КТ, МРТ при сиалоцеле полости рта
Добавил пользователь Евгений Кузнецов Обновлено: 01.01.2026
Компьютерная томография костей черепа - исследование довольно распространённое. Однако при некоторых болезнях могут потребоваться прицельные снимки отдельных костей черепа.
Об особенностях одного из таких исследований - компьютерной томографии височных костей - мы беседуем с врачом-рентгенологом «Клиника Эксперт» Курск Романом Александровичем Строковым.
— Роман Александрович, где расположены височные кости и какова их функция?
— Они расположены в области основания черепа и участвуют в образовании его боковой части. В височных костях находится орган слуха и равновесия. Кроме того, в костных каналах височных костей проходят такие важные нервные структуры, как лицевой и преддверно-улитковый нервы, находится узел тройничного нерва.
— Что может стать поводом для КТ височных костей? При каких заболеваниях эффективна эта диагностика?
— Компьютерная томография височных костей - это методика, которая проводится по специальному протоколу. Это помогает хорошо детализировать все анатомические образования, которые располагаются в височной кости. Поэтому на КТ височных костей врачи направляют пациентов с поражениями органа слуха и равновесия, с черепно-мозговой травмой (ЧМТ), когда, в частности, предполагается перелом основания черепа.
Также исследование рекомендуют больным с неврологической симптоматикой, которая соответствует поражению нервов, расположенных в височных костях. КТ височных костей может быть нужна и при планировании хирургического лечения, например, по поводу такого заболевания, как отосклероз. Это делают, чтобы оценить анатомические особенности височной кости у конкретного пациента и подобрать соответствующий кохлеарный протез (протез улитки внутреннего уха).
Информативна КТ височных костей и при воспалительных процессах уха (острых и хронических отитах), травмах, опухолях этой области.
Читайте материалы по теме:
— Что показывает КТ височных костей?
— На КТ-снимке мы наблюдаем структуры наружного, среднего и внутреннего уха (слуховые косточки, конфигурацию слухового прохода). Кроме того, можно оценить костные элементы, а также воздушные полости височной кости на предмет нарушения их пневматизации (заполнения воздухом). На основании этих данных мы делаем вывод, являются ли выявленные изменения причиной недуга, который беспокоит пациента.
— Роман Александрович, расскажите, пожалуйста, как делают КТ височных костей
— Стандартное исследование височных костей проводится без контрастирования (то есть без использования контрастного препарата). Пациент заходит в кабинет, проходит инструктаж, раздевается, ложится на стол томографа и неподвижно лежит на протяжении всей процедуры. Она обычно занимает несколько минут.
Томограф оборудован средствами связи с персоналом. Если во время исследования у пациента возникают неприятные ощущения или ухудшается самочувствие, он может сообщить об этом сотрудникам.
По окончании сканирования врач-рентгенолог проверяет качество полученных изображений и их информативность. На руки пациент получает снимки на плёнке, диск с записью процедуры и заключение врача.
— Нужно ли готовиться к этой процедуре?
— Специальной подготовки к КТ височных костей не предусмотрено. Единственное условие - пациент должен снять с наружного уха все металлсодержащие украшения.
— Каковы противопоказания к этому методу исследования?
— КТ височных костей, как и компьютерную томографию любой другой зоны, не рекомендуется делать беременным и детям из-за ионизирующего излучения.
— А есть ли случаи, при которых проводить это исследование беременным или детям можно?
— Детям его выполняют по необходимым показаниям и тогда, когда другие методы диагностики и данные клинического осмотра не дают достаточной информации для постановки диагноза. Чаще всего показаниями для того, чтобы сделать КТ височных костей, являются:
- воспалительные заболевания уха, врождённые аномалии его развития;
- черепно-мозговая травма;
- планирование оперативного лечения.
Беременным это исследование проводят строго по показаниям, если имеется угрожающее жизни состояние.
— Нужно ли направление для того, чтобы пройти это исследование?
— Я считаю, что направление на компьютерную томографию желательно иметь всегда, причём не только детям, но и взрослым. Почему? Потому что в направлении лечащий врач (оториноларинголог, сурдолог, терапевт, травматолог) указывает предварительный диагноз, поставленный на основании проведённого обследования. И для подтверждения или опровержения своего мнения направляет на компьютерную томографию. Например, врач подозревает у пациента воспалительный процесс в среднем или внутреннем ухе и указывает это в направлении. То есть перед врачом-рентгенологом ставится вопрос, есть воспаление или нет. Соответственно, врач-рентгенолог должен ответить на этот вопрос, прицельно описывая изменения в интересующих лечащего врача структурах.
