Периневральная опухолевая инвазия жевательного пространства по нижнечелюстному нерву - лучевая диагностика
Добавил пользователь Евгений Кузнецов Обновлено: 08.11.2025
Исход потери чувствительности временного или постоянного характера при повреждении нижнего альвеолярного нерва после хирургического этапа дентальной имплантации не очевиден. Изменения чувствительности могут выражаться различными симптомами. Сравнительный анализ различных методов лучевой диагностики установил, что использование конусно-лучевой компьютерной томографии при данном виде осложнении влияет на тактику дальнейшего лечения.
Ключевые слова:
Конусно-лучевая компьютерная томография, осложнения, нижний альвеолярный нерв, прогноз лечения, скрининговая диагностика
Summary
Temporary or permanent sensory impairment may result from injuries to nerve trunks during implant surgery. Establishing the prognosis is not simple. Patients may express the changes they subjectively perceive with a variety of words and ways. The comparative analysis of various methods of radiodiagnosis set that cone beam computed tomography can get helpful information for planning the treatment and envisage the result.
Key words:
Cone beam computed tomography, complications, the inferior alveolar nerve, treatment prognosis, screening diagnostic. Одним из предсказуемых и опасных осложнений при установке дентальных имплантатов на нижней челюсти следует считать повреждение нижнего альвеолярного нерва. Работами Сирака С.В., 2006 экспериментально установлена значительная вариабельность позиции нижнечелюстного канала в теле нижней челюсти. Так, практически в половине случаев нижнечелюстной канал имеет высокое расположение, т.е. вблизи верхушек корней зубов. Столь же часто он расположен у нижнего края челюсти. Редко, когда канал занимает срединное положение. Кроме того, канал может прилежать к язычной или щечной кортикальным пластинкам, либо располагаться срединно. В ряде случаев отмечается асимметрия в положении канала с обеих сторон челюсти. В исследованиях последних лет сообщается о травме нижнего альвеолярного нерва после зубной имплантации в 13-15% наблюдений, что, безусловно, определяет практическую значимость изучения постимплантационных невритов. Изучено 24 наблюдения повреждений нерва при дентальной имплантации на нижней челюсти. Практически во всех случаях осложнение фиксировано вскоре после завершения оперативного вмешательства. Пациенты жаловались на боль различной интенсивности, потерю чувствительности нижней губы и подбородка на стороне оперативного вмешательства. Клиническое обследование, кроме стандартных методик, включало электрофизиологическую диагностику функциональных нарушений нижнего альвеолярного нерва.

Рис. 1. Асимметричное строение нижнеальвеолярного нерва, добавочный канал в области нижней челюсти справа во фронтальной проекции конусно-лучевой компьютерной томографии от Vatech.
Лучевое обследование проводилось на различных этапах имплантации. Как правило, всем пациентам выполнялась ортопантомография на дооперационном этапе. В сложных клинических ситуациях использовались дентальная объемная томография. Изучение литературных источников по топографической анатомии лицевого скелета показало отсутствие какой-либо информации о связи строения и расположения нижнечелюстного канала с вероятностью повреждения нерва при установке имплантатов. Результаты проведенных собственных рентгеноанатомических исследований челюстно-лицевой системы позволили выделить клинически значимые особенности строения и расположения нижнечелюстного канала и нерва в теле челюсти. В этой связи к предрасполагающим анатомическим факторам риска развития хирургических осложнений при дентальной имплантации могут быть отнесены:
-Расположение нижнечелюстного канала и нерва вблизи корневой системы челюсти, встречающиеся почти у каждого второго пациента;
- Незащищенность сосудисто-нервного пучка, вследствие недоразвития нижнечелюстного канала (отсутствуют одна или несколько его стенок, либо канал не сформирован вовсе). Подобная ситуация встречается практически в 1/3 наблюдений, преимущественно у женщин.
-Рассыпной тип строения нижнечелюстного канала без четких анатомо-рентгенологических ориентиров. Относительно редкий анатомический вариант.
Результаты клинического обследования показали, что диагностика повреждений нижнего альвеолярного нерва основывалась на клинических проявлениях и результатах электрофизиологических исследований электропотенциалов кожи лица.
По аналогии с классификацией Seddon послеоперационные невриты разделены на три основных вида – по степени снижения чувствительности кожи лица.
Первая - легкая степень обусловливалась сдавлением ствола за счет отека, гематомы или прямой, непосредственной, но незначительной компрессией имплантатом. Рентгенологическое исследование посредством конусно-лучевой компьютерной томографии и программного обеспечения Ez3D-iV4.3.0 от Vatech, при маркировке нижнечелюстного канала, установило расположение дентальных имплантатов непосредственно у нижнечелюстного канала или эндопротезы перфорировали верхнюю стенку канала (Рис.2). Тактика лечения такого вида патологии основывается на сохранении имплантатов, назначении витаминов группы В, средств, оказывающих непосредственное стимулирующее влияние на проведение импульса по нервным волокнам, усиливающих сократимость гладкомышечной мускулатуры под влиянием агонистов ацетилхолиновых, адреналиновых, серотониновых, гистаминовых и окситоциновых рецепторов. Нарушение чувствительности во всех наблюдениях этой группы носило временный характер и восстановилось через 4–6 недель.

Рис.2 Конусно-лучевая компьютерная томография от Vatech. Нижнечелюстной канал маркирован с помощью программного обеспечения Ez3D-iV4.3.0.
Вторая и третья степени проявлялись частичным нарушением функции нерва, сопровождающимся различной степенью раздражения нервного ствола, болью в сочетании с парастезией или геперестезией. У этой категории обследованных чувствительность восстановилась не полностью через 1,5–2 месяца после имплантации. При проведении конусно-лучевой томографии отмечена компрессия нерва имплантатом. Измерение электропотенциалов кожи лица зафиксировало 45 мкА и выше, что свидетельствовало о нарушении проводимости нервных структур.
В этом случае тактика лечения данного типа осложнения основывается на удаление причинного имплантата, назначении физиотерапевтического лечения. Отмечается, что ситуация практически не меняетя и после удаления имплантатов. Электропотенциалы кожи лица определялись на уровне, превышающем 65 мкА прии полном нарушении функции/
Результаты рентгенологического исследования показали, что дентальная объемная томография наиболее информативный метод при оценке степени повреждения нижнего альвеолярного нерва. Истинное трехмерное изображение исследуемого объекта и вращение его вокруг любой из трех осей на 360 градусов, позволяют визуализировались положение имплантата по отношению к нижнечелюстному каналу и документировать степень его повреждения. Программное обеспечение Ez3D-iV4.3.0 от Vatech предполагает огромный функциональный набор. Применительно к диагностике повреждения нерва после имплантации в данном софте в режиме высокого качества разрешения возможна трехпроекционная реконструкция, с возможностями переориентации осей, с измерением габаритов объекта исследования в масштабе 1:1(рис.3).

Рис.3 Конусно-лучевая компьютерная томография от Vatech. На коронарной проекции определяется верхушка дентального имплантата 3.6, перфорирующая медиальную стенку нижнечелюстного канала.
Заключение:
Повреждение нижнего альвеолярного нерва типичное осложнение дентальной имплантации на нижней челюсти. Факторами риска травмы сосудисто- нервного пучка служат клинически значимые, но неучтенные при дентальной имплантации особенности строения и расположения нижнечелюстного канала в теле челюсти. Диагностика степени повреждения нерва основывается на клинико-рентгенологических данных и электрофизиологических исследованиях. Объективная информация о положении имплантат по отношению нижнечелюстного канала может быть получена при комплексном лучевом исследовании. Дентальная объемная томография может быть рекомендована в качестве метода выбора в диагностике повреждения нижнего альвеолярного нерва при дентальной имплантации.
Список литературы
Резюме
Периневральная опухолевая инвазия жевательного пространства по нижнечелюстному нерву - лучевая диагностика
а) Терминология:
• Периневральная злокачественная опухолевая инвазия (ПОИ) жевательного пространства (ЖП) по нижнечелюстному нерву (третья ветвь тройничного нерва)
б) Визуализация:
• Может развиваться по всей длине нерва, от подбородочного отверстия до его отхождения в области латерального края моста:
о Нерв увеличивается в размерах, достигая 1 см и более
о На ранних стадиях размеры нерва могут не превышать нормы
• КТ в костном окне:
о Расширение нижнего альвеолярного канала, отверстия нижней челюсти, овального отверстия
• МРТ:
о Аномальное накопление контраста проще всего заметить на Т1 ВИ с контрастированием в коронарной проекции
о Режим подавления сигнала от жировой ткани (FS) увеличивает вероятность обнаружения
о Т1 ВИ без контраста и без режима FS: для выявления облитерации жировой ткани ниже овального отверстия
• КТ с контрастированием обладает меньшей чувствительностью, рекомендуется выполнение МРТ
• МРТ: высокая чувствительность, но низкая специфичность
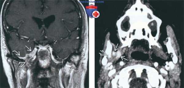
(Слева) Схема коронарной проекции, показана типичная злокачественная опухоль жевательного пространства, которая по волокнам нижнечелюстного нерва распространяется до овального отверстия и полости черепа.
(Справа) Пациент, у которого в анамнезе имеются сведения о пролеченном аде-нокисгозном раке щечного пространства. Онемение в области подбородка заставляет заподозрить рецидив опухоли и наличие периневральной инвазии. При МРТ Т1ВИ с КУ в коронарной проекции определяется опухоль, поражающая нижнечелюстной нерв в области жевательного пространства носоглотки. Опухоль проходит через овальное отверстие Я и начинает прорастать в тройничную полость. (Слева) МРТ Т1ВИ FS с КУ, аксиальная проекция, этот же пациент. Периневральное распространение опухоли в области нижнечелюстного отверстия. Обратите внимание, что с противоположной стороны накопление контраста минимальное. Однозначно, если рентгенолог целенаправленно не обращает внимание на этот признак, поставить правильный диагноз будет невозможно.
(Справа) МРТ Т1ВИ FS с КУ, аксиальная проекция, этот же пациент. Вокруг нижнечелюстного нерва, идущего в сторону овального отверстия, визуализируется опухолевая ткань, накапливающая контрастное вещество.
в) Дифференциальная диагностика:
• Асимметрия крыловидного венозного сплетения
• Наличие нормальных сосудов, питающих нижнечелюстной нерв
• Шваннома нижнечелюстного нерва
• Нейрофиброма нижнечелюстного нерва
• Менингиома основания черепа
г) Клинические особенности:
• Часто протекает бессимптомно (40%)
• Парестезии, онемение нижней половины лица, денервация жевательных мышц
д) Диагностическая памятка:
• Список злокачественных опухолей, которые могут распространяться по нижнечелюстному нерву:
о Рак кожи подбородка и челюсти (плоскоклеточный рак, базальноклеточный рак, меланома)
о Первичный рак полости рта и глотки (плоскоклеточный рак, аденокистозный рак)
о Злокачественные опухоли жевательного пространства (саркома, неходжкинская лимфома)
о Первичный рак околоушной железы (распространение по ушно-височному нерву)
Моторная денервация нижнечелюстного нерва - лучевая диагностика
а) Терминология:
• Сокращения: тройничный нерв (ЧН V)
• Нижнечелюстной нерв: третья ветвь тройничного нерва (ЧН 5-V3), единственная ветвь, имеющая двигательный компонент
• Денервационная атрофия: нарушения со стороны мышц, вызванные отсутствием иннервации:
о Острая (< 1 месяца): мышцы несколько увеличены за счет отека; наблюдается накопление контраста
о Подострая (< 12-20 месяцев): начинаются процессы атрофии и жировой дегенерации
о Хроническая (> 12-20 месяцев): жировая атрофия мышечной ткани со значительным снижением ее объема
(Слева) МРТ Т2ВИ FS, аксиальная проекция. Наблюдается повышенная интенсивность сигнала крыловидных мышц и глубокой части височной мышцы. Затемнение ячеек сосцевидного отростка говорит о дисфункции слуховой трубы вследствие паралича мышцы, напрягающей небную занавеску. У этого пациента была обнаружена менингиома, локализующаяся в тройничной полости (здесь не отображена).
(Справа) МРТ Т1ВИ FS с КУ, коронарная проекция, этот же пациент: умеренное накопление контраста в крыловидных мышцах и уменьшение в размерах трубного валика. Такие находки говорят о подострой денервационной атрофии нижнечелюстного нерва. (Слева) МРТ Т1ВИ, коронарная проекция. Хроническая жировая атрофия левой височной и жевательной мышц? которая говорит о хроническом повреждении нижнечелюстного нерва. По сравнению со здоровой стороной левая челюстно-подъязычная мышца также уменьшена в размерах, имеется незначительная жировая инфильтрация.
(Справа) МРТ Т1ВИ в аксиальной проекции, этот же пациент. Правая челюстно-подъязычная мышца и подкожная мышца шеи интактны. Их отсутствие/сильная атрофия слева говорят, что повреждены и нижнечелюстной (челюстно-подъязычная мышца), и лицевой (подкожная мышца шеи) нервы.
б) Визуализация:
• Вовлеченные мышцы: жевательное пространство (жевательная мускулатура), носоглотка (мышца, напрягающая небную занавеску), переднее брюшко двубрюшной мышцы и челюстно-подъязычная мышца
• Острая: повышение интенсивности сигнала от отечных мышц на Т2 ВИ и аномальное накопление контраста
• Подострая: увеличение интенсивности сигнала на Т2 ВИ и аномальное накопление контраста (менее выражено)
• Хроническая: жировая инфильтрация мышц со снижением их объема
• Рекомендации по выполнению МРТ:
о Подавление сигнала от жира/STIR приводит к более выраженному увеличению интенсивности сигнала на Т2 ВИ
о Подавление сигнала от жира на Т1 ВИ с контрастированием делает более заметным накопление контраста
в) Патология:
• Доброкачественные или злокачественные опухоли, повреждающие нижнечелюстной нерв
• Вторая по распространенности причина - хирургическая травма
г) Диагностическая памятка:
• Прежде всего необходимо определить заинтересованные мышцы и сделать вывод о повреждении нижнечелюстного нерва
• Затем следует выяснить природу денервации
• Собрать анамнез на предмет травм или оперативных вмешательств
• Если сведения анамнеза неспецифичны, необходимо исключить злокачественную опухоль
о Поиск периневральной инвазии нижнечелюстного нерва
а) Терминология:
1. Аббревиатуры:
• Периневральная опухоль (ПНО), жевательное пространство (ЖП), нижнечелюстная ветвь тройничного нерва (ЧМН V3)
2. Синонимы:
• Периневральное распространение, периневральная инвазия
3. Определение:
• ПНО ЧМН V3: распространение злокачественной опухоли вдоль ЧМН V3 из ЖП в меккелеву полость (МП) через овальное отверстие
• ЧМН V3: третья ветвь тройничного нерва (ЧМН V)
• МП: маленькая цистерна ЧМН V:
о С внутренней стороны МП находится тройничный ганглий
• Тройничный ганглий (Гассеров узел, полулунный ганглий): крупный ганглий ЧМН V в МП
б) Визуализация:
1. Общая характеристика:
• Лучший диагностический критерий:
о МРТ (Т1 ВИ С+): утолщенный, контрастирующийся V3
• Локализация:
о ПНО может возникать вдоль всего ЧМН V3 или его отдельных сегментов от подбородочного отверстия до зоны вхождения корешка на боковой поверхности моста:
- Нижний альвеолярный нерв: в нижнем альвеолярном канале от подбородочного отверстия до нижнечелюстного отверстия
- Нижнечелюстная ветвь ЧМН V3: в ЖП от нижнечелюстного отверстия до овального отверстия
- Овальное отверстие: отверстие основания черепа, пропускающее ЧМН V3
- МП: содержит тройничный ганглий; находится снизу, изнутри и сзади от кавернозного синуса
- Преганглионарный сегмент ЧМН V3: от МП до зоны вхождения корешка на боковой поверхности моста
• Размер:
о Нерв обычно утолщен, достигает 1 см в поперечнике
о При ранней ПНО нерв может иметь нормальную толщину
• Морфология:
о Вытянутая форма; по ходу V3

(Слева) На аксиальной МРТ (Т1 ВИ) у пациента, ранее пролеченного по поводу плоскоклеточного рака носоглотки, определяется замещение нормального жирового костного мозга в ветви нижней челюсти справа наряду с патологической мягкой тканью на уровне нижнечелюстного отверстия (ПНО ЧМН V3). Обратите внимание на нормальный гиперинтенсивный сигнал в жировом костном мозге в ветви нижней челюсти слева.
(Справа) На аксиальной МРТ (Т1 ВИ) у этого же пациента определяется ПНО ЧМН V3 с облитерацией жировых плааинок в жевательном пространстве.
2. КТ при периневральной опухоли в жевательном пространстве:
• КТ с КУ:
о Контрастирование утолщенного ЧМН V3
о Патологическое контрастирование, вдавление в кавернозный синус и МП
• КЛКТ и КТ в костном окне:
о Расширение нижнего альвеолярного канала в нижней челюсти
о Расширение нижнечелюстного отверстия
о Расширение овального отверстия
3. МРТ при периневральной опухоли в жевательном пространстве:
• Т1 ВИ:
о Инфильтрация мышц в ЖП и жировой ткани вокруг ЧМН V3
о Ткань в нижнечелюстном отверстии; замещение жирового костного мозга ветви нижней челюсти промежуточным сигналом
о Облитерация жировой подушки ниже овального отверстия
о Утолщение ЧМН V3
о Жировая инфильтрация жевательных мышц (хроническая атрофия на фоне денервации ЧМН V3)
• Т2 ВИ:
о Расширение МП с отсутствием нормального жидкостного сигнала
о Повышение интенсивности сигнала в отечном нерве: плохо различимый и ненадежный признак
• Т1 ВИ С+:
о Контрастирование утолщенного экстракраниального ЧМН V3:
- В нижнем альвеолярном канале нижней челюсти (нижний альвеолярный нерв)
- От нижнечелюстного отверстия до подбородочного отверстия (нижнечелюстной нерв)
о Контрастирование нерва в овальном отверстии:
- В норме нерв имеет сигнал низкой интенсивности
- Учитывайте, что возле нерва могут находиться вены
- В норме возможно контрастирование крыловидного венозного сплетения
о Расширение и контрастирование МП
о Контрастирование мышц в ЖП (острая-подострая денервация V3)
4. Сцинтиграфия:
• ПЭТ:
о Накопление по ходу V3 сложно отличить от накопления в головном мозге и первичной опухоли
о Применима комбинированная ПЭТ/КТ; менее эффективна, чем МРТ
5. Рекомендации по визуализации:
• Лучший метод визуализации:
о КТ с КУ нечувствительна в выявлении ПНО; рекомендуется МРТ
о МРТ обладает высокой чувствительностью, но неспецифична для ПНО ЧМН V3:
- В норме нервы асимметрично накапливают контраст у 5% пациентов
• Выбор протокола:
о Корональная Т1 С+ наиболее подходит для выявления патологии экстракраниальных сегментов ЧМН V3, овального отверстия, интракраниальной контрастирующейся ПНО
- Жироподавление увеличивает заметность ПНО
о Корональная МРТ (Т1 ВИ) без жироподавления применима для оценки облитерации жировых подушек ниже овального отверстия

(Слева) На корональной МРТ (Т1 ВИ С+) у этого же пациента определяется ПНО ЧМН V3 с распространением через овальное отвераиев меккелеву полость и кнаружи вдоль твердой оболочки в средней черепной ямке.
(Справа) На аксиальной КТ с КУ у этого же пациента визуализируется контрастирующаяся опухоль в нижнечелюстном отверстии справа наряду с патологическим контрастированием нижнечелюстной ветви V3 в жевательном пространстве.
в) Дифференциальная диагностика периневральной опухоли в жевательном пространстве:
1. Асимметрия крыловидного венозного сплетения:
• Нормальное венозное сплетение в крыловидной мышце в ЖП и вокруг нее
• Может достигать овального отверстия, но не входит в него
• Часто наблюдается асимметрия
2. Шваннома ЧМН V3 в ЖП:
• Доброкачественное новообразование оболочки ЧМН V3
• Промежуточный Т1 сигнал, неоднородный гиперинтенсивный Т2
• Возможно неравномерное контрастирование с наличием интрамуральных кист
• Проходя через овальное отверстие, принимает форму гантели на корональных изображениях
• Может возникать в любых отделах по ходу ЧМН V3
3. Нейрофиброма ЧМН V3:
• ЧМН V3 - нетипичная локализация нейрофибромы
• Проходя через овальное отверстие, принимает форму гантели на корональных изображениях
• Равномерно накапливает контраст
• Может распространяться вдоль ветвей ЧМН V3
4. Нормальный костный мозг основания черепа вокруг овального отверстия:
• Жировой костный мозг вокруг овального отверстия: гиперинтенсивный Т1 сигнал
• Гиперинтенсивный Т1 сигнал рядом с овальным отверстием
• В отверстии костный мозг отделен от нерва темной кортикальной пластинкой
• Т1 FS позволяет отличить жир от накопления контраста
5. Менингиома основания черепа:
• Доброкачественное новообразование оболочек мозга
• Изоинтенсивна мозгу на Т1 и Т2 последовательностях
• Интенсивное однородное контрастирование
• Может распространяться в овальное отверстие и за его пределы
6. Кровеносные сосуды ЧМН V3:
• Маленькие вены, в норме сопровождающие ЧМН V3 через овальное отверстие
• МРТ Т1 С+: неявное периферическое контрастирование
• Нерв остается темным на Т1 С+
7. Нормальная жировая подушка ЧМН V3:
• Жировые подушки в норме видны в точках выхода ЧМН из моста
• Сигнал высокой интенсивности вокруг нерва
• Не распространяется в овальное отверстие
• МРТ (Т1 С+) позволяет отличить жир от контрастного усиления

(Слева) На аксиальной КТ в костном окне определяется расширение правого овального отверстия относительно левого, обусловленное ПНО ЧМН V3.
(Справа) На аксиальной КТ с КУ у этого же пациента визуализируется периневральная опухоль ЧМН V3, распроараняющаяся через овальное отверстие в меккелеву полость и среднюю черепную ямку. Обратите внимание, что меккелева полость слева имеет нормальную плотность, соответавующую ликвору.
г) Патология:
1. Общая характеристика:
• Этиология:
о Периневральное распространение является «путем наименьшего сопротивления» для опухолей с предрасположенностью к таковому
о Опухолевая экспрессия фактора роста нерва или нейрональных клеточных молекул адгезии может соотноситься с предрасположенностью к ПНО
• Опухоль может распространяться за пределы оболочки нерва или вовлекать поддерживающие ткани (эндоневрий, периневрий,эпиневрий)
• Любая злокачественная опухоль способна к периневральному распространению
2. Макроскопические и хирургические особенности:
• Утолщение нерва
• Замещение ЧМН V3 за счет его обрастания
3. Микроскопия:
• Периневральное распространение = макропатологический или рентгеновский диагноз распространения опухоли вдоль нерва
• Периневральная инвазия = микроскопический признак опухоли в нервных пучках
д) Клинические особенности:
1. Проявления:
• Типичные признаки/симптомы:
о Симптоматика часто отсутствует (40%)
о Парестезия нижней части лица
о Боль или онемение челюстей
о Денервационная атрофия жевательной мышцы
2. Демография:
• Возраст:
о 50-80 лет (для типичных первичных опухолей)
• Пол:
о М > Ж, т.к. плоскоклеточный рак (ПКР), часто проявляющийся ПНО ЧМН V3, больше распространен у мужчин
• Эпидемиология:
о Опухоли с наибольшей склонностью к периневральному распространению:
- Аденокистозный рак
- Плоскоклеточный рак глотки или кожи
- Десмопластическая меланома кожи
- Неходжкинская лимфома (НХЛ)
- Мукоэпидермоидный рак
3. Течение и прогноз:
• ПНО значительно ухудшает прогноз пациента
• ПНО крайне отрицательный прогностический фактор:
о ↑ местный рецидив
о ↑ отдаленные метастазы о ↑ менингеальный карциноматоз
о ↓ выживаемость
• Дефекты ЧМН обычно не исчезают после лечения
4. Лечение:
• Лучевая терапия ± операция и химиотерапия
д) Диагностическая памятка:
1. Следует учесть:
• Первичные злокачественные новообразования, которые могут приводить к ПНО ЧМН V3:
о ПКР или меланома кожи подбородка и челюсти
о ПКР альвеолярного гребня (десны), позадимолярного треугольника, глубоких отделов миндалины, носоглотки
о Злокачественная опухоль ЖП (саркома, НХЛ)
о Злокачественная опухоль околоушной железы:
- Может распространяться от ЧМН VII до ЧМН V3 по ходу ушно-височного нерва
2. Советы по интерпретации изображений:
• При подозрении на ПНО ЧМН V3 исследуйте ЧМН V от подбородочного отверстия нижней челюсти до зоны вхождения корешка на боковой поверхности моста:
о Ищите асимметричное утолщение и контрастирование ЧМН V3
о Используйте МРТ Т1 С+ с жироподавлением в аксиальной и корональной плоскости для улучшения видимости поражения
• Не путайте крыловидное венозное сплетение (норма) с ПНО:
о Ищите контрастное усиление ЧСН V3
• Остерегайтесь «прыгающих поражений»:
о Неизмененные сегменты нерва между несообщающимися ПНО
е) Список использованной литературы:
1. Badger D et al: Imaging of perineural spread in head and neck cancer. Radiol Clin North Am. 55(1):139-149, 2017
2. Bourque PR et al: Combined isolated trigeminal and facial neuropathies from perineural invasion by squamous cell carcinoma: a case series and review of the literature. J Clin Neurosci. 35:5-12, 2017
3. Dulamea AO et al: Perineural spreading along the trigeminal nerve in a squamous cell carcinoma of the tongue. Acta Neurol Belg. 115(4):699-701, 2015
4. Warden KF et al: Perineural spread of cancer along the three trigeminal divisions. J Neuroophthalmol. 29(4):300-7, 2009
5. Ojiri H: Perineural spread in head and neck malignancies. Radiat Med. 24(1):1-8, 2006
1. Аббревиатуры:
• Периневральная злокачественная опухолевая инвазия (ПОИ) жевательного пространства (ЖП) по нижнечелюстному нерву (третья ветвь тройничного нерва)
2. Синонимы:
• Периневральное распространение, периневральная инвазия
• Тройничный ганглий = гассеров узел, полулунный ганглий
3. Определения:
• ЧН V3: третья ветвь тройничного нерва (ЧН V)
• Периневральная инвазия ЧН V3: злокачественный опухолевый рост вдоль волокон нижнечелюстного нерва, благодаря которому новообразование может через овальное отверстие проникнуть в тройничную полость
• Тройничная полость: небольшая цистерна, в которой находится тройничный нерв:
о В переднем отделе расположен тройничный ганглий
1. Общая характеристика:
• Лучший диагностический критерий:
о На Т1ВИ с контрастированием визуализируется увеличенный нижнечелюстной нерв, накапливающий контраст
• Локализация:
о Может наблюдаться по всей длине нерва, от подбородочного отверстия до его отхождения в области латерального края моста:
- Нижний альвеолярный нерв: в нижнем альвеолярном канале от подбородочного отверстия до отверстия нижней челюсти
- Нижнечелюстная ветвь, ЧН-V3: от отверстия нижней челюсти до овального отверстия
- Овальное отверстие: отверстие в основании черепа, через которое проходит нижнечелюстной нерв
- Тройничная полость: цистерна, расположенная ниже и латеральнее пещеристого синуса, в которой расположен тройничный ганглий
- Преганглионарный сегмент нижнечелюстного нерва: небольшой участок от тройничной полости до места отхождения нерва от латерального края моста
• Размер:
о Обычно нерв увеличивается в размерах, достигая 1 см
о На ранней стадии размер может оставаться нормальным
• Морфология:
о Линейная форма, соответствует анатомическому ходу нерва

(Слева) МРТ Т1ВИ в аксиальной проекции, пациент, которому ранее проводилось лечение по поводу плоскоклеточного рака носоглотки. Костный мозг в правой ветви нижней челюсти замещен опухолевой тканью, на уровне отверстия нижней челюсти также определяется патологическая ткань, появление которой связано с распространением опухоли по нижнечелюстному нерву. Обратите внимание на нормальный костный мозг левой ветви нижней челюсти, который имеет гиперинтенсивный сигнал.
(Справа) МРТ Т1ВИ в аксиальной проекции, этот же пациент. Периневральное распространение опухоли по нижнечелюстному нерву с облитерацией жировой клетчатки жевательного пространства.
2. КТ при периневральной опухолевой инвазии жевательного пространства по нижнечелюстному нерву:
• КТ с КУ:
о Нерв расширен и накапливает контраст
о Аномальное накопление контрастного вещества расширенным пещеристым синусом и тройничной полостью
• КТ в костном окне:
о Расширение нижнего альвеолярного канала
о Расширение отверстия нижней челюсти
о Увеличение овального отверстия
3. МРТ при периневральной опухолевой инвазии жевательного пространства по нижнечелюстному нерву:
• Т1ВИ:
о Инфильтрация жевательных мышц и жировой клетчатки, окружающей нерв
о Ткань в пределах нижнечелюстного отверстия; интенсивность сигнала от низкой до промежуточной, замещается костный мозг ветви нижней челюсти
о Облитерация жировой клетчатки ниже овального отверстия
о Увеличение размеров нижнечелюстного нерва
о Ранний отек жевательных мышц с их последующей хронической жировой атрофией
• Т2ВИ:
о Расширение тройничной полости, исчезновение нормального жидкостного сигнала
о Повышение интенсивности сигнала от отечного нерва - ненадежный и недостоверный признак
• Т1ВИ с контрастированием:
о Расширенный внечерепной сегмент нижнечелюстного нерва, интенсивно накапливающий контраст:
- Нижний альвеолярный канал нижней челюсти (нижний альвеолярный нерв)
- От отверстия нижней челюсти до овального отверстия (нижнечелюстной нерв)
о Накопление контраста нервом в пределах овального отверстия:
- В норме: низкая интенсивность сигнала
- Следует помнить о vasa nervosa
- Следует помнить об асимметрии крыловидного венозного сплетения
о Увеличение тройничной полости, накопление в ней контрастного вещества
о Накопление контраста жевательными мышцами (острая и подострая стадии денервации)
4. Сцинтиграфия:
• ПЭТ:
о Захват радиофармпрепарата вдоль нижнечелюстного нерва сложно дифференцировать от первичной опухоли, головного мозга
о Возможно использование ПЭТ/КТ, но МРТ более информативна
5. Рекомендации по визуализации:
• Лучший метод визуализации:
о КТ с контрастированием менее чувствительна, рекомендуется проведение МРТ
о МРТ: очень высокая чувствительность, но низкая специфичность:
- У здоровых пациентов асимметрия накопления контраста нервами встречается в 5% случаев
• Протокол исследования:
о Аномальное накопление контраста проще всего заметить на Т1 ВИ с контрастированием в коронарной проекции:
- Режим подавления сигнала от жировой ткани (FS) увеличивает вероятность обнаружения
- В FS возможно появление чувствительных артефактов, которые затрудняют обнаружение периневральной инвазии
о Т1ВИ без контраста и без режима FS можно использовать для того, чтобы обнаружить облитерацию жировой ткани ниже овального отверстия

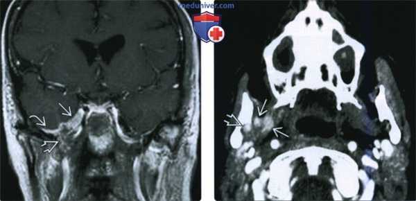
(Слева) МРТ Т1ВИ с КУ, коронарная проекция, этот же пациент. По нижнечелюстному нерву опухоль распространяется в овальное отверстие и тройничную полость. Также опухоль прорастает латеральнее, в твердую мозговую оболочку средней черепной ямки.
(Справа) КТ с КУ в аксиальной проекции, этот же пациент. В области правого отверстия нижней челюсти определяется накапливающая контраст опухоль. В жевательном пространстве видны участки аномального накопления контраста вдоль волокон нижнечелюстного нерва.
в) Дифференциальная диагностика периневральной опухолевой инвазии жевательного пространства по нижнечелюстному нерву:
1. Асимметрия крыловидного венозного сплетения:
• Венозное сплетение, которое в норме расположено внутри и вокруг жевательных мышц
• Может распространяться до уровня овального отверстия, но внутрь его не входит
• Размеры правого и левого сплетения часто неодинаковы
2. Шваннома нижнечелюстного нерва в ЖП:
• Доброкачественная опухоль оболочки нижнечелюстного нерва
• Промежуточная интенсивность сигнала на Т1 ВИ, неоднородная высокая интенсивность на Т2 ВИ
• При наличии интрамуральных кист возможно неоднородное накопление сигнала
• Опухоль, которая распространяется в овальное отверстие, на коронарных срезах имеет вид колокола
• Может возникать на любом участке нерва
3. Нейрофиброма нижнечелюстного нерва:
• Здесь локализуется редко
• Опухоль, которая распространяется в овальное отверстие, на коронарных срезах имеет вид колокола
• Однородное накопление контрастного вещества
• Может распространяться по ветвям нижнечелюстного нерва
4. Костный мозг костей основания черепа возле овального отверстия:
• Костный мозг костей основания черепа имеет сигнал высокой интенсивности на Т1 ВИ
• Участок гиперинтенсивного сигнала вокруг овального отверстия
• Внутри отверстия ткань костного мозга отделена от нерва кортикальным слоем кости, который при МРТ имеет черный цвет
• Т1 ВИ FS позволяют отличить жировую клетчатку от тканей с интенсивным накоплением контраста
5. Менингиома основания черепа:
• Доброкачественная опухоль мозговых оболочек
• На Т1 и Т2 ВИ интенсивность сигнала соответствует сигналу головного мозга
• Однородное интенсивное накопление контраста
• Может распространяться в овальное отверстие и далее
6. Vasa nervorum нижнечелюстного нерва:
• Небольшие вены, которые в норме сопровождают нижнечелюстной нерв и также следуют через овальное отверстие
• Умеренное периферическое накопление контраста на Т1 ВИ с контрастированием
• Сам нерв на Т1 ВИ с контрастом остается темным
7. Нормальная жировая клетчатка:
• В месте выхода черепных нервов в норме имеется жировая клетчатка
• Участки сигнала высокой интенсивности, окружающие нерв
• Не распространяется за овальное отверстие
• Чтобы отличить жировую клетчатку от накопления контраста необходимо выполнить Т1 FS МРТ или сравнить Т1 ВИ с контрастированием с Т1 ВИ без контрастирования

(Слева) КТ в костном окне, аксиальная проекция. По сравнению с нормальным левым овальным отверстием правое овальное отверстие увеличено в размерах. Расширение отверстия обусловлено распространением злокачественной опухоли по нижнечелюстному нерву.
(Справа) КТ с КУ, аксиальная проекция. По волокнам нижнечелюаного нерва опухоль распространилась в тройничную полость и среднюю черепную ямку. Обратите внимание, что с левой стороны тройничная полость имеет нормальную плотность, соответствующую плотности спинномозговой жидкости.
1. Общая характеристика:
• Этиология:
о «Путь наименьшего сопротивления» для опухолей, способных к периневральной инвазии
о Экспрессия опухолью факторов роста нервов или молекул адгезии нервных клеток определяет способность новообразования к периневральному распространению
• Опухоль способна распространяться за нервную оболочку или поражать поддерживающие ткани внутри оболочки (эндонев-рий,периневрий,эпиневрий)
• Любая злокачественная опухоль способна к периневральной инвазии
2. Макроскопические и хирургические особенности:
• Увеличение нерва в размере
• Инкапсуляция-замещение нерва
3. Микроскопия:
• Периневральное распространение = морфологические/рентгенологические признаки прорастания опухоли вдоль нервного ствола
• Периневральная инвазия = обнаружение опухолевых клеток в нервной ткани при микроскопии
1. Проявления:
• Типичные признаки/симптомы:
о Часто протекает бессимптомно (40%)
о Парестезии нижней части лица
о Боль или онемение в области челюсти
о Денервационная атрофия жевательной мускулатуры
2. Демография:
• Возраст
о 50-80 лет (как при наиболее распространенных первичных опухолях)
• Пол:
о М>Ж, поскольку ПКР чаще встречается у мужчин
• Эпидемиология:
о Опухоли с наибольшей способностью к периневральному распространению:
- Аденокистозный рак
- Плоскоклеточный рак глотки или кожи
- Десмопластическая меланома кожи
- Неходжкинская лимфома
- Мукоэпидермоидный рак
- Базальноклеточный рак
3. Течение и прогноз:
• От наличия периневральной инвазии зависит прогноз
• Крайне неблагоприятный прогностический признак:
о ↑ риск локального рецидива
о ↑ отдаленных метастазов
о ↑ канцероматоз мозговых оболочек
о ↓ выживаемость
• Вероятность восстановления функции черепных нервов после лечения крайне невелика
4. Лечение:
• Лучевая терапия ± хирургическое лечение и химиотерапия
е) Диагностическая памятка:
1. Следует учесть:
• Участки локализации первичной опухоли, которые способны к распространению по нижнечелюстному нерву:
о Кожа подбородка и челюсти (плоскоклеточный рак, меланома, базальноклеточный рак)
о Альвеолярный гребень, позадимолярный треугольник (плоскоклеточный рак небных миндалин и носоглотки)
о Злокачественные опухоли жевательного пространства (саркома, неходжкинская лимфома)
о Злокачественные опухоли околоушной слюнной железы (особенно аденокистозный рак):
- По ушно-височному нерву, ветви лицевого нерва, может распространиться на нижнечелюстной нерв
о У некоторых пациентов выявить первичный очаг не удается:
- Пациенты с раком удаленных участков кожи могут не вспомнить или не сказать о наличии диагноза
2. Советы по интерпретации изображений:
• Нижнечелюстной нерв нужно отследить от подбородочного отверстия до места его отхождения от латерального края моста:
о Обращать внимание на разницу в размерах и накоплении контраста правого и левого нервов
о Наличие периневральной инвазии лучше всего оценивать на Т1 ВИ FS с контрастированием в аксиальной и коронарной проекциях:
- Если артефакты чувствительности затрудняют поиск периневральной инвазии, отключить режим FS
• Не следует путать крыловидное венозное сплетение с периневральной инвазией:
о Следует оценить накопление контраста нижнечелюстным нервом
• Следует помнить о возможности «сегментарного поражения»:
о Участки здорового нерва между сегментами с прорастанием опухоли
ж) Список использованной литературы:
1. Singh FM et al: Patterns of spread of head and neck adenoid cystic carcinoma. Clin Radiol. 70(6):644-53, 2015
2. Curtin HD: Detection of perineural spread: fat suppression versus no fat suppression. AJNR Am J Neuroradiol. 25(1):1-3, 2004
3. Ginsberg LE: MR imaging of perineural tumor spread. Magn Reson Imaging Clin N Am. 10(3):511-25, vi, 2002
Читайте также:
