Показания для поверхностного эндопротезирования головки плеча
Добавил пользователь Владимир З. Обновлено: 28.11.2025
Техника, этапы операции поверхностного эндопротезирования головки плеча
а) Положение пациента:
- Пациент укладывается в положение пляжного кресла, конечность полностью обрабатывается и отграничивается стерильным бельем. Тело пациента должно располагаться под углом примерно 30-40° к горизонтали
- Для фиксации головы используется специальная приставка, перед обработкой конечности необходимо убедиться, что голова стабильно фиксирована
- Во избежание смещения тела пациента во время операции используется боковой упор
- Также для предотвращения соскальзывания пациента вниз и профилактики перерастяжения седалищного нерва коленные и тазобедренные суставы сгибаются
- Укладка пациента должна обеспечивать возможность адекватного разгибания плечевого сустава для установки протеза головки через дельтовидно-грудной интервал. Полезно использовать для этого операционной стол с разборной спинкой
- Мы предпочитаем свешивать руку со стола на приставку и обрабатываем конечность до лучезапястного сустава
- Кисть и предплечье помещаются в стерильный чехол, фиксируемый выше локтевого сустава липкой лентой
Нюансы укладки пациента:
• Создайте достаточно широкое операционное поле — до медиальной трети ключицы и боковой поверхности шеи
• Для фиксации конечности во время операции используйте удерживающее устройство или подставку Мейо
• Сухожилие подлопаточной мышцы перед его полным отсечением от головки плеча прошивается и берется на держалку, что упрощает его рефиксацию
Спорные вопросы:
• Возможно использование передневерхнего доступа по Mackenzie, однако мы не рекомендуем использовать этот доступ ввиду риска несостоятельности шва и нарушения функции передней порции дельтовидной мышцы
б) Порты и доступы:
- Используется стандартный дельтовидно-грудной доступ латеральнее клювовидного отростка
- После входа в дельтовидно-грудной интервал дельтовидная мышца мобилизуется, расположенная здесь сумка удаляется
- Нижний край клювоакромиальной связки рассекается для увеличения обзора верхней части головки плеча, однако не следует делать слишком большой релиз этой связки, в противном случае, если ротаторная манжеты несостоятельна, увеличивается риск дислокации головки плеча
- В области нижнего края подлопаточной мышцы необходимо пропальпировать подмышечный нерв — его следует защищать на протяжении всей операции
- Во избежание повреждения мышечно-кожного нерва хирург должен работать латеральнее прикрепляющегося к клювовидному отростку объединенного сухожилия и избегать слишком сильной его ретракции
- Восходящая ветвь передней огибающей артерии лигируется или коагулируется во избежание кровотечения
- Сухожилие подлопаточной мышцы и капсула сустава рассекаются, при этом оставляется манжетка шириной 1 см для последующего восстановления
- После релиза сухожилия подлопаточной мышцы начиная от ротаторного интервала и следуя дистально вдоль анатомической шейки плеча выполняется артротомия плечевого сустава. Нижняя капсула мобилизуется от шейки плеча путем наружной ротации плеча, при этом необходимо следить, чтоб не допустить повреждения подмышечного нерва
в) Техника операции:
Рисунок 3 Рисунок 4 Рисунок 5 Рисунок 6 Рисунок 7
1 этап: обработка головки плеча:
- Головка плеча вывихивается в рану путем разгибания и наружной ротации плеча
- Для адекватного доступа по мере необходимости увеличивается объем релиза нижней капсулы от шейки плеча
- Любые остеофиты, мешающие четкой локализации анатомической шейки плеча, резецируются
- С помощью входящих в набор измерителей оценивается диаметр головки, радиус ее кривизны и высота
- Локализуется центр головки плеча. Сделать это можно двумя способами, однако оба они интерпретируются оперирующим хирургом и, по нашему опыту, ни один входящий в комплект инструментов направитель полностью не покрывает головки плеча:
• Первый метод включает маркировку наиболее передней и наиболее задней точки головки плеча и соединение их одной линией. Середина этой линии и будет центром головки плеча (рис. 3)
• Второй метод — это помещение на головку плеча специального направителя и введение центральной направляющей спицы (рис. 4)
- В центр головки с помощью канюлированного измерительного шаблона вводится направляющая спица (рис. 5, А и Б):
• Для большей стабильности и предотвращения случайного удаления спицы на последующих этапах операции она проводится и через наружную кортикальную пластинку плеча
