Вирусные менингиты и энцефалиты. Менингиты, вызванные патогенными грибами.
Добавил пользователь Владимир З. Обновлено: 22.11.2025
Вирусные менингиты и энцефалиты. Менингиты, вызванные патогенными грибами.
Нередко в качестве синонима вирусных поражений употребляют уже устаревший термин асептический менингит, указывающий на «стерильность» СМЖ при исследовании обычными бактериологическими методами. Помимо вирусов менингиты и энцефалиты вызывают патогенные грибы, лептоспиры и бледная трепонема.
Состояния также могут вообще не иметь инфекционной этиологии, например при болезнях злокачественного роста или коллагенозах. Вирусы также вызывают и поражения головного мозга, так что более уместен термин вирусные мениигоэнцефалиты. Основные возбудители — энтеровирусы (Коксаки, ECHO, полиови-русы) и вирус эпидемического паротита.
Реже поражения вызывают герпесвирусы, ЦМВ, вирусы бешенства, коревой краснухи, оспы коров, арбовирусы (восточного, западного и Калифорнийского лошадиного энцефалитов) и др. «Золотой стандарт* — выявление этиологического агента; эффективность выделения на культурах клеток с последующей идентификацией возбудителя не превышает 25-30%. Обычно ограничиваются исследованиями СМЖ с определением давления и цитоза (обычно 100~500/мл; повышение до 1000/мл и выше нетипично).
Характерно преобладание нейтрофилов в первые 48 ч, позднее около 50% от общего количества клеток составляют мононуклеары.

Менингиты, вызванные патогенными грибами
Большинство грибов, вызывающих системные и оппортунистические микозы, способно к диссеминированию и поражает ЦНС; некоторые виды грибов обладают изначальным тропизмом к тканям мозговых оболочек. Основные возбудители — Cryptococcus neoformans и Coccidioides immitis. Оба возбудителя проникают в ЦНС путём гематогенного диссеминирования из первичного очага инфекции в лёгких. С. neoformans распространён повсеместно. У большей части населения можно выявить AT к Аг грибов при полном отсутствии соответствующей симптоматики. Гриб — классический оппортунистический патоген; более 50% пациентов с криптококковыми менингитами страдают иммунодефицитами с нарушением клеточного иммунного ответа.
С. immitis эндемичен для некоторых районов юго-запада США и Центральной Америки. Однако только 1% первичных инфекций приводит к кокцидиоидкому менингиту. Материал для исследований — СМЖ; среди клеток преобладают мононуклеары; содержание лейкоцитов — 50-500/мл. Обнаружение капсулированных клеток в мазках СМЖ, окрашенных тушью, подтверждает диагноз. Микроскопия окрашенных мазков позволяет выявить заболевание у 50-70% пациентов. Однако обнаружение С. immitis микроскопией мазков СМЖ представляет большую редкость. С. neqformans легко выделить на соответствующих средах и определить его физиологические и биохимические свойства. Гораздо труднее выделять возбудитель кокцидиоидозного менингита; в 70% клинических случаев попытки безуспешны. Выросшие культуры С. immitis идентифицируют микроскопией и по морфологии колоний. У 94% пациентов с криптококковым менингитом можно обнаружить капсульный Аг в СМЖ методом латекс-агглютинации.
Следует помнить, что наличие ревматоидного фактора в образце может обусловить ложноположительные результаты. Серологическая диагностика кокцидиоидозного менингита основана на выявлении комплемент-связывающих AT в СМЖ; у 70% пациентов AT можно выявить уже при первом исследовании. В некоторых случаях первичная диагностика заболевания затруднена, но при прогрессировании процесса AT выявляют практически у всех пациентов.
Информация на сайте подлежит консультации лечащим врачом и не заменяет очной консультации с ним.
См. подробнее в пользовательском соглашении.
Грибковые менингоэнцефалиты. Криптококкоз и кандидоз
Клиническая картина фибковых поражений очень разнообразна и отражает весь спектр возможных поражений ЦНС. Вид возбудителя зависит от иммунного статуса пациента. У лиц с нормальным иммунным статусом чаше всего выявляется криптококкоз, при иммунодефицитйых состояниях — кандидоз или аспергиллез. В странах третьего мира грибковые заболевания более распространены, чем в Европе. В Северной и Южной Америке встречается кокцидиоидоз, гистоплазмоз, в Америке и Африке — бластомикоз.
Криптококки поражают прежде всею пациентов со СПИДом, соматическими заболеваниями и другими состояниями, характеризующимися нарушением клеточного иммунитета (при лимфомах, после пересадки органов или лечения кортикостероидами), реже — лил с нормальным иммунным статусом. Первично инфекция во ил с кает легкие. Заболева ние ЦНС протекает в острой или подострой форме и предстаапяст собой сочетание мультифокального гранулематозного энцефалита с менингитом, при этом могут преобладать симптомы как менингита, так и энцефалита.
Из субъективных симптомов чаще всего встречается головная боль, которая может сопровождаться такими симптомами энцефалита, как изменения личности, спутанность, очаговые неврологические нарушения. В некоторых случаях единственным проявлением заболевания служи] умеренный когнитивный дефицит. В ЦСЖ выявляют признаки хронического менингита, которые в случае иммунодефицита бывают выражены минимально. При окрашивании препарата ЦСЖ тушью в половине случаев выяатяются криптококки, если этого не происходит, диагноз можно подтвердить с помощью теста на антигены в крови и ЦСЖ. У пациентов выявляется рост фиба через 2—6 нсд. после посева ЦСЖ.
Иногда также удастся обнаружить рост фиба после посева крови, слюны, мочи или кала.

Средствами выбора являются амфотерицин В и флуцитозин. При иммунодефиците рекомендуется длительное применение флуцитозина для предотвращения рецидивов.
Кандидоз редко ограничивается поражением ЦНС, чаще всего представляя собой системное грибковое заболевание. Во многих случаях он яатяется осложнением хирургического вмешательства на внутренних органах, длительного сохранения венозного катетера, лечения кортикостероидами, употребления наркотических средств и др. Заболевание может протекать в острой или хронической форме, сопровождаться или не сопровождаться лихорадкой. Могут отмечаться симптомы менингита или менингоэнцефалита.
При исследовании ЦСЖ выявляется обычная картина хронического менингита. Изредка иитоз достигает 2000 клеток в 1 мкл. Диагноз основан на выявлении дрожжевых грибов при исследовании препарата ЦСЖ или посеве ЦСЖ на соответствующие среды.
Лечение заключается в применении амфотерицина В и флуцитозина.
Грибковый менингит
Грибковый менингит — поражение мягкой и твёрдой мозговых оболочек грибковой инфекцией с развитием воспалительных изменений. Клиническая картина характеризуется подострым/хроническим течением с повышением температуры, головной болью, сонливостью, слабой выраженностью оболочечных симптомов. Диагностировать грибковый менингит позволяет неврологический осмотр, проведение люмбальной пункции, анализ цереброспинальной жидкости, выявление возбудителя в крови и ликворе. Основу лечения составляют противогрибковые фармпрепараты, применяющиеся в качестве монотерапии, комбинированного и антирецидивного лечения.
МКБ-10
Общие сведения
Грибковый (микотический) менингит – редкая форма инфекционного поражения церебральных оболочек. Патология встречается повсеместно, уровень заболеваемости одинаков для лиц обоих полов. Грибковый менингит поражает преимущественно иммунокомпрометированных пациентов и людей, находящихся в эндемичных зонах распространения возбудителей. Среди больных СПИДом грибковый криптококковый менингит диагностируется в 6-13% случаев. В эндемических областях выявляется большое количество инфицированных грибком, однако лишь у 1% возникает диссеминация возбудителя, которая в 35% случаев сопровождается поражением мозговых оболочек.
Причины грибкового менингита
Возбудителями заболевания являются различные патогенные и условно патогенные грибы. Проникновение в организм осуществляется воздушно-капельным (при вдыхании грибковых спор), алиментарным (при употреблении обсеменённой спорами пищи, воды) путями. Больной человек не является источником инфекции для окружающих. Самыми часто встречающимися возбудителями менингита грибковой этиологии выступают:
- Криптококки. Наиболее распространенный возбудитель — C. Neoformans. Выделяется в окружающую среду с птичьим помётом, присутствует на овощах, фруктах, в почве. Заражение происходит с пищей, при вдыхании частичек пыли со спорами. Подавляющее число случаев заболевания представляют больные СПИДом.
- Кандиды. Относятся к естественной флоре человеческого организма. Вызывают развитие инфекционных заболеваний только на фоне иммунодефицита. Обусловленные этими грибами менингиты составляют 15% всех кандидозных поражений ЦНС.
- Кокцидии. Среди возбудителей кокцидиоза наиболее распространён С. Immitis. Микоз наблюдается в эндемичных регионах США, Южной и Центральной Америки. Поражение оболочек мозга происходит на фоне диссеминированной инфекции чаще у пожилых, беременных, больных с иммунной супрессией.
В группу риска развития микотического менингита любой этиологии попадают лица с иммунодефицитными состояниями: новорожденные, больные ВИЧ-инфекцией, перенёсшие цитостатическую терапию по поводу трансплантации органа, онкозаболевания, пациенты с ХПН, сахарным диабетом, алкоголизмом, заболеваниями крови, лица старше 60 лет.
Патогенез
Попав в организм, возбудитель сталкивается с реакцией защитных иммунологических факторов, препятствующих развитию инфекции. На фоне сниженного иммунного ответа грибковые споры не уничтожаются, током крови разносятся в различные органы и ткани, где происходит развитие возбудителя. Занос спор в оболочки мозга становится возможным в связи с повышенной проницаемостью гематоэнцефалического барьера, в норме обеспечивающего защиту мозговых тканей от проникновения циркулирующих в крови крупных молекул, в том числе различных инфекционных агентов.
Грибковый менингит сопровождается серозным воспалительным процессом. Происходит утолщение, помутнение оболочечных тканей, их поверхность приобретает мелкобугристый характер. Отмечаются петехиальные кровоизлияния. Воспалительный процесс может перейти на церебральное вещество с развитием энцефалита, на оболочки спинного мозга.
Классификация
В практической неврологии применяется разделение микотического поражения оболочек в зависимости от его уточнённой этиологии, особенностей клинического течения. В соответствии с видом возбудителя различают криптококковый, кандидозный, кокцидиозный, гистоплазменный, аспергиллёзный менингит. По течению заболевания грибковый менингит классифицируют на:
- Острый — характерно внезапное появление, быстрое развитие симптоматики. Встречается редко, преимущественно при кандидозной этиологии.
- Подострый — отличается замедленным дебютом с постепенно прогрессирующим нарастанием симптомов. Самый распространённый вариант. Впоследствии может переходить в хроническую форму.
- Хронический — симптоматика наблюдается более 4-х недель. Выраженность клинических проявлений умеренная.
Симптомы грибкового менингита
Начало заболевания обычно подострое (реже – острое), последующее течение хроническое. Основными симптомами становятся интенсивная головная боль (цефалгия), рвота, подъём температуры, анорексия, сонливость. У ряда пациентов цефалгия протекает с повторными, не приносящими облегчения рвотами. Температура тела держится на уровне 37,2-37,9 градусов, иногда достигает фебрильных значений. Отмечается потеря аппетита, возможно отвращение к пище. Больной вялый, много спит, быстро утомляется, выглядит заторможенным. Наблюдается повышенная чувствительность к свету. Возможны судорожные пароксизмы, беспокойство, расстройства сознания, очаговая симптоматика.
Отличительной особенностью является слабая выраженность менингеального синдрома, иногда — его полное отсутствие. Менингеальный симптомокомплекс — типичный признак поражения оболочек, включает напряжённость (ригидность) мышц затылка, специфическую позу больного, общую гиперестезию, тонические феномены, выявляемые в ходе осмотра. При подостром и хроническом течении грибковый менингит может не сопровождаться менингеальными симптомами, что значительно затрудняет диагностику.
Осложнения
В 40% случаев грибковый менингит протекает с внутричерепной гипертензией, усугубляющей цефалгию и вызывающей тошноту, рвоту. При распространении инфекционного процесса на спинальные оболочки возникает корешковый синдром, признаки поражения спинного мозга: периферические и центральные парезы, расстройства чувствительности. Переход инфекционно-воспалительного процесса на церебральные ткани сопровождается развитием очаговой симптоматики, тяжёлых нарушений сознания. Грибковый энцефалит опасен возникновением отёка головного мозга, комы, летальным исходом заболевания.
Диагностика
Диагностические сложности обусловлены стёртой симптоматикой, отсутствием ярко выраженного менингеального синдрома, наличием иммуносупрессии, затрудняющей иммунологическую диагностику заболевания. Постановка диагноза осуществляется с помощью следующих исследований:
- Неврологический осмотр.Невролог обращает внимание на наличие и степень выраженности менингеальной симптоматики, оценивает уровень сознания, выявляет очаговый неврологический дефицит, признаки поражения спинного мозга (если таковые имеются).
- Люмбальная пункция. Позволяет определить ликворное давление, оценить цвет, степень прозрачности ликвора. Последующее исследование цереброспинальной жидкости подтверждает лимфоцитарный плеоцитоз, уровень которого зависит от вида возбудителя, стадии болезни. Микроскопия мазков выявляет наличие нитей гриба в 50% случаев.
- МРТ головного мозга. Необходима для исключения сопутствующих церебральных поражений: туберкулёза, токсоплазмоза. Смешанная грибково-бактериальная, протозойно-грибковая инфекция встречается у иммунокомпрометированных больных.
- Лабораторные анализы. Направлены на верификацию возбудителя, определение его чувствительности к антимикотическим препаратам. Посев крови на стерильность, микробиологическое исследование ликвора позволяют исключить бактериальную этиологию, обнаружить рост грибковых колоний. Иммуноферментный анализ ликвора на наличие антимикотических антител по своей специфичности приближается к 100%, однако при иммунодефицитных состояниях может давать ложноотрицательные результаты.
Дифференциальная диагностика проводится с бактериальным менингитом, туберкулёзным менингитом, вирусным поражением оболочек. В ряде случаев требуется дифференцировка с менингиомой, абсцессом головного мозга, церебральной опухолью.
Лечение грибкового менингита
Основу терапии составляет применение антимикотических фармпрепаратов. До получения результатов определения чувствительности лечение проводится эмпирически, затем — с учётом полученных данных. Используются следующие варианты терапии:
- Монотерапия. Осуществляется путём медленного внутривенного капельного введения. При криптококковой этиологии, жизнеугрожающем кандидозном менингите до получения данных о чувствительности кокцидий показан амфотерицин В. В других случаях хорошо зарекомендовал себя флуконазол. При наличии показаний возможно интратекальное введение препарата посредством люмбальной или вентрикулярной пункции. Фармакотерапия осуществляется длительно (1,5-2,5 мес.) до полной санации ликвора.
- Комбинированное лечение. Проводится амфотерицином в сочетании с флуконазолом, флуцитозином. Данная разновидность терапии считается эффективной у пациентов с криптококковой инфекцией без сопутствующей клиники ВИЧ. Оптимальная комбинация препаратов пока не найдена.
- Противорецидивная терапия. Необходима для профилактики рецидива болезни даже в случае полной санации ликвора от возбудителя. Препаратом выбора выступает флуконазол.
Параллельно проводится симптоматическая терапия. Купирование рвоты достигается применением противорвотных средств, внутричерепное давление снижается мочегонными препаратами, лечение судорожного синдрома проводится антиконвульсантами.
Прогноз и профилактика
До внедрения в медицинскую практику амфотерицина грибковый менингит в 100% случаев приводил к летальному исходу. Сейчас своевременно начатая, правильно подобранная терапия позволяет сохранить пациенту жизнь, добиться его выздоровления. Прогноз болезни зависит от возраста, состояния иммунной системы, своевременности терапии, скорости санации ликвора в ответ на проводимое лечение. Рецидивирующий грибковый менингит наблюдается в 40% случаев. В случае выздоровления возможны остаточные явления в виде стойкого повышения интракраниального давления, эпилепсии, нарушений когнитивной сферы.
У 50% выживших новорожденных отмечается гидроцефалия, у 56% – задержка психического развития, что обусловлено самим заболеванием и токсическим побочным эффектом антимикотиков. Первичные профилактические мероприятия заключаются в осуществлении мер по укреплению иммунитета, предупреждению распространения ВИЧ. Вторичная профилактика сводится к мониторингу санации цереброспинальной жидкости, адекватному противорецидивному лечению.
Менингоэнцефалит
Менингоэнцефалит — нейроинфекционное заболевание, протекающее с сочетанным поражением церебрального вещества и оболочек. Проявляется инфекционными, оболочечными, вариабельными очаговыми симптомами. Диагностируется в результате неврологического осмотра, церебральной МРТ/КТ, исследования ликвора, лабораторной диагностики, направленной на поиск возбудителя. Лечение базируется на этиотропной терапии (антибиотики, антивирусные, антимикотические, противопаразитарные фармпрепараты) в комбинации с патогенетическими, симптоматическими средствами.
Термин «менингоэнцефалит» обозначает одновременное воспалительное поражение оболочек («менингеа») и вещества («энцефалон») головного мозга. Сочетанное воспаление может возникать изначально или являться результатом распространения патологического процесса. При вторичном вовлечении мозгового вещества менингоэнцефалит выступает осложнением менингита, при переходе воспаления на церебральные оболочки — осложнением энцефалита. Из-за незрелости гематоэнцефалитического барьера и иммунной системы заболеванию наиболее подвержены дети младшего возраста. Патология распространена повсеместно. Отдельные этиологические формы (комариный, клещевой менингоэнцефалит) отличаются эндемичностью и сезонностью.
Причины менингоэнцефалита
Основной этиофактор заболевания — инфекция. Первичное инфицирование церебральных структур обусловлено непосредственным проникновением в них нейротропных возбудителей. Вторичное инфицирование происходит при распространении инфекционного процесса из расположенных поблизости очагов (отит, синусит), при общих инфекционных заболеваниях (кори, краснухе, гриппе). Основными возбудителями энцефалита выступают вирусы, бактерии, реже — простейшие, патогенные грибы. Инфицирование возможно вследствие:
- Попадания возбудителя в носоглотку. Происходит воздушно-капельным, алиментарным способами. Проникновение в полость черепа реализуется гематогенным путём, провоцирует воспалительные изменения поражённых тканей, приводящие к развитию менингоэнцефалита.
- Укуса насекомого. Трансмиссивный путь передачи характерен для ряда вирусных менингоэнцефалитов и энцефалитов (японского комариного энцефалита, клещевого энцефалита, энцефалита Сент-Луис). Насекомое является переносчиком возбудителя, который при укусе попадает в кровоток и заносится в церебральные ткани, провоцируя заболевание.
- Наличия инфекции в организме. При существовании туберкулёзных, сифилитических очагов, хронического гнойного отита, гнойных процессов челюстно-лицевой области, околоносовых пазух возможно гематогенное распространение бактериальной инфекции. Вирусный менингоэнцефалит может возникнуть как осложнение отдельных ОРВИ.
- Черепно-мозговой травмы. При открытой травме с нарушением целостности костей черепа инфицирование происходит контактным путём. По различным данным, посттравматический менингоэнцефалит наблюдается у 1,3-3,5% пациентов с ЧМТ.
- Вакцинации. Введение живой вакцины на фоне ослабленного иммунитета осложняется развитием инфекционного процесса. Поствакцинальное осложнение с проникновением возбудителей через гематоэнцефалический барьер приводит к возникновению менингоэнцефалита.
При попадании возбудителей в организм человека заболевание возникает далеко не всегда. Факторами, способствующими развитию болезни, считают ослабленное состояние организма, наличие первичного или вторичного иммунодефицита, незрелость системы иммунитета, массивность инвазии.
В ответ на внедрение возбудителя в мозговых тканях развивается воспаление, характер которого (серозное, гнойное) зависит от вида инфекционного агента. Формирующиеся периваскулярные воспалительные инфильтраты ухудшают церебральное кровообращение. Возникает ишемия, выступающая вторичным повреждающим фактором. Усиливается продукция ликвора, что обуславливает развитие внутричерепной гипертензии. Поражение оболочек сопровождается их раздражением, приводящим к появлению менингеального синдрома. Воспаление церебрального вещества протекает с образованием различных по размеру воспалительных фокусов. Нарушение функции расположенных в очагах нейронов вызывает формирование соответствующего неврологического дефицита — очаговой симптоматики. Массовая гибель нервных клеток является причиной стойкого характера возникшего дефицита.
В клинической неврологии используется разделение менингоэнцефалитов на различные типы по нескольким критериям: этиологии, характеру морфологических изменений, типу течения. Верификация заболевания осуществляется на диагностическом этапе, необходима для корректного подбора лечения.
По этиологии различают следующие виды энцефалита:
- Вирусный. Возбудителями выступают вирусы гриппа, простого герпеса, кори, бешенства, цитомегаловирус, энтеровирусы. Преобладает серозный характер воспалительных изменений.
- Бактериальный. Обусловлен стрепто-, менинго-, пневмококками, клебсиеллой, гемофильной палочкой. Воспаление имеет гнойный характер.
- Протозойный. Встречается крайне редко. Инфекционными агентами являются амебы, токсоплазмы и другие простейшие.
- Грибковый. Наблюдается преимущественно у иммунокомпрометированных лиц. Может диагностироваться в рамках нейроСПИДа.
По типу воспалительного процесса менингоэнцефалит классифицируют на:
- Серозный. Воспаление сопровождается образованием серозного отделяемого. Цереброспинальная жидкость прозрачная, типичен лимфоцитоз.
- Гнойный. В результате воспалительного процесса образуется гной, обуславливающий мутность ликвора. Преобладают лейкоциты.
- Геморрагический. Протекает с нарушением проницаемости стенок мозговых сосудов. В результате в тканях образуются петехиальные кровоизлияния.
По особенностям клинического течения менингоэнцефалит бывает:
- Молниеносный — имеет быстрое развитие в течение нескольких часов. Большинство случаев оканчивается летальным исходом.
- Острый — симптоматика нарастает медленнее, чем при молниеносной форме, в течение 24–48 часов.
- Подострый — заболевание возникает постепенно, симптомы усугубляются на протяжении от нескольких суток до 1 недели.
- Хронический — воспалительный процесс длится несколько месяцев, лет. Возможны периоды ремиссии и обострения. В хроническую форму может трансформироваться острый и подострый менингоэнцефалит.
Симптомы менингоэнцефалита
Клиническая картина складывается из сочетания общеинфекционных, ликворно-гипертензионных, менингеальных, очаговых симптомов. Типичными признаками инфекции являются повышение температуры тела, недомогание, отсутствие аппетита. Возможны высыпания на кожных покровах. В ряде случаев признаки поражения мозга возникают на фоне текущего инфекционного заболевания. Ликворная гипертензия проявляется интенсивной головной болью, тошнотой, не приносящей облегчения рвотой. Быстро нарастающее повышение внутричерепного давления приводит к расстройству сознания: пациент возбуждён или сонлив, плохо ориентирован, при молниеносном течении впадает в кому.
Менингеальный синдром характеризуется общей гиперестезией — повышенной световой, звуковой, тактильной чувствительностью, гипертонусом задних мышц шеи, мышц-сгибателей конечностей. У некоторых пациентов возникают судорожные приступы. Очаговый неврологический дефицит варьируется в широких пределах в зависимости от локализации и вида воспалительного процесса. Наблюдаются гемипарезы, нарушения чувствительности, сенсомоторная афазия, гиперкинезы, мозжечковый синдром, вестибулярная атаксия, когнитивные нарушения. При поражениях черепно-мозговых нервов отмечаются глазодвигательные и зрительные расстройства, перекос лица, опущение верхнего века, снижение слуха, нарушения глотания, дизартрия.
Массивная бактериальная инфекция сопровождается выделением в кровь большого количества погибших клеток, бактериальных токсинов и продуктов жизнедеятельности, что способно провоцировать развитие бактериально-токсического шока. Воспалительные процессы протекают с накоплением экссудата в межклеточном пространстве церебральных тканей, приводят к отёку головного мозга. Интракраниальная гипертензия и нарастающий отёк мозга осложняются смещением мозговых структур с ущемлением ствола и развитием прогрессирующего бульбарного паралича, опасного сердечной и дыхательной недостаточностью.
Диагностический поиск начинается с опроса пациента и его близких относительно текущей или недавно перенесенной инфекционной болезни, выявления в анамнезе ЧМТ, факта вакцинации, укуса клеща и т. п. Дальнейшие диагностические исследования включают:
- Неврологический осмотр. Позволяет неврологу выявить менингеальные симптомы, очаговый неврологический дефицит, оценить состояние сознания больного. Полученные данные свидетельствуют о вовлечении в патологический процесс одновременно оболочек и мозгового вещества.
- Лабораторные анализы. Картина выраженных воспалительных изменений в клиническом анализе крови (лейкоцитоз, ускоренная СОЭ) характеризует острый бактериальный менингоэнцефалит. Посев крови на стерильность, ПЦР-диагностика позволяют верифицировать возбудителя.
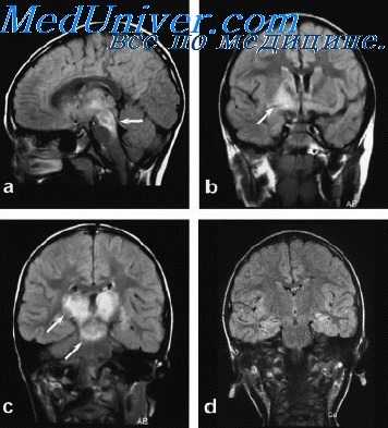
- КТ, МРТ головного мозга. Определяется утолщение, уплотнение оболочек мозга, диффузные изменения церебральных тканей. Наличие воспалительных очагов визуализируется не всегда. При паразитарной этиологии характерны округлые очаги гетерогенной структуры с кольцевидным усилением по периферии.
- Люмбальную пункцию. Проводится для получения спинномозговой жидкости. При гнойном воспалении жидкость мутная с хлопьевидным осадком, при серозном — прозрачная, при геморрагическом — с элементами крови. С целью выявления возбудителя производится исследование цереброспинальной жидкости под микроскопом, посев на различные питательные среды, ПЦР-диагностика.
- Стереотаксическую биопсию головного мозга. Необходима в сложных диагностических случаях, позволяет диагностировать менингоэнцефалит паразитарной этиологии, исключить опухолевый процесс.
Дифференцировать менингоэнцефалит необходимо от опухолей головного мозга, обширных инсультов, протекающих с оболочечным синдромом, токсических поражений ЦНС, прогрессирующих дегенеративных процессов. Дифференциальная диагностика осуществляется среди менингоэнцефалитов различной этиологии. Окончательно определить возбудителя позволяет только его выделение из ликвора, церебральных тканей, крови.
Лечение менингоэнцефалита
Терапия проводится комплексно в условиях отделения реанимации или интенсивной терапии, включает этиотропную, патогенетическую, симптоматическую составляющие. Этиотропное лечение осуществляется соответственно этиологии:
- Антибиотиками. Наиболее часто применяются цефалоспорины, их комбинация с ампициллином. В последующем назначения корректируются в соответствии с результатами определения чувствительности выделенной флоры.
- Противовирусными фармпрепаратами. В случае герпетической этиологии назначается ганцикловир, арбовирусной — рибавирин. Антивирусная терапия сочетается с введением препаратов интерферона.
- Противогрибковыми средствами. Наиболее эффективны амфотерицин В, флуконазол. В тяжёлых случаях используется их комбинация.
- Антипаразитарными препаратами. Противопаразитарные фармпрепараты применяются в сочетании с противогрибковыми средствами или антибиотиками.
Основу патогенетического лечения составляет борьба с церебральным отёком: мочегонные, глюкокортикостероиды. Сохранение жизнедеятельности нейронов осуществляется нейропротекторными, нейрометаболическими средствами. Симптоматическая терапия направлена на купирование основных проявлений заболевания, включает поддержание жизненно важных систем организма (сердечно-сосудистые препараты, оксигенотерапию, ИВЛ), противосудорожные средства, антипиретики, психотропные фармпрепараты. В стадии регресса симптоматики начинают реабилитационную терапию, направленную на максимальное восстановление нарушенных нервных функций (массаж, ЛФК, физиотерапия, акупунктура).
Своевременно начатая этиотропная терапия повышает шансы на выздоровление, однако исход болезни зависит от этиологии, формы течения, возраста пациента, состояния его иммунной системы. Самый высокий процент летальности имеет молниеносный менингоэнцефалит. У большинства выживших пациентов наблюдаются резидуальные явления: парезы, нарушения речи, хроническая интракраниальная гипертензия, эпилепсия, психоорганический синдром. У детей младшего возраста менингоэнцефалит провоцирует задержку психического развития.
К профилактическим мерам относятся мероприятия, направленные на укрепление иммунитета (витаминизированное питание, пребывание на свежем воздухе, закаливание, занятия физкультурой), своевременное лечение инфекций, ликвидация хронических инфекционных очагов в организме. Предотвратить посттравматический менингоэнцефалит позволяет корректная обработка ран, ликвидация ликвореи, профилактический приём антибиотиков. Предупредить поствакцинальный менингоэнцефалит можно путём тщательного отбора вакцинируемого контингента.
Бактериологическое исследование цнс. Бактериальные менингиты.
Большинство инфекций ЦНС протекает тяжело и вызывает серьёзные осложнения. Во многом тяжесть поражений обусловлена специфичностью строения и свойствами самих тканей ЦНС, а также особенностями их анатомического расположения. Несмотря на то что органы ЦНС надёжно укрыты от внешней среды костным скелетом и оболочками, любое воспаление в этих областях приводит к серьёзным, часто необратимым повреждениям. ГЭБ препятствует проникновению патогенов и токсинов к тканям ЦНС и затрудняет проникновение фагоцитов, сывороточных AT и многих антимикробных препаратов. Первично возбудители размножаются в периферических тканях и лишь затем проникают в ЦНС с кровотоком или по периферическим нервам. В зависимости от локализации инфекции ЦНС разделяют на энцефалиты, менингиты и миелиты.

Бактериальные менингиты
Бактериальные менингиты — обычно острые, опасные для жизни инфекции. Даже на фоне проводимой адекватной антимикробной терапии смертность может достигать 15%. Заболевание чаще регистрируют у детей. Возбудитель бактериальных менингитов — капсулированные бактерии. Основной возбудитель поражений у детей в возрасте 6-12 мес— Haemophilus influenzae типа b. Дети младше 2 мес обычно не болеют (что обусловлено циркуляцией AT, трансллацентар-но полученных от матерей); по достижении 5-летнего возраста вероятность развития заболевания снижается с каждым годом. Другой важный патоген — Neisseria meningitidis, способный вызывать эпидемический менингит. Большинство случаев вызывают бактерии серогрупп А, В, С и Y.
Первичные инфекции характерны для молодых; наиболее высокую заболеваемость регистрируют у детей. Часто гнойные менингиты вызывает Streptococcus pneumoniae; пневмококки — основные возбудители бактериальных менингитов у пожилых. Факторы, предрасполагающие к развитию пневмококкового менингита, — спленэктомия, серповидноклеточная анемия, алкоголизм, черепно-мозговые травмы. Группу риска составляют дети, страдающие запущенными отитами, вызванными S. pneumoniae. Реже поражения вызывают Listeria monocytogenes, энтеробактерии (эшери-хии, клебсиеллы, сальмонеллы, протеи), Staphylococcus aureus, Streptococcus pyogenes, Staphylococcus epidermidis, Acinetobacter calcoaceticus, Mycobacterium tuberculosis, виды Brucella, Leptospira, Mycoplasma, бактероиды, дифтероиды и др. Материал для исследований — СМЖ; при её изучении выявляют факт поражения мозговых оболочек, но результаты не имеют прогностического значения. Образцы следует забирать, соблюдая правила асептики. Изменение состава и давление СМЖ варьирует в зависимости от стадии заболевания — у большинства давление СМЖ повышается постепенно (при тяжёлых поражениях может быть чрезмерно высоким).
СМЖ обычно мутная и характеризуется выраженным лейкоцитозом (как правило, 1000-10 000/мл).
• Если СМЖ мутная, то из неё готовят мазки для микроскопирования; если прозрачная — то мазки готовят из осадка, полученного после центрифугирования. Мазки следует окрашивать по Граму, Цилю-Нильсену и Романбвскому-Гимзе. Также не следует пренебрегать окраской тушью на наличие капсул. Нельзя проводить идентификацию возбудителя, основываясь только на результатах микроскопии.
• Если СМЖ была загрязнена при взятии пробы, то микроорганизмы обычно не выявляют при микроскопии и обнаруживают лишь на следующий день в культурах. При менингитах, вызванных Mycobacterium tuberculosis и Listeria monocytogenes, проводят посев на соответствующие среды.
Читайте также:
- Методы обследования гестационной трофобластической болезни
- Пластмассы в челюстно-лицевой ортопедии. Свойства ортопедической пластмассы.
- Мытье и дезинфекция фиброэндоскопов. Химическая дезинфекция фиброэндоскопов
- Осложнения перитонеовенозного шунта. Послеоперационное ведение больных с перитонеовенозным шунтом.
- Диагностика деформации позвоночника. Индекс Риссера
