Классификация причин спленомегалии - причины
Добавил пользователь Владимир З. Обновлено: 30.01.2026
Классификация причин спленомегалии - причины
Классическая семиология разделяет единичные первичные сплено мегалии от спленомегалий, возникающих в рамках целого патологического комплекса, детерминированного нарушением функциональных взаимосвязей между селезенкой и другими системами. Таким образом классифицируются единичные первичные спленические гипертрофии, спленоганглиозные, спленогепатические гипертрофии и спленогематические гипертрофии в рамках заболеваний крови.
Среди первых различаются в настоящее время единичные спленические опухоли или кисты, а среди остальных — гиперпластические ретикулолимфоцитарные заболевания, гиперспленомегалические гепатиты или циррозы, спленические заболевания гематологической природы, среди которых злокачественные гемопатии типа хронической миелоидной лейкемии, но и незлокачественные спленогематические заболевания, как например гемолитическая анемия или анемия Вирмера.
В настоящее время спленомегалии, независимо от того, являются ли они первичными, единичными или вторичными и ассоциированными с гипертрофией других ретикулолимфоидных органов, классифицируются по патогенетической природе гипертрофии.
Спленомегалии возникают на основе гиперпластических поражений свойственных спленической ткани:
1) конгестивная гипертрофия по поводу чрезмерной каптации и застоя крови и особенно красных шариков;
2) гипертрофия по поводу гиперплазии лимфоидной и ретикулярной состемы, гиперплазия, которая может быть иммунореактивной, злокачественной или тезаврирующей посредством нагружения определенными веществами, в особенности жировыми;
3) миелоидная гиперплазия при миелопролиферационных синдромах, являющихся патологическими процессами злокачественной пролиферации миелоиднои системы, существующей и активной в эмбриональном развитии и латентной во внематочной жизни;
4) кистозная спленическая гипертрофия, являющаяся одной из форм спленомегалии, при которой морфологически распознаются кисты с собственной оболочкой, подобные паразитарным, типа эхинококковой кисты, и ложные кисты, без собственной оболочки, образующиеся по поводу дегенеративных или килусных или кровяных аккумуляций. Спленические гемангиомы и лимфангиомы составляют особую форму спленомегалии, обычно единичных или ассоциированных с другими локализациями ангиоматозного заболевания.
Морфологические поражения являются морфопатогенетическим субстратом, детерминирующим главные типы спленомегалии; таким образом, при болезнях системного характера, селезенка затронута вторично, первично или одновременно при таком системном заболевании, как миелидная метаплазия или годжкиновские или негоджкиновские лимфомы.
Следовательно, большинство единичных спленомегалий, за исключением кист, обычно ассоциированы с известной обширной системной патологической группой, в которой клиническим началом может являться только спленомегалия. Ниже классифицированы крупные группы на этиопатогенетической основе, независимо от того является-ли первоначально спленомегалия первичной или ассоциированной с другими тканевыми гипертрофиями.

Этиопатогенетическая классификация единичных или ассоциированных, первичных или вторичных спленомегалий
I. Конгестивные спленомегалии:
- Синдром сплено-портальной гипертензии
- Нарушения интраспленической циркуляции
- Синдром Банти
II. Спленомегалии при лимфопролиферативных заболеваниях:
- Иммунореактивные пролиферации
- Злокачественные пролиферации
III. Спленомегалии при миелопролиферативных синдромах:
— миелобластный лейкоз с остеомиелосклерозом
— хронический миелолейкоз
— Policytemia vera
— мегакариотромбоцитарные лейкемии
V. Спленомегалии при незлокачественных гемопатиях:
— анемия Бирмера
— гемолитическая анемия
— сидероакрестические гипохромные анемии
— тромбоцитопении
— медуллярные аплазии и агранулоцитозы
V. Спленомегалии при нагрузочных ретикуло-гистиоцитозах (тезаврисмозах):
— болезнь Гоше
— болезнь Ниманна-Пика
— гистиоцитоз X (болезнь Кристиана-Шюллера)
— гемохроматоз
VI. Первичные единичные спленомегалии:
— кисты с паразитами
— ложные дегенеративные кисты
— лимфангиомы и гемангиомы

Группа I охватывает конгестивные спленомегалий и является реактуализацией, под этим названием, болезни и синдромов Банти. Эволюция поражений, описанных Banti (спленическая конгестия, склероз и фиброадения) выражается в любой конгестивной селезенке застоем спленопортальной циркуляции.
Интраспленический застой и конгестия происходят по поводу интрагепатических, постгепатических или предгепатических препятствий, соответственно при гепатическом склерозе с расстройством портальной циркуляции при синдроме Будда-Киари и при спленопортальном пилефлебите. Затем как это показал Blakemoore существуют циркуляторные расстройства спленической циркуляции по поводу внеспленических компрессивных препятствий (опухоль, воспалительный блок, гилюсная аденопатия и пр.) или по поводу внутриспленических препятствий в виде аномалий спленической вены, врожденных расширений и атрезий или поствоспалительных утолщений и тромбоз.
Кроме этого, существует также особая группа конгестивной селезенки, согласно некоторым авторам, в 25—30% случаев, когда не обнаруживается никакого препятствия в циркуляции спленический вены. Значительная интраспленическая конгестия и застой в этих случаях происходят повидимому по поводу расстройств в интраспленической циркуляции, причем находятся поражения коллагеновой дегенерации и утолщения стенок пенициловых артерий как это было описано на материале взятом от 40 спленектомий (Teodorescu).
Механизм спленомегалий по поводу нарушения интраспленической циркуляции утверждался многими авторами. Считается что эта группа спленомегалий по поводу конгестивного интраспленического расстройства, без препятствия и без первоначальных гепатических поражений, лежит в основе классической болезни Банти, которая проявляется одной из фаз, описанных итальянским автором.
Группа II состоит из спленомегалий при лимфопролиферативных заболеваниях, разделенные в подгруппы, известные как лимфореактивные пролиферации, злокачественные лимфопролиферации (лимфосаркома, ретикулосаркома, болезнь Годжкина) и некоторые пограничные лимфопролиферации, как саркоидоз Беснье-Бёка-Шауманна.
Следует обратить внимание на особые формы спленомегалий при автоиммунных заболеваниях, хронических инфекциях по поводу иммунного дефицита, хронических затяжных инфекциях, как люэс, малярия, бруцеллез, которые могут сопровождаться лихорадочными состояниями, причем спленомегалия бывает единственным симптомом или ассоциируется с аденомегалией и гепатомегалией.
Среди этих разнообразных форм, спленомегалия по поводу первичного спленического туберкулеза или по поводу гепатоспленического туберкулеза диагностицируются с большим трудом.
В группу III входят спленомегалии при лейкемических или подлейкемических миелопролиферативных синдромах, которые сопровождаются обычно спленомегалией или гепатоспленомегалией. Гигантские спленомегалии вызывают подозрение на первичный остеомиелосклероз; спленомегалии и в меньшей мере гепатомегалии появляются и при вторичных миелоидных метаплазиях в рамках паранеопластических синдромов, обычно с медуллярными микрометасатазами (Berceanu и сотр.).
Острые миелобластические миелоидные метаплазии, как острая миелобластическая и миеломоноцитарная лейкемия, сопровождаются умеренными спленомегалиями, в то время как в фазах бластической трансформации при хроническом миелолейкозе или при остеомиесклерозе во время острых вспышек спленомегалии становятся большими как при соответствующих хронических метаплазиях. миелопролиферативные синдромы с хронической эволюцией и вообще с выраженными или гигантскими спленомегалиями следует дифференцировать по преобладанию пролиферации того или иного клеточного типа, обычно с миелогранулоцитарной, эритробластической, тромбоцитарной или даже мегакариоцитарной лейкемической разгрузкой в кровь.
В группу IV входят спленомегалии при незлокачественных гемопатиях, к которым принадлежит ряд заболеваний крови, в особенности анемии. При анемии Бирмера и некоторых гипохромных анемиях, в том числе и сидероакрестических, спленомегалия бывает умеренной или ограниченной. При гемолитической анемии обычно присутствующая спленомегалия увеличивается в случае хронических гемолизов по поводу гемосидероза и гиперплазии ретикуломакрофаговой системы, когда обыкновенно возникает и синдром гиперспленизма.
Спленомегалия присутствует и при H.P.N. а также при различных хронических пурпурах, как идиопатическая тромбоцитопения. При медуллярных аплазиях и агранулоцитозе, спленомегалия не является постоянным симптомом и зависит главным образом от этиологических условий.
Гемоцитопении периферического спленического или гепатического происхождения имеют общую характеристику: спленомегалия или гиперспленизм и будут рассматриваться отдельно, так как они имеют множественную этиологию и могут возникать при любой форме спленомегалии: конгестивной, злокачественной, метапластической и пр.
Группа V включает спленомегалии по поводу ретикулезов или гистиоцитозов метаболического накопления. В нее входят так называемые тезаврисмозы, болезнь Гоше, болезнь Ниманна-Пика, гистиоцитоз X или болезнь Кристиана-Шюллера. К этому следует добавить в качестве метаболических заболеваний гемохроматоз и гемосидероз, а также и некоторые формы порфиринурий с гепатическими альтерациями и гемолизом. Большинство тезаврисмозов сопровождается гемоцитопениями, либо по поводу медуллярной инвазии, как при болезни Гоше, с дислокацией гематопоэза, либо по поводу синдрома гиперспленизма.
В ряд сплеломегалий дегенеративного характера включаются и спленомегалии при амилоидозах и параамилоидозах в рамках различных, обычно вторичных, и реже первичных форм парапротеиноза.
В группу VI входят первичные спленомегалии, которые могут эволюировать в течение многих лет в виде туморальных спленомегалии доброкачественного характера, как это бывает при паразитарных спленических кистах (ехинококкоз). Затем существуют дегенеративные кисты вообще, на почве циркуляторных расстройств, которые ведут к сывороточногема-тическим или хилезным аккумуляциям.
В эту группу можно включать и спленомегалии по поводу гемангиом или лимфангиом, которые могут эволюировать долгое время отдельно, обычно без кровяного отклика если не происходят и некоторые сосудистые альтерации с расширениями и углублениями, обусловливающих местные тромбозы благодаря внутрисосудистой коагляции, с опасностью эмболии через некоторое время.
Видео техники перкуссии селезенки
Редактор: Искандер Милевски. Дата обновления публикации: 18.3.2021
Гепатоспленомегалия ( Гепатолиенальный синдром )
Гепатоспленомегалия – вторичный патологический синдром, который сопровождает течение многих заболеваний и характеризуется значительным одновременным увеличением в размерах печени и селезенки. Клинические проявления зависят от патологии, которая привела к этому состоянию, общие признаки – тяжесть в подреберьях и эпигастрии, болезненность живота при пальпации. Диагностика основана на обнаружении больших размеров селезенки и печени при клиническом обследовании, проведении УЗИ и МРТ органов брюшной полости. Специфического лечения гепатоспленомегалии не существует, данный синдром разрешается на фоне терапии основного заболевания.
МКБ-10


Общие сведения
Гепатоспленомегалия, или гепатолиенальный синдром, является одним из клинических проявлений разных патологических состояний. Чаще всего значительное увеличение печени и селезенки обнаруживается при скрининговом осмотре или обследовании пациента по поводу других заболеваний. Гепатоспленомегалия – не отдельная нозологическая единица, а лишь синдром определенной патологии. Чаще всего она встречается в возрастной группе до 3-х лет – это обусловлено увеличившейся частотой внутриутробных инфекций и онкопатологии у детей. Достаточно часто при наличии гепатоспленомегалии у пациента не обнаруживается других клинических проявлений какого-либо заболевания. Подобные случаи требуют длительного наблюдения, своевременных повторных обследований для выявления вызвавшей гепатоспленомегалию патологии.

Причины гепатоспленомегалии
Привести к гепатоспленомегалии могут заболевания гепатобилиарной системы или патология других органов. В норме край печени может пальпироваться и у здоровых людей, он острый, ровный и эластичный. При патологии свойства печеночного края меняются: при сердечно-сосудистых заболеваниях он становится округлым и рыхлым; при онкологических – твердым, бугристым. Нижний край селезенки в норме не пальпируется.
У новорожденных детей наиболее частой причиной гепатоспленомегалии является гемолитическая болезнь, у детей младшего возраста – внутриутробные инфекции и онкологическая патология. у взрослых причиной гепатомегалии могут быть различные патологические состояния. Чаще всего это:
- поражение ткани печени (острое или хроническое диффузное воспаление, формирование регенеративных узлов, фиброз, внутри- или внепеченочный холестаз, опухоли, кисты и т. д.)
- сердечно-сосудистые заболевания (хроническая сердечная недостаточность на фоне ИБС, гипертонии и пороков сердца, констриктивный перикардит, эндофлебит печеночных вен)
- паразитарные инвазии. У пациентов с гепатоспленомегалией часто обнаруживаются различные инфекционные заболевания (малярия, лейшманиоз, бруцеллез, мононуклеоз)
- аномалии сосудов печени и портальной системы.
- гемобластозы. Весьма вероятно развитие данного синдрома и при заболеваниях крови (лейкозы, тяжелые анемии, лимфогранулематоз)
- болезни накопления (гепатозы различной этиологии, гемохроматоз, амилоидоз)
В начале основного заболевания может быть увеличена только селезенка (при патологии системы крови) или только печень (при гепатитах и других заболеваниях печеночной ткани). Сочетанное поражение этих двух органов обусловлено общей системой кровоснабжения, иннервации и лимфооттока. Именно поэтому при тяжелых заболеваниях изначально может регистрироваться только гепатомегалия либо спленомегалия, а по мере прогрессирования патологии неизбежно поражаются оба этих органа с формированием гепатоспленомегалии.
Симптомы гепатоспленомегалии
Симптоматика гепатоспленомегалии во многом определяется фоновым заболеванием, которое привело к увеличению печени и селезенки. Изолированная гепатоспленомегалия характеризуется чувством тяжести и распирания в правом и левом подреберье, определением округлого образования, выступающего из-под реберной дуги (край печени или селезенки). При наличии какой-либо патологии, приводящей к гепатоспленомегалии, пациент предъявляет характерные для этого заболевания жалобы.
Быстрое увеличение печени характерно для вирусных гепатитов, онкопатологии. Выраженная болезненность печеночного края во время пальпации присуща воспалительным заболеваниям печени и злокачественным новообразованиям, а при хронической патологии появляется во время обострения либо из-за присоединения гнойных осложнений.
Значительное увеличение селезенки возможно при циррозе, тромбозе селезеночной вены. Характерным симптомом тромбоза является развитие желудочно-кишечного кровотечения на фоне выраженной спленомегалии. При варикозном расширении вен пищевода размеры селезенки, наоборот, значительно сокращаются на фоне кровотечения (это связано с уменьшением давления в системе воротной вены).
Диагностика
Заподозрить гепатоспленомегалию гастроэнтеролог может при обычном осмотре: во время проведения пальпации и перкуссии выявляются увеличенные размеры печени и селезенки. Такой простой метод исследования, как перкуссия (выстукивание), позволяет дифференцировать опущение органов брюшной полости от их истинного увеличения.
В норме при перкуссии печени ее верхняя граница определяется на уровне нижнего края правого легкого. Нижняя граница начинается от края Х ребра (по правой переднеподмышечной линии), далее проходит по краю реберной дуги справа, по правой парастернальной линии - ниже реберной дуги на два сантиметра, по срединной линии – на 5-6 см ниже мечевидного отростка, границы печени не выходят за левую парастернальную линию. Поперечный размер составляет 10-12 см, постепенно сужаясь к левому краю до 6-8 см.
Перкуссия селезенки может представлять определенные трудности из-за ее малых размеров и тесного соседства с желудком и кишечником (наличие газа в этих органах затрудняет выстукивание). В норме селезеночная тупость определяется между IX и XI ребром, составляет около 5 см в поперечнике, длинник не должен превышать 10 см.
Пальпация органов брюшной полости является более информативным методом. Следует помнить о том, что за увеличенную печень можно принять опухоль правой почки, толстой кишки, желчного пузыря. Эмфизема легких, поддиафрагмальный абсцесс, правосторонний плеврит могут провоцировать гепатоптоз, из-за чего нижний край органа будет пальпироваться значительно ниже края реберной дуги, хотя истинные размеры при этом не будут увеличены. Пальпация селезенки должна производиться в положении на правом боку. Имитировать спленомегалию могут опущение левой почки, опухоли и кисты поджелудочной железы, новообразования толстой кишки.
Консультация гастроэнтеролога показана всем пациентам, у которых выявлена гепатоспленомегалия. Диагностический поиск направлен на определение заболевания, которое привело к увеличению печени и селезенки. Он включает:
- Лабораторные исследования. Клинические анализы крови, биохимические пробы печени позволяют выявить поражение печеночной ткани, гематологические заболевания, вирусные гепатиты и другие инфекционные и паразитарные заболевания.
- Инструментальную визуализацию.УЗИ органов брюшной полости, МРТ печени и желчевыводящих путей, МСКТ органов брюшной полости позволяют не только точно диагностировать степень увеличения печени и селезенки при гепатоспленомегалии, но и обнаружить сопутствующую патологию других органов брюшной полости.
- Пункционную биопсию печени. В сложных диагностических ситуациях под местным обезболиванием производится прокол ткани печени тонкой иглой и забор материала для гистологического исследования. Данная методика является инвазивной, но позволяет точно установить диагноз при поражении печени.
- Ангиографию. Предполагает введение в сосуды печени и селезенки рентгенконтрастного вещества с последующей оценкой их архитектоники и портального кровотока.
- Другие пункции и биопсии. При подозрении на гематологическую патологию производится пункция костного мозга и биопсия лимфатических узлов.
Сочетание гепатоспленомегалии с изменениями печеночных проб говорит о поражении паренхимы печени, болезнях накопления. Обнаружение лимфомиелопролиферативных процессов, изменений в общем анализе крови указывает на гематологическую патологию. Характерные симптомы и клиника поражения сердечно-сосудистой системы позволяет заподозрить застойную сердечную недостаточность.

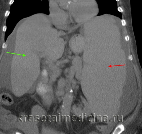
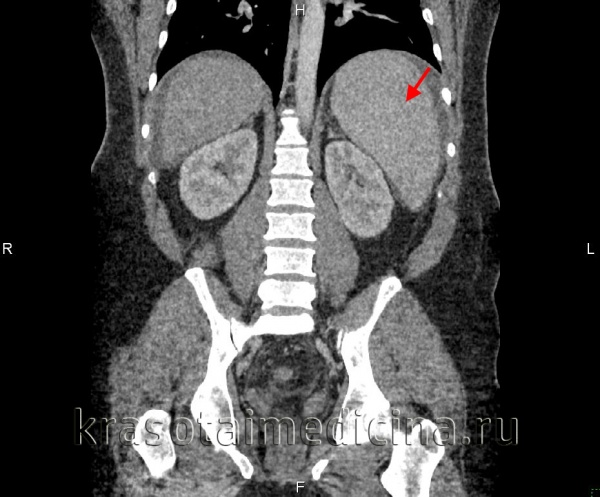
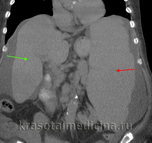
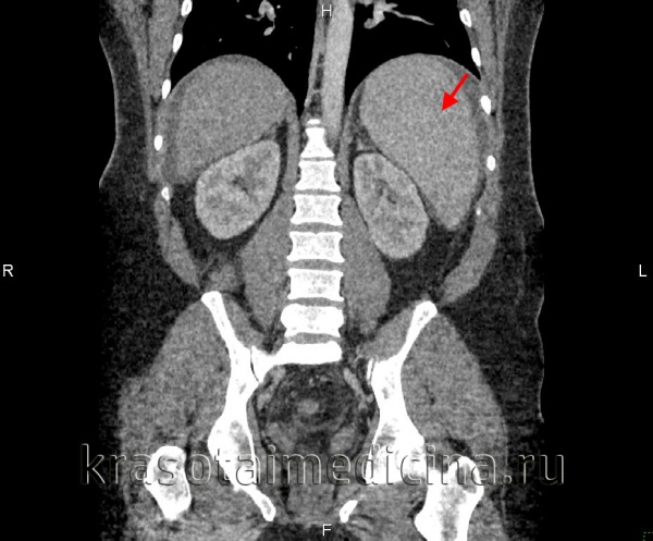
КТ ОБП. Диффузное увеличение печени (зеленая стрелка) и более выраженное увеличение селезенки (красная стрелка).
Лечение гепатоспленомегалии
При обнаружении изолированной гепатоспленомегалии, отсутствии других клинических проявлений и изменений в анализах осуществляется наблюдение за пациентом в течение трех месяцев. Если за это время размеры печени и селезенки не уменьшатся, пациент с гепатоспленомегалией должен быть госпитализирован в отделение гастроэнтерологии для тщательного обследования и определения тактики лечения. Мероприятия при гепатоспленомегалии направлены на лечение основного заболевания, также проводится симптоматическая терапия.
Для улучшения состояния пациента осуществляется дезинтоксикационная терапия – она позволяет вывести из организма ядовитые продукты обмена, которые накапливаются при нарушении функции печени. Желчегонные препараты, спазмолитики и гепатопротекторы облегчают состояние больного с гепатоспленомегалией и улучшают качество его жизни. Патогенетической терапией гепатитов является применение противовирусных и гормональных препаратов. При гематологических заболеваниях может назначаться химиотерапия, проводиться пересадка костного мозга.
Прогноз и профилактика
Гепатоспленомегалия - грозный синдром, который требует обязательного обращения за высококвалифицированной медицинской помощью. Прогноз зависит от основного заболевания, на фоне которого развился гепатолиенальный синдром. Прогнозирование дальнейшего развития гепатоспленомегалии практически невозможно из-за многофакторности формирования этого состояния. Профилактика заключается в предупреждении развития заболеваний, которые могут привести к увеличению печени и селезенки.
Спленомегалия
Спленомегалия — вторичный патологический синдром, который проявляется увеличением размеров селезенки. Увеличение органа невоспалительного генеза сопровождается ноющей болью, чувством распирания в левом подреберье. При инфекционных процессах возникает лихорадка, резкая боль в подреберье слева, тошнота, диарея, рвота, слабость. Диагностика основывается на данных физикального осмотра, УЗИ, сцинтиграфии селезенки, обзорной рентгенографии и МСКТ брюшной полости. Тактика лечения зависит от основного заболевания, которое привело к спленомегалии. Назначают этиотропную терапию, при необратимых изменениях и значительном увеличении органа выполняют спленэктомию.


Спленомегалия – аномальное увеличение селезенки. Синдром не является самостоятельной нозологической единицей, а возникает вторично, на фоне другого патологического процесса в организме. В норме селезенка весит около 100-150 г и не доступна для пальпации, т. к. полностью скрыта под реберным каркасом. Пальпаторно определить орган удается при его увеличении в 2-3 раза. Спленомегалия может являться индикатором серьезных болезней, ее распространённость в общей популяции составляет 1-2%. У 5-15% здоровых детей определяется гипертрофия селезенки ввиду несовершенства иммунной системы. Синдром может встречаться у людей всех возрастов. В равной степени поражает лиц женского и мужского пола.
Причины спленомегалии
Селезенка является важной составляющей иммунной системы. Повышение функциональной активности, увеличение скорости кровотока и размеров органа сопровождает большое количество заболеваний как инфекционной, так и неинфекционной природы. К основным причинам развития данной патологии относят:
- Инфекционные заболевания. Увеличение размеров происходит в результате повышенной иммунной нагрузки на орган при бактериальных (сифилис, туберкулез), вирусных (ВИЧ, цитомегаловирус, вирус Эпштейна–Барр), грибковых (бластомикоз, гистоплазмоз), паразитарных (шистосомоз, эхинококкоз), протозойных (малярия, лейшманиоз) острых и хронических инфекциях.
- Аутоиммунные заболевания. Гиперплазия развивается при повышении фагоцитарной функции селезенки, активации ретикулоэндотелиальной системы на фоне аутоиммунных болезней (ревматоидный артрит, системная красная волчанка, узелковый периартериит).
- Миелопролиферативные болезни. Спленомегалия формируется при злокачественной трансформации костномозговых клеток, что сопровождается их избыточной пролиферацией и нарушением гемопоэза в т. ч. в селезенке. К данным состояниям можно отнести истинную полицитемию, миелолейкоз, миелоидную метаплазию.
- Новообразования различной этиологии. Увеличение органа может быть связано с доброкачественными и злокачественными образованиями селезенки, опухолями кроветворной системы (лимфома, острый и хронический лейкоз) и с метастазированием из других очагов (рак легкого, рак печени).
- Гематологические расстройства. Синдром развивается на фоне повышения функциональной нагрузки на селезенку при наследственных и приобретенных заболеваниях крови (гемолитическая анемия, талассемия, циклический агранулоцитоз и др.).
- Нарушения обмена веществ. Спленомегалия возникает в результате инфильтрации паренхимы макрофагами, липидами или другими метаболитами при приобретённых и наследственных нарушениях обмена веществ (фенилкетонурия, болезнь Вильсона, синдром Зольвегера, гликогенозы и др.).
- Нарушение кровообращения. При нарушении оттока крови по венозному руслу в результате застойных явлений происходит рост сосудистой ткани, увеличивается число эритроцитов, повышается давление в портальной системе, развивается гипертрофия органа. К данному состоянию может привести тромбоз селезеночной вены, перекручивание сосудистой ножки селезенки.
Классификация
В гастроэнтерологии синдром классифицируется в зависимости от этиологии и патогенеза. Выделяют две формы спленомегалии, имеющие различную природу и клинические проявления:
- Воспалительная. Возникает на фоне бактериальной, вирусной, протозойной, грибковой инфекции (острый вирусный гепатит, краснуха, туберкулез, сальмонеллез, малярия и др.). Проявляется яркой клинической картиной и общей интоксикацией организма.
- Невоспалительная. Развивается в результате различных заболеваний неинфекционной природы (анемии, амилоидоз, цирроз печени, лейкозы). В данном случае более выраженными являются симптомы основного заболевания, клинические проявления со стороны селезенки носят стертый характер.
Симптомы спленомегалии
Клиническая картина зависит от исходной патологии, причин и степени увеличения органа. В большинстве случаев на первый план выходят симптомы первичного заболевания. Воспалительные спленомегалии сопровождаются повышением температуры тела до фебрильных значений, тошнотой, рвотой, послаблением стула, выраженной слабостью. Болезненные ощущения часто носят острый режущий характер и локализуются в области левого подреберья.
При невоспалительной этиологии заболевания температура тела нормальная или субфебрильная. Возникает тупая ноющая или давящая боль в левом подреберье слабой интенсивности. Общие симптомы интоксикации отсутствуют или слабо выражены. Синдром спленомегалии сопровождается появлением бледности кожных покровов с синеватым оттенком, снижением аппетита, уменьшением работоспособности. Часто отмечается одновременное увеличение размеров селезенки и печени - гепатоспленомегалия. В этом случае к основным симптомам присоединяется чувство тяжести и распирания в подреберье справа.
Осложнения
К наиболее серьезным осложнениям спленомегалии относится разрыв селезенки. Данное состояние сопровождается массивным кровотечением и приводит к развитию геморрагического шока, а при отсутствии экстренных мер - к летальному исходу. Нарушение функции селезенки может сочетаться с внутриорганным разрушением форменных элементов крови, возникновением гиперспленизма, который сопровождается лейкопенией, анемией, тромбоцитопенией. В результате нарушается свертываемость крови, снижается иммунная функция организма, развивается гипоксия. Данное состояние может привести к жизнеугрожающим последствием (шок, кровотечение).
Первичная диагностика заключается в консультации гастроэнтеролога. Во время физикального осмотра специалист пальпаторно определяет патологически увеличенный орган, перкуторно - изменённую селезеночную тупость. С помощью изучения анамнеза жизни и заболевания врач может предположить причину, повлекшую развитие спленомегалии. Для подтверждения диагноза и проведения дифференциальной диагностики назначают следующие инструментальные исследования:
- УЗИ селезёнки. Позволяет определить размеры и форму органа. Выявляет травмы, воспалительные процессы, новообразования и аномалии развития селезенки.
- Обзорная рентгенография брюшной полости. На снимках определяется увеличение селезенки и смещение близлежащих анатомических структур (желудка, кишечника). При рентгеноскопии селезенка подвижна и участвует в акте дыхания.
- МСКТ брюшной полости. Современный метод исследования, который позволяет получить детальное изображение органа. При локализации первичного заболевания в брюшной полости (опухоль, эхинококковая киста) данный способ помогает определить причину спленомегалии.
- Сцинтиграфия селезенки. С помощью радиоизотопного исследования можно определить функциональное состояние и очаговые изменения селезеночной паренхимы. Одновременно часто проводится сцинтиграфия печени, что может помочь в поиске причины болезни.

При ярко выраженной клинической картине с симптомами интоксикации назначают ОАК, биохимический анализ крови, ОАМ. Спленомегалию дифференцируют с доброкачественными и злокачественными образованиями, абсцессом, кистой селезенки.
Лечение спленомегалии
Тактика лечения основана на поиске и устранении причинного заболевания. При инфекционных процессах терапия проводится с учетом возбудителя болезни (антибактериальные, противовирусные, противопротозойные препараты и др.). При аутоиммунной патологии назначают гормональные средства. При гематологических заболеваниях и новообразованиях применяют противоопухолевые препараты, лучевую и химиотерапию, пересадку костного мозга. Воспалительные спленомегалии с выраженными симптомами интоксикации требуют проведения дезинтоксикационной, противовоспалительной терапии. Симптоматически назначают витамины и минеральные комплексы, обезболивающие препараты.
При больших размерах селезенки, некоторых болезнях накопления (амилоидоз, болезнь Гоше и др.), гиперспленизме, тромбозе воротной и селезеночной вен выполняют удаление органа (спленэктомию). Диета при спленомегалии предполагает отказ от жаренных, копченных, консервированных блюд, алкогольных напитков. Рекомендовано сократить употребление сдобной выпечки, грибов, кофе, шоколада, газированных напитков. Следует отдавать предпочтение нежирным сортам мяса (крольчатина, говядина), овощам (перец, капуста, свекла), крупам, фруктам и ягодам (цитрусовые, бананы, яблоки, малина и др.). Из напитков рекомендуется употреблять некрепкий чай, морсы и компоты собственного приготовления.
Спленомегалия - синдром, который может свидетельствовать о серьезных заболеваниях и потому требует проведения тщательной диагностики. Дальнейшие перспективы зависят от первоначальной патологии. Прогнозирование последствий заболевания не представляется возможным из-за многофакторности данного состояния. Профилактика заключается в предупреждении развития патологии, которая приводит к формированию спленомегалии. С этой целью рекомендовано ежегодное диспансерное наблюдение, своевременное лечение острых процессов в организме и санация хронических очагов воспаления.
Гиперспленизм ( Гиперспления )
Гиперспленизм – это патологическое состояние, характеризующееся усиленной деструкцией в синусоидах селезенки форменных элементов крови (эритроцитов, тромбоцитов, лейкоцитов). Является следствием увеличения селезенки. Клиническая картина определяется основным заболеванием, а также цитопеническим синдромом – анемия, кровотечения, инфекции. Диагноз ставится по наличию спленомегалии, данным УЗИ или КТ брюшной полости, лабораторного подтверждения снижения одного из типов клеток крови. Лечение зависит от болезни, вызвавшей гиперспленизм. При крайне выраженной цитопении проводится спленэктомия (удаление селезенки).


Гиперспленизм – не самостоятельное заболевание, а клинико-лабораторный синдром, который является специфическим закономерным осложнением длительной спленомегалии. Однако иногда он может развиться и при нормальных размерах селезенки. В норме селезенка служит своеобразным фильтром, в котором задерживаются и разрушаются клетки крови, перестающие выполнять свои функции, или же аномальные клетки. При гиперспленизме этот процесс приобретает патологический характер. Его возникновение свидетельствует о неблагоприятном течении основного заболевания, так как синдром часто ассоциирован с летальным исходом.
Причины гиперспленизма
Этиологические факторы аномально повышенной функции селезенки те же, что и у спленомегалии. Однако у некоторых пациентов не удается точно установить причину (первичный, идиопатический гиперспленизм). Вторичный процесс развивается на фоне различных патологических состояний. Наиболее распространенными из них считаются:
- Цирроз печени. Признаки гиперспленизма наблюдаются у 60% больных хроническими болезнями печени. Самая частая причина - цирроз. В этом случае синдром является компонентом портальной гипертензии и сопровождается асцитом, варикозным расширением вен пищевода и симптомами печеночной недостаточности.
- Гематологические заболевания. Это вторая по частоте причина гиперспленизма. Особенно ярко синдром выражен при гемоглобинопатиях (серповидно-клеточной анемии, талассемиях). Также гиперфункция селезенки встречается при миелопролиферативных, лимфопролиферативных патологиях (лейкозах, лимфомах), гемолитических анемиях.
- Инфекции. Спленомегалия, осложненная гиперспленизмом, довольно часто встречается при инфекционном эндокардите. Гиперфункция селезенки может наблюдаться при вирусных (инфекционный мононуклеоз), бактериальных (брюшной тиф, бруцеллез) и протозойных инфекциях (малярия, висцеральный лейшманиоз).
- Системные заболевания. Гиперспленизм также нередко развивается при системных воспалительных патологиях (саркоидоз, системная красная волчанка), метаболических расстройствах (амилоидоз, гемохроматоз). Наиболее тяжело синдром протекает у людей, страдающих наследственными болезнями накопления (болезнь Гоше, Нимана-Пика).
Патогенез
Механизм развития усиленного разрушения клеток крови (секвестрации) в селезенке напрямую зависит от патогенеза спленомегалии, а значит, и от основного заболевания. При циррозе печени, гемоглобинопатиях, а также некоторых инфекциях (бактериальном эндокардите), возникает застой крови в системе воротной или селезеночной вены, что ведет к переполнению селезенки кровью. Из-за того, что через селезенку проходит больший объем крови, секвестрация форменных элементов усиливается.
При инфекциях и системных воспалительных процессах гиперспленизм обусловлен гиперактивацией ретикулоэндотелиальной системы селезенки. В результате селезеночные макрофаги захватывают клетки крови в большем, чем обычно, количестве. Данный процесс носит название «рабочая гипертрофия (гиперплазия) селезенки». При болезнях накопления и злокачественных гематологических заболеваниях селезенка увеличивается за счет опухолевой пролиферации и отложения в ней патологических белков, липидов и т. д.
На ранних этапах развития гиперспленизма главного патологического компонента - цитопенического синдрома - может не быть. Это связано с компенсаторным усилением гемопоэтической функции костного мозга. Однако при дальнейшем прогрессировании основного заболевания и гиперспленизма этого механизма становится недостаточно, что приводит к уменьшению содержания клеток в периферической крови.

Симптомы гиперспленизма
Клиническая картина складывается из признаков спленомегалии, цитопенического синдрома и симптомов основного заболевания. Увеличенная селезенка вызывает тяжесть, ноющие или распирающие боли в левом подреберье. При многих патологиях спленомегалия сопровождается гепатомегалией, что проявляется тяжестью и болями в правом подреберье. Иногда селезенка достигает таких размеров, что сдавливает диафрагму, и больной начинает испытывать затруднения дыхания (невозможность совершить глубокий вдох) из-за уменьшенной амплитуды экскурсии грудной клетки. Особенно часто одышка наблюдается у пациентов с болезнями накопления и миелопролиферативными заболеваниями.
Цитопенический синдром заключается в уменьшении содержания в крови форменных элементов. Может встречаться как изолированное снижение одного типа клеток, так и всех трех (панцитопения). Клиника зависит от того, дефицит каких клеток крови наступает у пациента:
Анемический синдром
Низкий уровень эритроцитов приводит к анемическому синдрому – кожа и слизистые оболочки становятся бледными, появляется повышенная чувствительность к холоду. В дальнейшем присоединяются симптомы сниженного артериального давления (слабость, головокружения, учащенное сердцебиение).
Геморрагический синдром
Падение концентрации тромбоцитов в крови вызывает геморрагический синдром. Возникают носовые кровотечения, кровоточивость десен. У женщин менструации становятся обильными и продолжительными. Кожа покрывается петехиальными высыпаниями, экхимозами, как спонтанно, так и при малейшем механическом повреждении.
Лейкопенический синдром
Из-за снижения содержания лейкоцитов, а именно гранулоцитов, уменьшается сопротивление организма различным бактериальным инфекциям. На коже часто появляются гнойничковые образования (фурункулы, карбункулы). Развиваются постоянно рецидивирующие воспалительные инфекционные процессы ‒ пневмонии, пиелонефриты, отиты.
Гиперспленизм характеризуется большим количеством осложнений. Наиболее частые неблагоприятные последствия связаны с тромбоцитопенией. Развиваются обширные внутренние кровотечения. Самое опасное из них – геморрагический инсульт, имеющий высокий процент летальности (около 30%). Выраженная быстропрогрессирующая анемия приводит к декомпенсации хронической сердечной недостаточности (отек легких, кардиогенный шок), усугублению ишемической болезни сердца в виде нестабильной стенокардии и инфаркта миокарда. Вследствие гранулоцитопении инфекционные заболевания приобретают тяжелое молниеносное течение, стремительно переходящее в септическое состояние и септический шок.
Профиль специалиста, который курирует пациента с гиперспленизмом, определяется основной патологией. Главным образом, такими больными занимаются врачи-гепатологи и гематологи, так как наиболее частыми этиологическими факторами выступают цирроз печени и гематологические болезни. Во время общего осмотра обращает на себя внимание увеличенная и болезненная при пальпации селезенка. Дополнительное обследование включает:
- Анализы крови. Основное лабораторное исследование для диагностики гиперспленизма – это клинический анализ крови. Отмечаются снижение показателей эритроцитов, тромбоцитов, гранулоцитарных лейкоцитов (нейтрофилов). Обычно эритроцитопения намного выраженнее тромбоцитопении и нейтропении. Характерен ретикулоцитоз.
- Инструментальные исследования. Главный визуализирующий метод – это УЗИ органов брюшной полости. Обнаруживается увеличенная селезенка с диффузными изменениями, нередко увеличена печень. Иногда селезенка может сохранять нормальные размеры. Для более детального изучения структуры селезенки применяется КТ.
- Биопсия. В редких случаях, когда требуется выявить скрытый гиперспленизм или отдифференцировать причины цитопенического синдрома, прибегают к стернальной пункции или трепанобиопсии для получения образца костного мозга. При микроскопии отмечается гиперплазия ростков костного мозга – гранулоцитарного, эритроцитарного, мегакариоцитарного.
Дифференциальная диагностика гиперспленизма осуществляется с учетом компонента цитопенического синдрома. Эритроцитопению нужно отличать от других видов анемий (железодефицитных, при хронических заболеваниях). При тромбоцитопении необходимо дифференцировать гиперспленизм от других геморрагических диатезов, обусловленных низким уровнем тромбоцитов (иммунной тромбоцитопении, тромбоцитопенической пурпуры). Развитие панцитопении требует исключения апластической анемии, выраженного дефицита цианкобаламина (витамина В12).
Лечение гиперспленизма
Пациенты подлежат обязательной госпитализации в стационарное отделение (гематологии, гастроэнтерологии). Главным условием успешной терапии является лечение основного заболевания, на фоне которого возникло патологическое усиление секвестрационной функции селезенки – антицирротическая, антибактериальная терапия, химиотерапия и пр. Так как сам гиперспленизм характеризуется упорным прогрессирующим течением, лечение представляет собой тяжелую задачу. Для устранения проявлений синдрома используются различные способы.
Консервативная терапия
Лекарственных препаратов, позволяющих полностью избавиться от признаков гиперспленизма, не существует. Так как главную опасность для жизни представляет цитопенический синдром, используют меры по поддержанию клеток крови на должном уровне. В первую очередь, это переливания цельной крови или отдельных ее компонентов (размороженной, отмытой эритроцитарной массы, концентрата тромбоцитов).
Иногда назначают фармакологические препараты, воздействующие на отдельные ростки костного мозга – эритропоэтин, филграстим, тромбопоэтин. К этим медикаментам прибегают очень редко и только тогда, когда другие методы оказались безуспешными, т. к. костный мозг при гиперспленизме уже находится в состоянии гиперплазии. Поэтому дополнительное применение лекарственных стимуляторов гемопоэза патогенетически мало оправдано.
Хирургическое лечение
Наиболее радикальный способ лечения гиперспленизма, позволяющий добиться нормализации показателей клеток крови – спленэктомия (оперативное удаление селезенки). Однако эта операция сопряжена с большим числом осложнений - тромбозами, повышенной чувствительностью организма к таким бактериям, как пневмококк, менингококк, гемофильная палочка. В связи с этим в последнее время все чаще выполняются малоинвазивные эндоваскулярные вмешательства ‒ эмболизация селезеночной артерии или ее ветвей. Это позволяет устранить гиперспленизм и сохранить нормальную функцию селезенки.
Дифференциальная диагностика причин спленомегалии
Конгестивные спленомегалии сопровождаются обычно гемоцитопениями и их следует диагностицировать при помощи известных методов, которые уточняют в первую очередь существующую связь между конгестивной спленомегалией и гепатитами и циррозами в рамках синдрома портальной гипертензии.
Природа конгестивной спленомегалии диагностицируется путем уточнения гепатического заболевания и других причин спленопортальной преграды: синдром Будда-Киари, спленопортальный пилефлебит, наружное или внутреннее препятствие на спленической вене. Вообще спленопортография и другие исследования спленопортальной циркуляции уточняют природу спленической конгестии. Остается группа конгестивных первичных спленомегалии, которые можно считать первичной болезнью Банти, которая отвергается теперь большинством морфологов, во главе с Rappaport, но которая все еще признается под новым патогенетическим аспектом по поводу нарушения интраспленической циркуляции.
Так как в основном при синдроме гиперспленизма с гемоцитопенией, рекомендуется спленектомия, при помощи этого способа удается определить первичную конгестивную интраспленическую природу. Как было установлено, некоторые из них эволюируют к хроническому гепатиту, так что весьма возможно, что эти спленомегалии возникают тоже в рамках хронического гепатита с медленной эволюцией вследствие процесса самоподдерживания который вначале детерминирует спленомегалию.
Спленогенные гемоцитопении ставят комплексные задачи перед дифференциальной диагностикой. Теоретически, любая спленомегалия может детерминировать частичную или общую гемоцитопению в рамках синдрома гиперспленизма. Этот синдром возбудил широкие дискуссии по поводу своей патогенетической природы и появления, изолированно или в сочетании с другими системными заболеваниями, при которых спленомегалия становится преобладающим синдромом.

Синдром гиперспленизма, отмеченный впервые Chauffard, а перед этим Банти, который наблюдал его в рамках болезни, носящей его имя, был пересмотрен и выделен как особая диагностическая проблема в особенности американскими авторами (Doan и Wiseman, Damesnek, Jandl и Aster).
Описанный впоследствии Jacob, синдром гиперспленизма, независимо от причины и размеров селезенки, имеет следующие характеристики:
1) первичная или вторичная спленомегалия;
2) сокращение числа периферических кровяных клеток в сочетании с гиперплазией медуллярных клеток;
3) корригирование гемоцитопении путем спленектомии.

Клинический опыт показывает, что в течение синдрома гиперспленизма, медуллярная гиперплазия может уменьшаться и постепенно может наступать процесс гипоплазии с медуллярным склерозом (Berceanu и сотр.).
Гемоцитопения появляется при различных патогенетических и морфологических формах спленомегалии, причем ее спленогенетическая природа устанавливается при помощи современных методов исследования турновера кровяных клеток. Классическая гипотеза ингибиции медуллярного гематопоэза неким спленическим гормоном не подтвердилась дальнейшими исследованиями. В настоящее время существует очень мало экспериментальных и клинических данных, к тому же не подтвердившихся, в поддержку этой гипотезы (Ruhenstroft-Bauer, Baldini, Acaton и сотр.).
Теперь считается, что гемоцитопения, сопровождающая конгестивную селезенку, как и другие спленомегалии, имеет периферическую природу. Она была воспроизведена экспериментально путем стимулирования ретикулоэндотелиальной системы и макрофаговой системы после повторных инъецирований коллоидальных частиц, как метилцеллюлоза (Motulski). Интраабдоминальная пересадка васкуляризирующейся селезенки вызвала типичную периферическую гемоцитопению (Jandl и сотр.). Более того, пересадка спленической ткани в помещениях с милипорами, в которые не могут проникать кровяные клетки, но откуда могут высвобождаться гуморальные факторы не воспроизвела гемоцитопению. Рост количества кровяных клеток после инъекции адреналина — классический метод свидетельствующий об их накоплении в селезенке; внутриоперационные исследования показали разницу в целлюлярности между артериальной и венозной кровью (Amorosi).
Современные методы маркировки кровяных клеток и наблюдения сокращения радиоактивного материала в крови и его накопления в селезенке, приносят главные доводы, доказывающие сокращение кровяных клеток: гематий, лейкоцитов, тромбоцитов путем их каптации в селезенке.
Природа спленических поражений при гемоцитопениях по поводу конгестивнои селезенки состоит в застое спленических клеток в красной пульпе, а также и в избыточной пролиферации макрофаговой системы и рисунков макроцитофагии, что является признаками спленогенной гемоцитопении. В соответствующих главах мы показали роль селезенки в гемолизе и при идиопатических тромбоцитопениях. Известно, что в нормальном состоянии селезенка является резервуаром тромбоцитов, аккумулируя 25—30% общей массы тромбоцитов, которые быстро разгружаются при геморрагических синдромах (Aster). В случае конгестивных спленомегалии происходит очень большое накопление тромбоцитов, а их высвобождение при геморрагических синдромах — почти нулевое.
Существуют еще некоторые аргументы в пользу того, что селезенка якобы играет известную роль в ингибиции медуллярного гематопоэза, которая считалась долгое время главной причиной гемоцитопений. Так, в некоторых случаях апластической анемии или общей медуллярной аплазии, спленектомия приводила к улучшениям или даже к излечениям (Aster и сотр.). Кроме этого, известно, что спленектомизированные больные лучше переносят облучение и цитостатическое лечение с медуллодепрессивным действием, факт, подтвержденный сравнительно недавно в нашем опыте спленектомий по поводу болезни Годжкина (Gociu и сотр.). Несмотря на это, гемоцитопений при спленомегалиях повидимому несомненно оказываются спленогенно-периферического происхождения.
Однако существуют гемоцитопений при спленомегалиях с злокачественной или реактивной лимфоретикулярной гиперплазии, которые могут лишь частично или вовсе не объясняться механизмом конгестивной селезенки. Несомненным является тот факт, что в большинстве этих случаях гемоцитопения происходит благодаря автоиммунным механизмам, так как селезенка является одним из главных органов, производящих антитела. Этот механизм был установлен в случае аутоиммуной гемолитической анемии, тромбоцитопений и, в меньшей мере, но вполне вероятно, в случае гранулопений при автоиммунных заболеваниях. Разрыв толерантности и появление гемоцитопенизирующих автоантител возможны при реактивных лимфопролиферациях (синдром Фельти, хронический гепатит, синдром Сжёгрена и пр.), а также и при злокачественных лимфопролиферациях, особенно при хроническом лимфолейкозе.
Кроме этого, пролиферации ретикуломакрофаговой ткани означают рост массы макрофаговых клеток с гемоцитофаговым потенциалом. Производство полных гемоцитопенизирующих антител путем фиксирования комплемента может детерминировать гемолиз собственно в общей циркуляции или в спленических, медуллярных и гепатических синусах. Неполноценные автоантитела модифицируют кровяные клетки, которые становятся способными быть уничтоженными макро-фаговой системой вообще и спленической в частности. Следовательно, при реактивных и злокачественных лимфопролиферациях, селезенка играет важнейшую гемоцитопенизирующую роль, как благодаря производству антител, так и благодаря гиперплазии ретикуло-макрофаговой системы. Иммунные исследования выявляют наличие полноценных или неполноценных антител, свободных или фиксированных на клетках; с другой сротоны, специальными тестами выявляется укорачивание жизни кровяных клеток и их секвестрация особенно в селезенке и иногда в печени.
Диагностические методы, описанные в соответствующих статьях на нашем сайте, уточняют злокачественную или реактивную природу лимфопролиферации со спленической детерминацией. Во многих случаях, как мы указывали выше, вовремя показанная снленектомия корригирует гемоцитопению, доказывая таким образом спленогенную природу и в этих ситуациях.
Читайте также:
- Методы обследования гидронефроза пересаженной почки
- Рентгенограмма, КТ, МРТ при остеохондроме височно-нижнечелюстного сустава (ВНЧС)
- Гидравлическая препаровка плевральных сращений. Техника гидропрепаровки плевральных спаек
- КТ, МРТ при кавернозной венозной мальформации глазницы (гемангиоме)
- Определение локализации абсцесса мозга. Топическая диагностика отогенного абсцесса мозга