- По спице головка плеча обрабатывается римером (рис. 6, А). На рисунке 6, Б суставной хрящ головки плеча полностью удален
- По спице устанавливается примерочный компонент и оценивается полнота выполненной резекции (рис. 7)
Нюансы 1 этапа операции:
• Полный релиз капсулы в направлении ее задненижнего края поможет вывести головку плеча в рану
• Для защиты длинной головки двуглавой мышцы и сухожилий ротаторной манжеты вдоль верхнего края анатомической шейки установите изогнутый ретрактор
• Степень натяжения тканей оценивается в пределах всего объема движений
• Сустав не должен становиться «слишком тугим»
• Если экскурсия подлопаточной мышцы недостаточна, стоит подумать о разделении спаек ее с передней капсулой и суставной впадиной или рефиксиро-вать мышцу более медиально в области малого бугорка или передней поверхности шейки. Для фиксации используются шовные якоря или техника костных каналов
• Для устранения дефицита внутренней ротации показана задняя капсулотомия
Рисунок 8 Рисунок 9 Рисунок 10 Рисунок 11 Рисунок 12
2 этап: установка компонента:
- По спице центральная часть головки плеча рассверливается для установки плечевого кейджа (рис. 8, А и Б). Кейдж устанавливается на необходимую глубину с помощью импактора (рис. 9). Спицу перед установкой кейджа можно удалить. Кейдж устанавливается методом пресс-фит и несколько выступает над поверхностью головки для правильного соединения с имплантом головки (рис. 10)
- Имплант головки плеча импактируется в кейдж до полного погружения (рис. 11)
- Для оценки окончательного положения протеза выполняется контрольная рентгенография в прямой (рис. 12, А) и боковой (рис. 12, Б) проекциях
Нюансы 2 этапа операции:
• Любые дефекты головки плеча заполняются пластическим материалом. Во время римирования головки объем подходящего материала очень невелик, поэтому при необходимости можно прибегнуть к аллопластике
• В случае цементной фиксации компонента и выраженном склерозе головки в ней формируются отверстия, куда сможет проникать цемент

Рисунок 13
3 этап: закрытие раны:
- Первым этапом выполняется рефиксация подлопаточной мышцы (рис. 13). При необходимости на этом же этапе выполняется восстановление ротаторной манжеты
- Ротаторный интервал ушивается рассасывающимися швами
- Подлопаточная мышца подшивается либо к оставленной манжетке сухожилия, либо с использованием костных каналов или шовных якорей. В последних двух ситуациях для ускорения заживления следует подумать об обработке костной поверхности в области фиксации сухожилия с помощью бора или костной ложки
- Дельтовидно-грудной интервал ушивается отдельными узловыми швами. Мы рекомендуем здесь использовать нерассасывающийся шовный материал. Это позволит проще локализовать интервал при ревизионном вмешательстве
- Подкожная клетчатка ушивается рассасывающимися узловыми швами 2-0 или 3-0, а кожа — как предпочитает хирург
Замена плечевого сустава: цена операции и имплантата
Плечо – самый подвижный сустав. Утрата нормального диапазона движений вследствие болезни или травмы сильно ухудшает качество жизни человека, а иногда даже ставит ее под угрозу.
Диагностика
При травме достаточно рентгеновского снимка, чтобы понять, насколько серьезно повреждение и какие меры необходимо принимать. Но иногда точно понять причину болей и нарушения подвижности по снимкам не представляется возможным, и не всегда проблема кроется в патологических процессах непосредственно в суставе.

Например, такое опухолевое образование как энходрома (доброкачественная опухоль из хрящевой ткани), может подобраться к нему, развиваясь в плечевой кости. Если причиной боли является сильно разросшаяся энходрома – операция плечевого сустава неизбежна.
В таких случаях в качестве диагностического метода назначается артроскопия – малоинвазивное вмешательство (разрез всего 4 мм). Во время процедуры врач может досконально рассмотреть состояние хрящей, связок, мышц, сухожилий, костной поверхности.При помощи артроскопии можно удалить поврежденные части хряща, воспаленные и поврежденные мягкие ткани, а также свободные тела в суставной жидкости.
Виды доступных для проведения данным методом операций:
- фиксация связок плеча при их повреждении;
- фиксация и сращивание сухожилий при защемлении;
- реконструкция вращательной манжеты;
- восстановление и совмещение костных образований в области суставной сумки при их смещении;
- лечение врожденных патологий у детей;
- удаление осколков при переломе;
- шлифовка и придание формы хрящевой прокладке при ее деформации;
- при бурситах: удаление утолщений из полости сумки и промывание антисептиком.

После процедуры заживление и реабилитация происходит в течение 2-х недель. Подобные виды малоинвазивного вмешательства доступны во всех регионах страны, поскольку аппарат не относится к категории сверхдорогих, а результат во многом определяется грамотностью хирурга.
Например, проводятся следующие артроскопические операции в Челябинске на плечо:
- тугоподвижность (адгезивный или слипчивый капсулит);
- устранение импинджмент-синдрома;
- восстановление вращательной манжеты;
- устранение нестабильности.
Эндопротезирование плечевого сустава
Современная медицина обладает большим арсеналом средств для лечения различного рода травматических повреждений плечевого сустава. Но иногда необходима его тотальная или частичная замена.
- остеонекроз – отмирание клеток головки кости;
- многооскольчатые сложные переломы и раскол головки;
- плохо сросшиеся старые переломы без возможности восстановления нормальной анатомии сустава;
- артрит;
- необратимые патологии вращательной манжеты;
- опухолевые заболевания.

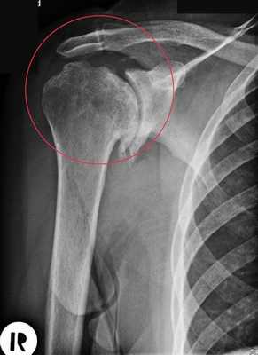
Артроз плечевого сустава на рентгене.
Виды протезирования
В зависимости от степени повреждения выделяют следующие виды эндопротезирования плеча:
- Поверхностное. Применяется, когда минимальны повреждения головки кости пациента и много костной ткани можно сохранить. Головка обтачивается специальным инструментом, на нее «сажается» имплантат, замещающий собой поверхность сустава.
- Однополюсное. Производится имплантация либо лопаточной впадины, либо костной головки.
- Полное. При этом меняются все соприкасающиеся части: и головка, и впадина. Причем возможны два варианта замены: имплантируются только суставные элементы или производится установка протезов на стержне с креплением в костной полости.
- Ревизионное. Выполняется в случае необходимости замены изношенного имплантата или его отдельных элементов. Также проводятся ревизионные вмешательства при развитии осложнений в виде отторжения, воспалений, нагноений.

На эндопротезирование плечевого сустава цена зависит от перечня услуг, оказываемых клиникой в рамках операции, способа оперативного вмешательства, метода фиксации протеза.
Виды эндопротезов и цены
Имплантаты на ножке по своему строению могут быть анатомическими и обратными. Анатомический состоит из трех частей: головка, ножка и впадина. Назван так, поскольку полностью повторяет структуру человеческого плеча и по биомеханике, и по форме.
Установка такого протеза возможна только в том случае, если вращательная манжета не повреждена. При замене используется продукция таких мировых производителей как DePuy, Zimmer, Smith&Nephew, Biomet, Aesculap — B. Braun.

Обратный или реверсивный используется, когда вращательная манжета не функционирует и нарушена стабильность. Тогда головка крепится к суставной впадине (гленоидальному компоненту), а вогнутый имплантат впадины на ножке фиксируется на плечевой кости.

Для однополюсного эндопротезирования используются гемипротезы, то есть заменяющие только одну часть сустава. По способу установки делятся на поверхностные и штыревые (внедряются в кость).
Также имплантаты могут быть цельными или сборными (модульными). Модульные позволяют за счет подбора различных размеров элементов корректировать при необходимости положение плеча. Существуют следующие способы крепления протезов к кости:
- бесцементный. Фиксация производится «вколачиванием». Подходит для имплантации в плотную костную ткань, способную надежно удерживать ножку;
- цементный. Ножка закрепляется с помощью специального раствора. Используется при недостатке или плохом качестве собственной костной ткани.
Ревизионное эндопротезирование в случае обширного поражения тканей, замены эндопротеза или сильного разрушения кости требует специального имплантата, который частично компенсировал бы функциональную недостаточность мышц. Например, Delta XTEND производства компании DePuy. Центр ротации у него смещен вниз и кнаружи, что увеличивает диапазон движений, сохраняя при этом стабильность сустава.
Цена на лечение
На протезы плечевого сустава цена достаточно высокая, начинается от 140 000 рублей. Плюс стоимость пребывания в стационаре, анализы, анестезия, имплантация и реабилитация. В таких случаях государство предусматривает бесплатное лечение по квотам. Квоту на проведение имплантации можно получить по месту постоянной прописки, имея полис ОМС.
Получение квоты
- Обратиться в свою клинику по месту жительства с целью получения направления в лечебное учреждение, предоставляющее услуги по эндопротезированию. Врач оформляет пакет документов для получения квотного талона.
- Эти документы предоставляются пациентом в местный территориальный орган здравоохранения, где при положительном решении выдается талон на бесплатное оказание высокотехнологичных видов помощи.
Из минусов бесплатного лечения: срок ожидания очереди может затянуться на год. Также замена плечевого сустава по квоте не предполагает выбора фирмы-производителя имплантата.
Что касается ревизионных операций, то бесплатное или платное удаление плечевого эндопротеза определяется степенью срочности вмешательства. Иногда нет времени на улаживание формальностей по сбору документов. Такая процедура обычно стоит дешевле первичного эндопротезирования.
Показания для поверхностного эндопротезирования головки плеча
а) Показания:
- Клинически выраженный артрит плечелопаточного сустава у относительно молодых пациентов, у которых оправдано применение костесберегающего импланта
- Артрит с поражением, в основном, головки плеча, относительно нормальная суставная впадина лопатки и интактная или репарабельная ротаторная манжета
- Поверхностное эндопротезирование головки плеча может быть показано пациентам с посттравматическим артритом, остеонекрозом, артритом на фоне нестабильности, воспалительным артритом или переломом/ложным суставом/ неправильно сросшимся переломом головки плеча
Ошибки при выборе показаний:
• Особую осторожность следует проявлять в случаях биполярного артрита, поскольку доступ к суставной впадине без удаления головки плеча будет ограничен
• Остеонекроз со значительным коллапсом головки плеча (>75%) не позволит адекватно фиксировать поверхностный протез и потребует использования стандартного компонента с ножкой. Во время таких операций у вас всегда должны быть в наличии стандартные компоненты
• Поверхностное эндопротезирование головки плеча относительно противопоказано пациентам с нерепарабельными разрывами ротаторной манжеты или сохраняющейся нестабильностью плечевого сустава
• Абсолютными противопоказаниями являются незрелость скелета и активная местная или общая инфекция
Спорные вопросы:
• Поражение суставной впадины — у молодых пациентов стоит подумать о биологическом замещение суставной поверхности
• Низкое качество костной ткани (остеопороз) — в случаях поверхностного эндопротезирования головки плеча у таких пациентов настоятельно рекомендуется подумать о цементной фиксации протеза
Варианты лечения:
• Гемиартропластика стандартным протезом с ножкой (моно- или биполярным)
• Тотальное эндопротезирование плечевого сустава
• Артроскопический дебридмент
• Мягкотканная интерпозиционная артропластика
• Артродез
• Костно-суставная аллопластика
б) Обследование и лучевая диагностика:
1. Физикальное исследование:
- Для исключения других причин боли в плечевом суставе выполняется исчерпывающее физикальное исследование плечевого сустава и шейного отдела позвоночника. Оценивается объем активных и пассивных движений
- Это обследование необходимо повторить в условиях анестезии непосредственно перед операцией. При наличии контрактуры может быть показан релиз капсулы, а при нестабильности — гофрирование капсулы или реконструкция
- Диагностические инъекции в акромиально-ключичный сустав (АКС) или субакромиальное пространство для исключения возможного артрита АКС и субакромиального импинджмента могут влиять на общую картину поражения плечевого сустава. При необходимости во время операции может быть выполнена резекция дистального конца ключицы или субакромиальная декомпрессия

Рисунок 1
2. Лучевая диагностика:
- Рентгенологическое исследование включает рентгенограммы в передне-задней, боковой подмышечной, Y-лопаточной проекциях и в положении внутренней ротации плеча. Рентгенограммы используются как для диагностики (рис. 1), так и для подбора компонентов протеза:
• Особое внимание следует обратить на угол версии суставной впадины лопатки и ее эрозивные изменения на рентгенограмме в подмышечной проекции
- Компьютерная томография назначается для оценки:
• Выраженности субхондрального коллапса при остеонекрозе
• Поражения головки плеча при повреждении Хилла-Сакса
• Состояния суставной впадины при повреждениях Банкарта
- У пациентов с клиническими проявлениями разрыва ротаторной манжеты обязательно проведение MPT для оценки степени ретракции сухожилий и жировой инфильтрации мышц. Нерепарабельный разрыв манжеты или выраженная жировая инфильтрация являются относительными противопоказаниями к поверхностному эндопротезированию

