Диагностика церебральной гемиатрофии (синдрома Дайка-Давыдова-Массона) по КТ, МРТ
Добавил пользователь Евгений Кузнецов Обновлено: 09.01.2026
Нарушение мозгового кровообращения - это актуальнейшая медико-социальная проблема настоящего времени, представляющая собой группу заболеваний, проявляющихся хроническим или острым нарушением гемодинамики в сосудах головного мозга, ведущих к снижению церебрального кровоснабжения.
В связи с прогрессирующим общим старением населения, т.е. увеличением количества лиц пожилого возраста в популяции, общая численность больных острым или хроническим нарушением мозгового кровообращения увеличивается из года в год.
Одним из наиболее информативных среди современных методов нейровизуализации является метод МРТ диагностики.
Только благодаря современным программам, используемым в МРТ диагностике, стало возможным распознавание признаков нарушения мозгового кровообращения уже в первые 24 часа.
Согласно современной классификации, нарушения мозгового кровообращения подразделяются на:
- Острые нарушения мозгового кровообращения: ишемический инсульт, геморрагический инсульт, преходящие нарушения мозгового кровообращения.
- Хронические нарушения мозгового кровообращения (дисциркуляторные энцефалопатии гипертонического и атеросклеротического генеза.
1. Острые нарушения мозгового кровообращения
Преходящие нарушения мозгового кровообращения - представляют собой остро возникающие нарушения мозгового кровообращения, проявляющиеся общемозговой или очаговой симптоматикой длительностью не более 24 часов. Их называют также транзиторными ишемическими атаками (ТИА) по причине того, что в их основе лежит преходящая ишемия в бассейне одного или нескольких сосудов головного мозга.

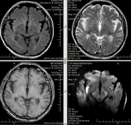
Первые часы ОНМК. Изменения в области правого островка демонстрирует только программа DW insult.
В отличие от преходящих нарушений мозгового кровообращения для инсультов характерны стойкие нарушения мозговых функций различной степени выраженности.
Инсульты по характеру патологического процесса делят на ишемические и геморрагические.
Ишемический инсульт.
В списке заболеваний, приводящих к формированию ишемического инсульта, на первом месте находится атеросклероз, зачастую на фоне сахарного диабета. Кроме того частой причиной выступает гипертоническая болезнь, также в сочетании с атеросклерозом.
Между тем существует множество заболеваний, способных осложняться инсультом, из которых следует назвать клапанные пороки сердца с эмболиями, гематологические заболевания (лейкозы, эритремии), васкулиты при коллагенозах.
Этиопатогенетическим фактором, непосредственно приводящим к снижению тока крови по сосудам, является стеноз и окклюзия сосудов головного мозга. В части случаев роль играют сосудистые мальфомации и (достаточно редко) шейный остеохондроз с патологией межпозвонковых дисков - при инсультах в вертебро-базиллярном бассейне.
Триггерным фактором в развитии инсульта нередко выступает психическое и физическое перенапряжение (стресс, переутомление, перегрев, переохлаждение).
Главным патогенетическим условием развития инсульта является дефицит притока крови к определенному участку вещества головного мозга с формированием зоны гипоксии и дальнейшим некрозообразованием. Величина участка ишемического инсульта зависит от степени развития коллатерального кровообращения.
Клинически ишемический инсульт характеризуется преобладанием очаговой симптоматики над общемозговой, а также тесной связью очаговых симптомов с бассейном кровоснабжения конкретного сосуда головного мозга.
Симптоматика нарастает постепенно, на протяжении нескольких часов, а иногда и дней. Возможна смена нарастания симптомов их ослаблением (мерцание симптомов на начальных этапах инсульта).
Ишемический инсульт наиболее часто развивается в каротидном бассейне. В вертебро-базиллярном - несколько реже.
При поражениях крупных (магистральных) артерий развиваются обширные, территориальные, инсульты соответственно зоне кровоснабжения пораженного сосуда. Вследствие повреждения мелких артерий формируются лакунарные инсульты с мелкими очагами поражения.

Бассейн кровоснабжения левой верхней мозжечковой артерии, острая стадия НМК.

Зона подострого ишемического НМК, в бассейне правой средней мозговой артерии. В режиме Т1 визуализируется симтом «вуалирования»- изоинтенсивность МР-сигнала.

Подострая стадия ишемического НМК. При внутривенном контрастировании определяется накопления КВ в бороздах на уровне зоны ишемии (гиральный тип усиления).

Зона хронического ишемического НМК, в бассейне левой задней мозговой артерии.

Ишемическое ОНМК, ствол мозга (подострый период)

Одно из преимуществ МРТ в оценке последствий инсульта - возможность визуализировать нисходящую Валлеровскую дегенерацию аксонов в стволе мозга и кортико-спинальном тракте на стороне поражения.

Кортикальное ишемическое НМК

Лакунарное ишемическое ОНМК на фоне хронической сосудистой недостаточности.
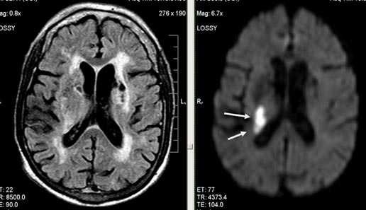
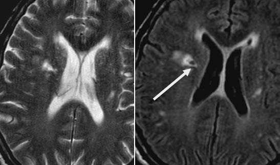
Некоторые инфаркты при дисциркуляторной энцефалопатии протекают бессимптомно. Это «немые» инфаркты, которые, как правило, локализуются в глубоких отделах мозга и диагностируются только при МРТ. Этот случай показывает возможности выявление очага ограниченного ишемического ОНМК базальных ядер слева на фоне хронической ишемии.

Выраженная сосудистая энцефалопатия с наличием множественных очагов хронической ишемии, лакунарных постишемических кист. Программа ДВИ четко показывает фокус острого ОНМК в базальных ядрах справа на фоне лейкодистрофии.

Ишемической инсульт в бассейне левой средней мозговой артерии. Отсутствие феномена пустоты потока на уровне интракраниального отдела левой ВСА (признаки замедления кровотока).

Ишемический инсульт в ВББ слева. Отсутствие феномена пустоты потока на уровне экстракраниального отдела левой позвоночной артерии (признаки замедления кровотока).

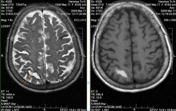
Постишемическая лакунарная киста с перифокальным глиозом (средняя треть corona radiata справа)
Геморрагический инсульт.
Развитие геморрагического инсульта чаще всего обусловлено гипертонической болезнью на фоне атеросклероза. В некоторых случаях причиной кровоизлияний может быть патология судов (врожденные ангиомы, аневризмы сосудов), а также другие причины артериальной гипертензии (феохромацитома, заболевания почек, СКВ, аденома гипофиза и др.).
происходит пропитывание плазмой крови стенки сосуда с нарушением ее трофики и последующей деструкцией, формированием микроаневризм, разрывами сосудов и выходом свободной крови в вещество головного мозга, т.е. развитие инсульта по типу гематомы. Кроме того возможно формирование инсульта по типу геморрагического пропитывания, в основе которого лежит механизм диапедеза.
В случаях кровоизлияний в мозг, обусловленных разрывом сосуда, зачастую происходит прорыв крови в желудочки мозга или субарахноидальное пространство.
Нередко крупный геморрагический инсульт сопровождается выраженным отеком, что приводит к смещению срединных структур головного мозга, различным типам вклинения, деформациям ствола мозга с последующим развитием вторичных мелких кровоизлияний.
Развитие геморрагического инсульта происходит, как правило, днем, во время активной физической деятельности. Характерно появление как общемозговых, так и очаговых симптомов. Внезапная резкая головная боль, нарушение сознания, тахикардия, учащенное громкое дыхание, развитие гемипареза или гемиплегии - типичные начальные симптомы кровоизлияния. Нарушение сознания варьирует от сопора до глубокой комы с утратой всех рефлексов, нарушением ритма дыхания, значительным повышение артериального давления, гиперемией кожных покровов, потоотделением, напряженным пульсом. Иногда отмечаются анизокария, расходящееся косоглазие, парез взора, гемиплегия, редко - менингиальные симптомы.

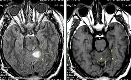
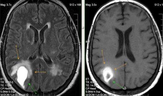
Внутримозговая гематома (граница острой и ранней подострой стадий - 3 суток), осложнившаяся внутрижелудочковым кровоизлиянием.

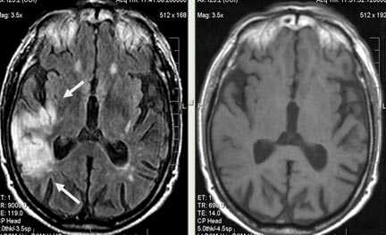
Внутримозговая гематома, поздний подострый период (14-21 день) с перифокальным отеком вокруг гематомы.

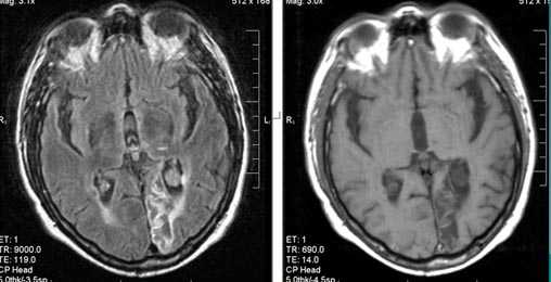
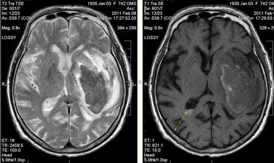
Внутримозговая гематома правой теменной доли. Граница поздней подострой и ранней хронической стадии. В Т2-ВИ виден ободок гемосидерина (стрелка).
Хочется подчеркнуть возможность МРТ в выявлении последствий геморрагического поражения - остается хорошо дифференцируемый по Т2 ободок гемосидерина, недоступный для визуализации при других методах нейровизуализации.

Стрелками показан ободок гемосидерина по периферии постишемической кисты.
2. Хронические нарушения мозгового кровообращения
Хронические нарушения мозгового кровообращения - это прогрессирующая форма цереброваскулярной патологии, характеризующаяся многоочаговым или диффузным ишемическим поражением головного мозга с постепенным развитием неврологических и психологических нарушений.
Основными причинами, вызывающими хроническое расстройство мозгового кровообращения, являются артериальная гипертензия, атеросклероз сосудов головного мозга, заболевания сердца, сопровождающиеся сердечной недостаточностью.
Клинически хронические нарушения мозгового кровообращения проявляются расстройствами в эмоциональной сфере, нарушением равновесия, ходьбы, ухудшением памяти и др. когнитивных функций, псевдобульбарными нарушениями, нейрогенными расстройствами мочеиспускания, приводящие со временем к дезадаптации больных.
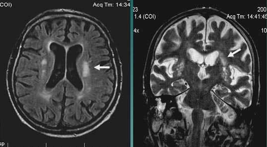
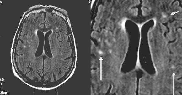
Характерным проявлением ДЭП на МР-томограммах является наличие множественных очагов глиоза.

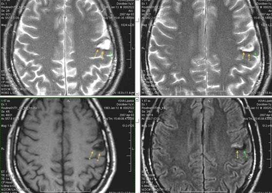
В белом веществе левой лобной и обеих теменных долей, преимущественно субкортикально, выявлены множественные мелкие очаги хронической ишемии (большинство локализованных в бассейне правой средней мозговой артерии).
Проявлением хронической ишемии является также развитие выраженных дистрофических изменений белого вещества паравентрикулярной локализации - лейкоареоз.

Выраженные дистрофические изменения белого вещества паравентрикулярной локализации - лейкоареоз.

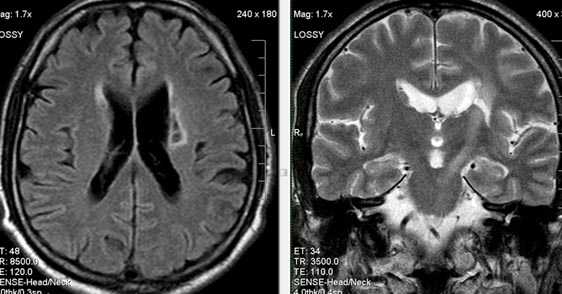
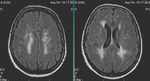
Сочетание мультифокальных очаговых изменений с диффузной кортикальной церебральной атрофией.
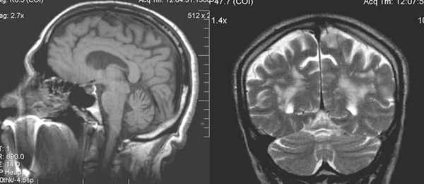
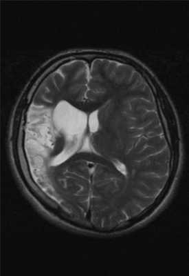
Церебральная гемиатрофия (Dyke-Davidoff-Masson syndrome)
Анамнез: Юноша, 18 лет. Когнитивные нарушения, левосторонний гемипарез с раннего детства. Два эпизода судорог за последние две недели.

Описание исследования Атрофия правого полушария головного мозга с энцефаломаляцией и глиозом в смежных отделах лобной, теменной и височной долей (бассейн правой СМА), exvacuo-дилатация правого бокового желудочка, атрофия ипсилатеральной ножки мозга, базальных ганглиев и таламуса, легкая перекрестная атрофия мозжечка (левая гемисфера), ипсилатеральное смещение срединных структур и некоторое утолщение костей свода черепа.
Литература
Paramdeep Singh, Kavita Saggar, Archana Ahluwalia. Dyke-Davidoff-Masson syndrome: Classical imaging findings. (2010) Journal of Pediatric Neurosciences. 5 (2): 124. doi:10.4103/1817-1745.76108 - Pubmed
Arora R, Arora RJY. Dyke-Davidoff-Masson syndrome: imaging features with illustration of two cases. (2014) Quantitative Imaging in Medicine and Surgery. 5 (3): 469-471. doi:10.3978/j.issn.2223-4292.2014.11.17 - Pubmed
MEHMET H. ATALAR, DILARA ICAGASIOGLU, FIKRET TAS. Cerebral hemiatrophy (Dyke-Davidoff-Masson syndrome) in childhood: Clinicoradiological analysis of 19 cases. (2007) Pediatrics International. 49 (1): 70. doi:10.1111/j.1442-200X.2007.02299.x - Pubmed
Диагностика церебральной гемиатрофии (синдрома Дайка-Давыдова-Массона) по КТ, МРТ
Кафедра неврологии ФПК ППС ГОУ ВПО Саратовского государственного медицинского университета им. В.И. Разумовского
Случай синдрома гемипаркинсонизма - гемиатрофии с ранним дебютом
Журнал: Журнал неврологии и психиатрии им. С.С. Корсакова. 2010;110(7): 65‑68
Юдина В.В., Воскресенская О.Н., Юдина Г.К. Случай синдрома гемипаркинсонизма - гемиатрофии с ранним дебютом. Журнал неврологии и психиатрии им. С.С. Корсакова. 2010;110(7):65‑68.
Iudina VV, Voskresenskaia ON, Iudina GK. A case of hemiparkinsonism - hemiatrophy syndrome with early onset. Zhurnal Nevrologii i Psikhiatrii imeni S.S. Korsakova. 2010;110(7):65‑68. (In Russ.).
Синдром гемипаркинсонизма-гемиатрофии (ГПГА) впервые описал H. Klawans в 1981 г. [6]. Сегодня по-прежнему, имеется весьма ограниченное число публикаций, посвященных ГПГА, а общее количество описанных случаев до сих пор не превышает нескольких десятков. Современный уровень обзора и обобщения клинических эпизодов ГПГА в специальных монографиях [3] и синдромологических справочниках по неврологии [1] отражает феноменологический этап в познании сущности этого самостоятельного синдрома. Поэтому каждый новый клинический случай ГПГА своевременно диагностируемый, особенно на этапе физиологического взросления организма, способен приблизить нас к пониманию этиологии и патогенеза данного заболевания.
Считается, что синдром ГПГА имеет гетерогенную этиологию, однако у половины больных выявлено гипоксически-ишемическое перинатальное повреждение головного мозга [4, 6]. Как следствие, у пациентов развивается функциональная недостаточность стрионигральной системы, которая на фоне возрастной гибели нейронов черной субстанции проявляется клинически. Заболевание характеризуется сочетанием синдромов гемипаркинсонизма, гемидистонии и гемиатрофии тела различной степени на одной и той же стороне [2, 5]. Часто асимметрия кистей и стоп наблюдается с детства и не влияет на двигательную активность ребенка. Как правило, экстрапирамидная симптоматика появляется в зрелом возрасте. У больных постепенно формируется клиническая картина гемипаркинсонизма с тремором и мышечной ригидностью в конечностях на стороне гемиатрофии. Порой к ранним типичным симптомам заболевания сразу присоединяется дистония в руке и ноге, усиливающаяся при движении. И только в единичных случаях дистония - это первый неврологический признак заболевания. Для синдрома ГПГА характерна строгая односторонность симптоматики на протяжении многих лет. На КТ- и МРТ-изображениях головного мозга отмечаются признаки утолщения костей свода черепа, расширение придаточных пазух носа, расширение бокового желудочка и корковых борозд на стороне, противоположной ГПГА. Иногда методы нейровизуализации не выявляют отклонений от нормы [5]. Клинику заболевания отличает медленное прогрессирование, благоприятное течение и длительность (до 30 лет и более). Известный при болезни Паркинсона положительный отклик пациентов на препараты леводопы, при ГПГА возможен лишь в дебюте заболевания и по мере его прогрессирования заметно снижается.
На довольно многочисленной группе из 30 больных американские коллеги [7] в основном подтвердили сложившееся мнение мирового неврологического сообщества о вариабельности клинических проявлений синдрома ГПГА, его гетерогенном патогенезе, влиянии церебральных травм перинатального периода и раннего детства, зрелом возрасте дебюта заболевания и значимом существовании врожденно-конституциональной контрлатеральной асимметрии и дефектности срединных структур мозга. Однако среди наблюдаемых больных с клиническим диагнозом ГПГА у 4 были выявлены инфаркты в области базальных ганглиев и моста, киста в таламусе. Эти очевидные факты позволяют утверждать, что, по-видимому, ГПГА является гетерогенной группой заболеваний, среди которых выявляются первичный (идиопатический) синдром ГПГА с неуточненной этиологией и вторичный ГПГА, являющийся следствием структурных изменений в головном мозге.
Приводим собственное наблюдение пациентки с синдромом ГПГА с ранним дебютом и выраженными проявлениями гемидистонии.
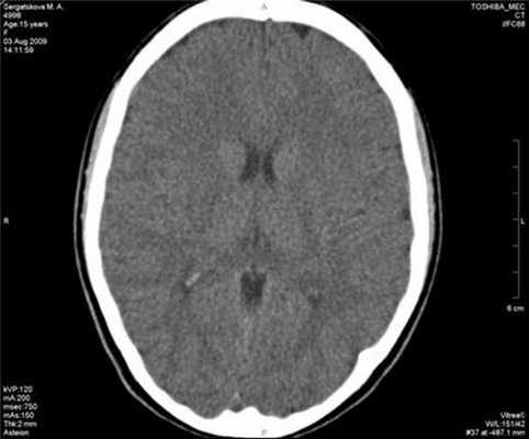
Больная С., 15 лет поступила с жалобами на скованность, замедленность движений усиливающиеся при ходьбе; скованность и напряжение в мышцах правой кисти в начале письма с невозможностью его продолжения; похудание правых конечностей, в большей степени ноги, ее укорочение; изменение осанки.
Известно, что девочка родилась от второй беременности, вторых родов, здоровых родителей, в возрасте матери 39 лет и отца 38 лет. Беременность протекала гладко, роды срочные, физиологические, в головном предлежании. Масса при рождении 3600 г, рост 51 см, оценка по шкале Апгар 8 баллов. Последующее моторное развитие соответствовало возрасту. Из перенесенных заболеваний отмечались детские инфекции, частые ОРЗ. Асимметрии конечностей в детстве не наблюдалось. Менструации с 13 лет регулярные, безболезненные. Учится в 9 классе, успеваемость удовлетворительная. У матери от первой беременности имеется здоровая дочь, 21 года. Аналогичные заболевания по родословной не выявлены.
В 11 лет пациентка была сбита машиной, лечилась в стационаре в течение 2 нед с диагнозом: закрытая травма черепа с ушибом головного мозга легкой степени; перелом нижней челюсти справа. При МРТ головного мозга изменения очагового и диффузного характера отсутствовали, выявлялась асимметрия боковых желудочков мозга (D>S) в пределах возрастной нормы. Деформаций лица после челюстно-лицевой травмы не наблюдалось. В дальнейшем чувствовала себя удовлетворительно, никаких жалоб в связи с перенесенной травмой не предъявляла. Впервые в 13-летнем возрасте у нее во время длительной ходьбы стало возникать напряжение мышц правой стопы, вызывающее прихрамывание. Затем появилась ротация правой стопы кнаружи, девочка при ходьбе наступала на внутренний край стопы, спотыкалась и периодически падала. Эти дистонические симптомы возникали только при ходьбе, т.е. всегда провоцировались движением. Одновременно с ними появились скованность и повышение мышечного тонуса в правой ноге и в состоянии покоя. Постепенно развилась гипотрофия правой голени, затем бедра и стопы, возникло укорочение правой ноги. Через год появились напряжение и скованность в мышцах правой кисти, особенно в начале письма. Почерк укрупнился и стал неровным. Пациентка удерживала ручку, зажимая ее в кулаке. Заболевание прогрессировало, и она научилась писать левой рукой.

В неврологическом статусе на первый план выступает гемиатрофия мышц правой половины тела, особенно ноги (рис. 1). Рисунок 1. Больная С., 15 лет. Гемиатрофия мышц правой половины тела. Так, объем мышц бедра на уровне: нижней трети справа составляет 37 см, слева - 39 см; средней трети справа - 43 см, слева - 44 см; верхней трети - 46 см, справа и слева одинаково. Голень на уровне: верхней трети справа имеет окружность 32 см, слева - 34 см; средней трети справа - 29 см, слева - 35 см; нижней трети справа - 22 см, слева - 24 см. Правая стопа короче левой на 1 см. Имеется эквино-варусная деформация правой стопы. Правая нога короче левой на 1 см. В меньшей степени выражена гипотрофия мышц правой руки. Правое плечо ниже левого. Окружность правого плеча 22 см, левого - 23 см; окружность правого предплечья 19 см, левого - 20 см; правая кисть тоньше левой на 1 см. Отмечается легкая асимметрия строения лица: правые бровь, глазная щель и угол рта ниже левых. Кроме того, ушная раковина справа расположена ниже, чем слева.
В правых конечностях выявляется гипокинезия, больше выраженная в ноге, сопровождающаяся повышением мышечного тонуса по пластическому типу. Гипертонус препятствует активным движениям в правом коленном суставе, который больная самостоятельно может согнуть лишь при помощи обеих рук. Пациентка ходит с трудом, прихрамывая на правую ногу. При ходьбе привычно сгибает правый тазобедренный сустав, отводит практически прямую ногу в сторону, затем возникает ротация стопы кнаружи и больная наступает на внутренний край стопы. Это сопровождается наклоном туловища вперед, дистоническим сколиозом и спазмом мышц тазового пояса. Дистонические проявления в ноге возникают уже с первых шагов.
При письме отмечаются выраженные проявления писчего спазма: ручку подросток зажимает в кулаке, наклоняется туловищем к столу и напрягает все тело, появляется пронаторная установка кисти (рис. 2, а). Рисунок 2. Больная С., 15 лет. Писчий спазм. а - поза кисти правой руки при письме; б - проба почерка; в - поза больной при письме. Стараясь сдвинуть кисть с места, девочка подталкивает правую руку левой, происходит поднятие правого локтя и плеча вверх и кнаружи. Движения кисти с ручкой в плоскости листа совершаются отрывисто, препятствуя слитному написанию букв в словах. Буквы крупные, неровные, периодически напоминают каракули; строка устремлена вверх. Проба почерка представлена на фотографии (рис. 2, б). Продолжению письма препятствует нарастающее напряжение мышц правой руки и плечевого пояса, приводящее к неудобной вынужденной позе за столом (рис. 2, в). Теперь больная пишет только левой рукой и при этом также возникает характерная дистоническая поза: голова, шея, плечевой пояс и грудная клетка активно наклоняются вправо и вперед, а правое предплечье и кисть опираются на стол (рис. 3, а). Рисунок 3. Больная С., 15 лет. Компенсация писчего спазма. а - поза кисти левой руки при письме; б - проба почерка; в - поза больной при письме. Развитие двигательного рисунка сопряженных насильственных движений прекращается сразу, как только локоть касается горизонтальной поверхности стола. Наблюдаемый ротационный гиперкинез становится еще более заметным при письме в отсутствие достаточной площади опоры для правой руки (рис. 4). Рисунок 4. Больная С., 15 лет. Дистоническая поза во время письма левой рукой без опоры справа. В этом случае у больной синхронно с началом письма непроизвольно поднимается правая рука за счет последовательного движения локтевого и плечевого суставов; одновременно совершаются круговые движения головой справа налево по часовой стрелке. Когда подросток пишет левой рукой, правая кисть всегда с заметным напряжением удерживает лист бумаги (см. рис. 3, а, 3, в, 4). Почерк девочки становится разборчивым, имеет легкий наклон влево, одинаковый средний размер букв, практически слитное написание слов в строго горизонтальную строку (см. рис. 3, б).
Черепно-мозговые нервы без патологии. Парезов в конечностях нет, сила во всех мышечных группах 5 баллов. Рефлексы с конечностей живые, симметричные, патологических стопных знаков нет. Расстройств чувствительности и мозжечковых симптомов не выявлено; функция тазовых органов не нарушена.

