращитовидиых желез. Патогенез гиперпарати-рсоза обусловлен избыточной секрецией ПТГ и его влиянием на обмен кальция и фосфора.
Действие паратгормона, способствующее деминерализации костей, выражается в подавлении активности остеобластов и щелочной фоефатазы, что в свою очередь вызывает накопление молочной и лимонной кислот в костной ткани и образование растворимых их соединений с кальцием, которые вымываются из костей. Паратиреоидиый гормон, тормозя реабсорбцию фосфора в почечных канальцах, способствует усиленному его выделению с мочой и понижению концентрации в крови.
Поскольку выделение кальция с мочой происходит значительно медленнее, чем поступление его в кровь из костной ткани, уровень кальция в крови увеличивается. Выделение фосфора с мочой обычно увеличено, а уровень его в крови понижен.
Патологическая анатомия гиперпаратиреоза. Гиперплазиро-ванная железа имеет коричневый цвет и узловатую поверхность, чем и отличается от гладкой поверхности адёноматозной железы, которая имеет кирпично-оранжевый или желтый цвет. Микроскопически опухоль состоит из главных клеток или водянисто-светлых клеток; изредка находили маленькие группы светлых оксифильных клеток.
Клиника гиперпаратиреоза. Заболевание чаще выявляется у людей среднего возраста, чаще у женщин. Имеются случаи заболевания в детском и старческом возрасте.
Клиническая симптоматика при гнперпаратнреозах может быть разнообразной, до некоторой степени здесь имеет значение пищевой режим, па котором находится больной.
При обеспечении организма достаточным количеством кальция в лекарственных препаратах или в пищевых продуктах деминерализация не наступает и организм вполне сможет восстановить нарушенное равновесие при помощи экзогенного кальция. У таких больных не наблюдается разрыхления костей, образования кист, по обычно остается склонность к нефролитиазу и кальцинозам. Это дает основание считать, что в клинической картине первичного гиперпаратиреоза характерно изменение химизма крови, чаще встречаются случаи почечного типа гиперпаратиреозов и реже костного типа.

Наиболее ранние симптомы первичного гиперпаратиреоза выражены нечетко и нередко это заболевание ошибочно трактуют как ревматизм, туберкулез костей, гастрит, почечные колики. Таким образом, определить начало болезни представляет большие трудности.
Боли, связанные с изменением в костях, особенно в позвоночнике, в области таза и ногах, затрудняют или делают совершенно невозможным передвижение больных. У них увеличивается череп, а позвоночник укорачивается, что уменьшает рост больного; отмечают нередко также и деформацию конечностей. Пока истинный характер заболевания не установлен, боли ошибочно трактуются как ревматизм, ишиалгия. В этих случаях рентгеновский снимок дает основание заподозрить гиперпаратиреоз. Характерная «утиная» походка возникает у больных в результате мышечной слабости и расстройства координации. При ощупывании конечностей и ребер можно определить места патологических переломов.
При поражении костей черепа иногда бывает увеличена окружность головы, при постукивании по черепу отмечается тимпанический звук «спелого арбуза». При рентгенологическом исследовании скелета можно обнаружить генерализованный остеопороз или гигантоклеточные опухоли. К поздним проявлениям следует отнести эпулиды и другие мягкотканные опухоли десен и нижней челюсти, шатание или выпадение зубов, выпячивание челюсти и отсутствие твердой зубной пластинки.
Нарушение скелета при гиперпаратиреозе — это результат рассасывания всех компонентов кости, а не только нарушение минерального обмена. Пораженные участки кости замещаются характерными кистами, гигантоклеточными опухолями и очагами фиброзного остита.
Стенки костной кисты состоят из веретенообразных клеток и фибробластов. На рентгенограмме кисты определяются в виде очагов просветления.
Ввиду деминерализации костей они становятся гибкими, мягкими, их можно свободно резать ножом. Самые незначительные причины могут вызвать переломы костей. В ряде случаев киста, которую находят в костях, представляет собой деминерализованную область, заполненную остеокластами. Иногда опухоли образуются из мягкой остеоидной ткани, в которой находят пигмент.
Макро- и микроскопические изменения в костях обычно выражены в различной степени. В мочевых путях при гиперпаратиреозе иногда обнаруживаются песок или камни.
При гиперпаратиреозе можно наблюдать изменения в почках, желудке, поджелудочной железе и других органах. Эти изменения могут быть единственными симптомами без поражения скелета.
Такие признаки, как снижение мышечного тонуса, запоры, остеопороз, протекают скрыто и не дают оснований для правильного диагноза. Изменения в почках при гиперпаратиреозе наблюдаются примерно в 60— 65% случаев. При нефрокальцинозе первичный гиперпаратиреоз наблюдается примерно в 30% случаев.
Формы гиперпаратиреоза. Фиброзная остеодистрофия
В. И. Корхов различает гиперпаратиреоз с изменениями преимущественно в костном аппарате, а также почечную, желудочно-кишечную и атипическую формы клинического проявления заболевания. Чаще всего все же при гиперпаратиреозе возникают изменения в костном скелете, нередко в патологический процесс при этом могут вовлекаться и мягкие ткани.
Под влиянием избыточного выделения в кровь гормона околощитовидных желез происходит частичная деминерализация костного скелета, вследствие чего повышается уровень содержания кальция в крови и отложения его в почках, миокарде, в легких, скелетных мышцах, сухожилиях, в стенках кровеносных сосудов, в мозговых оболочках и других органах и тканях. Глубокие дистрофические измепения развиваются также и в желудочно-кишечном тракте.
Нарушения минерального обмена при этом заболевании проявляются в изменении уровня не только кальция в крови, но также фосфора и железа. В результате усиленной деминерализации всего костного скелета резко перестраивается архитектоника трубчатых и пластинчатых костей. Компактная субстанция костной ткани подвергается пазушному и остеокластическому рассасыванию и замещению молодой остсоидиой тканью, лишенной солей извести.
Эндостальные разрастания постепенно замещают расширенные межкостные пространства, вытесняя при этом костный мозг. В результате нарушения структуры и декальцинации костей возникают множественные переломы, искривления и различные костные деформации (Э. А. Степанов, В. Р. Брайцев, А. В. Русаков).

Нередко в различных участках костного скелета из эндоста возникают гигантоклеточные опухоли. Эти опухоли иногда сравнительно быстро растут, разрушают костпую ткань и нередко достигают довольно больших размеров. Паренхима такой опухоли состоит из огромного скопления гигантских клеток типа остеокластов, в связи с чем А. В. Русаков назвал эту костную опухоль остеобластокластомой. Кроме остеокластов, такая опухоль содержит большое количество соединительнотканных клеток типа фибробластов и гистиоцитов.
В остеобластокластоме нередко встречается большое количество полостей, заполненных кровью, местами в очагах кровоизлияний наблюдаются скопления гемосидерина, в результате чего на разрезе такая опухоль имеет бурый оттенок. Иногда по своей микроскопической структуре, как отмечает А. В. Русаков, гигантоклеточные опухоли (остеобластокластомы) напоминают гигантоклеточные саркомы.
При гиперпаратиреозе в костном скелете часто наблюдаются множественные очаговые изменения в остеогенной соединительной ткани, в основе которых лежат диспластические процессы. Указанные изменения получили название фиброзной остеодистрофии. В настоящее время различают фиброзную и кистозную формы остеодистрофии. При фиброзной форме остеодистрофии пораженный участок костной ткани состоит из разрастания молодой соединительной ткани с преобладанием клеточных элементов типа фибробластов. При кистозной форме в костной системе возникают множественные кисты различных размеров.
Полости у таких кист выстланы фиброзной тканью и выполнены богатой белком жидкостью бурого цвета. В костной ткани, граничащей с пистонными образованиями, обычно обнаруживается множество гигантских опухолевых клеток.
Наряду со значительными нарушениями в костной системе при гиперпаратиреозе, как отмечают А. В. Русаков, Я. Е. Шапиро, Э. Градец, Я. Лютка, В. А. Никулина, D. Martin, R. Turner, обнаруживаются глубокие изменения со стороны некоторых внутренних паренхиматозных органов. В связи с нарушением кальциевого обмена в таких органах, как почки, легкие, а также в желудочно-кишечном тракте наблюдаются множественные известковые метастазы (псаммозпые тельца), в почках развивается нефрокальциноз, а также калькулезный пиелонефрит.
В альвеолярных перегородках легочпой паренхимы, а также в слизистой оболочке желудка откладываются соли кальция. Наконец, известковые скопления иногда находят в печеночных клетках, а также стенках артерий верхних и нижних конечностей.
Версия для слабовидящих
Национальный медицинский исследовательский центр травматологии и ортопедии имени Н.Н. Приорова Федеральное государственное бюджетное учреждение Министерства здравоохранения Российской Федерации
ОТДЕЛЕНИЯ

Паратиреоидная остеодистрофия (генерализованная фиброзная остеодистрофия, болезнь Реклингаузена, первичный гиперпаратиреоз; МКБ–10: Е21.0) ― заболевание, характеризующееся избыточной остеокластической резорбцией, фиброзным перерождением костного мозга и генерализованным остеопорозом. Встречается в любом возрасте, но преимущественно у женщин 40–50 лет.

Этиология и патогенез. Заболевание эндокринного характера, возникающее в результате гиперфункции паращитовидных желез.
первичный гиперпаратиреоз (аденома – 80% случаев, рак или гиперплазия паращитовидных желёз);
вторичный гиперпаратиреоз (возникает в результате длительной гипокальциемии, хронической почечной недостаточности, гиперфосфатемии, недостатке витамина Д и синдроме мальабсорбции);
третичный гиперпаратиреоз (следствие аденоматозных изменений паращитовидной железы на почве вторичного гиперпаратиреоза).
Различные виды гиперпаратиреоза характеризуются схожими изменениями костной ткани. Повышенный синтез паратгормона при первичном гиперпаратиреозе вызывает усиленную мобилизацию кальция и фосфора из костей, при этом наблюдается гиперкальциемия и гипофосфатемия, что обусловлено уменьшением тубулярной реабсорбции фосфатов и увеличением реабсорбции солей кальция. Увеличивается активность остеобластов и остеокластов, приводящая к интенсивной перестройке ткани с усиленным остеокластическим рассасыванием кости и одновременным фиброзированием костномозговых пространств.

Клиническая картина. Боли и припухание в поражённых костях; мышечная слабость; патологические переломы; полидипсия, полиурия; иногда в течение многих лет протекает незаметно для больного. Рентгенологически отмечают распространенный остеопороз, расширение костномозгового канала длинных костей, субпериостальная деминерализация; пятнистый рисунок костей черепа, субпериостальная резорбции дистальных отделов ногтевых фаланг. Лабораторно обнаруживают повышение содержания в крови кальция, щелочной фосфатазы, паратгормона, снижение показателей фосфатов.
Патоморфология.

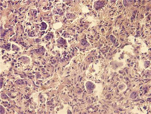
Макроскопически при длительном течении заболевания – деформации костей, подвергающихся наибольшей механической нагрузке (костей конечностей, позвоночника, грудной клетки). Кости становятся мягкими, иногда легко режутся ножом. Характерны множественные деформации в виде опухолевидных образований, наиболее часто встречающихся в длинных костях (чаще в диафизах), рёбрах, челюстях, имеющих на разрезе пестрый вид - желтовато-серые участки чередуются с темно-красными, бурыми («бурая опухоль» гиперпаратиреоза).
Микроскопия. Интенсивная перестройка костной ткани с усиленным остеокластическим рассасыванием кости; расширение хаверсовых каналов, спонгизация кортикального слоя, истончение костных трабекул; активная пролиферация фиброретикулярной ткани, формирование масс примитивной кости, наслаивающейся как на старые, так и на новые костные структуры; примитивная кость быстро подвергается резорбции и вновь замещается новообразованными костными массами.

«Бурая опухоль» представлена многочисленными многоядерными остеокластоподобными клетками, фибробластами, макрофагами, примитивными костными трабекулами, полями свежих и старых кровоизлияний, придающих поражению характерный вид.

Осложнения: патологические переломы, известковые метастазы, ахилия, нефрокальциноз, нефролитиаз, калькулёзный пиелонефрит. Смерть больных наступает от кахексии, уремии (вследствие сморщивания почек).
Читайте также:
- Рентгенологическая картина межпозвоночного остеохондроза. Реабилитация при межпозвоночном остеохондрозе
- Составная одонтома и цементома. Смешанная аденома и нейрофиброма полости рта
- Лучевая диагностика болезни накопления пирофосфата кальция (БНПК)
- Рентгенолография при правосформированном праворасположенном сердце. Рентгенологические признаки правосформированного праворасположенного сердца
- Лечение хронической систолической сердечной недостаточности - мочегонные средства