Рисунок 2
в) Хирургическая анатомия:
- Хирург должен хорошо знать анатомию мышц (рис. 2, А), сосудов и нервов (рис. 2, Б) в области головки плеча
- Параметры положения головки плеча:
• Шеечно-диафизарный угол: 30-55°
• Ретроверсия головки плеча: 0-55°
• При поверхностном эндопротезировании головки плеча эти параметры не меняются, напротив основной задачей является восстановление естественной анатомии плечевого сустава
Показания для тотального эндопротезирования плечевого сустава
а) Показания:
- Анатомичное тотальное эндопротезирование плечевого сустава (ТЭПС) показано при болевом синдроме вследствие терминального плечелопаточного артроза у пациентов, готовых соблюдать послеоперационные ограничения и требования послеоперационной реабилитации
- Распространенными причинами являются первичный остеоартрит, ревматоидный артрит и посттравматический артрит. Другие причины включают выраженный остеонекроз головки плеча (с вторичными изменениями суставной впадины), послеоперационный артроз или хондролиз
Ошибки при выборе показаний:
• Артропатия ротаторной манжеты
• Остеоартрит в сочетании с разрывом ротаторной манжеты
• Дефицит костной ткани суставной впадины
• Ретроверсия суставной впадины
• Нестабильность плечелопаточного сустава
• Нейропатическая артропатия
• Активная инфекция
Спорные вопросы:
• При остеоартрите и посттравматическом остеонекрозе гемиартропластика менее надежно купирует болевой синдром по сравнению с ТЭПС
• В случаях выраженной ретроверсии суставной впадины лопатки или дефицита костной ткани задней части впадины некоторые хирурги рекомендуют реверсивное эндопротезирование плечевого сустава
Варианты лечения:
• Консервативное: безрецептурные анальгетики, модификация активности, периодическое введение в сустав протезов синовиальной жидкости или кортикостероидов
• В случаях разрыва ротаторной манжеты в сочетании с артропатией ротаторной манжеты или без такой показаны гемиартропластика или реверсивное ТЭПС
• В случаях грубого дефицита суставной впадины, когда имплантация лопаточного компонента невозможна, показана гемиартропластика
Рисунок 1 Рисунок 2
б) Обследование и лучевая диагностика:
- Стандартное обследование плечевого сустава:
• Локализация старых послеоперационных рубцов, атрофия дельтовидной и/или подостной мышц
• Объем активных движений и участие в них лопатки
• Объем пассивных движений
• Сила отведения плеча в плоскости лопатки, внутренней и наружной ротации (НР)
- Рентгенография:
• Передне-задняя 40° косая проекция в положении внутренней и HP
• Подмышечная проекция (рис. 1)
- Компьютерная томография (КТ):
• КТ показана для предоперационного планирования в случаях, когда на рентгенограмме в подмышечной проекции видны эрозивные изменения суставной впадины. КТ помогает количественно оценить выраженность костного дефицита и определить характер износа суставной впадины (рис. 2)
• В сложных случаях показаны отдельные трехмерные реконструкции плеча и суставной впадины лопатки
• С тем, чтобы оптимизировать позиционирование лопаточного компонента протеза, различные производители имплантов выпускают в т.ч. специальные программные продукты для предоперационного планирования на основе КТ
Рисунок 3 Рисунок 4
в) Хирургическая анатомия:
- Важными наружными ориентирами являются клювовидный отросток, передние и наружные границы акромиона и ключицы, ость лопатки
- Проксимально примерно на 1 см медиальнее и выше клювовидного отростка находится дельтовидно-грудной интервал, в котором располагается подключичная жировая клетчатка характерной треугольной формы (рис. 3, А). В медиальной части этой клетчатки на поверхности большой грудной мышцы следует головная вена. В дистальной части интервала у более крупных пациентов с хорошо развитой мускулатурой вена может располагаться под мышцей (рис 3, Б)
- В пределах дельтовидно-грудного интервала по ходу доступа локализуются и коагулируются акромиальная и дельтовидная ветви грудо-акромиальной артерии
- Локализуйте ротаторный интервал (закругленная граница сухожилия подлопаточной мышцы внизу и передней край сухожилия надостной мышцы вверху; рис. 4)
Список диагнозов которые приводят к эндопротезированию суставов
Эндопротезирование показано в тех случаях, когда утраченные функции сустава не удается восстановить другими способами. То есть когда консервативное лечение, внутрисуставные инъекции и артроскопические операции оказываются неэффективными, а выполнять артродезирование не рекомендуется из-за плохих функциональных результатов.
Для людей старше 60 лет эндопротезирование является операцией выбора. То есть это самое оптимальное хирургическое вмешательство, которое дает лучший результат на нынешнем этапе развития науки и медицины.
Пациентам с идиопатическим и посттравматическим остеоартрозом хирургическое вмешательство обычно требуется после 40 лет. Больным с асептическим некрозом головки бедра, опухолями и ревматическими заболеваниями (ревматоидный артрит, системная красная волчанка, псориатический полиартрит) операцию могут делать в любом возрасте.
Показания к эндопротезированию ТБС
Хирургическое вмешательство требуется больным с такими патологиями:
- деформирующий остеоартроз (коксартроз) 3 стадии по классификации Кассинской или 4 по классификации Kellgren J. H., Lawrence J. S.; ;
- двусторонние костные и фиброзные анкилозы;
- опухоли головки и шейки бедренной кости, которые требуют резекции ТБС; , сопровождающиеся потерей костной массы (независимо от возраста);
- тугие ложные суставы шейки бедра у пациентов старше 65 лет;
- некоторые случаи переломов шейки бедренной кости.
При переломах шейки бедра эндопротезирование делают всем пациентам старше 75 лет. У больных моложе 75 лет показания к операции определяются в индивидуальном порядке.
Показания к замене коленного сустава
Хирургическое вмешательство требуется пациентам с такими заболеваниями:
- деформирующий остеоартроз (гонартроз) третьей стадии; ;
- ревматоидный полиартрит с массивным поражением колена; костной ткани;
- неправильно сросшиеся переломы и опухоли, которые требуют резекции суставных концов бедренной и большеберцовой костей.
Поражение колена должно сопровождаться как минимум одним из перечисленных симптомов:
- хронический болевой синдром, который не поддается лечению;
- вальгусная деформация более 20 градусов (или варусная более 15);
- сгибательная контрактура более 15 градусов;
- появление сложной нестабильности;
- выполненное ранее артродезирование колена.
В операции могут отказать при наличии общих абсолютных противопоказаний, а также при наличии в области колена грубых рубцов, спаянных с подлежащими костями. В таких случаях выполнить хирургическое вмешательство становится технически невозможно.
Показания к замене голеностопа
Протезирование голеностопа рекомендуют пациентам с деформирующим остеоартрозом и тяжелыми последствиями травм. Операция является отличной альтернативой артродезированию, которое предусматривает полное обездвиживание голеностопного сустава. В отличие от артродеза, эндопротезирование позволяет полностью восстановить функции конечности.
Показания к эндопротезированию плеча
Замена плеча показана пациентам с такой патологией:
- трех- и более фрагментарные переломы головки и хирургической шейки плечевой кости;
- двух-фрагментарные переломы головки и хирургической шейки плеча у пожилых пациентов;
- застарелые, несросшиеся и неправильно сросшиеся переломы;
- ревматоидный артрит, сопровождающийся поражением плеча (3-4 стадии по классификации Kellgren J. H.);
- деформирующий остеоартроз 3-4 стадии;
- контрактуры, анкилозы, дефекты и опухоли костей, образующих плечевой сустав.
Протезирование плеча искусственным эндопротезом — это альтернативный метод лечения тяжелой патологии. Он более эффективен, чем различные методики остеосинтеза и другие методы хирургического лечения. Операция позволяет в короткие сроки получить хороший анатомический и функциональный результат у больных с тяжелыми травмами и заболеваниями.
Показания к замене локтевого сустава
Замена локтя требуется при таких травмах и заболеваниях:
- внутрисуставные переломы;
- несросшиеся переломы, вывихи и ложные суставы;
- деформирующий остеоартроз 3-4 стадии;
- ревматоидный артрит с массивным поражение локтя (3-4 стадии по классификации Kellgren J. H.);
- дефекты и опухоли костей, которые образуют локтевой сустав.
Подведем итоги
Сегодня эндопротезирование является золотым стандартом лечения многих травм и заболеваний крупных суставов. В отличие от остальных методов и операций, оно позволяет полностью избавиться от болевого синдрома и восстановить функции больной конечности. При успешной реабилитации человек может вернуться к привычному образу жизни уже через 4-6 месяцев.
К эндопротезированию существует ряд противопоказаний, при наличии которых в его выполнении могут отказать.
Читайте также:
