Лечение атипической гиперплазии эндометрия (АГЭ)
Добавил пользователь Евгений Кузнецов Обновлено: 03.12.2025
Гиперплазия эндометрия (или гиперпластические процессы миометрия, ГПЭ) – патологическая диффузная или очаговая пролиферация (утолщение) железистого и стромального компонентов слизистой оболочки матки с преимущественным поражением железистых структур.
Название протокола: "Гиперплазия эндометрия"
Код протокола:
Код(ы) МКБ-10:
N85.0 Железистая гиперплазия эндометрия
N85.1 Аденоматозная гиперплазия эндометрия
Сокращения, используемые в протоколе:
ВОЗ – всемирная организация здравоохранения
ГПЭ – гиперпластические процессы эндометрия
ГЭ - гиперплазия эндометрия
ГнРГ-гонадотропинрилизинг гормон
ЗГТ- заместительная гормональная терапия
КОК – комбинированные оральные контрацептивы
МРТ-магнито-резонансная терапия
МЦ- менструальный цикл
УЗИ – ультразвуковое исследование
ЭМК-эндометриально-маточный коэффициент
Дата разработки протокола: апрель 2013 года.
Категория пациентов: гинекологические больные.
Пользователи протокола: врачи акушеры-гинекологи, врачи ВОП, фельдшера, акушерки ПМСП,онкогинекологи.

Автоматизация клиники: быстро и недорого!
- Подключено 300 клиник из 4 стран
- 800 RUB / 4500 KZT / 27 BYN - 1 рабочее место в месяц

Автоматизация клиники: быстро и недорого!
- Подключено 300 клиник из 4 стран
- 1 место - 800 RUB / 4500 KZT / 27 BYN в месяц
Мне интересно! Свяжитесь со мной

13-15 октября, Алматы, "Атакент"
600 брендов, более 150 компаний-участников из 20 стран.
Новинки рынка стоматологии. Цены от производителей
Классификация
Клиническая классификация
Согласно классификации ВОЗ 1994 г. всего выделяют четыре гистологические группы, или четыре варианта гиперплазии эндометрия:
1. Простая гиперплазия эндометрия без атипии – наиболее часто встречающийся вариант гиперплазии.Для нее характерно повышенное количество железистых и стромальных элементов без структурной перестройки эндометрия,обнаруживаемое в результате гистологических исследований. В литературе эквивалентом простой типичной гиперплазии являются понятия “железистая” и “железисто - кистозная гиперплазия эндометрия”.
2. Сложная гиперплазия эндометрия без атипии предполагает изменение расположения желез, изменение их формы и размера, уменьшение выраженности стромального компонента, т.е.наличие структурных изменений ткани при отсутствии клеточной атипии. Этот вариант соответствует нерезко выраженнойаденоматозной гиперплазии.
3. Простая атипическая гиперплазия эндометрия встречается достаточно редко. Ее отличительным признаком является наличие атипии клеток желез. При этом структурные измененияжелез, имеющих причудливую форму (на косых срезах напоминая картину “железа в железе”) отсутствуют, а эпителий демонстрирует повышенную митотическую активность.
4. Сложная атипическая гиперплазия эндометрия характеризуется выраженной пролиферацией железистого компонента,сочетающейся с явлениями атипии как на тканевом, так и на клеточном уровне, но еще без инвазии базальной мембраны железистых структур. Железистый эпителий многорядный, с признаками полиморфизма. Цитоплазма эпителиальных клеток увеличена в размерах,эозинофильна; ядра клеток увеличены,бледные. Отчетливо идентифицируются глыбки хроматина и крупные ядрышки. Увеличена митотическая активность, возрастаетчисло и спектр патологических митозов. Этот вариант изменений эндометрия соответствует резко выраженной аденоматозной гиперплазии.
Диагностика
МЕТОДЫ, ПОДХОДЫ И ПРОЦЕДУРЫ ДИАГНОСТИКИ И ЛЕЧЕНИЯ
Перечень основных и дополнительных диагностических мероприятий:
Основные
- жалобы и анамнез;
- специальное гинекологическое исследование (осмотр наружных половых органов, шейки матки на зеркалах, бимануальное исследование);
- трансвагинальное УЗИ;
- гистероскопия;
- гистологическое исследование
Дополнительные: цитологическое исследование аспирата из полости матки
Минимальный перечень обследования для плановой госпитализации
Согласно инструкции по обследованию больных на плановое хирургическое лечение
Диагностические критерии
Жалобы и анамнез: маточные кровотечения, чаще ациклические, контактные кровяные выделения, реже меноррагии. Анамнез: первичное бесплодие у больных репродуктивного возраста, невынашивание.
Физикальное обследование: на зеркалах и вагинальное исследование.
Лабораторные исследования: гистологическое исследование соскоба эндометрия, цитологическое исследование аспирата из полости матки.
Гистологическое исследование соскобов слизистой матки – окончательный метод диагностики гиперплазии эндометрия!
Цитологическое исследование аспирата из полости матки используют при динамическом наблюдении за эффективностью гормональной терапии и как скрининговый метод при диспансерном обследовании.
Инструментальные исследования: вагинальное УЗИ, гистероскопия, раздельное диагностическое выскабливание слизистой матки, аспирационная биопсия эндометрия.
Трансвагинальное УЗИ – скрининговый высокоинформативный метод диагностики патологии половых органов.При УЗИ оценивают характер М-эхо: в период менопаузы не должно превышать 4-5 мм по толщине, быть равномерным, структура его однородна. У менструирующих М-эхо интерпретируют с учетом фазы менструального цикла. Оптимальный срок для исследования на 5-7 день цикла (1 день менструации = 1 день цикла). Тонкое однородное М-эхо соответствует полному отторжению функциональному слою эндометрия, тогда как локальное или равномерное увеличение толщины М-эха следует расценивать как патологию. Для гиперплазии эндометрия патогномоничными УЗ признаками являются ровный контур М-эха, увеличение передне-заднего размера свыше возрастной нормы, негомогенная структура М-эха, либо повышенная эхоплотность, наличие эхонегативных включений
Гистероскопия - проводится перед выскабливанием слизистой матки для верификации характера патологии, ее локализации, после него с целью контроля за тщательностью проведенной операции.
Гистероскопическая картина гиперплазии эндометрия бывает различной и зависит от характера гиперплазии (обычная или полиповидная), распространенности (очаговая или диффузная), наличия кровотечения и его длительности.