К нам в клинику пациенты на КТ височных костей приходят в подавляющем большинстве случаев с направлением. Если же пациент приходит самостоятельно, рентгенологу сложно дать внятный ответ. Часто такое исследование в последующем недостаточно информативно для лечащего врача.
Беседовала Севиля Ибраимова
Записаться на КТ височных костей можно здесь
ВНИМАНИЕ: услуга доступна не во всех городах
Редакция рекомендует:
Для справки:
Строков Роман Александрович
Выпускник лечебного факультета Ташкентской государственной медицинской академии 2011 года
В 2012 году завершил обучение в интернатуре по направлению «Рентгенология»
В настоящее время занимает должность врача-рентгенолога «Клиника Эксперт» Курск Принимает по адресу: ул. Карла Либкнехта, д. 7
Другие статьи по теме
Когда необходима КТ головного мозга? Как её проводят? Насколько безопасно такое исследование? Не только МРТ. Что покажет КТ головного мозга?
Доктор направил вас на МСКТ для определения количества кальция в артериях сердца. МСКТ для определения коронарного кальция: что это за исследование?
Компьютерная томография органов грудной клетки (КТ ОГК) - один из современных методов. КТ органов грудной клетки: что покажет и как поможет пациенту?
КТ, МРТ при сиалоцеле полости рта
или позвоните по телефону
Наши консультанты помогут в выборе клиники
Другие статьи
Простой способ предотвратить сахарный диабет, мигрень, гипертонию и остеопороз
Речь пойдёт о магнии в пище, воде и добавках. Это элемент, который широко.
Самое эффективное упражнение от простатита и аденомы: средство от ветерана
История, которую я сейчас рассказываю, основана на реальных событиях. Есть у.
Диагностика здоровья во время мобилизации
Что делать, если во время пребывания в запасе человек серьезно заболел, но не.
Кто попадает под мобилизацию по здоровью?
Имеют место случаи, когда в военном билете призывника отмечена основная.
Инсульт, который не видно на КТ
Важно понимать, что МРТ и КТ это принципиально разные исследования. И данный.
Записаться на МРТ головного мозга
Средняя цена
МРТ головного мозга от 3500 руб
Вам может быть интересно
Люди, занимающиеся спортом на профессиональном или любительском уровне, находятся в зоне риска. Этот вид деятельности находится на первом месте по числу травм острого и хронического характера. Особенно страдает опорно-двигательный аппарат, так как на него ложится основная нагрузка, приходятся прямые удары и другие приложенные силы, которые тело не всегда способно конструктивно выдержать.
Треть жизни офисного работника проходит в сидячем положении за компьютером. Такие люди редко успевают перекусить, ежедневно пребывают в стрессе и часто берут на себя больше обязанностей, чем могут осилить.
Травматизм стоит на первом месте в списке заболеваемости людей. Он считается главной причиной первичной инвалидности и гибели взрослого населения трудоспособного возраста, а также детей. Зачастую наивысший уровень травматизма приходится: у женщин на возраст от 30 до 59 лет и у мужчин в период с 20 до 49 лет.
В 2020 году мир поразила новая инфекция зооморфного бета-коронавируса COVID-19. Эта инфекция, передающаяся воздушно-капельным путем быстро достигла масштабов пандемии. Она опасна тяжелыми осложнениями, некоторые из них носят длительный характер и получили название "постковидный синдром".
Существует около 10 теорий этиологии остеохондроза. Они связаны с патологиями сосудов, гормональным дисбалансом, аутоиммунными процессами, повышенными механическими нагрузками, наследственной предрасположенностью. При юношеской форме этиофакторами становятся: быстрый рост, поднятие тяжестей, врожденная или приобретенная недостаточность хрящевой ткани, гиподинамия, неравномерные нагрузки.
Творческими способностями называется умение придумывать нестандартные или принципиально новые идеи, применять для решения задач привычные вещи необычным способом. Креативность является важным качеством при приеме на работу. Такие люди лучше ориентируются в разных обстоятельствах, легче воспринимают новое.
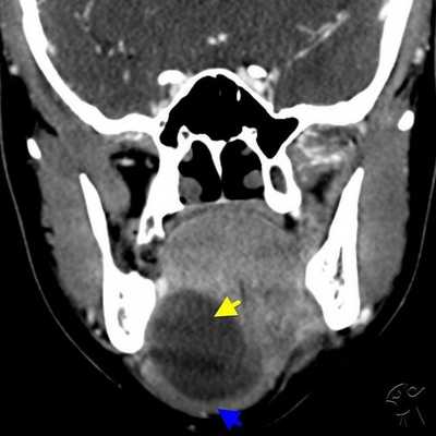
Для выявления болезней слюнных желез (сиалоаденит, синдром Шегрена, закупорка протоков камнями) применяются лучевые методы - КТ, МРТ, УЗИ. Специфичность компьютерной томографии при нозологических формах около 100%, достоверность - 98%. Показатели высокие для достоверной верификации патологии околоушных, подчелюстных желез. Ограничивает повсеместное применение метода радиационное облучение. Разовая обследование не приносит вреда, но не рекомендуется делать сканирование часто (за исключением верификации новообразований).
МР-томография хорошо дифференцирует изменения железистых структур. Стоимость оборудования и техническое обслуживание высокое. Установлены аппараты в крупных мегалополисах, что снижает доступность исследования для населения.

КТ-сиалография применяется при остром и хроническом течении слюннокаменной болезни, сиалоаденита, паротита, паротите Шегрена. Способ позволяет правильно поставить диагноз, выявить локализацию, распространенность, стадию патологического процесса.
Синдром Шегрена проявляется поражением тканей организма компонентами собственной иммунной системы (антитела). Вначале воспалительный процесс по клинике подобен паротиту. Заподозрить запущенный процесс позволяет появление псевдолимфом, лимфоаденопатия, являющиеся маркерами для назначения гормонального лечения. Терапия снижает скорость прогрессирования.
Показания к КТ сиалографии
Назначается КТ ротовой полости, пазух, слюнных желез только при невозможности получения диагностической информации другими нерадиационными методами.
Показания к КТ-сиалографии:
- Увеличение подчелюстной, околоушной области;
- Онемение лица при жевании;
- Частые гнойные ангины;
- Подозрение на рак слюнной железы;
- Аномалии лицевого скелета.
Ранняя диагностика опухоли повышает выживаемость пациентов. Своевременная верификация новообразования позволяет хирургам провести радикальное иссечение образования с высокими шансами на полное излечение.
КТ-признаки слюннокаменной болезни
Отечность, увеличение околоушной и поднижнечелюстной областей, не проходящие после приема фармацевтических препаратов - показание к лучевой диагностике. Симптомы обуславливает не только сиалоаденит. Слюннокаменная закупорка (сиалолитиаз) определяется после КТ-сиалографии по следующим признакам:
- Увеличение размеров поврежденного органа;
- Сохранение однородности структуры;
- Расширение протока.
Дополнительно врач лучевой диагностики укажет плотность ткани. Признак является дифференциальным маркером определения эффективности проводимой терапии с целью отслеживания динамики на повторных томограммах.
Повышается информативность применением дигитальной субтракционной сиалографии - контрастирование (введение йодсодержащего препарата) протоков с последующей рентгенографией в двух проекциях. Обследование в российской медицине не распространено. Применяется научными институтами, но европейские специалисты активно используют возможности анализа в клинических целях.
Тонкосрезовая СКТ головы и слюнных желез с трехмерным моделированием (3D) создает пространственную структуру, с помощью которой врачи устанавливают внутрипротоковое расположение камня.
Применение обследования помогает обнаружить аденокарциному слюнной железы - злокачественную опухоль, склонную к быстрому прогрессированию, прорастанию близлежащих тканей. Онкология чаще обнаруживается случайно, так как не имеет специфических внешних признаков.
КТ-проявления болезни Шегрена
Аутоиммунное поражение железистой ткани сопровождается симметричным изменением органов (с обеих сторон). Использование КТ-сиалографии позволяет выявить специфические проявления нозологии:

- Зернистость поднижнечелюстной и околоушной железистой ткани;
- Снижение плотности;
- Шейная лимфаденопатия;
- Псевдолимфомы;
- Уменьшение размеров слюнных желез.
К аутоиммунному поражению может присоединяться бактериальная или грибковая инфекция околоушно-жевательной области. Томограммы показывают аналогичные нарушения жевательной мышцы, крыловидного пространства, поднижнечелюстной полости.
Сиалография при раке
Отечность, онемение жевательной мышцы при открывании рта, боль челюсти во время жевания пищи могут появляться при раке. Процент встречаемости доброкачественных железистых образований выше, чем злокачественных аналогов.
Компьютерная сиалография с 3D-реконструкцией позволяет изучить образование в пространственном представлении. Диагностическая информация важна специалистам для определения, сколько живут люди с опухолями слюнной железы. Чем крупнее злокачественное образование, тем выше вероятность летального исхода в ближайшие 5-10 лет. Только ранняя верификация и грамотное хирургическое иссечение опухолевого узла навсегда избавляет от смертельной опасности.
Как проходит компьютерная томография слюнных желез
Длительность сканирования не превышает 30 минут. На высокопольных аппаратах (с высоким магнитным полем) процедура занимает 5-10 минут. Если планируется введение контраста, за 4 часа до исследования исключается употребление пищи и прием жидкости.
Во время КТ пазух носа, головного мозга пациент лежит на столе неподвижно. Все остальные манипуляции выполняет оборудование - продвигается в диагностический тоннель, делает томограммы через нужное количество миллиметров.
Описание врач лучевой диагностики формирует примерно через 1 час после анализа серии снимков. При желании записать томограммы можно на оптический диск для предоставления лечащему врачу или анализа другим независимым специалистом.
Звоните нам по телефону 8 (812) 241-10-46 с 7:00 до 00:00 или оставьте заявку на сайте в любое удобное время
До внедрения 3D КТ зубов в СПб ортопантомография была ведущим методом исследования зубов, челюсти, ротовой полости. Преимущества КТ - это трехмерное моделирование исследуемой области, позволяющее с максимальной точностью исследовать каждый миллиметр ткани на пространственном снимке. Челюстно-лицевые хирурги, стоматологи на 3D-модели оценивают характер патологии, выбирают тактику лечения.
Золотым стандартом стоматологической диагностики считают конусно-лучевые томографы. Оборудование позволяет детально изучить полость рта, но не указывает мелкие детали при сравнении с КТ головы.
Цифровой рентгеновский снимок - плоскостное изображение. Трехмерная компьютерная томограмма - модель зубочелюстной системы, помогающая прогнозировать ход имплантации, протезирования, грамотно удалить поврежденные зубы. Низкое облучение позволяет применять сканирование у детей, подростков для обнаружения непрорезавшихся зачатков, выявления аномалий.
КТ сканирование всей ротовой полости - как проходит

Послойная визуализация объекта обеспечивается за счет рентгеновских срезов, которые оборудование делает через заданное количество миллиметров. Мультиспиральные томографы (МСКТ) оснащены несколькими головками, выполняют сканирование быстрее даже при шаге 1 мм. Томограммы характеризуются высоким разрешением, позволяющим обнаружить мельчайшие воспалительные полости (кисты, абсцессы).
Нативное КТ сканирование всей полости рта безболезненно, неинвазивно. Длительность исследования не превышает 10 минут. Сканы обрабатываются программным приложением с формированием 3D-модели. Трехмерный цифровой снимок челюсти позволяет во всех ракурсах рассмотреть зубочелюстную систему.
Рентгеновское исследование на конусно-лучевом томографе выполняется стоя. Подходит для пациентов с фобиями замкнутых помещений. При сравнении с КТ-обследованием не позволяет получить истинные размеры. Рентгеновская ортопантомография сопровождается большей лучевой нагрузкой, поэтому постепенно утрачивает диагностические позиции.
Дентальная компьютерная томография - что показывает
Применение компьютерной томографии челюсти помогает стоматологам и челюстно-лицевым хирургам диагностировать:
- Инфекции (острые и хронические);
- Переломы;
- Аномалии челюстной системы;
- Выявление непрорезавшихся зубов;
- Необъяснимый болевой синдром в полости рта;
- Выявить новообразования лицевой области;
- Изменения после эндодонтических вмешательств;
- Инородные тела.
Обследование используется при планировании имплантации, протезирования, операций по удалению опухоли. Составление грамотного плана лечения без КТ-сканирования невозможно.
Полную информацию о состоянии верхней или нижней челюсти получают с томографией в 3-ех проекциях - поперечная (аксиальная), вертикальная (сагиттальная), фронтальная.
Цена сканирования зависит от обширности сканирования - одна или две стороны, нужно ли изучать дополнительные органы - околоносовые пазухи, височно-нижнечелюстной сустав.
Экстренную дентальную диагностику рационально проводить на мультиспиральном компьютерном томографе (МСКТ) с целью изучения кровоснабжения черепа, мозга, выявления воспаления околоносовых полостей. Процедура используется перед планированием сложных реконструктивных операций.
Пространственное ремоделирование помогает имплантологу правильно определить тип имплантата, форму протеза для оптимального приживления.
Преимущества компьютерного сканирования рта

Тонкосрезовое КТ пазух носа, челюсти вытесняет рентгеновские методы не только из-за снижения лучевого облучения. Если использовать компьютерную томографию, удается визуализировать не только кости, но и мягкотканый компонент, воспалительные очаги. Четкость снимка помогает изучить самые тонкие детали, обнаружить мелкие трещины зубов, пародонта. Изучение во многих плоскостях 3D-модели с масштабированием один к одному показывает истинные размеры объекта.
Минимальный уровень радиации позволяет использовать томографию у детей. Выполнение следует согласовать с доктором.
Где делают КТ ротовой полости
Специализированные клиники Санкт-Петербурга предлагают услугу по доступной цене. Частных центров СПб, где можно сделать КТ орбиты глаза, зубов более 50-ти. Пациентам предлагается сканирование на современных высокопольных аппаратах с высоким разрешением, открытых установках.
У жителей столицы затруднений с выбором решения, где сделать дентальную томографию челюсти не возникает. Предложений клиник более сотни. Вопрос лишь в цене и качестве. Стоимость колеблется от одной до восьми тысяч российских рублей. Ценовой диапазон зависит от оборудования, вида исследования, комплекса услуг (расшифровка врачом, запись срезов на оптический диск).
Перед выполнением обследования рекомендуем ознакомиться с противопоказаниями:
- Беременность;
- Боязнь замкнутых пространств;
- Предыдущие лучевые исследования с высокой дозой.
Индивидуальные показания определит лечащий врач.
Относительное ограничение - невозможность сохранения неподвижного положения. Из-за присутствия ионизирующего излучения врачи лучевой диагностики не рекомендуют делать дентальную томографию через короткие промежутки времени. Даже от минимальной дозы сохраняется вероятность мутации генетического аппарата. Повторные исследования повышают риск.
В заключение укажем, что при планировании имплантации сложно обойтись без КТ-срезов с трехмерной картиной, необходимой для точных замеров. Метод практикуется отоларингологами, челюстно-лицевыми хирургами, стоматологами.
Перед проведением любого рентгеновского метода нужно тщательно оценить состояние здоровья, выявить показания и противопоказания. С данными задачами справится только квалифицированный специалист!
МРТ зубов что показывает

Магнитно-резонансную томографию рекомендуют использовать для определения состояния рыхлых структур, клетки которых содержат большое количество воды. МРТ зубов практически не назначают по причине низкой информативности исследования в отношении твердых тканей (дентина, эмали).

Снимок МРТ правого височно-челюстного сустава
Метод основан на явлении магнитного резонанса. В ответ на направленное действие индукционного поля атомы водорода в диполях воды меняют положение. Чувствительные детекторы считывают отклик и передают информацию на компьютер для дальнейшей обработки. С помощью программного обеспечения полученные данные преобразуют в серию послойных изображений сканируемой зоны.
Делают ли МРТ зубов?
Магнитно-резонансную томографию челюстно-лицевой области назначают при наличии у пациента противопоказаний к рентгенографии и КТ. Методы, основанные на применении ионизирующего излучения, обладают большей информативностью в отношении зубов и костей.
Показаниями к проведению инструментального исследования челюстно-лицевой области служат:
- асимметрия лица, нарушения прикуса;
- зубная боль неясной этиологии;
- щелчки, хруст при открывании/закрывании рта;
- боль при жевании;
- кровоточивость десен;
- патологические пародонтальные карманы с гнойным отделяемым;
- наличие ретинированных зубов;
- нарушения речи, жевательной функции;
- травмы лица и височно-нижнечелюстного сустава (ВНЧС);
- патологическая подвижность зубов;
- парезы лица и пр.
Аппаратную диагностику используют в сложных случаях, когда другие методы оказываются малоэффективными.
При наличии у пациента коронок, штифтов и других конструкций, выполненных из металлов группы ферромагнетиков, МРТ зубов не назначают. Данное ограничение связано с физическими свойствами индукционного поля. Направленный импульс воздействует на ферромагнитные металлы, что приводит к возникновению неприятных ощущений во время процедуры и может вызвать поломку дорогостоящего диагностического оборудования.
Пациентам следует предупредить врача о наличии эндопротеза, желательно принести документы, где указаны материалы изготовления. Конструкции из титана, золота, серебра и других диа- и парамагнитных металлов, расположенные в зоне интереса, влияют на качество послойных изображений и способствует появлению артефактов на снимках.

Снимок МРТ височно-нижнечелюстного сустава
Магнитно-резонансная томография противопоказана пациентам с вживленными электронными приборами (кардиостимуляторами, инсулиновыми помпами и пр.). При наличии у больного татуировок, выполненных металлсодержащими красками, метод не используют.
Выбор способа диагностики стоматологических патологий зависит от клинической картины и имеющихся у пациента ограничений. Лечащий врач учитывает особенности течения процесса, состояние больного и решает, стоит ли делать МРТ зубов.
Какие заболевания челюсти выявляет МРТ?
Магнитно-резонансная томография позволяет диагностировать воспалительные, дегенеративные, дистрофические процессы. Метод применяют для определения характера кровоснабжения нижней, верхней челюсти и ВНЧС, уточнения локализации новообразований.
С помощью МРТ выявляют:
- прикорневые гранулемы, кисты;
- периоститы;
- абсцессы, флегмоны челюстно-лицевой области;
- доброкачественные и злокачественные опухоли;
- травматические повреждения мягких тканей лица и ротовой полости;
- остеомиелиты;
- врожденные и приобретенные аномалии строения челюстей и сочленений;
- нарушения прорезывания зубов;
- сосудистые заболевания;
- артрит, синовит височно-нижнечелюстного сустава;
- артроз;
- патологические состояния лицевых нервов (неврит, невралгия);
- миозиты и др.
В диагностике новообразований и для оценки состояния кровеносных сосудов челюстно-лицевой системы применяют МРТ с контрастным усилением. В качестве «окрашивающего» вещества используют раствор гадолиния. Препарат заполняет кровеносное русло и межклеточное пространство, визуализируя малейшие изменения сосудистой системы и показывая образования размером от 3 мм.
Как делают МРТ зубов?
Пациенту предлагают лечь на передвижной стол томографа, голову фиксируют при помощи валиков. Во время сканирования следует сохранять первоначальное положение тела, что позволит избежать появления дефектов на послойных изображениях.

Процедура МРТ на томографе закрытого типа
Защиту от шума работающего устройства обеспечивают наушники, в руке у пациента находится тревожная кнопка, при нажатии которой исследование будет приостановлено. Медицинский персонал располагается в соседнем помещении, связь с больным поддерживают через размещенный в трубе томографа микрофон.
Стол с обследуемым перемещается в широкий тоннель, где установлен генератор магнитного поля. Сканирование проводят в трех взаимно перпендикулярных плоскостях, на основании полученных снимков специалист может реконструировать 3D-модель ротовой полости и височно-нижнечелюстного сустава.
При использовании контрастного усиления сначала делают серию нативных снимков. Затем исследование приостанавливают, пациенту с помощью катетера, соединенного с автоматическим инъектором, вводят раствор гадолиния и продолжают сканирование.
Сеанс МРТ занимает от 15 до 20 минут. При использовании контраста процедура длится около получаса.
Расшифровка фото снимков МРТ зубов
Послойные фотографии позволяют оценить состояние рыхлых структур ротовой полости, челюстно-лицевой зоны, ВНЧС. Снимки МРТ не дают визуализации строения твердых тканей зуба. По результатам сканирования врач описывает:
- особенности прикуса;
- состояние мягкотканных структур полости рта;
- глубину пародонтальных карманов;
- расположение и размеры новообразований в области верхней и нижней челюсти;
- патологически измененные участки, воспалительные и деструктивно-дистрофические явления;
- ширину периодонтальной щели;
- степень атрофии альвеолярного отростка.
Пульпарная камера, корневые каналы слабо видны на снимках МРТ, особенно при наличии на зубах коронок и пломб.

МРТ головы в сагиттальной и аксиальной проекциях, стрелка указывает на образование в области нижней челюсти
Читайте также:
- КТ, МРТ при ecchordosis physaliphora
- Метотрексат при ревматических болезнях у детей
- Пример захвата радиоактивного фосфора при меланоме хориоидеи и цилиарного тела
- Нарушения слуха и вестибулярный аппарат при врожденной расщелине неба. Ложные расщелины
- Случай лечения гонартроза с протезированием синовиальной жидкости высокомолекулярным гиланом
