Показания и возможности МРТ в колопроктологии
Добавил пользователь Евгений Кузнецов Обновлено: 23.12.2025
Показания и методика дефекографии при нарушении дефекации
Исследование у больных с нарушениями дефекации: обструкция на выходе, дисфункция тазового дна, пролапс прямой кишки или органов таза, скопление рентгеноконтрастных меток в дистальных отделах при исследовании времени транзита по толстой кишке. Введение рентгеноконтрастной пасты с вязкостью, более близкой к вязкости стула, чем обычного контраста. Исследование со статическими снимками или видеодефекография во время опорожнения кишечника больным сидя на туалетном кресле. Оценка включает в себя динамическое наблюдение, структурные и функциональные изменения процесса дефекации и ее полноты.
Нормальная последовательность: правильное расположение аноректального отдела - над лобково-копчиковой линией; тонус лобково-прямокишечной мышцы обеспечивает тракцию кпереди с формированием аноректального угла (норма: 90-100° в покое); удерживание содержимого приводит к элевации тазового дна и уменьшению аноректального угла; напротив, натуживание приводит к увеличению аноректального угла (релаксация иуборектальной мышцы), возникновению эвакуаторных сил, раскрытию анального канала и полной эвакуации.
а) Преимущества дефекографии. Непрерывная оценка динамического взаимодействия прямой кишки и ее содержимого во время усилий, направленных на эвакуацию, полезна при диагностике инвагинации прямой кишки, ректоцеле с задержкой стула, диссинергии мышц тазового дна и определении степени опорожнения прямой кишки.
б) Ограничения дефекографии:
• В целом, неспецифические данные, непрямые доказательства. Параметры, в частности величина аноректального угла или частота выявления инвагинации и анизма, варьируют в зависимости от квалификации исследователя.
• Отсутствие информации о внекишечных патологических изменениях => МРТ дефекография или динамическая тазовая МРТ.
• Инконтиненция: потеря контраста до завершения исследования.
• Проблемы при диагностике у пациентов, плохо сотрудничающих с врачом.
Дефекография
а) Цель. Как описано выше: метод относительно прост, дешев, последовательность тестов не ограничена.
б) Оборудование и методика:
• Введение рентгеноконтрастной пасты, размещение пациента на прозрачном туалетном кресле (Brunswick) => последовательные действия: покой, удерживание, нату-живание, опорожнение.
• Визуализация: флуороскопия со статическими снимками, предпочтительнее видеодефекография.
в) Риск. Лучевая нагрузка: 450-700 мбэр (4,5-7,0 мЗв).
г) Интерпретация:
• Существенные патологические изменения: качественные изменения динамики, снижение эффективности эвакуации, опущение тазового дна (ниже лобково-копчиковой линии), расслабление лобково-прямокишечной мышцы или парадоксальное сокращение, ректоцеле, инвагинация, пролапс, энтероцеле, неполная эвакуация.
• Несущественные патологические изменения: величина аноректального угла (различные нормальные значения по данным различных исследователей!).
д) Трудности:
• Ложноотрицательный результат: выраженное недержание кала приводит к потере контраста и неадекватному заполнению ампулы прямой кишки.
• Гипердиагностика в бессимптомных случаях: например, ректоцеле в 25-50%.
• Переоценка значения данных: ректоцеле, угол, складки слизистой => всегда необходима корреляция с клиникой для определения соответствия выявленных находок жалобам больного.

Аноректальный угол при дефекографии в покое и при натуживании.
МРТ дефекография
а) Цель. При доступности, МРТ - предпочтительное исследование, поскольку позволяет визуализировать изменения внутри и вне просвета прямой кишки в течение всего времени опорожнения. В противоположность «динамической МРТ» (в положении больного лежа на спине), открытая интервенционная МРТ дефекография позволяет исследовать больного в естественном положении сидя во время естественного опорожнения кишечника.
б) Оборудование и методика:
• Требует очень дорогостоящей инфраструктуры и оборудования: сверхпроводниковая система МРТ при которой больной может сидеть.
Введение в прямую кишку МРТ контрастной пасты (гадолиний 2,5 ммоль/л): 300 мл синтетического «стула» (пюре из картофельного крахмала), смешанного с 1,5 мл гадопентата димеглюмина (377 мг/мл). Пациент садится на кресло, «прозрачное» для МРТ. Последовательность МРТ снимков: покой, удержание, натуживание, опорожнение (статические снимки или, предпочтительнее, видеодефекография).
в) Риск. Связанный с МРТ (противопоказания: металлические импланты и т.д.), побочные эффекты гадолиния.
г) Интерпретация:
• Существенные патологические изменения: качественные изменения в динамике, включая оценку состояния органов таза и брюшной полости, эффективность эвакуации, опущение тазового дна (ниже лобково-копчиковой линии), пролапс прямой кишки и органов таза, энтероцеле, расслабление лобково-прямокишечной мышцы или парадоксальное сокращение, ректоцеле, инвагинация, неполная эвакуация.
• Несущественные патологические изменения: величина аноректального угла (различные нормальные значения по данным различных исследователей!).
д) Трудности:
• Ограниченная доступность.
• Другие трудности: описаны выше.
е) Дальнейшие шаги зависят от клинических особенностей и рентгенологических данных:
• Анофизиологические исследования.
• Ирригоскопия.
• Динамическая МРТ.
Редактор: Искандер Милевски. Дата обновления публикации: 18.3.2021
Показания и возможности МРТ в колопроктологии
МРТ, как и другие исследования, основанные на получении изображений срезов (КТ, УЗИ), позволяют получить репродуцируемые изображения в высоком разрешении. Кроме того, МРТ имеет преимущества: качество томограмм не зависит от опыта исследователя, а лучевая нагрузка на пациента отсутствует.
МРТ основана на определении и картировании сигналов, излучаемых в результате выравнивания спинов атомов водорода в сильном магнитном поле и стимуляции радиоволнами. Различное содержание водорода (т.е. воды) в тканях позволяет получать образы анатомических структур.
• Т1: выравнивание ядерных спинов в магнитном поле => на Tl-взвешенных изображениях жидкости выглядят темными, жировая ткань - светлой; контрастное усиление осуществляется гадолинием (т.е. васкуляризация) и подавление сигналов от жировой ткани: МРТ органов брюшной полости.
• Т2: смещение фазы ядерных спинов в поперечном поле => на Т2-взвешенных изображениях жидкости выглядят светлыми, жировая ткань - темной; МРТ органов таза.
МРТ и КТ в определенной степени взаимозаменяемы, но в некоторых случаях служат дополнением друг другу. Обычно, МРТ имеет преимущества при визуализации мягкотканных структур и зон с различным содержанием воды, например, воспаление и опухоль, мышцы и фасции и т.д.
Повышение контрастности и разрешающей способности в режимах динамического исследования позволяет выполнять неинвазивную реконструкцию и визуализацию сосудов (МРТ ангиография), желчных путей (например, МРТ холангиопанкреатография), оценивать изменения тазового дна в последовательности удержание-натуживание-опорожнение (МРТ дефекография).
а) Альтернативы МРТ в колопроктологии:
• КТ.
• Ультрасонография органов брюшной полости.
• Хирургическое вмешательство.
б) Показания для МРТ в колопроктологии:
• Стадирование рака: местная распространенность, латеральные границы при раке прямой кишки.
• Дифференцировка между кистами, метастазами, гемангиомами печени.
• Исследования при патологических изменениях передней брюшной стенки.
• МРТ холангиопанкреатография: неинвазивная ЭРПХГ для исследования заболеваний желчных путей, холестаза.
• МРТ ангиография: неинвазивная ангиограмма.
• Динамическая МРТ таза: пролапс органов таза, МРТ дефекография.
• Аноректальные заболевания, МРТ фистулография.

1 - печень, 2 - желчный пузырь,
3 - поперечная ободочная кишка, 4 - желудок,
5 - почка, 6 - тонкая кишка,
7 - сигмовидная кишка, 8 - большой сальник
в) Преимущества МРТ:
• Отсутствие лучевой нагрузки.
• Лучшее разрешение при патологических изменениях мягких тканей.
• Отсутствие зависимости от опыта исследователя; воспроизводимость исследования легче, чем УЗИ.
г) Риск и ограничения МРТ в колопроктологии:
• Противопоказания: наличие водителя ритма, металлических имплантов, клаустрофобия.
• Для достижения адекватной визуализации может потребоваться в/в введение гадолиния.
• Необходима корреляция с результатами других методов исследования.
• Дифференцировка между доброкачественными и злокачественными поражениями часто невозможна.
• Врачи не имеющие специальной подготовки, как правило, лучше ориентируются в данных КТ, чем МРТ.
д) Типичные находки:
• Опухоль: Т2-взвешенные изображения => интенсивные (светлые); Т1-взвешенные => темные, раннее усиление с гадолинием.
• Рубцовая ткань: Т1- и Т2- взвешенные изображения => низкая интенсивность сигнала, отсутствие усиления с гадолинием.
• Воспаление: Т2-взвешенные изображения => интенсивные (светлые), Т1-взвешенные => темные, замедленное усиление с гадолинием.
• Динамическая МРТ таза: гель для смазки используется в качестве ректального или вагинального контраста; оценка в состоянии покоя, напряжении, натуживании, эвакуации: оценка опущения промежности, ректоцеле, цистоцеле, вагинального пролапса, энтероцеле (сравнение с уровнем лобково-копчиковой линии).

а - Определение стадии рака прямой кишки с помощью МРТ. Аксиальное Т2 изображение — полиповидная опухоль (показана короткими стрелками); высокая интенсивность сигнала обусловлена муцинозным строением новообразования.
Опухоль фокально поражает левую боковую стенку прямой кишки (длинная стрелка).
б - Язвенная форма рака правой половины толстой кишки. Края язвы неровные, приподнятые, язва занимает 90% окружности толстой кишки.
Правосторонняя гемиколэктомия, операционный препарат.
МРТ кишечника что показывает
Что такое МРТ кишечника — это бесконтактный метод диагностики средних и конечных отделов пищеварительного тракта. Томография позволяет визуально оценить состояние органа, обнаружить воспалительные, дегенеративные процессы, опухоли. В отличие от эндоскопии, МРТ не создает дискомфорта, болевых ощущений, это полностью неинвазивная методика. Процедура хорошо переносится, может проводиться неоднократно, по потребности.
Магнитно-резонансная томография назначается в качестве основного или дополнительного метода диагностики болезней пищеварительного тракта.
Можно ли сделать МРТ кишечника
Несмотря на различные мнения, разногласия, ответ на вопрос, можно ли сделать мрт кишечника, положительный. Томография используется для диагностики прямой кишки, тонкого кишечника, толстой кишки. Единственная оговорка — орган представляет собой полую трубку, потому без специальных мер визуализируется плохо. Перед проведением процедуры нужна подготовка. Виден ли на МРТ кишечник, зависит от его содержимого. Потому до начала процедуры проводят очищение ЖКТ, применяют контрастирующие препараты.

При правильной подготовке, визуализация не представляет сложностей. Магнитно-резонансная томография назначается при подозрениях на воспалительные, дегенеративные, онкологические процессы, при наличии симптомов, происхождение которых не до конца понятно. Среди показаний к МРТ кишечника:
- Дискомфорт в животе. Боли, ощущение тяжести.
- Вздутие. Метеоризм неясного происхождения.
- Интенсивные боли в нижней части живота. Особенно у женщин. В рамках МРТ можно провести дифференциальную диагностику патологий ЖКТ и репродуктивных органов, органов малого таза помимо прямой кишки.
- Кровотечения из заднего прохода разной интенсивности. Также следы крови в стуле в виде ярких или темных прожилок.
- Тошнота, рвота, которые повторяются регулярно и точно не связаны с заболеваниями центральной нервной системы.
- Беспричинная потеря веса. Особенно, если пациент не следует строгой диете и не менял рацион.
- Подозрения на аутоиммунные процессы, болезнь Крона.
- Подозрительные находки по результатам первичного обследования (пальпации), проведенного ультразвукового исследования, рентгена.&
- МРТ проводят при подозрениях на рак толстого или тонкого отделов кишечника. Метод диагностики позволяет обнаружить онкологический процесс на ранних стадиях, когда опухоль можно полностью удалить. В рамках диагностики неопластических процессов назначают МРТ с контрастом.
- Томографию брюшной полости назначают в предоперационный период. Чтобы оценить текущее состояние, подготовиться к лечению, исследовать предстоящий масштаб работ.
- Оценка эффективности проведенного лечения. Это особенно актуально после удаления опухоли, при онкологии. Врач назначает исследование, чтобы проверить, насколько, в каких объемах удалось удалить образование, сохранились ли измененные клетки. Процедура проводится регулярно, каждые несколько месяцев, чтобы вовремя обнаружить рецидив патологического процесса. Исследование информативно и в рамках изучения эффективности лечения прочих расстройств. Не только злокачественных новообразований.

Обследование выявляет структурные изменения тонкой кишки, толстого кишечника.
Информативно ли МРТ кишечника
При достаточной подготовке, метод исследования не уступает эндоскопии и дает больше данных, особенно при онкологических процессах. В том числе, о локализации опухоли, степени ее прорастания сквозь ткани, воздействия на окружающие структуры, степени распространенности, наличии метастазов в регионарные лимфоузлы.
Диагностика показывает анатомическое состояние брюшной полости. Томография может определить заболевания и пороки средних, нижних отделов пищеварительного тракта:
- Инфекционные воспаления и их последствия: колиты разного происхождения.
- Спайки, фибриновые тяжи, которые образуются в ходе воспалительных процессов и мешают работе, проходимости кишечника. Спаечный процесс виден в деталях.
- Раковые заболевания, онкологические процессы. Методика покажет и стадию, и форму образования. Но точку в вопросе можно поставить только после лабораторной оценки. Морфологические, гистологические тесты прольют свет на строение неоплазии, степень злокачественности.
- Аутоиммунные воспаления. Болезнь Крона. МРТ желудка и кишечника показывает и само поражение, и его последствия.
- Травмы. От ушибов до разрывов тканей. МРТ дает увидеть степень поражения, точную локализацию патологического процесса. Магнитный резонанс визуализирует мягкие ткани в деталях, потому врач имеет возможность досконально изучить состояние органов ЖКТ и быстро разработать тактику терапии.
- Кровотечения. В результате травм, повреждений, диагностических и лечебных вмешательств. Также в качестве последствий хронических, острых заболеваний.
- Доброкачественные опухоли в кишечнике. Полипы прямой кишки, толстого кишечника, кисты (неопухолевые объемные образования, заполненные жидкостью).
- Врожденные аномалии. Дивертикулы и пр.
- Непроходимость.
МРТ при заболеваниях кишечника показывает отклонения от нормальной анатомии, структурные изменения. Если возникает необходимость оценить функциональные особенности, назначают другие инструментальные и лабораторные тесты.

Что проверяет МРТ кишечника — зависит от целей диагностики. Посредством томографии можно исследовать тонкий кишечник, двенадцатиперстную кишку, толстый кишечник, прямую кишку и задний проход. Исследование эффективно визуализирует ткани, в деталях показывает малейшие отклонения, главное — правильная подготовка к процедуре.
Как подготовиться к МРТ кишечника?
Подготовка к МРТ кишечника начинается за 3 дня до процедуры.
- За 3-е суток отказываются от продуктов, которые могут спровоцировать повышенное образование газов, метеоризм. В общем случае, речь идет о бобовых, кисломолочных продуктах, свежем хлебе и выпечке, горохе, капусте, луке, чесноке. Далее — нужно отталкиваться от индивидуальных особенностей организма, переносимости отдельных продуктов.
- Накануне исследования нужно сделать очистительную клизму (или микроклизму). Для освобождения от кишечного содержимого применяют и препараты, растворы для перорального приема. Вопрос, какой метод подойдет, лучше адресовать своему врачу.
- Накануне же врач назначает ветрогонный препарат Эспумизан, чтобы окончательно избавиться от газов на период диагностики. Это важно, поскольку специалисты смотрят на состояние кишечника, его стенок. При обилии газов структуру органа видно плохо.
- Перед тем как обследовать кишечник, нужно за 5-6 часов отказаться от еды. Томография делается натощак.
Пустой кишечник визуализируется недостаточно. Потому пациенту назначают специальный раствор на основе сорбитола, маннитола (1.5 литра). Гидро-МРТ может проходить и после прямого введения препарата в кишечник. В сложных клинических случаях контрастное вещество вводят еще и внутривенно, с помощью шприца или капельницы.
Информативно ли МРТ кишечника — зависит от качества подготовки. Правильные меры позволяют выставить или подтвердить диагноз с первой же процедуры.
Как делают МРТ кишечника?
Как проводится МРТ кишечника — определяет методика томографии, модификация способа. В общем случае, человек приходит в клинику, брюшную полость сканируют на протяжении получаса или более. Затем, пациент получает результаты на руки.
Более подробная схема, как проводят МРТ кишечника:
- Пациент подходит в клинику в назначенное время.
- Оставляет все запрещенные вещи в специально отведенном месте, хранилище. В перечень запрещенных предметов входят банковские карты, мобильные телефоны, любая электроника, металлические украшения и вещи (в том числе ремни, часы, очки). Они могут повлиять на работу аппарата или же выходят из строя сами.
- Врачи проводят последние подготовительные процедуры, если это нужно: вводят контраст на основе гадолиния. Количество препарата зависит от возраста, комплекции, веса пациента (объемы контраста для мужчины, женщины, детей будут отличаться).
- Пациент ложится на специальную кушетку.
- Стол задвигают, начинается обследование.
- Сколько времени делают томографию — зависит от клинических находок и самого процесса диагностики. От 20 до 40 минут с возможным увеличением длительности. Если есть вопросы и врач проверяет спорные находки. Время исследования определяется и способом контрастирования, введения препарата.
- Врачи изучают фото, изображения внутренних органов и описывают находки.
По окончании диагностики, пациент отправляется в коридор и ждет результатов. Протокол обследования, заключение врача-рентгенолога, снимки в напечатанном или электронном формате человек получает на руки. С итогами рекомендуется обращаться к врачу, который назначил процедуру.

При предполагаемой опухоли кишечника МРТ требует больше времени: до 40-60 минут, поскольку сканирование проводится в нескольких режимах. Диагностика дает сведения о размерах, локализации образования, ее структуре, степени кровоснабжения. Врач может предположить тип неоплазии, но точный ответ на вопрос врачи получают после лабораторной оценки образца тканей.
Как делают МРТ кишечника — определяют модификация метода, цели диагностики, особенности клинического случая.
КТ или МРТ кишечника?
МРТ и КТ — два бесконтактных метода визуализации тканей ЖКТ. Какое пройти — определяет клинический случай. Компьютерная томография как метод основана на влиянии рентгеновского излучения. Потому методика слабо визуализирует мягкие ткани. Используется для диагностики болезни Крона. В этом случае она сопоставима по эффективности с МРТ.
Магнитно-резонансную томографию можно проводить во всех остальных случаях. Поскольку методика основана на воздействии магнитного поля, ответе организма на стимуляцию, она визуализирует мягкие ткани в деталях, не несет опасности для здоровья, не создает нагрузки, может проводиться неоднократно и имеет большее разрешение. В основной части случаев показана именно МРТ. В сложных клинических случаях бывает, что проводят и КТ, и МРТ. Магнитный резонанс предоставляет основные сведения, а компьютерная томография уточняет характер опухоли, ее структуру, обнаруживает участки петрификации, что позволяет выставить точный, определенный диагноз.
Вопросы, как проводится МРТ кишечника, какую методику подобрать, какие дополнительные меры потребуются, остаются на усмотрение врача.
Томография — один из ключевых методов инструментальной диагностики. От того, что показывает МРТ кишечника, зависит тактика терапии, ее эффективность.
МРТ прямой кишки что показывает
МРТ прямой кишки — это неиназивное, безопасное и бесконтактное исследование конечных отделов пищеварительного тракта. В отличие от других способов визуализации, вроде рентгенографии или компьютерной томографии, МРТ базируется на воздействии магнитного поля на ткани организма. Потому проводить исследование можно так часто, как того требует клиническая ситуация. Процедура может быть назначена пациентам любого возраста.
Делают ли МРТ прямой кишки?
МРТ прямой кишки проводят по показаниям. Методика позволяет оценить структуры, ткани конечного отдела пищеварительного тракта:
- Стенки прямой кишки. На предмет онкологии, злокачественного перерождения, воспалительных процессов.
- Регионарные лимфатические узлы.
- Сосуды, локализованные в области малого таза.
- Мышцы тазового дна.
- Тазовую клетчатку.
Методика подходит для визуализации мягких тканей, но не всегда дает однозначные результаты. Чтобы повысить информативность исследования, применяют модификации томографии: гидро-МРТ, МРТ с контрастным усилением.

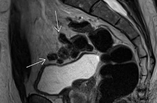
МРТ малого таза в сагиттальной плоскости. Отмечаются множественные дивертикулы сигмовидной кишки без признаков воспалительных изменений (стрелки).
Показания к МРТ прямой кишки
Показания к проведению МРТ кишечника — это воспалительные, дегенеративные, онкологические и другие заболевания конечного отдела пищеварительного тракта. Метод исследования применяется при подозрениях на патологический процесс или же в качестве способа верификации ранее установленного диагноза. Чтобы уточнить характер расстройства, окончательно развеять сомнения врача и назначить лечение.
Среди оснований для МРТ кишечника:
- Запоры. Нарушения стула, при которых опорожнить кишечник не получается. Запоры встречаются и при воспалительных процессах, и при онкологии и т.д. При функциональном происхождении расстройства, точный диагноз можно выставить только комплексным способом. Потребуются дополнительные методы обследования.
- Диарея. Обратное явление. Частый стул полуоформленной или жидкой консистенции.
- Чередование нарушений стула. То запоры, то поносы. Особенно, если патологическое состояние переходит в формат постоянного спутника пациента.
- Чувство недостаточного опорожнения кишечника. Неудовлетворенность дефекацией, ощущение давления, распирания в животе.
- Ложные непродуктивные позывы посетить туалет. Тенезмы, болезненные позывы опорожнить кишечник.
- Изменение оттенка стула. Указывает не только на заболевания прямой кишки. Причина расстройства может быть в тонком кишечнике, печени, заболеваниях желудка. Если томография показывает, что с прямой кишкой все нормально, нужно искать причину дальше.
- Примеси крови в стуле. Состояние, характерное для заболеваний толстого кишечника, а именно прямой кишки. Заподозрить, где локализован патологический процесс, можно и по цвету крови. Чем ярче след, тем ближе к конечным сегментам находится очаг. Чем темнее — тем он выше. Магнитно-резонансная томография позволяет уточнить локализацию.
- Дискомфорт во время опорожнения кишечника. Боли во время дефекации.
- Подозрения на опухолевый процесс. Злокачественный или доброкачественный (например, полипы).
- Травмы. Чтобы исключить кровотечения, структурные изменения или же определить степень нарушения.
- Подготовка к оперативному лечению. В рамках исследования анатомической области, проработки стратегии будущего хирургического вмешательства.
- Изучение результатов проведенной коррекции. Магнитно-резонансную томографию делают, чтобы изучить динамику патологического процесса, действенность терапии.
Среди показаний могут быть и отдельные жалобы, симптомы патологических процессов. Для чего делать томографию прямой кишки, и нужно ли это исследование — решает лечащий врач.
Какие заболевания покажет МРТ прямой кишки?
Томографический метод позволяет выявить заболевания воспалительного, дегенеративного, опухолевого характера. Среди возможных находок:
- Врожденные аномалии прямой кишки.
- Злокачественная онкология. Рак. Первичные новообразования, которые развиваются из собственного эпителия прямой кишки.
- Доброкачественный опухоли. Полипы, как наиболее распространенный вариант.
- Вторичные очаги опухолевого поражения, метастазы. Чтобы выявить первичный очаг, источник патологического процесса, нужно дополнительное обследование.
- Воспалительные процессы, заболевания.

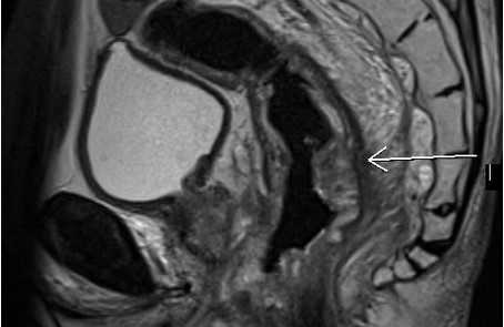
МРТ малого таза в сагиттальной плоскости. Отмечается циркулярное утолщение стенок прямой кишки за счет наличия объемного образования (стрелка), распространяющегося за пределы органа в параректальную клетчатку.
Процедура позволяет оценить структурные, анатомические особенности конечных отделов пищеварительного тракта. Но для постановки точного диагноза одной томографии достаточно не всегда. Проводится комплексная диагностика.
Подготовка к МРТ прямой кишки
Еще до того, как получено направление на томографию, пациент должен сообщить своему врачу о возможных противопоказаниях к исследованию. Среди них:
- Значительная масса тела, свыше 130-150 кг.
- Невозможность лежать неподвижно. Например, если присутствуют гиперкинезы, которые исключают управление собственными движениями в полной мере.
- Наличие в организме металлических компонентов. Пластин, клипс. Поскольку метод МРТ основан на воздействии интенсивного магнитного излучения.
- Не разрешается проводить МРТ пациентам с установленным кардиостимулятором.
- Беременность на любой стадии, особенно в первом триместре. Вопрос, возможно ли сделать МРТ во время гестации, решает профильный специалист. Ведущий пациентку акушер-гинеколог.
Существуют отдельные противопоказания к МРТ прямой кишки с контрастным усилением:
- Заболевания дыхательной системы в стадии декомпенсации.
- Почечная недостаточность.
- Аллергические реакции, непереносимость контрастирующего средства.
- Проведенные накануне исследования с контрастом. Если после диагностики прошло меньше суток. Возможна интоксикация организма.
- Поливалентные аллергические реакции. Когда присутствует непереносимость сразу целой группы препаратов.
Большая часть противопоказаний — это относительные, временные проблемы. Как только они устранены, можно провести томографию.
Если противопоказаний нет, и врач направил на МРТ, можно приступать к подготовке. Она начинается за два дня до процедуры. Технология примерно такая же, как при подготовке к томографии органов малого таза:
- Нужно отказаться от продуктов с высоким содержанием клетчатки, пищи, которая вызывает образование кишечного газа. В противном случае снимки будут недостаточно информативными. Под особым запретом: сдоба, свежий хлеб, яйца, капуста, виноград, бананы, чеснок, лук, газированные напитки. Важна умеренность в питании.
- Накануне, перед исследованием, нужно принять препараты для снижения продукции кишечного газа. Например, Эспумизан.
- Вечером перед исследованием нужно очистить кишечник от каловых масс. Очистить организм можно с помощью клизмы. Допустим прием пероральных препаратов для очищения. Это более щадящий метод, которым можно воспользоваться.
- Накануне обследования от пищи отказываются полностью. Томография прямой кишки проводится натощак.
- За несколько часов до МРТ пациент может принять таблетку спазмолитика. Это позволит лучше визуализировать ткани пищеварительного тракта.
В назначенный день нужно подъехать в клинику. Все запрещенные предметы оставляют в специально отведенном для этого месте. С собой нельзя брать телефон, электронику, украшения, металлические предметы, банковские карты, часы. Все то, что может среагировать на интенсивное магнитное поле.
Как делают МРТ прямой кишки?
Пациент проходит в кабинет, ложится на специальную кушетку аппарата. Ассистент врача инструктирует обследуемого. После — человека помещают в туннель томографа, начинается сканирование.
Время, которое требуется на обследование, зависит от того, что показывает МРТ прямой кишки. На все уходит до 30-40 минут. Исследования с контрастом занимают больше времени.
Контрастное вещество вводят после первичного обзорного сканирования.
Исследование с контрастом назначается при подозрениях на опухоли. Оно позволяет получить больше информации. Препарат проникает в измененные ткани, усиливает контрастность изображения. Врач получает возможность оценить точную локализацию, размеры неоплазии, ее форму, структуру, состояние окружающих тканей. Одного только МРТ органа недостаточно, чтобы выставить точный диагноз.
Нужна гистология опухоли. Его получают в ходе биопсии или операции. Затем фрагмент ткани отправляют в лабораторию для гистологической оценки. Такая процедура позволяет точно установить тип опухоли, степень ее злокачественности.
Если необходимо исследовать несколько сегментов кишечника, применяются, в том числе, и модификации стандартного метода томографии. Например, гидро-МРТ.
Через 15-20 минут после процедуры или в другой день (по договоренности), пациент получает результаты диагностики. В комплект документов входит протокол исследования, также заключение врача-рентгенолога, снимки в оцифрованном формате, на бумаге или на пленке. Зависит от конкретной клиники. Фото, результаты проведенной диагностики нужно показать своему лечащему врачу для постановки точного диагноза.
Расшифровка МРТ прямой кишки
Расшифровкой МРТ прямой кишки занимаются специалисты. Врач-рентгенолог предоставляет пациенту протокол диагностики, также собственное заключение. Но у него нет полного видения ситуации. Потому последнее слово остается за лечащим специалистом. Интерпретировать результаты нужно в системе с итогами прочих диагностических мероприятий.
Делать ли МРТ прямой кишки, зависит от особенностей конкретного клинического случая. Методика не имеет аналогов:
- Томография полностью неинвазивна.
- Не причиняет никакого дискомфорта пациенту.
- Атравматична. Нет рисков осложнений.
- Безболезненна.
- Не опасна с точки зрения вредного воздействия на организм.
- Повторяема. Проводить томографию можно столько раз, сколько того требует ситуация.
- Информативна. Визуализирует исследуемые ткани в деталях.
- Хорошо переносится, в том числе, пациентами младшего возраста.
- Имеет минимум противопоказаний.
Дополнительные обследования назначает лечащий специалист, по показаниям.

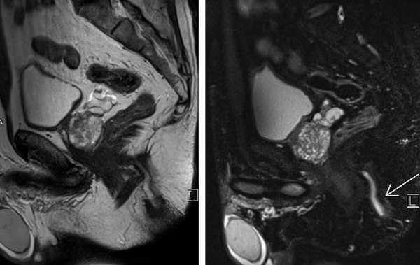
МРТ малого таза в сагиттальной плоскости. МР-признаки анального транссфинктерного свища (линейной формы, стрелка). Наружное отверстие расположено на коже перианальной области на расстоянии 32 мм от анодермальной линии.
Показания и возможности компьютерной томографии (КТ) в колопроктологии
Исследования, позволяющие получить изображения срезов (КТ, МРТ, УЗИ), являются основным источником диагностических данных в современной медицине и, в настоящее время, любая клиническая дисциплина, в том числе хирургия и онкология, опирается на эти неинвазивные и воспроизводимые исследования. Компьютерная томография (КТ), безусловно, наиболее универсальное и быстрое исследование для оценки опухолевого роста и инфекционных процессов, планирования хирургического вмешательства, выполнения прецизионных интервенционных процедур, выявления сопутствующих заболеваний.
Достигнутая разрешающая способность позволяет получать изображения в различных плоскостях, выделяя области, представляющие клинический интерес. Умение читать КТ снимки является обязательным условием успешной практики колоректального хирурга.
а) Альтернативы компьютерной томографии:
• МРТ.
• Ультрасонография органов брюшной полости.
• Хирургическое вмешательство.
б) Показания для компьютерной томографии (КТ):
• Стадирование рака: местная распространенность (в частности, при раке прямой кишки), вторичные патологические изменения (признаки перфорации/обструкции, метастазов в печени, гидронефроза, вовлечения парааортальных лимфоузлов и т.д.).
• Оценка изменения опухолевой прогрессии в ответ на лечение (при неоадъювантной терапии).
• Оценка местного инфекционного процесса, перитонита, нарушений функции дыхания, послеоперационных осложнений и т.д.
• Выявление сопутствующих заболеваний: цирроза печени, асцита, воспалительных изменений, камней в желчном пузыре, камней в почках; оценка анатомических вариантов.
• Исследование при неясных симптомах со стороны брюшной полости и таза: боль, вздутие, грыжи передней брюшной стенки и т.д.
• КТ колонография и КТ энтерография.
• Спиральная КТ: исследование при активном кровотечении из ЖКТ - экстравазация контраста из сосуда?
в) Преимущества компьютерной томографии (КТ):
• Повсеместная доступность.
• Высокая чувствительность и специфичность при диагностике поражений печени более 1см (90% и 95%, соответственно).
• Не зависит от навыков исследователя, воспроизводится легче, чем ультрасонографическое исследование.

КТ: большая послеоперационная грыжа.
в) Риск и ограничения компьютерной томографии (КТ):
• Риск: лучевая нагрузка (2000 мбэр [20,0 мЗв]), аллергия на контрастное вещество.
• Для адекватной визуализации необходимо назначение контраста внутрь и в/в, что недопустимо при почечной недостаточности и аллергии на контрастное вещество.
• Необходима корреляция с данными других методов исследования.
• Дифференцировка между доброкачественными и злокачественными поражениями часто невозможна.
г) Типичные находки:
• Рак: видимая опухоль (первичная опухоль толстой кишки не всегда визуализируется на КТ), признаки метастазирования, инвазия или опасная близость к другим структурам и т.д.
• Перитонит/внутрибрюшная катастрофа: формирование абсцесса (тазового, периколического, подпеченочного, поддиафрагмального, межкишечного и т.д.), признаки выхода контраста (несостоятельность, перфорация), воздух вне просвета?
• Дивертикулит (важен для стадирования/возможного вмешательства): флегмона, утолщение стенки кишки, тяжистость жировой клетчатки, формирование абсцесса (периколического, тазового), осумкованный газ вне кишки, свободный газ, асцит.
• Аппендицит: увеличение диаметра отростка (> 6 мм), копролиты? Перифокальные воспалительные изменения (жидкость, тяжистость, ограниченное утолщение стенки, свободная жидкость).
• ВЗК:
- Болезнь Крона: утолщение стенки кишки, неизмененные участки, тяжистость жировой клетчатки, формирование абсцессов, свищей (ускоренное продвижение перорального контраста, воздух в мочевом пузыре), лимфаденопатия.
- Язвенный колит: специфические изменения при КТ обычно отсутствуют, иногда отмечается заметное усиление изображения слизистой.
• Колиты: заметное усиление изображения слизистой, возможно утолщение стенки кишки (например, при клостридиальном колите), пальцевые вдавления (отек слизистой).
• Ишемический колит: неравномерное усиление изображения кишечной стенки, периколическая тяжистость, прерывистое изображение висцеральных сосудов, пневматоз (воздух в стенке толстой кишки: подозрение на некроз), газ в воротной вене (при гангренозных процессах), свободный газ.
• Обструкция толстой кишки: уровни газа/стула, переходная точка, утолщение стенки кишки, признаки основного заболевания (опухоль, спайки), признаки перфорации, диаметр слепой кишки (>12 см?), поперечно-ободочной кишки (диаметр > 6 см?), пневматоз?
• Активное кровотечение из ЖКТ: экстравазация контраста из сосуда, контрастное усиление кишечной стенки, утолщение кишечной стенки, дилатация сосудов.

а - Маленький околотолстокишечный абсцесс при дивертикулите. Фокус скопления воздуха наблюдается вне контура просвета кишки (показано длинной стрелкой) в центре мягкотканного тяжа жировой ткани, идущего к сигмовидной кишке.
В брыжейке сигмовидной кишки видна жидкость (короткая стрелка). Компьютерная томография.
б - Большой околотолстокишечный абсцесс при дивертикулите. Полость абсцесса содержит воздух и остатки тканей (показано стрелкой), толстая стенка абсцесса усиливает контрастность.
Компьютерная томография.
в,г,д - Радиоизотопное исследование с применением 99mТс у пациента с клиническими признаками сепсиса при отсутствии первичного очага. Через 1 ч (в) обнаружено нормальное рас пределение изотопа в печени и селезенке. Через 3 ч (г) изотоп наблюдают в кишке, и он накапливается в полости таза.
Через 22 ч — остатки изотопа наблюдают только в тазовом абсцессе (д).
Информация на сайте подлежит консультации лечащим врачом и не заменяет очной консультации с ним.
См. подробнее в пользовательском соглашении.
Читайте также:
