КТ, МРТ при кавернозной венозной мальформации глазницы (гемангиоме)
Добавил пользователь Евгений Кузнецов Обновлено: 28.01.2026
Кавернозная гемангиома лица — врожденное образование доброкачественного характера, располагающееся под коже.
Капизлярная гемангиома: Наиболее частая опухоль глазницы у детей (1% от всех новорожденных).
Кавернозная гемангиома: Наиболее частая опухоль глазницы у взрослых.
Сосудистое образование глазницы:
Капиллярная гемангиома: Доброкачественная опухоль, состоящая из скопления капилляров с пролиферацией эндотелиальных клеток (гемангиоэндотелиома).
Кавернозная гемангиома: Неопухолевая венозная мальформация с большими полостями, выстланными эндотелием.
Гемангиома у новорожденных обычно представляет собой простую гемангиому. Причины точно не известны, однако существует несколько теорий:
- Неблагоприятная экологическая обстановка
- Прием лекарственных средств во время беременности
- Нарушение гормонального фона матери
Гемангиома у взрослых образовывается вследствие аномального разрастания сосудов. Причины также не изучены до конца. Перерождение образование в злокачественное происходит крайне редко, однако, очень часто происходит сдавливание окружающих тканей опухолью, поражая всё большую поверхность.
Клинические проявления
- Верхний внутренний квадрант глазницы
- Возможно распространение за пределы глазницы (синеватая опухоль века).
- Объемное образование с выпуклыми границами, расположенное внутри конуса, образованного глазодвигательными мышцами
- Псевдокапсула.
Какой метод диагностики гемангиомы глазницы выбрать: МРТ или КТ
Метод выбора
Информативна ли МСКТ сосудов глазницы с контрастом при гемангиоме
- Неоднородное объемное образование без четких границ в верхнем внутреннем квадранте глазницы
- При динамическом исследовании наблюдается быстрое, интенсивное усиление сигнала после введения контрастного вещества
- Могут определяться микрокальцинаты.
- Четко очерченное объемное образование средней плотности
- При динамическом исследовании наблюдается постепенное, умеренное усиление сигнала.
Что покажут снимки МРТ сосудов глазницы с контрастом при гемангиоме
- Объемное образование в верхнем внутреннем квадранте глазницы
- Низкая интенсивность сигнала на Т1-взвешенном изображении, высокая интенсивность сигнала на Т2-взвешенном изображении
- Нечеткие границы
- Может инфильтрировать расположенные рядом структуры
- Быстрое, интенсивное усиление сигнала после введения гадолиния.
- Четко очерченное объемное образование
- В 80% случаев расположено внутри конуса, образованного глазодвигательными мышцами
- Гиперинтенсивно на Т2-взвешенном изображении
- Изоинтенсивно на Т1-взвешенном изображении, после введения гадолиния наблюдается незначительное усиление сигнала
- Интенсивность сигнала на Т2-взвешенном изображении может быть снижена в связи с наличием (частичного) тромбоза.
Отличительные признаки гемангиомы
- Четко очерченное, усиленное объемное образование, расположенное внутри конуса, образованного глазодвигательными мышщами,с высокой интенсивностью сигнала на Т2 взвешенном изображении.
Что хотел бы знать лечащий врач
- Распространенность
- Диагноз
- Течение
Какие заболевания имеют симптомы, схожие с гемангиомой глазницы
Лимфангиома:
Варикозное расширение вен:
- Расширенные, извитые сосуды
Ложная опухоль глазницы:
Объемное образование (например, метастаз, лимфома):
- Склонный к деструкции кости очаг поражения с , инвазивным ростом
Рабдомиосаркома:
- Разрушающая кость опухоль с инвазивным ростом.
Лечение
- Наблюдение
- Глюкокортикоиды
- Лазерная терапия
- Хирургическое удаление имеет противоречивые результаты.
- Хирургическое удаление
- В случае высокого риска хирургического лечения может быть оправдана выжидательная тактика.
Гемангиома у детей часто является причиной насмешек других детей, начиная еще с детского сада. Поэтому необходима и психологическая поддержка ребенка.
Врачи каких специальностей диагностируют и лечат гемангиому глазницу
- Офтальмолог (осмотр и консультация, лечение гемангиомы и ее удаление)
Прогноз
- Рост образования наблюдается в течение первых 6 месяцев жизни
- Затем наступает спонтанная ремиссия (в 50% случаев - к 5 годам, в 70% случаев - к 7 годам).
Возможные осложнения и последствия
- Болевой синдром
- Нагноение гемангиомы
- Незначительный косметический дефект после удаления гемангиомы.

Гемангиома правой глазницы с кровоизлиянием в опухоль (стрелка: уровень жидкости). На Т1 - (а) и Т2-взвешенном изображении (b) визуализируется объемное образование, расположенное внутри конуса, образованного глазодвигательными мышцами. На П-взвешенном изображении (с) после введения гадолиния наблюдается незначительное усиление сигнала от опухоли.