При обычной гиперплазии и отсутствии кровяных выделений эндометрий утолщен в виде складок различной высоты, бледно-розового цвета, отечный, просматривается большое количество протоков желез (прозрачные точки). Если гистероскопию проводят при наличии длительных кровяных выделений, чаще в дне матки и в области устьев маточных труб определяют бахромчатые обрывки эндометрия бледно-розового цвета, на остальном протяжении эндометрий тонкий бледный. Эндометрий на описанной гистероскопической картине трудно отдифференцировать от эндометрия в фазе ранней пролиферации.
При полиповидной форме гиперплазии эндометрия поверхность эндометрия выглядит неровной в идее ямок, кист, бороздок, имеет полиповидную форму, бледно-розовый цвет. Величина полипов от 0,1х0,3 до 0,5-1,5 см.
Атипическая гиперплазия эндометрия и очаговыйаденоматоз не имеет характерных эндоскопических критериев, и их гистероскопическая картина напоминает обычную железисто-кистозную гиперплазию. При тяжелой форме атипической гиперплазии могут определять железистые полиповидные тусклые разрастания желтоватого или сероватого цвета.
Показания для консультации специалистов:
- консультации специалистов эндокринолога, невропатолога, терапевта: у пациенток репродуктивного периода зависит от обнаруженных изменений; у пациенток пери- и постменопаузального возраста для выбора терапии углубленное обследование для обнаружения сопутствующих заболеваний (биохимическое исследование крови, сахар крови, контроль АД, УЗИ брюшной полости и др.);
- консультация онколога после гистологической верификации диагноза при простой атипической или сложной (комплексной) атипической гиперплазии.
Дифференциальный диагноз
| № | Патология | Клиника | УЗИ | Гистероскопия | Гистология соскоба эндометрия |
| 1. | Аденомиоз | тазовые боли менометроррагия, возможно бесплодие | признаки аденомиоза | признаки аденомиоза | не специфична |
| 2. | Миома матки | менометроррагия, иногда тазовые боли | миоматозные узлы | возможно миоматозные узлы | Не специфична |
| 3. | Рак эндометрия | менометроррагия | М – эхо более 16 мм, в менопаузе М-эхо более 5 мм | картина неспецифична | Рак эндометрия |
| 4 | Прерывающаяся беремен ность | Метроррагия, задержка менструаций, боли | Неоднородное содержимоеполости матки | Хорион, части плодного яйца | беременность |
Лечение
Цели лечения
Цель лечения гиперплазии эндометрия – профилактика рака эндометрия и купирование клинических проявлений патологических изменений эндометрия (менометроррагии у пациенток репродуктивного и перименопаузального возраста).
Тактика лечения
Немедикаментозное лечение: не существует
Медикаментозное лечение
Гормональная терапия:
1. Комбинированные соединения – эстроген-гестагенные препараты, содержащие прогестины 3 поколения, характеризующиеся более низкой частотой побочных реакций андрогенного типа и не вызывающие метаболических эффектов (этинилэстрадиолгестоден, этинилэстрадиолдиеногест, этинилэстрадиолдроспиренон).
2. Прогестагены - производные прогестерона, не дающие андрогенного эффекта и значительно реже приводящие к развитию метаболических расстройств (левоноргестрел, гидроксипрогестерон, медроксипрогестерона ацетат, норэтистерон, дидрогестерон).
3. Агонисты РнРГ(гозерелин, бусерелин, бусерелин спрей назальный, трипторелин).
Гормональное лечение пациенток в репродуктивном возрасте
Гормональное лечение гиперплазии эндометрия без атипии в репродуктивном возрасте
| Препарат | Суточная доза | Режим введения | Длительность лечения |
| Норэтистерон | 5–10 мг | С 16-го по 25-й день цикла | 6 мес |
| Дидрогестерон | 10 мг | С 16-го по 25-й день цикла | 3–6 мес |
| Гидроксипрогестерон | 250 мг | Внутримышечно 14-й и 21-й дни цикла | 3–6 мес |
| Медроксипрогестерона ацетат | 200 мг | 14-й и 21-й дни цикла | 3–6 мес |
| КОК | 1 таблетка | По контрацептивной схеме | 3–6 мес |
При простой гиперплазии – ежемесячное использование медроксипрогетерона ацетата в дозе 10-20 мг курсами 10-14 дней3-6 месяцев с последующим контрольным исследованием эндометрия. В случае отсутствия эффекта от терапии прогестинами назначают в более высокихдозахв непрерывном режиме по схемам, применяющимся для лечения атипической гиперплазии эндометрия.
Женщинам репродуктивного возраста, нуждающимся в контрацепции наиболее целесообразно применять гормонсодержащую ВМК (левоноргестрел).
Гормональное лечение пациенток периода пре- и перименопаузы
Гормональное лечение гиперплазии эндометрия без атипии и полипов эндометрия в периоде пре- и перименопаузы
| Препарат | Доза | Режим введения | Длительность лечения |
| Норэтистерон | 10 мг в сутки | С 5-го по 25-й день, возможно с 16-го по 25-й день цикла | 6 мес |
| Гидроксипрогестерон | 250 мг внутримышечно | 14-й и 21-й дни цикла или 2 раза в неделю | 6 мес |
| Медроксипрогестерона ацетат | 200 мг | 1 раз в неделю | 6 мес |
| Бусерелинспрей назальный | 0,9 мг в сутки | 3 раза в день | 6 мес |
| Гозерелинтрипторелинбусерелин | 3,6 мг подкожно | 1 раз в 28 дней | 3–4 инъекции |
Примечание: контроль эффективности: УЗИ через 3,6,12 месяцев, аспирационная биопсия через 3 месяца, контрольная гистероскопия с раздельным диагностическим выскабливанием через 6 месяцев.
Гормональное лечение пациенток в постменопаузе
При впервые обнаруженной гиперплазии эндометрия без атипии у женщин в постменопаузе и при тяжёлой соматической патологии возможно назначение гормональной терапии пролонгированными гестагенами (гидроксипрогестерон, медроксипрогестерона ацетат) в непрерывном режиме на 8–12 мес. или агонистами ГнРГ (бусерелин) в течение 6–8 мес параллельно с гепатопротекторами, антикоагулянтами, антиагрегантами. Контроль эффективности: УЗИ через 3,6,12 месяцев, аспирационная биопсия через 3 месяца, контрольная гистероскопия с раздельным диагностическим выскабливанием через 6 месяцев.
Гормональное лечение атипической гиперплазии эндометрия у пациенток репродуктивного возраста
| Препарат | Доза | Ритм введения | Длительность лечения |
| Гидроксипрогестерон, медроксипрогестерона ацетат | 500 мг внутримышечно | 2 мес: 3 раза в неделю; 2 мес: 2 раза в неделю; 2 мес: 1 раз в неделю | 6 мес |
| Бусерелин назальный спрей | 0,9 мг в сутки | 3 раза в день | 6 мес |
| Гозерелин, трипторелин, бусерелин | 3,6 мг подкожно | 1 раз в 28 дней | 3 инъекции |
Контроль эффективности: УЗИ через 1, 3, 6, 12 мес. Раздельное диагностическое выскабливание под контролем гистероскопии через 2 и 6 мес. Диспансерное наблюдение: не менее 1 года стойкой нормализации менструального цикла.
Гормональное лечение атипической гиперплазии эндометрия у пациенток в периоде пре- и перименопаузы
| Препарат | Доза | Ритм введения | Длительность лечения |
| Гидроксипрогестерон | 500 мгвнутримышечно | 2 раза в неделю | 6–9 мес |
| Медроксипрогестерона ацетат | 400–600 мг внутримышечно | 1 раз в неделю | 6–9 мес |
Контроль эффективности: УЗИ через 3, 6, 12 мес. Аспирационная биопсия эндометрия через 2–3 мес.
Другие виды лечения: нет.
Хирургическое лечение
1. Маточное кровотечение.
2. Рецидив гиперплазии эндометрия у пациенток позднего репродуктивного периода, реализовавших репродуктивную функцию.
3. Сочетание гиперплазии эндометрия с выраженным аденомиозом или миомой матки с центрипетальным ростом.
4. Абсолютные или относительные противопоказания к гормональной терапии у пациенток перименопаузального периода.
5. Рецидив гиперплазии эндометрия в постменопаузе.
6. Гиперплазия эндометрия с атипией у женщин периода пре- и постменопаузы.
7. Повторное возникновение атипической гиперплазии или аденоматозных полипов эндометрия несмотря на адекватную гормональную терапию
Для остановки маточного кровотечения - раздельное диагностическое выскабливание слизистой оболочки матки под контролем гистероскопии.
При рецидиве гиперплазии эндометрия у пациенток позднего репродуктивного периода, реализовавших репродуктивную функцию показанааблация эндометрия – баллонная, электрохирургическая, лазерная.
При сочетании гиперплазии эндометрия с выраженным аденомиозом или миомой матки с центрипетальным ростом - гистерэктомия.
При рецидиве гиперплазии эндометрия в постменопаузе – экстирпация матки с придатками.
При гиперплазии эндометрия с атипией у женщин периода пре- и постменопаузы – экстирпация матки, вопрос об удалении яичников решается индивидуально.
При повторном возникновении атипической гиперплазии или аденоматозных полипов эндометрия несмотря на адекватную гормональную терапию - пангистерэктомия
Профилактические мероприятия
Доказательной базы по факторам риска развития гиперплазии эндометрия не существует.
Дальнейшее ведение:
- диспансерное наблюдение пациенток репродуктивного возраста: не менее 1 года стойкой нормализации менструального цикла
- диспансерное наблюдение пациенток в периоде пре- и перименопаузы: не менее 1 года стойкой нормализации менструального цикла или стойкой постменопаузы
- диспансерное наблюдение пациенток в периоде постменопаузы:не менее 1 года.
Индикаторы эффективности лечения и безопасности методов диагностики и лечения, описанных в протоколе:
- отсутствие осложнений после диагностического выскабливания слизистой матки, аблации эндометрия, гистерэктомии;
- отсутствие рака эндометрия в группах женщин с гиперплазией эндометрия
Атипическая гиперплазия эндометрия
Атипическая гиперплазия эндометрия – это патологическое разрастание внутреннего слоя матки с появлением атипических клеток. Провоцируется избытком эстрогенов и недостатком прогестерона. Рассматривается, как предраковое заболевание. Может развиваться в любом возрасте, однако чаще выявляется после 45 лет. Сопровождается нарушениями менструального цикла и маточными кровотечениями (меноррагиями, метроррагиями). Диагноз устанавливается на основании жалоб, анамнеза и данных дополнительных исследований. Лечение – гормонотерапия, выскабливание или абляция слизистой оболочки.
МКБ-10



Общие сведения
Атипическая гиперплазия эндометрия – усиленная пролиферация эндометрия, сопровождающаяся изменением морфологии клеток. Данные о распространенности отсутствуют. Патология чаще выявляется у женщин в возрасте 45-55 лет. Длительная повторяющаяся гиперплазия в период климакса и менопаузы рассматривается как предраковое заболевание. Вероятность злокачественного перерождения в зависимости от формы болезни колеблется от 8 до 29%. Атипическая гиперплазия эндометрия нередко сочетается с другими заболеваниями репродуктивной системы. Тактика лечения определяется в зависимости от возраста больной, ее желания иметь детей, наличия или отсутствия сопутствующей генитальной и экстрагенитальной патологии. Лечение осуществляют специалисты в области клинической гинекологии и онкологии.

Причины
Развитие данного заболевания обусловлено увеличением уровня эстрогенов, уменьшением уровня прогестерона и наличием или отсутствием овуляции. Эстрогены и прогестерон участвуют в регуляции циклических изменений эндометрия. В первой фазе менструального цикла эстрогены обеспечивают пролиферацию клеток. Во второй фазе прогестерон подавляет пролиферацию и стимулирует секрецию. При отсутствии овуляции, относительной или абсолютной гиперэстрогенемии фаза секреции либо не наступает, либо проявляется недостаточно ярко. Клетки функционального слоя эндометрия продолжают разрастаться, возникает гиперплазия.
Факторы риска
Предрасполагающими факторами развития атипической гиперплазии эндометрия являются:
- возрастные изменения уровня половых гормонов;
- раннее начало менструаций;
- позднее начало климакса;
- заболевания и состояния, сопровождающиеся ановуляцией и нарушением функции яичников (синдром поликистозных яичников, гормонпродуцирующие опухоли яичников);
- соматические патологии: ожирение, гипертоническая болезнь, сахарный диабет и другие болезни эндокринной системы;
- воспалительные заболевания и врожденные аномалии репродуктивной системы;
- множественные аборты и диагностические выскабливания;
- наследственная предрасположенность;
- прием эстрогенсодержащих препаратов и тамоксифена.

Патогенез
Атипическая гиперплазия эндометрия характеризуется патологическим разрастанием функционального слоя слизистой оболочки матки, при этом железистая ткань эпителия подвергается более выраженным изменениям по сравнению с элементами стромы. В процессе гистологического исследования выявляется увеличение количества желез и отек стромы. Железы располагаются близко друг к другу. Сосуды расположены неравномерно. Клетки эпителия с гиперхромными ядрами. Определяются многочисленные патологические митозы.
В зависимости от особенностей расположения железистых клеток различают две формы атипической гиперплазии эндометрия: простую и аденоматозную. При простой форме наблюдается увеличение количества и избыточное разрастание клеток без изменения структуры слизистой оболочки. При аденоматозной форме из железистых клеток формируются особые структуры, отсутствующие в эндометрии здоровой матки. Эти структуры могут быть расположены на всем протяжении эндометрия (диффузная форма) или образовывать отдельные очаги (очаговая форма). Кроме того, участки аденоматозной гиперплазии могут обнаруживаться в области полипов матки.
Симптомы
Основным симптомом данного заболевания являются маточные кровотечения. У большинства пациенток такие кровотечения возникают на фоне задержки менструации сроком на 1-3 месяца. Реже (как правило, при отсутствии ожирения и явной эндокринной патологии) наблюдаются регулярные циклы при продолжительности меноррагии более 7 дней. Примерно у четверти больных с атипической гиперплазией эндометрия выявляются ановуляторные маточные кровотечения. В 5-10% случаев диагностируются метроррагии. Возможны скудные кровянистые выделения в середине менструального цикла либо при отсутствии менструаций.
Диагноз устанавливают на основании жалоб, данных анамнеза и результатов инструментальных исследований. В ходе опроса гинеколог выясняет возраст менархе, устанавливает длительность цикла, продолжительность и обильность менструаций, уточняет, были ли задержки цикла и кровянистые выделения. Затем врач осуществляет гинекологический осмотр и назначает на трансвагинальное УЗИ для оценки состояния эндометрия (его структуры, толщины, однородности) и выявления патологических изменений яичников (признаков опухоли, кисты или СПЯ).
Точность диагностики гиперпластических процессов при проведении УЗИ составляет 60-70%, однако подтвердить или опровергнуть атипию эндометрия с помощью ультразвукового исследования обычно не удается. Больную направляют на УЗИ на 5-7 день цикла. При длительных кровотечениях УЗИ назначают вне зависимости от фазы цикла. В норме в детородном возрасте толщина слизистой оболочки матки составляет не более 7 мм, при постменопаузе длительностью менее 5 лет – не более 5 мм, при постменопаузе длительностью более 5 лет – не более 4 мм. Увеличение толщины, неоднородность структуры и наличие эхогенных включений позволяют заподозрить гиперплазию эндометрия.
В ряде случаев после УЗИ осуществляют аспирационную биопсию с последующим гистологическим или цитологическим исследованием аспирата. Эта процедура относится к категории скрининг-тестов и выполняется в амбулаторных условиях. Однако золотым стандартом диагностики атипической гиперплазии эндометрия является гистероскопия и раздельное диагностическое выскабливание. Информативность исследования составляет более 90%.
При подозрении на СПЯ и метаболический синдром назначают анализы крови для определения уровня прогестерона, тестостерона, эстрадиола, ЛГ, ФСГ, гормонов надпочечников и щитовидной железы. Выполняют маммографию. При частых рецидивах проводят лапароскопию с биопсией или клиновидной резекцией яичников и последующим гистологическим исследованием материала.
Атипическую гиперплазию эндометрия дифференцируют с другими заболеваниями, провоцирующими маточные кровотечения:
- аденомиозом;
- полипозом;
- подслизистой фибромой матки;
- злокачественными опухолями слизистой оболочки матки (аденокарциномой, раком тела матки).

Лечение атипической гиперплазии эндометрия
Лечение данной патологии может быть как консервативным, так и оперативным, проводиться амбулаторно или в условиях стационара. Показанием к плановой госпитализации в репродуктивном возрасте являются кровотечения и кровянистые выделения, в постменопаузе – кровотечения, продолжительные водянистые или гнойные выделения. Экстренная госпитализация показана при обильных кровотечениях. Тактика лечения атипической гиперплазии эндометрия определяется с учетом возраста больной, ее желания иметь детей, наличия соматических заболеваний и болезней репродуктивной системы (особенно – аденомиоза или миомы), формы атипической гиперплазии эндометрия и количества рецидивов.
- Остановка кровотечения. При наличии метроррагии или меноррагии на первом этапе проводят мероприятия по остановке кровотечения и восполнению кровопотери. Выполняют выскабливание эндометрия, назначают окситоцин и холод на низ живота. Применяют препараты железа. При необходимости переливают кровь и кровезаменители. Осуществляют инфузионную терапию с использованием изотонического раствора, раствора глюкозы, желатиноля или декстрана для восстановления водно-электролитного баланса и улучшения реологических свойств крови.
- Фармакотерапия. Больным с атипической гиперплазией эндометрия в течение 3-6 месяцев проводят гормональную терапию, направленную на подавление пролиферации слизистой оболочки. В последующем назначают гормональные препараты для восстановления двухфазного менструального цикла или достижения стойкой менопаузы. Гормонотерапию осуществляют на фоне приема витаминов, гипосенсибилизирующих препаратов и гепатопротекторов.
- Хирургическое лечение. В качестве показаний к оперативному лечению рассматривают все случаи атипической гиперплазии эндометрия в постклимактерическом периоде, а также наличие противопоказаний к гормональной терапии, отсутствие эффекта от консервативной терапии и рецидивы заболевания у женщин репродуктивного возраста. Выполняют абаляцию эндометрия – малоинвазивное хирургическое вмешательство, целью которого является разрушение или удаление всей толщи слизистой оболочки. Операцию проводят гистероскопически с использованием высокочастотных токов.
Диспансерное наблюдение после консервативного лечения осуществляют в течение 5 лет, после хирургического вмешательства – в течение 6 месяцев.
Прогноз
Прогноз при атипической гиперплазии эндометрия зависит от возраста, склонности болезни к рецидивированию, наличия сопутствующей генитальной и экстрагенитальной патологии. Возможно полное выздоровление с сохранением репродуктивной функции, выздоровление с утратой репродуктивной функции или перерождение в злокачественную опухоль эндометрия. В последнем случае потребуется гистерэктомия или пангистерэктомия (удаление матки совместно с аднексэктомией). Прогностически неблагоприятными считаются сочетания атипической гиперплазии эндометрия с любыми обменными нарушениями и заболеваниями эндокринной системы, особенно – в возрасте старше 45 лет. Риск злокачественного перерождения при простой форме заболевания составляет 8%, при аденоматозной – 29%.
2. Лечение атипической гиперплазии эндометрия/ Е.Г. Новикова, О.В. Чулкова, С.М. Пронин// Практическая онкология. - 2004 - Т.5, №1.
3. Атипическая гиперплазия эндометрия (диагностика, клиника и лечение)/ Пушкарев В.А., Кулавский Е.В., Хуснутдинов Ш.М., Мустафина Г.Т.// Креативная хирургия и онкология. - 2010.
Железистая гиперплазия эндометрия
Железистая гиперплазия эндометрия – избыточное разрастание железистой ткани эндометрия, характеризующееся его утолщением и увеличением объема. Железистая гиперплазия эндометрия проявляется обильными менструациями, дисфункциональными ановуляторными кровотечениями, анемией, бесплодием. Для определения гиперпластической трансформации эндометрия проводится УЗИ, гистероскопия, Эхо-ГСГ, биопсия эндометрия, гормональные исследования. Лечение железистой гиперплазии эндометрия включает выскабливание полости матки, гормонотерапию, при необходимости – резекцию или абляцию эндометрия.
В основе железистой гиперплазии эндометрия лежат чрезмерно активные пролиферативные процессы в железистой ткани матки. Основной опасностью гиперпластических изменений эндометрия служит возможность их прогрессирования и злокачественной трансформации. Поэтому важность диагностики и лечения железистой гиперплазии эндометрия диктуется актуальностью сохранения репродуктивного потенциала женщины и профилактики рака эндометрия. Диагноз железистой гиперплазии может быть поставлен только по результатам гистологического исследования образцов эндометрия.
Причины развития железистой гиперплазии эндометрия
Гиперпластическая трансформация эндометрия может возникать у женщин любого возраста при наличии факторов риска, но чаще встречается в переходные периоды, связанные с гормональными изменениями в организме (у подростков и пациенток пременопаузального возраста).
Фоновыми генитальными процессами, сопутствующими развитию железистой гиперплазии эндометрия, являются миома матки, синдром поликистозных яичников, эндометриоз, эндометриты. Развитию железистой гиперплазии эндометрия нередко предшествуют гинекологические операции, диагностические выскабливания эндометрия, аборты. Факторами риска гиперпластических процессов матки служит отсутствие в анамнезе у женщины родов, отказ от использования гормональной контрацепции, искусственное прерывание беременности, поздняя менопауза.
К экстрагенитальным сопутствующим заболеваниям относятся сахарный диабет, мастопатия, гипертония, ожирение, заболевания щитовидной железы, печени и надпочечников. Ведущим моментом возникновения железистой гиперплазии эндометрия служит гиперэстрогения или длительное воздействие эстрогенов при снижении сдерживающего влияния прогестерона.
Классификация гиперплазии эндометрия
По гистологическому варианту выделяют несколько видов гиперплазии эндометрия: железистую, железисто-кистозную, атипическую (аденоматоз) и очаговую (полипы эндометрия). Железистая гиперплазия эндометрия характеризуется исчезновением разделения эндометрия на функциональный и базальный слои. Граница между миометрием и эндометрием выражена четко, отмечается увеличенное количество желез, но их расположение неравномерно, а форма неодинакова. При железисто-кистозной форме гиперплазии часть желез приобретает кистозно-измененный вид.
Для аденоматоза (атипической гиперплазии) свойственны структурная перестройка и более интенсивная пролиферация элементов по сравнению с железистой гиперплазией эндометрия, полиморфизм ядер, уменьшение числа стромальных элементов. При локальной гиперплазии отмечается разрастание железистого и покровного эпителия вместе с подлежащими тканями, ведущее к образованию эндометриальных полипов (железистых, фиброзных, железисто-фиброзных).
Наибольшую онконастороженность в гинекологии вызывают атипическая и полипозная гиперплазия, которые расцениваются как предраковое состояние. Угроза перехода аденоматоза в рак эндометрия составляет около 10%. Железистая и железисто-кистозная гиперплазия эндометрия менее склонны к озлокачествлению. Такая вероятность возрастает при их рецидивирующем течении после выскабливания эндометрия и неадекватности гормонотерапии.
Симптомы железистой гиперплазии эндометрия
Характерным симптомом железистой гиперплазии эндометрия является расстройство менструальной функции, выражающееся патологическими маточными кровотечениями. Среди форм менструальной дисфункции встречаются меноррагии (циклические кровотечения, превышающие обычные месячные по кровопотере и длительности) и метроррагии (ациклические кровотечения различной продолжительности и обильности).
Кровотечения при железистой гиперплазии эндометрия возникают после незначительной задержки менструации или в межменструальный период. Для ювенильных кровотечений, возникающих при железистой гиперплазии эндометрия у подростков, характерен прорывной характер с выделением сгустков. Длительные и обильные кровотечения со временем способствуют развитию анемии, слабости, недомогания, головокружения. Ановуляторный цикл, отмечающийся при железистой гиперплазии эндометрия, сопровождается бесплодием.
Диагностика железистой гиперплазии эндометрия
Поскольку проявления железистой гиперплазии эндометрия не являются специфичными только для данной патологии, вопросы полноценной и точной диагностики приобретают особую важность. При изучении анамнеза гинеколог расспрашивает о наследственности, особенностях течения менструального цикла, состоянии детородной функции, используемых методах контрацепции, перенесенных общих и гинекологических заболеваниях.
Кроме общего гинекологического осмотра, диагностика железистой гиперплазии эндометрия включает трансвагинальное УЗИ, в процессе которого определяется толщина эндометрия, наличие полипозных разрастаний. При помощи УЗИ-скрининга выявляется контингент женщин, нуждающихся в гистологическом подтверждении диагноза железистой гиперплазии эндометрия с помощью проведения аспирационной биопсии эндометрия либо раздельного диагностического выскабливания.
Диагностическое выскабливание выполняется накануне ожидаемой менструации или сразу после ее начала под контролем гистероскопии. Гистероскопия обеспечивает проведение адекватного кюретажа и полное удаление патологически измененного эндометрия. Соскобы эндометрия подвергаются гистологическому исследованию, позволяющему определить тип гиперплазии и установить морфологический диагноз. При железистой гиперплазии эндометрия информативность диагностической гистероскопии составляет 94,5%, тогда как трансвагинального УЗИ - 68,6%.
При железистой гиперплазии эндометрия у пациентки исследуются уровень прогестерона и эстрогенов, при необходимости – гормоны надпочечников и щитовидной железы. Вспомогательную диагностическую роль играют гистерография или радиоизотопное сканирование. Дифференциальную диагностику при кровотечениях, вызванных железистой гиперплазией эндометрия, проводят с внематочной беременностью, трофобластической болезнью, полипами или эрозией шейки матки, раком тела матки, миомой матки.
Лечение железистой гиперплазии эндометрия
Процедура раздельного диагностического выскабливания полости матки служит первым этапом лечения железистой гиперплазии эндометрия. В дальнейшем с учетом результатов гистологии подбирается схема гормонотерапии, направленная на подавление дальнейшей пролиферации эндометрия и устранение гормонального дисбаланса.
При железистой форме гиперплазии эндометрия могут назначаться КОК (Ярина, Жанин, Регулон), гестагены (Утрожестан, Дюфастон) на 3-6 месяцев. С успехом в лечении железистой гиперплазии эндометрия применяется гестагенсодержащая внутриматочная система «Мирена», оказывающая местное лечебное воздействие на эндометрий. Использование агонистов гонадотропин рилизинг-гормона (аГнРГ) эффективно у женщин старше 35 лет и перименопаузального периода. Данные препараты вызывают временное обратимое состояние искусственного климакса и аменореи.
Параллельно с гормональным лечением проводится витаминотерапия, коррекция анемии, иглорефлексотерапия, физиотерапия (электрофорез). Контрольное УЗИ в процессе терапии выполняется через три и шесть месяцев лечения; повторная биопсия эндометрия – по окончании курса. В целях стимуляции овуляторного цикла в дальнейшем применяются стимуляторы овуляции.
В случае рецидива железистой гиперплазии эндометрия на фоне гормонотерапии у пациенток, заинтересованных в деторождении, могут выполняться абляция или резекция эндометрия с помощью лазерных и электрохирургических методики под гистероскопическим контролем. При железистой гиперплазии эндометрии, осложненной эндометриозом, миомой матки, а также в период климакса методом выбора может являться удаление матки: надвлагалищная ампутация, гистерэктомия или пангистерэктомия.
Профилактика железистой гиперплазии эндометрия
После завершения курса лечения железистой гиперплазии эндометрия особую значимость приобретает вопрос предупреждения ее рецидива и рака эндометрия. В этих целях рекомендуется регулярные осмотры гинеколога, консультация гинеколога-эндокринолога и подбор контрацепции, профессиональная подготовка и ведение беременности у пациенток. От самой женщины, своевременности ее обращения к специалисту и выполнения предписаний врача, в значительной мере зависит прогноз железистой гиперплазии эндометрия.
Лечение атипической гиперплазии эндометрия (АГЭ)
На выбор метода лечения атипической гиперплазии эндометрия (АГЭ) существенное влияние оказывают возраст пациентки, желание сохранить фертильность, необходимость контрацепции, сопутствующие заболевания и личные пожелания женщины.
Гистерэктомия показана при наличии сложной атипической гиперплазии эндометрия (АГЭ) и нежелании женщины иметь детей. Как правило, на момент выявления АГЭ у пациенток, не получающих лечение, уже имеется либо сопутствующий недиагностированный РЭ, либо прогрессия в рак. GOG выполнила проспективное клиническое исследование с целью изучить распространенность сопутствующего рака эндометрия (РЭ) и сформировать более четкие диагностические критерии АГЭ и РЭ.
Участвовало 306 женщин, которым на основании данных биопсии эндометрия был поставлен диагноз атипической гиперплазии эндометрия (АГЭ) и без назначения консервативной терапии проведено хирургическое лечение в объеме гистерэктомии. У 43 % пациенток обнаружен инвазивный РЭ; у некоторых из них опухоли характеризовались высокой степенью злокачественности с глубокой инвазией в миометрий. При этом в 63 % (77/123) случаев рак был высокодифференцированным (G1) с поражением только эндометрия, в 31 % — наблюдалась инвазия, причем в 11 % случаев глубокая, до наружной половины толщины миометрия.
Возможно, в будущем утверждение новой системы оценки эндометриальной интраэпителиальной неоплазии, освоение методов визуализации ядра клетки или открытие нового молекулярного маркера позволят более точно прогнозировать поведение неопластических поражений и наличие сопутствующего рака на диагностическом этапе, до выполнения гистерэктомии.
Сложность хирургического лечения атипической гиперплазии эндометрия (АГЭ) недооценивается. В связи с трудностями диагностики и разным уровнем подготовки как патологоанатомов, так и гинекологов тактика принятия решения в ходе операции, а именно определение объема вмешательства на основании результатов срочного гистологического исследования, никогда не была идеальной. Поэтому следует ожидать, что в большом количестве подобных случаев рак будет диагностирован уже после операции.

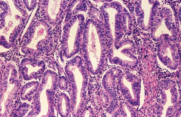
а - простая атипическая гиперплазия.
Редко диагностируемая форма гиперплазии, при которой железистый компонент преобладает над стромальным за счет простых желез, выстланных эпителием с атипичными ядрами.
Окраска гематоксилином и эозином, х40
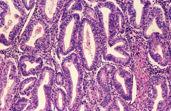
б - сложная атипическая гиперплазия.
Значительное преобладание железистого компонента над стромальным, железы имеют сложное строение, клетки эпителия с атипией ядер.
Окраска гематоксилином и эозином, х20.
Рекомендуется проинформировать больную о наличии 20—45% риска сопутствующего рака и о том, что для постановки окончательного диагноза требуется гистерэктомия. В зависимости от возраста, семейного анамнеза, а также других сопутствующих заболеваний пациентке следует рекомендовать сохранить или удалить яичники.
Можно ограничиться выполнением влагалищной гистерэктомии, но в некоторых случаях показана гистерэктомия с лапароскопической ассистенцией и двусторонней аднексэктомией, а также цитологическим исследованием перитонеальных смывов. При выявлении высокодифференцирован-ного рака или глубокой инвазии в миометрий может возникнуть необходимость в повторной операции для точного определения хирургической стадии заболевания и удаления сохраненных яичников.
Стадию заболевания можно установить лапароскопически, если перед этим не было лапаротомии. Такая необходимость возникает примерно у 10 % пациенток с выявленным раком. Выполнение всем больным с гиперплазией «стадирующеи» лапаротомии с интраоперационным срочным гистологическим исследованием и определением глубины инвазии в миометрий сопровождается повышением финансовых затрат и большим количеством диагностических ошибок. Следует отметить, что в настоящее время лучевые методы исследования органов таза не способны заменить точное и тщательное хирургическое стадирование РЭ. Поэтому для принятия сложных решений при неожиданном обнаружении рака в операционном материале после гистерэктомии целесообразна консультация с онкологом-гинекологом.
Для женщин, желающих сохранить репродуктивную функцию, отказавшихся от гистерэктомии или имеющих сопутствующие заболевания, представляющие относительные противопоказания для гистерэктомии, наиболее предпочтительна гормональная терапия. Препаратом выбора, даже в случаях сложной АГЭ, может быть мегестрол 160 мг/сут, назначаемый в несколько приемов. Остается неясным, должно ли лечение быть непрерывным или цикличным, но теоретически преимущество последнего обусловлено обновлением эндометрия за счет кровотечений, вызванных отменой прогестерона.
Необходимо каждые 3 мес. на протяжении как минимум 1 года проводить повторные гистологические исследования материала, полученного при биопсии эндометрия или выскабливании матки в амбулаторных условиях. Следует обратить внимание пациентки на необходимость гормональной профилактики РЭ на протяжении всей жизни. По мнению патоморфологов, исследование образца эндометрия более эффективно при отсутствии экзогенного гормонального воздействия. По этой причине целесообразно отменить прогестерон за 7—14 дней до исследования, чтобы связанное с отменой препарата кровотечение произошло до биопсии эндометрия. Биопсию или раздельное диагностическое выскабливание следует планировать после прекращения «кровотечения отмены».

В 2004 г. Ramirez сообщил о случаях успешной беременности после лечения прогестинами по поводу высокодифференцированного (G1) РЭ. На протяжении 6 мес. терапию получала 81 больная (средний возраст 30 лет). У 47 пациенток изменения были обратимыми, при этом у 20 женщин наступила беременность. Половине пациенток потребовались вспомогательные репродуктивные технологии.
Изданный Американской коллегией акушеров и гинекологов (ACOG) бюллетень для практикующих врачей по РЭ включает следующую общую рекомендацию: женщинам с АГЭ и РЭ, желающим сохранить способность к деторождению, можно назначать терапию прогестинами. В ходе терапии необходимо провести несколько полноценных вну-триматочных исследований приблизительно с 3-месячным интервалом для подтверждения ответа па лечение. Для женщин, которые не желают сохранить детородную функцию, следует рекомендовать гистерэктомию.
Обнадеживают результаты местной терапии эндометрия с использованием прогестинсодержащих внутриматочных контрацептивов. Wildemeersch сообщил о 12 пациентках с гиперплазией эндометрия в возрасте 46—67 лет. У 7 из них изменения эндометрия были расценены как простая гиперплазия без атипии, у 5 — диагностирована АГЭ. У всех женщин через 12 мес. после лечения гиперплазия эндометрия отсутствовала. Montz и соавт. подтвердили эффективность лечения высокодифференцированной аденокарциномы эндометрия посредством применения внутриматочных прогестинсекретирующих средств.
В этой работе 13 пациенткам с высокодифференцированной эндометриальной аденокарциномой во время гистероскопии удалили все очаги гиперплазированной ткани и установили внутриматочные системы. Биопсию эндометрия выполняли каждые 3 мес, при этом через 6 мес. у 6 из 12 больных рак не обнаружен. В общей сложности 12-месячная терапия была полностью проведена 8 пациенткам, у 6 из которых на момент обследования РЭ отсутствовал. Эти 6 женщин продолжили назначенную терапию, им ежегодно выполняли биопсию эндометрия.
В заключение следует отметить, что лечение атипической гиперплазии эндометрия (АГЭ) — комплексное, требующее учета возможности развития инвазивного РЭ, сопутствующих заболеваний, операционного риска, а также желания женщины иметь детей. Идеальным вариантом остается влагалищная гистерэктомия с двусторонней аднексэктомией и лапароскопической ассистенцией. При обнаружении в матке аденокарциномы необходима консультация онкогинеколога для определения дальнейшей тактики, а именно наблюдения или выполнения повторной операции с целью установить хирургическую стадию заболевания.

Редактор: Искандер Милевски. Дата обновления публикации: 18.3.2021
Классификация гиперплазии эндометрия и их критерии
В настоящее время на основании предложенной в 1994 г. классификации Международного общества гинекологов-патологов (ISGYP), Международной федерации акушеров и гинекологов (FIGO) и Всемирной организации здравоохранения (WHO, ВОЗ) выделяют четыре вида гиперплазии эндометрия в зависимости от гистологического строения и цитологических характеристик. В зависимости от структурных изменений желез и железистого эпителия различают простую и сложную гиперплазию, а в зависимости от цитологических характеристик — с наличием или отсутствием атипии.
В связи с этим выделяют четыре разных диагноза: простая гиперплазия без атипии, сложная гиперплазия без атипии, простая атипическая гиперплазия, сложная атипическая гиперплазия.
От терминов «аденоматозная» и «железисто-кистозная гиперплазия» решено отказаться. Поэтому встречающаяся аббревиатура АГЭ относится к атипической гиперплазии эндометрия и объединяет два ее варианта: простая и сложная АГЭ, с атипией клеток эпителия маточных желез. Наличие атипии — это самый важный критерий последующей прогрессии в аденокарциному или одновременного наличия эндометриальной аденокарциномы. По имеющимся данным, сосуществование эндометриальной аденокарциномы и АГЭ отмечается не менее чем в 13 % и не более чем в 43 % случаев.
Классификация гиперплазии эндометрия:
- Простая гиперплазия
- Сложная гиперплазия (аденоматозная)
- Простая атипическая гиперплазия
- Сложная атипическая гиперплазия (аденоматозная с атипией)

а - простая гиперплазия без атипии: эндометрий утолщен за счет железистого эпителия, что вызвано воздействием только эстрогенов, без прогестерона.
Железы характеризуются неравномерными, зачастую непредсказуемыми, очертаниями.
Строма обильная, поэтому соотношение железистая/стромальная ткань мало отличается от нормального.
Окраска гематоксилином и эозином, х10
б - сложная гиперплазия без атипии: соотношение железистая/стромальная ткань увеличено, при этом железы расположены тесно, имеют сложное строение, просветы часто неправильной формы.
Атипия ядер выражена незначительно. Окраска гематоксилином и эозином, х20
Диагностика этих поражений обычно основана на гистологическом исследовании небольшого биоптата эндометрия, полученного в амбулаторных условиях с помощью специального гибкого стерильного пластикового устройства Pipelle. Онкогинекологическая исследовательская группа (GOG) выполнила проспективное исследование воспроизводимости результатов диагностики простой и атипической гиперплазии эндометрия. В исследование были включены женщины с диагностированной АГЭ в одном из 285 институтов GOG, которые дали согласие на выполнение гистерэктомии в течение ближайших 12 нед. Выборка данного исследования включала 302 соответствующих критериям включения женщины, медиана возраста составила 57 лет, при этом 31 % пациенток были моложе 50 лет.
Все микропрепараты эндометрия были пересмотрены 3 независимыми экспертами-патоморфологами-гинекологами в условиях слепого метода. Они согласились использовать следующие обозначения состояния эндометрия: нормальный (эндометрий стадии пролиферации, секреции, атрофичный, менструальный), неатипическая гиперплазия (беспорядочная пролиферация, простая или сложная гиперплазия), атипическая (простая или сложная) гиперплазия, аденокарцинома или неудовлетворительный для оценки биоптат. Для постановки диагноза требовалось, чтобы 2 из 3 экспертов выбрали один и тот же из пяти возможных диагнозов.
Правильный диагноз выставлялся на основании консенсуса специалистов после независимого гистологического исследования послеоперационного материала. Все 3 специалиста пришли к единому заключению в 40 % случаев. Воспроизводимость была наименьшей для диагноза АГЭ (к = 0,28), в отношении аде-нокарциномы показатель был лучше (к = 0,51). При раздельном выскабливании слизистой оболочки матки воспроизводимость была лучше (к = 0,47; доверительный интервал [ДИ] 0,41—0,53), чем при биопсии (к = 0,26—0,36). 2 из 3 экспертов согласились с установленным ранее диагнозом АГЭ в 38 % случаев. У 25 % пациенток согласительная комиссия изменила диагноз на менее тяжелый, при этом аденокарцинома была диагностирована в 29 % случаев. Наиболее важным результатом данной работы GOG стало доказательство того факта, что у 43 % пациенток во время выполнения гистерэктомии была аденокарцинома эндометрия.
Другим серьезным итогом можно считать определение истинного процента аденокарцином в каждой группе больных с установленным до операции диагнозом: в группе нормального эндометрия и гиперплазии без атипии — 14/74 (18,9 %), в группе АГЭ — 45/115 (39,1 %) и в группе аденокарциномы — 54/84 (64,3 %). В 43 случаях исследование матки выявило такие факторы риска метастазирования, как инвазию в миометрий, умеренно- (G2) и низкодифферснцированные (G3) опухоли.
Простая гиперплазия без признаков атипии, как правило, протекает доброкачественно. Наиболее часто она встречается в период пременопаузы, характеризующийся появлением ановуляторных циклов. Устранение гиперэстрогении или терапия прогестагенами определяют исход заболевания. Большинство патологических изменений (60 %) исчезает без лечения, а при терапии прогестинами эффект будет достигнут у 84 % больных. Считается, что только в 3 % случаев происходит трансформация простой гиперплазии в РЭ.

а - высокодифференцированная аденокарцинома эндометрия (G1): железы расположены тесно, строма между ними скудная.
Железы выстланы высокими цилиндрическими опухолевыми клетками.
Окраска гематоксилином и эозином, х20
б - низкодифференцированная аденокарцинома эндометрия (G3) характеризуется утратой железистой структуры практически во всей опухоли.
По форме клетки округлые полигональные, но не цилиндрические. При данной патологии часто наблюдается некроз клеток (вверху справа).
Окраска гематоксилином и эозином, х20.
Сложная гиперплазия при отсутствии атипии клеток эпителия маточных желез также регрессирует в большинстве (56 %) случаев. Для АГЭ характерна трансформация в раку 36 % больных, причем в 27 % случаев заболевание прогрессирует даже на фоне терапии прогестинами, но при этом остается неясным, не отражает ли последний показатель синхронно протекающий РЭ. Подсчитано, что в 55 % случаев на фоне терапии прогестинами АГЭ регрессирует. Наилучший препарат из группы прогестинов для лечения данной патологии все еще не установлен. Точно так же необходимо уточнить схему назначения (циклический режим или непрерывный) и продолжительность лечения.
Считается, что при невозможности устранения гиперэстрогении показана пожизненная терапия прогестинами. В качестве альтернативного метода возможна гистерэктомия с целью предотвратить развитие наиболее часто встречающейся эстрогензависимой эндометриальной аденокарциномы I типа. Этот тип эстроген-индуцированного рака эндометрия (РЭ) — наиболее распространенный и менее агрессивный; поэтому и профилактика, и лечение должны бытьуспешными.
Внедрение современных научных разработок, в т. ч. молекулярных методов исследования поражений эндометрия и объективной компьютеризованной морфометрии, обещает увеличить точность и воспроизводимость диагностики новообразований эндометрия. В 2003 г. ВОЗ была предложена новая классификация, в которой в качестве предракового состояния описывается эндометриальная ин-траэпителиальная неоплазия (ЭИН). Первые данные свидетельствуют о лучшей прогностической значимости ЭИН при определении риска малигни-зации, однако этот термин до сих пор не используют в клинике.
На фоне атрофии эндометрия развивается серозно-папиллярный РЭ, который этиологически не связан с гиперэстрогенией; его классифицируют как РЭ II типа или эстрогеннезависимый. Гиперплазия эндометрия не относится к предшественникам серозного рака. Наиболее вероятно, что его предшественником считается интраэпителиальный рак эндометрия. Серозный рак эндометрия (РЭ) может быть мультифокальным по происхождению и поражать яичники и сальник, без признаков инвазии в миометрий. Учитывая, что при обычной ревизии органов брюшной полости и таза во время лапарото-мии невозможно определить инвазивный рост опухоли, рекомендуется тщательное хирургическое стадирование заболевания.
Вероятность выявления серозно-папиллярного рака на ранних стадиях заболевания ниже, чем при других гистологических типах РЭ. После получения результата гистологического исследования и установления стадии заболевания определяют характер послеоперационной терапии. Серозный вариант новообразования зачастую обусловлен нарушением функции гена-супрессора опухолевого роста ТР53, что ведет к накоплению белка р53 в клетке. Иммуногистохимическое исследование с применением антител к белку р53 дает положительный результат в большинстве случаев серозных опухолей в отличие от нормального эпителия эндометрия или РЭ.

а - интраэпителиальный рак эндометрия (ИРЭ) - поражение, предшествующее серозному раку эндометрия, с выраженным атипическим уплотнением эпителия и незначительным нарушением архитектоники.
ИРЭ обычно наблюдается на поверхности доброкачественных полипов эндометрия.
Окраска гематоксилином и эозином, х20.
б - иммуногистохимическое окрашивание интраэпителиального рака эндометрия на р53.
Мутации ТР53, ведущие к повышенному накоплению белка р53, характерны для серозного рака эндометрия.
В нормальных клетках содержание неизмененного белка р53 ниже порогового уровня и результат анализа отрицательный.
Иммунопероксидазное окрашивание на р53 с хромогеном DAB, х20.
Читайте также:
- Макрососуды конъюнктивы (эписклеральные сторожевые сосуды): признаки, гистология, лечение, прогноз
- Сигнальные последовательности связывания белков с эндоплазматическим ретикулумом (ЭПР)
- Признаки травмы мышцы (мышечной травмы)
- Пальпация восходящей и нисходящей кишки. Свойства пальпируемых отделов кишечника
- Костный мозг. Функции костного мозга. Миеломоноцитопоэз.
