Рентгенограмма, КТ, МРТ костей при туберозном склерозе
Добавил пользователь Евгений Кузнецов Обновлено: 08.11.2025
Какой метод диагностики туберозного склероза выбрать: МРТ, КТ, ангиографию
Метод выбора
Информативна ли МСКТ сосудов мозга при болезни Бурневиля-Прингла
Туберозный склероз на изображениях визуализируются обызвествленные узлы или кальцифицированные субэпендимальные гамартомы.
Что покажут снимки МРТ головного мозга при туберозном склерозе
- Обычно множественные
- Чаще всего встречаются в супратенториальном отделе
- У новорожденных они гиперинтенсивные по отношению к прилежащему, еще немиелинизированному белому веществу на Т1-ВИ и гипоинтенсивные на Т2-ВИ
- У детей постарше центр узлов выглядит гипоинтенсивным по отношению к белому веществу на Т1-ВИ и гиперинтенсивным на Т2-ВИ
- В зрелом мозге очаги могут быть изоинтенсивные на Т1-ВИ, но практически всегда гиперинтенсивные на Т2-ВИ
- Могут отмечаться кальцинаты
- FLAIR и метод переноса намагниченности дают больше диагностической информации относительно размера и количества очагов.
- Субэпендимальные узлы чаще всего обнаруживаются вдоль желудочкового контура хвостатого ядра, сразу сзади от межжелудочкового отверстия Монро, но также могут локализоваться в других участках
- У новорожденных очаги гиперинтенсивные по отношению к прилежащему, еще немиелинизированному белому веществу в Т1-ВИ и гипоинтенсивные в Т2-ВИ
- По мере созревания головного мозга очаги все больше выглядят изоинтенсивными по отношению к белому веществу в Т1- и в Т2-ВИ
- Узлы кальцифицируются, но не раньше конца первого года жизни
- Может наблюдаться контрастное усиление, но оно не имеет клинического значения.
Субэпендимальные гигантоклеточные астроцитомы:
- Обычно расположены вблизи межжелудочкового отверстия Монро
- Как правило, размером более 12 мм
- Часто приводят к окклюзионной гидроцефалии
- Всегда накапливают КС
- Могут кальцифицироваться.
Очаги в белом веществе:
- Картина сигнала идентична таковой при кортикальных узлах
- FLAIR и метод переноса намагниченности дают больше диагностической информации.
Что хотел бы знать лечащий врач
- Сопутствующие мальформации
- Гидроцефалия
Какие заболевания имеют симптомы, схожие с туберозным склерозом
Вирусные и другие энцефалиты с кальцина тами вблизи желудочков (краснуха, цито мегаловирусная инфекция, токсоплазмоз):
- Отсутствие других симптомов туберозного склероза
Лечение
- Туберозный склероз имеет индивидуальное лечение
- Симптоматическое лечение судорожных припадков
- Дренирование ЦСЖ при гидроцефалии.
Врачи каких специальностей диагностируют и лечат болезнь Бурневиля-Прингла
- Невропатолог (определение неврологической симптоматики)
-Терапевт (осмотр участков поражения кожи и их дифференциальная диагностика)
-Врач-функциональной диагностики (определение узлов,гамартом; постановка диагноза на базе имеющихся результатов исследования)
-Нейрохирург (дренаж ЦСЖ при необходимости)
Прогноз
Неблагоприятный. Частый летальный исход.Продолжительность жизни не более 5 лет.
Возможные осложнения и последствия
- водянка головного мозга (гидроцефалия)
-Синдром внезапной смерти
-Нарушение работы сердца (нарушение ритма)

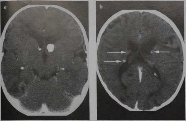
Туберозный склероз. КТ, аксиальный срез после введения КС. Кальцифицированная субэпендимальная опухоль в переднем роге левого бокового желудочка (гигантоклеточная астроцитома, а). Вдоль стенок бокового желудочка визуализируются множественные, накапливающие КС субэпендимальные узлы, некоторые из них кальцифицированные (гамартомы) (b; стрелки). Множественные, двусторонние, кортикальные и субкортикальные узлы в лобной, височной и затылочной долях (гамартия; а, b)
Рентгенограмма, КТ, МРТ костей при туберозном склерозе
а) Определение:
• Комплекс туберозного склероза (КТС): полиорганный генетический нейрокожный синдром, характеризующийся развитием гамартом
б) Визуализация:
1. Рентгенография при туберозном склерозе:
• Костная патология:
о Очаговые склеротические образования
о Могут возникать литические очаги
о Гиперостоз внутреннего кортикального слоя свода черепа + очаги склероза (40% случаев)
о Гипертрофическая остеоартропатия, особенно кистей/стоп (66% случаев)
(Слева) КТ, коронарный срез: определяются множественные округлые склеротические образования, разбросанные по всему осевому скелету. Отмечается патологическое распределение структуры жировой плотности в забрюшинном пространстве, что требует дальнейшего наблюдения.
(Справа) КТ, коронарный срез: у этого же пациента визуа -лизируются увеличенные почки, содержащие бесчисленное количество ангиомиолипом. Комбинация почечных и костных признаков позволяет предположить туберозный склероз. (Слева) КТ, аксиальный срез: у этого же пациента отмечаются множественные округлые склеротические образования внутри тела и задних элементов позвоночника. Эти образования не выглядят агрессивно, полностью гомогенные и не имеют других характерных черт.
(Справа) КТ крестца, аксиальный срез: определяются склеротические образования. Гем не менее, также имеется несколько литических образований. Обе картины характерны для костных образований туберозного склероза и могут определяться при метастазах или при миеломе, но заболевание почек свидетельствует в пользу туберозного склероза. (Слева) МРТ, FLAIR, аксиальный срез: у этого же пациента определяются характерные субкортикальные бугры. При туберозном склерозе неврологические признаки являются наиболее распространенными, далее идут сим птомы поражения почек, а затем костные образования.
(Справа) Рентгенография в косой проекции: определяется толстая волнообразная периостальная реакция, поражающая все пястные кости. Это характерная картина гипертрофической остеоартропатии, которая чаще встречается в сочетании с заболеваниями легких, но редко с туберозным склерозом, как в данном случае.
2. МРТ при туберозном склерозе:
• Внутричерепная патология:
о Кортикальные или субэпендимальные бугры (95-100% случаев)
о Патология белого вещества (40-90% случаев)
о Субэпендимальная гигантоклеточная астроцитома
• Рабдомиома сердца (50-65% случаев):
о У 40-80% пациентов с рабдомиомой сердца имеется КТС
о Одиночная или множественная, расположенная в межжелудочковой перегородке
о В большинстве случаев (70%) наблюдается спонтанный регресс, при котором остаются жировые очаги вдоль межжелудочковой перегородки
• Патология легких:
о Лимфангиолейомиоматоз: редкая диффузная интерстициальная пролиферация гладкомышечных клеток в виде округлых тонкостенных кист
о Множественная мелкоузловая гиперплазия пневмоцитов
• Патология почек:
о Ангиомиолипома почек (55-75% случаев): жир внутри опухоли может быть скрыт кровотечением вследствие разрыва
о Кисты почек
о Почечноклеточный рак: при наличии сопутствующего КТС имеется тенденция к развитию опухоли у молодых пациентов
в) Дифференциальная диагностика туберозного склероза:
1. Костный островок (эностоз):
• Гамартомные образования, не имеющие клинической важности
• Клиническая картина данного образования отличается от КТС
2. Метастазы остеобластомы:
• Клиническая картина помогает в дифференциальном диагнозе
3. Остеопойкилоз:
• Распределение опухоли (в основном в метафизах) отличается от такового при КТС
• Дисплазия не имеет сопутствующих признаков, отличающих ее от КТС
4. Склеротическая множественная миелома:
• Обычно входит в синдром POEMS; сопутствующие признаки должны помочь в дифференциальном диагнозе:
о Полинейропатия, висцеромегалия, эндокринопатия, миелома, поражение кожи
(Слева) КТ, аксиальный срез: у этого же пациента определяется плотное, слегка расширенное образование ребра, одно из многих склеротических костных образований при туберозном склерозе.
(Справа) КТ с контрастированием, аксиальный срез: определяется очаговая полоса жира вдоль межжелудочковой перегородки. Предполагалось, что это - остаточный жир от рабдомиомы плода или новорожденного, который спонтанно регрессирует; это характерная черта развития данного заболевания. (Слева) КТ, аксиальный срез: у пациента с туберозным склерозом определяется тонкостенная киста внутри нижнего легочного поля, что характерно для ан-гиомиолипомы.
(Справа) КТ, аксиальный срез: у этого же пациента определяются два склеротических костных образования. Они обладают неспецифичной картиной визуализации, но вместе с висцеральными признаками туберозного склероза эти признаки весьма характерны для данного заболевания.
г) Патология:
1. Общая характеристика:
• Генетика:
о Мутации в генах TSC1 и TSC2:
- Гамартин и туберин кодируются отдельными хромосомами
- Одиночная мутация в любом из этих генов, дополненная неизбежной потерей гетерозиготности, способна вызвать туберозный склероз:
Дефектный туберин вызывает более тяжелые фенотипические изменения
о Аутосомно-доминантный тип наследования; в 2/3 случаев отмечаются спорадические мутации
2. Стадирование и классификация туберозного склероза:
• Клиническая триада симптомов:
о Эпилепсия, умственная отсталость, аденома сальных желез (adenoma sebaceum):
- У 1/2 пациентов отмечается нормальный интеллект
- У 1/4 пациентов отсутствует эпилепсия
д) Клинические особенности:
1. Проявления:
• Типичные признаки/симптомы:
о Тяжелое неврологическое заболевание (90% случаев)
- Эпилепсия
- Задержка развития
- Аутизм
- Психические расстройства
о Болезнь почек:
- Множественные ангиомиолипомы
- Изредка отмечается наличие злокачественной опухоли внутри доброкачественных опухолей
о Заболевания сердца:
- Внутрисердечные очаги жира
- Рабдомиома
о Кожные образования (90% случаев):
- Гипопигментированные пятна по типу «пепельного листа»
- Участки «шегреневой кожи»
- Ангиофибромы лица (вплоть до 80% пациентов)
- Околоногтевые фибромы
2. Демография:
• Эпидемиология:
о Один случай на 6000-12000 человек
3. Течение и прогноз:
• Риск летального исхода к 35 годам составляет 40%
Диагностика туберозного склероза на МРТ, КТ
а) Терминология:
1. Сокращения:
• Туберозно-склерозный комплекс (ТСК)
2. Синонимы:
• Синдром Бурневилля-Прингла, туберозный склероз
3. Определение:
• Полисистемное генетическое заболевание, характеризующееся развитием эпилепсии, полиорганных опухолей и гамартом:
о Целый спектр гамартом центральной нервной системы (ЦНС); все содержат диспластичные нейроны и гигантские (подвергшиеся баллонной дистрофии) клетки
о Вызывается мутацией в гене 750 или TSC2
о В настоящее время считается инфантильной таупатией:
- Аномальная экспрессия тау-белка во многих дисморфичных нейронах и глиальных клетках ТСК
б) Визуализация туберозного склероза:
1. Общие характеристики:
• Лучший диагностический критерий
о Кальцифицированные субэпендимальные узлы (гамартомы)
- В 98% случаев-субэпендимальные узлы (СЭУ)
• Локализация
о Субэпендимальная гигантоклеточная астроцитома (СЭГА) (1 5%); в большинстве случаев располагается в области отверстия Монро
о Кортикальные/сукортикальные суберсы (95%):
- Лобные > теменные > затылочные > височные доли больших полушарий > мозжечок
- Т количества туберсов → Т неврологической симптоматики
о Радиальные линии миграции в белом веществе (РЛМБВ):
- Представляют собой гетеротопированную глию с нейронами вдоль пути кортикальной миграции из желудочков в кору
о Кистоподобные очаги поражения БВ (кистозная дегенерация головного мозга)
• Размеры:
о Утолщение коры, увеличение в размерах извилин в сочетании с кортикальными/субкортикальными туберсами
о СЭУ, характеризующийся ростом в течение времени до размеров > 1,3 см = СЭГА
• Морфология:
о Увеличение извилин в размерах, иногда их пирамидальная форма
о В 20% случаях отмечается вдавление в центральных отделах по типу «картофельного глазка»
2. КТ при туберозном склерозе:
• Бесконтрастная КТ:
о СЭУ:
- Вдолькаудоталамической вырезки > предсердия» височной
- 50% Са (прогрессирующее в течение одного года)
о Туберсы
- «Свежие»: гиподенсные/кортикальная Са++/субкортикаль-ное объемное образование
- «Старые»: изоденсные/Са++ (50% к 10 годам)
о Вентрикуломегалия встречается часто даже при отсутствии СЭГА
• КТ с контрастированием
о Контрастирование/увеличение размеров СЭУ - подозрение на СЭГА

(а) МРТ, Т1-ВИ, аксиальный срез: у мальчика возрастом 13 дней хорошо демонстрируются множественные гиперинтенсивные на Т1-ВИ субкортикальные туберсы радиальные линии миграции в БВ и гиперинтенсивный субэпендимальный узел (СЭУ). Непораженное немиелиниизированное БВ имеет гипо-интенсивный сигнал.
(б) МРТ, Т2-ВИ, аксиальный срез: у того же пациента в возрасте одного года определяются СЭУ, имеющий гипоинтенсивный сигнал, и множественные гиперинтенсивные туберсы. Некоторые изменения, отчетливо визуализирующиеся на предыдущем изображении, здесь не визуализируются; некоторые туберсы, ранее не очевидные, теперь видны.
3. УЗИ:
• В-режим:
о Выявление рабдомиомы у плода: ТСК - в 96% случаев
- Выявленные уже на 20 неделе гестации
4. Рекомендации по визуализации:
• Лучший инструмент визуализации:
о МРТ с контрастированием
• Советы по протоколу исследования:
о МРТ с контрастированием ± бесконтрастная КТ (выявление кальцифицированных СЭУ)
о Ежегодная диагностическая визуализация для наблюдения при неполноценной кальцификации СЭГА или контрастировании СЭГА:
- Следите за скоростью роста ± обструкцией желудочков
(а) МРТ, Т2-ВИ, аксиальный срез: у месячного ребенка определяются множественные гипоинтенсивные СЭУ, берущие начало от стенок боковых желудочков. Кора правой лобной доли утолщена и, вероятно, имеется ее диффузная дисплазия.
(б) Бесконтрастная КТ, аксиальный срез: у другого пациента определятся кальцификация СЭУ , расположенного вдоль передней границы преддверия левого бокового желудочка. Гиподенсная опухоль, вероятно, имеющая кистозную структуру, визуализируются в нижнем отделе левой лобной доли. (а) МРТ, FLAIR, аксиальный срез: у шестилетнего ребенка определяются множественные гиперденсные очаги линейной формы, имеющие нечеткие контуры, ориентированные радиально от коры к боковому желудочку.
(б) МРТ, Т1-ВИ с эффектом переноса намагниченности (МТ), аксиальный срез: у того же пациента определяются множественные гиперинтенсивные очаги, патогномоничные субкортикальным туберсам и радиальным линиям миграции в БВ. Оценка T1-ВИ с МТ позволяет поставить диагноз ТС намного легче и увереннее, чем при оценке FLAIR.
в) Дифференциальная диагностика туберозного склероза:
1. Х-связанная субэпендимальная гетеротопия:
• Изоинтенсивный серому веществу (СВ) сигнал на Т1-/Т2-ВИ
2. TORCH-синдромы:
• Цитомегаловирусная (ЦМВ) инфекция: перивентрикулярная Са++, типичный характер поражения БВ, полимикрогирия
3. Фокальная кортикальная дисплазия Тэйлора (2 типа):
• Также вследствие мутации генов сигнального пути mTOR
г) Патология туберозного склероза:
1. Общие характеристики:
• Этиология:
о Аномалия дифференцировки/пролиферации клеток герминального матрикса
о Остановка миграции и дисгенез нейронов
• Генетика:
о В 50% случаев ТСК наследуется:
- Аутосомно-доминантный тип; высокая, но вариабельная пенетрантность
- De novo: спонтанная мутация/герминальный мозаицизм (60-85%)
о Мутации в генах-супрессороах опухолей при ТСК вызывают активацию белка mTOR → Т синтеза белка + пролиферация клеток:
- 2 различных локуса: TSC1 (9q34) кодирует «гамартин»; 750 (16р13.3) кодирует «туберин»
• Ассоциированные аномалии:
о Почки: ангиомиолипома и кисты (40-80%)
о Сердце: рабдомиомы (50-65%); большинство инволютирует со временем
о Легкие: кистозный лимфангиомиоматоз/фиброз о Солидные органы: аденомы, лейомиомы о Кожа: пятна в виде листьев ясеня (в большинстве случаев), в том числе на волосистой части кожи головы; ангиофибромы лица; участки «шагреневой кожи»
о Конечности: подногтевые фибромы (15-20%), кистозные поражения костей, ундулирующий характер периостальной реакции
о Глаза: «гигантские друзы» (50%), астроцитома сетчатки (могут регрессировать)
о Питтинг на эмали постоянных зубов у большинства взрослых
2. Стадирование и классификация:
• СЭГА: I степень злокачественности по классификации ВОЗ (grade I)
3. Макроскопические и хирургические особенности:
• Плотные кортикальные узлы («туберсы») с углублениями («картофельный глазок»)
4. Микроскопия:
• Кортикальная дисплазия с клетками, подвергшимися баллонной дистрофии, дисморфичная конфигурация нейронов
• Демиелинизация, вакуолизация и глиоз
д) Клиническая картина туберозного склероза:
1. Проявления:
• Наиболее частые признаки/симптомы:
о Неврологические проявления наблюдаются наиболее часто (85%), являются основной причиной заболеваемости/смертности у пациентов с данной патологией
о Классическая клиническая триада:
- Фокальные ангиофибромы (90%), умственная отсталость (50-80%), судороги (80-90%):
Все три компонента («эпилойя»): 30%
• Клинический профиль:
о Судороги (инфантильные спазмы у очень молодых пациентов), ангиофиброма лица, гипопигментированные пятна на коже, умственная отсталость
о Младенцы/дети раннего возраста: инфантильные спазмы (20— 30%), аутизм → неблагоприятный прогноз
- Инфантильные спазмы наблюдаются до появления поражений лица, участков «шагреневой кожи»
о Диагностические критерии: два больших или один большой + два малых:
- Большие критерии: ангиофиброма лица/бляшка на лбу, под-/околоногтевая фиброма, ≥ трех гипомеланотических пятна, участок «шагреневой кожи», множественные узловые гамартомы сетчатки, кортикальный туберс, СЭУ, СЭГА, рабдомиома сердца, лимфангиолейомиоматоз, ангиомиолипома почки
- Малые критерии: питтинг на эмали зубов, гамартоматозные полипы прямой кишки, костные кисты, Радиальные линии миграции в БВ (> 3 = большой критерий), фибромы десен, непочечная гамартома, ахроматический участок сетчатки глаза, поражение кожи по типу пятен-конфетти, множественные кисты почек
2. Демография:
• Возраст:
о Диагностируется в любом возрасте:
- На первом году жизни при развитии инфантильных спазмов или при наблюдении вследствие отягощенного семейного анамнеза
- Дети: поведение аутистического типа, умственная отсталость, судороги или повреждения кожи
- Во взрослом возрасте сообщаются случаи выявления симптоматических СЭГА при диагностической визуализации головного мозга
• Эпидемиология:
о 1:6000 живорожденных
е) Диагностическая памятка. Советы по интерпретации изображений:
• FLAIR и Т1-ВИ с эффектом переноса намагниченности являются наиболее чувствительными последовательностями для выявления характерных изменений
• Т1-ВИ более информативны в выявлении ранних аномалий БВ (созревание премиелина)
• СЭУ отличается от СЭГА размерами:
о СЭУ < 1,3 см
о СЭГА > 1,3 см
Туберозный склероз симптомы и диагностика у детей
Туберозный склероз, или болезнь Бурневиля – генетическое заболевание, которое характеризуется специфическим комплексом изменений нервной системы и кожи, а также наличием доброкачественных опухолей (гамартом) в различных органах (головной мозг, легкие, почки). Болезнь обусловлена нарушениями генов, кодирующих белки гамартин и туберин, и, окончательный диагноз ставится на основании генетических анализов, но вместе с тем типичная МРТ-картина позволяет поставить верный диагноз в большинстве случаев.

Клинически заболевание манифестирует судорожными припадками (эпилепсией) в детском возрасте. Туберозный склероз помогают заподозрить внешние изменения на коже: ангиофибромы лица, «шагреневая» кожа, мягкие кожные фибромы и т.д.
При подозрении на эту болезнь обязательно следует проводить МРТ головного мозга. При этом в головном мозге выявляются характерные МРТ-признаки туберозного склероза: корковые и подкорковые узлы (туберсы), субэпендимальные узелки (гамартомы), а также различные изменения белого вещества – очаговые и кистозные.

К сожалению, многие врачи недостаточно знакомы с симптомами, поэтому болезнь нередко просматривается на МРТ, и пациентам ставится другой, неверный диагноз. Дополнительная опасность заключается в том, что субэпендимальные узелки способны перерождаться в опухоль – т.н. субэпендимальную гигантоклеточную астроцитому.
Поэтому необходимо не просто повторять МРТ на качественном аппарате, но и показать снимки квалифицированным рентгенологам, которые досконально знают диагностику болезней мозга и могут детально разобраться в проблеме.
Оказать дистанционную консультацию по МРТ и выполнить удаленную расшифровку МРТ могут врачи всероссийской службы Национальной телерадиологической сети.
Узнайте подробнее, как получить Второе мнение по КТ и МРТ головного мозга.

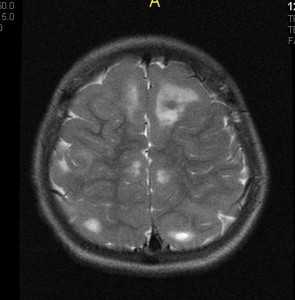
МРТ головного мозга при туберозном склерозе. Участки изменения МР-сигнала неправильной формы в коре и подкорковом белом веществе — так называемые корковые туберсы.

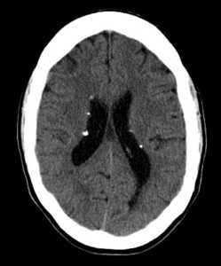
КТ головного мозга при туберозном склерозе. Видны кальцинированные субэпендимальные узелки в стенках боковых желудочков.
Туберозный склероз
Туберозный склероз — генное заболевание, характеризующееся поражением нервной системы в виде эпилепсии и олигофрении, полиморфными кожными симптомами, опухолевыми и неопухолевыми процессами в соматических органах. Диагностический алгоритм состоит из обследования нервной системы (МРТ, КТ головного мозга, ЭЭГ), офтальмологического исследования, обследования внутренних органов (УЗИ, МРТ сердца, КТ почек, рентгенография легких, ректороманоскопия). Главными направлениями лечения являются: противоэпилептическая терапия, нейропсихологическая коррекция, наблюдение и своевременное хирургическое лечение новообразований.
МКБ-10
Общие сведения
Туберозный склероз (ТС) — наследственная нейроэктодермальная патология, проявляющаяся изменениями кожи, эпилептическими приступами, олигофренией (умственной отсталостью) и возникновением новообразований различной локализации. Наряду с нейрофиброматозом, болезнью Гиппеля-Линдау, синдромом Луи-Бар, болезнью Стерджа-Вебера и др., ТС относится к факоматозам. Заболеваемость составляет 1 случай на 30 тыс. населения, среди новорожденных — 1 случай на 6-10 тыс. Известны не только семейные, но и спорадические случаи. Причем последние составляют до 70%.
Впервые туберозный склероз был описан Реклингхаузеном в 1862 г. Француз Бурневилль в 1880 г. подробно исследовал морфологические изменения, происходящие в головном мозге при этом заболевании, и впервые употребил термин «туберозный склероз». В 1890 г. дерматолог Прингл сделал описание ангиофибром лица у пациентов с ТС. Поэтому в литературе по неврологии можно встретить синонимичное название ТС — болезнь Бурневилля-Прингла.
Причины туберозного склероза
Заболевание имеет генетическую природу. Большинство случаев обусловлено возникновением новых мутаций и лишь 30% аутосомно-доминантным наследованием генных аберраций, имеющихся у родителей. Выделяют туберозный склероз тип 1, развитие которого обусловлено мутациями в гене 34 локуса 9-й хромосомы, ответственном за кодирование гамартина, и туберозный склероз тип 2, связанный с нарушениями в 13-ом участке 16-й хромосомы, отвечающем за кодирование туберина.
Биохимические аспекты патогенеза до конца не изучены. Известно только, что в норме гамартин и туберин являются факторами подавления опухолевого роста. Морфологическим субстратом выступают разросшиеся глиальные элементы церебральной ткани, гистологически представленные гигантскими клетками с атипично увеличенными ядрами и большим числом отростков. Глиальные разрастания формируют субэпендимальные узлы, корковые туберы и специфические островки в белом веществе. Все эти образования имеют тенденцию к обызвествлению. Субэпендимальные узлы зачастую дают начало образованию гигантоклеточной астроцитомы. В 10% случаев отмечается поражение тканей мозжечка. Глиальные разрастания наблюдаются также на диске зрительного нерва и в периферических отделах сетчатки.
Симптомы туберозного склероза
Клиника, которую имеет туберозный склероз, очень вариабельна. Она включает поражение центральной нервной системы (ЦНС), дерматологические и офтальмологические проявления, новообразования внутренних органов. Дебют приходится на различные возрастные периоды, но чаще туберозный склероз манифестирует в течение первых 5-ти лет жизни. Возможны различные по тяжести варианты течения. В легких случаях пациенты имеют ряд факультативных неспецифических симптомов и зачастую не проходят диагностику на наличие ТС. Туберозный склероз в стертой форме протекает без эпиприступов, олигофрении и расстройств поведения.
Поражение ЦНС
Изменения в ЦНС выступают доминирующими проявлениями ТС. Среди них наиболее часто (в 80-90% случаев) встречается судорожный синдром, с которого обычно манифестирует заболевание. Для эписиндрома, дебютирующего на первом году жизни, характерны инфантильные спазмы (синдром Веста), затем трансформирующиеся в синдром Леннокса-Гасто. Возможны атипичные абсансы, сомато- и сенсомоторные пароксизмы, вторично-генерализованные приступы. Возникновение в возрасте до года, высокая частота и гетерогенность приступов сопровождаются их резистентностью к антиконвульсантной (противоэпилептической) терапии. Эпилептические пароксизмы являются причиной задержки психического развития и нарушений поведения (агрессивности, аутизма, СДВГ) у детей.
В половине случаев туберозный склероз сопровождается выраженной в различной степени олигофренией. Наряду с эпилепсией, причиной ее развития считается наличие корковых туберов. Уже в младшем возрасте у детей отмечается анормальное поведение: общее беспокойство, капризность и недовольство наряду с медлительностью, затруднениями переключаемости внимания. Степень этих нарушений тем выше, чем раньше возник туберозный склероз. У большинства пациентов также наблюдаются нарушения сна. Они характеризуются ночными пробуждениями, инсомнией, сомнамбулизмом, ранним утренним переходом от сна к бодрствованию.
Дерматологические симптомы
Изменения со стороны кожи сопровождают туберозный склероз практически в 100% случаев. Они характеризуются большим полиморфизмом элементов и их сочетаний. Чаще всего (в 90% случаев) наблюдаются пятна гипопигментации, которые возникают обычно в первые 3 года жизни и в дальнейшем увеличивают свое количество. Они асимметрично разбросаны по ягодицам, туловищу и на передне-латеральных поверхностях конечностей. Возможна депигментация ресниц, бровей и волос. В 14% случаев выявляются участки гиперпигментации в виде пятен, более характерных для нейрофиброматоза. Как правило, их насчитывается не более 5 штук.
Ангиофибромы лица по различным данным отмечаются у 50-90% пациентов и образуются в основном после 4-летнего возраста. Это множественные или одиночные плотные узелки в виде зерен проса, красноватого или желтоватого цвета. «Шагреневая кожа» имеет место в 21–68 % случаев. Обычно возникает в период от 10 до 20 лет. Представляет собой асимметричные участки жесткой огрубевшей кожи, локализующиеся на спине и пояснице, имеющие размер от 2-3 мм до 10 см. При дерматоскопии видно, что шагреневые участки состоят из множества фиброзных гамартом.
В 25% случаев туберозный склероз сопровождается образованием фиброзных бляшек, в 30% случаев — мягких дерматофибром. До 50% больных после пубертата имеют склонные к прогредиентному росту околоногтевые фибромы. Последние более часто располагаются на ступнях. Имеют вид тусклых красных узелков или папул, окружающих ногтевую пластинку.
Офтальмологические симптомы
Отмечаются редко, хотя почти у половины больных ТС выявляется наличие гамартом зрительного нерва и/или гамартом сетчатки. Гамартомы могут иметь плоскую гладкую, незначительно возвышающуюся поверхность или представляют собой узловатое образование, иногда встречаются гамартомы смешанного типа — узловатые в центре. Основным проявлением гамартом является прогрессирующее падение зрения, но зачастую наблюдается их субклиническое течение. Возможны и другие офтальмологические расстройства: депигментация радужки, отек диска зрительного нерва, колобома, косоглазие, ангиофибромы век, катаракта.
Поражение внутренних органов
Новообразования соматических органов, сопровождающие туберозный склероз, отличаются множественностью и частым двусторонним поражением парных органов, длительно протекают субклинически. Период их манифестации колеблется от 5 до 40 лет. К наиболее патогномоничным для ТС новообразованиям относятся: рабдомиома сердца, кисты легких, поликистоз почек, гамартомы печени, ректальные полипы. В 4,5% случаев при ТС наблюдаются злокачественные опухоли, чаще почечно-клеточный рак.
Со стороны сердечно-сосудистой системы выявляются опухоли сердца. В 30-60% случаев это рабдомиомы. При их внутриутробном развитии может наблюдаться антенатальная гибель плода. У половины новорожденных с ТС рабдомиомы выявляются случайно при выполнении ЭхоКГ. У маленьких детей они проявляются аритмией, синдромом WPW, тахикардией, фибрилляцией желудочков. Интрамуральное положение рабдомиомы влечет за собой расстройство сократимости; обтурация опухолевой массой сердечных камер приводит к сердечной недостаточности. У старших детей рабдомиомы преимущественно бессимптомны; возможна блокада ножки пучка Гиса, псевдоишемические отклонения на ЭКГ. Зачастую наблюдается регресс и даже полное исчезновение рабдомиомы к 6-летнему возрасту.
Поражение легких отмечается у пациентов, имеющих туберозный склероз, после 30 лет. На рентгенограмме определяется характерная для множественных легочных кист картина «сотового легкого». Поражение ЖКТ включает опухоли полости рта, дефекты зубной эмали, множественные или одиночные гамартомы в печени, не склонные к малигнизации полипы прямой кишки. Поражение почек сопровождают туберозный склероз в 50-85%. Могут отмечаться ангиомиолипомы, кисты, гломерулосклероз, нефрокальциноз, интерстициальный нефрит, гломерулонефрит. Патология почек выступает второй после поражения ЦНС причиной летального исхода при ТС.
Диагностика
Диагностировать туберозный склероз возможно лишь совместными усилиями нескольких специалистов (невролога, офтальмолога, дерматолога, кардиолога, нефролога) с проведением широкого аппаратного обследования пациента. Церебральная эпилептическая активность регистрируется при помощи ЭЭГ и ЭЭГ с пробами. У детей до года возможно проведение нейросонографии. Наибольшую значимость в диагностике поражений ЦНС имеют КТ и МРТ. КТ головного мозга более информативно в отношении кальцифицированных туберов и субэпендимальных узлов, а МРТ головного мозга — в выявлении некальцифицированных туберов. С целью своевременной диагностики астроцитомы детям, имеющим туберозный склероз, рекомендовано прохождение МРТ или КТ-исследования не реже чем раз в 2 года.
Проводится комплексное обследование соматических органов: ЭКГ, УЗИ и МРТ сердца, УЗИ брюшной полости, УЗИ и КТ почек, урография, обзорная рентгенография грудной клетки, ректороманоскопия, колоноскопия. Диагностика офтальмологических поражений осуществляется путем прямой и непрямой офтальмоскопии, сканирующей томографии сетчатки.
В связи с большой полиморфностью сопровождающих туберозный склероз проявлений, для установления диагноза используют диагностические критерии, разработанные в 1998 г. в Швеции. Они включают первичные, вторичные и третичные признаки. Туберозный склероз достоверен, когда имеет место 1 первичный признак в сочетании с 2 вторичными или третичными. Туберозный склероз вероятен при наличии 1 вторичного и 1 третичного или 3 третичных признаков. Окончательную точку в вопросе диагностики туберозного склероза помогает поставить генетический анализ.
Лечение туберозного склероза
Основополагающим направлением в лечении ТС является антиконвульсантная терапия, поскольку степень олигофрении и ЗПР напрямую коррелирует с частотой эпиприступов, а эпилептический статус может стать причиной смертельного исхода. Выбор препарата зависит от вида пароксизмов, при недостаточной эффективности монотерапии, назначается комбинированное лечение. При синдроме Веста применяют вигабатрин и тетракозактид. Препаратами второй очереди выступают вальпроаты. Если туберозный склероз протекает с парциальными эпиприступами, то базовой терапией считается сочетание вальпроатов с карбамазепином. При отсутствии эффекта в эту схему лечения включают ламотриджин. При генерализованных эпиприступах и парциальных пароксизмах в качестве монопрепарата и в комбинации с другими противоэпилептическими средствами могут применяться современные антиконвульсанты топирамат и леветирацетам.
Терапия олигофрении проводится преимущественно путем нейропсихологической коррекции и комплексного психологического сопровождения ребенка. Назначение ноотропов и прочих стимулирующих нейропрепаратов противопоказано из-за наличия эписиндрома. При выявлении астроцитомы проводится динамическое наблюдение. Хирургическое удаление внутримозговой опухоли показано только при резком увеличении ее размеров с подъемом внутричерепного давления. Операцию проводят нейрохирурги.
В отношении новообразований соматических органов применяется преимущественно выжидательная тактика. Хирургическое лечение проводится по показаниям, в основном в случаях, когда опухоль вызывает существенную дисфункцию органа или имеется угроза ее злокачественного течения.
Читайте также:
- Показания к фенестрации лабиринта, слухопротезированию. Опыт Люшера
- Лучевая диагностика ганглионевромы средостения на рентгене, КТ, МРТ
- Морфология аллергической тугоухости. Аллергический средний отит
- Периневральная опухолевая инвазия жевательного пространства по нижнечелюстному нерву - лучевая диагностика
- Пищевое отравление Bacillus cereus и его лечение
