Мукоцеле вершины пирамиды височной кости - лучевая диагностика
Добавил пользователь Владимир З. Обновлено: 30.10.2025
Московский научно-практический центр оториноларингологии Департамента здравоохранения Москвы
Московский научно-практический центр оториноларингологии ДЗ Москвы
Федеральный медико-биологический Центр им. А.И. Бурназяна ФМБА России, Москва, Россия, 123098
Хирургическое лечение холестеатомы пирамиды височной кости
Журнал: Вестник оториноларингологии. 2015;80(3): 57‑60
Кратко представлена эпидемиология, классификация, диагностика и современные тенденции хирургического лечения холестеатомы пирамиды височной кости. Описан клинический случай диагностики и хирургического лечения холестеатомы верхушки пирамиды височной кости.
Из всех заболеваний верхушки пирамиды височной кости холестеатома встречается в 3,4—9% случаев. Наиболее часто (в 60%) в этой зоне выявляется холестероловая гранулема. В то же время имеются случаи диагностики мукоцеле, арахноидальных кист, менингиомы, хордомы, ксантомы, кавернозной гемангиомы, аневризм внутренней сонной артерии, фиброзной дисплазии, хондросаркомы и метастатической карциномы. Может симулировать заболевание верхушки пирамиды и асимметричная пневматизация этой локализации [1—5].
Среди больных с холестеатомой височной кости у 2,9% встречается холестеатома пирамиды височной кости. Холестеатома этой локализации может быть первичной (врожденной), происходящей из остатков эмбриональной или аберрантной эпителиальной ткани, или вторичной вследствие инвазии холестеатомы из среднего уха или сосцевидного отростка. Вторичная холестеатома выявляется у 58%, а первичная — у 12% пациентов [2, 6]. В зависимости от локализации холестеатомы в пирамиде височной кости по классификации M. Sanna [7] выделяют пять ее видов: супралабиринтная, инфралабиринтная, массивная лабиринтная, инфралабиринтная с апикальным распространением и апикальная [7]. Наиболее часто встречается супралабиринтная (26,7—67%), массивная лабиринтная (20—38%) и инфралабиринтная (7—40%) холестеатомы [1, 6, 8].
При холестеатоме пирамиды височной кости часто наблюдается бессимптомное течение при значительном ее объеме. В зависимости от локализации ранними симптомами могут быть выраженное снижение слуха или глухота (у 9—69%), дисфункция лицевого нерва (у 29—53%), оторея (у 66,7%), периферическое головокружение (у 33,3%) или центральные неврологические осложнения вследствие эрозии рядом расположенных важных анатомических структур [1, 2, 6, 8, 9].
Применение в диагностике высокоинформативных методов исследования: мультиспиральной компьютерной томографии (МСКТ) и магнитно-резонансоной томографии (МРТ) с контрастным усилением, в том числе в non- EPY режиме, позволяет определить локализацию, распространение холестеатомы и на дооперационном этапе планировать хирургический подход.
В литературе имеются единичные обзоры, посвященные диагностике и хирургии холестеатомы пирамиды височной кости, освещающие значительное количество клинических случаев [1, 6, 8—11]. Основными задачами операции являются тотальное макроскопическое удаление холестеатомы, сохранение ствола лицевого нерва, предупреждение ликвореи и менингита и сохранение слуховой функции. Поэтому современный алгоритм выбора хирургического подхода строится на локализации холестеатомы, состоянии слуховой функции и лицевого нерва. Большинство авторов отдают предпочтение закрытым вариантам с облитерацией зоны операции и ушиванием наружного слухового прохода по Rambo, учитывая современные средства реабилитации слуха. Так, при супралабиринтной холестеатоме и нормальном слухе используют транстемпоральный супралабиринтный подход через среднюю черепную ямку, а при сенсоневральной тугоухости — выполняют субтотальную петрозэктомию транслабиринтным и транскохлеарным подходом. При инфралабиринтной холестеатоме и нормальном слухе применяют субтотальную петрозэктомию трансмастоидальным и ретролабиринтным подходами, а при сенсоневральной тугоухости — транслабиринтным и транскохлеарным подходами [6, 11, 12]. В то же время стремление сохранить слух после операции в ущерб радикальному удалению холестеатомы может привести к резидуальной патологии и необходимости повторного вмешательства. В тех случаях, когда холестеатома распространяется медиальнее капсулы лабиринта, сохранить слух невозможно, и на выбор хирургического подхода влияет состояние лицевого нерва. При этих локализациях холестеатомы при сохранной функции лицевого нерва применяют транслабиринтный и транскохлеарный или инфратемпоральный доступы, а при дисфункции лицевого нерва — транскохлеарный. Для лечения дисфункции лицевого нерва в зависимости от места компрессии выполняют декомпрессию ствола нерва, нейропластику или VII—XII анастомоз одновременно (или на втором этапе) [1, 6, 10]. Лучшие результаты операции отмечают при длительности дисфункции лицевого нерва менее 12 мес. В результате лечения глухота оперированного уха наблюдается у 18—83%, рецидив холестеатомы в разные сроки — у 2—19% и интракраниальные осложнения у 2—6% больных [6, 8].
В последние годы некоторые авторы выполняют модифицированную субтотальную петрозэктомию различными подходами, в зависимости от локализации холестеатомы, с тимпанооссикулопластикой для сохранения или улучшения функции слуха. По их данным, преимуществами открытой реконструкции являются функциональный результат, ранняя диагностика рецидива холестеатомы и менее сложная ревизионная хирургия в условиях необлитерированной полости. При этой методике после удаления холестеатомы пирамиды височной кости у 90% пациентов выполнялась тимпанопластика и у 52% — оссикулопластика. В результате операции слух улучшился у 38% пациентов, сохранился на прежнем уровне — у 29% и у 33% отмечено его ухудшение [8].
В нашей стране хирургией пирамиды височной кости занимаются преимущественно нейрохирурги. Однако и их возможности ограничены при распространенной холестеатоме пирамиды височной кости.
Представляем случай диагностики и хирургического лечения холестеатомы верхушки пирамиды височной кости.
Пациентка М., 32 года, обратилась в отделение нейрохирургии клиники ФГБУ ФМБЦ им. А.И. Бурназяна с жалобами на отсутствие слуха на правое ухо, периодические выделения из него, асимметрию лица.
Из анамнеза известно, что пациентка с детства страдает хроническим гнойным правосторонним средним отитом с периодическими обострениями в виде выделений из правого уха на фоне ОРВИ или попадания воды в ухо. Регулярно проводилась местная антибактериальная терапия с временным положительным эффектом. С 16-летнего возраста стала отмечать головокружения системного характера. В 2006 г. обратилась в клинику МОНИКИ, где выполнена КТ височных костей, по данным которой выявлено новообразование правой пирамиды височной кости. В той же клинике выполнена санирующая операция на правой височной кости с удалением задней стенки слухового прохода. В послеоперационном периоде головокружения купировались, но сохранялись выделения из этого уха. В 2009 г. стала отмечать подергивание мышц правой половины лица, эпизоды по типу гемифациального спазма до нескольких раз в день. В НИИ нейрохирургии им. Н.Н. Бурденко выполнена ретросигмовидным доступом операция на пирамиде височной кости с удалением холестеатомы правой пирамиды височной кости. После операции у пациентки полностью восстановилась функция лицевого нерва справа. Однако в 2012 г. у пациентки вновь развился парез лицевого нерва справа. Обратилась в отделение нейрохирургии клиники ФМБЦ им. А.И. Бурназяна для обследования и лечения.
При поступлении: общее состояние больной удовлетворительное. Температура тела нормальная. Кожные покровы обычной окраски. В легких дыхание везикулярное, без хрипов. АД — 120/80 мм рт.ст. Пульс 90 в 1 мин, ритмичный, удовлетворительных свойств.
При осмотре имеются спокойные, безболезненные послеоперационные рубцы в правой заушной и ретросигмовидной области. При отомикроскопии справа — наружный слуховой проход широкий, свободный, без отделяемого. Барабанная перепонка сохранена только в передних отделах. Слизистая оболочка в мезогипотимпануме утолщенная, полипозно-измененная. Полость в мастоидальном отделе небольшая, покрыта утолщенной слизистой оболочкой без эпидермиса. Слуховая труба проходима по Вальсальва. Слева наружный слуховой проход широкий, свободный. Барабанная перепонка серого цвета, опознавательные знаки дифференцируются.
В неврологическом статусе: сознание ясное. Контактная. Менингеальных знаков нет. Гипостезия в зоне иннервации V нерва справа (больше по 1—2 ветвям), корнеальный рефлекс снижен справа. Определяется грубый парез правого лицевого нерва справа (V степень по шкале House—Brackmann). Координаторные пробы выполняла удовлетворительно.
При тональной пороговой аудиометрии (ТПА) выявлена правосторонняя глухота. Слух слева в пределах возрастной нормы.
По данным электронейромиографии отмечались признаки умеренного поражения правого лицевого нерва по смешанному типу (аксональному и демиелинизирующему), проводимость по всем ветвям составляла 30—40% от нормы по типу неврита.

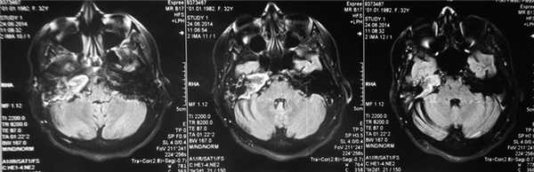
Рис. 1. КТ височных костей пациентки М. а — коронарная проекция: деструктивная полость в пирамиде височной кости, заполненная субстратом неоднородной плотности, капсула лабиринта значительно разрушена на уровне базального и апикального завитков улитки, латерального и верхнего полукружных каналов; б — аксиальная проекция: деструктивная полость с разрушением задней грани пирамиды, передневерхней и нижней поверхности.
По результатам МРТ головного мозга правая пирамида височной кости деформирована, увеличена в объеме, выполнена субстратом размером до 5,5—2,8—3 см, распространяющимся на область внутреннего слухового прохода, заднего полукружного канала, медиальные отделы барабанной полости, сосцевидный отросток. Описанный субстрат изо-гипоинтенсивен в режиме Т1, гиперинтенсивен — в Т2 и non-EPI DWI (рис. 2). Заключение: признаки рецидива холестеатомы с деструктивными изменениями структур внутреннего и среднего уха на фоне хронических воспалительных изменений.

Рис. 2. Магнитно-резонансная томография головного мозга пациентки М. Деформированная, увеличенная в объеме пирамида височной кости выполнена мягкотканым субстратом.
Учитывая анамнез заболевания, ранее выполненные операции, клинические проявления (глухота, явления периферического пареза лицевого нерва) и локализацию процесса по данным КТ височных костей и МРТ, свидетельствующие о массивной лабиринтной холестеатоме, пациентке была выполнена реоперация. Транслабиринтным подходом произведена субтотальная петрозэктомия (частичная лабиринтэктомия) с удалением холестеатомы и пластикой дефекта височной кости жиром. При ревизии определялась послеоперационная неэпидермизированная мастоидальная полость, которая была заполнена утолщенной слизистой оболочкой. В барабанной полости также определялась утолщенная полипозная слизистая оболочка. Барабанная перепонка сохранена только в передних отделах. Цепь слуховых косточек отсутствовала. За счет удаления перилабиринтных клеток, заднего верхнего и латерального полукружных каналов был открыт широкий доступ в сторону верхушки пирамиды, где выявлена большая холестеатома, распространявшаяся от верхушки сосцевидного отростка до верхушки пирамиды височной кости. Выявлено обнажение луковицы яремной вены, мозговых оболочек задней черепной ямки, нисходящей части канала лицевого нерва. Холестеатома удалена с образованием большой полости внутри пирамиды височной кости. При удалении холестеатомы из области внутреннего слухового прохода (который не дифференцировался) отмечалась ликворея. Эпидермальные оболочки оставлены на луковице яремной вены, у верхушки пирамиды височной кости, под улиткой. Произведена герметизация твердой мозговой оболочки двухкомпонентным фибриновым клеем. В область верхушки пирамиды височной кости уложена подкожно-жировая клетчатка, которая была взята с передней брюшной стенки. Выполнена пластика полости свободным миофасциальным лоскутом. В барабанную полость, под остатки барабанной перепонки, уложена аутофасция. Слуховой проход не ушивался для возможности контроля за созданной полостью.
По данным гистологического исследования удаленного образования от 29.07.14: в присланном материале бесструктурные холестеатомные массы и мелкий пласт многослойного плоского эпителия с рыхлой подэпителиальной стромой с кровоизлияниями.
При наблюдении в послеоперационном периоде отмечена длительная эпителизация послеоперационной полости и сохранение пареза правого лицевого нерва (V степень по шкале House—Brackmann). Неврологический статус — без отрицательной динамики.
Представленный случай свидетельствует о возможности успешного применения транслабиринтного подхода для удаления холестеатомы верхушки пирамиды височной совместно с нейрохирургами.
Мукоцеле
Мукоцеле – доброкачественное, экспансивное кистоподобное образование, заполненное слизью и выстланное респираторным эпителием параназальных синусов.
Этиология: мукоцеле обычно является осложнением длительным обструкции придаточных пазух носа.
Патогенез: 
Полагают, что мукоцеле может вызывать обструкцию отверстия, сообщающего пазуху с полостью носа, что приводит к аккумуляции жидкости. Постепенно, продуцируя слизь, мукоцеле увеличивается в размерах и деформирует окружающую кость. Наиболее частыми причинами возникновения мукоцеле являются хронические инфекции, аллергические заболевания, травма и предыдущие хирургические вмешательства, а причины же некоторых остаются неизвестными.
Эпидимиология: чаще всего поражает лобную пазуху. В верхнечелюстных пазухах и ячейках решетчатого лабиринта локализуется примерно треть всех мукоцеле. Клиновидная пазуха поражается редко.
Клиническая картина: так как мукоцеле — неиифекционное поражение, его клиническая симптоматика в основном обусловлена масс-эффектом.
Данные методов визуализации 
КТ 
Потеря воздушности и увеличение объема пазухи с истончением ее стенок. 
Могут быть эрозии костных стенок пазухи.
MPT 
• В большинстве случаев мукоцеле дает гипоинтенсивный сигнал на Т1 и гиперинтенсивный на Т2в-изображениях. 
В ряде случаев пазуха выглядит расширенной, но с сохраненной воздушностью, она гипоинтенсивна как на Т1, так и на Т2.
Лечение: хирургическое дренирование.
Прогноз: благоприятный при ранней диагностике к своевременном лечении.
Дифференциальный диагноз: 
Дифференциальная диагностика представляет определенные трудности. При отсутствии эрозии кости мукоцеле отличают от ретенционных кист, синуситов и полипозов параназальных синусов. В случае, когда поражение кости обширное, следует дифференцировать его от злокачественных состояний: спиноцеллюлярная карцинома, цистоаденокарцинома, плазмацитома, меланокарцинома, шваннома и опухоли одонтогенного происхождения.
Источник: 
Radiopaedia 
1. Moritani T, Ekholm S, Westesson P. Diffusion-Weighted MR Imaging of the Brain. Springer Verlag. (2009) ISBN:3540787844. Read it at Google Books — Find it at Amazon 
2. Mafee MF, Valvassori GE, Becker M. Imaging of the head and neck. George Thieme Verlag. (2004) ISBN:1588900096. Read it at Google Books — Find it at Amazon 
3. Van tassel P, Lee YY, Jing BS et-al. Mucoceles of the paranasal sinuses: MR imaging with CT correlation. AJR Am J Roentgenol. 1989;153 (2): 407-12. AJR Am J Roentgenol (abstract) — Pubmed citation 
4. Guttenplan MD, Wetmore RF. Paranasal sinus mucocele in cystic fibrosis. Clin Pediatr (Phila). 1989;28 (9): 429-30. — Pubmed citation 
Fidevs Akpek, исследователь, кафедра челюстно-лицевой хирургии, стоматологический факультет, Abant Izzet Baysal University, Bolu, Турция
Ismail Akkas, ассистент-профессор, кафедра челюстно-лицевой хирургии, стоматологический факультет, Abant Izzet Baysal University, Bolu, Турция
Orcum TOPTAS, ассистент-профессор, кафедра челюстно-лицевой хирургии, стоматологический факультет, Abant Izzet Baysal University, Bolu, Турция
Fatih Ozan, адъюнкт-профессор, кафедра челюстно-лицевой хирургии, стоматологический факультет, Abant Izzet Baysal University, Bolu, Турция
Мукоцеле вершины пирамиды височной кости - лучевая диагностика
а) Терминология:
1. Аббревиатура: 
• «Запертая» жидкость в вершине пирамиды (ЗЖ-ВП)
2. Синоним: 
• Эффузия вершины пирамиды (ВП)
3. Определение: 
• ЗЖ-ВП: стерильная жидкость в ячейках ВП
б) Визуализация:
1. Общая характеристика: 
• Лучший диагностический критерий: 
о МРТ: гиперинтенсивный сигнал (Т2) в ВП; КТ: снижение пневматизации ячеек ВП без разрушения трабекул или вздутия

 (Слева) На рисунке левой височной кости (аксиальный срез) показаны ячейки вершины пирамиды, заполненные жидкостью. Обратите внимание на отсутствие их вздутия или разрушения трабекул. 
(Справа) При аксиальной КТ в костном окне определяется «запертая» жидкость в вершине пирамиды (типичный пример): снижена пневматизация группы ячеек в отсутствие экспансивных изменений, трабекула и кортикальный слой сохранены. Также обратите внимание на отсутствие жидкости в среднем ухе и ячейках сосцевидного отростка. 
2. КТ при запертой жидкости в вершине пирамиды височной кости: 
• КТ с КУ: 
о Отсутствие контрастирования ВП или прилежащих оболочек мозга 
• КТ в костном окне: 
о Одностороннее снижение пневматизации ячеек ВП 
о Отсутствие эрозий кортикального слоя или трабекул ВП 
о Отсутствие экспансивного компонента 
о Склероз краев ячеек вследствие остаточных воспалительных изменений (50%) или как вариант развития 
о Отсутствие воспаления среднего уха-сосцевидного отростка
3. МРТ при запертой жидкости в вершине пирамиды височной кости: 
• Т1 ВИ: 
о Различный сигнал в ячейках ВП (содержание белка в жидкости): 
- Сигнал чаще всего от промежуточного до гиперинтенсивного 
- Возможен неоднородный Т1 сигнал: 
Содержание белка в соседних ячейках варьирует 
• Т2 ВИ: 
о Гиперинтенсивный Т2 сигнал, ВП выглядит нормальной 
• Т1 ВИ С+: 
о Отсутствие контрастирования ВП или смежных мозговых оболочек
4. Рекомендации по визуализации: 
• Лучший метод визуализации: 
о КТ в костном окне после обнаружения ЗЖ-ВП на МРТ головного мозга 
• Выбор протокола: 
о Трехлетнее наблюдение (КТ) при ЗЖ-ВП с t Т1 сигналом на МРТ: 
- Для исключения редкой возможности трансформации в холестериновую гранулему 
- Трансформация ЗЖ-ВП в холестериновую гранулему еще не была задокументирована

 (Слева) При аксиальной МРТ Т2ВИ определяется подозрительный гиперинтенсивный участок в вершине пирамиды слева (МРТ выполнена по поводу потери сознания у пациента). Рентгенолог предположил холестериновую гранулему и назначил КТ височных костей для дообследования. 
(Справа) При аксиальной КТ в костном окне у этого же пациента определяется снижение пневматизации ячеек в вершине пирамиды слева без признаков вздутия или разрушения трабекул. Было сделано заключение о «запертой» жидкости, не требующей наблюдения. 
в) Дифференциальная диагностика запертой жидкости в вершине пирамиды височной кости:
1. Холестериновая гранулема ВП: 
• КТ в костном окне: экспансивное поражение ячеек ВП: 
о Отсутствие костных трабекул ВП 
• МРТ: гиперинтенсивный Т1 и Т2 сигнал
2. Врожденная холестеатома ВП: 
• КТ в костном окне: экспансивное образование ячеек ВП с ровными краями 
• МРТ Т1 С+: гиподенсное образование с контрастным усилением в виде «кольца»: 
о Отсутствие контрастирования оболочек мозга
3. Апикальный петрозит: 
• КТ в костном окне: эрозии трабекул и кортикального слоя 
• МРТ: гипо- (Т1) и гипер- (Т2) интенсивный сигнал: 
о Т1 С+: утолщение и контрастное усиление оболочек мозга с распространением в окружающие структуры 
• Клинические данные: отомастоидит или состояние после мастоидэктомии
г) Патология:
1. Общая характеристика: 
• Этиология: 
о Нормальный вариант развития 
о Остаточные изменения после отомастоидита 
о Стерильная жидкость в ячейках ВП 
• Эмбриология-анатомия: 
о ЗЖ-ВП требует наличия пневматизации ВП
2. Микроскопия: 
• Прозрачная или ксантохромная жидкость при оперативном вмешательстве
д) Клинические особенности:
1. Проявления: 
• Типичные признаки/симптомы: 
о Основной симптом: отсутствует
2. Демография: 
• Эпидемиология: 
о Резидуальная жидкость в ячейках ВП: 1% всех МРТ головного мозга 
о ЗЖ-ВП: самое частое поражение ВП 
о Соотношение ЗЖ-ВП и холестериновой гранулемы ВП: 500:1
3. Течение и прогноз: 
• ЗЖ-ВП неизменна в течение жизни 
• Редко происходит инфицирование с развитием апикального петрозита 
• Теоретически возможно перерождение (↑ Т1, в редких случаях) в холестериновую гранулему
4. Лечение: 
• Классическая ЗЖ-ВП: лечение и наблюдение не требуется
е) Диагностическая памятка:
1. Советы по интерпретации изображений: 
• КТ височных костей: неэкспансивное и недеструктивное поражение ВП; МРТ: однородный сигнал от средней до высокой интенсивности (Т1), высокой интенсивности (Т2); дополнительные исследования не требуются
ж) Список использованной литературы: 
1. Chapman PR et al: Petrous apex lesions: pictorial review. AJR Am J Roentgenol. 196(3 Suppl):WS26-37 Quiz S40-3, 2011 
2. Lemmerling MM et al: Imaging of inflammatory and infectious diseases in the temporal bone. Neuroimaging Clin N Am. 19(3):321 -37, 2009 
3. Arriaga MA: Petrous apex effusion: a clinical disorder. Laryngoscope. 116(8):1349-56, 2006 
4. Leonetti JP et al: Incidental petrous apex findings on magnetic resonance imaging. Ear Nose Throat J. 80(4):200-2, 205-6, 2001 
5. Palacios Eet al: 'Don't touch me' lesions of the petrous apex. Ear Nose Throat J. 80(3):140, 2001 
6. Moore KR et al: 'Leave me alone' lesions of the petrous apex. AJNR Am J Neu-roradiol. 19(4):733-8, 1998 
7. Jackler RK et al: Radiographic differential diagnosis of petrous apex lesions. Am J Otol. 13(61:561-74, 1992 
8. Arriaga MA et al: Differential diagnosis of primary petrous apex lesions. Am J Otol. 12(61:470-4, 1991
КТ, МРТ при мукоцеле вершины пирамиды височной кости
а) Определение: 
• Вздутие заполненной слизью ячейки (ячеек) вершины пирамиды (ВП), выстланных секреторным эпителием, обусловленное хронической обструкцией устья: 
о От латинского «тисо» = слизь + греческого «kele» = опухоль: слизистая опухоль
1. Общая характеристика: 
• Лучший диагностический критерий: 
о ВП должна быть пневматизирована 
о КТ: вздутие ячейки (ячеек) с наличием жидкости 
о МРТ: гипо- (Т1) и гипер- (Т2) интенсивный сигнал; ДВИ: без повышения диффузии, отсутствие контрастного усиления
2. Рекомендации по визуализации: 
• Лучший метод визуализации: 
о КТ височных костей или основания черепа 
о MPT С+ при атипичных изменениях на КТ: 
- МРТ для дифференциальной диагностики мукоцеле ВП, холестериновой гранулемы и врожденной холестеатомы

 (Слева) При аксиальной КТ в костном окне определяется экспансивное поражение вершины пирамиды (ВП) справа с отсутствием ячеек, в норме заполненных газом, и трабекул. Дифференциально-диагноаический ряд: врожденная холестеатома, холестериновая гранулема, мукоцеле. 
(Справа) При аксиальной МРТ Т1 ВИ у этого же пациента определяется распространенное мукоцеле ВП с интенсивноаью сигнала минимально более высокой, чем у ЦСЖ. Обратите внимание на гипоинтенсивный сигнал (ЦСЖ) во внутреннем слуховом канале сразу же за мукоцеле. Низкоинтенсивный сигнал на Т1 ВИ исключает холестериновую гранулему. 
3. КТ при мукоцеле вершины пирамиды височной кости: 
• КТ в костном окне: 
о Снижение пневматизации и вздутие ячейки (ячеек) ВП 
о Ремоделирование костных стенок ВП: 
- Истончение, локальный дефект, нормальная толщина
4. МРТ при мукоцеле вершины пирамиды височной кости: 
• Т1 ВИ: 
о Обычно гипоинтенсивный сигнал: 
- Возможен ↑ сигнал при повышении содержания белка 
• Т2 ВИ: 
о Обычно гиперинтенсивный сигнал 
- При наличии уплотненной слизи ↓ сигнал 
• ДВИ: 
о Отсутствие существенного ограничения диффузии 
• Т1 ВИ С+ FS: 
о Возможно минимальное периферическое контрастирование в виде кольца

 (Слева) При аксиальной МРТ Т2 ВИ определяется равномерно гиперинтенсивный сигнал в мукоцеле ВП. На ДВИ (не показано) не обнаружено ограничения диффузии. Экспансивное поражение ВП с гипо- (Т1) и гипер- (Т2) интенсивным сигналом и без ограничения диффузии крайне подозрительно на мукоцеле. 
(Справа) При аксиальной МРТ Т2 у другого пациента определяется гиперинтенсивный сигнал (Т2) в экспансивном мукоцеле ВП. Сигнал Т1 гипоинтенсивный (не холестериновая гранулема), ограничение диффузии отсутствует (не врожденная холестеатома). 
в) Дифференциальная диагностика мукоцеле вершины пирамиды височной кости:
1. Холестериновая гранулема вершины пирамиды: 
• КТ в костном окне: вздутие ячеек ВП 
• МРТ: ↑ сигнал на Т1 и Т2
2. «Запертая» жидкость в вершине пирамиды: 
• КТ в костном окне: отсутствие вздутия ячеек 
• МРТ: различный сигнал на Т1 (обычно ↓), ↑ Т2
3. Врожденная холестеатома вершины пирамиды: 
• КТ в костном окне: вздутие ячеек ВП 
• МРТ: ↓ Т1, ↑ Т2; ДВИ: ограничение
5. Аневризма внутренней сонной артерии в височной кости: 
• Расширение каменистой части канала внутренней сонной артерии, комплексный сигнал на МРТ
1. Общая характеристика: 
• Этиология: 
о Результат обструкции путей оттока от ячеек ВП: 
- Обструкция в результате инфекции среднего уха - сосцевидного отростка, травмы, операции 
- Секреция слизи в ячейки на фоне их обструкции 
- Вздутие ячеек ВП на фоне давления с ремоделированием стенок
2. Микроскопия: 
• Плоский, псевдостратифицированный, мерцательный столбчатый эпителий = респираторный эпителий, секретирующий слизь 
• Может наблюдаться реактивное формирование костной ткани или ремоделирование костных стенок ячеек
1. Проявления: 
• Типичные признаки/симптомы: 
о Случайная находка на КТ или МРТ в отсутствие симптоматики 
о Возможна головная боль 
о Нейропатия ЧН в результате сдавливания (редко)
2. Демография: 
• Возраст: 
о Чаще всего у взрослых людей 
• Эпидемиология: 
о Исключительно редкая патология
3. Течение и прогноз: 
• Постепенный рост со временем
4. Лечение: 
• Спорное, особенно в отсутствие симптоматики 
• КТ-контроль при увеличении размеров мукоцеле 
• Хирургическое (облитерация) при увеличении
е) Диагностическая памятка. Следует учесть: 
• При снижении пневматизации и вздутии ВП на КТ: 
о Следует подозревать мукоцеле при ↓ Т1 и ↑ Т2, ограничении диффузии на ДВИ 
о Следует подозревать холестериновую гранулему при ↑ Т1 
о Следует подозревать врожденную холестеатому при ограничении диффузии на ДВИ
ж) Список использованной литературы: 
1. Razek АА et al: Lesions of the petrous apex: classification and findings at CT and MR imaging. Radiographics. 32(1):151-73, 2012 
2. Chapman PR et al: Petrous apex lesions: pictorial review. AJR Am J Roentgenol. 196(3 Suppl):WS26-37 Quiz S40-3, 2011 
3. Le ВТ et al: Petrous apex mucocele. Otol Neurotol. 29(1): 102-3, 2008 
4. Muckle RP et al: Petrous apex lesions. Am J Otol. 19(2):219-25, 1998
Список сокращений:
СКТ — спиральная компьютерная томография
Мукоцеле, или кистовидное растяжение околоносовых пазух, — доброкачественное, медленно прогрессирующее заболевание, характеризующееся накоплением в пазухе вязкого экссудата в результате стойкого нарушения оттока через естественное соустье, вызванного рубцовым, полипозным или опухолевым процессом [1—3]. Давление содержимого мукоцеле на стенки пазухи вызывает их ремоделирование, приводящее к растяжению пазухи. При длительном течении заболевания может развиться деструкция стенок пазух.
Наиболее частая локализация мукоцеле — лобная пазуха, затем в порядке убывания следуют решетчатая, верхнечелюстная и клиновидная пазухи [3—5].
Как правило, клиническими проявлениями мукоцеле являются головные и лицевые боли, появление припухлости у внутреннего угла глазницы со смещением глазного яблока кнаружи (при мукоцеле лобно-решетчатой локализации) или кверху (при поражении верхнечелюстной пазухи). При эндоскопическом исследовании можно выявить выпячивание латеральной стенки носа в сторону перегородки. Одним из информативных методов диагностики мукоцеле является спиральная компьютерная томография (СКТ) пазух с реконструкцией изображения в трех плоскостях [6—8]. Это позволяет выявить ряд изолированных поражений мелких пневматизированных полостей: мукоцеле буллы носовой раковины [9, 10], а также клеток Галлера [11], Оноди [12] и валика носа [13]. Методом выбора при лечении этой патологии является эндоскопическая ринохирургия [14].
Приводим 2 клинических наблюдения изолированного поражения клеток решетчатой пазухи.
Больной М., 36 лет, поступил в ЛОР-клинику с жалобами на наличие припухлости в области правого бокового ската носа (рис. 1). Рис. 1. Деформация правого ската носа у больного М. с мукоцеле решетчатой буллы. Припухлость появилась несколько месяцев назад и постепенно увеличивалась. При эндоскопическом исследовании полости носа отмечено небольшое выпячивание его боковой стенки на уровне средней носовой раковины. На СКТ околоносовых пазух выявлено наличие мукоцеле решетчатой буллы справа (рис. 2). Рис. 2. СКТ больного М. с мукоцеле решетчатой буллы в аксиальной (а), коронарной (б) и сагиттальной (в) проекциях. Особенно четко локализация мукоцеле определялась на компьютерной томограмме в сагиттальной проекции, на которой прослеживалась базальная пластинка средней носовой раковины (см. рис. 2, в). Больному было произведено эндоназальное эндоскопическое вскрытие передних клеток решетчатой пазухи, во время которого мукоцеле опорожнено и припухлость в области носа исчезла. При контрольном осмотре через 6 мес рецидива заболевания не выявлено.

Больной Н., 17 лет, поступил в ЛОР-клинику с жалобами на периодически возникающую боль в правой лобной области, затруднение носового дыхания. Указанные симптомы сохраняются в течение 3 лет. Обратился к ЛОР-врачу только при появлении выделений из носа на фоне острой респираторной инфекции и лечился по поводу острого риносинусита. При осмотре выявлено выраженное искривление перегородки носа вправо с формированием крупного гребня в средних и задних отделах полости носа. На СКТ определялось мукоцеле фронтальной клетки правой решетчатой пазухи, занимавшее бóльшую часть лобной пазухи, а оставшаяся ее часть была заполнена патологическим содержимым (рис. 3). Рис. 3. СКТ больного Н. с мукоцеле фронтальной клетки и правой лобной пазухи в аксиальной (а) и сагиттальной (б) проекциях.
С учетом выявленных изменений больному была произведена септопластика с одноэтапным эндоскопическим вскрытием передних клеток правой решетчатой кости и правой лобной пазухи. Стенки фронтальной клетки оказались заполненными густым мукозным содержимым, плотно прилегающими к передней и задней стенкам лобной пазухи и медиально — к межпазушной перегородке. При удалении фронтальной клетки оказалось, что лобная пазуха также заполнена вязким мукозным содержимым, которое было удалено через широкое соустье, а пазуха — промыта. В средний носовой ход введена гемостатическая губка.
Таким образом, в представленных клинических наблюдениях имело место изолированное мукоцеле клеток решетчатой пазухи. В первом случае мукоцеле было локализовано в решетчатом пузырьке и вызвало деформацию бокового ската наружного носа. Во втором случае следствием мукоцеле фронтальной клетки явилось формирование мукоцеле лобной пазухи в результате нарушения ее дренажа. Как показали приведенные клинические наблюдения, эндоназальный доступ с применением эндоскопической техники является оптимальным и эффективным методом лечения подобной патологии.
Читайте также:
