Почечно-клеточный рак
Добавил пользователь Владимир З. Обновлено: 29.01.2026
Вструктуре всех злокачественных новообразований взрослого населения почечно-клеточный рак составляет 2-3%, при этом заболеваемость раком почки в большинстве развитых стран увеличивается: ежегодный прирост показателя заболеваемости составляет 1,5-5,9% [1, 2]. В России в 2005 г. рак почки впервые диагностирован у 8778 больных, при этом всего на учете состояло 15 733 пациента. Стандартизованный показатель заболеваемости составил 7,64 на 100 тыс. населения, а прирост заболеваемости в течение 10 лет -53,66%. По темпам прироста заболеваемости рак почки уступает только новообразованиям предстательной и щитовидной железы [3].
Хотя в 70-80% случаев рак почки диагностируются на стадии локализованного опухолевого процесса, более чем у 1/2 пациентов после оперативного лечения развиваются метастазы [4]. Прогноз течения заболевания при развитии метастатического процесса у больных почечно-клеточным раком крайне пессимистичный: при отсутствии специфического лечения период до прогрессирования составляет 2-4 мес, а средняя продолжительность жизни после выявления метастазов не более 10-13 мес [5]. Для оценки прогноза развития рака почки используют разные факторы, связанные с характеристиками опухоли и пациента: морфологический тип новообразования (светлоклеточный, хромофобный, папиллярный), степень дифференцировки по Фурману, стадию заболевания, число и локализацию метастатических очагов, возраст и статус пациента на момент выявления заболевания. В клинической практике и при проведении исследований у больных метастатическим раком почки широко применяется прогностическая шкала (сумма баллов) MSKCC, предложенная Motzer и включающая оценку уровня лактатдегидро-геназы, гемоглобина и кальция, а также статуса больного по шкале ECOG или Karnofsky и наличие или отсутствие в анамнезе нефрэктомии [6]. Основываясь на данных прогностических факторов, выделяют группы низкого риска прогресси-рования (отсутствие факторов риска), умеренного риска (1 или 2 фактора риска) и высокого риска (3, 4 или 5 неблагоприятных факторов прогноза). Определение индивидуального прогноза у больного с метастатическим раком почки в настоящее время имеет большое значение при выборе наиболее эффективной тактики лечения.
Учитывая то, что почечно-клеточный рак относится к опухолям, практически не чувствительным к химиотерапии ци-тостатическими препаратами, лечение метастатических новообразований почки остается крайне трудной задачей. В большинстве клинических исследований, посвященных изучению эффективности цитостатиков у больных метастатическим раком почки, суммарный ответ на лечение составил не более 0-6%. Работы, демонстрирующие более высокий уровень противоопухолевого эффекта (10-25%), немногочисленны и включали небольшое число больных, в последующих исследованиях эффективность описанных схем не подтверждалась. В рандомизированных исследованиях показано, что химиотерапия не влияет на выживаемость больных, средняя продолжительность жизни пациентов составляет только 6 мес [7]. Одним из наиболее изученных механизмов, объясняющих устойчивость опухолей почки к химиотерапии, является гиперэкспрессия белка множественной лекарственной устойчивости (MDR-1, Р-гликопротеин) [8].
Несмотря на резистентность к цитостатической и гормональной терапии, опухоли почки обладают определенной чувствительностью к иммуногенным воздействиям. Известны феномен "спонтанной регрессии" метастазов рака почки, а также случаи длительной ремиссии при отсутствии специфического лечения, что косвенно свидетельствует об им-мунозависимости опухолевых клеток [9, 10]. Иммунотерапия цитокиновыми препаратами (интерферон-а - ИФН-а и ин-терлейкин-2 - ИЛ-2) является в настоящее время основным методом лечения метастатического рака почки. Применение цитокинов позволяет добиться у части больных частичной и реже полной регрессии метастазов, но суммарный объективный ответ на лечение не превышает 5-15% [7]. ИЛ-2 является единственным препаратом, одобренным FDA для лечения метастатического рака почки. Однако терапия ИЛ-2 приводит к клинической ремиссии и длительной выживаемости у очень небольшого числа больных почечно-клеточным раком, в основном с благоприятным прогнозом. Кроме того, к настоящему времени ни в одном контролируемом исследовании не выявлено преимуществ в выживаемости при проведении терапии ИЛ-2 по сравнению с плацебо или другим вариантом лечения [11, 12]. Иммунотерапия ИЛ-2 (особенно при внутривенном введении высоких доз препарата - наиболее эффективном варианте лечения) нередко сопровождается развитием серьезных токсических реакций, что существенно ограничивает возможность использования ИЛ-2 в амбулаторной практике. Терапия ИФН-а приводит к некоторому увеличению выживаемости по сравнению с контрольной группой (в среднем продолжительность жизни увеличивается на 3,8 мес), но эффект ИФН-а нестойкий и лечение редко приводит к длительной ремиссии [13]. Применение ИФН-а,
так же как и ИЛ-2, наиболее эффективно у пациентов группы хорошего прогноза, в то время как у больных с промежуточным и плохим прогнозом ИФН-а не приводит к улучшению выживаемости по сравнению с группой контроля [5].
Таким образом, исследования, посвященные изучению эффективности ИЛ-2 и ИФН-а у больных распространенным почечно-клеточным раком, продемонстрировали, что преимущества цитокиновой терапии ограничены тщательно отобранным контингентом больных с низким риском (хорошим прогнозом) заболевания. Имеются результаты, свидетельствующие о том, что больные с папиллярным раком почки не отвечают на терапию цитокинами [14]. Вследствие плохой переносимости цитокиновая терапия противопоказана у части пациентов, имеющих сопутствующую легочную, сердечно-сосудистую и аутоиммунную патологию. Следовательно, терапия цитокинами более чем в 80% случаев не подходит больным метастатическим раком почки.
Ангиогенез является ключевым патогенетическим механизмом роста злокачественного новообразования и диссе-минации опухолевого процесса, в связи с чем одними из основных целей противоопухолевой таргетной терапии являются внутриклеточные мишени, вовлеченные в процесс стимуляции ангиогенеза и опухолевого роста. При почечно-клеточном раке хорошо изучен сигнальный патогенетический путь, связанный с потерей активности гена VHL (von Hippel-Lindau) в результате мутации или метилирования. Ген VHL кодирует цитоплазматический белок, действующий как кислородный сенсор и представляющий собой мультипро-теиновый комплекс, который в состоянии нормоксии и нормальной функции гена VHL связывается с фактором, индуцируемым гипоксией (HIF1), снижая его количество. В состоянии гипоксии VHL-комплекс разрушается, в результате чего отмечается накопление HIF1, что приводит к гиперэкспрессии генов, кодирующих сосудистый эндотелиальный фактор роста (VEGF), тромбоцитарный фактор роста (PDGF), трансформирующий фактор роста (TGF-а), стимулирующие процесс ангиогенеза [15]. Болезнь VHL - аутосом-ный доминантный синдром, вызванный эмбриональными мутациями в гене VHL [16]. Этот наследственный синдром довольно редок, но в то же время установлено, что полная инактивация VHL гена наблюдается более чем в 76% спорадических случаев светлоклеточного рака почки [17]. Потеря экспрессии VHL гена приводит к накоплению HIF1 а в нор-моксическом состоянии, что в свою очередь стимулирует гиперэкспрессию проангиогенных факторов и, соответственно, стимулирует пролиферацию опухолевых клеток и ан-гиогенез.
Центральную роль в ангиогенезе играет VEGF, гиперэкспрессия данного фактора роста обеспечивает рост новых сосудов. В то же время избыточная продукция PDGF занимает ключевое место в процессе эндотелиальной стабилизации за счет стимуляции перицитов [19]. TGF-а является важным фактором аутокринной стимуляции роста и также способен непосредственно взаимодействовать с рецептором к эпителиальному фактору роста (EGFR), который гиперэкспрессиро-ван в 50-90% случаев рака почки [19]. Активация рецепторов EGFR и VEGF инициирует нисходящий каскад сигналов, включающих Raf/MEK/ERK путь. Raf-киназа - ключевой молекулярный компонент этого сигнального пути. В экспериментальных исследованиях показана взаимосвязь ее активности с клеточной выживаемостью и нарушением апоптоза, в связи с чем Raf-киназа рассматривается как еще одна важная цель системной терапии при почечно-клеточном раке
Разработано несколько препаратов, влияющих на разные внутриклеточные мишени, относящиеся к патогенетическому пути, связанному с инактивацией гена VHL. К препаратам, влияющим на клеточную пролиферацию, относятся цетукси-маб (cetuximab), панитумумаб (panitumumab), лапатиниб (lapatinib), гефитиниб (gefitinib).
Панитумумаб - высокоспецифичное человеческое моно-клональное антитело к EGFR [21].
Лапатиниб - активный ингибитор EGFR- и ErbB2-тирозин-киназ [22].
Цетуксимаб - антитело к EGFR. Объективного ответа на лечение не наблюдалось, дальнейшие клинические исследования с применением цетуксимаба в качестве монотерапии для лечения диссеминированного рака почки не планируются [23, 24].
К препаратам, ингибирующим ангиогенез, относятся бева-цизумаб (bevacizumab), сунитиниб (sunitinib) и пазопаниб (pazopanib).
Бевацизумаб (Авастин) представляет собой рекомбинант-ное человеческое моноклональное антитело, связывающееся с VEGF и ингибирующее его биологическую активность как in vitro, так и in vivo [25].
Пазопаниб относится к пероральным ингибиторам тиро-зинкиназ и подавляет ангиогенез, взаимодействуя с рецепторами к VEGF-1, VEGF-2 и VEGF-3 [26].
Сунитиниб (Sutent) является низкомолекулярным ингибитором тирозинкиназы VEGFR и PDGFR, который одобрен в качестве препарата для монотерапии распространенного почечно-клеточного рака в США и в некоторых странах Европы. Эффективность препарата изучена в двух последовательных многоцентровых исследованиях 2-й фазы у 63 и 105 пациентов с метастатическим раком почки, не получивших эффекта от терапии цитокинами [27, 28]. Частота частичных регрессий в этих исследованиях составила 40-43%, стабилизации более чем на 3 мес - 22-27%. Во время процесса терапии сунитинибом наблюдались различные побочные реакции, наиболее частыми из них со степенью токсичности >3 являлись нейтропения (13-16%), слабость (11%), диарея (3%), ладонно-подошвенный дерматит (7%), гипертензия (6%), тошнота (3%), стоматит (2-5%), снижение фракции выброса левого желудочка > 20% (5%). В исследовании 3-й фазы срав
нивали эффективность терапии сунитинибом и ИФН-а в качестве 1-й линии у больных метастатическим раком почки. При этом сунитиниб приводил к достоверно более длительной безрецидивной выживаемости больных, чем ИФН-а [29].
Одной из мишеней для противоопухолевой терапии у больных почечно-клеточным раком является также mammalian target of rapamycin (mTOR), серин/треонинкиназа, которая играет важную роль в регуляции клеточного роста и пролиферации, а также увеличивает экспрессию гена HIF1 а и как следствие стимулирует ангиогенез. К препаратам-ингибиторам mTOR относятся темсиролимус (temsirolimus) и
RAD001 (everolimus) [24, 30].
Сорафениб (Нексавар) является наиболее универсальным из класса таргетных препаратов, который обладает активностью мультикиназного ингибитора, подавляющего как клеточную пролиферацию, так и ангиогенез. Препарат способен воздействовать на рецепторные тирозинкиназы (VEGFR-2, VEGFR-3, PDGF-в, RET, c-KIT), а также инактивировать се-рин/треонинкиназы (C-Raf, B-Raf) в опухолевых клетках и в клетках сосудов опухоли. Способность сорафениба угнетать рост и пролиферацию опухолевых клеток, а также ингибиро-вать неоангиогенез показана в экспериментальных работах на разных моделях опухолей человека у животных [31]. Исследования 1-й фазы переносимости сорафениба включали группу из 173 больных с распространенными формами солидных опухолей, из них у 11 пациентов наблюдался рак почки [32, 33]. В этих исследованиях показана в общем хорошая переносимость препарата как при постоянном, так и при интермиттирующем режиме лечения и выработана доза сорафениба, которая использовалась в последующих протоколах - 400 мг перорально 2 раза в сутки непрерывно.
Эффективность и переносимость сорафениба также изучены в исследованиях 2-й фазы. В одном из плацебо-контро-лируемых рандомизированных исследований (RDT), включающих первичных и прогрессировавших после первичного лечения больных метастатическим раком почки, пациенты получали препарат (400 мг перорально 2 раза в сутки) в течение 12-недельного периода включения с последующей рандомизацией для продолжения терапии сорафенибом или плацебо [24]. Непрерывное лечение сорафенибом значительно увеличило период выживаемости без прогрессирования (24 против 6 нед для плацебо, p=0,0087). У 70% пациентов, получавших сорафениб, отмечено уменьшение опухоли или стабилизация заболевания уже в течение 12-недельного периода включения. Медиана выживаемости без прогрессиро-вания заболевания 32 больных почечно-клеточным раком, которым не проводили предшествующей системной терапии, составила 40 нед [35]. У 6 (18,8%) пациентов достигнут частичный ответ, в 8 (25%) случаях выявлена умеренная регрессия опухолевого процесса, у 10 (31,3%) больных зарегистрирована стабилизация заболевания. В тех случаях, когда со-рафениб назначали как первичную терапию, отмечена низкая токсичность лечения и отсутствие его негативного влияния на качество жизни больных.
TARGET, также посвященное изучению эффективности и безопасности сорафениба, является самым крупным из когда-либо проведенных исследований, включающих больных раком почки [36]. В мультицентровое рандомизированное двойное слепое плацебо-контролируемое исследование 3-й фазы были включены 903 больных распространенным по-чечно-клеточным раком. Критериями включения являлись морфологически подтвержденный светлоклеточный нерезе-ктабельный или метастатический рак почки, наличие измеряемого опухолевого образования, прогрессирование после первичной терапии, статус по шкале ECOG 0 или 1, отсутствие метастазов в головном мозге. Возраст больных, включенных в исследование, составил от 19 до 86 лет (73% всех пациентов - мужчины). Первичной целью исследования являлась оценка общей выживаемости, вторичными целями - безрецидивная выживаемость, частота объективного ответа на лечение, безопасность и переносимость терапии.
Суммарный объективный ответ (полные регрессии + частичные регрессии + стабилизация процесса) наблюдали у 84% больных в группе сорафениба: частичную регрессию по критериям RECIST - в 10% случаев, стабилизацию - в 74%. В группе плацебо: частичная регрессия достигнута у 2% пациентов, стабилизация - у 55% больных. В то же время прогрес-сирование опухолевого процесса выявлено у 37% больных в группе плацебо и только у 12% пациентов из получавших со-рафениб. Следует отметить, что уменьшение размеров опухолевых очагов наблюдалось в 3 раза чаще при лечении со-рафенибом по сравнению с плацебо, что может свидетельствовать о недооценке клинической эффективности препарата при применении критериев RECIST.
Больные, включенные в исследование TARGET, в целом хорошо переносили лечение сорафенибом. Частота отмены препарата вследствие развития побочных эффектов составила 10% и практически не отличалась от таковой плацебо (8%). Перерывы в назначении сорафениба наблюдались в 21% случаев и в основном были связаны с развитием ладонно-подош-венного дерматита. Снизить дозу сорафениба потребовалось 13% больным, что также было связано с кожной реакцией или диареей. Наиболее часто при лечении наблюдали следующие побочные реакции (любой степени токсичности): диарею (43% в группе сорафениба и 13% в группе плацебо), кожные реакции (40 и 16% соответственно), утомляемость (37 и 28%), ладонно-подошвенный дерматит (30 и 7%), алопецию (27 и 3%), тошноту (23 и 19%), гипертензию (17 и 2%). Побочные эффекты сорафениба и частота их развития сходны с реакциями и осложнениями, возникающими при лечении другими ингибиторами ангиогенеза, такими как сунитиниб и беваци-зумаб. В то же время следует отметить, что при приеме суни-тиниба существенно более часто, чем при терапии сорафени-бом, возникает гематологическая токсичность, выражающаяся в нейтропении и тромбоцитопении 3-4-й степени [38]. Для анализа качества жизни больных в исследовании TARGET использовали анкеты, оценивающие качество жизни, связанное с противоопухолевой терапией, в которых учитывались симптомы рака почки (FACT-FKSI). При оценке суммарного балла FKSI не отмечено достоверных различий в группах больных, получавших сорафениб и плацебо, что свидетельствует об отсутствии негативного влияния препарата на качество жизни
Почечно-клеточный рак
ФГБУ «Российский онкологический научный центр им. Н.Н. Блохина» Минздрава России, Москва, Россия
отделение патоморфологии ФГБНУ «Российский онкологический научный центр им. Н.Н. Блохина», Москва, Россия
ФГБУ «Российский онкологический научный центр им. Н.Н. Блохина» Минздрава России, Москва, Россия
ФГБУ «Российский онкологический научный центр им. Н.Н. Блохина» Минздрава России, Москва, Россия
ФГБУ «Российский онкологический научный центр им. Н.Н. Блохина» Минздрава России, Москва, Россия
ФГБУ «Российский онкологический научный центр им. Н.Н. Блохина» Минздрава России, Москва, Россия
Почечно-клеточный рак, ассоциированный с Xp11-транслокацией гена
Журнал: Архив патологии. 2018;80(1): 58‑62
Представлено описание клинического случая редкой опухоли — почечно-клеточного рака, ассоциированного с Хр11-транслокацией гена TFE3 у пациента 53 лет. Дана развернутая характеристика современных методов диагностики.
ФГБУ «Российский онкологический научный центр им. Н.Н. Блохина» Минздрава России, Москва, Россия
отделение патоморфологии ФГБНУ «Российский онкологический научный центр им. Н.Н. Блохина», Москва, Россия
ФГБУ «Российский онкологический научный центр им. Н.Н. Блохина» Минздрава России, Москва, Россия
ФГБУ «Российский онкологический научный центр им. Н.Н. Блохина» Минздрава России, Москва, Россия
ФГБУ «Российский онкологический научный центр им. Н.Н. Блохина» Минздрава России, Москва, Россия
ФГБУ «Российский онкологический научный центр им. Н.Н. Блохина» Минздрава России, Москва, Россия
Диагностика и лечение злокачественных новообразований почек является одной из важнейших задач современной медицины. Рак почки — неоднородная группа заболеваний, характеризующаяся морфологической, иммуногистохимической и молекулярно-генетической гетерогенностью. По данным ВОЗ, на 2012 г. рак почки в мире занимал по распространенности онкологических заболеваний у мужчин 9-е место (около 214 тыс. случаев), у женщин 14-е место (около 124 тыс. случаев). Число летальных исходов от рака почки на 2012 г. составило 143 тыс. случаев (91 тыс. среди мужчин, 52 тыс. среди женщин). В структуре смертности от онкологических заболеваний в мире рак почки находится на 16-м месте [1].
В 2016 г. была опубликована новая классификация опухолей урогенитальной системы ВОЗ [2], которая учитывает не только морфологические, но и молекулярно-генетические особенности опухоли, обусловливающие различное клиническое течение.
Помимо распространенных форм почечно-клеточного рака (ПКР), таких как светлоклеточный ПКР (65—70% всех раков почки), папиллярный ПКР (около 18,5%), хромофобный ПКР (5—7%), врачу-патологоанатому приходится сталкиваться и с редкими морфологическими вариантами этого заболевания, требующими особенно тщательного подхода к диагностике.
К редким формам относится группа ПКР с МiT-транслокацией (от 1,6 до 4% ПКР). Лишь около 50 случаев этой разновидности ПКР описаны в мировой литературе. Данная группа включает в себя карциномы с транслокацией в генах TFE-3 (ПКР, ассоциированный с транслокацией Хр11) и TFEB (ПКР с транслокацией t (6,11)). Этот вид рака встречается преимущественно у детей и молодых людей, и только единичные случаи описаны у лиц более старшего возраста. Ввиду относительной редкости данной нозологии и возраста пациента приводим описание клинического наблюдения ПКР, ассоциированного с Хр 11.2-транслокацией гена TFE3 у мужчины 53 лет.
Материал и методы
Гистологическое исследование выполнено на послеоперационном материале, фиксированном в 10% нейтральном формалине и залитым в парафин. Серийные срезы толщиной 3—5 мкм депарафинировали по стандартной схеме и окрашивали гематоксилином и эозином.
Для электронно-микроскопического исследования материал фиксировали в 2,5% глутаровом альдегиде по стандартной методике с последующей заливкой в эпоксидную смолу эпон-812. Ультратонкие и полутонкие срезы готовили на ультратоме LKB (Швеция). Полутонкие срезы окрашивали толуидиновым синим. Ультратонкие срезы контрастировали насыщенным раствором уранилацетата и цитратом свинца и изучали в электронном микроскопе JEM-1200 EX (II).
Иммуногистохимическое исследование проведено с антителами к ER, PR, TFE3, PAX8, CD10, HMB45, Melan A, AMACR, napsinA, TTF-1, E-cadherin, vimentin, CK7, VEGFR1, VEGFR2, нуклеофозмину (фирма «EPITOMICS», клон EP1848Y) и нуклеолину (фирма «EPITOMICS», клон EPR7952). Иммуногистохимическую реакцию с нуклеолином и нуклеофозмином оценивали как умеренную (++), высокую (+++) и очень высокую (++++). Количество клеток с разной интенсивностью реакции выражали в процентах.
Проведена FISH-реакция для оценки состояния гена TFE3 у данного пациента. В работе использовали флюоресцентную пробу ON TFE3 (Хр11) Break (Kreatech, The Netherlands). Анализ полученных результатов проводили с помощью флюоресцентного микроскопа Axioskop 2 Plus («Zeiss», Германия). Согласно дизайну пробы, проксимальная часть гена TFE3 (Хр11) окрашена зеленым цветом, дистальная — красным. В норме в клетке видны два слитых сигнала: красно-зеленый или желтый. При наличии транслокации в опухолевой клетке виден 1 красный, 1 зеленый и 1 слитый сигнал.
Результаты
Пациент мужчина 53 лет. Узел в правой почке диаметром 5 см; множественные метастазы в забрюшинных и средостенных лимфатических узлах, солитарный метастаз в полушарии мозжечка.
Объем оперативного вмешательства: правосторонняя нефрадреналэктомия, удаление забрюшинных лимфатических узлов. Стереотаксическое удаление солитарного метастаза в полушарии мозжечка.
Макроскопическое описание
Почка с паранефральной клетчаткой и опухолевым конгломератом из области ворот, размером 22×14×5,5 см. Паренхима нижней половины почки замещена разросшейся опухолевой тканью, диаметром 5 см, преимущественно белесого цвета с четкими границами, дольчатого вида, с кровоизлияниями и очагами некроза.
Микроскопическое описание:

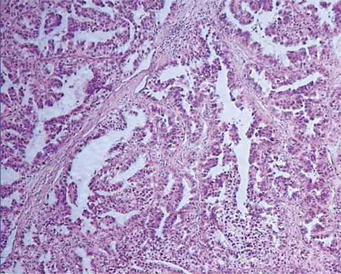
Узел в почке имеет строение почечно-клеточного рака солидно-папиллярного строения с чередующимися светлоклеточными и эозинофильными элементами с выраженной ядерной атипией и высокой митотической активностью (36/10 РПЗ), с массивными очагами некроза (более 10%), инвазией паранефрия без прорастания в лоханку (рис. 1). Рис. 1. Морфологическая картина при транслокационном раке. Новообразование почки солидно-папиллярного строения. Окраска гематоксилином и эозином, ×50. В кровеносных сосудах опухолевые эмболы.
С целью уточнения диагноза и оценки прогностических параметров опухоли проведены электронно-микроскопическое, иммуногистохимическое, гистохимическое и молекулярно-генетическое исследования.
Электронно-микроскопическое исследование
В исследованном материале имеются солидные поля клеток полигональной формы, часть из которых образует папиллярные структуры. Ядра округлой формы с фестончатым контуром или с глубокими инвагинациями. В части клеток наблюдаются ранние признаки некроза: кариорексис, кариопикноз (рис. 2). Рис. 2. Электронно-микроскопические признаки некроза опухолевых клеток. Ядра с неровными контурами; хроматин конденсирован по периферии кариоплазмы. В цитоплазме одних клеток определяются митохондрии и фрагменты цистерн гранулярного эндоплазматического ретикулума; в других — вакуоли, ×4000. В остальных клетках хроматин распределяется по периферии кариоплазмы. В цитоплазме клеток с проявлением ядерных признаков некроза определяется большое количество вакуолей (плазмолиз) с единичными фрагментами коротких цистерн гранулярного эндоплазматического ретикулума, митохондрии, лизосомы (рис. 3). Рис. 3. Электронно-микроскопическая картина в ядре опухолевой клетки. Ядерная мембрана образует глубокие инвагинации; хроматин в виде глыбок, разбросан по всей кариоплазме, ×8000.

В клетках, менее богатых хроматином, можно видеть весь набор обычных органелл с преобладанием митохондрий, выполняющих всю цитоплазму (рис. 4). Рис. 4. Обилие митохондрий, выявленное при электронно-микроскопическом исследовании. Цитоплазма опухолевой клетки содержит большое количество митохондрий, ×6000. На границе клеток встречаются десмосомоподобные контакты. Электронно-микроскопическая картина соответствует диагнозу почечно-клеточного рака с выраженными признаками некроза, что является морфологическим показателем неблагоприятного прогноза [3].
Иммуногистохимическое исследование:

В клетках опухоли выявлена экспрессия СD10, PAX8, выраженная ядерная экспрессия TFE3 (рис. 5). Рис. 5. Экспрессия TFE3. Выраженная ядерная экспрессия TFE3 в клетках опухоли, ×100.
С остальными маркерами реакция в клетках опухоли отсутствует.
Кроме того, проведено исследование экспрессии ядрышковых белков нуклеофозмина и нуклеолина, определяющих клинические особенности опухоли: скорость пролиферации, темп роста, степень злокачественности, способность к инвазии и метастазированию.

В ядрах эозинофильных клеток папиллярных структур очень высокая экспрессия нуклеофозмина наблюдалась в 24,6%, высокая — в 56,1% и умеренная экспрессия — в 19,3%. В клетках этого компонента опухоли отмечалась выраженная транслокация нуклеофозмина в цитоплазму (рис. 6). Рис. 6. Экспрессия нуклеофозмина в эозинофильном компоненте опухоли. Высокая экспрессия белка нуклеофозмина в ядрах опухолевых клеток. Транслокация белка в цитоплазму, ×400.
В светлоклеточном компоненте опухоли повышалась доля клеток с очень высокой экспрессией нуклеофозмина в ядрах, которая составляла 37,3%.
Высокая экспрессия наблюдалась в 60,5% клеток и умеренная экспрессия — в 2,2%.
Особенностью светлоклеточного компонента являлась выраженная экспрессия нуклеофозмина на плазматической мембране клеток (рис. 7). Рис. 7. Экспрессия нуклеофозмина в светлоклеточном компоненте опухоли. Очень высокая экспрессия нуклеофозмина в ядрах опухолевых клеток. Выраженная экспрессия белка на плазматической мембране, ×400. Высокая и умеренная экспрессия нуклеофозмина также определялась в ядрах и на плазматической мембране клеток опухолевых эмболов, сформированных преимущественно из светлоклеточных элементов (рис. 8). Рис. 8. Опухолевые эмболы в кровеносных сосудах. Высокая и очень высокая экспрессия нуклеофозмина в ядрах опухолевых клеток и умеренная экспрессия белка на плазматической мембране, ×400.
Высокая экспрессия нуклеофозмина и нуклеолина, регистрируемая в ядрах опухолевых клеток (эозинофильного и светлоклеточного компонентов), свидетельствует об интенсивном биогенезе рибосом и активном синтезе белков, необходимых для роста опухоли, а также о высокой пролиферативной и антиапоптотической активности, реализуемой этими белками через разные механизмы [4].
Локализованные на плазматической мембране светлоклеточных компонентов нуклеофозмин и нуклеолин, являясь рецепторами многих лигандов, регулирующих опухолевый рост, усиливают миграционную активность клеток этого компонента, их инвазию и метастазирование. Активному росту и распространению светлоклеточного компонента опухоли может также способствовать его ускоренное гематогенное распространение.
Молекулярно-генетическое исследование:

Результаты FISH-реакции позволили выявить нарушения в области короткого плеча Х-хромосомы (Хр11.2), ассоциированной с транслокацией гена TFE3 (рис. 10) Рис. 10. FISH-реакция. Транслокация гена TFE-3 представлена в виде двух раздельных сигналов зеленого и красного цвета (в норме должно присутствовать 2 слитных желтых сигнала). [5]. Ген TFE3 кодирует транскрипционный фактор с основным доменом типа спираль—петля—спираль (Basis-helix-loop-helix — bHLH), который связан с IGHM энхансером 3. Кодированный белок стимулирует экспрессию генов, трансформирующего фактора роста бета (TGF-бета). Ген TFE3 может участвовать в хромосомных транслокациях при раке почек и других карциномах, приводя к образованию слитных белков. Партнеры по транслокации включают PRCC (1p21), NONO (Xq12), SFPQ (1p34), CLTC (17q23) и ASPSCR1 (17q25).
Злокачественный потенциал светлоклеточного компонента опухоли усиливается мембранно-ассоциированными нуклеофозмином и нуклеолином, стимулирующими миграционную и инвазивную способность клеток этого компонента.
Описание данного случая с неоднозначной клинико-морфологической картиной может оказаться полезным для практикующего морфолога.
Рак почки (почечно-клеточный рак): лечение и диагностика
Рак почки лечение 1, 2, 3 стадии. Симптомы, признаки, метастазы, прогноз.
Содержание:
Почки – парные органы, располагающиеся по обе стороны от позвоночника в пространстве между органами брюшной полости и мышцами спины. Каждую почку окружает жировая ткань, сверху от почки располагается надпочечник.
Почки являются органами мочевой системы. Они продуцируют мочу, с которой выводится избыток воды и солей из организма, а также продукты жизнедеятельности человека. Моча собирается в почечной лоханке и выводится по мочеточнику в мочевой пузырь.
Какие бывают опухоли почки?

В почке встречаются два основных вида злокачественных опухолей – опухоли, развивающиеся из ткани самой почки – почечно-клеточный рак и опухоли, развивающиеся из почечной лоханки.
Из доброкачественных опухолей наиболее распространенными являются ангиомиолипомы (опухоли, состоящие из жировой, мышечной тканей и сосудов). Эти опухоли имеют характерные признаки, которые можно выявить при специальном рентгеновском обследовании (компьютерная томография). При больших размерах ангиомиолипомы нужно удалять, поскольку они могут легко повреждаться даже при небольших травмах и приводить к опасному внутреннему кровотечению.
Как часто встречается рак почки?
Рак почки составляет 4 % от всех выявленных злокачественных новообразований. Опухоли почки встречаются преимущественно у людей в возрасте 50-70 лет, хотя это заболевание может встречаться у подростков и даже детей. У мужчин опухоли почки встречаются немного чаще, чем у женщин, а у городского населения чаще по сравнению с сельским.
В Республике Беларусь в 2010 году выявлено 1833 новых случаев этого заболевания. Заболеваемость злокачественными новообразованиями почки в Республике Беларусь постоянно увеличивается и в 2010 году составила 19 на 100 000 жителей.
Какие факторы предрасполагают к развитию рака почки?
- Курение является одним из наиболее значительных факторов риска рака почки. У курящих вероятность заболеть раком почки увеличивается примерно в 2 раза по сравнению с некурящими;
- Ожирение, особенно у женщин;
- Злоупотребление болеутоляющими средствами также может способствовать развитию этого заболевания;
- Профессиональные факторы. Риск этого заболевания повышен у рабочих металлургической промышленности, кожевенного производства и при работе с асбестом и кадмием. Необходимо подчеркнуть, что влияние последних факторов не очень большое и признается не всеми специалистами;
- Генетические факторы, проявляющиеся в случаях семейного рака почки (например, синдром Фон Гиппель-Линдау). В этих случаях характерно развитие заболевания в молодом возрасте, частое развитие опухолей в обеих почках и возникновение множественных очагов рака в почке.
Симптомы рака почки
Поскольку почки находятся глубоко в теле человека, часто опухоли растут очень долго и достигают больших размеров, прежде чем появляются признаки, позволяющие их заподозрить.
До появления в медицине сложных методов обследования диагноз рака почки можно было заподозрить на основании трех симптомов:
- боль в пояснице;
- наличия крови в моче;
- пальпируемой опухоли.
Сейчас эти симптомы говорят о запущенной стадии рака почки и встречаются редко. Большинство опухолей в настоящее время выявляются случайно при ультразвуковом исследовании, выполняемом по поводу других заболеваний или симптомов:
- Одним из самых частых симптомов рака почки является появление крови в моче. Нередко вслед за этим в области почки возникают острые боли, обусловленные закупоркой мочеточника кровяными сгустками, которые проходят после отхождения сгустков с мочой;
- Боль в поясничной области является вторым по частоте симптомом рака почки. Боль может носить тупой характер, что связано с растяжением фиброзной капсулы почки или сдавлением опухолью нервных сплетений. Острые боли в пояснице, как правило, связаны с кровотечением и образованием сгустков, препятствующих оттоку мочи;
- Наличие опухоли в области почки, которую возможно прощупать, характерно для распространенного опухолевого процесса.
- Иногда при опухолях почки наблюдается расширение вен около яичка. Если такое расширение происходит внезапно или после 40 лет, необходимо обратиться к врачу, поскольку это может быть симптомом серьезной патологии.
Рак почки отличает высокая частота развития разнообразных проявлений, связанных с выработкой опухолью различных биологически активных веществ, что дало основание назвать рак почки “терапевтической опухолью”.
Опухоли почки могут вырабатывать разнообразные белковые субстанции, способные приводить к повышению температуры тела, увеличению уровня кальция в крови, снижению или повышению количества эритроцитов, повышению давления, ускорению СОЭ, нарушению свертываемости крови.
Все эти состояния проходят после полного удаления опухоли. Возврат этих симптомов, как правило, говорит о рецидиве заболевания или развитии отдаленных метастазов.
Диагностика рака почки

При подозрении на опухоль почки или при наличии неспецифических болей в пояснице в настоящее время широко используется ультразвуковое исследование (УЗИ) почек.
Преимуществами этого исследования является его низкая стоимость, доступность, безопасность, отсутствие вредного воздействия рентгеновских лучей. При УЗИ можно четко отличить обычную кисту почки от опухоли или подозрительного образования, требующего выполнения компьютерной томографии.
Недостатками УЗИ являются не вполне надежные результаты у тучных больных, иногда опухоль трудно выявить из-за экранирования ультразвука ребрами или газом в кишечнике. Кроме этого, результаты исследования зависят от опыта и квалификации врача, выполняющего УЗИ.
Методы лечения рака почки
Главным фактором, влияющим на выбор способа лечения при раке почки, является распространенность опухоли, в основном наличие или отсутствие отсевов опухоли в другие органы – метастазов.
Хирургическое лечение
Наиболее часто при этой патологии выполняется операция по удалению почки с опухолью и окружающими тканями, включающими окружающую почку жировые ткани, лимфоузлы и иногда надпочечника (радикальная нефрэктомия).
В ряде случае для полного удаления опухоли из организма требуется удаление прилежащих к опухоли других органов.
У отдельных пациентов при небольших размерах опухоли выполняется лапароскопическая радикальная нефрэктомия. Такая операция проводится без большого разреза через несколько небольших проколов. Удаленная почка с опухолью обычно извлекается через небольшой разрез внизу живота.
Преимуществом такого вмешательства является более быстрое восстановление организма после операции.
У части больных раком почки опухоль может прорастать в венозную систему почки и даже выходить в самую крупную вену человеческого организма – нижнюю полую вену. В этих случаях операция значительно усложняется и может сопровождаться большой кровопотерей.
В настоящее время значительно участилось выполнение так называемого органосохраняющего лечения опухолей почки. При небольших размерах опухоли и благоприятной их локализации возможно полное удаление опухоли с прилежащим участком ткани почки без удаления всей почки (резекция почки).
Окончательное решение о проведении той или иной операции принимает хирург после анализа данных компьютерной томографии. При маленьких опухолях у очень пожилых пациентов с противопоказаниями к хирургическому лечению допустимо применять наблюдение. При таком подходе операция проводится только при увеличении опухоли в размерах, что происходит только у небольшого количества таких больных.
Альтернативным способом лечения небольших опухолей почки является радиочастотная абляция – уничтожение опухоли при помощи специального зонда, генерирующего высокую температуру, вводимого в опухоль под контролем ультразвукового исследования, компьютерной томографии или лапароскопии.
Преимуществом такого лечения является малая травматичность и хорошая переносимость пожилыми или тяжело больными пациентами. У ряда больных раком почки при первичном обращении уже определяются отдаленные метастазы.
Несмотря на неутешительный прогноз при таком распространенном заболевании, некоторые мероприятия могут продлить жизнь больных или улучшить ее качество. Так, хотя удаление почки при метастатическом раке почки не может излечить больного, установлено, что эта операция позволяет более эффективно лечить это заболевания при помощи лекарственных препаратов, прежде всего иммунотерапии.
Лучевая терапия
Рак почки слабо чувствителен к облучению. В настоящее время лучевая терапия при раке почки используется исключительно с обезболивающей целью у больных с метастазами в костях либо при поражении головного мозга.
Химиотерапия
До настоящего времени результаты применения традиционных противоопухолевых химиопрепаратов у больных раком почки остаются малоутешительными. При раке почки применялись практически все существующие химиопрепараты. К сожалению, ни один из химиопрепаратов не показал эффективности при раке почки.
Иммунотерапия
В настоящее время иммунотерапия при метастатическом раке почки является одним из эффективных методов лечения. В основном при раке почки применяют два иммунологических препарата – интерлейкин-2 и интерферон-альфа. При сходной эффективности обеих препаратов меньше побочных эффектов развивается при лечении интерфероном, поэтому в клинической практике преимущественно используется интерферон.
Таргетная терапия
В последние годы разработан ряд новых препаратов "нацеленного" действия на различные молекулярные механизмы развития опухоли. Применение ряда средств при распространенном раке почки оказалось более эффективным, чем традиционная иммунотерапия.
Тем не менее, в настоящее время эти препараты характеризуются крайне высокой стоимостью, что препятствует их широкому внедрению в клиническую практику. Изучение возможностей использования препаратов таргетной терапии в настоящее время продолжается.
Гипертермия и гипергликемия
Неудовлетворенность результатами лечения больных распространенными формами злокачественных новообразований явилась толчком к поиску принципиально новых способов, усиливающих возможности химиолучевой терапии. В настоящее имеются данные об эффективности общей гипертермии при лечении распространенного рака почки. Повышенная температура кроме прямого деструктивного действия на опухоль, может усиливать действие противоопухолевых препаратов.
Какое наблюдение требуется после проведенного лечения?

После завершения лечения необходимо периодически проходить обследование для своевременного выявления рецидива или прогрессирования заболевания. Для граждан Республики Беларусь с онкологическими заболеваниями наблюдение осуществляется в онкологических диспансерах по месту жительства.
Как часто следует проходить обследование, а также объем необходимых исследований определит Ваш врач в зависимости от стадии заболевания и проведенного лечения.
Рак почки
Рак почки — злокачественная опухоль почки, которая чаще всего представляет собой карциному и развивается либо из эпителия проксимальных канальцев и собирательных трубочек(почечно-клеточный рак, ПКР), либо из эпителия чашечно-лоханочной системы(переходно-клеточный рак).

Почечно-клеточный рак представляет собой ведущую разновидность злокачественных опухолей, локализующихся в почке (хотя метастазы почечно-клеточного рака могут поражать другие органы). У взрослых доля почечно-клеточного рака среди первичных злокачественных опухолей почки составляет 80—85 %. По другим сведениям, на почечно-клеточный рак приходится примерно 90 % всех злокачественных опухолей почки.
Эпидемиология
В мировой структуре злокачественных заболеваний рак почки занимает около 2 %. Почечно-клеточный рак составляет приблизительно 4,3 % всех злокачественных новообразований у мужчин и 2,9 % у женщин; медиана возраста на момент постановки диагноза — 61 год. Стандартизованные (по европейскому возрастному стандарту) показатели заболеваемости на 100 000 населения составили: 12,2 — среди всего населения, 16,5 — среди мужчин и 8,4 — среди женщин. Общая 5-летняя выживаемость в 2001—2005 годах составила 59,7 %. Показатели опухоль-специфической выживаемости при почечно-клеточном раке незначительно улучшились среди обоих полов в период с 1999 по 2006 год.
В последние годы заболеваемость почечно-клеточным раком в большинстве развитых стран возрастает, причём по темпам прироста заболеваемости рак почки уступает только новообразованиям предстательной и щитовидной железы.
Основные факторы риска
В качестве основных факторов, повышающих риск развития рака почки, выделяют:
- принадлежность к мужскому полу (повышает риск в 2—3 раза);
- курение (повышает риск в 1,5 раза);
- ожирение (повышает риск примерно на 20 %).
Классификация
Клиническая классификация рака почки

Клинически рак почки классифицируется, как и все другие злокачественные образования, по системе TNM. В данной системе компонент T характеризует размеры и распространённость первичной опухоли, компонент N — степень метастатического поражения регионарных лимфатических узлов, компонент M — отсутствие или наличие метастазов в отдалённые органы. Такая клиническая классификация в компактной форме отражает диагноз, частично предопределяя тактику лечения и прогноз.
Применительно к почечно-клеточному раку TNM-классификация выглядит следующим образом:
· Тх — невозможно оценить первичную опухоль;
· Т0 — данных о первичной опухоли нет;
· Т1 — первичная опухоль не более 7 см в наибольшем измерении, ограниченная почкой:
· 1) T1a — опухоль до 4 см в диаметре;
· 2) T1b — опухоль 4—7 см в диаметре;
· Т2 — опухоль более 7 см в наибольшем измерении, ограниченная почкой;
· Т3 — опухоль распространяется на крупные вены, или в надпочечник либо окружающие ткани, но при этом не выходит за пределы фасции Герота:
· 1) Т3а — опухоль прорастает надпочечник или паранефральную клетчатку в пределах фасции Герота;
· 2) Т3b — опухоль распространяется на почечную вену или нижнюю полую вену ниже диафрагмы;
· 3) Т3с — опухоль распространяется на нижнюю полую вену выше диафрагмы или прорастает в её стенку;
· Т4 — опухоль распространяется за пределы фасции Герота.
· Nх — невозможно оценить регионарные лимфатические узлы;
· N0 — метастазов в регионарных лимфатических узлах нет;
· N1 — метастаз в одном регионарном лимфоузле;
· N2 — метастазы более чем в одном регионарном лимфоузле.
· Мх — невозможно оценить отдалённые метастазы;
· М0 — отдалённых метастазов нет;
· М1 — отдалённые метастазы есть.
Кроме классификации TNM, существует также классификация Робсона:

- Стадия I. Опухоль ограничена почкой и не проникает через её капсулу.
- Стадия II. Опухоль проникает через капсулу почки.
- Стадия III. Опухоль проникает в лимфоузлы или переходит на почечную вену или нижнюю полую вену.
- Стадия IV. Опухоль переходит на соседние с почкой органы (например, на поджелудочную железу или кишечник) либо имеют место отдалённые метастазы (например, в лёгкие).
Метастазирование
Рак почки метастазирует гематогенным и лимфогенным путем. Метастазы обнаруживаются у 25 % пациентов на момент установления диагноза. Выживаемость данных больных составляет от 6 до 12 месяцев и только 10 % переживают 2 года. Приблизительно у 30 — 50 % больных в различные сроки после нефрэктомии появляются метахронные метастазы. Прогноз для последней группы несколько лучше, однако 5-летняя выживаемость не превышает 9 %. По данным Saitohetal. (1982), наиболее частыми локализациями множественных метастазов являются: лёгкие (76 %), лимфатические узлы (64 %), кости (43 %), печень (41 %), ипсилатеральный и контралатеральный надпочечники (19 % и 11,5 %), контралатеральная почка (25 %), головной мозг (11,2 %). Солитарные метастазы или метастатическое поражение только одного органа имеет место только в 8—11 % случаев.
При диссеминированных злокачественных опухолях почки костные метастазы возникают в 30 — 70 % случаев; при этом метастатические опухоли костей более распространены, чем первичные, составляя около 96 % всех новообразований костной системы. Стратегия лечения костных метастазов зависит от их типа: при солитарных метастазах показано радикальное и абластичное их удаление (независимо от времени возникновения), что позволяет достичь длительной ремиссии, а при множественных метастатических поражениях (когда речь идёт лишь об улучшении качества жизни пациента) предпочтительны малоинвазивные хирургические вмешательства.
По данным проведённого в 2012 году многоцентрового кооперированного исследования с использованием базы данных, содержащей информацию о 7813 больных раком почки в России, было обнаружено 1158 больных с IV клинической стадией рака, причём отдалённые метастазы были выявлены у 1011 (87,3 %) из них. У 557 (54,1 %) пациентов наблюдались метастазы в лёгких, у 283 (28 %) — в костях, у 172 (17 %) — в нерегионарных лимфатических узлах, у 141 (13,9 %) — в печени, у 107 (10,6 %) — в контралатеральном надпочечнике и у 38 (3,8 %) — в головном мозге (у ряда больных метастазы появились в нескольких органах).
Говоря о течении метастатической болезни при раке почки, нельзя не упомянуть о случаях спонтанной регрессии и стабилизации. Спонтанная регрессия отмечается у 0,4 % — 0,8 % больных раком почки (это касается в подавляющем большинстве случаев регрессии лёгочных метастазов). Стабилизация болезни (определяемая как отсутствие роста и появления новых метастазов) наблюдается у 20-30 % больных, и с такой же частотой отмечается стабилизация болезни (отсутствие роста первичной опухоли) у больных раком почки без метастазов. Этот феномен должен учитываться при решении вопроса о хирургическом или системном лечении больных с высоким риском, которые в действительности могут прожить дольше без всякого лечения.
Гистологическая классификация рака почки
Ранее рак почки классифицировали по типу клеток и характеру роста. Позже было установлено что рак почки в абсолютном большинстве — смешанный. Современная классификация основывается на морфологических, цитогенетических и молекулярных исследованиях, а также иммуногистохимическом анализе и выделяет 5 видов почечно-клеточного рака:
- светлоклеточный рак почки (около 75 % от всех типов рака почки)
- хромофильный (папиллярный) рак почки
- хромофобный рак почки
- онкоцитарный рак почки
- рак собирательных трубочек
Симптомы рака почки
- Кровь в моче (гематурия) и, как следствие, постгеморрагическая анемия(при большой кровопотере)
- Подъём давления (вторичная артериальная гипертензия)
- Боль в проекции почки
- Пальпируемое образование в проекции почки
- Общие симптомы рака (длительная постоянная потеря веса, постоянная субфебрильная температура, хронически нарастающая слабость)
Диагностика рака почки
В диагностике рака почки применяют следующие методы:
- Ультразвуковое исследование почек(УЗИ)
- Рентгенологическое исследование с применением контрастирующих препаратов — внутривенная урография
- Компьютерная томография
- Магнитно-резонансная томография(МРТ)
Окончательный диагноз любого рака ставится только на основании гистологического исследования образца опухоли (биопсия) или опухоли целиком.
Распространение и внедрение в клиническую практику высокотехнологичных методов диагностики опухолей (ультрасонография, мультиспиральнаякомпьютерная и магнитно-резонансная томография) привели к росту выявляемостиинцидентального почечно-клеточного рака (инцидентальные опухоли почек — опухоли, не проявившие себя клинически и обнаруженные случайно в ходе диспансеризации или обследования по поводу других заболеваний). Если в 1970-е годы такие опухоли выявлялись менее чем в 10 % случаев, то на рубеже XX—XXI вв. они составляли почти 60 % от всех случаев выявления рака почки.
Выявляемость рака почки на ранних стадиях заболевания продолжает желать лучшего. Так, в 2012 году в России 21,5 % больных обратилось в онкологические учреждения уже при наличии отдалённых метастазов, и ещё 20,1 % имели исходно III стадию заболевания. С учётом того, что примерно у 50 % пациентов, перенёсших радикальную нефрэктомию на ранней (М0) стадии заболевания, впоследствии возникают метастазы, необходимость в противоопухолевой лекарственной терапии рано или поздно возникает более чем у половины больных.
Методы лечения
К основным методам лечения почечно-клеточного рака относятся: оперативное удаление опухоли, химиотерапия, лучевая терапия, иммунотерапия, таргетная терапия, предоперационная и паллиативная химиоэмболизация.
Оперативное удаление опухоли
Оперативное удаление опухоли является основным и самым эффективным методом лечения почечно-клеточного рака. Удаление первичного очага увеличивает выживаемость на всех стадиях заболевания. Наилучшие результаты на первой стадии даёт нефрэктомия (полное удаление поражённой почки); однако если размеры опухоли невелики (либо почка всего одна, или же диагностирован двусторонний рак почек), применяют органосохраняющее лечение — резекцию почки (в последние годы процентное соотношение резекций почки и нефрэктомий значительно возросло, что связано с улучшением диагностики и повышением частоты выявления ранних стадий опухолей). В настоящее время часто считают, что показанием к резекции почки служит опухоль класса T1 с доступной для резекции локализацией, диаметр которой не превосходит 5 см; в этом случае органосохраняющее лечение оказывается предпочтительным, поскольку сохранение функционирующей паренхимы позволяет улучшить качество жизни пациента. В последнее время всё большее применение находят также малоинвазивные методы удаления опухоли: радиочастотная абляция, криоабляция.
Химиотерапия
При лечении почечно-клеточного рака применяется крайне редко (чаще всего назначают капецитабин, доксорубицин), поскольку данный тип опухоли мало чувствителен к известным химиотерапевтическим препаратам. Одной из основных причин высокой устойчивости опухолей почки к химиотерапии считается гиперэкспрессия белка множественной лекарственной устойчивости (MDR-1), связанная, вероятнее всего, с тем, что данный белок в норме продуцируется в клетках проксимальных канальцевпочки, из которых чаще всего и развиваются опухоли.
Лучевая терапия
Используется при лечении почечно-клеточного рака несколько чаще, чем химиотерапия; хотя чувствительность опухоли почки к облучению также невелика, но применение лучевой терапии иногда оправдано с паллиативной целью у пациентов с метастазами и выраженным болевым синдромом, поскольку это позволяет уменьшить испытываемые пациентом боли и улучшить на определённое время его самочувствие.
Иммунотерапия
Стала широко применяться при лечении почечно-клеточного рака в 80-е гг. XX века. До недавнего времени иммунотерапевтические методы с применением интерферона-альфа или интерлейкина-2 являлись единственным стандартом при лекарственном лечении больных диссеминированными формами почечно-клеточного рака; однако частота объективных эффектов при их применении остаётся невысокой, и в настоящее время они уступили своё место препаратам таргетной терапии с связи с явными преимуществами последних.
Таргетная терапия
Таргетная терапия как метод лечения почечно-клеточного рака, предполагающий избирательную нацеленность на специфические «мишени» опухолевых клеток, возникла в начале XXI века.
Виротерапия
Виротерапия — метод, не прошедший клинических испытаний, однако используемый в некоторых странах для лечения рака почки. Суть виротерапии — в применении онколитических вирусов для лечения онкологических заболеваний. Так, в Латвии учёные используют для лечения пациентов с раком почки обладающий онколитическими и онкотропными свойствами вирус ЕCHO 7 Rigvir. Исследования по применению Rigvir на пациентах показали хорошую реакцию и иммунномодулирующее действие: повышение уровня активных T-лимфоцитов и миграция вируса из T-лимфоцитов в опухоль.
Прогноз
При диагностике заболевания на первой стадии полностью излечиваются 90 % больных. При диагностике заболевания на четвёртой стадии прогноз неблагоприятный, тяжело добиться даже однолетней выживаемости.
Государственная клиническая больница №29 им. Н.Э.Баумана – это современная многопрофильная высокотехнологичная больница с уникальной полуторавековой историей и традицией, оказывающая высококачественную медицинскую помощь в круглосуточном режиме.
Читайте также:
