КТ при брыжеечном панникулите
Добавил пользователь Владимир З. Обновлено: 11.12.2025
На днях был пациент с подозрением на образование надпочечника, которое не подтвердилось. Случайно обнаружены изменения в брыжейке - уплотнение жировой клетчатки, ход сосудов не нарушен, вокруг сосудов ореол пониженной плотности - неизмененная жировая ткань (стрелки). Жалоб нет, кроме повышения артериального давления.
Мезентериальный панникулит (обзор литературы и собственные наблюдения)
А.Б. Лукьянченко, Б.И. Долгушин, И.С. Стилиди, Б.М. Медведева
ГУ Онкологический научный центр им. Н.Н. Блохина РАМН, Москва.
Мезентериальный панникулит (МП) является редким патологическим состоянием, представляющим собой хронический неспецифический воспалительный процесс жировой ткани брыжейки кишечника, сальника, пред- и забрюшинной клетчатки. Клинически МП может проявляться в виде абдоминальных болей, похудания, повышения температуры, дисфункции кишечника и пальпируемого образования в брюшной полости. В тоже время у ряда больных клиническая симптоматика отсутствует. Компьютерная и магнитно-резонансная томография играют важную роль в диагностике данного заболевания. При этом проявления МП напрямую могут зависеть от преобладания жирового, воспалительного или фиброзного компонентов. Хирургическое вмешательство при МП считается не целесообразным. Мы наблюдали 5 пациентов с проявлениями МП. Совокупность всех клинических и диагностических данных позволила поставить всем нашим 5 пациентам правильный диагноз и в 4 случаях избежать необоснованных оперативных вмешательств. Таким образом, диагностика и дифференциальная диагностика МП в условиях квалифицированных медицинских учреждений на сегодняшний день представляется решаемой проблемой.
А.Б. Лукьянченко, Б.И. Долгушин, И.С. Стилиди, Б.М. Медведева Мезентериальный панникулит (обзор литературы и собственные наблюдения) // Медицинская визуализация. 2005. №4. C. 70-75
МЕЗЕНТЕРИАЛЬНЫЙ ПАННИКУЛИТ
Мезентериальный панникулит — это экстенсивное утолщение брыжейки в результате неспецифического воспалительного процесса. Многие полагают, что это вариант ретроперитонеального фиброза. Причина неизвестна. Обычно вовлечен свод брыжейки тонкой кишки. В целом нормальная жировая дольчатость значительно утолщается и брыжейка утрачивает прочность. Повсюду рассеяны зоны неправильной формы, имеющие измененную окраску, варьирующую от красновато-коричневых бляшек до бледно-желтых очагов, напоминающих жировой некроз.
Клинические проявления. Заболевание поражает более часто мужчин, реже — детей. Клинические проявления неспецифические и включают рецидивирующие эпизоды абдоминальной боли, от умеренной до сильной, тошноту, рвоту и недомогание. КТ демонстрирует мезентериальный панникулит как локализованную плотную жировую массу, содержащую зоны увеличенной плотности, представленные фиброзом.
Лечение. Лапаротомия необходима для установления диагноза и выявления других опухолей брюшной полости. Процесс с широким вовлечением брыжейки этот метод идентифицирует лучше, чем биопсия. Поскольку такими же проявлениями обладают новообразования мезентериальных лимфатических узлов, то при проведении биопсии должны быть взяты несколько проб из. различных зон. Воспалительный процесс относится к самоограничивающимся и редко вызывает какие-либо серьезные осложнения.
Панникулит Пфейфера—Вебера—Крисчена , или рецидивирующий лихорадочный негнойный панникулит,— локализованное заболевание соединительной ткани. Этот процесс, так называемый идиопатический панникулит, следует отличать от ряда вторичных панникулитов с известной причиной. К ним можно отнести: панникулит как вторичную реакцию жировой ткани, развивающуюся вокруг воспалительных очагов, опухолей, атером, дермоидных кист; постинъекционные панникулиты; травматические панникулиты; интоксикационные панникулиты; инфекционные панникули-ты; паннпкулит, развивающийся у молодых женщин под воздействием холода, физических и химических агентов.
В патогенезе болезни основную роль играет свособразное врожденное или приобретенное предрасположение жировой ткани к гранулематозной или воспалительной реакции с образованием ретикулярно-лимфоцитарных инфильтратов, некрозом жировых клеток и развитием фиброзной ткани. При остром течении процесса наблюдается инфильтрация нейтрофильными гранулоцитами.
Гистологически различают три фазы: воспаление, некроз и фиброз жировой ткани.
Заболевание чаще развивается у женщин.
Клиника панникулита характеризуется развитием различных по величине, консистенции и количеству узловатых уплотнений в подкожной основе, на местах воздействия различных повреждающих факторов (термических, химических и др.).
Местные проявления и общие симптомы зависят от формы панникулита. При рецидивирующем лихорадочном ненагнаивающемся панникулите узлы локализуются на конечностях и туловище, реже — на лице, волосистой части головы, грудных железах. В отличие от узловатой эритемы, чаще располагающейся на голенях, при панникулите узлы образуются на бедрах. Обычно появляется несколько узлов, затем количество их возрастает и может достичь нескольких десятков.
Вначале узлы имеют плотную консистенцию, позднее становятся мягче. По периферии узлов могут развиваться уплотнения в форме склеротического инфильтрата. Узлы легко смещаются от прилежащих тканей, но обычно плотно спаяны с кожей. Кожа в местах поражения сохраняет нормальный цвет или становится бледно-розовой с синюшным оттенком. Достигнув размеров крупной горошины или лесного ореха, узлы больше не увеличиваются, но могут сливаться в сплошной инфильтрат величиной до ладони и крупнее. Иногда отмечается разной интенсивности болезненность узлов.
Обычно в течение нескольких недель или одного-двух месяцев, реже в более длительные сроки узлы рассасываются, оставляя атрофические изменения в виде небольшого блюдцеобразного западения кожи, слегка пигментированного или, наоборот, депигментированного. В редких случаях узел вскрывается и выделяется маслянистая жидкость, при этом образуется изъязвление, плохо заживающее.
Иногда в области очагов откладываются соли кальция и развивается кальциноз подкожной основы.
Для панникулита характерен рецидивирующий приступообразный характер течения с повторными обострениями через несколько месяцев, реже — лет. Рецидивы сопровождаются повышением температуры с ознобом, общей слабостью, тошнотой, болью в суставах и мышцах. Продолжительность лихорадочного периода различна. Заболевание длится много лет.
Наряду с поражением жировой ткани кожи панникулит может распространяться и на другие органы и ткани, содержащие жировую ткань (забрюшинное и околопочечное жировое тело, сальник), что свидетельствует о системном характере процесса. Значительно реже ограниченные некрозы локализуются в печени, поджелудочной железе, развивается плеврит, перитонит, перикардит.
На основании локализации процессов различают подкожную, мезентериальную и системную формы панникулита. При тяжелом течении панникулита возможен летальный исход.
Клинически в острый период отмечаются изменения внутренних органов, тахикардия, ослабление сердечных тонов, увеличение печени и селезенки. В крови может наблюдаться умеренная анемия, лейкопения с эозинофилией и небольшое увеличение СОЭ.
КТ при брыжеечном панникулите
а) Терминология:
1. Синонимы:
• Стягивающий мезентерит, фиброзирующзий мезентерит, брыжеечный панникулит, липодистрофия брыжейки, липосклеротический мезентерит, системный узелковый панникулит, ксантогранулематозный мезентерит
2. Определение:
• Идиопатическое воспалительное и фиброзирующее заболевание неизвестной этиологии
б) Визуализация:
1. Общая характеристика:
• Лучший диагностический критерий:
о «Мутная» брыжейка с наличием псевдокапсулы по периферии, заметно бросающихся в глаза групп брыжеечных лимфатических узлов, а также «гало» вокруг лимфатических узлов и сосудов, образованное не измененной жировой клетчаткой
• Локализация:
о Чаще всего: корень брыжейки тощей кишки:
- В 90% вовлекается брыжейка тонкой кишки, преимущественно слева от средней линии (брыжейка тощей кишки)
о Не так часто: ободочная кишка (поперечная или ректосигмо-идный отдел)
о Редко: перипанкреатические и забрюшинные ткани, сальник
• Ключевые моменты:
о Редкий доброкачественный воспалительный процесс в жировой клетчатке брыжейки
о Гистологическая классификация, основанная на преобладании той или иной ткани в образовании, включает в себя три типа (стадии):
- Брыжеечный панникулит: острый воспалительный процесс ± некроз жировой клетчатки > фиброз
- Брыжеечная липодистрофия: жировой некроз > воспаление или фиброз
- Стягивающий мезентерит: фиброз/ретракция > воспаление или жировой некроз
о Стягивающий мезентерит:
- Возникает в финале хронической стадии с отложением коллагена, жировым некрозом, фиброзом и ретракцией тканей
о Часто сочетается с другими идиопатическими воспалительными заболеваниями (больше одного заболевания может присутствовать одновременно)
о Может сочетаться с злокачественными опухолями (лимфома; рак молочной железы, легкого, ободочной кишки; меланома)

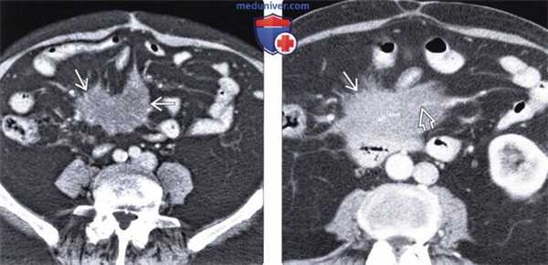
(Слева) На аксиальной КТ у пациента с болевой симптоматикой и лихорадкой определяется инфильтрация брыжейки тощей кишки, отграниченная псевдокапсулой. Визуализируются также множественные хорошо заметные брыжеечные лимфатические узлы с жировым «гало». При ПЭТ не было выявлено гиперфиксации радиофармпрепарата, симптомы регрессировали после назначения стероидной терапии.
(Справа) При аксиальной нативной КТ у пациента с длительно существующим болевым синдромом выявлена инфильтрация брыжейки тощей кишки с псевдокапсулой. Брыжеечные сосуды сдавлены, но без признаков обструкции. Все эти изменения являются проявлением и склерозирующего мезентерита.
2. КТ при склерозирующем мезентерите:
• Острый мезентерит (панникулит брыжейки и липодистрофия):
о Часто определяется помутнение брыжейки: увеличение плотности брыжейки с изменением структуры и уплотнением жировой клетчатки
- Неспецифическая находка, которая может наблюдаться и в результате других причин
- Обычно изменения локализуются в верхнем наружном квадранте брыжейки
- Часто наблюдается отдельно лежащее «объемное образование» жировой плотности с преобладанием мягкотканного компонента по мере прогрессирования заболевания
о Тонкая (меньше 3 мм) псевдокапсула вокруг воспаленного участка брюшины (симптом туморозной псевдокапсулы)
о Группа брыжеечных лимфоузлов (редко больше 1 см) в «мутной» брыжейке:
- Брыжеечные сосуды и лимфоузлы имеют «гало», обусловленное наличием жира (симптом «жирового кольца» или «жирового гало»)
• Хроническая стадия (стягивающий мезентерит):
о В результате хронического фиброза возникает соединительнотканное объемное образование с десмопластической реакцией:
- Объемное образование имеет «звездчатый» вид с кальцинатами в структуре (а также в прилежащих лимфатических узлах):
Редко в нем может выявляться кистозный или некротический компонент
- Сдавливание брыжеечных и коллатеральных сосудов с сужением просвета/окклюзией портально-брыжеечных вен:
Могут определяться коллатеральные сосуды или сосуды с повышенным кровенаполнением
Отек стенки тонкой кишки и полнокровие слизистой оболочки в результате лимфатической/венозной обструкции и ишемии
- Сдавливание петель кишечника может привести к его обструкции
4. МРТ при склерозирующем мезентерите:
• Различная интенсивность сигнала в зависимости от выраженности воспалительного процесса, жирового некроза, обызвествления и фиброза
• Острый мезентерит (панникулит и липодистрофия):
о Т1 ВИ: сигнал смешанной интенсивности
о Т2 ВИ: сигнал смешанной интенсивности (обычно слегка гиперинтенсивный)
• Хроническая стадия (стягивающий мезентерит): выраженные изменения в виде фиброза:
о Т1 ВИ: снижение интенсивности сигнала
о Т2 ВИ: очень низкая интенсивность сигнала
5. Радионуклидная диагностика:
• При мезентерите обычно не наблюдается захвата ФДГ (в отличие от злокачественных опухолей), хотя и существуют множественные наблюдения, утверждающие обратное
6. Рентгенография:
• Рентгеноскопическое исследование с барием:
о Дилятация, стойкое сужение просвета, сдавливание тощей кишки с утолщением складок и сужением просвета в далеко зашедших случаях

(Слева) На аксиальной КТ с контрастным усилением определяется объемное образование брыжейки инфильтративного характера, вовлекающее брыжеечные сосуды. Обратите внимание на застойные изменения брыжеечных вен. Все это признаки склерозирующего мезентерита.
(Справа) На аксиальной КТ с контрастом у пожилой женщины с болевой симптоматикой и диареей определяется мягкотканное объемное образование в основании брыжейки тонкой кишки, окружающее и сдавливающее брыжеечные сосуды. После биопсии был подтвержден диагноз фиброзирующего мезентерита.
в) Дифференциальная диагностика склерозирующего мезентерита:
1. Забрюшинная и брыжеечная лимфома:
• Лимфома на ранних стадиях выглядит так же, как и мезентерит: помутнение брыжейки, легкое увеличение лимфоузлов и симптом «жирового гало» (редко)
• Увеличенные отдельно лежащие или сливные лимфатические узлы в далеко зашедших случаях заболевания
о Крайне редко обызвествления в лимфатических узлах являются первичными, обычно они возникают после лечения лимфомы
• Изменения после лечения по поводу лимфомы брыжейки могут быть идентичны таковым при мезентерите (с наличием стойкого помутнения брыжейки)
• Утрата «жирового гало» и внебрыжеечная лимфаденопатия свидетельствуют в пользу лимфомы
2. Карциноид:
• Может проявляться так же, как и стягивающий мезентерит, наличием обызвествленного объемного образования в брыжейке, десмоплатической реакцией, окклюзией сосудов, обструкцией кишечника
• Типично поражение брыжейки в правом нижнем квадранте
• Возможна ассоциация с первичной гиперваскулярной опухолью (локализованной обычно в подвздошной кишке) и метастазами в печени
3. Отек брыжейки:
• Пропитывание брыжейки жидкостью и увеличение плотности брыжеечного жира, что может симулировать острый мезентерит
• Помутнение брыжейки может наблюдаться при множестве других состояний, в т.ч. циррозе, сердечной недостаточности, тромбозе воротной или брыжеечной вен, васкулитах, остром панкреатите и иных воспалительных заболеваниях
4. Десмоидная опухоль (фиброматоз):
• Доброкачественная пролиферация соединительной ткани с типичными проявлениями в виде дискретного солидного объемного образования (одинакового по плотности с мышцами)
• Смещает, но не сдавливает брыжеечные сосуды
• Ассоциирована с синдромом Гарднера или оперативным вмешательством
5. Канцероматоз (метастазы по брюшине):
• Доминирующий метастаз в левом верхнем квадранте брюшины может симулировать стягивающий мезентерит
• Другие метастазы могут обнаруживаются в любом ином месте, например в сальнике, печени, селезенке, кишечнике
• Канцероматоз чаще сопровождается асцитом
6. Липосаркома:
• Объемное образование с различным соотношением мягкотканного и жирового компонентов (в зависимости от степени дифференцировки опухоли), с наличием выраженной капсулы
• Для липосаркомы более характерно объемное воздействие на прилежащие структуры, чем при мезентерите
7. Первичная органная злокачественная опухоль:
• Когда воспаленная брыжейка вплотную прилежит к внутреннему органу (например, кишке или поджелудочной железе), она может выглядеть очень похоже на первичную злокачественную опухоль
• Может напоминать рак поджелудочной железы при локализации воспалительного процесса возле или непосредственно в паренхиме поджелудочной железы

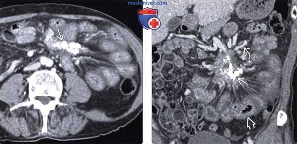
(Слева) На аксиальной КТ с контрастным усилением визуализируется кальцинированное объемное образование в левом верхнем квадранте брыжейки, стягивающее петли кишечника.
(Справа) На корональной КТ с контрастом у этого же пациента определяется обызвествленное объемное образование. Обратите внимание на венозные коллатерали, сформировавшиеся в результате обструкции верхней брыжеечной вены, а также диффузное утолщение стенки тонкой кишки из-за обструкции венозных/лимфатических сосудов. В данном случае изменения обусловлены гистологически подтвержденным стягивающим мезентеритом.
г) Патология. Общая характеристика:
• Этиология:
о Точные причины возникновения заболевания остаются неизвестными
о Имеются несколько различных теорий:
- Оперативное вмешательство на органах брюшной полости либо травма
- Возможна ассоциация с аутоиммунными заболеваниями, инфекциями и ишемическим инсультом
- Вероятный результат паранеопластического синдрома:
Злокачественные опухоли (например, лимфома) могут провоцировать развитие заболевания у 1-70% пациентов
о Сопутствующие патологические изменения:
- Получены данные о связи с различными идиопатическими или IgG4-обусловленными воспалительными и склерозирующими заболеваниями:
Забрюшинный фиброз, склерозирующий холангит, тиреоидит Риделя, псевдоопухоль глазницы, аутоиммунный панкреатит
д) Клинические особенности:
1. Проявления склерозирующего мезентерита:
• Наиболее частые признаки/симптомы:
о Часто является случайной находкой у пациентов без какой-либо симптоматики
о Боль в животе (самый частый симптом), лихорадка, тошнота, рвота, потеря веса, пальпируемое объемное образование
• Другие признаки/симптомы:
о Лабораторные данные: повышение СОЭ и наличие С-реактивного белка (оценка с целью контроля лечения)
о Диагностика: чаще всего предположительный диагноз в острой фазе основывается на данных методов визуализации и наличии признаков воспаления
- Для постановки диагноза в хронической стадии часто необходима чрезкожная или интраоперационная биопсия
2. Демография:
• Возраст:
о От 20 до 80 лет; средний возраст от 60 до 70 лет
о Очень редко у детей
• Эпидемиология:
о По данным клиники Мэйо (Mayo Clinic): около пяти случаев в год (подтвержденных при вскрытии)
о Судя по всему, лучше распознается при КТ (до 0,6% всех пациентов, которым была выполнена КТ органов брюшной полости)
3. Течение и прогноз:
• Особенности развития заболевания не изучены до конца из-за его редкости и отсутствия систематического наблюдения пациентов в большей части случаев:
о Неизвестна частота хронизации заболевания о У многих пациентов наблюдается стабилизация или медленное бессимптомное прогрессирование заболевания
• Осложнения наиболее вероятны при хроническом заболевании:
о Обструкция кишечника или органов мочевыделительной системы
о Ишемия вследствие окклюзии брыжеечных сосудов
о Обсуждаемый риск злокачественного перерождения
• Прогноз:
о Частичное или полное разрешение в некоторых случаях (в т.ч. спонтанное у некоторых пациентов)
о Типично наличие ответа на терапию
о Может привести к обструкции кишечника/ишемии и летальному исходу
4. Лечение склерозирующего мезентерита:
• Первичная иммуносупрессивная терапия:
о Тамоксифен и преднизон - препараты «первой линии»:
- Наиболее эффективны до появления фиброза
о Другие препараты: циклофосфамид, талидомид, колхицин, прогестерон
• Относительно небольшая роль в лечении отводится хирургии:
о Оперативное вмешательство в запущенных случаях является крайне затруднительным вследствие вовлечения сосудов
о Оперативное лечение может быть паллиативным (например, наложение обходного анастамоза при обструкции кишечника)
о Роль лучевой терапии дискутабельна
е) Диагностическая памятка. Следует учесть:
• Нужно различать склерозирующий мезентерит и иные часто встречающиеся состояния, проявляющиеся аналогично, например другие идиопатические воспалительные заболевания и злокачественные опухоли
ж) Список использованной литературы:
1. McLaughlin PD et al: The "misty mesentery": mesenteric panniculitis and its mimics. AJR Am J Roentgenol. 200(2):W1 16-23, 2013
КТ при помутнении брыжейки

Помутнение брыжейки у пациента, страдающего системной красной волчанкой.
(а-г) На аксиальной КТ в венозную фазу контрастирования визуализируется помутнение ограниченного участка брыжейки (стрелки) с наличием мелких лимфатических узлов (указатели).
Брыжейка и большой сальник являются двумя типичными складками брюшины, содержащими жировую ткань. Брыжейка тонкой кишки, поперечной ободочной и сигмовидной кишки представляет собой складку брюшины, прикрепляющуюся к поверхности кишечника, на которой «подвешены» и тонкая, и толстая кишка.
Брыжейка состоит из двух листков, содержит кровеносные и лимфатические сосуды, лимфоузлы, нервы и различное количество жировой и соединительной ткани. Большой сальник является складкой брюшины, которая имеет наибольший размер в брюшной полости. Он начинается от желудка и проксимальных отделов двенадцатиперстной кишки и протягивается в направлении передней верхней поверхности поперечной ободочной кишки.
В ежедневной клинической работе приходится встречаться с различными патологическими состояниями, при которых происходит поражение брыжейки и большого сальника.
Поскольку брыжейка и сальник в некоторой степени смещаемы и не имеют типичной, четко определенной формы, важно правильно определить и дать характеристику различным патологическим состояниям, затрагивающим брыжейку и большой сальник, чтобы гарантированно установить правильный диагноз и разработать как можно более эффективный план лечения.
В этой статье мы рассмотрим различные патологические состояния, затрагивающие брыжейку и большой сальник.
Помутнение брыжейки (Misty Mesentery), впервые описанное Mindelzun et al., в 1996 г., означает увеличение плотности брыжеечного жира, обнаруживаемое на КТ (Mindelzun et al., 1996).
Помутнение брыжейки может быть обусловлено различными состояниями, включая, отек, воспаление, кровоизлияние, брыжеечный панникулит, а также новообразования. Отек брыжейки может быть спровоцирован циррозом печени, тромбозом брыжеечных вен, либо системными изменениями, в т.ч. гипопротеинемией и сердечной недостаточностью. Помутнение брыжейки, обусловленное отеком, обычно является вторичным проявлением системного заболевания и часто сочетается с распространенными отеками подкожной клетчатки и асцитом.
Диффузный отек брыжейки часто возникает у пациентов, страдающих циррозом печени. У этих пациентов наиболее распространенным патогенетическим механизмом отека является повышение гидростатического давления в брыжеечных венах вследствие портальной гипертензии, что, следовательно, приводит к просачиванию жидкости в брыжейку.
Поскольку к помутнению брыжейки могут приводить и доброкачественные, и злокачественные заболевания, для дифференциальной диагностики необходим точный, применимый на практике подход.
Основываясь на отчетах предыдущих исследований, диффузное либо сегментарное поражение с наличием плохо очерченных краев с повышением плотности брыжейки часто наблюдается при доброкачественных заболеваниях на КТ, в то время как опухолеподобное поражение с наличием четко очерченных краев наблюдается при неопластических процессах; исключением здесь является брыжеечный панникулит. Кроме того, рентгенологи должны помнить, что обнаруженные изменения в сочетании с историей заболевания пациента способствуют более точному пониманию причин помутнения брыжейки.
Мезентериальный панникулит на УЗИ
По данным публикации в Португальском журнале гастроэнтерологии(Medical Ultrasonography) за сентябрь 2013 - Ultrasound aspect of mesenteric panniculitis. Case report. / Ультразвуковой аспект мезентериального панникулита. История болезни. - внешняя ссылка
Мезентериальный панникулит - это хроническое, неспецифическое и идиопатическое воспаление жировой ткани в брыжейке.
Он представляет собой фазу дегенерации жировой ткани на этом уровне, начиная с липодистрофии, заканчивая воспалением, ретракцией и фиброзом (обычно называемым ретрактильным мезентеритом). Макроскопически это может иметь три аспекта: утолщение и диффузная инфильтрация брыжейки (42% случаев), единичное брыжеечное образование (32% случаев) или множественные брыжеечные образования (26% случаев). До «эры визуализации» брыжеечный панникулит редко диагностировался. В настоящее время это заболевание часто выявляется случайно, как правило, при обследовании на предмет других заболеваний. Его причина остается неопределенной, аутоиммунный ответ на неизвестный источник и брыжеечная ишемия предполагаются в качестве возможных этиопатогенетических механизмов.
В данной публикации представлен случай 70-летней пациентки, у которой брыжеечный панникулит был случайно обнаружен при обычном УЗИ брюшной полости.
Пациентка 70 лет с документированной эссенциальной артериальной гипертензией, стеатозом печени, высоким уровнем триглицеридов, гиперпластическим полипом восходящей ободочной кишки, удаленным эндоскопически, была направлена на УЗИ брюшной полости с жалобами на диффузную, неуточненную, боль в животе.
На УЗИ брюшной полости было выявлено гипоэхогенное образоваине 50/40 мм в левом подреберье между петлями кишечника, с кровотоком при цветном допплеровском исследовании. УЗИ с контрастным усилением (CEUS, с использованем контраста Sonovue) выявило быстрое, неоднородное заполнение образования в течение артериального времени(фазы) без вымывания контрастного вещества в течение венозного времени(фазы). КТ показала наличие гипертрофированной жировой ткани на уровне брыжейки, немного более высокой плотности, пересекающие ее брыжеечные сосуды были окружены менее плотным периферическим ореолом (признаком жирового кольца), в то время как другие органы брюшной полости имели нормальный вид на КТ. Был заподозрен диагноз мезентериального панникулита.
Исследовательская лапаротомия была выполнена с целью получения биопсии образования для патоморфологического исследования. Во время операции на брыжеечном уровне было обнаружено несколько образований диаметром от 1 до 4 см. Три из них были вырезаны для биопсии.
При гистопатологическом исследовании выявлены признаки липоматоза, а также наличие стеато-некротических участков внутри образований. Микроскопическое исследование (окраска гематоксилин-эозином) показало наличие зрелых долек жировой ткани с участками стеато-некроза, инфильтрированных многочисленными ксантоматозными клетками, с которыми были связаны лимфоциты и плазматические клетки, расположенные в основном вокруг сосудов. В исследованных срезах были обнаружены два лимфатических узла. В исследованных образцах не было обнаружено липобластов или ядерных аномалий. Окончательный диагноз мезентериального панникулита был установлен. Послеоперационный период протекал без осложнений.
Мезентериальный панникулит - это редкое нарушение, характеризующееся псевдоопухолевым изменением брыжеечного жира из-за различной степени стеатонекроза, хронического воспаления и фиброза. Это заболевание чаще встречается у мужчин (2-3: 1) и чаще диагностируется после 50 лет. В основном поражается брыжейка тонкой кишки, в основном расположенная у ее корня, хотя могут быть также вовлечены сигмовидная кишка и сальник.
Хотя в 30-50% случаев заболевание остается бессимптомным, у пациентов могут быть боли в животе, пальпируемые в животе образования и кишечная непроходимость. Эволюция данного состояния в основном доброкачественная, чрезвычайно медленная, и связанна с увеличением массы тела. Однако у 20% пациентов брыжеечный(мезентериальный) панникулит связан с тяжелым течением и изнурительной хронической эволюцией. Прежде чем установить диагноз брыжеечного панникулита, следует исключить панкреатит и воспалительные заболевания кишечника.
Эхокартина при брыжеечном панникулите, как правило, невыраженная и часто упускаются из виду, диагноз может быть поставлен по изменению эхогенности брыжеечного жира и уменьшению сжимаемости брыжейки. Эти изменения неспецифичны и могут также обнаруживаться при других заболеваниях, связанных с брыжейкой, таких как липоматозные опухоли. При ЦДК может визуализироваться небольшие сосуды с линейной траекторией и разветвленным пространственным расположением. CEUS может показать васкуляризацию жирового образования в артериальное время, а также то, что в течение венозного времени (от 30 до 120 секунд) явления вымывания не происходит, что снимает подозрение на злокачественность. Обследование не всегда легко, так как это состояние встречается в основном у пациентов с избыточным весом.
Диагностической находкой при КТ при брыжеечном панникулите является повышенная плотность вторичная к воспалению брыжеечного жира (примерно от -40 до -60 HU) по сравнению с нормальными значениями плотности забрюшинного или подкожного жира (от -100 до -160 HU), и иногда наблюдается смещение кишечных петель и из-за масс-эффекта на соседние органы(*смещения органов образованием), а также специфический периферический гипоплотный ободок вокруг сосудов и лимфатических узлов в соответствующей области. Калибр и траектория сосудов неизменны, а лимфатические узлы менее 5 мм в диаметре. Присутствие брыжеечных лимфатических узлов размером более 10 мм не характерно для панникулита, и в таких случаях следует рассмотреть возможность аспирационной биопсии с тонкой иглой, чтобы исключить злокачественную опухоль. Наличие сверхплотного, прерывистого периферического кольца также является характерной особенностью.
Типичное расположение, картина, бессимптомная хроническая эволюция позволяют заподозрить диагноз мезентериального панникулита в большинстве случаев; Однако, прежде чем диагноз будет установлен, все другие причины "туманной брыжейки" должны быть тщательно исключенным.
В заключение, брыжеечный панникулит является доброкачественным состоянием, которое обычно требует минимального лечения. В некоторых случаях это может быть паранеопластическое состояние, хотя связь между брыжеечным панникулитом и злокачественным заболеванием до конца не понятна. Первоначальный диагноз - визуализация, а окончательный - патоморфологический, основанный на доказательствах вариабельной комбинации областей жировой дегенерации и некроза, неспецифической воспалительной инфильтрации, преимущественно лимфоцитарной, и фиброза. Ультразвуковое исследование имеет решающее значение в первичной идентификации образования. ЦДК и CEUS свидетельствуют о наличии кровообращения, доброкачественного характера. Дифференциальный диагноз должен учитывать самые частые брыжеечные опухоли (лимфома, лимфосаркома, десмоидальные опухоли).
Мезентериальный панникулит.
Читайте также:
