Краниофарингиома на МРТ головного мозга
Добавил пользователь Дмитрий К. Обновлено: 16.01.2026
Диагностика краниофарингиомы по КТ, МРТ головного мозга
а) Терминология:
1. Сокращения:
• Краниофарингиома (КФ)
2. Синонимы:
• Опухоль черепно-глоточного протока, опухоль кармана Ратке, адамантинома
3. Определение:
• Доброкачественная, часто имеющая частично кистозную структуру опухоль селлярной области, возникающая из эпителия кармана Ратке:
о Два гистологических типа: адамантиноматозный и папиллярный
б) Визуализация:
1. Общие характеристики краниофарингиомы:
• Лучший диагностический критерий
о КТ: частично твердое/кистозное супраселлярное объемное образование смешанной кистозно-солидной структуры у ребенка
о МРТ: супраселлярное объемное образование с неоднородным сигналом
• Локализация:
о Хирургически делится на три группы:
- Селлярная
- Прехиазмальная
- Ретрохиазмальная
о Варианты локализации КФ (адамантиноматозный тип) при диагностической визуализации:
- Супраселлярная (75%)
- Супраселлярная + интраселлярный компонент (21 %)
- Полностью интраселлярная (4%)
- Часто распространяется в несколько черепных ямок: переднюю (30%), среднюю (23%), заднюю и/или в область позади ската черепа (20%)
о Редкие эктопические локализации:
- Зрительный перекрест, третий желудочек
- Другие: носоглотка, придаточные пазухи носа, эпифиз, основная кость (скат), мостомозжечковый угол
• Размеры:
о Вариабельны: часто крупные при обнаружении (> 5 см)
- Иногда гигантские размеры, многокомпонентное строение
• Морфология:
о Многодольчатое поликистозное строение

(Слева) Бесконтрастная КТ, аксиальный срез: классические признаки краниофарингиомы. Обратите внимание на крупную супраселлярную кисту с уровнем раздела жидкость-жидкость, ободком и глобулярными кальцификатами.
(Справа) МРТ, постконтрастное Т1 -ВИ, сагиттальный срез: в супраселлярной области определяется кистозное объемное образование сложного строения; отмечается контрастирование ободка и солидных компонентов опухоли. Кисты содержат жидкость различной интенсивности сигнала. Обратите внимание на крупный супраселлярный и более мелкий интраселлярный компоненты этой классической краниофарингиомы.
2. КТ признаки краниофарингиомы:
• Бесконтрастная КТ:
о Адамантиноматозный тип (правило «90%»):
- В 90% случаев смешанное солидное (изоденсный компонент) и кистозное (гиподенсный компонент) строение
- В 90% случаев наблюдается кальцификация
- В 90% случаев опухоль накапливает контрастное вещество (солидный компонент = узловой компонент, ободок = капсула)
о Папиллярный тип: часто солидная структура, изоденсная опухоль, редко кальцифицируется
3. МРТ признаки краниофарингиомы:
• Т1-ВИ:
о Сигнальные характеристики зависят от содержимого кисты:
- Короткое время Т1 вследствие высокого содержания белка
- Классический (адамантиноматозный тип):
Гиперинтенсивный кистозный компонент + неоднородный сигнал от узлового компонента
- Менее часто (папиллярный тип):
Изоинтенсивный солидный компонент
• Т2-ВИ:
о Кистозный компонент имеет вариабельный гиперинтенсивный сигнал
о Солидный компонент = неоднородный сигнал (изо-/гиперинтенсивный, участки кальцификации гипоинтенсивны)
о Гиперинтенсивный сигнал от смежной с опухолью мозговой паренхимы может свидетельствовать о:
- Глиозе, инвазии опухоли, раздражении жидкостью из протекающей опухолевой кисты
- Отеке вследствие компрессии зрительных перекреста/трактов
- Гипоинтенсивный на Т2* сигнал = кальцификация
• FLAIR:
о Содержимое кисты обычно имеет гиперинтенсивный сигнал
• ДВИ:
о Вариабельные характеристики в зависимости от характера жидкости в кисте
• Постконтрастные Т1-ВИ:
о Вариабельные компоненты накапливают контраст неоднородно: стенки опухолевых кист контрастируются интенсивно
• МР-ангиография:
о Смещение и/или обволакивание опухолью сосудов
• МР-спектроскопия:
о Содержимое кисты: широкий спектр липидов (0,9-1,5 ppm)
4. Рекомендации по визуализации:
• Лучший инструмент визуализации:
о МРТ с получением тонкосрезовых последовательностей в сагиттальной, корональной плоскостях
• Совет по протоколу исследования:
о До-/постконтрастные Т1-ВИ, Т2-ВИ, FLAIR, GRE, ДВИ, МР-спектроскопия

(Слева) МРТ, постконтрастное Т1 -ВИ, сагиттальный срез: в селлярной, супраселлярной, носоглоточной, предмостной области определяется рецидив крупной адамантиноматозной краниофарингиомы, имеющей характерную неоднородную кистозно-солидную структуру. Обратите внимание на масс-эффект опухоли на зрительный перекрест, гипоталамус и мост.
(Справа) МРТ, Т2-ВИ, корональный срез: у двухлетнего ребенка с гигантским супраселлярным объемным образованием определяются множественные гиперинтенсивные кисты. Интраселлярный компонент опухоли имеет относительно малые размеры.
в) Дифференциальная диагностика краниофарингиомы:
1. Киста кармана Ратке (ККР):
• Не кальцифицируется, имеет менее неоднородное строение
• Выполните поиск внутрикистозного узлового компонента на Т2-ВИ
• Контрастное вещество не накапливает:
о Симптом «когтя» (контрастное усиление ткани гипофиза растянутой вокруг кисты)
• Мелкая ККР может быть неотличима от редкой интраселлярной КФ
• Экспрессия СК8 и СК20 в ККР (в КФ обычно не наблюдается)
2. Супраселлярная арахноидальная киста:
• Отсутствие кальцификации, контрастного усиления
3. Астроцитома гипоталамуса/хиазмальной области:
• Солидная структура или с мелкими кистозными/некротическими компонентами
• Кальцификация наблюдается редко; интенсивное контрастное усиление
4. Аденома гипофиза:
• У детей предподросткового возраста наблюдается редко
• Изоинтенсивный по отношению к мозговой ткани сигнал
• Интенсивное контрастное усиление
• При кистозном и геморрагическом характере может имитировать КФ
5. Эпидермоидные/дермоидные опухоли:
• Контрастное усиление минимальное или отсутствует
6. Тромбированная аневризма:
• Содержит продукты распада гемоглобина; используйте SWI
• Выполните поиск остаточного просвета, фазовый артефакт
7. Герминома или смешанная герминоклеточная опухоль с кистозным компонентом(ами):
• Часто наблюдается метастазирование через СМЖ, кальцификация происходит редко
г) Патология:
2. Стадирование и классификация краниофарингиомы:
• I степень злокачественности по классификации ВОЗ (grade I)
• Индекс MIB-1 > 7% является предиктором рецидива
3. Макроскопические и хирургические особенности:
• Солидный компонент опухоли с вариабельным кистозным компонентом
• Адамантиноматозные кисты часто содержат густую жидкость по типу «масла в картере»
• Эпителиальные листовидные структуры проникают в смежные гипоталамус/зрительный перекрест
4. Микроскопия:
• Адамантиноматозный (в основном у детей):
о Многослойный плоский эпителий с ядерными «палисадами»
о Узелки «мокрого» кератина
о Дистрофическая кальцификация
• Папиллярные (в основном у взрослых):
о Слои плоского эпителия образуют псевдососочки
о Ворсинчатая фиброваскулярная строма
• Злокачественная трансформация, отдаленные метастазы наблюдаются редко:
о Может характеризоваться различными гистологическими типами опухоли, что определяет неблагоприятный прогноз

(Слева) Макропрепарат: наблюдается характерная кистозно-солидная структура адамантиноматозной краниофарингиомы. Кистозные полости содержат густой желатинозный материал.
(Справа) МРТ, постконтрастное Т1-ВИ, сагиттальный срез: у пациента 45 лет, поступившего в лечебное учреждение с зрительными нарушениями определяется визуализируется супраселлярное объемное образований солидной структуры, накапливающее контраст. При резекции была диагностирована папиллярная краниофарингиома. Папиллярные краниофарингиомы — опухоли I степени злокачественности. Они чаще имеют солидную структуру и не кальцифицируются.
д) Клиническая картина:
1. Проявления краниофарингиомы:
• Наиболее частые признаки/симптомы:
о Симптомы варьируют в зависимости от локализации, размеров опухоли, возраста пациента
о Зрительные нарушения:
- Битемпоральная гемианопсия
• Другие признаки/симптомы:
о Эндокринные нарушения:
- Недостаточность гормона роста (ГР) > гипотиреоз > надпочечниковая недостаточность > несахарный диабет
- Головные боли
• Клинический профиль:
о Педиатрический пациент с утренней головной болью, зрительными нарушениями и низким ростом
2. Демография:
• Возраст:
о Бимодальный возрастной пик встречаемости (пик в 5-15 лет с меньшим пиком в > 65 лет):
- Папиллярная КФ: > 50 лет
• Пол:
о М = Ж
• Этническая принадлежность:
о Наиболее часто у японских детей
• Эпидемиология:
о Наиболее частая внутричерепная опухоль неглиального происхождения у детей
о Составляет 1,2-4% от всех внутричерепных опухолей во всех возрастных группах:
- 6-9% от всех внутричерепных опухолей у детей
- Заболеваемость = 0,5-2,5 новых случая на 1 млн человек в год
о 54% всех опухолей селлярной/хиазмальной области у детей - ХП
3. Течение и прогноз:
• Обычно характеризуется медленным ростом, доброкачественным течением
• Прогноз основывается на размерах, распространенности опухоли при ее обнаружении:
о < 5 см, частота рецидива: 20%
о > 5 см, частота рецидива: 83%
о Общая 10-летняя выживаемость: 64-96%
4. Лечение краниофарингиомы:
• Методы лечения первичной опухоли:
о Радикальная операция = тотальная резекция:
- Осложнения = повреждение гипоталамуса, эндокринные симптомы, повреждение vasa-vasorum и формирование псевдоаневризмы
о Хирургические доступы: краниотомия, трансназальный, трансорбитальный или эндоскопический
о Ограниченная операция = субтотальная резекция + лучевая терапия
о Биопсия, дренаж кисты и лучевая терапия
• Лечение остаточной или рецидивирующей опухоли:
о Оперативное, лучевая терапия или аспирация кистозного компонента
о Инстилляция кистозного компонента с внутриполостым введением радионуклидов, блеомицин или другие склерозирующие агенты
е) Диагностическая памятка:
1. Обратите внимание:
• Предоперационная оценка офтальмологического и эндокринного статуса
2. Советы по интерпретации изображений:
• При неоднозначности МР-картины используйте бесконтрастную КТ для обнаружения кальцификатов
• Адамантиноматозная краниофарингиома = правило «90%» (в 90% случаев опухоли имеют кистозную структуру, кальцифицируются и накапливают контрастное вещество)
• Папиллярная краниофарингиома обычно имеет солидный характер и преимущественно встречается у взрослых
Краниофарингиома на МРТ головного мозга
а) Терминология:
• Доброкачественная, часто имеющая частично кистозную структуру опухоль селлярной области, возникающая из эпителия кармана Ратке
• Два типа:
о Адамантиноматозный (кистозное объемное образование у детей)
о Папиллярный (солидное объемное образование у пожилых людей)
б) Визуализация краниофарингиомы:
• Общие характеристики:
о Многодольчатая структура, часто крупные размеры (> 5 см)
о Иногда гигантске размеры, многокомпонентное строение
• КТ:
о Кистозный компонент (90%), кальцификация (90%), контрастное усиление (90%)
• МРТ: сигнал зависит от содержимого кистозного компонента:
о Кисты имеют вариабельный гиперинтенсивный на Т1-ВИ и Т2-ВИ сигнал
о Солидные части накапливают контраст гетерогенно; стенки кистозного компонента контрастируются интенсивно
о Содержимое кисты: широкий пик липидов (0,9-1,5 ppm) при МР-спектроскопии
(Слева) Сагиттальный срез: супраселлярное объемное образование в основном кистозной и частично солидной структуры с ободком кальцификации. Обратите внимание на мелкий интра-селлярный компонент и границу раздела жидкость-жидкость. Краниофарингиомы - опухоли «90%» (в 90% случаев имеют кистозную структуру, кальцифицируются и накапливают контраст).
(Справа) Макропрепарат, сагиттальный срез: адамантиноматозная краниофарингиома смешанной кистозно-солидной структуры. Классический вид содержимого, похожий на машинные масло. Обратите внимание на интраселлярное распространение опухоли. (Слева) МРТ, Т2-ВИ, корональный срез: у мужчины 48 лет, поступившего в лечебное учреждение с зрительными нарушениями в супраселлярной области определяется кистозное объемной образование с гипоин-тенсивным узловым компонентом. Такая картина имитирует кисту кармана Ратке.
(Справа) МРТ, постконтрастное Т1-ВИ, сагиттальный срез: у этого же пациента определяется узловой компонент ЕЯ, который позволяет определить, что это кистозное образование является краниофарингиомой, а не кистой кармана Ратке. Хирургическая резекция - основной метод лечения. Однако показатель рецидивирования в течение десяти лет приближается 20%.
в) Патология:
• Наиболее частая внутричерепная опухоль неглиального происхождения у детей
• I степень злокачественности по классификации ВОЗ (grade I)
• Краниофарингиомы возникают из остатков черепно-глоточного протока
г) Клиническая картина краниофарингиомы:
• Бимодальный возрастной пик встречаемости:
о Пик: 5-1 5 лет; папиллярная краниофарингиома > 50 лет
• Педиатрический пациенте утренней головной болью, зрительными нарушениями и низким ростом:
о Эндокринные нарушения включают недостаточность гормона роста (ГР)
о Другие = гипотиреоз > надпочечниковая недостаточность > несахарный диабет
• Хирургическая резекция - метод лечения первичной опухоли
• При рецидиве опухоли: оперативное лечение, лучевая терапия или аспирация кисты
Краниофаригиома у ребенка: причины, клиника, лечение
Опухоли различной патологии возникают из средней линии мозга или близлежащих стрктур, таких как черепные нервы, гипофиз, эпифиз (шишковидное тело) и остаток хорды. Наиболее типичной опухолью средней линии является краниофарингеома в сопровождении глиомы зрительного нерва. Большинство опухолей средней линии могут вызывать повышение ВЧД из-за развития гидроцефалии, нарушения зрения и эндокринные и метаболические расстройства.
Краниофарингиомы происходят из мелких остаточных клеток, которые, как считается, представляют собой остатки эмбрионального кармана Ратке. Они составляют около 50% опухолей средней линии и 6-9% всех опухолей в младенческом и детском возрасте. Краниофарингиомы могут развиваться либо в супраселлярной области, либо и в супраселлярной, и в интраселлярной областях.
Чисто интраселлярные краниофарингиомы редко встречаются у детей. Крупные опухоли являются частично или полностью кистозными. Микроскопическая картина вариабельна, с плоским эпителием, который может быть утолщен или дегенерирован с формированием микрокист. Кальцификация возникает часто, являясь важным признаком краниофарингиом. Краниофарингиомы могут манифестировать в любом возрасте, от неонатального периода до взрослого возраста.
Клинические проявления краниофарингиомы являются результатом эндокринных нарушений, повышения ВЧД вследствие гидроцефалии, или воздействия опухоли на соседние структуры, особенно на зрительные пути. Задержка роста из-за дефицита гормона роста является распространенным и нередко первым признаком, хотя часто выявляется ретроспективно и может отсутствовать примерно в половине случаев.
При наличии гипотиреоза часто имеется избыточный вес, утомляемость и снижение успеваемости в школе. Несахарный диабет вызывает повышенную жажду и учащенное мочеиспускание. Реже наблюдаются нарушения водного и электролитного баланса или нарушения вегетативных функций.
Симптомы и признаки повышения ВЧД и зрительные нарушения определяются на момент установления диагноза у большинства пациентов и, безусловно, являются наиболее частым первичным проявлением у детей (Cohen и Duffner, 1994). Они включают проблемы со зрением, спутанность сознания, рвоту, двустороннюю височную гемианопию, нистагм и атрофию зрительного нерва. Отек диска зрительного нерва встречается реже. Иногда наблюдается атаксия, вызывая ошибочное подозрение на опухоль задней черепной ямки.
Сонливость, апатия и изменение настроения нередко возникают у пациентов без повышения давления. Односторонняя потеря зрения может развиваться быстро, имитируя оптический неврит. Очаговые неврологические признаки наблюдаются редко.
Рентгенография черепа, как правило, демонстрирует эрозию спинки седла или увеличение турецкого седла (либо оба признака). Визуализация в большинстве случаев выявляет кистозное образование, которое является супраселлярным или интра- и супраселлярным. Супраселлярная инвазия может быть весьма обширной, приводя к сдавлению третьего желудочка и достигая прозрачной перегородки или даже мозолистого тела. Ретроселлярная экспансия встречается реже. Плотность опухоли до контрастирования гетерогенна. Кальцификация имеется в 80% случаев. В редких случаях опухоль трудно визуализировать или она имеет необычно плотную структуру и экспансию. МРТ более точна, чем КТ, а медиально-сагиттальные снимки особенно ценны для определения положения опухоли относительно зрительных нервов, перекреста, гипоталамуса и ствола мозга, выявления мелких остатков опухоли после операции и выяснения содержимого турецкого седла, что бывает сложно оценить с помощью КТ из-за наличия костных артефактов.

Краниофарингиома.
Гетерогенное образование, растущее в третий желудочек, с крупными кистозными компонентами, имеющими разную интенсивность кистозной жидкости (аксиальный срез) (сверху).
Сагиттальный снимок демонстрирует интраселлярную опухоль, дающую гетерогенный сигнал, и многочисленные кистозные образования, окружающие солидную опухоль (снизу).
Эндокринологические исследования выявляют дефицит гормона роста примерно у половины пациентов до операции. Уровень гонадотропных гормонов так же снижен примерно у 50% половозрелых пациентов. Дефицит тиреогропина (ТТГ) и адренокортикотропина (АКТГ), а также несахарный диабет, встречаются менее часто у не оперированных пациентов, но возникают в большинстве случаев после операции (Pierre-Kahn et al„ 1988).
Диагноз краниофарингиомы обычно прост, хотя до сих пор часто пропускается в течение удивительно долгого времени. При подозрении на краниофарингиому следует исключить другие опухоли этой области (см. ниже). Очень редко, краниофарингиома может вызывать синдром диэнцефальной кахексии.
Обычно рекомендуется хирургическое лечение, хотя некоторые врачи использовали лучевую терапию без операции в ограниченном числе случаев (Scott et al., 1994). Операция в сочетании с послеоперационной лучевой терапией является самым распространенным протоколом. Объем операции остается спорной темой. Для большинства опухолей, главным образом ретрохиазмальных, возможно только частичное удаление. В подобных случаях послеоперационное облучение в сочетании с частичной резекцией дает значительное уменьшение частоты рецидивов с 75% до 30%, и является широко рекомендованным методом (Pierre-Kahn et al., 1988). Операция может быть выполнена традиционными либо стереотаксическими методами (Kobayashi et al., 2005). При возможности, некоторые хирурги рекомендуют полное удаление; отмечены хорошие результаты (Pierre-Kahn et al., 1988; Yasargil et al., 1990). Уровень смертности как при частичной, так и при полной резекции, значительно снизился в современных сериях исследований; выживаемость отмечается у большой части пациентов (см. Fisher Р. G. et al., 1998; Muller et al., 2004b; Poretti et al., 2004; Stripp et al., 2004). Частота рецидивов различается в разных исследованиях, но ненамного выше показателей при попытках «полного» удаления (Regine и Kramer 1992; Rajanet al., 1993).
В последней крупной серии из 121 краниофарингиомы у детей и взрослых (23% — с супраселлярной частью) (Karavitaki et al., 2005), полное удаление было достигнуто в 16 случаях и частичное удаление — в 84 случаях, в то время как у остальных пациентов использовались другие методы, включая дренирование или удаление кист. Лучевая терапия применялась у трети пациентов. Результаты оказались лучшими в случаях с полной резекцией, однако в целом были хорошими относительно выживаемости во всех случаях. Тем не менее, полное удаление и лучевая терапия сопровождаются многими рисками. Они могут вызвать глухоту, снижение уровня IQ, эндокринологические нарушения и даже неврологические осложнения. Для детей младшего возраста с частичной резекцией более оправданной может быть отсрочка облучения, насколько это возможно, так как детский мозг обладает высокой чувствительностью к ионизирующему воздействию. В настоящее время в тактике ведения краниофарингиомы большее значение имеет скорее качество жизни после лечения, чем выживаемость. После оперативного лечения обычно наблюдается усиление эндокринных нарушений с развитием несахарного диабета у 75% пациентов и частым дефицитом ТТГ и АКТГ (Cohen и Duffner, 1994). Тем не менее, были отмечены парадоксальные скачки роста после операции. Подобные эндокринные нарушения представляют собой проблему, требующую особого внимания.
Задержку роста со значительным успехом можно лечить гормоном роста (Muller et al., 2004а). Развитие выраженного ожирения у некоторых детей, часто сопровождающееся поведенческими нарушениями и утратой нейровегетативного гомеостаза, создает серьезные практические проблемы и может представлять сердечно-сосудистый риск (Lustig et al., 2003). В противоположность эндокринным нарушениям, ожирение не поддается лечению и, по всей видимости, возникает вследствие операционной травмы гипоталамуса, поэтому в настоящее время имеется тенденция скорее оставить часть опухоли, чем создавать подобный риск.
Часто имеются разнообразные психологические нарушения. Эпилепсия наблюдается у 11% пациентов (Pierre-Kahn et al., 1988) и может не поддаваться медикаментозному лечению, требуя хирургического вмешательства. По личному опыту в большинстве случаев она была связана с очагами в лобной доле. В развитии эпилепсии и когнитивных нарушений важную роль может играть облучение. Пациенты, не подвергавшиеся лучевой терапии, могут иметь более высокий средний IQ, чем облученные пациенты (Pierre-Kahn et al., 1988).
Прогнозирование этих осложнений является трудным (De Vile et al., 1996). Попытки избежать подобных проблем привели к поиску других методов лечения, включая радиохирургию (Kobayashi et al., 2005), нейроэндокринную хирургию (Delitala et al., 2004), внутрикистозную химиотерапию блеомицином (Mottolese et al., 2001, 2005) и внутрикистозное облучение радиоактивными агентами. В настоящее время невозможно полностью оценить все эти методы, однако они могут иметь ценность в некоторых случаях.
Менингиома
Менингиома в большинстве случаев представляет собой доброкачественную опухоль, развивающуюся из клеток арахноэндотелия (твердой мозговой оболочки или реже сплетений сосудов). Симптомами новообразования являются головные боли, нарушение сознания, памяти; мышечная слабость; эпилептические приступы; нарушение работы анализаторов (слухового, зрительного, обонятельного). Диагноз ставится на основании неврологического обследования, МРТ или КТ головного мозга, ПЭТ. Лечение менингиомы хирургическое, с вовлечением лучевой или стереотаксической радиохирургии.

Общие сведения
Менингиома представляет собой опухоль, чаще всего доброкачественной природы, произрастающую из арахноэндотелия мозговых оболочек. Обычно опухоль локализуется на поверхности мозга (реже на конвекситальной поверхности либо на основании черепа, редко в желудочках, или в костной ткани). Как и для многих других доброкачественных опухолей, для менингиом характерен медленный рост. Довольно часто не дает о себе знать, вплоть до значительного увеличения новообразования; иногда бывает случайной находкой при компьютерной или магнитно-резонансной томографии.
Причины развития менингиомы
Выявлен генетический дефект в 22 хромосоме, ответственный за развитие опухоли. Он находится недалеко от гена нейрофиброматоза (НФ2), с чем и связывают повышенный риск развития менингиомы у пациентов с НФ2. Отмечена связь развития опухоли с гормональным фоном у женщин, которая и обуславливает большую заболеваемость женского пола менингиомой. Выявлена закономерная связь между развитием рака молочной железы и опухоли мозговых оболочек. Кроме того, менингиома склонна увеличиваться в размерах при беременности.
Также провоцирующими факторами развития опухоли могут быть: черепно-мозговая травма, радиоактивное облучение (любое ионизирующее, рентгенологическое излучение), всевозможные яды. Тип роста опухоли чаще всего экспансивный, то есть менингиома растет единым узлом, раздвигая окружающие ткани. Возможен и мультицентрический рост опухоли из двух и более очагов.
Макроскопически менингиома представляет собой новообразование округлой формы (или реже подковообразной), чаще всего спаянное с твердой мозговой оболочкой. Размер опухоли может составлять от нескольких миллиметров до 15 см и более. Опухоль плотной консистенции, чаще всего имеет капсулу. Цвет на разрезе может варьировать от серых оттенков до желтых с серым. Образование кистозных выростов не характерно.
Классификация менингиомы
По степени злокачественности выделяют три основных типа менингиом. К первому из них относятся типичные опухоли, разделяющиеся на 9 гистологических вариантов. Больше половины из них представлены менинготелиальными опухолями; около четверти составляют менингиомы смешанного типа и чуть более 10% фиброзные новообразования; остальные гистологические формы встречаются крайне редко.
Ко второй степени злокачественности следует отнести атипические опухоли, которые обладают высокой митотической активностью роста. Такие опухоли обладают способностью к инвазивному росту и могут прорастать в вещество головного мозга. Атипичные формы склонны к рецидивированию. И наконец, к третьему типу относят самые злокачественные или анапластические менингиомы (менингосаркомы). Они отличаются не только способностью проникать в вещество мозга, но и возможностью метастазировать в отдаленные органы и часто рецидивировать.
Симптомы менингиомы
Заболевание может протекать бессимптомно и никак не влиять на общее состояние пациента, вплоть до приобретения опухолью значительных размеров. Симптомы менингиомы зависят от той анатомической области головного мозга, к которой она примыкает (область больших полушарий, пирамиды височной кости, парасагиттальный синус, тенториум, мостомозжечковый угол и пр.). Общемозговыми клиническими проявлениями опухоли могут быть: головные боли; тошнота, рвота; эпилептические припадки; нарушения сознания; мышечная слабость, нарушения координации; зрительные нарушения; проблемы со слухом и обонянием.
Очаговая симптоматика зависит от расположения менингиомы. При расположении опухоли на поверхности полушарий может проявляться судорожный синдром. В ряде случаев при такой локализации менингиомы имеется пальпируемый гиперостоз костей черепного свода.
При поражении парасагиттального синуса лобной доли, возникают нарушения, связанные с мыслительной деятельностью и памятью. Если поражается ее средняя часть, то возникает слабость мышц, судороги и онемение в противоположной опухолевому очагу нижней конечности. Продолжающийся опухолевый рост приводит к возникновению гемипареза. Для менингиомы основания лобной доли характерны расстройства обоняния - гипо- и аносмия.
При развитии опухоли в задней черепной ямке могут возникать проблемы слухового восприятия (тугоухость), нарушения координации движений и походки. При расположении в области турецкого седла возникают нарушения со стороны зрительного анализатора, вплоть по полной потери зрительного восприятия.
Диагностика менингиомы
Диагностика опухоли представляет собой трудность, в связи с тем, что долгие годы менингиома может никак себя клинически не проявлять в виду ее медленного роста. Часто пациентам с неспецифическими проявлениями приписываются возрастные признаки старения, поэтому ошибочный диагноз дисциркуляторной энцефалопатии у больных с менингиомой не является редкостью.
При появлении первых клинических симптомов назначается полное неврологическое обследование и офтальмологическая консультация, в ходе которой офтальмолог исследует остроту зрения, определяет размеры полей зрения и проводит офтальмоскопию. Нарушения слуха являются показанием к консультации отоларинголога с проведением пороговой аудиометрии и отоскопии.
Обязательным в диагностике менингиомы является назначение томографических методов исследования. МРТ головного мозга позволяет определить наличие объемного образования, спаянность опухоли с твердой мозговой оболочкой, помогает визуализировать состояние окружающих тканей. При МРТ в Т1 режиме сигнал от опухоли схож с сигналом от мозга, в режиме Т2 выявляется гиперинтенсивный сигнал, а также отек мозга. МРТ может применяться во время операции для контроля удаления всей опухоли и для того, чтобы получить материал для гистологического исследования. МР спектроскопия применяется для определения химического профиля опухоли.
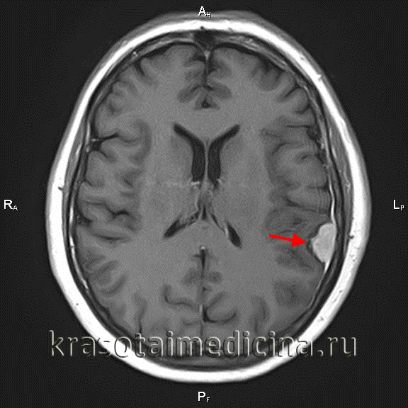
МРТ головного мозга (С+). Объемное образование в теменной области слева, широким основанием прилежащее к мягкой оболочке
КТ головного мозга позволяет выявить опухоль, но в основном применяется для определения задействования костной ткани и опухолевых кальцинатов. Позитронно-эмиссионная томография (ПЭТ головного мозга) применяется с целью определения рецидивирования менингиомы. Окончательный диагноз выставляется неврологом или нейрохирургом, исходя из результатов гистологического исследования биоптата, которое определяет морфологический тип опухоли.
Лечение менингиомы
Доброкачественные или типичные формы менингиом подвергаются хирургическому удалению. С этой целью вскрывается черепная коробка и производится полное или частичное удаление менингиомы, ее капсулы, волокон, пораженной костной ткани и примыкающей к опухоли твердой мозговой оболочки. Возможна одномоментная пластика образовавшегося дефекта собственными тканями или искусственными трансплантатами. В предоперационном периоде иногда прибегают к предварительной эмболизации менингиомы.
При атипичных или злокачественных опухолях с инфильтративным типом роста не всегда бывает возможным удалить опухоль полностью. В таких ситуациях удаляют основную часть новообразования, а за остальной наблюдают в динамике посредством неврологического обследования и данных МРТ. Наблюдение также показано для пациентов с отсутствием симптоматики; у пожилых пациентов с медленным ростом опухолевой ткани; в случаях, когда хирургическое лечение грозит осложнениями или не выполнимо, в виду анатомического расположения менингиомы.
При атипичном и злокачественном типе менингиомы применяется лучевая терапия или ее усовершенствованная разновидность − стереотаксическая радиохирургия. Последняя представлена в виде гамма-ножа, системы Новалис, кибер-ножа. Радиохирургические методики воздействия позволяют ликвидировать опухолевые клетки головного мозга, уменьшить размеры новообразования, и при этом не страдают окружающие опухоль ткани и структуры. Радиохирургические методики не требуют анестезии, не вызывают боли и не имеют послеоперационного периода. Больной обычно сразу может отправляться домой. Подобные методики не применяются при внушительных размерах менингиомы. Химиотерапия не показана, так как большинство опухолей твердой мозговой оболочки имеют доброкачественное течение, но в этой области ведутся клинические разработки.
Консервативная медикаментозная терапия направлена на уменьшение отека мозга и имеющихся воспалительных явлений (если они имеют место быть). С этой целью назначаются глюкокортикостероиды. Симптоматическое лечение включает в себя назначение антиконвульсантов (при судорогах); при повышенном внутричерепном давлении возможно проведение оперативных вмешательств, направленных на восстановление циркуляции цереброспинальной жидкости.
Прогноз
Прогноз типичной менингиомы при своевременном выявлении и хирургической ликвидации вполне благоприятный. Такие больные имеют показатель 5-летней выживаемость равный 70-90%. Остальные же типы менингиом склонны к рецидивированию и даже после успешного удаления опухоли могут приводить к летальному исходу. Процент 5-летней выживаемости пациентов с атипичными и злокачественными менингиомами составляет около 30%. Неблагоприятный прогноз наблюдается и при множественных менингиомах, составляющих около 2 % от всех случаев развития данной опухоли.
На прогноз также оказывают влияние сопутствующие заболевания (сахарный диабет, атеросклероз, ИБС - ишемические поражения коронарных сосудов и пр.), возраст пациента (чем моложе больной, тем лучше прогноз); показатели опухоли – расположение, размеры, кровоснабжение, вовлечение соседних структур головного мозга, наличие предыдущих операций на мозге или данных о проведении лучевой терапии в прошлом.
Краниофарингиома
Краниофарингиома – это доброкачественное кистозно-эпителиальное новообразование, локализующееся в области турецкого седла, которое развивается из остатков эпителия кармана Ратке. По мере прогрессирования и роста опухоли у пациента наблюдается повышение внутричерепного давления, нарушение зрения, отставание в физическом и психическом развитии, гипофункция аденогипофиза. Наиболее информативными методами диагностики краниофарингиомы являются МРТ и КТ, которые помогает определить структуру, границы опухоли и наличие кальцинатов. Лечение – хирургическое, после которого пациенту назначают курс лучевой терапии, направленной на остановку дальнейшего роста новообразования.
МКБ-10

Краниофарингиома – это опухоль головного мозга доброкачественного характера, которая происходит от эмбрионального периода и, как правило, располагается в гипоталамо-гипофизарной области. По мере прогрессирования новообразования в его тканях могут формироваться кисты, наполненные жидкостью с большим содержанием холестерина и белков. Заболевание больше присуще для детей, однако может появляться в любом возрасте.
Частота развития краниофарингиом составляет приблизительно 2-3% от всех видов новообразований головного мозга. Чаще всего встречается нейроэпителиальная краниофарингиома (около 10% случаев), причем пик развития заболевания приходится в возрасте от 5 до 15 лет. Другая разновидность краниофарингиомы – папиллярная, встречается чаще всего у людей после 40 лет.
Причины развития краниофарингиомы
Основными причинами развития краниофарингиомы являются наследственность и различного рода мутации. Кроме этого, на развитие патологии оказывают влияние неблагоприятные факторы, особенно в период закладки основных органов - первый триместр беременности. К причинным факторам возникновения краниофарингиомы относится влияние лекарственных препаратов, токсинов, ядов, радиационного излучения и пр.; внутриутробное инфицирование, тяжело протекающий ранний токсикоз, хронические заболевания беременной (туберкулез, сахарный диабет, почечная недостаточность).
Краниофарингиома подразделяется на 2 вида: адамантиноматозная и папиллярная. Примерно 60% краниофарингиом представляют собой кистозное образование, около 15% - это солидные образования, остальные 35% имеют смешанную структуру и строение.
Краниофарингиома развивается из эмбриональных остатков кармана Ратке – структуры, из которой впоследствии формируется и развивается аденогипофиз. Новообразование в большинстве случаев имеет кисты, а у взрослых людей содержит кальцификаты. Из-за своей локализации и прогрессирования краниофарингиома вызывает отставание в развитии у детей, нарушения зрительной функции, заболевания органов эндокринной системы у взрослых.
Симптомы краниофарингиомы
Краниофарингиомы могут никак не проявляться клинически на протяжении длительного периода времени. Чаще всего первые симптомы заболевания возникают ближе к 5-10 годам. Первичными проявлениями, которые заставляют больного обратиться к врачу, являются постоянные головные боли, не купирующиеся анальгетиками, расстройства неврологического характера, нарушения в работе органов эндокринной системы.
По мере прогрессирования опухоли она начинает сдавливать гипоталамус, гипофиз и зрительный перекрест, что делает клиническую симптоматику более выраженной и яркой. Наиболее типичными клиническими проявлениями краниофарингиомы являются ожирение и низкий рост.
Прогрессирование и рост опухоли вызывает ухудшение зрения пациента на начальном этапе, на что врачи обращают внимание при первичном осмотре пациента. На более поздних сроках развития заболевания осмотр офтальмолога с проведением офтальмоскопии обнаруживает необратимые изменения на глазном дне, отек и атрофию зрительного нерва. Выраженность клинической картины во многом зависит от размера и степени прогрессирования новообразования.
Главным признаком краниофарингиомы, который определяется только путем рентгенологического исследования черепа, является изменение турецкого седла. На снимке четко видно истончение его спинки и клиновидных отростков.
Диагностика краниофарингиомы
Диагностика краниофарингиомы заключается в проведении инструментальной современной диагностики и консультации невролога. Рентгенография черепа позволяет выявить кальцинаты в опухоли, эрозию ее стенок и увеличение размеров турецкого седла. В обязательном порядке пациенту проводят ряд анализов на выявление количества гормонов в крови (исследование уровня СМТ, АКТГ, ТТГ, кортизола и гормонов щитовидной железы).
Наиболее информативными и точными методами диагностики краниофарингиомы являются МРТ и КТ головного мозга. При помощи данных методов исследования специалисту удается получить послойное изображение мозговых тканей, что позволяет наиболее точно определить место локализации патологического процесса, размеры образования, структура и форму опухоли, ее расположение относительно окружающих тканей.
Краниофарингиому необходимо дифференцировать с другими опухолями гипофизарной области: аденомой гипофиза, глиомой хиазмы, герминомой, а также с коллоидной кистой III желудочка. Точная дифференциация опухолей возможна только после проведения гистологического исследования их тканей.
Лечение краниофарингиомы
Лечение краниофарингиомы проводится хирургическим путем и осуществляется нейрохирургами. Путь доступа к опухоли во многом зависит от места ее локализации и размеров. Если полное удаление новообразования по каким-либо причинам невозможно, то в послеоперационном периоде используют методы лучевой терапии.
Резекция краниофарингиомы устраняет давление опухоли на гипофиз и соседние ткани головного мозга, а при помощи лучевой терапии удается сдержать прогрессирующий рост опухоли в 90% случаев. Современным и эффективным методом лечения краниофарингиомы является дренирование кисты и введение в ее полость антибиотика, губительно действующего на ткани и клетки опухоли (блеомицина).
Прогноз и профилактика
Прогноз в большинстве случаев зависит от своевременности постановки диагноза и опытности врачей во время проведения оперативного вмешательства. Рецидив заболевания встречается в первые 3 года после операции и возникает, как правило, при нерадикальном удалении новообразования. Одним из осложнений в послеоперационном периоде является развитие диабета несахарного типа, поэтому пациент нуждается в длительной заместительной терапии гормональными препаратами под наблюдением эндокринолога.
Кроме этого, применение лучевой терапии хотя и является эффективным способом остановки дальнейшего роста и прогрессирования опухоли, но вызывает отставание в умственном развитии (ЗПР) у детей и тяжелые поражения внутренних органов, в частности печени. Профилактика патологического процесса заключается в антенатальной охране плода.
Читайте также:
- Механизмы переваривания и всасывания жиров (липидов)
- Боль при перкуссии живота. Диагностика опухолей живота перкуссией
- Нарушение кровотока при мерцательной аритмии. Бред сердца
- Омфалоцеле и гастрошизис. Развитие амниотической и хориальной оболочек
- Кавернозная гемангиома глазницы: признаки, гистология, лечение, прогноз