КТ в горизонтальной плоскости с контрастированием: накапливающая контраст ретробульбарная гемангиома.
КТ, МРТ при кавернозной венозной мальформации глазницы (гемангиоме)
а) Терминология:
1. Синонимы:
• Венозно-лимфатическая мальформация глазницы
• Устаревшие термины: лимфангиома, кистозная гигрома
2. Определение:
• Врожденная сосудистая мальформация, образованная лимфатическими и венозными сосудистыми элементами; соотношение последних вариабельно
б) Визуализация:
1. Общая характеристика:
• Лучший диагностический критерий:
о Дольчатое, распространяющееся на несколько смежных пространств объемное образование с нечеткими конурами
о Признаки многокамерной кисты, содержащей продукты распада крови, с уровнями «жидкость-жидкость» и вариабельным неоднородным контрастированием
• Локализация:
о Поверхностная: часто не распространяется за конъюнктиву:
- Относительно часто встречающийся тип венозно-лимфатической мальформации
о Глубокая: распространяющаяся в глазницу:
- Вне мышечного конуса > внутри мышечного конуса, но зачастую поражает несколько смежных пространств
• Морфология:
о Неровные края, многокамерные кисты с уровнями жидкости
о Макрокистозные (>1 см), микрокистозные (о Локализующиеся в задних отделах глазницы венозные новообразования с более четкими контурами могут симулировать кавернозную мальформацию глазницы

(Слева) У ребенка с периодически усиливающимся экзофтальмом при КТ с КУ в корональной проекции в верхнемедиальном квадранте переднего отдела глазницы определяется дольчатое образование от средней до низкой плотности, вызывающее смещение глазного яблока.
(Справа) При КТ с КУ в аксиальной проекции у этого же пациента в толще образования определяются множественные лакуны, содержащие жидкости различной плотности с отчетливыми уровнями. Более плотные длительно существующие продукты разложения крови оседают книзу.
2. КТ при лимфатической мальформации глазницы:
• КТ без контрастного усиления:
о Неправильной формы поликистозное образования пониженной плотности
о Кровоизлияние сопровождается появлением смешанных продуктов распада крови повышенной плотности
о Точечные кальцинаты или флеболиты встречаются нечасто
• КТ с КУ:
о Кистозные структуры с легким краевым усилением
о Более диффузное контрастирование венозного компонента
• КТ в костном окне
о Перестройка костей глазницы при крупных образованиях
3. МРТ при лимфатической мальформации глазницы:
• Т1 ВИ:
о Дольчатое образование с нечеткими контурами
о Содержимое многокамерных кист - различной давности геморрагическое, лимфатическое или белковое - формирует уровни жидкость - жидкость и дает вариабельный сигнал
о Продукты распада крови различной давности, а также кровь, излившаяся в результате подострого кровоизлияния, дают гиперинтенсивный сигнал
• Т2 ВИ с подавлением сигнала от жира:
о Дольчатое образование, гиперинтенсивный сигнал от жидкости
о Параметры сигнала от уровней «жидкость-жидкость» зависят от сроков существования продуктов распада крови
о Потери сигнала нет (в отличие от инфантильной гемангиомы)
• Т1 ВИ с контрастированием и подавлением сигнала от жира:
о Контрастирование вариабельно, как правило, по краю кист наблюдается контрастный ободок
о При наличии развитого венозного компонента отмечается более интенсивное неравномерное контрастирование
о При остром увеличении может выявляться неконтрастируемый тромб
4. УЗИ при лимфатической мальформации глазницы:
• Серошкальное УЗИ:
о Гипоэхогенные кистозные пространства, заполненные кровью и лимфой
о Содержат гетерогенные источники эхо-сигналов
о Эндотелиальные стенки служат источником эхогенных пиков
5. Рекомендации по визуализации:
• Лучший метод визуализации:
о Прицельное МРТ глазниц с контрастированием и подавлением сигнала от жира

(Слева) При КТ с КУ в аксиальной проекции в медиальной части левой глазницы определяется кистозное четко отграниченное неконтрастируемое образование, стенка образования неразличима. Хотя наблюдается картина простого однокамерного образования, оно лежит в нескольких смежных пространствах, имеет пресептальный компонент и компоненты внутри и вне мышечного конуса.
(Справа) При КТ без КУ в аксиальной проекции у четырехлетнего ребенка определяется неправильной формы многокамерная лимфатическая мальформация глазницы, распространяющаяся в несколько смежных пространств. Расслоение жидкостей с различными плотностями обусловлено оседанием продуктов распада крови, скопившихся при спонтанном кровоизлиянии.
в) Дифференциальная диагностика лимфатической мальформации глазницы:
1. Варикоз глазницы:
• Клиническая картина: периодические боли и экзофтальм
• Томография: результаты аналогичны картине при венозно-лимфатической мальформации, но наблюдается динамическое увеличение размеров образования при выполнении пробы Вальсальвы
• Патология: изменения часто расценивают как венозно-лимфатическую мальформацию, содержащую растяжимый венозный компонент
2. Кавернозная мальформация глазницы:
• Клиническая картина: медленно растущее безболезненное объемное образование, чаще всего представляет собой объемное образование глазницы у взрослых
• Томография: отграниченное овоидное объемное образование внутри мышечного конуса с динамическим контрастированием при заполнении
• Патология: специфическая для органа зрения псевдоинкапсулированная венозная мальформация
3. Гемангиома младенцев:
• Клиническая картина: интенсивно васкуляризованная опухоль младенческого возраста; часто регрессирует спонтанно
• Томография: интенсивно контрастируемое орбитофациальное объемное образование с зонами потери сигнала
• Патология: истинное сосудистое новообразование
4. Плексиформная нейрофиброма:
• Клиническая картина: сопутствует нейрофиброматозу 1 типа
• Визуализация: инфильтративные, занимающие несколько смежных пространств образования в сочетании с дисплазией клиновидной кости и деформацией костей лица и глазницы
• Патологическая анатомия: опухоль оболочки нерва, составная часть нейрокутанного синдрома
5. Рабдомиосаркома:
• Клиническая картина: чаще всего представляет собой первичную злокачественную опухоль глазницы у детей
• Томография: инфильтративное деструктивное образование глазницы
• Патология: чаще всего встречаются эмбриональный или альвеолярный подтипы
6. Лимфопролиферативные новообразования:
• Клиническая картина: в результате лимфоидной пролиферации формируется первичная опухоль глазницы; может сопутствовать системному заболеванию
• Томография: мягкое образование, поражающее слезную железу, либо мультифокальное или диффузное поражение глазницы
• Патология: спектр варьирует от доброкачественной реактивной гиперплазии до злокачественной неходжкинской лимфомы
7. Идиопатический воспалительный псевдотумор:
• Клиническая картина: воспалительные изменения с болящим экзофтальмом и болевой офтальмоплегией
• Томография: асимметричное опухолеподобное воспаление мышц, слезной железы и других структур глазницы
• Патология: этиология неизвестна; некоторые случаи связаны с IgG4

(Слева) При Т2-взвешенной МРТ в аксиальной проекции определяется массивная лимфатическая мальформация сложной формы, вызывающая экзофтальм. Жидкое содержимое, скопившееся в результате неоднократных кровоизлияний, дает вариабельный сигнал и формирует уровни раздела. Также виден еще один, пресептальный, компонент образования.
(Справа) При МРТ Т1ВИ FS с КУ в левой глазнице определяется крупное образование сложной формы, содержащее по большей части неконтрастируемый субстрат, дающий вариабельный Т1-сигнал. Контрастируемая структура с медиальной стороны представляет собой венозный компонента, вероятно, мелкий варикозный узел.
г) Патология:
1. Общая характеристика:
• Этиология:
о Врожденная неопухолевая сосудистая мальформация, медленный венозным кровоток
о Источником являются плюрипотентные венозные клетки-предшественники
о Лимфатическая ткань в норме отсутствует в глазнице
• Сопутствующие аномалии:
о Мальформации других зон головы и шеи
о Генерализованный лимфоангиоматоз
о Отдельные внутричерепные сосудистые мальформации
2. Стадирование, классификация лимфатической мальформации глазницы:
• Общая классификация сосудистых мальформаций глазницы:
о Тип 1: кровоток отсутствует (лимфатическая мальформация)
о Тип 2: венозный кровоток (венозно-лимфатическая мальформация): нерастяжимая или растяжимая (с варикозом)
о Тип 3: артериальный кровоток (интенсивный кровоток, артериовенозная мальформация)
3. Макроскопические и хирургические особенности:
• Тонкостенное многокамерное образование
• Кистозные структуры с прозрачной/«шоколадной» жидкостью
• Плохо отграничена, распространяется вдоль пластов тканей; трудно поддается диссекции
4. Микроскопия:
• Не имеющее капсулы образование, состоящее из синусов неправильной формы; инфильтрирует прилегающую строму
• Расширенные диспластические венозные ± лимфатические каналы, выстланные уплощенными эндотелиальными клетками
• Кистозные пространства, заполненные лимфатической жидкостью или продуктами длительного разложения крови
• Лимфоидные фолликулы и лимфоцитарная инфильтрация
• Положительные лимфатические иммуногистохимические маркеры подтверждают лимфоидное происхождение
д) Клинические особенности:
1. Проявления:
• Типичные признаки/симптомы:
о Прогрессирующий экзофтальм с внезапными эпизодическими ухудшениями
• Другие признаки/симптомы:
о Эффект объемного образования; компрессионная нейрооптикопатия
о Диплопия, ограничение движений глазодвигательных мышц, птоз
о Периорбитальные экхимозы и сопутствующие кровоизлияния
• Проявления:
о Образования могут быстро увеличиваться в размерах вследствие острого кровоизлияния:
- Рецидивирующие кровоизлияния в 50%
- Кровоизлияние может провоцироваться тромбозом; сопровождается стазом, застоем и воспалением
о На фоне инфекции верхних дыхательных путей образования могут периодически увеличиваться и уменьшаться в размерах:
- Связано с наличием лимфоидной ткани
2. Демография:
• Возраст:
о Варьирует: от младенцев до молодых взрослых
о 40% случаев манифестирует к 6-ти годам; 60% - к 16 годам
• Пол:
о Небольшое преобладание женщин
• Встречаемость:
о Частота 3:100000
о 5% объемных образований глазницы у детей
3. Течение и прогноз:
• Медленный постепенный рост в детском, подростковом и молодом возрасте с эпизодами острого увеличения размеров вследствие кровоизлияний
• Способность к инфильтративному росту обусловливает высокую частоту рецидивов
• Часто сопровождаются аномалиями рефракции и деформацией глазницы
• Неоднократные хирургические резекции приводят к низкой остроте зрения
• При рецидивирующих крупных образованиях развивается поражение зрительного нерва
4. Лечение лимфатической мальформации глазницы:
• Способы лечения, риски, осложнения:
о Консервативная терапия:
- Из-за рисков оперативного лечения при отсутствии угрозы зрению предпочтительно наблюдение
- Системные стероиды могут облегчить боли, отек и экзофтальм; особенно пациентов младшего возраста
- При небольших образованиях в 45% случаях наблюдается регресс
о Склеротерапия под контролем лучевых методов исследования:
- Чрескожные инъекции склерозирующего препарата в толщу образования, особенно в макрокистозные полости
о Хирургическое лечение:
- Резекция затруднена инфильтрацией в нормальные структуры глазницы
- После хирургического лечения часто развиваются рецидивы (50%)
- Эффект объемного образования вследствие острого кровоизлияния может потребовать неотложной декомпрессии глазницы
- Показания: сдавление зрительного нерва, изменения роговицы и не поддающаяся лечению амблиопия
е) Диагностическая памятка:
1. Следует учесть:
• У взрослых глубоко лежащие четко отграниченные образования могут симулировать кавернозную гемангиому глазницы
• Венозно-лимфатическая мальформация и варикоз глазницы -схожие образования:
о Венозно-лимфатическая мальформация изолирована от системного кровотока
о Варикоз глазницы имеет отток в системное венозное русло, чем обусловлена его сжимаемость и растяжимость в зависимости от внешнего и внутреннего давления
2. Советы по интерпретации изображений:
• Наличие продуктов распада крови с уровнем жидкость-жидкость с высокой вероятностью указывает на венозно-лимфатическую мальформацию
Кавернозная венозная мальформация глазницы (гемангиома) - лучевая диагностика
а) Терминология:
• Венозная сосудистая мальформация глазницы, характеризуемая наличием выстланных эндотелием кавернозных пространств
• Наличие псевдокапсулы отличает кавернозную венозную мальформацию глазницы от других венозных мальформаций
• Является синонимом кавернозной «гемангиомы» (ошибочный термин)
б) Визуализация:
• Солидное контрастируемое объемное образование глазницы:
о Чаще всего лежит внутри мышечного конуса, обычно с латеральной стороны
о Овоидное или округлое, с четкими контурами
о Псевдокапсула сформирована сдавленными тканями
• КТ:
о Крупные образования вызывают доброкачественную перестройку кости
• МРТ:
о Т2-гиперинтенсивное; могут визуализироваться перегородки
о Характерное динамическое контрастирование:
- Гетерогенное раннее «лоскутное» центральное контрастирование;
- На поздних томограммах - гомогенное заполнение
(Слева) На рисунке на аксиальном срезе глазницы внутри мышечного конуса показано овоидное четко отграниченное объемное образование, вызывающее смещение зрительного нерва и соседней наружной прямой мышцы. Обратите внимание на то, что образование не прорастает соседние ткани.
(Справа) При КТ без контрастного усиления в аксиальной проекции в латеральной части левой глазницы определяется четко отграниченное овоидное объемное образование немного повышенной плотности. Видна наружная прямая мышца, огибающая снаружи латеральный край интраконального объемного образования. (Слева) При МРТ Т2ВИ в аксиальной проекции внутри мышечного конуса определяется резко отграниченное овоидное гиперинтенсивное объемное образование. Регистрируется сигнал от тонкого пояска псевдокапсулы, более яркий за счет артефакта химического сдвига.
(Справа) При МРТ Т1 FS с КУ в аксиальной проекции наблюдается постепенное контрастирование сосудистого объемного образования медиальной части левой глазницы. В течение нескольких минут после инъекции контраста сделано несколько томограмм, первая показана вверху слева, последняя - внизу справа.
в) Патология:
• Медленно растущая сосудистая мальформация
• По классификации Международного общества изучения сосудистых аномалий относится к венозным новообразованиям
• Расширенные сосудистые каналы тонкостенных синусоидальных пространств, уплощенные эндотелиальные клетки, скудное количество фиброзной соединительнотканной стромы
• Псевдокапсула сформирована сдавленными тканями
• Признаки клеточной пролиферации отсутствуют
г) Клинические особенности:
• Медленно прогрессирующий безболезненный экзофтальм
• Наиболее часто встречающееся у взрослых изолированное объемное образование глазницы
• Среди пациентов преобладают женщины; ускорение роста образования отмечается во время беременности
• Прогноз благоприятный; рецидивы после хирургического лечения развиваются редко
д) Диагностическая памятка:
• Часто обнаруживаются случайно при МРТ головного мозга
• Часто употребляется ошибочный термин «гемангиома»
• Характерно «лоскутное» контрастирование образования
1. Аббревиатура:
• Венозная мальформация (ВМ) = предпочтительный термин
2. Синонимы:
• Кавернозная мальформация, кавернозная гемангиома: термины, которые необходимо избегать
3. Определение:
• ВМ: врожденная аномалия венозных сосудов с медленным или низким посткапиллярным кровотоком: сосудистые синусоиды, выстланные эндотелием
1. Общая характеристика:
• Лучший диагностический критерий:
о Мягкотканное «объемное образование» с флеболитами
• Локализация:
о Любое просгранство(а) головы и шеи
о Чаще всего в области щеки
о Также часто встречается в жевательном пространстве, подъязычном пространстве, языке, глазнице, задних отделах шеи
о Глубокая или поверхностная, диффузная или ограниченная
о Голова и шея (40%), конечности (40%), туловище (20%)
• Размер:
о Варьирует, может быть очень большого размера
• Морфология:
о Единичное (или множественное) многокамерное образование
о Отграниченное или распространенное (с вовлечением нескольких смежных анатомических зон)
о ± лимфатическая мальформация (ЛМ), с формированием смешанной венозно-лимфатической мальформации (ВЛМ)
2. Рентгенография:
• Используется ограниченно и позволяет обнаружить флеболиты или трофические изменения прилежащих костей

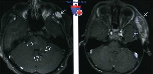
(Слева) При аксиальной МРТ Т1ВИ С+ FS в левой височной мышце визуализируется венозная мальформация, умеренно накапливающая контраст; в левой гемисфере мозжечка определяется врожденная венозная аномалия, в области моста мозга также визуализируется вероятная венозная аномалия меньшего размера или телеангиэктазия.
(Справа) При аксиальной МРТ Т1ВИ С+ FS в левой височной ямке визуализируется венозная мальформация, неравномерно накапливающая контраст.
3. КТ при венозной мальформации головы и шеи:
• КТ без КУ:
о Мягкотканное образование с фестончатыми краями, изоденсное мышцам
о С обызвествлениями округлой формы (флеболитами)
• КТ с КУ:
о Выраженность кровотока в образовании варьирует:
- Обусловливает индивидуальность симптоматики и контрастного усиления
о Вариабельное контрастное усиление отражает медленный ток крови по направлению к мальформации и внутри нее
о Характер контрастного усиления варьирует:
- Отсроченное «пятнистое» или равномерное интенсивное
о Лимфатический компонент ВЛМ не накапливает контраст
о Оссеозное ремоделирование прилежащих костей
о Гипертрофия жировой ткани возле мальформации
• КТ-ангиография:
о Отсутствуют расширенные питающие артерии
о Часто наблюдаются расширенные дренирующие вены
4. МРТ при венозной мальформации головы и шеи:
• Т1ВИ:
о Многокамерное образование с вариабельной интенсивностью сигнала:
- Изо-/гипоинтенсивный сигнал по сравнению с мышцами
о Регионарная гипертрофия жировой ткани
• Т2ВИ:
о Внешний вид зависит от размера каналов:
- Крупные каналы: напоминает кисту, разделенную перегородками, с гиперинтенсивным содержимым
- Каналы меньшего размера: выглядят как округлые или вытянутые участки выпадения сигнала
о Флеболиты: округлые или овальные участки выпадения сигнала
о Участки выпадения сигнала в кровеносных сосудах атипичны:
- При наличии = расширенные диспластические дренирующие вены
• Т1ВИ С+:
о Контрастное усиление варьирует: отсроченное, равномерное или неравномерное, минимальное или интенсивное
о Лимфатический компонент ВЛМ не накапливает контраст
• МР-венография:
о Расширенные вены, связанные с мальформацией
о Сопутствующие аномалии интракраниальных венозных сосудов
5. УЗИ при венозной мальформации головы и шеи:
• Губчатое, податливое образование
• Мальформации из небольших сосудистых каналов, более эхо-генны и не так подвержены сдавлению, как образования из сосудов с широким просветом
• При цветовой допплерографии артериальный кровоток отсутствует
• При надавливании УЗ-датчиком может наблюдаться усиление венозного кровотока
• Флеболиты = гиперэхогенные очаги с акустической тенью
6. Другие методы диагностики:
• Особенности строения и дренирующие вены лучше всего визуализируются после прямого введения в венозные синусоиды контраста
• Даже в этом случае может не обнаруживаться свободного перемещения контраста между компонентами мальформации
• Мальформация из крупных каналов, напоминает виноградную гроздь, образование из мелких каналов - хлопковую вату
7. Рекомендации по визуализации:
• Лучший метод диагностики:
о У взрослых КТ лучше всего позволяет обнаружить флеболиты о МРТ-наилучший метод оценки распространенности объемного образования и визуализации лимфатического компонента ВЛМ
о УЗИ при поверхностно расположенных мальформациях
• Выбор протокола:
о КТ следует избегать у детей:
- У детей нужно использовать УЗИ ± МРТ
о МРТ С+ и сатурацией жира:
- STIR или FS (Т2 ВИ) для оценки полной распространенности мальформации
- Последовательности градиентного эха -чтобы убедиться в отсутствии сосудов с высоким током

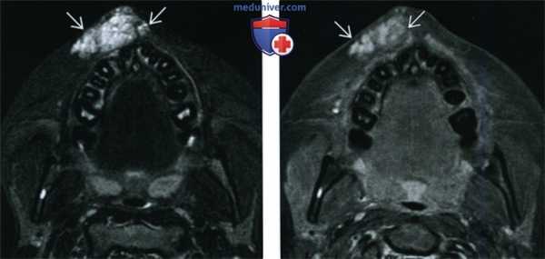
(Слева) При аксиальной МРТ STIR в подкожных тканях в области верхней губы определяется венозная мальформация в виде объемного образования с бугристыми краями, хорошо отграниченного от окружающих тканей. Патологические изменения со стороны костей и зубов отсутствуют.
(Справа) При аксиальной МРТ Т1ВИ С+ FS y этого же пациента визуализируются патологически расширенные венозные сосуды, умеренно и неравномерно накапливающие контраст.
в) Дифференциальная диагностика венозной мальформации головы и шеи:
1. Лимфатическая мальформация:
• Другое частое медленно- или низкопотоковое образование
• Податливое макрокистозное образование в мягких тканях, заполненное жидкостью:
о С тонкими перегородками, накапливающими контраст, включениями дебриса, уровнями «кровь-жидкость»
• Нет флеболитов, не накапливает контраст (за исключением смешанной ВЛМ)
• Единичная или множественная, располагается в одной или нескольких зонах
2. Младенческая гемангиома:
• Характерный жизненный цикл: небольшой размер после рождения, быстрый рост в младенчестве, постепенная инволюция с возрастом
• Доброкачественное сосудистое новообразование капилляров:
о Пролиферация эндотелия, маркер → LUT (+)
• Выпадение сигнала в кровеносных сосудах при допплерографии
• Быстрое, равномерное и интенсивное контрастное усиление
• Отсутствие флеболитов
3. Дермоид и эпидермоид:
• Возможны кальцинаты округлой формы (дермоид)
о Находятся в объемном образовании, содержащем жир
• Содержимое дермоидной кисты при УЗИ выглядит гиперэхогенным
4. Артериовенозная мальформация:
• «Клубок» высокопотоковых участков выпадения сигнала на УЗИ и МРТ
• Гиперинтенсивные (Т2) участки, выглядящие кистозными, нетипичны
• Флеболиты обнаруживаются редко

(Слева) Нa поперечной сонограмме верхних отделов шеи визуализируется кистозное объемное образование смешанной структуры с расширенными синусоидами и эхогенным флеболитом, наличие которого позволяет сделать вывод о венозной мальформации. Тем не менее, УЗИ не позволяет оценить распространенность больших мальформаций в глубокие отделы шеи или подтвердить множественность (из статьи на сайте «Лучевая диагностика: УЗИ»).
(Справа) На поперечной сонограмме у ребенка с безболезненным объемным образованием в нижних отделах шеи визуализируется кистозный очаг с ровными краями: расширенное синусоидальное пространство с небольшими включениями дебриса и перегородками внутри. Обратите внимание на заднее акустическое усиление - признак кистозной природы образования.
1. Общая характеристика:
• Этиология:
о Врожденное нарушение формирования венозных сосудов
• Генетические нарушения:
о Большинство ВМ (50% спорадических ВМ) связаны с мутациями в гене ТЕК
• Сопутствующие патологические изменения:
о У 70% пациентов с периорбитальной ЛМ или ВЛМ имеются аномалии внутричерепных сосудов и вещества мозга:
- Врожденная венозная аномалия, церебральная кавернозная мальформация, артерио-венозная мальформация (АВМ) твердой (или мягкой) мозговой оболочки, перикраниальный синус
2. Стадирование, классификация венозной мальформации головы и шеи:
о Классификация ВМ Международного Сообщества по Изучению Сосудистых Аномалий пересмотра 2014 г.:
- Простая ВМ (94%)
- Семейная кожно-мышечная ВМ: мутации в гене ТЕК, кодирующем синтез эндотелиального рецептора тирозинкиназы:
Множественное поражение губ и языка
Расширение вен шеи и верхних конечностей
- Синдром голубого пузырчатого («резинового») невуса:
Множественные ВМ кожи, мышц, желудочно-кишечного тракта
- Гломувенозная мальформация: мутации гена в коротком плече 1 хромосомы:
Гломусные клетки в венозной мальформации
- Церебральная кавернозная мальформация
3. Макроскопические и хирургические особенности:
• Плохо отграниченная сосудистая мальформация, состоящая из неправильных венозных каналов
4. Микроскопия:
• Венозные каналы с различным просветом и толщиной стенки
• Каналы выстланы плоским эндотелием без митотической активности и содержат небольшое количество гладких мышц в стенке
• Внутренняя эластическая пластинка отсутствует
• Тромбы в просвете, флеболиты
1. Проявления:
• Типичные признаки/симптомы:
о Объемное образование мягких тканей в виде «губки» без флюктуации:
- Голубые пятна на коже при поверхностной локализации
о Мальформация растет вместе с пациентом
о ↑↑ при выполнении пробы Вальсальвы, наклоне вперед, крике
о Быстрый рост после травмы или при инфицировании; в результате гормональных влияний во время полового созревания или беременности
2. Демография:
• Возраст:
о Присутствует при рождении
о Клинически может проявляться в любом возрасте, обычно у детей, подростков и молодых взрослых
• Эпидемиология:
о Самая распространенная сосудистая мальформация головы и шеи
3. Течение и прогноз:
• Прогноз зависит от размеров и локализации
• Распространенные ВМ большого размера могут приводить к нарушениям здоровья в течение всей жизни
4. Лечение:
• Консервативное лечение:
о Компрессионная одежда
о Противовоспалительные средства
о Гепарин с низкой молекулярной массой при ↑ риска тромбоза
• Чрескожные вмешательства:
о Прямое введение склерозирующего агента под контролем УЗИ/рентгеноскопии:
- Возможно, неоднократное
о Лазерная абляция поверхностно расположенных ВМ
о Эндоваскулярная абляция варикозно расширенных вен:
- Радиочастотная или лазерная
• Хирургическое лечение: резекция ограниченных мальформаций:
о Может использоваться в сочетании с чрескожной склеротерапией
1. Следует учесть:
• Увеличение объемного образования в размерах при выполнении пробы Вальсальвы, крике, наклонах:
о Все эти клинические признаки подозрительны на ВМ
2. Советы по интерпретации изображений:
• Наличие флеболитов на КТ, или гиперинтенсивное (Т2) объемное образование лица - наиболее специфичный лучевой признак ВМ
ж) Список использованной литературы:
1. Wassef М et al: Vascular anomalies classification: recommendations from the International Society for the Study of Vascular Anomalies. Pediatrics. 136(1):e203-14, 2015
2. Kollipara R et al: Current classification and terminology of pediatric vascular anomalies. AJR Am J Roentgenol. 201 (5): 1124-35, 2013
3. Scolozzi P et al: Intraoral venous malformation presenting with multiple phlebo-liths. OralSurg Oral Med Oral Pathol Oral Radiol Endod. 96(2): 197-200, 2003
4. Boukobza M et al: Cerebral developmental venous anomalies associated with head and neck venous malformations. AJNR Am J Neuroradiol. 17(5): 987-94, 1996
5. Baker LL et al: Hemangiomas and vascular malformations of the head and neck: MR characterization. AJNR AmJ Neuroradiol. 14(2)307-14, 1993
Диагностика кавернозной гемангиомы на снимках МРТ и КТ головного мозга
Что необходимо знать о кавернозной гемангиоме мозга
- В 15% этих случаев наблюдаются множественные кавернозные гемангиомы.
- Частота: 0,5% населения
- Синусоидальные полости, выстланные одноклеточным слоем эпителия
- Полости разделены коллагеновой стромой
- Между полостями отсутствует мозговое вещество
- Глиоз в окружающей паренхиме головного мозга
- Наличие включений гемосидерина вследствие микрокровоизлияний
- Локализация: 63-81% гемангиом локализуются в белом веществе супратенториальных отделов; субтенториальные гемангиомы чаще встречаются в варолиевом мосту
- Примерно в 25% случаев имеется сопутствующая венозная дисплазия или другая сосудистая мальформация, например, капиллярная телеангиоэктазия (в непосредственной близости к кавернозной гемангиоме или в другом участке)
- Наличие дополнительных сосудистых мальформаций имеет важное значение при планировании нейрохирургического вмешательства.
- Обычно возникают судорожные припадки
- Может наблюдаться иная очаговая неврологическая симптоматика в зависимости от локализации гемангиомы
Какой метод диагностики кавернозной гемангиомы мозга выбрать: МРТ, КТ, ангиографию
Информативна ли КТ-ангиография мозга при гемангиоме
- Визуализируются только большие кавернозные гемангиомы и гемангиомы с острым кровоизлиянием или с кальцинатами
- Введение КС (в двойной или тройной дозе) повышает чувствительность метода.
Что покажут снимки МРТ головного мозга при кавернозной гемангиоме
- Центральный очаг может иметь гомогенный сигнал на Т1- и Т2-ВИ
- Структура по типу «тутовой ягоды», «медовых сот» или похожая на попкорн
- Может наблюдаться контрастное усиление гемангиомы
- Кровь на разных стадиях распада
- Перифокальный отек обычно встречается только при остром кровоизлиянии
- На Т2-ВИ обычно виден гипоинтенсив- ный ободок, соответствующий гемосидерину
- На Т2*-ВИ могут визуализироваться дополнительные, более мелкие кавернозные гемангиомы
В каких случаях проводят ангиографию сосудов мозга
- Кавернозные гемангиомы обычно не визуализируются
Что хотел бы знать лечащий врач?
- Множественные кавернозные гемангиомы?
- Локализация
- Острое кровоизлияние?
- Сочетание с венозной дисплазией или артериовенозной мальформацией с быстрым кровотоком.
Какие заболевания имеют симптомы, схожие с кавернозной гемангиомой
Капиллярная телеангиоэктазия:
- Расширенная, кистевидная или мелкоточечная структура
- Отсутствие ободка гемосидерина
- Отсутствие глиоза в ткани мозга, расположенной между сосудами
Абсцесс:
- Отсутствие замкнутого ободка гемосидерина
- Гипоинтенсивная капсула абсцесса на Т2-ВИ
Метастаз:
- Солидное или кольцевидное усиление, перифокальный отек, отсутствие замкнутого ободка гемосидерина
Венозная дисплазия:
- Сходящиеся зонтиковидные или звездчатые структуры, идущие через головной мозг; они выглядят гипоинтенсивными на томограмме, взвешенной по протонной плотности, и на Т2-ВИ, гиперинтенсив- ными на Т1-ВИ после введения КС
Накапливающая КС бляшка при рассеянном склерозе:
- Типичная локализация в перивентрикулярной области
- Всегда гиперинтенсивная на Т2-ВИ
Конгофильная ангиопатия:
- Нет картины «тутовой ягоды»
Лечение кавернозной гемангиомы заключается в следующем:
- Профилактическая операция не показана
- Удаление кавернозной гемангиомы проводится тогда, когда неврологическая симптоматика, обусловленная кровоизлиянием, и неэффективность консервативного лечения судорожных припадков.
Врачи каких специальностей диагностируют и лечат кавернозную гемангиому мозга
- Невропатолог(оценка неврологического дефецита)
-Нейрохирург ( выбор методики лечения (радиохирургия, кибер-нож, трепанация)
-Врач функциональной диагностики (оценка состояния на момент обращения и наблюдение / сравнение результатов обследований в динамике)
- Риск бессимптомного кровоизлияния составляет около 3% на пациента в год и примерно 1,4-2,5% на гемангиому в год
- К факторам риска кровоизлияния относятся женский пол и субтенториальная локализация
Возможные осложнения
- Кавернозная гемангиома ускоряет развитие атеросклероза в артериях головного мозга расположенных рядом с зоной облучения

Кавернозная гемангиома (схематическое изображение). Дольковое расположение синусоидальных полостей с кровоизлияниями на разных стадиях распада. Гемангиома окружена ободком гемосидерина (стрелки).
Читайте также:
- Патогенез синдрома фето-фетальной трансфузии (СФФТ). Прогноз синдрома фето-фетальной трансфузии
- Детоксикационная гемосорбция и операция замещения крови. Антидотная терапия
- Патанатомия и морфология крепетирующего тендовагинита предплечья. Причины паратенонита
- Пластиковые протезы. Непереносимость пластиковых протезов
- Лучевая диагностика холедохолитиаза (камней в холедохе)
