Диагностика гемангиомы свода черепа по КТ, МРТ
Добавил пользователь Евгений Кузнецов Обновлено: 28.01.2026
Информацию из данного раздела нельзя использовать для самодиагностики и самолечения. В случае боли или иного обострения заболевания диагностические исследования должен назначать только лечащий врач. Для постановки диагноза и правильного назначения лечения следует обращаться к Вашему лечащему врачу.
Для корректной оценки результатов ваших анализов в динамике предпочтительно делать исследования в одной и той же лаборатории, так как в разных лабораториях для выполнения одноименных анализов могут применяться разные методы исследования и единицы измерения.
Гемангиома: причины появления, симптомы, диагностика и способы лечения.
Определение
Гемангиомой называют гиперплазию сосудов (разрастание клеток сосудистой стенки) - заболевание, которое классифицируется как доброкачественная опухоль (доброкачественное новообразование) и может быть как врожденным, так и появиться в течение нескольких месяцев после рождения ребенка.
Гемангиома кожи у взрослых встречается, но не часто, так как большинство опухолей самостоятельно рассасываются еще в детском возрасте. Если похожее новообразование появилось на коже взрослого человека, где до этого не было никаких поверхностных дефектов, то такая опухоль требует тщательной диагностики.
Если в детстве гемангиома выражена слабо (в виде ссадины или небольшого пятнышка), то во взрослом возрасте под действие определенных факторов она может расти и увеличиваться.
Гемангиомы формируются, как правило, на коже головы, лица, шеи и реже - на туловище и конечностях. Излюбленными локациями на внутренних органах являются печень, кости, легкие.
Гемангиомы кожи чаще представляют собой одиночные новообразования, но бывают исключения. Замечено: если гемангиом на видимых участках тела больше пяти, высока вероятность того, что есть и гемангиома внутренних органов.
Причины появления гемангиом
Причины появления гемангиом до конца не изучены. Согласно одной из теорий, разросшиеся клетки эндотелия могут быть остаточными эмбриональными клетками. Другое предположение заключается в том, что гемангиома начинает расти внутриутробно в условиях хронического недостатка кислорода. Возможно, формирование опухоли могут провоцировать острые инфекции, в том числе респираторно-вирусные, если таковые были у матери в первом триместре беременности. Это лишь теория, потому как гемангиомы возникают и у детей, родившихся от матерей с нормально протекавшей беременностью.
Угрозы выкидыша, предлежание плаценты (очень низкое расположение плаценты в матке, затрудняющее естественные роды), отслойка и воспаление плаценты, обвитие пуповины, преэклампсия (комплекс симптомов, включающий отеки, повышение артериального давления и выявление белка в анализе мочи), возраст матери (старше 38 лет) также являются факторами риска.
Классификация заболевания
Гемангиомы детского возраста подразделяют на врожденные и инфантильные (младенческие).
Нередко крупные гемангиомы можно увидеть во время ультразвукового скрининга. Новорожденный появляется с гемангиомой, которая впоследствии может самостоятельно в течение полутора лет уменьшиться в размере и исчезнуть (быстро инволюционирующая), уменьшиться, но не полностью исчезнуть (частично инволюционирующая) или не измениться совсем (не инволюционирующая). Если врожденная гемангиома растет, то только пропорционально росту ребенка. С равной частотой она встречается как у мальчиков, так и у девочек.

Инфантильная гемангиома
Предшествует такой гемангиоме участок измененной кожи или красное пятно. Рост гемангиомы может продолжаться до шести месяцев жизни ребенка. Затем наступает период остановки роста, он длится в среднем два месяца, а потом происходит фаза медленного уменьшения новообразования, которая может продолжаться до десяти лет.
Младенческая гемангиома встречается у девочек в пять раз чаще, чем у мальчиков.
Инфантильные гемангиомы могут располагаться на коже (простые капиллярные гемангиомы), под кожей (венозные и кавернозные гемангиомы) и быть комбинированными.

В зависимости от гистологического строения и от калибра сосудов гемангиомы подразделяют:
- на капиллярные,
- венозные,
- кавернозные,
- комбинированные.
Располагается на поверхности кожи и представляет собой густую сеть тесно переплетенных капилляров, выстланных клетками эндотелия. Эта форма встречается в 90-96% случаев, характерна интенсивным разрастанием новых сосудов и считается начальной стадией развития образования.
Образования представлены венами мелкого и среднего калибра. Таким гемангиомам свойственно разрастание вглубь кожи и над ее поверхностью.
Кавернозные, или пещеристые гемангиомы.
Кавернозное образование считается следующим этапом развития венозной формы гемангиомы. Оно состоит из полостей, ограниченных эндотелиальным слоем сосудов и разделенных перегородками. Такая гемангиома формируется в результате переполнения кровью неполноценных капилляров и разрыва их стенок с образованием полостей (каверн) и кровоизлияний (гематом). Кровь, находящаяся в этих полостях, из-за повышения коагуляционных свойств образует мелкие сгустки.
К этому виду гемангиом относят образования, имеющие признаки нескольких форм различной степени выраженности.
- Капиллярная, или поверхностная гемангиома кожи (винное пятно) склонна к разрастанию в окружающие ткани и представляет собой объемное эластичное образование от бледно-розового до насыщенного красного или бордового цвета, с неровными очертаниями, несколько возвышающееся над поверхностью кожи. При надавливании гемангиома бледнеет, но потом быстро принимает исходный вид. При локализации на затылке имеет название «укус аиста», при локализации на лбу - «поцелуй ангела».
Края гемангиомы говорят о стадии ее развития: ровный очерченный край наблюдается в фазе остановки роста и фазе уменьшения опухоли. Во время активного роста края размыты.
Небольшие гемангиомы внутренних органов зачастую никак себя не проявляют и случайно выявляются при проведении исследований, связанных с другими заболеваниями.
Для того чтобы гемангиома печени давала болевые ощущения, она должна достигать внушительных размеров - 5-10 см. Гемангиома позвоночника не вызывает никаких симптомов, если она находится внутри позвонка. Как только она затрагивает надкостницу (оболочку, покрывающую кость) или связки, появляется постоянная боль. Опухоль, сдавливающая корешки спинномозговых нервов, может привести к различным нарушениям чувствительности в конечностях.
Некоторые гемангиомы сразу вызывают симптомы, это объясняется особенностью расположения. Разрастаясь, они быстро нарушают функцию органа. К таким относят гемангиомы гортани, трахеи, опухоли глаз.
Диагностика гемангиомы
Диагностика гемангиомы начинается с опроса пациента и/или его представителей о течении заболевания, первых проявлениях, динамике событий. Затем проводят детальный осмотр сосудистого образования. В зависимости от симптомов и расположения гемангиомы может потребоваться углубленный осмотр узким специалистом (офтальмологом, оториноларингологом и т.д.).
Для уточнения размеров, глубины залегания, строения новообразования показано ультразвуковое исследование с изучением кровотока. Однако при некоторых гемангиомах оно может быть неинформативным.
Исследование мягких тканей для выявления патологических изменений и диагностики новообразований.
Гемангиомы в костях что это такое?

Довольно часто гемангиомы становятся случайной находкой при магнитно-резонансной томографии (МРТ) или спиральной компьютерной томографии (СКТ) позвоночника, костей черепа при исследовании головного мозга, в костях суставов, да и практически в любой кости человеческого организма. Что же такое гемангиома? Как проявляется гемангиома? Как диагностировать гемангиому? Чем лечить гемангиому?
Гемангиома
Чаще всего встречается у людей среднего и пожилого возраста (30-65 лет). Статистически чаще диагностируется у женщин. Различают гемангиому, которая происходит из сосудов красного костного мозга и гемангиоматоз - нарушение развития сосудов костей, кожи, внутренних органов (чаще всего печень). Гемангиомы обнаруживаются чаще всего в позвонках и в черепе, в остальных отделах сравнительно редкая находка.
Как проявляется гемангиома
Все зависит от локализации. Если она локализуется в позвонках (их телах) позвонков, то может быть причиной компрессионного патологического перелома позвонка, что сопровождается увеличением угла кифоза позвоночника (патологический изгиб), болью различной интенсивности (в зависимости от степени перелома). Похожие симптомы могут возникать и без перелома позвонка, если гемангиома развилась в дужке позвонка.
Внутрикостная гемангиома черепа может сопровождаться головной болью, которая обуславливается постоянным раздражением мозговых оболочек. Иногда можно нащупать на черепе небольшую довольно плотную выпуклость - в этом случае безотлагательно посетите специалиста и пройдите назначенную диагностику. В АЦМД-Медокс успешно диагностируются гемангиомы любой локализации при помощи МРТ и СКТ.
Что происходит при росте гемангиомы
В кости соответственно костно-мозговых полостей развивается кавернозная гемангиома. Она состоит из полостей, которые заполнены кровью. Часть расположенных в гемангиоме костных балок рассасывается, а часть наоборот - уплотняется и составляет «каркас» гемангиомы.
Диагностика гемангиомы
При помощи рентгена: довольно слабо. Диагностированию поддаются в основном уже крупные гемангиомы или те, которые деформируют внешний контур кости.
При помощи спиральной компьютерной томографии (СКТ): диагностирует в большинстве случаев. На срезах хорошо видна опухоль, ее «сетчатая» структура, хорошо различаются утолщенные костные балки, уплотнение кости по контуру гемангиомы.
При помощи магнитно-резонансной томографии (МРТ): в наиболее часто встречаемых случаях. На МРТ-сканах гемангиома, как и многие другие сосудистые структуры, дает отличный от костного МР-сигнал. Интенсивность сигнала зависит от скорости кровотока в самой гемангиоме.
Если гемангиома привела к компрессионному перелому тела позвонка, то установить диагноз уже совсем не сложно. При помощи СКТ и МРТ после компрессионного перелома пораженного гемангиомой тела позвонка можно выявить небольшую гематому, которая деформирует соседние структуры и даже спинной мозг.
Лечение гемангиомы
Все зависит от локализации. Для лечения гемангиом применяется лучевая терапия или хирургическое вмешательство, но в большинстве случае при неосложненной гемангиоме - ее наблюдают. К активным действиям обращаются только в случае ее резкого роста, малигнизации (превращение в злокачественную опухоль) или при угрозе перелома кости.
Гемангиома позвоночника на МРТ
Магнитно-резонансная томография - это современный диагностический метод, который применяется при поиске множества видов заболеваний. Особенно хорошо такое средство проявляет себя при поиске новообразований доброкачественного или злокачественного типа.
В ходе обследования используется специальная компьютерная программа, которая получает сведения о взаимодействии магнитного поля и ионов водорода с молекулами воды, которые содержатся внутри тканей.
Часто новообразования поражают именно позвоночник. Так для многих пациентов характерно проявление неоплазии сосудов, которые располагаются в теле позвонка. Подобное явление в медицинской среде получило название гемангиомы.
Если не найти такое поражение вовремя, пациент оказывается под большим риском. Есть вероятность того, что он будет полностью парализован, так как затрагиваются нервные структуры. Это приводит к инвалидности.
Часто на магнитно-резонансную томографию человека отправляют уже после того, как была проведена рентгенография и при этом показаны недостаточно информативные результаты. Но сегодня все больше медиков говорят о том, что стоит сразу использовать именно МРТ и проводить его с введением в тело дополнительного контрастного усиления.
Что такое гемангиома
Гемангиома - это опухоль доброкачественного типа, которая формируется из сосудов. Так как она образуется в позвоночнике, то постепенно начинает оказывать усиленное давление на костные структуры. В результате оказываются затронуты суставо-связочные и губчатые твердые образования. Начинает развиваться дегенеративный процесс, который оказывает выраженное негативное воздействие на состояние организма пациента.
Статистика показывает, что многие пациенты, у которых при помощи МРТ выявляется такая патология - это молодые женщины. Опасность процесса заключается в том, что часто он протекает практически не проявляя себя. Но есть случаи, когда опухоль начинает диагностироваться в результате неврологического дефицита или сильного болевого синдрома.
Правильная диагностика в таком случае становится ключевым требованием для того, чтобы не допустить возникновения осложнений. Если затянуть с прохождением МРТ, есть риск столкнуться со многими негативными проявлениями:
- Компрессия спинного мозга.
- Сильное сдавливание нервных окончаний.
- Паралич.
Редко, но гемангиома все же переходит в злокачественную форму. Статистика показывает, что это наблюдается всего у 1% пациентов.
При наличии признаков новообразования чаще всего проводится МРТ грудного отдела позвоночника. Но иногда может потребоваться и анализ текущего состояния других костных структур.
Врачи называют массу причин развития заболевания. Оно может развиваться на фоне перенесенной травмы, а также становится результатом гормонального дисбаланса, ишемии, плохой наследственности.
Наш оператор перезвонит вам в течении 20 мин
Симптомы развития гемангиомы
Важно вовремя среагировать на первые признаки появления такого новообразования и провести диагностику с использованием магнитного томографа. Есть несколько наиболее распространенных симптомов:
- Боль в позвоночнике.
- Уменьшение чувствительности в пораженной области.
- Онемение или покалывание в конечностях.
Обычно жалобы от пациента начинают поступать по мере увеличения опухоли. Наиболее активно она проявляет себя, когда размер становится более одного сантиметра.
Большое значение в вопросе обозначения симптомов имеет характер новообразования и область его локализации. Часто случается так, что на протяжении длительного времени болезнь вообще никак не выдает себя. Многие неприятные симптомы начинают списывать на другие заболевания, а пациент теряет драгоценное время и ходит не по тем врачам, которые могут указать на риск такого нарушения.
Если не получить лечения вовремя, можно столкнуться с ситуацией, когда начинают затрагиваться оболочки костного мозга, а также нервные волокна. Таким образом опасность постоянно увеличивается, роль правильной своевременной магнитной диагностики выходит на первый план.
Особенности проведения МРТ при подозрении на гемангиому позвоночника
Существует большое количество признаков того, что у человека начинает развиваться гемангиома. При этом симптомы могут отличаться в зависимости от того, с каким типом поражения пришлось столкнуться конкретному пациенту.
Магнитно-резонансная томография позволяет выявить новообразования на самых разных этапах их развития вне зависимости от специфики протекания. Есть два варианта такого новообразования:
- Капиллярная гемангиома. В таком случае на МРТ она будет показана как большое скопление сосудов, структура которых не меняется. Это легко диагностировать. А врачи обычно дают положительный прогноз по последующему протеканию лечения.
- Кавернозная. Сложнее в развитии. Она состоит из множества ячеек, которые заполнены кровью.
В некоторых случаях врачам приходится сталкиваться и со смешанными вариантами гемангиомы.
Магнитно-резонансная томография отлично подойдет для диагностирования всех перечисленных видов новообразований. При проведении сканирования человека, большое внимание уделяется получаемым сигнальным характеристикам. Их проявление сильно связано с количеством окружающей сосуды жировой ткани.
Когда в обследуемой области скапливается много жировкой ткани, рентгенологи проводят исследование с активацией STIR-режима. Липоидная ткань дает заметный отклик, который фиксируется и интерпретируется. Для новообразования в таком случае особенно характерен кратковременный переход в гиперинтенсивное состояние, что и становится средством ее отслеживания.
Также проводится обследование с использованием режима Т2 ВИ. При этом удается получить сигнал высокой степени интенсивности с неоднородным характером. Основная проблема такого исследования заключается в том, что зрительно новообразование будет давать аналогичный отклик с другими злокачественными и доброкачественными основаниями.
Придется проводить дополнительное обследование пациента с использованием стандартных морфологических медицинских методов.
Еще один метод, который используется во время диагностирования такого типа новообразования - использование дополнительного контрастного усиления. В таком случае, пациенту внутривенно вводится специальный состав на основании гадолиния. Он безопасен, быстро выводится из организма и не откладывается во внутренних органах.
Контрастное усиление помогает устанавливать наличие новообразования на наиболее ранней стадии его формирования. Так как вещество переносится кровяной системой по всему организму человека, оно начинает накапливаться в гемангиоме и делает ее наиболее заметной и контрастной.
Контроль развития гемангиомы с использованием МРТ
Магнитно-резонансная томография направлена на то, чтобы точно установить наличие у человека развивающегося новообразования на различных стадиях. Также средство позволяет понять, насколько успешно проходит лечение, как ведет себя опухоль при воздействии на нее определенных факторов.
Есть несколько основных признаков того, что гемангиома становится опаснее, есть риск ее перехода в злокачественное состояние. К ним относятся такие, как:
- Размытие границ опухоли на полученном снимке.
- Образование большого количества сосудистых ячеек, которые формируются внутри паравертебрального и эпидурального пространства.
- Распространение опухоли далее, затрагивание различных составляющих позвонков с их частичным или полным разрушением.
- Увеличение количества поражений, которые начинают постепенно распространяться по всему позвоночному столбу.
Кроме самой магнитно-резонансной томографии, врачи также могут использовать и другие средства для определения особенностей конкретного новообразования. К ним относятся такие, как резекция, эмболизация, алкоголизация и лучевая терапия.
МРТ как средство для диагностирования гемангиомы
Как показывает практика, именно использование магнитно-резонансной томографии зачастую становится лучшим средством для того, чтобы установить наличие новообразования, начать его лечить или контролировать.
Есть сразу несколько основных преимуществ использования МРТ в качестве диагностического средства:
- Доступность проведения регулярной диагностики. Это помогает контролировать, как проходит процесс лечения, помогают ли определенные варианты подобранных лекарственных препаратов.
- Безопасность. Метод имеет минимум противопоказаний и отлично подходит для множества категорий клиентов. Таким образом можно проверять текущее состояние организма даже для детей и беременных женщин. В процессе магнитно-резонансной томографии не оказывается никакого негативного воздействия на организм человека, облучения.
- Точность. Формирование трехмерной модели позволяет точно определить текущее состояние организма человека, выбрать правильную методику лечения.
По итогам проведенного обследования пациенту выдается развернутое заключение и набор снимков, которые также записываются на специальный носитель. Рентгенолог собирает максимум полезных сведений, которые позволят лечащему врачу оказать пациенту всю нужную помощь.
Диагностика гемангиомы свода черепа по КТ, МРТ
Статья написана по книге Власова Е.А. "Опухоли мозга. КТ- и МРТ-диагностика" посмотреть / заказать
Номенклатура
Мезенхимальные опухоли / Гемангиома, МКБ/О 9100/0
Определение
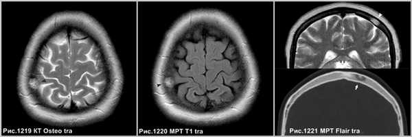
Очаговое изменение в диплоическом веществе свода черепа (рис.1215) и очаг в толще губчатого вещества тела позвоночника (рис.1216), состоящее из кавернозных полостей.

Эпидемиология
10-15% от образований позвоночника и костей черепа, пик встречаемости 40-50 лет.
Морфология, локализация и биологическое поведение
Морфологически различают первичную внутрикостную гемангиому и гемангиомы мягких тканей, вторично поражающих кости черепа (гемангиоматоз). Первичные внутрикостные гемангиомы растут медленно, как правило, расположены в губчатой кости. В большинстве они доброкачественные, но редко могут быть локально агрессивными. На КТ определяется рассасывание губчатого вещества с наличием радиальных костных балок. Гемангиома медленно растет (5-6лет), иногда самопроизвольно прекращает рост, сопровождаясь жировой инволюцией.

Гемангиома в плоских костях черепа - не частое образование, которое располагается преимущественно в диплоическом слое. Имеется разряженное строение губчатого вещества и толстые костные трабекулы, радиально расходящиеся в стороны. Очаг разряжения губчатого вещества в толще диплоического слоя определяется как зона↓плотности на КТ (стрелка на рис.1221) и↑МР-сигнала на Т2 и Flair (головки стрелок на рис.1219-1221).
Гемангиомы позвонков представляют собой очаговые образования, без масс-эффекта, вызывающие рассасывание большинства вертикальных балок позвонка, однако сохраняющиеся балки склерозируются и утолщаются. В целом вертикальная резистентность позвонка снижается, что может осложняться патологическими переломами. Считается, что гемангиома, содержащая большое количество жира, с меньшей вероятностью, будет расти или станет клинически значимой [87].

Крупная гемангиома в теле L5 позвонка, распространяющаяся на всё его тело, приводящая к перестройке губчатого вещества кости, с разряжением губчатого вещества и наличием вертикальных утолщенных костных балок (головки стрелок на рис.1222,1223). Гемангиома в теле позвонка, имеющая жировую интенсивность МР-сигнала - ↑сигнал по Т1, с обозначением контура на последовательности в противофазе (головка стрелки на рис.1224), и имеющая выпадение МР-сигнала в режиме Т2 с жироподавлением (стрелка на рис.1224), что соответствует жировой ткани в гемангиоме.

Гипертрофированные вертикальные балки губчатого вещества превосходно видны на КТ (рис.1227 и головки стрелок на рис.1225,1226).

Осложнение в развитии гемангиом в виде экспансивного роста, что встречается не часто, когда опухоль (звёздочки на рис.1228,1229) распространяется за пределы тела позвонка (головки стрелок на рис.1228,1229), приводит к компрессии спинного мозга (стрелки на рис.1228, 1229). Серьёзное осложнение представляет собой патологический перелом тела позвонка (головки стрелки на рис.1230), структура которого была ослаблена разряжением губчатого вещества в процессе роста гемангиомы.

В случае нахождения гемангиомы в дужке или распространения с тела в дужку позвонка (головки стрелок на рис.1231-1233), важно указывать данный факт в связи с тем, что структура позвонка в указанном месте ослаблена и может послужить причиной патологического перелома в процессе медицинских манипуляций, так же важно учитывать этот факт нейрохирургам при транспедикулярной фиксации.
Дифференциальный диагноз
Метастазы в кости
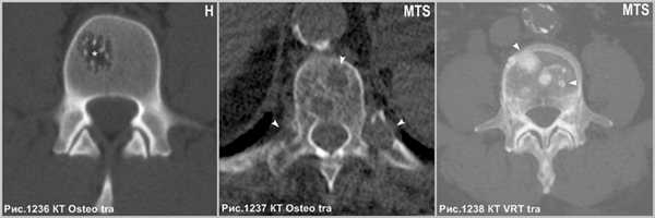
Иногда встречаются множественные гемангиомы, поражающие ряд позвонков, что может осложнить дифференциальную диагностику со вторичным, метастатическим поражением тел позвонков. Однако, гемангиомы имеют продольную исчерченность, что не встречается у метастазов. Гемангиомы возникают вблизи базивертебральной вены и, часто связаны с ней, и венами позвонка, так же гемангиомы часто имеют жировой сигнал, а метастазы расположены в телах позвонков хаотично и всегда, даже в случае склеротических очагов сопровождаются отёком костного мозга, свидетельствующем о реактивной костной реструктуризации и деструкции. Гемангиомы крайне редко распространяются за пределы тела пораженного позвонка, а метастазы весьма часто приводят к деформации тела позвонка, распространяются за его пределы. Кроме того, метастазы редко поражают исключительно позвоночник, сопровождаясь лимфоаденопатией узлов средостения, парааортальных, паракавальных групп, а так же возможна визуализация очагов в печени и лёгких, при анализе захваченных на сканировании областей.

Множественные гемангиомы, поражающие ряд позвонков (головки стрелок на рис.1234). Метастазы, поражающие тела позвонков (головки стрелок на рис.1235).

На КТ дифференциальный диагноз между метастазом и гемангиомой не представляет сложности в связи с тем, что литический метастаз выглядит в виде округлого участка без чётких контуров, вызывая рассасывание губчатой и компактной костной ткани (головки стрелок на рис.1237), а склеротический метастаз в виде очагов уплотнения костной ткани посреди губчатого вещества тела позвонка (головки стрелки на рис.1238). Гемангиома имеет уплотнённые вертикальные костные балки на фоне разряженной структуры губчатого вещества тела позвонка (звёздочка на рис.1236).
Клиническая картина, лечение и прогноз
Эти опухоли растут медленно и, в большинстве случаев, бессимптомны, если они не оказывают влияния на окружающие структуры. Иногда они могут проявиться в виде отека, ощутимой или заметной массы, особенно в черепе. Могут осложняться патологическим переломом. Изредка они могут вызвать компрессию спинного мозга или его корешков из-за распространения опухоли в кость или мягкие ткани. Наличие жира коррелирует с отсутствием прогрессирования опухолевого роста. Напротив, опухоли, содержащие мало жира или опухоли без жира, вероятнее, будут эволюционировать и расти [87]. Для лечения применяется: лучевая терапия, эмболизация для уменьшения операционной кровопотери и хирургическая резекция, особенно если болезнь осложняется компрессией спинного мозга с последующей вертебропластикой. Так же используется внутриочаговая инъекция этанола и цементирование полости во избежание внезапных травматических осложнений.

Итраоперационный рентгеновский контроль, посредством электронного оптического преобразователя, демонстрирует компактный участок плотного медицинского цемента, выполняющего полость крупной гемангиомы (головки стрелок на рис.1239.а), после вертебропластики, призванный стабилизировать тело пораженного позвонка и предотвратить вероятность патологического перелома. Следы вертебропластики в виде участка остеосклероза на МРТ (головки стрелок на рис.1239.б) и на КТ (головки стрелок на рис.1239.в). Визуализируется канал от прохождения иглы в левой дужке позвонка (стрелка на рис.1239.в).
Источник
Полная или частичная перепечатка данной статьи, разрешается при установке активной гиперссылки на первоисточник
- вы потеряли описание вашего МРТ или КТ,
- врача не устроило описание вашего МРТ или КТ
- вы сомненеваетесь в выводах по результатам вашего МРТ,
Возможно вас так же заинтересует
Классификация опухолей ЦНС
Классификация опухолей центральной нервной системы, Всемирной организации здравоохранения, 2016 года
Плеоморфная ксантоастроцитома
Опухоли нейроэпителиальной ткани / Плеоморфная ксантоастроцитома МКБ/О / 9424/3 (G II). Плеоморфная ксантоастроцитома чаще кистозная, реже солидная опухоль с излюбленной локализацией в височной доле, встречается в молодом возрасте.
Диффузная астроцитома
Диффузная астроцитома - инфильтративная опухоль без четких границ. При относительной четкости границы макроскопической картины, распространенность ее клеток шире. Неуклонно прогрессирует до анапластической формы, поражающая любые отделы ЦНС, реже ствол мозга и затылочные доли.
Субэпендимарная гигантоклеточная астроцитома
Субэпендимарная солидная опухоль у монроева отверстия, может содержать обызвествления, встречается у 15% больных туберозным склерозом.
Олигодендроглиома
Олигодендроглиома - диффузно растущая глиома с нечёткими контурами, характерной чертой которой является наличие обызвествлений в строме.
Эпендимома
Эпендимома чаще встречается у детей и располагается, преимущественно, в IV желудочке, а у взрослых чаще супратенториально, представляя собой кистозно-солидный или целиком солидный узел, может содержать петрификаты и быть окруженной перифокальным отеком.
Анапластическая эпендимома
Опухоль чаще супратенториальной локализации, возникает в основном у взрослых, характеризуется наличием кист, перифокального отёка и плохим прогнозом.
Миксопапиллярная эпендимома
Миксопапиллярная эпендимома встречается исключительно в области конского хвоста или терминальной нити, распространяясь экспансивно, приводит к расширению позвоночного канала, часто имеет кисты, кровоизлияния и петрификаты.
Глиобластома
Глиобластома - опухоль высокой степени злокачественности, гетерогенного строения с центральным некрозом, быстрым инфильтративным ростом, перифокальным отеком и наихудшим прогнозом среди всех глиом.
Опухоли ствола мозга
Глиома ствола мозга не является отдельной гистологической формой, а лишь отражает анатомическую локализацию неопластического поражения, в состав которого могут быть включены: диффузные и отграниченные астроцитомы, эмбриональные опухоли, эпендимома и глиобластома.
Медуллобластома
Медуллобластома чаще встречается у детей и располагается инфратенториально, представляя собой кистозно-солидную опухоль, возникает из червя мозжечка, с тенденцией роста в просвет IV желудочка.
Центральная нейроцитома
Центральная нейроцитома - кистозно-солидное объёмное образование, расположенное в боковом желудочке, связанное с прозрачной перегородкой, сопровождающееся расширением желудочковой системы.
Шваннома (невринома)
Акустическая шваннома (невринома, нейролеммома) - объемное образование мостомозжечкового угла, растущее в слуховой канал, расширяя его и в полость черепа, поражающее, в основном, взрослых; двусторонние шванномы ассоциированы с нейрофиброматозом II типа.
Менингиома
Менингиома - округлое объемное образование с четкими и ровными контурами, исходящее из клеток твердой мозговой оболочки, чаще расположенное на широком основании и наличием петрификатов в строме, редко сопровождающееся перифокальным отеком.
Опухоли костей свода черепа. Разновидности, лечение и прогноз при разных видах новообразований
Опухоли костей свода черепа можно разделить на две большие группы: первичные, т.е. начавшие свой рост в месте их локализации; и вторичные, являющиеся следствием опухолей, взявших свое начало в других органах.
Кроме того, и ту, и другую группу по характеру опухолей можно подразделить на доброкачественные и злокачественные.
К первичным доброкачественным опухолям следует отнести:
- остеомы;
- гемангиомы;
- холестеатомы;
- дермоидные кисты.
К вторичным доброкачественным новообразованиям относятся менингиомы (арахноидэндотелиомы).
К первичным злокачественным опухолям относятся остеогенная саркома. А к вторичным - опухоли, развившиеся в других органах и системах организма - молочной железе, почках, легких, предстательной железе и т.п., метастазировавшие в мозг. Характерна таким метастазированием и меланома - кожный рак, отличающийся высокой степенью злокачественности.
2. Доброкачественные опухоли
Остеома, по мнению врачей, является следствием сбоя организма на этапе эмбрионального развития плода. Остеомы могут быть как одиночными, так и множественными. Эти опухоли очень медленно растут и практически никак себя не обнаруживают - их в большинстве случаев выявляют во время обследования рентгеном или МРТ. В удалении такая опухоль нуждается лишь в том случае, если она представляет угрозу здоровью пациента.
Гемангиома - довольно редко встречающаяся опухоль, которая также в основном определяется случайно, во время обследования, по причине отсутствия каких-либо симптомов. Обычно хирурги предлагают ее удалять оперативным путем. Прогноз такой операции - благоприятный.
Холестеатома - новообразование, локализующееся в мягких тканях, провоцируя при этом развитие обширных дефектов костных пластин черепа. Такая опухоль нуждается в удалении хирургическим способом. С помощью операции здоровье больного полностью восстанавливается.
Место излюбленной локализации дермоидной кисты - внутренние и наружные углы глаз, сегмент сосцевидного отростка, область саггитального шва и проч. Основная опасность такой кисты состоит в том, что она способна постепенно разрушать кости свода черепа. Удаляют новообразование в случае, если оно нарушает функционирование соседних органов.
Менингиома - доброкачественная опухоль, которая образована тканями паутинной оболочки мозга. Давать клинические проявления она может при условии достижения солидных размеров. Такую опухоль обычно удаляют. Для снижения риска рецидива, хирургическую операцию по удалению менингиомы проводят в комплексе с лучевой терапией, что делает прогноз абсолютно благоприятным.
3. Злокачественные опухоли
Остеогенная саркома - развивается обычно у молодых пациентов, быстро растет, достигая больших размеров, имеет тенденцию прорастать в твердую мозговую оболочку и метастазировать в кости скелета - ребра, таз, позвоночник, грудину.
Вторичная остеогенная саркома развивается в обратном направлении, когда происходит распространение метастаз из опухолей молочной железы, легких, щитовидки и т.д.
Основным симптомом остеогенной саркомы являются сильные, порой нестерпимые боли в костях. В некоторых случаях больному возможно проведение хирургической операции, но основным способом лечения этого заболевания является радиолучевая терапия. К сожалению, не во всех случаях возможно наступление излечения, но затягивать с лечением недопустимо.
Читайте также:
- Подготовка к парацентезу. Техника парацентеза
- Фибромиксоидная саркома низкой степени злокачественности
- Доступ и ход операции дренирования псевдокисты поджелудочной железы в желудок
- Щитовидная железа и желудочно-кишечный тракт. Тиреоидные гормоны и продолжительность сна
- Сурфактант легких. Выделительная функция легких.
