Рентгенолография при правосформированном праворасположенном сердце. Рентгенологические признаки правосформированного праворасположенного сердца
Добавил пользователь Владимир З. Обновлено: 18.12.2025
Рентгенолография при правосформированном праворасположенном сердце. Рентгенологические признаки правосформированного праворасположенного сердца
Поворот больного на 20—25° в первое косое положение приводит к появлению конфигураций сердца, обычно наблюдающейся в норме в прямой проекции. Кроме того, обращает на себя внимание более низкое расположение правого купола диафрагмы, чем левого. Сопоставление высоты стояния обоих куполов диафрагмы со стороной расположения сердца и печени, проведенное М. Э. Манделынтаммом и С. А. Рейнбергом (1927),Whittenborg, Aviad (1963), опровергли существующее мление, что причиной более высокого стояния диафрагмы является печень. Исследования этих авторов показали наличие взаимосвязи, выражающейся в более низком стоянии купола диафрагмы на той стороне, на которой располагается верхушка сердца, независимо от локализации печени.
На рентгенограммах в прямой проекции на левом контуре сердца определяются две дуги: верхняя представлена часто наблюдающейся левосторонней дугой аорты и участком нисходящего отдела аорты, нижняя образована выходящим па левый контур ЛП. Дуга легочной артерии отсутствует. Правый контур сердца представляет собой сплошную выпуклую линию, простирающуюся от диафрагмы до основания сердца, которая образована вверху ПП и внизу ПЖ.

По рентгенограммам в косых проекциях можно получить представление о размерах предсердий и желудочков. В первой косой проекции передний край сердца образован в основном ПЖ, а задний контур — ПП. Во второй косой проекции передний край сердца образован ЛЖ, а задний— ЛП.
На рентгенокимограммах в прямой проекции по правому контуру сердца определяются высокоамплитудные зубцы желудочкового типа, обусловленные расположенным в этой области ПЖ. По левому контуру сердца низкоамплитудные зубцы дает ЛП.
При суперэкспозиции на рентгенограммах в прямой проекции можно проследить строение трахеобропхиального дерева. В норме правый главный бронх короче, шире и отходит от трахеи под углом 25—30°, являясь как бы се продолжением. Левый главный бронх располагается более горизонтально, образуя с продольной осью трахеи угол в 45—50°. С помощью рентгенологического исследования исключают экстракардиальные факторы, которые могли бы привести к правостороннему положеиию сердца. При контрастном исследовании желудочно-кишечного тракта устанавливают его нормальное строение и расположение. Приблизительно в 7—10% случаев можно отметить абдоминальную гетеротаксию. С помощью внутривенной холецистографии определяют нормальную форму и локализацию желчного пузыря. При радиоизотопном сканировании печени и селезенки обнаруживается их обычная позиция.
- Вернуться в оглавление раздела "Кардиология."
Информация на сайте подлежит консультации лечащим врачом и не заменяет очной консультации с ним.
См. подробнее в пользовательском соглашении.
Диагностика аномалий расположения сердца. Важные диагностические признаки расположения сердца
Образование различных типов аномального положения сердца происходит в разные периоды эмбриогенеза. Задержка или остановка роста, вызванная воздействием вредных агентов на том или ином этапе эмбриогенеза, обусловливает возникновение указанных аномалий. Однако причины, вызывающие остановку развития сердца, до настоящего времени остаются неизвестными. Здесь, как и при других пороках, могут быть рассмотрены различные эндогенные и экзогенные вредные факторы. Факты наследственной передачи аномалий расположения внутренних органов, включая сердце, отмечались некоторыми авторами. Однако большинством авторов такая связь пе установлена.
Обследование больных с аномалиями расположения сердца имеет целый ряд особенностей. Основными задачами при этом являются установление типа аномального расположения сердца, раскрытие анатомического содержания сопутствующего порока и характера нарушений гемодинамики, обусловленного пороком. Обследование больного необходимо проводить последовательно, поскольку, не установив тип аномального положения сердца, трудно дать правильную трактовку проявлений порока.
При аномалиях расположения сердца топография сердечных камер изменена, поэтому правильное их распознавание основывается на изучении особенностей анатомического строения их внутренней поверхности. Следует отметить, что каждая камера сердца имеет присущие только ей специфические морфологические признаки, совокупность которых позволяет ее опознать. Однако не всем признакам придается одинаковое диагностическое значение: одни из них играют определяющую роль, другие — лишь вспомогательную.
Приводимые ниже морфологические особенности предсердий и желудочков даны в порядке степени их важности, причем меткой «х» обозначены признаки, которым придается наибольшее диагностическое значение в распознавании камер.
Правое предсердие:
1. Па перегородочной поверхности определяются лимбус и овальная ямка (х).
2. Впадает НПВ (х).
3. Впадает коронарный синус (х).
4. Впадает ВПВ.
5. Наблюдается crista terminalis и гребешковые мышцы на латеральной и передней поверхностях.
6. Ушко имеет пирамидальную форму с широким основанием.

Левое предсердие:
1. На перегородочной поверхности отмечается дериват первичной перегородки (х).
2. Впадают легочные вены.
3. Отмечается сглаженная внутренняя поверхность.
4. Ушко извилистой формы и узким отверстием открывается в полость ЛП.
Правый желудочек:
1. Характеризуется грубой трабекулярностью внутренней поверхности, особенно в области перегородки (х).
2. Имеется наджелудочковый гребень, разделяющий полость желудочка па приточный и выводной отделы (х).
3. Отделен от предсердия трехстворчатым клапаном.
4. Полулунные клапаны располагаются спереди и высоко.
Левый желудочек:
1. Характеризуется нежной трабекулярностью, особенно на перегородочной поверхности (х).
2. Отсутствует наджелудочковый гребень (х).
3. Отделен от предсердия двухстворчатым клапаном.
4. Полулунные клапаны располагаются сзади и низко.
ЭКГ при правосформированном праворасположенном сердце. Электрокардиографические признаки правосформированного праворасположенного сердца
Положительный зубец Р наблюдается также в отведениях aVL и aVF, в левых грудных отведениях и большинстве правых грудных отведений, а отрицательный — в отведении aVR.
Если положительный зубец в наших наблюдениях встретился в 84% случаев, то в других отведениях частота указанных признаков, характеризующих его направление, колебалась от 81 до 94%.
Отрицательный зубец PI отмечен нами у 2 больных. У каждого из них предполагаемой причиной являлось снижение источника ритма, а именно узловой ритм. У 3 больных зубец Pi был изоэлек-тричным, не дифференцировался, и у одного больного носил двухфазный характер. В этих 4 случаях была выраженная гипертрофия ПП и отмечались сложные нарушения ритма. Такие же причины, ведущие к изменению направления зубца Р, наблюдали Campbell, Reynolds (1952), Portillo и соавт. (1959).
У всех больных с аномальным зубцом Р были установлены тяжелые множественные врожденные пороки сердца, которые для диагностики требовали применения специальных методов исследования, таких, как катетеризация сердца и ангиокардиография.
У больных с правосформированным праворасположенным сердцем в I и aVL отведениях могут регистрироваться глубокий и расширенный зубец Q, редко наблюдающийся в нормальном сердце, и уплощенный или отрицательный зубец Г, который, по мнению Grant (1958), обусловлен смещением МЖП и электрического поля желудочка, а не ишемией миокарда, как это предполагалось в случаях, описанных Flehmig, Pries (1956). В наших наблюдениях эти признаки «а ЭКГ встретились в 62% случаев. В данных условиях отведение aVF нередко отражает потенциалы ЛЖ в виде комплексов qR.

Определенное внимание должно уделяться характеру желудочковой активации, которая, кроме анализа предсердной активации, в ряде случаев помогает установлению типа правостороннего положения сердца (Sodi-Pollares et al., 1959; Portillo et al., 1959; Mirowski et aL, 1962). При правосформированном праворасположенном сердце потенциалы ПЖ в форме комплексов rS или RS обычно регистрируются в отведениях от V6R до V2-3, а ЛЖ в виде комплексов qR или qRS — в отведениях от V3 до V6
Однако следует отметить, что сопутствующие врожденные пороки сердца могут изменять электрокардиографическую картину и затруднять распознавание желудочковых Полостей. Так, при гипертрофии ПЖ наблюдается высокий зубец R в отведениях от V6R до V4R—V3R, в то время как зубец R в левых грудных отведениях низкий и имеется глубокий зубец S.
При гипертрофии ЛЖ зубец R в отведениях от V6R до V4r—V3R невысокий и меньше, чем зубец S; в дополнение qR комплексы в большинстве левых грудных отведений от V3 до V6 (Gasul et al., 1966).
Форма ЭКГ, тождественная правосформированному праворасположенному сердцу, может встречаться у больных с левосформированным праворасположенным сердцем и гипертрофией ПЖ. В таких случаях дифференциацию электрокардиографических кривых проводят по зубцу PI и специальными методами исследования.
Цели диагностики при аномалии расположения сердца. Тип формирования сердца
Перед диагностическим исследованием больных с аномалиями внутригрудного расположения сердца ставятся две цели: 1) установить тип аномального расположения сердца и 2) определить характер патологии сердечно-сосудистой системы. При установлении типа аномального расположения сердца обращают внимание на тип его формирования, топографию желудочков, магистральных сосудов и локализацию верхушки сердца. Получение этих необходимых сведений — сложный процесс. Однако правильно и методически построенное обследование больного с учетом специфических задач и разрешаемой способности используемых методов исследования приводит к правильному распознаванию характера аномалии положения сердца.
Тип формирования сердца устанавливают по месту расположения предсердий. О локализации предсердий можно судить по типу расположения внутренних органов.
При определении расположения органов брюшной полости основное внимание уделяется локализации печени и желудка. При этом следует руководствоваться правилом Forgacs (1947), по которому развитие правого предсердия и печени происходит с одной и той же стороны. Редко наблюдающиеся нарушения этого правила обычно связаны с тяжелыми поражениями сердечпо-сосудистой системы, сопровождающимися аномалиями развития селезенки.

Место расположения печени устанавливают с помощью физикального обследования больного, в частности путем перкуссии и пальпации, и более точно на основании рентгенологических данных и радиоизотопного сканирования печени.
Определенную ценность представляют также сведения о строении трахеобронхиального дерева. Это основано на наблюдениях, из которых следует, что анатомически правый бронх обычно бывает на стороне локализации правого предсердия (ПП), а анатомически левый бронх — на стороне ЛП (Van Mierop et al., 1970). Такие данные можно получить при анализе рентгенограмм, сделанных при суперэкспозиции в переднезадней проекции.
Дуга аорты и воздушпый пузырь желудка, видимые при рентгенологическом исследовании, при известных допущениях также могут служить косвенными показателями положения предсердий, но лишь в тех случаях, когда они расположены с одной и той же стороны (Elliott, Schiebler, 1968). Например, левосторонняя локализация дуги аорты и газового пузыря желудка свидетельствует о наличии правосформированного сердца, а правосторонняя—о левосформированном сердце.
С большей долей вероятности о положении правого предсердия говорит направлепие зубца Р на ЭКГ в I отведении (Campbell, Reynolds, 1952) и положение катетера в НПВ, так как она с большей степенью достоверности определяет ПП, чем ВПВ. Наиболее ценную информацию о локализации камеры можно получить при непосредственном ее контрастировании во время ангиокардиографического исследования.
Декстрокардия
Декстрокардия — это аномалия внутриутробного развития, при которой большая часть сердца расположена с правой стороны грудной клетки. Изолированная форма патологии протекает бессимптомно и выявляется во время профосмотров. При сочетании декстрокардии с другими пороками отмечаются цианоз или бледность кожи, слабость, судороги. Диагностика включает физикальный осмотр, ЭКГ, эхокардиографию, рентгенографию грудной клетки. При необходимости проводят инвазивные исследования — ангиокардиографию, катетеризацию сердца. Лечение неосложненной декстрокардии не требуется. При наличии угрожающих жизни аномалий назначают их оперативную коррекцию с последующей реабилитацией больных.
МКБ-10


Общие сведения
Термин «декстрокардия» образован из двух слов: латинского «dexter» (правый) и греческого «kardia» (сердце). Относится к редким аномалиям: частота встречаемости в разных регионах колеблется от 1:8000 до 1:25000 новорожденных. В России распространенность декстрокардии составляет 3,3% от всех аномалий положения органа. Декстрокардию следует отличать от декстрапозиции сердца — приобретенного патологического состояния, которое возникает при смещении органа (вследствие левостороннего гидроторакса, опухоли, правостороннего ателектаза).
Причины декстрокардии
Развитие заболевания связывают с генетическим дефектом, проявляющимся на этапе внутриутробного формирования органов плода. У страдающих декстрокардией выявлены специфические мутации генов HAND, ZIC3Shh, ACVR2, Pitxz. Наибольшее признание получила теория аутосомно-рецессивного наследования порока: аномальное положение сердца носит семейный характер, повторяется через 1-2 поколения.
Помимо семейной предрасположенности, в процессе мутаций генетического материала доказано участие тератогенных факторов. Экзогенные тератогены подразделяются на 3 основных группы по характеру воздействия:
- физические (ионизирующее излучение);
- химические (алкоголь, лекарственные препараты);
- биологические (бактериальные и вирусные инфекции).
Эндогенные причины включают гинекологические и экстрагенитальные заболевания беременной, тяжелые токсикозы.
Патогенез
В основе декстрокардии лежит нарушение процессов эмбриогенеза на ранних стадиях внутриутробного развития. В норме на 1-2 месяце беременности формирующаяся сердечная трубка начинает изгибаться влево. При наличии типичных для декстрокардии мутаций происходит аномальное искривление этой трубки в правую сторону. При этом нарушается дальнейшее формирование эмбриона, может изменяться позиция других висцеральных органов, чаще всего печени и селезенки.
Классификация
С учетом особенностей закладки органа в эмбриональном периоде выделяют 3 варианта аномалии:
- правосформированное праворасположенное сердце (изолированная декстрокардия);
- левосформированное праворасположенное («зеркальная» форма);
- неопределенно сформированное праворасположенное.
Врачи-кардиологи при изучении вопроса аномалии положения сердца используют классификацию, которая учитывает локализацию других органов. Варианты декстрокардии:
- Простая инверсия сердца. Форма аномалии, при которой наблюдается зеркальное расположение сердца, однако анатомия других органов грудной и брюшной полостей не изменена. Встречается крайне редко.
- Частичная инверсия внутренних органов. При таком варианте декстрокардии аномально расположены сердце и ряд внутренних органов. Чаще вправо перемещены селезенка, печень.
- Тотальня инверсия внутренних органов. Декстрокардия, которая сопровождается обратным расположением всех органов грудной клетки и живота. Редкая аномалия, которая выявляется с частотой 1 случай на 15-20 тысяч населения.
Симптомы декстрокардии
Изолированная форма, которая не сочетается с другими сердечными аномалиями, не имеет клинических проявлений. Специфические жалобы обычно отсутствуют. Состояние обнаруживается в детском или взрослом возрасте при проведении профилактических осмотров, обращении за врачебной помощью по другой причине. Люди с декстрокардией чаще других страдают болезнями нижних дыхательных путей: трахеитами, бронхитами.
Клинические симптомы возникают при наличии других аномалий висцеральных органов или возникновении на фоне декстрокардии кардиальной патологии. Пациенты ощущают постоянную слабость и повышенную утомляемость, не проходящую после сна. Их периодически беспокоят приступы учащенного сердцебиения, головокружения. Кожные покровы становятся бледными, иногда возникает синеватый оттенок кожи вокруг рта, на пальцах рук.
Сочетание декстрокардии и врожденных сердечных пороков проявляется яркой клинической картиной уже в раннем детском возрасте. Для «белых» пороков характерна постоянная бледность кожи, при «синих» формах наблюдаются акроцианоз или тотальный цианоз. Появляются одышечно-цианотические приступы: ребенок становится беспокойным, кожа холодная, дыхание хриплое и прерывистое.
Осложнения
Неосложненная сердечными пороками декстрокардия не представляет серьезной опасности для жизни и здоровья. При присоединении синдрома Картагенера развивается прогрессирующая дыхательная недостаточность, формируются обширные гнойно-воспалительные очаги в легочной паренхиме. Сложности возникают при оказании неотложной реанимационной или хирургической помощи больным, поскольку зеркальная анатомия затрудняет постановку диагноза.
Если декстрокардия комбинируется с аномалиями формирования сердечных структур или магистральных сосудов, возможны серьезные осложнения. Гемодинамические нарушения при «синих» пороках быстро прогрессируют в течение первых месяцев жизни ребенка. Хроническая гипоксия чревата необратимым повреждением мозга, снижением интеллекта, инвалидностью. При отсутствии квалифицированной кардиохирургической помощи высок риск летального исхода.
Диагностика
Опытный терапевт-кардиолог может заподозрить декстрокардию уже на первичном приеме при физикальном исследовании. В ходе пальпации предсердечной области верхушечный толчок обнаруживается справа от грудины. Перкуторно врач отмечает смещение границ сердечной тупости вправо, при аускультации выслушиваются изменения сердечных тонов. При подозрении на декстрокардию назначают полное обследование, в которое включены следующие методы:
- ЭКГ. Электрокардиография является наиболее простым и информативным исследованием для подтверждения декстрокардии. На кардиограмме отмечаются отклонение электрической оси сердца вправо, отрицательные зубцы Р и Т, высокоамплитудные зубцы R в правых грудных отведениях.
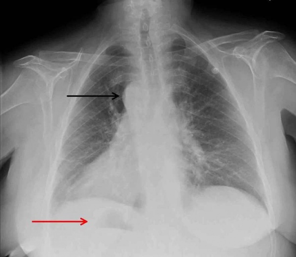
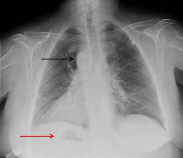
- Рентгенография ОГК. На рентгенограмме визуализируется смещение сердечной тени вправо, при комбинированных аномалиях изменяются контуры магистральных сосудов. Чтобы подтвердить транспозицию проводится рентгенография органов брюшной полости.
- УЗИ сердца и сосудов. Эхокардиография выполняется для оценки функциональной способности аномально расположенного сердца. На ЭхоКГ видна структура сердечной стенки, скорость кровотока, фракция выброса.
- Дополнительные исследования. В качестве подготовки к хирургической коррекции пороков развития показаны ангиокардиография или катетеризация сердечных полостей. Для выявления сопутствующих патологий зеркально расположенных внутренних органов рекомендуют КТ брюшной полости.

Лечение
Консервативная терапия
Аномальное расположение сердца без дополнительных заболеваний не сопровождается расстройствами гемодинамики и не требует лечения. При развитии сердечно-сосудистых заболеваний терапию проводят так же, как и для больных с отсутствием декстрокардии. При сочетании аномалии с синдромом Картагенера назначается симптоматическая терапия, предполагающая прием ингаляционных и топических назальных кортикостероидов, бета-адреномиметиков.
Хирургическое лечение
Оперативное вмешательство показано при сочетанных пороках развития сердца, транспозиции магистральных сосудов. Срок выполнения операции устанавливают с учетом вида порока и тяжести нарушений гемодинамики. Если угрожающие жизни состояния отсутствуют, хирургическую коррекцию откладывают до 3-6-летнего возраста ребенка. Когда декстрокардия сочетается с тяжелыми пороками (например, тетрадой Фалло), вмешательство проводят в максимально ранние сроки.
Реабилитация
В современной кардиологии применяют трехэтапную реабилитационную программу для пациентов, которые перенесли операцию по коррекции аномалий сердечно-сосудистой системы. Медицинский этап занимает первые дни-недели после хирургического вмешательства. Затем приступают к физической и психофизиологической реабилитации, которая включает массаж, ЛФК, физиотерапию. Заключительный этап — социально-трудовая реабилитация взрослых больных.
Прогноз и профилактика
Изолированные формы декстрокардии не влияют на качество жизни, не повышают риск развития других заболеваний. Прогноз благоприятный. Комбинированные пороки протекают более тяжело, но при проведении своевременного и комплексного лечения удается добиться полной медицинской и социальной реабилитации пациентов. Профилактические мероприятия направлены на устранение тератогенных факторов, медико-генетическое консультирование беременных.
3. Декстрокардия с транспозицией органов (situs inversus). Е. Г. Несукай, С. В. Федькив, Н. С. Поленова, А. А. Даниленко// Здоровье Казахстана. – 2016.
4. Организационное планирование третьего этапа реабилитации детей с врожденными пороками сердца различных возрастных групп. Л.А. Бокерия, Е.Б. Милиевская, С.М. Крупянко, М.Н. Неведрова. Менеджер здравоохранения. – 2015.
Читайте также:
- Ловушки при лапаротомии. Ревизия брюшной полости - что в ней нарушено?
- Пероральные гипогликемические средства
- Синдромы трения подвздошно-берцового тракта и Фабеллы. Диагностика и лечение
- Осложнения инфузионной терапии. Причины осложненной регидратации
- Влияние секретина на синтез инсулина, на желудок и кровоток