Общий, биохимический анализ крови и анализ мочи соответствуют возрастной норме. Педиатром патологии внутренних органов не выявлено. При КТ-исследовании головного мозга изменения очагового и диффузного характера отсутствуют, боковые желудочки мозга обычных размеров и конфигурации, асимметричны (D>S) в пределах нормы (рис. 5). Рисунок 5. Больная С., 15 лет. КТ головного мозга. На рентгенограммах грудного отдела позвоночника и костей таза патологических изменений не выявлено. МРТ пояснично-крестцового отдела также без патологии. Ортопедически подтверждается лишь эквино-варусная деформация правой стопы. Электронейромиографическое исследование патологии периферической нервной системы не зарегистрировало. Дуплексное исследование сосудов головы и шеи изменение кровотока не выявило.
Больная С. получала клоназепам по 0,25 мг 3 раза в сутки с увеличением разовой дозы на 0,25 мг каждые пять дней и достижением максимальной суточной дозы 1,5 мг. Дальнейшее наращивание дозы препарата оказалось невозможным из-за развития известных побочных эффектов, особенно сонливости. Параллельно она принимала мидокалм по 450 мг в сутки в 3 приема. Одновременно проводилась и терапия вазоактивными, метаболическими препаратами, витаминами группы В, витамином Е. На фоне лечения у больной лишь незначительно уменьшилась выраженность дистонического синдрома. Далее больной был назначен препарат леводопы - наком по 62,5 мг 3 раза в сутки с постепенным наращиванием дозы на 62,5 мг в неделю и достижением максимальной суточной дозы 375 мг. И в этом случае спастические проявления не уменьшились. Клиническое наблюдение за больной выявляет прогредиентный характер заболевания и в совокупности с отрицательным терапевтическим ответом на препарат леводопы указывает на «злокачественное» течение болезни.
Таким образом, описанный нами клинический случай ГПГА отличается от уже известных ранним дебютом и нетипичным началом неврологической симптоматики с гемидистонии и признаков гемипаркинсонизма и только последующим развитием гемиатрофии. Заметим, что ведущим в клинической картине заболевания остается гемидистонический синдром, который как раз и ухудшает качество жизни больной, способствуя ее социальной дезадаптации. Принципиальными для данного случая являются и фармакорезистентность к традиционной терапии, благополучный анамнез жизни ребенка, включая перинатальный период и отсутствие морфологического субстрата в веществе головного мозга подростка. Обращает на себя внимание лишь факт уменьшения размеров контралатерального бокового желудочка. Эта особенность строения желудочковой системы головного мозга, обнаруженная за 2 года до начала заболевания, сохраняется и до настоящего времени.
Подводя итог, отметим, что обнаруженные нами особенности клинической картины заболевания в сочетании с дебютом в пубертатном периоде обогащают наши представления о полиморфизме ГПГА и расширяют диагностические границы редкого неврологического расстройства.
Методы диагностики МСА на ранних стадиях

Аутопсическим индикатором становится большое скопление α-синуклеина в олигодендроцитах вкупе со стриатонигральной дегенерацией или оливопонтоцеребеллярной атаксией.
МСА выделилась в отдельную нозологическую форму в 1969 г., обобщив три ранее отдельных диагноза. До начала XX века заболевание существовало под разными названиями: стриатонигральная дегенерация (СНД), оливомостомозжечковая атрофия (ОПЦА) и синдром Шая-Дрейджера (по имени исследователей Джорджа Милтона Шая и Глена Алберта Дрейджера).Термин МСА служит отныне отдельной клинико-патоморфической единицей для разнообразных сочетаний симптомов МСА. Термин «синдром Шая-Дрейджера» более не используется.
На данный момент заболевание имеет два подкласса: МСА-п (паркинсонического типа, или стратонигральная дегенерация, MSA-p - англ.) и МСА-ц (оливопонтоцеребеллярная атрофия, MSA-c - англ.). Различие двух типов становится ярче по мере прогрессирования заболевания.
Диагностика МСА очень затруднительна. Как правило, начало болезни приходится на шестой десяток жизни пациента. Продолжительность жизни варьируется от 6 до 15 лет после постановки диагноза.
Симптоматика носит смешанный характер: помимо паркинсонизма, мозжечковой атаксии, двигательной атаксии, ортостатического коллапса , выявляются проблемы вегетативной системы (см. Табл. 1, и рис.1). Преобладание паркинсонизма или же мозжечковой атаксии предопределяет возможность (possible) или вероятность заболевания (probable, definite) и выбор подтипа.

Рис. 1 Мультидисциплинарное проявление МСА. Перевод на русский язык. Источник: Fanciulli, Alessandra, and Gregor K. Wenning. “Multiple-system atrophy.” New England Journal of Medicine 372.3 (2015): 249-263
В ходе лечения на первых порах можно отметить реакцию на леводопосодержащие медикаменты, но со временем их эффективность снижается. Для обоих типов МСА характерно драматически быстрое развитие болезни. Потеря автономности пациента сопровождается трудностями пищеварения, дыхания (стридор может вести к необходимости трахеостомии). По статистике, приведённой A. Фанчулли и Г. Веннингом, во время сна у 40% пациентов замечено ночное апноэ. На поздних стадиях заболевания следует избегать условий для развития пневмонии. Кроме того, МСА сопутствует гипертензия в позе лёжа. Во время сна у пациентов отмечается нарушение движений глазных яблок во время быстрого сна [5]. Также замечено уменьшение потоотделения, недержание (в т.ч. ночной полиурией), у мужчин - эректильная дисфункция. При этом следует учитывать, что последние два из перечисленных симптомов могут быть не связаны с МСА. Но в любом случае требуется превентивное и постоянное лечение инфекций мочевыводящих путей.
На более развитых стадиях болезни у 50% пациентов по статистике Фанчулли и Веннинга испытывают парализующую боль. Характерным условием для развития этого симптома была дистония. Симптом чаще наблюдается у женщин.
В обыденной жизни пациенты сталкиваются не только с ограничениями медицинского характера, но и с каждодневными трудностями, которые накладывает болезнь. Внешние проявления болезни выражаются в необычной походке, положении головы. Из-за спазмов на лице больных МСА иногда появляется “сардоническая улыбка”. При МСА-п непроизвольно происходит сильный наклон или вытягивание головы вперёд. Скованность и замедленность движений затрудняют выполнение рутинных задач.
Редкое заболевание известно далеко не всем, и порой вызывает непонимание окружающих. Поэтому в публичных местах из-за физических ограничений пациенты испытывают стресс, ограничивают себя в социализации, избегают людных мест, что создаёт дополнительные факторы для усугубления сопутствующей депрессии и психологического дискомфорта (см. «нейропсихологические проявления», Табл. 1).
МРТ при ДЦП
Магнитно-резонансная томография - это один из передовых методов обследования организма человека. Он позволяет определить состояние большинства внутренних органов пациента с повышенным уровнем информативности.
Метод МРТ может использоваться и при диагностике детского церебрального паралича. В таком случае применяется обследование мозга, способное дать максимум полезной информации о том, в каком состоянии находится пациент на данный момент, насколько сильно были затронуты структуры мозга.
Мы проводим МРТ с использованием передового оборудования и составляем развернутое заключение. В этой статье мы расскажем о том, как ДЦП при МРТ помогает диагностировать заболевание.
Особенности заболевания
Чтобы определить, как может помочь магнитно-резонансная томография при обследовании пациента, стоит понять, как развивается заболевание, как оно себя проявляет и на что необходимо обратить внимание в первую очередь.
Существует сразу несколько групп риска, попадание в которые значительно увеличивают риск развития у ребенка ДЦП. К ним относятся такие, как:
- Проблемы при родах. Особенно часто детский церебральный паралич развивается в том случае, если во время родов ребенок переносит гипоксию или асфиксию.
- Заражение инфекцией. Опасность представляют многочисленные внутриутробные инфекции, от которых стоит в обязательном порядке правильно защищаться.
- Пороки развития головного мозга. Могут формироваться в зависимости от различных факторов. Сложны в раннем диагностировании.
- Недоношенность. Среди наиболее опасных факторов - слишком малая масса тела при рождении.
И это только часть причин, по которым у человека может проявиться ДЦП.
Как проявляется ДЦП
Существует большое количество симптомов, которые помогают понять, что у ребенка ДЦП. При этом большинство из них формируется уже к году жизни. У некоторых детей заболевание показывает себя еще раньше.
Есть несколько основных признаков того, что малыш болен ДЦП:
- Ненормальные реакции со стороны нервной системы. Ребенок может быть в постоянном возбужденном, подавленном, вялом состоянии.
- Тонус мышц в плохом состоянии. Некоторые дети из-за изменений, связанных с ДЦП, не могут держать голову, не способны нормально хватать игрушки.
- Боли. Понять, что у ребенка что-то болит можно по постоянному беспокойству, плачу. Дети с ДЦП постоянно капризничают, родители не могут их успокоить и долго не могут определить, в чем заключается проблема.
- Патологические движения. Паралич начинается на раннем этапе развития заболевания. Ребенок начинает неестественно поворачивать голову, принимать странные позы, гримасничать.
- Проблемы с приемом пищи. Из-за ДЦП ребенок не может нормально сосать грудь или бутылочку. Некоторые родители отмечают проблемы с глотанием, из-за которых малыш часто кашляет.
- Проблемы с положением глаз. У детей с ДЦП очень часто распространено косоглазие. Иногда присутствует и «синдром заходящего солнца». При нем есть ощущение, что ребенок постоянно смотрит вниз, потому что часть радужки оказывается прикрыта веками.
- Гиперкинез. Ребенок может спонтанно и хаотично начать двигать руками и ногами. У некоторых проявляются судороги.
Врачи также относят к списку признаков ДЦП на ранней стадии различные параличи и парезы. Тело человека может быть частично или полностью обездвижено.
Существует большое количество форм детского церебрального паралича. Они отличаются по степени поражения организма, способности сохранять двигательные возможности.
Наш оператор перезвонит вам в течении 20 мин
Может ли МРТ показать ДЦП
Диагностика МРТ напрямую связана с обследованием мозга. В медицинской среде считается, что именно мозг относится к тем органам, которые лучше всего удается анализировать с использованием магнитно-резонансной томографии.
Именно МРТ признано научным сообществом наиболее эффективным и достоверным средством в проверке состояния здоровья человека. На снимках можно увидеть детали, которые попросту не удается определить с использованием УЗИ или МРТ.
На основании собранной информации, удается формировать стратегию терапии, а также отслеживать, как лечение влияет на мозг. Так как на организм человека не оказывается лучевого воздействия, допускается выполнение МРТ на пренатальной стадии.
Особенности использования МРТ при ДЦП
Этот метод применяется для того, чтобы точно зафиксировать изменения, которые появляются в нейроанатомических областях. Они отвечают за движения и потому оказывают особенно выраженное воздействие при развитии ДЦП у ребенка.
Методика хорошо показывает себя, когда нужно выполнить оценку соответствия структурной патологии ранее собранному врачом анамнезу.
МРТ в случае поиска ДЦП, дает предельно точные и информативные снимки. Это помогает отыскать множество основных показателей развития патологических процессов. К ним относятся такие, как:
- Выраженные кортикальные мальформации. Они особенно часто сопровождают детский церебральный паралич.
- Затрудненное кровоснабжение. ДЦП может проявляться в нарушении кровотока в различных областях - это мозжечок, таламус, височные области коры. Также часто проблема затрагивает и базальные ганглии, что приводит к выраженным нарушениям в состоянии организма пациента.
- Нарушение в состоянии белого вещества мозга. У пациентов часто происходят кровоизлияния, под действием различных внутренних и внешних факторов случаются микроинсульты. МРТ помогает проверить, какие области мозга были затронуты таким процессом.
- Нарушение в сером веществе. Применение метода магнитно-резонансной томографии помогает эффективно искать поражение, как в кортикальном, так и в субкортикальном слое.
- Аномалии развития. Томограф отыщет все аномалии, которые могут приводить к ДЦП и другим болезням. Среди самых распространенных есть такие, как агирия и агенезия коры.
И это - только часть признаков, которые удается отыскать при помощи использования магнитно-резонансного томографа. Он также показывает высокую результативность при определении наличия у пациента пороков сосудов, гидроцефалии различных типов кист и многих других видов поражений головного мозга.
О значении МРТ при ДЦП
МРТ дает максимум информации о том, что стало причиной возникновения ДЦП и как развивается болезнь. Но не менее важно и то, что подобный метод помогает эффективно отделить заболевание от других болезней, которые могут выдавать себя похожими симптомами.
В их списке есть такие, как опухоль головного мозга, передающиеся по наследству нарушения координации движения, лейкодистрофия и многие другие.
Что показывает МРТ при ДЦП
В процессе проведения МРТ, аппарат делает множество виртуальных срезов толщиной до 1 мм. Затем на основании полученных данных формируется трехмерная модель всего мозга или его отдельного участка, который интересует врачей в конкретной ситуации.
На снимке удается отыскать уменьшения или уплотнения белого вещества, разрастание ганглии, различные типы кистозных образований и многое другое. На основании полученных сведений удается получить максимум информации о состоянии пациента в конкретный момент времени, проследить, насколько успешным оказывается проведение лечения конкретными выбранными методами.
Как проводится процедура
МРТ - это безопасный для организма человека метод. В процессе обследования пациента помещают внутрь специального аппарата - томографа. В нем происходит сканирование головного мозга.
Детям до трех лет можно проводить обследование под наркозом. Иногда его приходится применять и для взрослых, потому что во время процедуры требуется сохранять полную неподвижность в процессе, чтобы снимок не оказался смазан.
При необходимости, в организм вводится специальное контрастное вещество. Оно помогает сделать снимки намного более четкими и яркими, отыскать даже наиболее мелкие изменения в мозгу пациента.
Запишитесь на проведение эффективного МРТ
В нашей клинике вы сможете пройти магнитно-резонансную томографию мозга и быстро получить необходимое заключение. Есть сразу несколько преимуществ обращения к нам:
- Используем мощное оборудование экспертного класса.
- Предлагаем доступные цены и специальные условия для клиентов.
- Предоставляем развернутые консультации по всем интересующим пациентов вопросам.
- Опытные рентгенологи быстро готовят снимки и выполняют запись на носитель по выбору.
Чтобы записаться к нам в удобное время и получить максимум полезной информации, оставьте заявку на сайте или звоните по указанным телефонам.
Читайте также:
