Диагностика лейкоза головного мозга по КТ, МРТ
Добавил пользователь Евгений Кузнецов Обновлено: 21.11.2025
Хронический лимфолейкоз, или хронический лимфоцитарный лейкоз (ХЛЛ), — злокачественное клональное лимфопролиферативное заболевание, характеризующееся накоплением атипичных зрелых CD5/CD19/CD23-положительных В-лимфоцитов преимущественно в крови, костном мозге, лимфатических узлах, печени и селезёнке.
Лимфоцитарная мелкоклеточная лимфома (ЛМКЛ): сходное заболевание с аналогичным иммунофенотипом и гистологическими особенностями, которое характеризуется отсутствием лимфоцитоза в периферической крови.
Эпидемиология
- Наиболее частый лейкоз у взрослых. Средний возраст на момент выявления является 70 лет. Мужчины болеет немногим чаще в соотношении - 1,7:1.
Патология
Генетические особенности
- В рутинной практике проводится флуоресцентная гибридизация in situ (FISН): трисомия 12 хромосомы и делеции 11q, 13q и 17р
Микроскопические особенности
Макроскопические особенности
- Обширная лимфаденопатия или увеличение в размерах печени, селезенки.
- Локализация патологических изменений.
- Лимфатические узлы и/или печень, селезенка.
- Вовлечение легких в опухолевый процесс наблюдается редко.
Размер:
Клинические проявления
- На ранней стадии симптомы отсутствуют.
- На поздней стадии: рецидивирующие инфекции, анемия.
- В-симптомы: потеря веса, лихорадка, ночная потливость
Классификация
Чаще всего используют классификации по Rai и по Binet. Учитываются общий анализ крови и данные физикального обследования. Время удвоения лимфоцитов: показатель агрессивности течения заболевания. Уровень бета-2-микроглобулина коррелирует с выраженностью опухолевого процесса.
ПЭТ-КТ, МРТ и УЗИ при лейкозе (рак крови) - что покажет

Лабораторные исследования (биохимический анализ крови, общий анализ мочи, коагулограмма), пункция (аспирация) костного мозга, ПЭТ-КТ, УЗИ лимфатических узлов, УЗИ слюнных желез, МРТ спинного мозга позвоночника являются аппаратными методами диагностики лейкоза (рака крови). Исходя из первичных симптомов, истории болезни, противопоказаний и диагностических целей, врач онколог или гематолог назначает необходимые способы обследования.
В большинстве случаев, лабораторные исследования (биохимический анализ крови, общий анализ мочи, коагулограмма), пункция (аспирация) костного мозга выбираются как первичные методы диагностики. Если результаты исследования носят тревожный или неясный характер, дополнительно назначается:
- ПЭТ-КТ
- ПЭТ-МРТ
- УЗИ брюшной полости
Запись в день обращения
Рак крови влияет на производство и функцию клеток крови. Выделяют 3 основные группы онкологии - лейкозы, лимфомы и миеломы:
Острый миелоидный лейкоз (ОМЛ). ОМЛ начинается с молодых лейкоцитов, называемых гранулоцитами или моноцитами в костном мозге. Заболеть этой формой лейкоза могут и взрослые, и дети, но чаще всего он диагностируется у пожилых людей.
Острый лимфобластный лейкоз (ОЛЛ). ОЛЛ начинается с молодых лейкоцитов, называемых лимфоцитами, в костном мозге. Заболеть этой формой рака крови могут и взрослые, и дети, но чаще всего диагностируется у молодых людей.
Хронический лимфолейкоз (ХЛЛ). ХЛЛ влияет на лейкоциты, называемые лимфоцитами.
Хронический миелоидный лейкоз (ХМЛ). ХМЛ начинается с белых кровяных телец, называемых гранулоцитами.
Лимфома Ходжкина. Это рак лейкоцитов, называемых лимфоцитами, содержит клетки Рида-Штернберга.
Неходжкинская лимфома (НХЛ). Это рак лимфатической системы. Существует более 60 различных типов неходжкинской лимфомы. Они могут вести себя по-разному и нуждаться в разной тактике лечения.
Миелома. Это тип рака, который развивается из клеток костного мозга, называемых плазматическими клетками.
Ювенильный миеломоноцитарный лейкоз (ЮММЛ). Это очень редкий тип медленно развивающегося (хронического) рака крови, который встречается у детей раннего возраста. Раньше его называли:
- ювенильный хронический миелогенный лейкоз
- хронический миеломоноцитарный лейкоз детского возраста.
Миелопролиферативные новообразования. Это группа редких заболеваний костного мозга, вызывающих увеличение количества клеток крови. Всемирная организация здравоохранения (ВОЗ) классифицирует все миелопролиферативные новообразования как рак крови потому, что костный мозг неконтролируемо производит клетки крови. Но многие больные с миелопролиферативными новообразованиями чувствуют себя хорошо и нуждаются только в щадящем лечении.
Миелодиспластическое заболевание. Это состояние, когда вырабатываемые клетки крови являются аномальными и не полностью созрели.Существует ряд различных типов миелопролиферативных заболеваний, включая:
- Хронический миелоидный лейкоз
- Истинная полицитемия
- Эссенциальная тромбоцитемия
- Первичный миелофиброз
Реже встречаются следующие виды:
- хронический нейтрофильный лейкоз - редкий тип рака крови, поражающий нейтрофилы, тип лейкоцитов, который помогает бороться с бактериальными и вирусными инфекциями.
- хронический эозинофильный лейкоз поражает эозинофилы, белые кровяные тельца, которые участвуют в аллергических реакциях и используются для борьбы с паразитами.
Также встречаются очень редкие миелопролиферативные новообразования, не попадающие ни в одну из вышеперечисленных групп. Всемирная организация здравоохранения объединяет их в группу «миелопролиферативных заболеваний, которые не классифицируются».
Истинная полицитемия (ПВ). ПВ - это редкий рак крови, поражающий костный мозг. Иногда его называют эритроцитозом, что означает слишком много красных кровяных телец. Это одно из группы состояний, называемых миелопролиферативными новообразованиями или миелопролиферативными расстройствами
Миелофиброз. Это редкий рак крови, который вызывает рубцевание костного мозга и может перерасти в острый лейкоз.
Эссенциальная тромбоцитемия (ЭТ). Это редкий рак крови, вызывающий образование большого количества клеток крови, называемых тромбоцитами - клетки крови, участвующие в свертывании крови.
Хронический миеломоноцитарный лейкоз (ХМЛЛ). Это тип медленно развивающегося рака крови. Обычно в крови слишком много моноцитов - разновидность белых кровяных телец.
Миелодиспластические синдромы (МДС). Это группа рака крови, известная как миелодисплазия, при котором костный мозг не работает должным образом и вырабатывает аномальные клетки крови, что приводит к возникновению острого миелоидного лейкоза.
Типы лейкоза
Существует два основных типа лейкоза: миелоидный и лимфобластный. Лимфобластный лейкоз также можно назвать лимфолейкозом. Острый лимфобластный лейкоз (ОЛЛ) делится на разные группы (подтипы). Врачи используют две разные системы, чтобы определить тип лейкоза:
- Система Всемирной организации здравоохранения (ВОЗ)
- Французская и британская (FAB) система
Чтобы гематолог мог определить тип лейкоза, необходимо провести гистологическое исследование и следующие тесты:
- белки, которые производят некоторые типы лейкозных клеток (тесты иммунофенотипирования)
- хромосомные изменения лейкозных клеток (цитогенетические тесты)
Система Всемирной организации здравоохранения основана на типе лимфоцита (лейкоцита), который стал злокачественным, и на характеристиках клетки. Эта система помогает гематологам планировать лечение и прогнозировать его успешность. Выделяют 3 разных подтипа лейкозов:
- пре (предшественник) B-клеточного ОЛЛ, это наиболее распространенный тип лейкозов у взрослых
- пре (предшественник) Т-клеточного ОЛЛ, чаще встречается у молодых людей мужского пола
- зрелые В-клетки ОЛЛ, этот тип идентифицируется по определенным генетическим изменениям.
Зрелый В-клеточный ОЛЛ иногда называют ОЛЛ Беркитта, потому что он похож на другой рак, называемый лимфомой Беркитта.
Французско-американская британская (FAB) система
Французско-американская британская (FAB) система делит лейкозы на 3 группы (L1, L2 и L3) в зависимости от того, как лейкозные клетки выглядят под микроскопом.
Смешанный фенотипический острый лейкоз (MPAL) - это редкий тип лейкемии, сочетающий в себе черты острого лимфобластного лейкоза (ОЛЛ) и острого миелоидного лейкоза (ОМЛ). Его также называют острым бифенотипическим лейкозом или острым билинейным лейкозом.
Филадельфия-позитивный лейкоз
При филадельфия-позитивный лейкозе происходят определенные изменения в хромосомах лейкозных клеток. Мутации наблюдается примерно у 20-30 из каждых 100 больных с острым лимфобластным лейкозом. Большинство клеток тела имеют 23 пары хромосом. Хромосомы состоят из ДНК. Участки ДНК называются генами. Гены производят белки, которые выполняют определенные функции в организме. Например, некоторые гены контролируют, насколько клетка растет и делится. Когда клетка делится, чтобы произвести новые клетки, хромосомы обычно остаются прежними. Но иногда случаются ошибки. При филадельфийском положительном ОЛЛ ген, называемый геном ABL1 на хромосоме 9, отрывается и прикрепляется к гену, называемому геном BCR на хромосоме 22. Он производит новый ген, называемый BCR-ABL1, который заставляет клетку производить слишком много белка, называемого тирозинкиназа. Этот белок стимулирует рост и размножение лейкозных клеток.
Типизация лейкозаосушествляетсяп о данным гистологического обследования костного мозга и лимфатических узлов, анализов крови и дополнительных данных от
- УЗИ брюшной полости
- МРТ спинного мозга
- ПЭТ-КТ или ПЭТ-МРТ.
Симптомы лейкоза
Многие больные лейкозом на ранней стадии заболевания не имеют никаких симптомов. На более позднем этапе рака симптомы могут включать:
- частые головные боли
- высокая температура
- хроническая усталость
- синяк или необычное кровотечение
- проблемы с глазами - например, нечеткое зрение
- звон в ушах
- бледность кожи
- резкая потеря веса
- частые инфекции.
Костный мозг - это губчатый материал, заполняющий кости. Он содержит ранние клетки крови, называемые стволовыми клетками. Они развиваются в 3 разных типа клеток крови (лейкоциты, тромбоциты, эритроциты). Обычно стволовые клетки в костном мозге продолжают делиться, образуя новые клетки крови. Благодаря этому количество клеток, циркулирующих в крови, остается в пределах нормы. Лейкоциты помогают бороться с инфекцией. Если в организме вырабатывается много аномальных белых кровяных телец, они могут препятствовать развитию нормальных здоровых клеток. Поэтому больной с лейкозом может легко заразиться такими инфекциями, как кашель и простуда или обнаружить, что инфекции длятся долго и с них трудно избавиться.
Слишком много лейкоцитов может переполнить костный мозг. Таким образом, будет недостаточно места для производства других типов клеток крови, что может вызвать более низкое количество эритроцитов и тромбоцитов. Слишком мало красных кровяных телец (так называемая анемия) вызывает усталость и одышку. Если у пациента недостаточно тромбоцитов, у него могут возникнуть проблемы с частыми кровотечениями. Это может быть:
- кровотечение из носа
- кровоточивость десен при чистке зубов
- очень тяжелые месячные маленькие
- темно-красные пятна на коже
- кровь в моче
- кровь в фекалиях.
Аномальные лейкоциты могут накапливаться в селезенке, лимфатических узлах и печени. Это может вызвать вздутие живота и дискомфорт. Клетки также могут распространяться в мозг. У мужчин иногда поражаются яички. В отличие от солидных опухолей, например рака груди, наличие лейкозных клеток в разных частях тела не означает худшего исхода терапии.
Лимфатические узлы при лейкозе могут увеличиваться и быть болезненными при прикосновении к ним. Лимфоузлы могут ощущаться опухшими в области шее, подмышкой, паха.
Онкобольной может почувствовать боль в костях или суставах. Это может быть тупая или колющая боль из-за того, что слишком много аномальных лейкоцитов собираются в костях.
ПЭТ-КТ, МРТ и УЗИ в диагностике лейкоза
Гематолог использует анализы крови для первичной диагностики рака крови. В зависимости от типа онкологии могут назначаться дополнительные тесты:
МРТ головного мозга при опухолях кроветворной системы
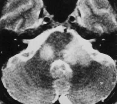
ЦНС поражают лейкемические очаги примерно в 30% случаев. Очаги могут поражать собственно вещество мозга, либо протекать по типу лейкозного менингита. Чаще такой тип течения наблюдается у детей при остром миелолейкозе.
Рост лейкемических очагов по опухолевому типу называют «гранулоцитарной саркомой». Очаги обычно возникают на границе белого и серого вещества.
При МРТ головного мозга очаг обычно изоинтенсивен коре мозга. Отёк при МРТ может быть выражен в разной степени. Внутри лейкемического очага, особенно при остром лейкозе, при МРТ головного мозга могут быть кровоизлияния, хорошо видимые на Т1-взвешенных МРТ. При МРТ головного мозга с контрастированием усиление сигнала слабое, неоднородное. Изредка лейкемические очаги вызывают тромбоз венозного синуса, имеющий характерные черты при МРТ головного мозга.

МРТ головного мозга. Очаги лимфолейкоза. Аксиальная Т2-зависимая МРТ.
При МРТ в СПб основную задачу у пациентов с подозрением на гранулоцитарную саркому мы видим в дифференциальной диагностики с другими очаговыми поражениями, особенно лимфомами. МРТ головного мозга при заболеваниях кроветворной системы еще необходимо для исключения инфекционных осложнений. Надо отметить, что в дифференциальной диагностике помогает выявление гранулоцитарных сарком в других местах - коже, орбите, пазухах носа, печени, в мягких тканях шеи, в средостении и легких.
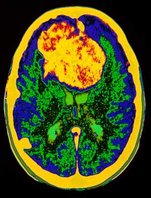
Дифференциальная диагностика опухолей головного мозга при МРТ

МРТ головного мозга. Аксиальная Т2-взвешенная МРТ. Цветовая обработка изображения. Опухоль мозга.
При дифференциальной диагностике опухолей головного мозга надо учитывать многие факторы включая эпидемиологические и диагностические. Золотым стандартом их выявления служит МРТ головного мозга. Многие центры МРТ СПб берутся за эту задачу, но мы рекомендуем Вам обследоваться именно у нас. При МРТ в СПб в дифференциальной диагностике опухолей в высоком поле и на открытом МРТ мы учитываем многие признаки, включая следующие:
Частота:
- 1/3 глильные (50% астроцитарного ряда)
- 1/3 метастатические
- 1/3 прочие
Возраст:
- Дети - лейкозы, лимфомы, анапластические опухоли, опухоли сосудистого сплетения, тератомы, краниофарингиомы, эпендимомы, медуллобластомы
- Взрослые - глиобластомы, астроцитомы, внеосевые -менингиомы, шванномы, ЗЧЯ - гемангиобоастома
- Пожилые - метастазы, глиобластома
Локализация:
- Супратенториальная (выше намета мозжечка - полушария мозга)
- Инфратенториальная (ниже намета мозжечка - стволовые структуры, задняя черепная ямка) - эпендимома, субэпендимома, папиллома сосудистого сплетения, центральная нейроцитома, менингиома, коллоидная киста (неопухолевое заболевание)
- Особые типы - селлярно-параселлярная (турецкое седло и вокруг него), мосто-мозжечковый угол, шишковидная железа.
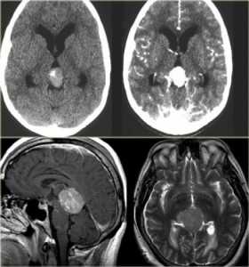
МРТ головного мозга. Сагиттальная и аксиальная Т1-взвешенные МРТ, аксиальная Т2-взвешенная МРТ и аксиальные КТ и Т1-взвешенная МРТ с контрастированием. Гигантоклеточная астроцитома с кальцификацией - внутрижелудочковая опухоль.

КТ и МРТ головного мозга. Аксиальные КТ до и после контрастировали, сагиттальная МРТ с контрастировавшем, аксиальная Т2-взвешенная МРТ головного мозга. Герминома (КТ и МРТ)- опухоль области шишковидной железы

МРТ головного мозга. Аксиалные Т2-взвешенная МРТ и Т1-взвешенная МРТ с контрастированием.Шваннома (невринома), кистозная форма, правого ММУ.
Краниофарингеома (КТ) - опухоль области турецкого седла.
Тип распространения:
- На противоположное полушарие - глиобластома, низкодифференцированнная астроцитома
- По ликворным путям - олигодендроглиома, эпендимома, лимфома, примитивные нейроэктодермальные опухоли (у детей), медуллобластома, пинеобластома
- Вовлечение коры - олигодендроглиома, ганглиоглиома, дисэмбриопластическая нейроэпителиома

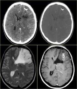
КТ и МРТ головного мозга. Аксиальные КТ, Т2-взвешенные МРТ и МРТ головного мозга с контрастировавшем. Вовлечение коры при олигодендроглиоме.
Множественность:
При МРТ головного мозга множественность очагов типична для метастазов (30-50%), глиобластом (5%), опухолей при факоматозах.
МРТ головного мозга. Аксиальные Т1-взвешенные МРТ с контрастировавшем. Множественные метастазы и двухстроронние шванномы при нейрофиброматозе тип 2.
Внутренняя структура:
- Кальцификация видимая при КТ и хуже МРТ головного мозга - олигодендроглиомы (90%), краниофарингеома (90%), астроцитомы (20%), эпендимома (50%), папиллома сосудистого сплетения (25%), ганглиоглиома (40%), менингиома (20%), редко - метастазы, хордомы, хондросаркомы
МРТ и КТ головного мозга. Кальцинаты в олигодендроглиоме
- Неоднородная структура на МРТ головного мозга может быть за счет - некроза : метастазы, глиобластомы; кровоизлияния: метастазы, апоплексия аденомы гипофиза
Контрастирование:
Почти всегда наблюдается при МРТ головного мозга, кроме микроаденом гипофиза и доброкачественных астроцитом. Неоднородность при МРТ головного мозга с контрастировавшем происходит за счет некроза, кистозной дегенерации, кальцинатов.

МРТ головного мозга с контрастированием. Кистозная астроцитома.
Диффузия:
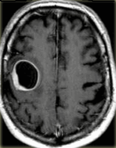
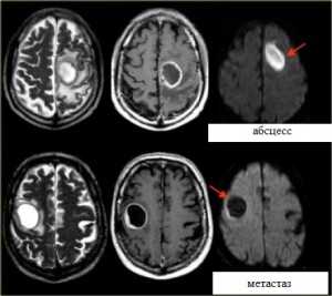
Яркие очаги на диффузионное-взвешенных МРТ изображениях характерны для абсцессов, эпидермоидных кист, и острого инсульта. Опухоли имеют низкий сигнал на ДВИ МРТ головного мозга.

МРТ головного мозга. Аксиальные Т2-взвешенные МРТ, Т1-взвешенные МРТ с контрастировавшем и ДВИ МРТ.
МРТ и КТ при раке головного мозга - что покажет

МРТ головного мозга с контрастом, КТ головного мозга с контрастом являются аппаратными методами диагностики рака головного мозга. Исходя из первичных симптомов, истории болезни, противопоказаний и диагностических целей, врач невролог назначает необходимые способы обследования.
В большинстве случаев, МРТ головного мозга с контрастом выбирается как первичный метод диагностики. Если результаты исследования носят тревожный или неясный характер, дополнительно назначается:
Рак головного мозга - это злокачественное новообразование в головном мозге. Рак отличается от доброкачественной опухоли головного мозга тем, что имеет тенденцию к более быстрому росту и образованию метастазов. Злокачественные опухоли головного мозга могут затрагивать небольшие или большие участки мозга, а тяжесть основного заболевания может варьироваться от незначительной до угрожающей жизни. Патологии чаще всего обнаруживается при визуализации мозга, например, при магнитно-резонансной томографии головного мозга или компьютерной томографии головного мозга. На КТ или МРТ злокачественные опухоли мозга выглядят как темные или светлые пятна, которые не похожи на нормальную ткань мозга. Если поражение головного мозга обнаружено при МРТ или КТ исследовании рентгенолог может порекомендовать обратиться к неврологу или онкологу для проведения специализированного обследования и сдачи дополнительных анализов и рекомендовать дальнейшие обследования для постановки диагноза или последующие визуализационные исследования - чаще всего это:
- МРТ головного мозга с контрастом
- КТ головного мозга с контрастом
- ПЭТ-КТ
- ПЭТ-МРТ.
Симптомы рака головного мозга
Симптомы злокачественной опухоли головного мозга зависят от того, где она находится. Общие симптомы включают:
- головные боли (чаще беспокоят по утрам, при кашле или натуживании);
- судороги;
- рвота;
- проблемы с памятью или изменения личности;
- слабость;
- проблемы со зрением или речью, которые ухудшаются.
Типы опухоли головного мозга
Выделяют несколько типов опухолей головного мозга. Как правило, их названия соответствуют той области мозга, где они расположены. Также они классифицируются по темпу роста и степени злокачественности. Чем выше число, тем серьезнее опухоль:
- Опухоли головного мозга 1 и 2 степени - это доброкачественные опухоли, которые имеют тенденцию к довольно медленному росту.
- Опухоли головного мозга 3 и 4 степени - это раковые злокачественные опухоли, которые растут быстрее и труднее поддаются лечению.
Опухоли головного мозга также могут быть первичными (начинаются в головном мозге) и вторичными (распространяются на мозг из другого органа).
МРТ и КТ в диагностике рака головного мозга
Пациент должен незамедлительно обратиться к неврологу, если у него есть симптомы опухоли головного мозга, которые не проходят или ухудшаются в течение некоторого времени. Наличие вышеперечисленных симптомов характерно для многих других неврологических заболеваний и не обязательно означает, что это рак мозга, но их следует проверить как можно быстрее. Для дифференциальной диагностики потребуется сделать МРТ головного мозга с контрастом. Данные магнитно-резонансной томографии позволяют провести диффернециальную диагностику рака головного мозга от других поражений мозга:
- аневризма головного мозга
- артериовенозная мальформация
- доброкачественная опухоль головного мозга
- энцефалит
- эпилепсия
- гидроцефалия
- рассеянный склероз
- инсульт
- травматическое повреждение головного мозга.
КТ часто используется как дополнительное обследование для стадирования рака головного мозга и выявления локации метастаз рака головного мозга в костных структурах, огранках грудной клетки и брюшной полости.
Разница между МРТ и КТ
Компьютерная томография и магнитно-резонансная томография используются для получения изображений органов и тканей в трехмерной проекции. Разница в томографии заключается в том, что при МРТ используются радиоволны, а при КТ - рентгеновские лучи для получения изображения. Хотя оба томографических метода имеют высокую информативность, есть диагностические различия, которые могут сделать каждый из них более подходящим вариантом в зависимости от обстоятельств.
КТ-сканирование более быстрая форма диагностики, чем магнитно-резонансная томография, и обычно используется для экстренного обследования. При использовании как КТ, так и МРТ существуют определенные риски. Они зависят от типа визуализации, а также от способа ее проведения. К рискам КТ относятся: вред для внутриутробного ребенка при беременности и доза радиации. Риски МРТ включают реакции на металлические импланты в теле из-за сильного магнитного поля, громкий шум от аппарата, повышенная, клаустрофобические риски.
Если врачу нужны более детальные изображения мягких тканей, связок или органов высоким состоянием воды, обычно назначается магнитно-резонансная томография. Если необходимо получить хорошие изображение костных структур и полых органов, обычно рекомендуется компьютерная томография.
Лечение злокачественных опухолей головного мозга
Лечение опухоли головного мозга направлено на то, чтобы удалить как можно большую часть опухоли и попытаться предотвратить ее повторное появление. Основные методы раковой терапии:
- Хирургическое лечение - при операции делается трепанация черепа, проводится резекция опухоли, а затем отверстие в черепе закрывается костной тканью.
- Лучевая терапия - облучение от внешнего аппарата используется для уничтожения раковых клеток мозга после операции.
- Химиотерапия - лекарственные препараты используются для уничтожения раковых клеток после операции или облегчения симптомов, если опухоль не может быть удалена хирургическим путем.
- Радиохирургия - множество лучей радиации направлено на раковое образование для уменьшения его роста.
- Имплантаты кармустина (глиальные пластины) - новый способ проведения химиотерапии для некоторых раков головного мозга высокой степени злокачественности.
Также может использоваться симптоматическая терапия для облегчения таких симптомов, как головные боли, судороги, тошнота, рвота.
Побочные эффекты лечения
У некоторых людей, перенесших злокачественную опухоль головного мозга, спустя месяцы или годы после лечения могут развиться побочные эффекты, такие как:
- катаракта;
- эпилепсия;
- проблемы с мышлением, памятью, языком;
- инсульт.
После лечения у некоторых онкологических больных могут возникнуть длительные проблемы, такие как:
- судорожные припадки;
- трудности при ходьбе;
- проблемы с речью.
В такой ситуации, возможно, потребуется трудотерапия и физиотерапия, чтобы помочь больному адаптироваться к любым возникшим осложнениям. Чтобы снизить риск инсульта, важно вести здоровый образ жизни, который предполагает отказ от курения, соблюдение сбалансированной диеты и регулярные физические упражнения.
Перспективы лечения рака головного мозга
Перспектива успешного лечения злокачественной опухоли головного мозга зависит от ряда факторов: ее расположения в головном мозге, размера и степени. Чем раньше обнаружено новообразование, тем лучше прогноз для пациента. Иногда рак можно вылечить, если он был обнаружен на ранней стадии, но часто опухоль головного мозга возвращается, что требует повторной терапии, или иногда ее невозможно удалить.
Читайте также:
