Лучевая диагностика аутосомно-доминантной поликистозной болезни почек
Добавил пользователь Евгений Кузнецов Обновлено: 28.11.2025
Поликистоз почек— врожденное заболевание, при котором в обеих почках появляются и постепенно увеличиваются кисты, что приводит к атрофии функционирующей паренхимы. Относится к наследственным аномалиям развития и часто встречается у членов одной семьи.
Патогенез
Детская форма поликистозной болезни (Поттер-I) наследуется как аутосомно-рецессивный признак и часто смертельно в первые месяцы жизни. Часто сочетается с аномалиями развития гепатобилиарной зоны (портальная гипертензия, первичный печеночный фиброз). Все симптомы хорошо выявляются при УЗИ. Неосложненное течение не является показанием для проведения МР-исследования.
Взрослая форма (Поттер-III) – аутосомно-доминантный признак, и вызывает прогрессирующую почечную недостаточность, которая начинается в возрасте около 30 лет. Она ассоциирована с кистами печени (30-60%), кистами поджелудочной железы (10%), селезенки (5%) и повышенной вероятностью образования артериально-венозных мальформаций и аневризм Виллизиева круга (15%). Тем не менее, вероятность обнаружения почечно-клеточного рака у этих пациентов не выше обычного. МРТ обычно назначается для определения причин гематурии и диагностики осложнений (кровоизлияние, воспаление).
Визуализация
УЗИ, Рентген, КТ, МРТ.
Клинические проявления
Основные симптомы заболевания: тупая боль в поясничной области, быстрая утомляемость, гематурия и артериальная гипертензия. Из других симптомов наблюдаются головные боли, общая слабость, ознобы, повышение температуры тела. Последние клинические симптомы обусловлены вовлечением поликистозных почек в воспалительный процесс, что встречается в 80- 85% случаев. К нему нередко присоединяется мочекаменная болезнь.
Лучевая диагностика
МРТ-семиотика
Детская форма (Поттер-I). Почки существенно увеличены, но сохраняют свою форму. Множественные кисты до 1-2 мм в диаметре и хорошо определимы при МР-урографии. При контрастном усилении демонстрируется слабая радиальная исчерченность почечной паренхимы, которая не имеет кортико-медуллярной дифференцировки. Задержка мочи в расширенных элементах чашелоханочных комплексов приводит к образованию конкрементов и нефрокальцинозу мозгового вещества, который визуализируются даже на обзорных рентгеновских снимках.
Взрослая форма (Поттер-III). Почки с возрастом (до 25-30 лет) постепенно увеличиваются и диффузно поражаются кистами различного размера (симптом Швейцарского сыра). Число и размер кист увеличивается в течение заболевания, вплоть до причудливой деформации почек, занимающих всю полость живота. Внутрикистозные кровоизлияния очень часты (до 70%), и проявляются участками измененной МР-структуры с неоднородным (хроническое кровоизлияние) или однородным (острое кровоизлияние) содержимым. Воспаление может приводить к утолщению и накоплению контрастного вещества стенкой пораженной кисты, реже в ней выявляется газ. Внутривенное контрастное усиление позволяет отличить оставшуюся паренхиму от элементов чашелоханочного комплекса, чашки и лоханка которого иногда существенно деформированы и смещены (симптом паутины).
На фоне такой разнородности изменений паренхимы почек могут быть легко пропущены злокачественные опухоли (почечно-клеточный рак, лимфома).
Дифференциальный диагноз
- множественные «случайные» кисты почек
- обычно намного меньше
- почка не увеличена
- кисты меньше и расположены в корковой зоне
- может быть односторонним
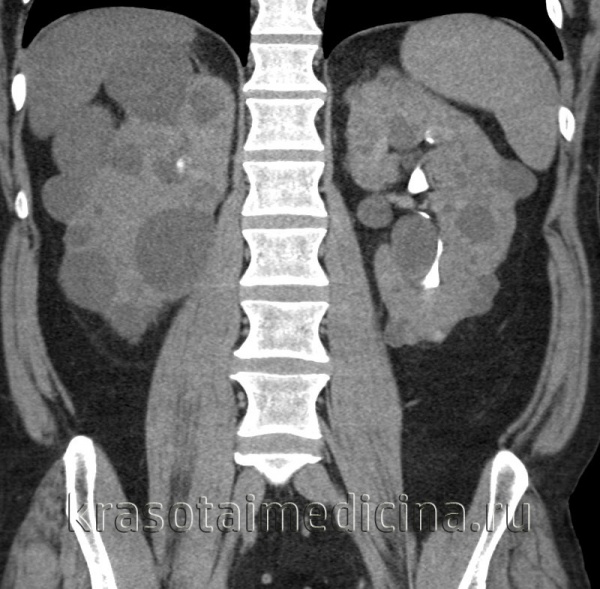
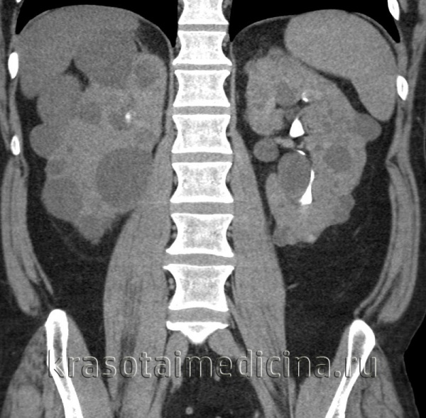
Рисунок 1,2, Т2-ВИ в корональной и аксиальной проекциях, поликистоз почек: в области обеих почек определяются множественные сгруппированные, гетерогенные по МР-сигналам дополнительные образования, с четкими, ровными контурами, в единичных с уровнем жидкости, а также с геморрагическим компонентом, неизмененная паренхима почек визуализируется в виде небольших участков.
Рисунок 3,4, Т2-ВИ в аксиальной проекциях, поликистоз почек: в области обеих почек определяются множественные сгруппированные кистозные образования, в области правой почки большим размером, вероятно с высокобелковым содержимым.
Рисунок 5,6, КТ-изображение в корональной проекции, поликистоз почек, кисты печени, поджелудочной железы.
Пример описания
Описательная часть: в обеих значительно увеличенных почках множественные объемные образования, частично сливающиеся между собой, размерами от …см, до … см. Образования имеют гипо-, изоинтенсивный МР-сигнал по Т1 и гиперинтенсивный МР-сигнал по Т2, что свидетельствует о присутствии в их составе неподвижной жидкости с различным содержанием белка.
ЗАКЛЮЧЕНИЕ: МР-картина характерна для мультифокального кистозного поражения паренхимы обеих почек и печени с возможным кровоизлиянием в полость отдельных кист.
Список использованной литературы и источников
1. Магнитно-резонансная томография в диагностике опухолей и других заболеваний почек: Атлас. – М.: Издательский дом Видар-М, 2003. – 288 с., ил.
Лучевая диагностика аутосомно-доминантной поликистозной болезни почек
Лучевая диагностика болезни Гиппеля-Линдау
а) Терминология:
• Болезнь Гиппеля-Линдауб) Определение:
• Наследственное аутосомно-доминантное заболевание, поражающее несколько органов и ассоциированное со множественными новообразованиямив) Визуализация:
1. Общая характеристика:
• Почечные проявления:
о Кисты почки (59-63%)
о ПКР (25-45%)
• Внепочечные проявления:
о Гемангиобластомы в центральной нервной системе (13-72%)
о Гемангиобластома сетчатки (45-59%)
о Опухольэндолимфатического мешка (2-11 %)
о Патологические изменения поджелудочной железы (17-56%)
о Феохромоцитомы (0-60%)2. КТ при болезни Гиппеля-Линдау:
• Кисты почки:
о Обычно двусторонние, множественные, разного размера
о Простые кисты: тонкостенные, не накапливающие контраст, с плотностью жидкостного образования
о Сложные кисты: неправильной формы, высокой плотности, разделены перегородками, не накапливают контраст
• ПКР:
о Обычно двусторонний и многоочаговый
о Солидное контрастируемое объемное образование или сложное кистозное объемное образование с интрамуральными узелками и/или перегородками3. МРТ при болезни Гиппеля-Линдау:
• Кисты почки:
о Простые кисты: повышение ИС на Т2-ВИ, понижение ИС на Т1 -ВИ, без контрастирования
о Сложные кисты: различная ИС на Т1-ВИ и Т2-ВИ
• ПКР:
о Солидное контрастируемое объемное образование, сложное кистозное объемное образование с интрамуральными узелками и/или перегородками4. УЗИ при болезни Гиппеля-Линдау:
• Кисты почки: обычно анэхогенные
• ПКР: различная эхогенность5. Рекомендации по визуализации:
• Лучший метод визуализации:
о КТ с контрастированием или МРТ с протоколом для объемного образования почки![КТ, МРТ при болезни Гиппеля-Линдау]()
(Слева) КТ с контрастированием, аксиальная проекция: у пациента с болезнью Гиппеля-Линдау выявлены двусторонние кисты почек и множественные сложные кистозные объемные образования с контрастируемыми узелками и перегородками, что позволяет предположить кистозный ПКР. Кисты почек и ПКР - распространенные висцеральные проявления болезни Гиппеля-Линдау.
(Справа) КТ с контрастированием, аксиальная проекция: у данного пациента визуализированы множественные кисты поджелудочной железы.г) Дифференциальная диагностика болезни Гиппеля-Линдау:
1. Киста почки:
• Может быть обнаружена в почке при ПКР без болезни Гиппеля-Линдау2. Поликистозная болезнь почек у взрослых:
• Увеличенные почки со множественными кистами3. Приобретенная кистозная болезнь почек от уремии:
• Множественные кисты в небольших атрофированных почках4. Медуллярная кистозная болезнь:
• Небольшие почки с кистами в мозговом веществед) Патология:
1. Общая характеристика:
• Генетика:
о Редкое аутосомно-доминантное заболевание с высокой пенетрантностью
о Мутация пена-супрессора опухолей VHL на хромосоме 3 (3р25—р26)2. Стадирование и классификация:
• Тип 1: отсутствие феохромоцитомы
• Тип 2: наличие феохромоцитомы![КТ, МРТ при болезни Гиппеля-Линдау]()
(Слева) КТ с контрастированием, аксиальная проекция: у пациента с болезнью Гиппеля-Линдау выявлены множественные двусторонние кисты почки и ПКР. Выявлено кистозное новообразование в головке поджелудочной железы. Поджелудочные проявления болезни Гиппеля-Линдау включают кисты, кистозные новообразования (микрокистозная аденома) и нейроэндокринные опухоли.
(Справа) МРТ, постконтрастное Т1-ВИ, аксиальная проекция: выявлены множественные контрастируемые патологические изменения мозжечка, что позволяет предположить гемангиобластомы.е) Клинические особенности:
1. Клиническая картина болезни Гиппеля-Линдау:
• Диагностические критерии:
о Более одной гемангиобластомы в центральной нервной системе или сетчатке
о Одна гемангиобластома и висцеральное проявление
о Отягощенный семейный анамнез и одно из вышеперечисленных проявлений2. Демография:
• Возраст:
о От младенческого возраста до 70 лет (средний возраст- 26 лет)
• Пол:
о Мужчины и женщины болеют одинаково часто
• Эпидемиология:
о Распространенность: 1:30000-1:500003. Течение и прогноз:
• Частые причины смертности:
о ПКР (причина 50% летальных исходов у пациентов с болезнью Гиппеля-Линдау)
о Неврологические осложнения4. Лечение болезни Гиппеля-Линдау:
• Скрининг ПКР:
о Визуализация (УЗИ или МРТ) каждый год после 16 лет
• Нефрон-сохраняющая операция при ПКРа) Терминология:
• Аутосомно-доминантная поликистозная болезнь почекб) Определение:
• Наследственная поликистозная болезнь почек, характеризующаяся прогрессирующим ростом кист и множественными клиническими проявлениями1. Общая характеристика:
• Лучший диагностический критерий:
о Увеличенные почки, замещенные множественными кистами
• Расположение:
о Двустороннее2. УЗИ при аутосомно-доминантной поликистозной болезни почек:
• Исследование в режиме серой шкалы:
о Увеличенные почки
о Множественные двусторонние кисты почек:
- Простые кисты: анэхогенные
- Сложные кисты: гиперэхогенное содержимое, толстые стенки, перегородки
• Диагностические критерии для людей группы риска, в семьях которых имеются случаи аутосомно-доминантной поликистозной болезни почек (Pei и др., 2009):
о 15-39 лет: три и более кист почек
о 40-59 лет: две и более кист в каждой почке
о Старше 60 лет: четыре и более кист в каждой почке3. КТ при аутосомно-доминантной поликистозной болезни почек:
• Множественные билатеральные кисты в увеличенных почках:
о Простые кисты:
- Водной плотности (0-20 HU), плохо различимые стенки, отсутствие контрастирования
о Осложненные кисты:
- Геморрагические кисты: гиперденсное содержимое (60-90 HU), возможны пристеночные кальцификаты
- Инфицированные кисты: толстая неравномерная стенка, возможно наличие газа и контрастирование стенки4. МРТ при аутосомно-доминантной поликистозной болезни почек:
• Множественные двусторонние кисты в увеличенных почках:
о У пациентов с риском возникновения аутосомно-доминантной поликистозной болезни почек обнаруживают более 10 кист почек
о Простые кисты: ИС повышается на Т2-ВИ и снижается на Т1-ВИ
о Осложненные кисты: ИС повышается на Т1-ВИ и варьирует на Т2-ВИ, обнаруживают пристеночное утолщение
о Отсутствие усиления на изображениях с контрастированием Гд5. Другие почечные признаки:
• При обструкции обнаруживают нефролитиаз и гидронефроз
• Кровоизлияние в околопочечную клетчатку при разрыве кисты6. Внепочечные проявления:
• Поликистозная болезнь печени:
о Более 20 кист и более 50% вовлеченной печеночной ткани
о Внугрипеченочные и перибилиарные кисты
о Гепатомегалия
• Кисты в поджелудочной железе, селезенке и семенных пузырьках
• Внутричерепная артериальная аневризма, аневризма аорты
• Пороки аортального и митрального клапанов
• Грыжи, дивертикул толстой кишки7. Рекомендации по визуализации:
• Лучший метод визуализации:
о УЗИ для скрининга и постановки диагноза
о КТ и МРТ для оценки осложнений и объема почки![КТ, МРТ, УЗИ при аутосомно-доминантной поликистозной болезни почек]()
(Слева) КТ без контрастирования, аксиальная проекция: поликистозное поражение почек и печени. В то время как большинство кист почки гиподенсные, периферические кисты левой почки - гиперденсные, сравнимые по плотности с геморрагическими кистами.
(Справа) КТ без контрастирования, аксиальная проекция: у пациента с аутосомно-доминантной поликистозной болезнью почек выявлены множественные простые кисты почек и сложные кисты с пристеночными кальцификатами.в) Дифференциальная диагностика аутосомно-доминантной поликистозной болезни почек:
1. Множественные простые кисты:
• Менее многочисленные, почки нормального размера и функционально не изменены2. Уремическая кистозная болезнь:
• Множественные кисты в атрофических почках; ХПН или диализ3. Болезнь фон Гиппеля-Линдау:
• Множественные почечные кисты, возможны ПКР а также другие внепочечные проявления (гемангиобластома центральной нервной системы, феохромоцитома, кисты поджелудочной железы)4. Медуллярная кистозная болезнь почек:
• Небольшие почки с гладкой поверхностью с кистами в мозговом веществе![КТ, МРТ, УЗИ при аутосомно-доминантной поликистозной болезни почек]()
(Слева) КТ с контрастированием у пациента с аутосомно-доминантной поликистозной болезнью почек, аксиальная проекция: множественные двусторонние простые кисты почек. Стенки кист плохо различимы, не накапливают контраст.
(Справа) УЗИ, продольная плоскость сканирования: у этого же пациента обнаружены множественные простые анэхогенные кисты в увеличенной правой почке. Для данного заболевания характерно прогрессирующее увеличение объема кист и почки.г) Патология:
1. Общая характеристика:
• Генетика:
о Аутосомно-доминантный тип наследования:
- Полная пенетрантность
- 5% случаев спонтанных мутаций
о Мутация гена PKD1:
- Короткое плечо хромосомы 16
- Ответственен за кодировку полицистина 1
о Мутация гена PKD2
• Сопутствующие аномалии:
о Поликистозная болезнь печени (более 80%)
о Грыжи брюшной стенки (45%)
о Клапанные пороки сердца (25%)
о Аневризмы церебральных сосудов (3-7%)
о Кисты в других органах (поджелудочная железа, семенные пузырьки)2. Стадирование, степени дифференцировки и классификация аутосомно-доминантной поликистозной болезни почек:
• Мутация гена PKD1:
о 85% случаев
о Более тяжелые проявления
о Ранние проявления (54 года)
• Мутация гена PKD2:
о 15% случаев
о Более мягкие и поздние проявления (74 года)
о Немногочисленные почечные кисты
о Схожая динамика роста почечных кист3. Макроскопические и хирургические признаки:
• Увеличенные почки (2-4 кг; норма - 150 г)
• Множественные кисты разных размеров в корковом и мозговом слоях
• Сдавленная почечная паренхима между кистами
• Фиброзные тяжи на последней стадии болезни4. Микроскопия:
• Кисты покрыты однослойным эпителием![КТ, МРТ, УЗИ при аутосомно-доминантной поликистозной болезни почек]()
(Слева) Т2-ВИ, режим подавления сигнала от жировой ткани, аксиальная проекция: у пациента с аутосомно-доминантной поликистозной болезнью почек и поликистозной болезнью печени выявлены множественные кисты левой почки и печени.
(Справа) УЗИ печени, поперечная плоскость сканирования: у того же пациента выявлены множественные простые анэхогенные кисты печени. Поликистозную болезнь печени часто выявляют у пациентов с аутосомно-доминантной поликистозной болезнью почек. Печень обычно увеличена. Кисты печени бывают внутрипеченочными и перибилиарными.д) Клинические особенности:
1. Клиническая картина аутосомно-доминантной поликистозной болезни почек:
• Наиболее частые лризнаки/симптомы:
о Бессимптомное течение, абдоминальная боль
о Гематурия, артериальная гипертензия, инфекция мочевого пузыря/пиелонефрит, нефролитиаз
• Другие признаки/симптомы:
о ХПН:
- Обычно проявляется на 5-6-м десятилетии жизни
- Снижение функции почек связано с объемом почек и темпом их роста3. Естественное течение и прогноз:
• Прогрессивное увеличение объема кист и почек:
о Увеличение объема почек на 5,3% ежегодно
• Осложнения:
о Инфицирование почечных кист
о Кровоизлияние, разрыв почечных кист
о Нефролитиаз
• В 50% случаев наблюдают переход в ХПН к 6-му десятилетию жизни:
о 5% всех случаев ХПН
о Наиболее частная причина смертности
о Функции почек связаны с объемом почек:
- Общий объем почки, скорректированный с ростом, более 600 см 3 /м - повышенный риск почечной недостаточности
• Повышенный риск возникновения ПКР отсутствует
• Прогноз:
о Благоприятный после трансплантации почки: аналогичная выживаемость, как у пациентов без аутосомно-доминантной поликистозной болезни почек4. Лечение аутосомно-доминантной поликистозной болезни почек:
• Скрининг:
о Генетическое исследование (идентифицируете 47-58% случаев)
о УЗИ
• Боль:
о Консервативная медикаментозная терапия
о Лапароскопическая декортикация кист, денервация почки
• Артериальная гипертензия:
о Ингибиторы ангиотензин-превращающего фермента
о Блокаторы рецепторов ангиотензина II
• ХПН:
о Диализ
о Трансплантация почкие) Диагностическая памятка:
1. Следует учесть:
• Скрининг пациентов с семейным анамнезом аутосомно-доминантной поликистозной болезни почек
2. Советы по интерпретации изображений:
• Увеличенные почки с множественными двусторонними кистами
• Возможны поликистозная болезнь печени, а также кисты в других органах (поджелудочная железа, селезенка)
• Возможны аневризмы церебральных сосудов и клапанные пороки сердцаВидео УЗИ при кисте почки - оценка, протокол исследования
Редактор: Искандер Милевски. Дата обновления публикации: 22.1.2020
Поликистоз почек ( Поликистозная болезнь почек )
Поликистоз почек – это врожденная двусторонняя кистозная трансформация почечной паренхимы, приводящая к прогрессирующему снижению функции почек. Патология может проявляться артериальной гипертензией, болевым синдромом в поясничной области и животе, гематурией, дизурией, развитием инфекции и камней в почках, почечной недостаточностью. Диагностика заболевания включает изучение семейного анамнеза, лабораторные исследования, УЗИ почек, урографию, ангиографию, МРТ и КТ. Лечение при поликистозе почек консервативное, симптоматическое.
МКБ-10
![Поликистоз почек]()
![КТ-урография. Множественные простые интрапаренхиматозные и подкапсульные кисты обеих почек.]()
![КТ ОБП и забрюшинного пространства. Множественные интрапаренхиматозные простые кисты обеих почек.]()
Общие сведения
Поликистозная болезнь (поликистоз почек) – порок эмбрионального развития почечных канальцев, характеризующийся образованием множественных мелких кист в паренхиме почек. Поликистоз почек всегда двусторонний. Кисты могут иметь размер от спичечной головки до крупной вишни и больше, содержать светлый либо шоколадного цвета желеобразный секрет.
Увеличение кист со временем приводит к сокращению объема функционирующей паренхимы и развитию почечной недостаточности. Как правило, поликистоз не ограничивается только поражением почек; к внепочечным формам поликистоза относится формирование кист в поджелудочной железе, селезенке, печени, семенных пузырьках, легких и других органах.
![Поликистоз почек]()
Причины
Поликистоз почек в большинстве случаев является патологией, наследуемой по аутосомно-доминантному типу. Развитие аутосомно-доминантного поликистоза может произойти, если аналогичное заболевание имеется у одного из родителей; эта форма наследования определяет 85-90% случаев болезни. Признаки заболевания в этом случае чаще развиваются к 30-40 годам, реже в детском возрасте.
Для развития аутосомно-рецессивного поликистоза почек необходима передача мутантных генов, обусловливающих дефект, от обоих родителей. Это менее распространенная форма, которая обнаруживается у новорожденных. При отсутствии семейной истории предполагается возникновение новой мутации в половой клетке одного из родителей.
В патогенезе поликистоза почек ведущая роль принадлежит нарушению слияния секреторных и экскреторных структур нефрона на стадии развития вторичной почки. Это затрудняет выделение первичной мочи, увеличивает давление в почечных канальцах, что приводит к деформации их просвета и образованию кистозно расширенных полостей. Отмечается значительное увеличение размеров и массы почек, которые макроскопически имеют бугристую неровную поверхность из-за множественных выступающих кист.
Стенки кист представлены соединительной тканью, полость выстлана плоским или кубическим эпителием, внутри содержится жидкость желтоватого или коричневого цвета, близкая по составу к моче. Между отдельными кистами имеются участки паренхимы, которые из-за давления кист могут подвергаться дистрофическим изменениям, атрофии или ишемии. Чашечки и лоханки значительно деформированы и увеличены.
Классификация
![КТ-урография. Множественные простые интрапаренхиматозные и подкапсульные кисты обеих почек.]()
Симптомы поликистоза почек
У новорожденных патология обычно протекает крайне неблагоприятно и достаточно рано заканчивается гибелью ребенка от уремии. У взрослых поликистоз почек развивается медленно, проходя компенсированную, субкомпенсированную и декомпенсированную стадии.
На стадии компенсации проявления длительно отсутствуют. Со временем появляется чувство давления в пояснице, неопределенные боли в животе, дизурия, обусловленные растяжением почек. Отмечается утомляемость, головная боль, иногда – гематурия неясного генеза. Функция почек в компенсированной стадии остается не нарушенной.
В стадии субкомпенсации нарастают признаки почечной недостаточности, проявляющиеся тошнотой, сухостью во рту, жаждой, приступами мигрени, стойкой и высокой артериальной гипертензией. Нарушения функции почек характеризуются полиурией с изостенурией, эритроцитурией, цилинрурией, при возникновении пиелонефрита – лейкоцитурией. В случае нагноения кист присоединяется лихорадка, интоксикация, ознобы; при камнях в почках развиваются приступы почечной колики.
В декомпенсированной стадии болезни возникает хроническая уремия. Прогрессированию поликистоза почек может способствовать артериальная гипертензия, травмы, хирургические вмешательства, беременность, кровотечения. Присоединение вторичной инфекции (гриппа, ОРВИ, пневмонии и др.) может вызвать резкое ухудшение состояния вплоть до гибели пациента; при нагноении кист нередко развивается уросепсис.
Осложнения
Стойкое повышение кровяного давления со временем может осложняться гипертрофией левого желудочка, пролапсом митрального клапана и сердечной недостаточностью, аневризмой сосудов мозга и геморрагическим инсультом. Поликистоз почек может вызывать развитие поздних токсикозов беременности – преэклампсии и эклампсии. В группе особого риска – женщины, страдавшие гипертонией до наступления беременности. У пациентов с этой почечной патологией повышена вероятность образования кист печени, дивертикулярной болезни толстого кишечника.
Диагностика
Данные анамнеза в ряде случаев позволяют выявить семейные случаи поликистоза почек у родственников одной линии. Пальпировать увеличенные и кистозно измененные почки удается не всегда, в связи с чем решающее значение в диагностике отводится инструментальным методикам:
Посредством УЗИ в увеличенных почках определяются множественные кисты. В неясных случаях прибегают к ретроградной пиелографии, почечной ангиографии, которые также позволяют обнаружить кистозное перерождение почек. Для выяснения степени компенсации функции почек проводят исследования мочи (общий анализ, пробу Зимницкого и Реберга), биохимическое исследование крови. При развитии пиелонефрита моча подвергается бактериологическому посеву. С целью установления семейных форм поликистоза почек показано генетическое исследование.
Поликистоз почек необходимо дифференцировать от хронического гломерулонефрита и хронического пиелонефрита, опухолей почки. При подозрении на аневризму сосудов головного мозга выполняется ангиография сосудов головного мозга, УЗДГ, магнитно-резонансная ангиография.
![КТ ОБП и забрюшинного пространства. Множественные интрапаренхиматозные простые кисты обеих почек.]()
Лечение поликистоза почек
Проводится симптоматическая терапия. К общим рекомендациям относится исключение чрезмерных и длительных нагрузок, профилактика хронических инфекций (кариеса, ОРВИ, тонзиллита, синуситов и др.), соблюдение высококалорийной, богатой витаминами диеты с ограничением белка и поваренной соли. При развитии пиелонефрита назначается курсовое лечение антибиотиками и уроантисептиками. В случае макрогематурии осуществляется гемостатическая терапия; при снижении диуреза показан прием диуретиков; при артериальной гипертонии – гипотензивных средств.
В компенсированной стадии поликистоза почек может выполняться вскрытие и опорожнение крупных кист. Это приводит к уменьшению размеров почек, улучшению их кровообращения и функций. В терминальных стадиях, при почечной недостаточности ставится вопрос о хроническом гемодиализе и трансплантации почки.
Прогноз и профилактика
Своевременная коррекция артериальной гипертензии и устранение инфекций мочевых путей позволяют замедлить прогрессирование поликистоза почек. Тем не менее, у большинства больных с поликистозом почек в различные сроки от выявления болезни развивается почечная недостаточность. При семейных формах поликистоза почек необходима консультация врача-генетика для определения рисков рождения ребенка с подобной почечной аномалией. При установленном диагнозе требуется постоянное наблюдение пациента врачом-нефрологом и урологом.
Поликистозная болезнь почек (ПБП)
(аутосомно-доминантная поликистозная болезнь почек; АДПБП)
, MD, MPH, Loma Linda University School of Medicine
![]()
Поликистозная болезнь почек является наследственным заболеванием, при котором в обеих почках образуется множество заполненных жидкостью мешочков (кист). Размер почек увеличивается, но функционирующей ткани становится меньше.
Поликистозная болезнь почек обусловлена наследуемым дефектом гена.
У некоторых людей присутствуют настолько слабовыраженные симптомы, что они не осознают, что у них имеется это заболевание, а у других присутствуют боль в боку, кровь в моче Кровь в моче Кровь в моче (гематурия) может окрасить мочу в розовый, красный или коричневый цвет, в зависимости от количества крови, продолжительности присутствия крови в моче и уровня кислотности мочи. Прочитайте дополнительные сведения , повышенное артериальное давление Повышенное артериальное давление и спастические боли, вызванные камнями в почках Камни в мочевыводящих путях Камни (конкременты) — это твердые образования, которые могут появиться в мочевыводящих путях, вызывая боль, кровотечение или инфекцию, либо могут заблокировать отток мочи. Крошечные камни. Прочитайте дополнительные сведенияДиагноз ставится на основе результатов ультразвукового исследования, компьютерной томографии или магнитно-резонансной томографии почек.
Камни в почках и почечные инфекции лечатся, но более чем половина больных, в конечном итоге, нуждается в диализе Диализ или трансплантации почки Трансплантация почки Трансплантация почки — это изъятие здоровой почки у живого или недавно умершего человека с ее последующей пересадкой человеку с терминальной стадией почечной недостаточности. (См. также Общие. Прочитайте дополнительные сведенияСуществует несколько генетических дефектов, которые являются причиной поликистозной болезни почек (ПБП). Несколько типов обусловлены доминантными генами, а один редкий тип обусловлен рецессивным геном. Это означает, что человек с этим заболеванием унаследовал либо одну копию доминантного гена от одного из родителей, либо две копии рецессивного гена, по одному от каждого родителя. У людей, которые унаследовали доминантный ген, симптомы обычно отсутствуют до взрослого возраста. У людей, которые унаследовали рецессивный ген, тяжелая болезнь развивается в детстве.
Поликистозная болезнь почек
При поликистозной болезни почек много кист образуется в обеих почках. Кисты постепенно увеличиваются, разрушая некоторую или большую часть здоровой ткани почек.
Генетический дефект является причиной распространенного образования кист в почках. Постепенное увеличение кист с возрастом сопровождается уменьшением кровотока и рубцеванием в почках. Кисты могут инфицироваться или кровоточить. Могут появиться камни в почках Камни в мочевыводящих путях Камни (конкременты) — это твердые образования, которые могут появиться в мочевыводящих путях, вызывая боль, кровотечение или инфекцию, либо могут заблокировать отток мочи. Крошечные камни. Прочитайте дополнительные сведенияСимптомы поликистозной болезни почек
При более распространенной доминантной форме поликистозной болезни почек количество и размеры кист медленно увеличиваются. Как правило, симптомы впервые возникают в раннем или среднем взрослом возрасте, наиболее часто в течение третьего десятилетия жизни. Иногда симптомы настолько слабо выражены, что люди с этим заболеванием проживут всю жизнь, не осознавая этого расстройства.
Симптомы обычно включают дискомфорт либо боль в боку Боль в боку Боль, вызванная заболеваниями почек, обычно ощущается в боку или в нижней части спины. Иногда боль распространяется к центру живота. Обычно боль возникает из-за того, что внешняя оболочка почки. Прочитайте дополнительные сведения или в животе, кровь в моче Кровь в моче Кровь в моче (гематурия) может окрасить мочу в розовый, красный или коричневый цвет, в зависимости от количества крови, продолжительности присутствия крови в моче и уровня кислотности мочи. Прочитайте дополнительные сведения , частые мочеиспускания Чрезмерное или частое мочеиспускание Большинство людей мочатся около 4–6 раз в день, в основном в дневное время. Обычно у взрослых выделяется от 700 мл (3 чашки) до 3 л мочи в сутки. Чрезмерное мочеиспускание может относиться к. Прочитайте дополнительные сведения , а также сильные спастические боли (колики), вызываемые камнями в почках Камни в мочевыводящих путях Камни (конкременты) — это твердые образования, которые могут появиться в мочевыводящих путях, вызывая боль, кровотечение или инфекцию, либо могут заблокировать отток мочи. Крошечные камни. Прочитайте дополнительные сведения .
Примерно у трети людей с доминантной формой поликистозной болезни почек также присутствуют кисты в печени, однако эти кисты не оказывают негативного влияния на функцию печени. У людей могут также возникать грыжи живота или выпячивания стенки толстой кишки ( дивертикулез Дивертикулез толстой кишки Дивертикулез представляет собой наличие одного или нескольких напоминающих маленький воздушный шарик мешковидных выпячиваний (дивертикулов), обычно в толстой кишке (толстом кишечнике). Причина. Прочитайте дополнительные сведенияДиагностика поликистозной болезни почек
Врач подозревает наличие этого заболевания на основании семейного анамнеза или, если проведенное по другой причине визуализирующее исследование Визуализирующие исследования мочевыводящих путей Существует ряд исследований, которые можно использовать при обследовании по поводу подозрения на болезнь почек или мочевыводящих путей. (См. также Общие сведения о мочевыводящих путях). Рентгенологическое. Прочитайте дополнительные сведения , показывает увеличение почек и кисты в почках. В ходе ультразвукового исследования и компьютерной томографии (КТ) или магнитно-резонансной томографии (МРТ) определяется характерный внешний вид кист в почках и печени. Даже при наличии у человека в семейном анамнезе поликистозной болезни почек (ПБП) врачи могут не рекомендовать проводить диагностические тесты до появления симптомов, так как эффективные методы лечения до возникновения симптомов отсутствуют, а постановка диагноза может иметь вредные последствия (например, сложности при получении полиса страхования жизни).
Может проводиться генетический анализ, который помогает людям с поликистозной болезнью почек (ПБП) узнать о вероятности наследственной передачи этого заболевание их детям.
Лечение поликистозной болезни почек
Лечение осложнений и симптомов
Эффективное лечение инфекций мочевыводящих путей Лечение Цистит является инфекцией мочевого пузыря. Как правило, причиной цистита являются бактерии. Наиболее распространенные симптомы: частые позывы к мочеиспусканию, боль или жжение во время мочеиспускания. Прочитайте дополнительные сведения снижает скорость разрушения почек. Обычно для контроля артериального давления применяются ингибиторы ангиотензинпревращающего фермента Ингибиторы ангиотензин-превращающего фермента Во многих случаях наблюдается повышение артериального давления. Оно часто не вызывает симптомов; однако повышенное артериальное давление может повысить риск развития инсульта, сердечного приступа. Прочитайте дополнительные сведения и блокаторы рецепторов ангиотензина Блокаторы рецепторов ангиотензина-II Во многих случаях наблюдается повышение артериального давления. Оно часто не вызывает симптомов; однако повышенное артериальное давление может повысить риск развития инсульта, сердечного приступа. Прочитайте дополнительные сведения . Тем не менее, более чем у половины пациентов, которые страдают от этого заболевания, в определенный момент жизни развивается терминальная стадия хронической болезни почек Общие сведения о почечной недостаточности Почечная недостаточность — это неспособность почек в достаточной мере фильтровать метаболические продукты жизнедеятельности, поступающие из крови. Существует много причин возникновения. Прочитайте дополнительные сведения (терминальная стадия почечной недостаточности), и им требуется проведение диализа Диализ Диализ — это процесс искусственного выведения продуктов жизнедеятельности и избыточной жидкости из организма. Этот процесс необходим тогда, когда почки не в состоянии выполнять свою функцию. Прочитайте дополнительные сведения .
Если кисты вызывают сильную боль, врачи могут попытаться откачать жидкость из кисты (аспирация). Аспирация может облегчить боль, но не влияет на долгосрочный прогноз для человека. Если симптомы очень тяжелые, может потребоваться удаление почки.
Более новый класс лекарственных препаратов под названием «ингибиторы мишени рапамицина млекопитающих» (mammalian target of rapamycin, mTOR) могут замедлить увеличение кист в размере, но эти препараты не замедляют ухудшение функции почек, поэтому их, как правило, не используют.
Толваптан, другой новый препарат, может быть полезен взрослым пациентам с аутосомно-доминантной поликистозной болезнью почек, у которых может возникать быстрое прогрессирование заболевания. Поскольку сообщалось, что толваптан вызывает тяжелое поражение печени, перед назначением препарата врачи проконсультируются с экспертом.
Дополнительная информация
Ниже приведены некоторые ресурсы на английском языке, которые могут быть полезными. Обратите внимание, что составители СПРАВОЧНИКА не несут ответственности за содержание этих ресурсов.
Американский почечный фонд (AKF): информация о заболеваниях почек, трансплантации почек и финансовой помощи, основанной на потребностях, для содействия при оплате медицинских расходов
Национальный институт диабета, расстройств пищеварения и заболеваний почек (NIDDK): Общая информация о заболеваниях почек, включая научные открытия, статистические данные, а также программы общественного здравоохранения и информирования населения
Национальный почечный фонд (NKF): информация обо всем необходимом, от базовой информации о функции почек до доступа к лечению и поддержки людей с заболеваниями почек
ПРИМЕЧАНИЕ: Это — пользовательская версия ВРАЧИ: Нажмите здесь, чтобы перейти к профессиональной версии
Авторское право © 2022 Merck & Co., Inc., Rahway, NJ, США и ее аффилированные лица. Все права сохранены.
Читайте также:
- МРТ лонного сочленения и приводящих мышц во фронтальной проекции в норме
- Йод и мерказолил в лечении диффузного токсического зоба. Перхлорат калия при базедовой болезни
- Зубцы ЭКГ в норме. Продолжительность интервалов на ЭКГ
- Ранолазин при аритмии сердца - показания, противопоказания
- Лучевая диагностика инфаркта почки










