Одонтогенные опухоли и опухолеподобные образования. Фиброма полости рта.
Добавил пользователь Евгений Кузнецов Обновлено: 02.11.2025
Опухоли челюстей - новообразования челюстных костей, исходящие непосредственно из костной ткани или структур одонтогенного аппарата. Опухоли челюстей могут проявлять себя клинически болевым синдромом, деформацией кости, асимметрией лица, смещением и подвижностью зубов, нарушением функции ВНЧС и глотания, нередко - прорастанием в полость носа, верхнечелюстную пазуху, орбиту и т. д. Диагностика опухолей челюстей предполагает рентгенологическое обследование, КТ, сцинтиграфию; при необходимости консультации окулиста, отоларинголога, риноскопию. Лечение доброкачественных опухолей челюстей - только хирургическое (выскабливание, резекция фрагмента челюсти, удаление зубов); злокачественных - комбинированное (лучевая терапия и операция).
МКБ-10


Общие сведения
Опухоли челюстей - остеогенные и неостеогенные, доброкачественные и злокачественные новообразования челюстных костей. На долю опухолей челюстно-лицевой области приходится около 15% всех заболеваний в стоматологии. Опухоли челюстей могут возникать в любом возрасте, в т. ч. довольно часто они встречаются у детей. Опухоли челюстей разнообразны по своему гистогенезу и могут развиваться из костной и соединительной ткани, костного мозга, тканей зубного зачатка, околочелюстных мягких тканей.
По мере своего роста опухоли челюстей вызывают значительные функциональные нарушения и эстетические дефекты. Лечение опухолей челюстей представляет собой технически непростую задачу, требующую объединения усилий специалистов в области челюстно-лицевой хирургии, отоларингологии, офтальмологии, нейрохирургии.

Причины
Вопрос о причинности возникновения опухолей челюстей находится в процессе изучения. На сегодняшний день доказана связь опухолевого процесса со следующими состояниями:
- одномоментной или хронической травмой (ушибом челюсти, повреждением слизистой оболочки полости рта разрушенными кариесом зубами, зубным камнем, краями пломб, некорректно подогнанными коронками и протезами и пр.)
- длительно текущими воспалительными процессами (хроническим периодонтитом, остеомиелитом челюсти, актиномикозом, синуситами и т. д.)
- не исключается вероятность развития опухолей челюсти на фоне инородных тел верхнечелюстной пазухи: пломбировочного материала, корней зубов и пр.
- воздействием неблагоприятных физических и химических факторов (ионизирующего излучения, радиойодтерапии, курения и пр.).
Вторичные злокачественные опухоли челюстей могут являться метастазами рака молочной железы, предстательной железы, щитовидной железы, почки, результатом местного распространения рака языка и др. Рак челюсти может развиваться на фоне предраковых процессов - лейкоплакии полости рта, доброкачественных опухолей полости рта (папиллом), лейкокератоза и т. п.
Классификация
Среди опухолей челюстей различают одонтогенные (органоспецифические) новообразования, связанные с зубообразующими тканями, и неодонтогенные (органонеспецифические), связанные с костью. Одонтогенные опухоли челюстей, в свою очередь, могут быть доброкачественными и злокачественными; эпителиальными, мезенхимальными и смешанными (эпителиально-мезенхимальными).
- Доброкачественные одонтогенные опухоли челюстей представлены амелобластомой, обызвествленной (кальцифицирующейся) эпителиальной одонтогенной опухолью, дентиномой, аденоамелобластомой, амелобластической фибромой, одонтомой, одонтогенной фибромой, миксомой, цементомой, меланоамелобластомой и др.
- Злокачественные одонтогенные опухоли челюстей включают одонтогенный рак и одонтогенную саркому. К остеогенным опухолям челюстей относятся костеобразующие (остеомы, остеобластомы), хрящеобразующие (хондромы), соединительнотканные (фибромы), сосудистые (гемангиомы), костно-мозговые, гладкомышечные и др.
Симптомы опухолей челюстей
Доброкачественные одонтогенные опухоли челюстей
Амелобластома - наиболее частая одонтогенная опухоль челюстей, склонная к инвазивному, местно-деструирующему росту. Поражает преимущественно нижнюю челюсть в области ее тела, угла или ветви. Развивается внутрикостно, может прорастать в мягкие ткани дна полости рта и десны. Чаще проявляется в возрасте 20-40 лет.
В начальном периоде амелобластома протекает бессимптомно, однако по мере увеличения размеров опухоли возникает деформация челюсти, асимметрия лица. Зубы в области поражения часто становятся подвижными и смещаются, может отмечаться зубная боль. Опухоль верхней челюсти может прорастать в полость носа, гайморову пазуху, орбиту; деформировать твердое нёбо и альвеолярный отросток. Нередки случаи нагноения, рецидивирования и малигнизации амелобластомы. Клиническое течение таких опухолей челюсти, как амелобластическая фиброма и одонтоамелобластома, напоминает амелобластому.
Одонтома чаще возникает у детей в возрасте до 15 лет. Обычно опухоли имеют небольшие размеры, протекают бессимптомно, однако могут вызывать задержку прорезывания постоянных зубов, диастемы и тремы. Опухоли большой величины могут приводить к деформации челюсти, образованию свищей.
Одонтогенная фиброма развивается из соединительной ткани зубного зачатка; чаще возникает в детском возрасте. Рост опухоли медленный; локализация - на верхней или нижней челюсти. Одонтогенная фиброма обычно бессимптомна; в некоторых случаях могут отмечаться ноющие боли, ретенция зубов, воспалительные явления в области опухоли.
Цементома - доброкачественная опухоль челюсти, практически всегда спаянная с корнем зуба. Чаще развивается в области премоляров или моляров нижней челюсти. Протекает бессимптомно или с нерезко выраженной болезненностью при пальпации. Изредка встречается множественная гигантская цементома, которая может являться наследственным заболеванием.
Доброкачественные неодонтогенные опухоли челюстей
Остеома может иметь внутрикостный или поверхностный (экзофитный) рост. Опухоль может распространяться в верхнечелюстную пазуху, полость носа, глазницу; препятствовать припасовке зубных протезов. Остеомы нижнечелюстной локализации вызывают боль, асимметрию нижней части лица, нарушение подвижности челюсти; верхнечелюстной локализации - нарушения носового дыхания, экзофтальм, диплопию и другие нарушения.
Остеоид-остеома сопровождается интенсивным болевым синдромом, обостряющимся по ночам, во время приема пищи; асимметрией лица. При осмотре полости рта определяется выбухание кости (чаще в области премоляров и моляров нижней челюсти), гиперемия слизистой оболочки.
Остеобластокластома (гигантоклеточная опухоль челюсти) преимущественно встречается в молодом возрасте (до 20 лет). Развитие клинической картины характеризуется нарастанием боли в челюсти, асимметрии лица и подвижности зубов. Ткани над опухолью изъязвляются; образуются свищи; отмечается повышение температуры тела. Истончение кортикального слоя приводит к возникновению патологических переломов нижней челюсти.
Гемангиома челюсти сравнительно редко бывает изолированной и в большинстве случаев сочетается с гемангиомой мягких тканей лица и полости рта. Сосудистые опухоли челюстей проявляются повышенной кровоточивостью десен, кровотечениями из корневых каналов при лечении пульпита или периодонтита, из лунки при удалении зуба и пр. При осмотре может выявляться флюктуация, расшатанность зубов, синюшность слизистой оболочки.
Злокачественные опухоли челюстей
Злокачественные опухоли челюстей встречаются в 3-4 раза реже доброкачественных. При раке челюсти рано возникают боли, имеющие иррадиирующий характер, подвижность и выпадение зубов, возможны патологические переломы челюсти. Злокачественные опухоли челюстей разрушают костную ткань; прорастают околоушные и поднижнечелюстные железы, жевательные мышцы; метастазируют в шейные и поднижнечелюстные лимфоузлы.
Карцинома верхней челюсти может прорастать в глазницу, полость носа или решетчатый лабиринт. В этом случае отмечаются рецидивирующие носовые кровотечения, односторонний гнойный ринит, затруднение носового дыхания, головные боли, слезотечение, экзофтальм, диплопия, хемоз. При вовлечении ветвей тройничного нерва беспокоят оталгии.
Злокачественные опухоли нижней челюсти рано инфильтрируют мягкие ткани дна полости рта и щек, изъязвляются, кровоточат. Вследствие контрактур крыловидной и жевательной мышц затрудняется смыкание и размыкание зубов. Остеогенные саркомы отличаются стремительным ростом, быстро прогрессирующей инфильтрацией мягких тканей, асимметрией лица, нестерпимой болью, ранним метастазированием в легкие и другие органы.
Диагностика
В большинстве случаев опухоли челюстей диагностируются уже в поздних стадиях, что объясняется неспецифичностью симптоматики или бессимптомным течением, низкой онкологической настороженностью населения и специалистов (стоматологов, отоларингологов и др.). В выявлении опухолей челюстей могут помочь тщательный сбор анамнеза, визуальное и пальпаторное исследование мягких тканей лица и полости рта. Обязательным этапом диагностики является:
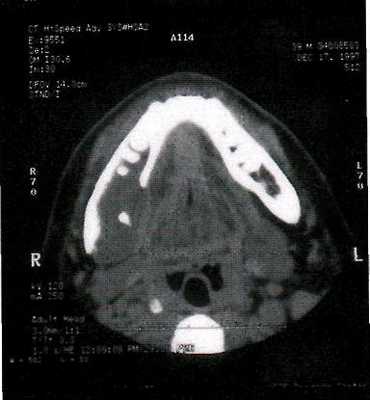
- Рентгенологическое обследование. Рентгенография и КТ челюстей, рентгенография и КТ придаточных пазух носа. Определенную диагностическую ценность может представлять сцинтиграфия, термография.
- Биопсия. При обнаружении увеличенных шейных или подчелюстных лимфоузлов выполняется пункционная биопсия лимфатического узла.
- Консультации смежных специалистов. При подозрении на злокачественную опухоль челюсти необходима консультация отоларинголога с проведением риноскопии и фарингоскопии; офтальмолога с комплексным офтальмологическим обследованием.
- Диагностические операции. В ряде случаев приходится прибегать к диагностической гайморотомии или диагностической пункции околоносовой пазухи с последующим цитологическим исследованием промывных вод. Окончательная гистологическая верификация осуществляется с помощью морфологического исследования биоптата.

Лечение опухолей челюстей
Лечение большей части доброкачественных опухолей челюстей - хирургическое. Наиболее оптимальным является удаление новообразования с резекцией челюстной кости в пределах здоровых границ; такой объем вмешательства позволяет предотвратить рецидивы и возможную малигнизацию опухоли. Зубы, прилегающие к опухоли, также часто подлежат экстракции. Возможно удаление некоторых доброкачественных опухолей челюстей, не склонных к рецидивированию, щадящим методом с помощью кюретажа.
При злокачественных опухолях челюстей используется комбинированный метод лечения: гамма-терапия с последующим хирургическим лечением (резекцией или экзартикуляцией челюсти, лимфаденэктомией, экзентерацией глазницы, операцией на околоносовых пазухах и пр.). В запущенных случаях назначается паллиативная лучевая терапия или химиотерапевтическое лечение.
В послеоперационном периоде, особенно после обширных резекций, больным может потребоваться ортопедическое лечение с помощью специальных шин, реконструктивные операции (костная пластика), длительная функциональная реабилитация для восстановления функций жевания, глотания, речи.
Прогноз
При своевременном и радикальном лечении доброкачественных одонтогенных и неодонтогенных опухолей челюстей прогноз для жизни хороший. В случае нерадикально выполненной операции или неправильной оценки характера опухоли есть вероятность рецидива или малигнизации. Течение злокачественных опухолей челюстей крайне неблагоприятное. При раке и саркоме челюсти пятилетняя выживаемость пациентов после комбинированного лечения составляет менее 20%.
Фиброма полости рта
Фиброма полости рта — это доброкачественное новообразование, состоящее из волокон зрелой соединительной ткани. Представляет собой четко отграниченный округлый узелок на ножке или широком основании, покрытый неизмененной слизистой. Характеризуется медленным экзофитным ростом. Фиброма полости рта может располагаться на внутренней поверхности щек, слизистой оболочке губ, мягком небе, деснах, языке. Диагностика фибромы полости рта производится путем осмотра, пальпации, УЗИ и гистологического исследования. Ортопантомограмма, рентгенография и пародонтограмма применяются для выявления воспалительных процессов, спровоцировавших образование фибромы. Лечение фибромы полости рта сводится к ее иссечению, для которого может быть использован лазер или радиоволновой нож.
Фиброма полости рта - опухоль мезодермальной природы. Наряду с папилломой, липомой, миомой, невусом и миксомой является доброкачественной опухолью полости рта. Встречаются опухоли смешанного строения - например, ангиофибромы. Разновидностью фибромы полости рта является эпулис. Наиболее часто фиброма встречается у детей от 6 до 15 лет. Локализуется в области десен, щек, губ, мягкого неба, языка.
К причинам образования фибромы полости рта клиническая стоматология относит травматический и воспалительный факторы, также прослеживается наследственная предрасположенность. Достаточно часто в анамнезе пациентов, имеющих фиброму полости рта, выявляется предшествующее ее появлению регулярное прикусывание одного и того же участка мягких тканей ротовой полости. К провоцирующим появление фибромы факторам относятся также травмирование слизистой острым зубным краем, плохо фиксированным протезом или коронкой; хронические воспалительные процессы ротовой полости (гингивит, стоматит, пародонтит, глоссит и т. п.).
- Плотная фиброма полости рта имеет плотную консистенцию, обусловленную тем, что состоит она из грубых соединительнотканных волокон, содержащих малое количество ядер и плотно прилегающих друг к другу. Обычно располагается на твердом небе и в области десен.
- Мягкая фиброма имеет мягкую консистенцию благодаря тому, что образована тонкими рыхло расположенными соединительнотканными волокнами с большим числом ядер. Частая локализация мягкой фибромы полости рта — слизистая языка и щек. На языке и слизистой дна полости рта иногда встречаются новообразования смешанного типа — фиброгемангиома, фибролипома и т. п.
- Фиброма от раздражения не является истинной опухолью, а представляет собой результат гиперплазии реактивного характера, развивающейся в ответ на хроническое раздражающее воздействие механических или химических факторов. Это наиболее часто встречаемый тип фибромы полости рта. Фиброма от раздражения появляется на слизистой в виде папулы розоватого цвета. По мере роста она трансформируется в имеющий правильную округлую форму плотный узелок. Повторное травмирование может привести к появлению бугристости на поверхности образования и его изъязвлению.
- Симметричные фибромы образуются в области третьих маляров на небной поверхности десны. Они имеют плотную консистенцию и бобовидную форму. Эти образования не являются истинной фибромой полости рта, а представляют собой разрастание десны, сопровождающееся рубцовыми изменениями.
- Дольчатая фиброма полости рта отличается бугристой поверхностью и возникает в результате реактивной гиперплазии тканей десны при ее хроническом травмировании съемным протезом.
- Фиброзный эпулис. Такое название носит фиброма полости рта, локализующаяся на десне. Обычно фиброзный эпулис характеризуется плотной консистенцией и очень медленным ростом.
Симптомы
Фиброма полости рта имеет вид возвышающегося над общей поверхностью слизистой образования с широким основанием или ножкой. Она безболезненна, имеет полушаровидную форму и покрыта слизистой оболочкой обычного розового цвета. Поверхность фибромы полости рта гладкая и, в отличие от папилломы, не имеет выростов. Каких-либо изменений слизистой в области фибромы обычно не наблюдается.
В редких случаях над опухолью отмечается изъязвление. При этом возможно присоединение инфекции с развитием воспалительных проявлений: покраснения, припухлости, болезненности в области фибромы. Для фибромы полости рта типично медленное увеличение в размерах. Если фиброма не подвергается травмированию, то ее размер может длительное время оставаться стабильным. При постоянной травматизации возможно злокачественное перерождение опухоли.
Характерная клиническая картина фибромы полости рта в большинстве случаев позволяет врачу-стоматологу поставить диагноз на основании осмотра и пальпации образования. Важным моментом является диагностика причинного фактора образования фибромы полости рта. С этой целью проводится тщательный стоматологический осмотр, направленный на выявление воспалительных заболеваний полости рта. Пациентам с зубными протезами необходима консультация стоматолога-ортопеда для исключения травматического воздействия имеющегося протеза на ткани полости рта.
Для определения глубины прорастания основания фибромы в подлежащие ткани возможно проведение УЗИ. С целью правильной оценки новообразования выполняется радиовизиография и ортопантомограмма. В редких случаях, обычно при наличие изъязвления или воспалительных изменений в области фибромы, показана биопсия образования. Чаще гистологическое исследование фибромы полости рта проводится после ее удаления.
Дифференциальная диагностика
Дифференциальную диагностику фибромы необходимо проводить с липомой, папилломой, бородавкой, эпулисами различного строения, невриномой и пр. При локализации фибромы полости рта на языке проводят ее дифференциацию от других доброкачественных опухолей языка и от рака языка.
Лечение фибромы полости рта
Наиболее эффективным методом лечения фибромы полости рта является ее хирургическое иссечение, которое может быть произведено при помощи лазера или радиоволнового метода. Фибромы полости рта на ножке удаляют вместе с ножкой двумя окаймляющими разрезами. Фиброму на основании иссекают вместе с основанием окаймляющим или дугообразным разрезом.
Удаление фибромы на красной кайме губы производят разрезом, перпендикулярным прохождению волокон круговой мышцы рта. При фиброме полости рта большого размера для предотвращения деформации слизистой производят лоскутное закрытие оставшегося после удаления опухоли дефекта. Лоскут выкраивают V-образным разрезом из рядом расположенных тканей.
Доброкачественные опухоли полости рта
Доброкачественные опухоли полости рта — расположенные в полости рта новообразования, характеризующиеся отграниченным медленным ростом и не склонные к метастазированию. К доброкачественным опухолям полости рта относятся папилломы, миксомы, ретенционные кисты, железы Серра, фибромы, фиброматоз десен, миомы, гемангиомы, лимфангиомы. Диагностика опухолей полости рта осуществляется на основании данных осмотра, пальпации, рентгенологического исследования, ангиографии и гистологического исследования. Удаление опухолей полости рта возможно путем хирургического иссечения, электрокоагуляции, лазерной валоризации, криодеструкции, склерозирования сосудов или применения радиоволнового метода.
Наиболее часто стоматология сталкивается с опухолями эпителиального происхождения, берущими свое начало из железистого, плоского или зубообразовательного эпителия. Возможно развитие опухоли полости рта из жировой ткани, мышечных волокон, соединительнотканных структур, нервных стволов и сосудов. В зависимости от расположения выделяют доброкачественные опухоли языка, внутренней поверхности щек, мягкого и твердого неба, подъязычной области, десен и губ.
Причины опухолей полости рта
Этиология и механизм развития опухолей полости рта пока не достаточно изучены. К факторам риска относятся употребление алкоголя, курение, острая травма (например, удаление зуба), хроническое травмирование слизистой рта краем сломанного зуба, плохо обработанной поверхностью пломбы, коронкой или зубным протезом. Наиболее высок риск возникновения опухоли полости рта при сочетании курения с приемом алкоголя. В развитии некоторых неопластических опухолей полости рта (папилломы, папилломатоз) ведущая роль отводится вирусной инфекции (вирус папилломы человека, вирус герпеса).
Опухоли полости рта, возникающие в детском возрасте, часто связаны с нарушениями дифференцировки тканей в период внутриутробного развития. К ним относятся дермоидные и ретенционные кисты, железы Серра, врожденные невусы. Как правило, эти новообразования выявляются в течение первого года жизни.
Эпителиальные опухоли полости рта
Папилломы. Опухоли полости рта, состоящие из клеток многослойного плоского эпителия. Локализуются чаще всего на губах, языке, мягком и твердом небе. Папилломы полости рта представляют собой округлый выступ над поверхностью слизистой. Могут иметь гладкую поверхность, но чаще покрыты сосочковыми разрастаниями по типу цветной капусты. Обычно наблюдаются единичные папилломы, реже — множественные. Со временем эти опухоли полости рта покрываются ороговевающим эпителием, за счет чего приобретают белесоватую окраску и шероховатую поверхность.
Невусы. В полости рта невусы наблюдаются в редких случаях. Они чаще бывают выпуклыми и имеют различную степень пигментации от бледно-розового цвета до коричневого. Среди опухолей ротовой полости встречаются голубой невус, папилломатозный невус, невус Ота и другие. Некоторые из них могут озлокачествляться с развитием меланомы.
Железы Серра. Обычно этот вид опухолей полости рта располагается в области альвеолярного отростка или твердого неба. Железы Серра представляют собой полушаровидные образования желтоватого цвета размером до 0,1 см и плотной консистенции. Могут иметь множественный характер. Обычно к концу первого года жизни ребенка отмечается самопроизвольное исчезновение этих образований.
Соединительнотканные опухоли полости рта
Фибромы. Наиболее часто фибромы полости рта встречаются в области нижней губы, языка и на небе. Имеют вид гладкого овального или округлого образования, в отдельных случаях расположенного на ножке. Цвет этих опухолей полости рта не отличается от окраски окружающей их слизистой.
Фиброматоз десен. Не все авторы относят фиброматоз десен к опухолям полости рта, некоторые считают, что в его основе лежат изменения воспалительного характера. Фиброматозные разрастания — безболезненные плотные образования. Они могут носить локальный характер в пределах нескольких зубов и диффузный, захватывая весь альвеолярный отросток как нижней, так и верхней челюсти. Опухолевые разрастания при фиброматозе локализуются в сосочках десен и могут быть настолько выражены, что полностью закрывают коронки зубов. Этот вид опухоли полости рта требуют дифференциации от гиперпластического гингивита.
Миомы. Развиваются из мышечной ткани. Рабдомиомы образуются из волокон поперечно-полосатой мускулатуры. Чаще всего наблюдаются в виде единичных узловых образований в толще языка. Лейомиомы развиваются из гладкомышечных волокон и обычно локализуются на небе. Миобластомы (опухоль Абрикосова) являются результатом дисэмбриогенеза и диагностируются у детей до года. Они представляют собой округлую опухоль полости рта размером до 1 см, покрытую эпителием и имеющую блестящую поверхность.
Миксомы. Эти опухоли полости рта могут иметь округлую, сосочковую или бугристую поверхность. Располагаются в области твердого неба или альвеолярного отростка.
Пиогенная гранулема. Развивается из слизистой или соединительнотканных элементов ротовой полости. Часто наблюдается после травмирования слизистой оболочки щек, губ или языка. Пиогенная гранулема имеет сходство с богато кровоснабжающейся грануляционной тканью. Отличается быстрым увеличением размеров до 2 см в диаметре, темно-красной окраской и кровоточивостью при прикосновении.
Эпулисы. Доброкачественные опухоли полости рта, расположенные на десне. Могут произрастать из глубоких слоев десны, надкостницы, тканей периодонта. Наиболее часто эпулис встречается в области передних зубов. Классифицируются на фиброзные, гигантоклеточные и ангиоматозные образования.
Невриномы. Образуются в результате разрастания клеток шванновской оболочки нервных волокон. Достигают в диаметре 1 см. Имеют капсулу. Невриномы являются практически единственными опухолями полости рта, при пальпации которых может отмечаться болезненность.
Сосудистые опухоли полости рта
Гемангиомы. Самые распространенные опухоли полости рта. В 90% случаев гемангиомы диагностируются сразу или в ближайшее время после рождения ребенка. Бывают простыми (капиллярными), кавернозными, капиллярно-кавернозными и смешанными. Отличительной особенностью этих опухолей полости рта является их побледнение или уменьшение в размерах при надавливании. Травмирование гемангиом часто приводит к кровоточивости.
Лимфангиомы. Возникают в результате нарушений эмбриогенеза лимфатической системы и выявляются обычно у новорожденных. Характеризуются образованием ограниченной или диффузной припухлости в полости рта. Среди опухолей полости рта различают кавернозные, кистозные, капиллярно-кавернозные и кистозно-кавернозные лимфангиомы. Эти опухоли полости рта склонны к воспалению, которое часто бывает связано с травмой слизистой рта или обострением какого-либо хронического воспалительного заболевания носоглотки: пульпита, периодотита, хронического тонзиллита, гайморита и пр. Отдельные авторы указывают также на связь рецидивирующего воспалительного процесса в лимфангиоме с обострениями хронического гастрита, дуоденита или колита.
Диагностика опухолей полости рта
Опухоли полости рта небольшого размера могут быть диагностированы стоматологом случайно при проведении профилактического осмотра, в ходе лечения кариеса и других стоматологических манипуляций. Точное определение вида опухоли возможно только после гистологического изучения ее структуры. Подобное исследование может проводится на материале, взятом в ходе биопсии опухоли или после ее удаления.
Для определения глубины прорастания опухоли полости рта применяется УЗИ образования, для оценки состояния костных структур — рентгенологическое исследование. При фиброматозе десен проводится ортопантомограмма, на которой часто выявляются участки деструкции альвеолярного отростка. В диагностике сосудистых опухолей нередко используют ангиографию.
Лечение опухолей полости рта
Затруднение речи и пережевывания пищи при наличии опухоли полости рта, постоянная травматизация новообразований этой локализации, а также вероятность их малигнизации — все это является поводом для активной хирургической тактики. В зависимости от вида опухоли полости рта возможно применение электрокоагуляции, удаления лазером, криодеструкции, радиоволнового метода, хирургического иссечения, склеротерапии.
Удаление опухолей полости рта диффузного характера проводится в несколько этапов. Иссечение фиброматозных разрастаний производят вместе с надкостницей. Участки разрушенной костной ткани подвергаются обработке фрезой и коагуляции. Сосудистые опухоли полости рта могут быть склерозированны путем введения склерозирующих веществ непосредственно в сосуды опухоли.
Одонтогенная фиброма
Встречается редко. Чаще встречается у женщин молодого возраста. Может локализоваться на обеих челюстях.


Патанатомия. Фиброма состоит из фиброзной грубоволокнистой соединительной ткани с небольшим количеством клеточных включений. В зависимости от гистологического строения фибромы могут быть: оссифицирующими и петрифицирующими; одонтогенными (содержат остатки зубообразовательного эпителия); миксоматозными (содержат слизеподобное вещество); хондромиксоидными (состоят из хрящевидного межуточного вещества) и простыми (состоит только из фиброзной ткани). При развитии фибромы из элементов эндо- и периневрия возникают внутрикостные нейрофибромы (образуются из волокон тройничного нерва).
Клиника. Фибромы растут медленно, бессимптомно. Достигнув больших размеров, опухоль вызывает деформацию челюсти. Могут быть боли ноющего характера. Поверхность внутрикостной фибромы при пальпации гладкая, границы четкие, плотная на ощупь, безболезненная. Возможно инфицирование со стороны кариозных зубов. В этом случае клиническая картина напоминает хронический остеомиелит челюсти.
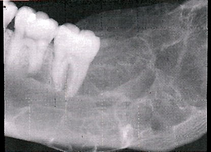
Рентгенологическая картина. Фиброма проявляется в виде гомогенного разряжения костной ткани округлой формы с относительно четкими границами. Патологический очаг окаймлен истонченным слоем кости без периостальной реакции. В центре очага могут быть участки петрификации.
Лечение хирургическое, опухоль удаляется путем проведения кюретажа.
Миксома.
Редкая доброкачественная опухоль, построенная из слизистой ткани. Обладает местным инвазивным ростом. Выявляется в любом возрасте, одинаково часто у мужчин и женщин. Быстрый рост опухоли может происходить за счет накопления слизи. Не метастазирует, часто рецидивирует.
Патанатомия. Макроскопически опухоль имеет вид узла, состоящего из желтовато-белой слизистой ткани, без четких границ. Микроскопически в мукоидной строме располагаются клетки звездчатой формы с анастомозирующими отростками. Встречаются пучки коллагеновых волокон. Иногда в опухоли можно обнаружить мелкие островки одонтогенного эпителия, местами окруженного гиалинизированной стромой.
Клиника. Миксома (миксофиброма) растет медленно, безболезненно, проявляется вздутием кости. Пальпаторно определяется плотное, безболезненное выпячивание челюсти с гладкой поверхностью. Слизистая оболочка над опухолью в цвете не изменена. Зубы в границах новообразования подвижные, смещаются. При локализации патологического очага вблизи нижнечелюстного канала возникает симптом Венсана. На верхней челюсти миксома может прорастать в верхнечелюстную пазуху и полость носа.


Рентгенологическая картина. Определяется очаг деструкции костной ткани с нечеткими границами. В некоторых случаях может иметь вид мелких ячеистых образований, разделенных костными перегородками.

Лечение миксомы (миксофибромы) хирургическое. Проводится резекция челюсти.
Цементома.
Цементома развивается из одонтогенной соединительной ткани. Эта группа доброкачественных опухолей, основной чертой которых является наличие цементоподобной ткани. В данную группу входят доброкачественная цементобластома (истинная цементома), цементирующаяся фиброма, периапикальная цементодисплазия, гигантоформная цементома (семейные множественные цементомы). Встречаются чаще в возрасте 15-30 лет, преимущественно на нижней челюсти.
Патанатомия. Макроскопически опухоль представлена плотноэластической тканью с мягкими включениями (чаще маломинерализованой костной тканью).

Доброкачественная цементобластома образована цементоподобной тканью в виде переплетающихся комплексов. По гистологическому строению напоминает остеоид-остеому, атипичную остеогенную саркому.
Цементирующая фиброма представлена переплетающимися пучками клеточно-волокнистой ткани, между которыми располагаются многочисленные интенсивно обызвествленные участки. В некоторых случаях может напоминать доброкачественную цементобластому.
Периапикальная цементодисплазия на ранних стадиях сходна с цементирующей фибромой. В последующем в ней образуются более плотные участки, соответствующие по строению грубоволокнистой кости.
Гигантоформная цементома характеризуется образованием в различных отделах челюстей масс интенсивного, почти бесклеточного, цементоподобного вещества.
Цементирующая фиброма и доброкачественная цементобластома всегда имеют капсулу, которая окружает патологический очаг (опухоль).
Клинически эти опухоли растут бессимптомно. Асимметрия лица выражена в той или иной степени. Кожные покровы в цвете не изменены. Лимфоузлы не увеличены. Открывание рта свободное. Имеется деформация челюсти на определенном участке. Слизистая оболочка в цвете не изменена.
Рентгенологическая картина. Цементомы чаще могут иметь вид плотной ткани (по плотности соответствует кости), окруженной прозрачной полосой неминерализованной ткани. Иногда имеются участки, сходные по плотности с тканями зуба. В некоторых случаях цементомы имеют кистозное строение.
Периапикальная цементная дисплазия представлена диффузными деструктивными изменениями в виде чередования участков уплотнения (по плотности приближаются к плотности зуба), связанных непосредственно с корнями зубов, которые не имеют периодонтальной щели.
Лечение доброкачественной цементобластомы и цементирующей фибромы только хирургическое. Оно заключается в удалении опухоли вместе с капсулой.
ЗЛОКАЧЕСТВЕННЫЕ ОДОНТОГЕННЫЕ ОПУХОЛИ
Среди этой группы новообразований встречаются одонтогенные раки и одонтогенные саркомы.
Одонтогенный рак — злокачественная эпителиальная одонтогенная опухоль, встречается редко. По гистогенезу различают следующие виды: злокачественную амелобластому, первичный внутрикостный рак и рак, развивающийся из эпителия одонтогенных кист.
Злокачественная амелобластома характеризуется всеми признаками злокачественного роста амелобластомы и возможностью метаста-зирования. Первичный внутрикостный рак возникает из остатков одонтогенного эпителия (островков Маляссе). Развивается внутрикостно, чем отличается по клиническому течению от рака слизистой оболочки полости рта и придаточных пазух носа, прорастающих по протяжению в кость. Характерны иррадиирующие боли, в случае локализации на нижней челюсти возникает онемение нижней губы соответствующей стороны при отсутствии клинически выраженных изменений. И только рентгенографическое обследование выявляет разрушение кости злокачественного характера: остеолизис без четких границ по типу "тающего сахара".
Первичный одонтогенный рак необходимо дифференцировать с гематогенным метастазом злокачественной опухоли в челюсть из другого органа. Для подтверждения метастаза имеет значение обнаружение первичного очага и морфологическая верификация, указывающая на связь его с опухолью другого органа. Выявление метастатической опухоли определяет тактику врача в лечении больного и дает представление о прогнозе.
Другие раки могут развиваться из эпителия одонтогенных кист, в том числе из первичной кисты (кератокисты) и зубосодержащей (фолликулярной) кисты. Встречаются редко.
Одонтогенная саркома — злокачественная соединительнотканная одонтогенная опухоль. Наблюдается очень редко. Выделяют амелобластическую фибросаркому и амелобластическую одонтосаркому, которые различаются микроскопически между собой наличием в последней диспластического дентина и эмали.
Доброкачественные опухоли и опухолеподобные образования костей лица. Другие болезни челюстей
Опухоль - патологические процессы, которые возникают в результате пролиферации собственных клеток организма, отличаются своей биологической сущностью и являются реакцией организма на различные повреждающие факторы внешнего и внутреннего характера. (И.Т. Шевченко)
Протокол "Доброкачественные опухоли и опухолеподобные образования костей лица. Другие болезни челюстей"
Код по МКБ-10:
D 16.4 - Доброкачественное образование костей лица
D 16.5 - Доброкачественное образование нижней челюсти
K 10.1 - Гигантоклеточная гранулема (остеобластокластома) цнтральная
K 10.8 - Другие уточненные болезни челюстей (фиброзная дисплазия)
K 01.0 - Ретинированные зубы
K 07.3 - Аномалии положения зубов
К 09.- - Кисты полости рта и челюстей (неодонтогенные, фоликулярные)

Автоматизация клиники: быстро и недорого!
- Подключено 300 клиник из 4 стран
- 800 RUB / 4500 KZT / 27 BYN - 1 рабочее место в месяц

Автоматизация клиники: быстро и недорого!
- Подключено 300 клиник из 4 стран
- 1 место - 800 RUB / 4500 KZT / 27 BYN в месяц
Мне интересно! Свяжитесь со мной
Классификация первичных доброкачественных опухолей и опухолеподобных образований костей лица (Ю.И. Бернадский, 1983)
Группа опухолей и опухолеподобных образований
Опухоли
Опухолеподобные образования
Остеобластокластома (гигантоклеточная опухоль) центральная и периферическая
Гиперпаратиреодная фиброзная остеодистрофия
Неостеогенные и неодонтогенные
Одонтогенные кисты челюстей:
- первично одонтогенная киста
«Банальный» (негигантоклеточный) эпулид
Диагностические критерии
Жалобы и анамнез
Жалобы больных довольно однообразны - на наличие деформации лица за счет опухоли, рост опухоли, нарушение жевания, приема пищи, ограничение открывания рта, подвижность зубов, косметический дефект.
Из анамнеза: могут быть хронические воспалительные процессы, разного рода травмы, что могло быть причиной развития опухоли. Давность процесса, от нескольких месяцев до нескольких лет. Одни опухоли развиваются скоротечно, другие медленно, годами увеличиваются в размерах, что играет немаловажную роль в диагностике доброкачественных опухолей.
Физикальное обследование: доброкачественные опухоли развиваются, как правило, безболезненно, и привлекают к себе внимание, когда уже имеется более или менее выраженная деформация челюсти и изменение расположения зубов или нарушение носового дыхания при поражении переднего отдела верхней челюсти.
Припухлость, обусловленная местным увеличением объема кости, служит другим важным клиническим признаком. При поражении опухолью надкостница или кортикального слоя кости припухлость выявляется сравнительно рано. Значительно позже выявляется припухлость при локализации новообразования в толще кости, особенно на верхней челюсти. Кожа и слизистая оболочка альвеолярного отростка и тела челюсти, расположенная над опухолью обычно имеет нормальную окраску.
Пальпаторное исследование очага поражения должно уточнить консистенцию, поверхность, границы опухоли и ее отношение к окружаюшим тканям, зону и глубину инфильтрации, смещаемость, а также болезненность и местное повышение температуры. Бугристая поверхность как правило при фиброзной дисплазии, хондроме, остеобластокластоме. Мягкая тестоватая консистенция опухоли а также ее зыбление говорит о некостном происхождении опухоли. Пульсация при опухолях кости челюсти обнаруживается редко, наличие же ее говорит о сосудистом происхождении. Симптом пергаментного хруста, при истонченной кортикальной пластинки, встречается при кистозной форме остеобластокластомы.
Особое внимание обращаем на состояние зубов: их положение, подвижность, реакция на перкуссию, чувствительность. Нарушение правильного положения чаще бывает при остеобластокластоме, хондроме, фиброзной дисплазии, эозинофильной гранулеме.
Ограничение движения нижней челюсти, встречается при опухолевом поражении ветви и суставного отростка нижней челюсти.
Показатели лабораторных исследований не изменяются.
Рентгенологическая картина опухолевых поражений челюстных костей немногочисленна, это деструкция, деформация кости и периостальная реакция. Деструкция наблюдается в виде одиночного (фиброма, миксома, энхондрома, остеобластокластома, остеогенная саркома и др.) и множественных очагов (эозинофильная гранулёма, полиоссальная фиброзная дисплазия). Форма очагов деструкции может быть округлая, продолговатая, неправильная, очаги деструкции могут локализоваться в любом участке кости челюсти, располагаясь центрально или периферически.
Характер границ довольно типичен: так, остеома является прямым продолжением кортикального слоя и сливаясь с ним, располагается на поверхности кости. Очаг фиброзной дисплазии, располагаясь внутрикостно, имеет обычно четкую границу в виде склеротической каемки.
Для эозинофильной гранулёмы характерны многофестончатые «штампованные» границы.
Остеобластокластома в случае кистозной формы окружена со всех сторон зоной склеротической ткани, а при литической форме в направлении продолжающего роста границы теряют четкость.
Деформация кости проявляется вздутием, если новообразование находится внутри кости, утолщением за счет периостальных наслоений или в виде дополнительных образований, исходящей из кости (остеома, экхондрома). Однако патогномоничной для доброкачественной первичной костной опухоли челюстей не существует.
Гистологическая диагностика опухолей костей челюстей и лица обязательна.
Показание для консультации специалиста: онколога - при подозрении на малигнизацию опухоли или злокачественный характер опухоли; при наличии сопутствующей патологии. Консультация стоматолога, ЛОР врача, гинеколога - для санации инфекций носоглотки, полости рта и наружных половых органов; аллерголога - при проявлениях аллергии; нарушения со стороны ЭКГ и др. являются показанием для консультации кардиолога; при наличии вирусных гепатитов, зоонозных и внутриутробных и др. инфекций - инфекциониста.
Перечень основных диагностических мероприятий:
1. Общий анализ крови (6 параметров).
2. Общий анализ мочи.
3. Биохимический анализ крови.
4. Исследование кала на яйца глист.
5. Определение времени свертываемости капиллярной крови.
6. Определение группы крови и резус фактора.
7. Гистологическое исследование операционного материала.
8. Консультация врача анестезиолога.
10. Рентгенография челюстных костей в двух проекциях.
Перечень дополнительных диагностических мероприятий:
1. Компьютерная томография височно-нижнечелюстного сустава.
2. Панорамная рентгенография челюстей.
4. УЗИ органов брюшной полости.
Перечень минимальных обследований перед госпитализацией:
3. Бак. посев кала детям до 2 лет.
4. Рентгенография органов грудной клетки (у детей до 3 лет).
Дифференциальный диагноз
Доброкачественные опухоли костей лица
Злокачественные опухоли костей лица
Воспалительные заболевания костей челюсти
На припухлость, медленный рост, деформацию лица
На болезненную припухлость, увеличение в размерах, деформация лица
На болезненную припухлость, отек, деформация лица
Чаще медленно увеличивающаяся припухлость, иногда годами. Как правило, в начале заболевания не беспокоили, обращаются при появлении выраженной деформации лица
Начало заболевания чаще в течение 2-6 мес. Которое не беспокоило, после могут отмечаться боли, подвижность зубов, изъязвления слизистой над очагом поражения. Возможны ранее проведенные операции по поводу данного заболевания
В анамнезе ранее леченный или беспокоивший зуб, который был недолечен или больной не обращался к специалисту. Ранее перенесенный периостит челюсти
Безболезненное вздутие кости или образование с четкими границами, слизистая не изменена
Вздутие кости, болезненное при пальпации, возможны изъязвления слизистой над опухолью. Границы не четкие. Зубы подвижные
Муфтообразный инфильтрат, болезненный при пальпации, слизистая вокруг гиперемирована, пальпация резко болезненная. Зубы подвижные, перкуссия болезненная, гнойное отделяемое, свищ
Деструкция костной ткани с четкими, ровными краями
Границы опухоли нечеткие, фестончатые. Периостальная реакция
При острой форме остеомиелита могут не быть, при хронических формах деструкция кости с ровными краями, всегда есть причинный зуб
Лечение
Тактика лечения
Цель лечения: оперативное удаление патологически измененной костной ткани в пределах здоровых тканей.
Экскохлеация (выскабливание). Показанием к данной операции является четко ограниченные доброкачественные новообразования: эозинофильная гранулёма, очаговая форма фиброзной дисплазии, фиброма, остеобластокластома (кистозная, ячеистая и периферическая).
Резекция челюсти. Показанием являются опухоли склонные к рецидивированию (хондрома, миксома, литическая форма остеобластокластомы и др.). Необходимость резекции челюсти возникает и при обширном поражении челюсти доброкачественной опухолью. В таких случаях возможно проведение одномоментной костной пластики.
При сосудистых опухолях костей лица и полости рта перед основной операцией необходима перевязка наружной сонной артерии.
Немедикаментозное лечение: режим охранительный, полупостельный. Диета стол 1а, 1б.
Медикаментозное лечение: антибактериальная терапия с целью профилактики гнойно-воспалительных осложнений (линкомицин, цефалоспорины, макролиды, аминогликозиды). Инфузионная, симптоматическая, витамино-, гипосенсибилизирующая терапии. По показаниям трансфузия СЗП или эритроцитарной массы.
Профилактические мероприятия:
1. Соблюдение режима и диеты.
2. При обширных поражениях нижней челюсти с целью предупреждения патологического перелома необходимо шинирование.
3. Ортодонтическое и ортопедическое лечение по показаниям по месту жительства.
Дальнейшее ведение: реабилитация в условиях стоматологической поликлиники по месту жительства. Наблюдение и лечение у ортодонта по месту жительства. Диспансерное наблюдение у челюстно-лицевого хирурга по месту жительства. Занятия лечебной гимнастикой. Санация полости рта. Контрольная рентгенография челюстей.
Читайте также:
