Примеры диагностики метастазов опухоли в грудную клетку
Добавил пользователь Валентин П. Обновлено: 21.11.2025
Рак молочной железы лечится даже в запущенной стадии, но эффективность противоопухолевой терапии с течением времени изменяется не в лучшую сторону, начинается распространение метастазов, отличающихся от материнской опухоли чувствительностью к лекарственным препаратам.
Особенности метастазирования
Рак молочной железы дает метастазы куда угодно, но чаще всего в подмышечные лимфоузлы, лёгкие, кости и печень. Исследование удаленной опухоли под микроскопом позволяет выявить индивидуальные клеточные — гистологические факторы вероятности метастазирования в будущем, тем не менее невозможно предсказать, где и когда появятся вторичные очаги рака и появятся ли вообще.
Сомнительно операбельный рак после длительного лечения может никогда не осложниться метастазами, но радикальное удаление молочной железы с сантиметровым раком не гарантирует излечения, через несколько лет возможно метастазирование.
Гетерогенный клеточный состав карциномы обуславливает разную чувствительность метастазов к лекарствам, даже в одном органе узлы по-разному отзываются на химиотерапию: одни уменьшаются, вторые — увеличиваются, а третьи замирают на долгий срок.
Популяция злокачественных клеток, ставшая родоначальницей рака молочной железы, и её отдалённое клеточное потомство неодинаковы — рак молочной железы и его метастазы абсолютно разные по особенностям развития и по реагированию на противоопухолевые лекарства.
Все это стало основанием для проведения профилактической химиотерапии или гормонотерапии всем женщинам, страдающим раком молочной железы, начиная с 1 стадии. Дополнительное послеоперационное лечение не проводится при опухоли менее полсантиметра и без единого критерия неблагоприятного прогноза. Но и после полноценного и качественного лечения нельзя надеяться на извлечение, метастазы могут появиться и через десятилетия, поэтому всю жизнь женщине предстоит наблюдение онколога с регулярными обследованиями.
Куда метастазирует рак молочной железы

Первый барьер на пути распространения раковых клеток — лимфатические узлы подмышечной области, собирающие лимфу от всей молочной железы. Сначала в лимфоузлах появляются скопления раковых клеток, в дальнейшем происходит их полное замещение опухолевой тканью. Метастазы в подмышечном лимфоколлекторе не считаются отдаленными, но их состояние характеризует степень диссеминации рака по организму, если лимфоузлы чисты, то отсутствуют и отдалённые метастазы. При большинстве морфологических вариантов рака молочной железы прогноз зависит от объёма повреждения регионального лимфоколлектора. Но при тройном негативном раке, особенно большого размера, такая корреляция не обязательна, благо, что этот молекулярно-биологический вариант нетипичен для российских женщин.
Головной мозг практически не поражается метастазами в первую волну диссеминации раковых клеток, как правило, появление в нем очагов опухоли манифестирует давнюю болезнь и случается после множества курсов химиотерапии, часто обозначая выход заболевания из-под терапевтического контроля.
Распространение опухоли в легкие может происходить изолированно или вместе с появлением вторичных очагов в других органах. Способствует образованию в легочной ткани раковых отсевов отличное кровоснабжение и анатомическая близость к молочной железе. Клетки рака попадают в легочные альвеолы с током крови и с лимфой.
Метастазы в кости также типичны для рака молочной железы, причем наиболее часто отсевы случаются при гормонально зависимой карциноме. Они возникают как изолированно — только в скелете, так последовательно и параллельно с очагами рака в других органах и тканях. Метастазы в костях сложно лечатся, но прогноз достаточно благоприятный — продолжительность жизни существенно дольше, чем при других локализациях. Если очаги единичны, то можно рассчитывать больше чем на 5 лет жизни.
Печеночные метастазы в большинстве случаев свидетельствуют о давнем раковом процессе, изначальное метастазирование в печень случается довольно редко, но давнее заболевание с поражением других органов или скелета, как правило, сопровождается и образованием очагов в ткани печени.
Симптомы
Клинические проявления опухоли могут отсутствовать довольно продолжительное время, пока опухолевая масса не начнёт нарушать функционирование органа, попутно отправляя организм продуктами жизнедеятельности.
- Симптомы при метастазах рака молочной железы в лёгких появляются очень нескоро, у половины больных с развёрнутой рентгенологической картиной поражения нет ни кашля, ни одышки, ни слабости. При мелкоочаговом множественном поражении отмечаются одышка, кашель, сильная слабость, возможна невысокая температура.
- Метастазы в кости проявляются болями, но не всегда, зачастую на начальном этапе развития и даже в период «расцвета» метастазирования может вообще не быть никаких симптомов.
- Признаки печеночного поражения появляются при выключении из функционирования более половины органа, это тошнота с эпизодами рвоты, сильнейшая слабость, нарушение питания, в терминальной стадии печеночной недостаточности развивается желтуха, асцит и кровотечение из вен пищевода.
- Метастатическое поражение головного мозга сопровождается головными болями, изменениями зрения, головокружением и рвотой при поворотах головы.
Диагностика метастаз при раке молочной железы
Множественное метастатическое поражение можно заподозрить на основании жалоб при осмотре пациентки, но нередко вторичные узлы находят только при обследовании. Поражение подмышечных лимфоузлов обнаруживается уже при первичном УЗИ, маммографии, МРТ. Уточняющая морфологическая диагностика — биопсия во время операции.

Для обследования легких и брюшной полости лучше выбрать КТ, головного мозга — МРТ.
Очаги в костях выявляют при остеосцинтиграфии, затем по очагам накопления проводится уточняющая КТ-диагностика.
Крупноочаговое метастазирование в печень можно выявить при УЗИ, мелкие очаги лучше выявляются при КТ или МРТ.
ПЭТ-КТ обнаружит метастазирование в любом органе и ткани.
Лечение
Генерализация рака молочной железы лечится только лекарствами — химиотерапией и гормонами. Только опухолевое поражение подмышечных лимфоузлов радикально лечат удалением — лимфаденэктомией. При сочетании с метастазированием в другие органы операция бессмысленна. При поражении головного мозга и костей возможна лучевая терапия.
Прогноз
Метастатическая стадия лечится, но прогноз в отношении жизни неблагоприятен. Средняя продолжительность жизни при поражении внутренних органов редко превышает 2-3 года, при изолированных метастазах рака молочной железы в кости — до 5 лет и более. С очаговым поражением печени или головного мозга продолжительность жизни без лечения не превышает нескольких месяцев.
Возможные осложнения
Рост и распространение метастазов рака молочной железы ухудшает функционирование органа вплоть до развития его недостаточности. Декомпенсации функции приводит к существенному ухудшению состояния больной и ограничивает возможности противоопухолевой терапии.
В клиниках «Евроонко» не только умеют лечить злокачественное заболевание, но для каждой пациентки разрабатывается программа поддерживающего и восстановительного лечения, что помогает лучше переносить терапию и сдерживать развитие устойчивости к лекарственным препаратам.
Метастазы
Метастазы - вторичные злокачественные опухоли различных органов и тканей, возникшие в результате гематогенного, лимфогенного или имплантационного распространения злокачественных клеток первичного новообразования. Могут обнаруживаться в любом органе. На ранних стадиях протекают бессимптомно. В последующем клинические проявления зависят от локализации метастаза. Диагноз устанавливается с учетом анамнеза, жалоб, данных объективного осмотра, результатов анализов и инструментальных исследований. Лечение - химиотерапия, радиотерапия, хирургические вмешательства.

Общие сведения
Метастазы - отдаленные очаги онкологического процесса, возникшие при перемещении злокачественных клеток по организму. Выявляются у лиц любых возрастов, однако наибольшее количество поражений обнаруживаются у пациентов старше 50 лет. Могут появляться при большинстве злокачественных опухолей и поражать любые органы. Чаще всего злокачественные новообразования метастазируют в лимфатические узлы, легкие и печень. Несколько реже встречаются метастазы в кости, надпочечники, почки и центральную нервную систему. Редко диагностируются метастатические поражения поджелудочной железы, селезенки, кожи, скелетных мышц и сердечной мышцы.
Нарушения функции различных органов, обусловленные ростом метастазов, являются ведущей причиной смертности при онкологических заболеваниях. Появление вторичных очагов ухудшает прогноз и делает невозможным радикальное лечение злокачественной опухоли либо создает существенные ограничения при выборе методов терапии. Диагностику и лечение метастазов осуществляют специалисты в области онкологии и других специальностей (в зависимости от локализации вторичного очага).

Этиология и патологическая анатомия метастазов
Без соответствующего лечения со временем метастазы возникают почти при всех злокачественных опухолях, однако сроки их появления могут существенно варьировать. Иногда метастазы обнаруживаются через несколько лет после развития первичного процесса, иногда - через несколько месяцев, а иногда и вовсе становятся первым проявлением онкологического заболевания, поэтому временной интервал между развитием первичной опухоли и возникновением метастазов не удается установить даже приблизительно.
Специалисты считают, что в некоторых случаях злокачественные клетки могут мигрировать в различные органы, образовывая «спящие очаги», которые в последующем активизируются и начинают быстро расти. Однако причины, по которым метастазы при одном и том же заболевании появляются и развиваются с разной скоростью, пока не установлены. Можно лишь перечислить ряд факторов, способствующих быстрому возникновению и прогрессированию вторичных образований.
В числе таких факторов - большое количество мелких сосудов вокруг первичного новообразования, особенности расположения и гистологического строения первичного очага, иммунные расстройства и возраст пациентов (у молодых метастазы возникают и прогрессируют быстрее, чем у пожилых). Большое значение имеет противоопухолевая терапия - после такой терапии трудно прогнозировать вероятность и возможное время появления метастазов. Иногда вторичные очаги возникают спустя несколько лет после прохождения курса лечения, на фоне изменения каких-то жизненных условий или без всяких видимых причин.
Клетки первичной опухоли могут распространяться по организму тремя путями: лимфогенным (по лимфатическим сосудам), гематогенным (по кровеносным сосудам) и имплантационным. Имплантационное метастазирование становится возможным после разрушения капсулы органа и выхода злокачественных клеток в ту или иную естественную полость. Например, клетки рака яичника через брюшную полость могут мигрировать на поверхность печени, а клетки первичного рака легких через плевральную полость - на поверхность плевры.
Преобладающий путь метастазирования определяется происхождением и степенью злокачественности опухоли. Клетки соединительнотканных и эпителиальных новообразований чаще мигрируют по лимфатическим путям. При опухолях высокой степени злокачественности преобладает гематогенное распространение. В большинстве случаев лимфогенные метастазы появляются раньше гематогенных. В первую очередь страдают регионарные лимфоузлы. Затем злокачественные клетки могут распространяться дальше по лимфатической системе.
Знание особенностей лимфотока в той или иной анатомической зоне позволяет определять возможные пути метастазирования и выявлять вторичные скопления злокачественных клеток (за исключением случаев микрометастазирования). Гематогенные метастазы возникают на значительном удалении от органа, пораженного первичным процессом, поэтому для их обнаружения приходится проводить комплексное обследование с учетом наиболее вероятных областей метастазирования.
Разные виды рака с различной частотой метастазируют в те или иные органы. Так, рак молочной железы, рак почек, рак предстательной железы и рак щитовидной железы чаще всего дают метастазы в легкие, кости и печень. При раке желудка, раке яичников, раке толстой кишки, раке тела матки и раке поджелудочной железы поражаются печень, брюшина и легкие. Рак прямой кишки и рак легкого распространяются в печень, надпочечники и легкие (при раке легкого страдает второе легкое). Меланома дает метастазы в печень, легкие, кожу и мышцы.
Среди вторичных новообразований преобладают солидные узловые формы, реже встречаются язвенные поверхности (например, при поражении кожи), слизеобразующие объемные образования (метастазы Крукенберга) и другие типы опухолей. Размер метастазов может варьировать от нескольких миллиметров до 20 и более сантиметров. Возможно одиночное поражение определенного органа, множественное поражение определенного органа, а также одиночные или множественные вторичные очаги в нескольких органах. Отдельно стоит упомянуть так называемые «пылевые» метастазы - множественные мелкие очаги в брюшной полости, провоцирующие развитие асцита.
По своей гистологической структуре вторичные новообразования обычно соответствуют первичной опухоли. Вместе с тем, в отдельных случаях метастазы могут иметь гистологическое строение, отличающееся от строения первичного рака. Обычно такие отличия выявляются при метастазировании опухоли полого органа в паренхиматозный орган (например, при метастатическом раке печени, возникшем вследствие первичного рака толстой кишки). Иногда из-за различия в структуре первичного и вторичного очагов возникают сложности при дифференцировке метастазов и множественного рака.
Симптомы метастазов
На начальных стадиях метастазы обычно протекают бессимптомно. В последующем клинические проявления зависят от локализации вторичного новообразования. Местная симптоматика сочетается с общими признаками онкологического заболевания: гипертермией, потерей аппетита, уменьшением массы тела вплоть до раковой кахексии, общей слабостью и анемией. При метастазах в лимфатические узлы наблюдается увеличение их размера, определяемое при пальпации или в процессе визуального осмотра.
Узлы обычно безболезненные, мягко-эластической консистенции. Чаще всего метастазы локализуются в шейных, паховых, подмышечных и надключичных лимфоузлах. При достаточно большом размере такие очаги могут быть обнаружены уже на этапе обычного осмотра. Выявление метастазов в некоторых лимфатических узлах (забрюшинных, парааортальных, узлах брюшной полости, узлах средостения) возможно только при проведении инструментальных исследований, поскольку эти анатомические образования недоступны для объективного обследования. Подозрение на наличие таких метастазов может возникнуть при их значительном увеличении, вызывающем сдавление близлежащих анатомических образований.
Проявления гематогенных метастазов определяются их локализацией. При вторичных очагах в головном мозге возникают головокружения, распирающие головные боли, тошнота, рвота и очаговые неврологические расстройства. При метастазировании в спинной мозг появляются боли, быстрая утомляемость при физической нагрузке, нарушения деятельности тазовых органов, прогрессирующие расстройства движений и чувствительности. При метастазах в легких наблюдаются частые рецидивы воспалительных заболеваний (бронхита, пневмонии, гриппа, ОРВИ), в последующем присоединяется одышка и кашель с примесью крови в мокроте.
Метастазы в печень проявляются тяжестью и болями в правом подреберье, нарушением печеночных функций, увеличением и бугристостью печени. На поздних стадиях выявляются желтуха, асцит и прогрессирующая печеночная недостаточность. Вторичные новообразования в костях вызывают мучительные боли, гиперкальциемию и патологические переломы. Возможно сдавление спинного мозга, нервных и сосудистых стволов. При метастазах в брюшину возникает асцит, обусловленный нарушением регуляции процесса выделения и всасывания жидкости тканями брюшины.
Метастазы в кожу представляют собой плотные, быстро растущие одиночные или множественные узлы телесного, синеватого или розоватого цвета. В последующем наблюдается их распад и изъязвление. При некоторых первичных новообразованиях (например, при карциноме молочной железы, раке толстого кишечника, раке яичника и раке мочевого пузыря) симптомы вторичных кожных опухолей могут имитировать клиническую картину рожистого воспаления. Реже (обычно - при опухолях молочной железы) выявляются склеродермоподобные метастазы.
Диагностика метастазов
Диагноз устанавливается на основании клинических данных и результатов дополнительных исследований. Из-за высокой склонности к развитию метастазов любое злокачественное новообразование является показанием для расширенного обследования (даже если признаки поражения других органов отсутствуют). Больным с подозрением на метастазы назначают общий анализ крови, биохимический анализ крови и анализ крови на маркеры рака. Пациентов направляют на рентгенографию грудной клетки, УЗИ органов брюшной полости, УЗИ органов малого таза, КТ и МРТ головного мозга, КТ и МРТ спинного мозга, сцинтиграфию костей скелета, рентгенографию костей скелета и другие исследования.
Наличие метастазов окончательно подтверждают при проведении гистологического либо цитологического исследования измененной ткани. Забор гистологического материала из мягких тканей осуществляют путем инцизионной, сердцевинной или щипковой биопсии. При поверхностном расположении метастазов используют скарификационную биопсию, при поражении костей - трепан-биопсию. Материал для цитологического исследования получают путем взятия обычных отпечатков или мазков-отпечатков. Для забора жидкости проводят аспирационную биопсию.
Дифференциальную диагностику метастазов осуществляют с первичными новообразованиями и с множественным раком (при одновременном или почти одновременном обнаружении нескольких очагов в одном или разных органах). В некоторых случаях требуется дифференцировка с дегенеративно-дистрофическими и воспалительными процессами. Так, симптоматическую пневмонию при метастазах в легких необходимо дифференцировать с обычной пневмонией, мелкие метастазы в позвоночник на фоне предшествующего остеопороза - с возрастными изменениями позвоночника и т. д.
Лечение метастазов
Тактика лечения определяется индивидуально с учетом вида рака, состояния первичной опухоли, общего состояния больного, чувствительности клеток к тому или иному типу лечебного воздействия, количества, локализации и размера метастазов. Возможно использование радиотерапии, химиотерапии, иммунохимиотерапии, гормонотерапии, классических хирургических вмешательств, радиохирургии, криохирургии и эмболизации питающих артерий. Как правило, при метастазах применяется комбинация нескольких методов лечения (например, химиотерапии и лучевой терапии, химиотерапии и иммунотерапии, лучевой терапии и хирургического вмешательства и т. д.). Показания к оперативному лечению и объем вмешательства также зависят от количества и локализации метастазов.
При метастазах в регионарные лимфатические узлы обычно проводят лимфаденэктомию в сочетании с удалением первичного новообразования. При контролируемых первичных опухолях и одиночных метастазах в отдаленные органы в некоторых случаях возможно радикальное иссечение вторичных очагов. При множественных метастазах хирургическое вмешательство, как правило, не показано. Исключением являются ситуации, когда паллиативная операция может отсрочить летальный исход или улучшить качество жизни больного (например, краниотомия для снижения опасного внутричерепного давления, вызванного метастатической опухолью мозга).
Прогноз при метастазах
До недавнего времени наличие метастазов рассматривалось, как свидетельство скорой гибели пациента. Сейчас ситуация постепенно меняется, хотя наличие вторичных опухолей по-прежнему рассматривается, как крайне неблагоприятный прогностический признак. Использование новых методов диагностики и лечения в ряде случаев позволяет увеличить среднюю продолжительность жизни больных. При определенных условиях стало возможным радикальное лечение метастазов некоторых локализаций, например, одиночных очагов метастатического рака печени или метастатического рака головного мозга.
В целом прогноз при метастазах определяется степенью запущенности онкологического процесса, возможностями конкретного лечебного учреждения (некоторые лечебные и диагностические методики доступны только в крупных центрах), видом, локализацией и стадией первичной опухоли, возрастом больного, состоянием его иммунной системы, степенью истощения, уровнем нарушения функций различных органов и пр. Средняя продолжительность жизни при метастатическом раке печени составляет около полугода, поражении головного мозга - несколько недель, при метастазах в кости - несколько лет, при вторичных новообразованиях в почках - 1-3 года.
Метастазы в легкие
Метастазы в легкие - вторичные новообразования, возникшие при миграции злокачественных клеток из другого органа. На начальной стадии проявляются симптомами общей интоксикации и повторяющимися простудными заболеваниями. В последующем появляются одышка, боли в области грудной клетки и кашель с примесью крови. Диагноз выставляется с учетом клинических проявлений, данных рентгенографии, КТ грудной клетки, гистологических и цитологических исследований. Лечение - химиотерапия, радиотерапия, лазерная резекция, радиохирургия и традиционные хирургические вмешательства.

Метастазы в легкие - вторичные злокачественные очаги в легочной ткани. Возможен лимфогенный, гематогенный или имплантационный путь миграции клеток из новообразования, расположенного в другом органе. Являются одними из самых распространенных вторичных опухолей. Среди пациентов преобладают мужчины старше 60 лет. Прогноз при метастазах в легких обычно неблагоприятный. Из-за множественного метастазирования, позднего обнаружения очагов в легочной ткани и сопутствующего поражения других органов радикальное лечение, как правило, невозможно. Исключением являются солитарные метастазы в легких, возникшие спустя долгое время после проведения специфической терапии либо оперативного удаления первичного новообразования. Лечение проводят специалисты в сфере онкологии и пульмонологии.
Этиология и патанатомия метастазов в легкие
Причиной частого поражения легочной ткани при злокачественных новообразованиях различной локализации является хорошо развитая сеть кровеносных и лимфатических сосудов в ткани легкого. Клетки первичной опухоли мигрируют по лимфатической или кровеносной системе, оседают в легочной ткани или под плеврой и дают начало метастазам.
Кроме того, возможно имплантационное (аспирационное) метастазирование, при котором злокачественные клетки распространяются по бронхам из распадающегося новообразования верхних дыхательных путей, бронха, легкого или агрессивно растущей опухоли близлежащего органа. Вторичные опухоли в легочной ткани могут сами становиться источником метастазов в других органах.
Метастазы в легких чаще диагностируются при первичном раке молочной железы, желудка, пищевода, мочевого пузыря, колоректальном раке, раке простаты, печени, меланоме и опухолях почек, но могут выявляться и при других онкологических заболеваниях. Обычно представляют собой узлы диаметром от нескольких миллиметров до 5 и более сантиметров. Чаще бывают множественными. Метастазы в легких при меланоме могут быть коричневыми, буровато-черными, белыми или частично пигментированными. Узлы при саркоме и раке - белыми либо розовато-серыми. Реже метастазы в легких представляют собой диффузную сеть, распространяющуюся под плеврой и в толще легочной ткани - такие вторичные новообразования обнаруживаются при раковом лимфангите, обусловленном миграцией злокачественных клеток по лимфатическим сосудам.
Классификация метастазов в легкие
Метастатические очаги в легких классифицируют по нескольким признакам:
- По типу новообразований: очаговые и инфильтративные формы.
- По количеству вторичных опухолей: солитарные (одиночные), единичные (не более 3), множественные (более 3).
- По диаметру: крупные и мелкие.
- По локализации: односторонние и двухсторонние.
С учетом особенностей распространения различают две формы метастазов в легких: диссеминированную и медиастинальную. При диссеминированной форме в легочной ткани выявляются множественные вторичные опухоли (как правило - преимущественно в нижних отделах). При медиастинальной форме вначале поражаются лимфатические узлы средостения, а потом опухолевые клетки по лимфатическим сосудам мигрируют в ткань легкого. С учетом особенностей рентгенологической картины выделяют четыре формы метастазов в легкие:
- Узловая. Включает в себя солитарную и множественную формы. На рентгенограммах выявляются узлы с четкими контурами, локализующиеся преимущественно в нижних отделах. Легочная ткань за пределами очагов сохраняет свою нормальную структуру.
- Псевдопневматическая (диффузно-лимфатическая). На снимках обнаруживаются множественные тонкие тяжи уплотненной ткани, расположенные в перибронхиальной зоне. Ближе к очагу тяжи имеют расплывчатые контуры, по мере удаления границы уплотнений становятся более четкими.
- Плевральная. Напоминает картину экссудативного плеврита. В плевральной полости может выявляться выпот. На поверхности легких обнаруживаются бугристые напластования.
- Смешанная. Наблюдается сочетание двух или более вышеописанных форм.
При определении тактики лечения метастазов в легких имеет значение степень чувствительности опухоли к различным видам терапии. С учетом этого показателя можно условно выделить следующие типы метастазов в легких:
- Реагирующие на радиотерапию и химиотерапию (при остеогенной саркоме, раке яичника и раке яичка).
- Устойчивые к химиотерапии (при раке шейки матки и меланоме).
- Реагирующие на гормональную терапию (при гормональноактивных новообразованиях половых органов).
Симптомы метастазов в легкие
На начальной стадии метастазы в легкие обычно протекают бессимптомно. Могут выявляться общие признаки онкологического заболевания: немотивированная слабость, апатия, анемия, потеря аппетита, снижение массы тела, повышение температуры тела. Первым проявлением метастазов в легкие обычно становятся повторяющиеся простудные заболевания: грипп, бронхит, пневмония. Иногда симптомы возникают только на заключительной стадии, при множественных узлах в легких, вовлечении бронхов и плевры.
При поражении значительной части легкого либо сдавлении бронха развивается одышка. Кашель при метастазах в легких вначале сухой, чаще возникает по ночам. В последующем появляется слизисто-гнойная мокрота без запаха, нередко - с примесью крови. При сужении бронхов мокрота становится более густой, гнойной. Возможны легочные кровотечения. Метастазы в легкие, распространяющиеся на плевру, ребра и позвоночник, провоцируют развитие болевого синдрома. При метастазах в лимфоузлах левой части средостения может наблюдаться осиплость голоса и афония, при поражении лимфоузлов правой части средостения - отек верхней половины тела, обусловленный сдавлением верхней полой вены.
Диагностика метастазов в легкие
Диагноз выставляется с учетом анамнеза, клинических проявлений, результатов инструментальных и лабораторных исследований. Пациентов с подозрением на метастазы в легких направляют на рентгенографию грудной клетки, позволяющую оценивать состояние легочной ткани, определять тип, характер и количество вторичных новообразований, наличие выпота в плевральной полости. Пациентам также назначают КТ легких - эта современная методика дает возможность выявлять мелкие метастазы диаметром менее 0,5 мм, в том числе расположенные субплеврально.

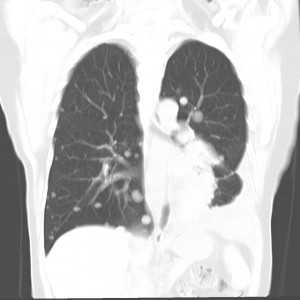
КТ ОГК. Множественные мягкотканные очаги в обоих легких у пациента с первичным раком предстательной железы
При необходимости снизить лучевую нагрузку (при метастазах в легких у детей, при многочисленных исследованиях для выявления первичного очага и метастатических поражений других органов, при продолжительном наблюдении) и подозрении на наличие мелких метастазов проводят МРТ легких - эта методика позволяет обнаруживать вторичные очаги диаметром менее 0,3 мм. Метастазы в легкие подтверждают на основании результатов цитологического исследования мокроты и плеврального выпота или гистологического исследования биоптата, полученного в процессе бронхоскопии, чрескожной пункционной биопсии легкого или (реже) открытой биопсии.
Для выявления метастазов других локализаций проводят расширенное обследование, включающее в себя УЗИ органов брюшной полости, сцинтиграфию костей скелета, КТ и МРТ позвоночника, КТ и МРТ головного мозга, УЗИ органов малого таза, УЗИ забрюшинного пространства и другие исследования. Метастазы в легкие дифференцируют с периферическим раком легких, доброкачественным новообразованием легкого, пневмонией, кистой легкого и туберкулемой.
Лечение при метастазах в легких
Лечебная тактика определяется видом первичной опухоли, ее реакцией на терапию, количеством и диаметром метастазов в легких, наличием или отсутствием метастатического поражения других органов, общим состоянием пациента и некоторыми другими факторами. Основной лечебной методикой обычно является химиотерапия, которая может применяться изолированно или в сочетании с другими методами. При метастазах в легких, возникших при диссеминации гормонозависимых опухолей, назначают гормональную терапию. Наилучший эффект гормонального лечения отмечается при раке простаты и раке молочной железы.
Радиотерапию назначают при вторичных очагах ретикулосаркомы, саркомы Юинга, остеогенной саркомы и некоторых других опухолей, чувствительных к лучевому воздействию. Показания к хирургическому лечению при метастазах в легких ограничены. Оперативное вмешательство целесообразно при одиночных метастазах, изолированном поражении периферической части легкого, контролируемом первичном новообразовании и отсутствии метастазов в другие органы. Иногда двухэтапную резекцию легкого и резекцию печени выполняют при одиночных метастазах в легком и метастатическом раке печени. В ряде случаев применяют радиохирургию либо осуществляют лазерную резекцию вторичного очага. При сдавлении крупных бронхов производят эндобронхиальную брахитерапию.
Прогноз при метастазах в легких
Прогностически неблагоприятными факторами считаются появление метастазов в легких ранее, чем через год после радикального лечения первичного новообразования, диаметр узлов более 5 см, быстрый рост вторичных очагов и увеличение внутригрудных лимфоузлов. Длительное выживание в некоторых случаях возможно после хирургических вмешательств по поводу одиночных метастазов в легких, возникших спустя год и более после радикального лечения первичной опухоли.
К числу факторов, не оказывающих существенного влияния на продолжительность жизни при метастазах в легких, относят локализацию вторичного очага (центральный или периферический), сторону поражения, наличие либо отсутствие метастатического поражения плевры. Пятилетняя выживаемость пациентов с одиночными метастазами в легких после проведения комбинированной терапии составляет около 40%. Наилучшие результаты отмечаются при первичных новообразованиях тела матки, костей, почек, молочной железы и мягких тканей.
Диагностика метастазов в легкие: КТ и рентгенография
Компьютерная томография — один из самых чувствительных и распространенных методов диагностики метастазов в легкие. Это исследование позволяет выявить очаги опухоли меньше 1 мм в диаметре. Более чувствительным и специфичным методом является только ПЭТ/КТ, но он меньше распространен, дороже и сложнее в применении.Для выявления мелких очагов лучше использовать спиральную компьютерную томографию. Чтобы определить метастазы в легкие, контрастное усиление не является обязательным, но может быть полезным для дифференцировки легочных сосудов и лимфоузлов при их вторичном поражении.
МЕТАСТАЗЫ В ЛЕГКИЕ: КЛАССИФИКАЦИЯ
Вторичные легочные узлы можно классифицировать по следующим критериям:
Способ распространения
Выделяют гематогенные метастазы, и лимфогенные метастазы, симптомы и прогноз при которых обычно хуже, чем при гематогенных. В первом случае опухолевые клетки попадают в ткань органа с током крови, во втором случае — с током лимфы, например, при раке молочной железы.
Выделяют также контактные метастазы, возникающие при непосредственном прорастании в легочную ткань рака пищевода, гортани, трахеи и других органов. Крайне редко встречаются аспирационные метастазы, возникающие при вдыхании частиц опухоли гортани, глотки, языка, полости носа или рта.
Сделать КТ грудной клетки в Санкт-Петербурге
Источник метастазирования
Наиболее часто в легкие метастазируют рак почки, скелета, молочной железы; встречаются также метастазы саркомы, семиномы. Не существует достоверных КТ-признаков, позволяющих уверенно отличить отсевы одного типа рака от другого — например, вторичный узел при саркоме от такового при раке молочной железы. Пожалуй, исключением являются редкие метастазы липосаркомы, которые имеют «жировую» плотность на компьютерных томограммах — в пределах -50…-100 единиц Хаунсфилда.
Частота метастазирования опухолей различной локализации в легкое (по данным Розенштрауха Р. В.)
| Первичная опухоль | Частота (%) |
| Хориоэпителиома | 55,4 |
| Рак почки | 34,7 |
| Остеосаркома | 32,3 |
| Семинома | 21,5 |
| Меланома кожи | 20,5 |
| Рак молочной железы | 15,7 |
| Рак легкого | 6,6 |
| Карцинома толстого кишечника | 5,6 |
| Рак матки, саркома матки | 4,2 |
| Рак желудка | 1,6 |


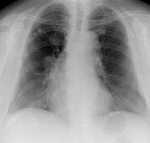
Метастазы в легких — фото рентгенограммы. Округлые тени — метастазы рака пищевода. Хорошо виден большой узел округлой формы вблизи переднего отрезка 2-го ребра. На снимке справа - циркулярное сужение пищевода за счет опухолевого утолщения его слизистой оболочки.


Как выглядят метастазы в легких на рентгене? Слева — узловые образования у пациента с раком яичка. Справа - метастазы рака яичников гематогенного характера с выраженным опухолевым лимфангиитом (обратите внимание на деформированный сетчатый, линейный характер легочного рисунка).
МЕТАСТАЗЫ В ЛЕГКИХ: КЛИНИЧЕСКИЕ СИМПТОМЫ И ПРИЗНАКИ
В подавляющем большинстве случаев вторичные опухоли протекают бессимптомно, по крайней мере, до тех пор, пока не произойдет прорастание в просвет бронха, в плевру, средостение, перикард или сосуды, метастазирование в лимфоузлы средостения. Пациенты предъявляют жалобы на симптомы раковой интоксикации, которые, впрочем, могут быть обусловлены также наличием первичной опухоли.
Одними из первых симптомов являются кашель, одышка, боли в грудной клетке. Наличие крови в мокроте - неблагоприятный признак, который свидетельствует о прорастании бронха опухолью.
Имеет место определенная зависимость между клиническими проявлениями и органной принадлежностью метастазов. Так, по данным Н. И. Рыбаковой, одышка была выявлена в 13% случаев, при этом у большинства пациенток была опухоль молочной железы.
Боли в груди могут быть ранним признаком при субплевральной локализации вторичных очагов.
Рак груди метастазирует лимфогенно в лимфатические узлы средостения, которые, увеличиваясь, нарушают кровообращение. Кроме этого, при раке груди часто возникает опухолевый плеврит. В совокупности эти факторы провоцируют развитие выраженной одышки.
КАК ПОНЯТЬ, ДЕЙСТВИТЕЛЬНО ЛИ В ЛЕГКИХ МЕТАСТАЗЫ?
Иногда дифференциальная диагностика вторичных поражений легких бывает очень сложной и требует глубоких знаний рентгенодиагностики органов грудной клетки. Наиболее профессионально этим занимаются в специализированных легочных учреждениях, например в Санкт-Петербургском НИИ фтизиопульмонологии. Поэтому при сомнениях в диагнозе врачи рекомендуют получить Второе мнение — повторное описание диска КТ, МРТ или рентгенографии с целью подтверждения или опровержения диагноза, а также более точной и детальной оценки изменений. Такую консультацию можно получить с помощью службы консультаций НТРС, которая объединяет известных врачей-диагностов из профильных центров России.
Ниже подробно рассматриваются лучевые признаки легочных метастазов.
КТ-ПРИЗНАКИ МЕТАСТАЗОВ В ЛЕГКИЕ
Метастазы чаще всего представлены узловыми образованиями в легочной ткани вне строгой связи с легочными артериями или венами. Для них характерны следующие КТ-признаки:
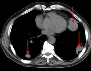
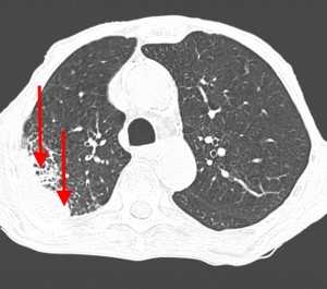
Вторичные узлы гематогенного характера чаще всего имеют ровные края, четкие контуры и однородную структуру. Возможны изменения структуры опухоли вследствие кровоизлияния в паренхиму, обызвествлений, некроза центральной части узла, а также рубцов. Края узла могут стать нечеткими, расплывчатыми, если опухоль провоцирует отек легочной паренхимы, либо «лучистыми», если имеет место опухолевый лимфангиит.


Слева - рак почки с метастазами в легкие, прогноз в данном случае неблагоприятный ввиду метастатического плеврита и дыхательной недостаточности. Определяются очаги с обеих сторон. Справа - мелко- и среднеочаговая диссеминация при раке печени.

Множественные гематогенные вторичные узлы при раке почки, компьютерная томография (КТ).
Лимфогенные метастазы на рентгене и КТ выглядят как множественные мелкие очаги с диссеминированным распространением, локализованные в междольковых перегородках, в плевральных листках. Вокруг можно видеть характерную картину ракового лимфангиита. Кроме того, практически всегда выявляются патологически измененные и увеличенные лимфатические узлы средостения. Лимфогенное метастазирование необходимо дифференцировать с милиарным туберкулезом, саркоидозом. Иногда это требует привлечения Второго мнения.


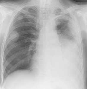
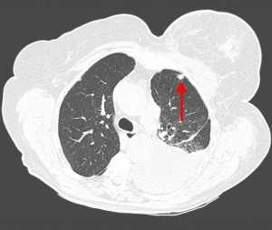
КТ: метастазы в легких при раке молочной железы. На изображении справа красной звездочкой отмечен опухолевый узел в молочной железе, красными стрелками - область прорастания опухоли в грудную стенку. Синими звездочками отмечен карциноматозный плеврит — скопление жидкости в плевральной полости. Слева стрелкой отмечен вторичный узел.
Контактные метастазы представлены мягкотканным объемным образованием, прорастающим из сопредельного органа. Это может быть пищевод, трахея, гортань, реже опухоль исходит из плевры (мезотелиома), диафрагмы, ребер, позвонков.


Пример контактного распространения опухоли: мезотелиома плевры, прорастающая в верхнюю легочную долю и грудную стенку. Спиральная компьютерная томография (МСКТ).
Чаще всего метастазы выглядят как множественные очаги. Одиночные вторичные узлы крайне редки и встречаются меньше чем в 5% случаев. Чем больше узлов выявлено, тем выше вероятность их метастатической природы. Одиночный метастаз нужно дифференцировать с первичным раком, для этого обычно требуется тканевое исследование после оперативного вмешательства или биопсии.
Гематогенные метастазы наиболее часто локализуются в периферических отделах легких, вдали от крупных сосудисто-бронхиальных пучков, вблизи плевральной оболочки. При множественных поражениях гематогенного характера наблюдается тенденция к увеличению количества очагов в направлении «сверху-вниз». Чаще гематогенные метастазы расположены хаотично, вне четкой связи с бронхами и видимыми легочными сосудами. Практически не бывает такого, чтобы гематогенные вторичные узлы находились только с одной стороны, или занимали только одну долю или сегмент. При наличии такого распределения в первую очередь нужно думать о туберкулезе (верхние доли), множественных абсцессах и т. д.
Лимфогенные метастазы проявляются увеличением лимфатических узлов средостения в сочетании с мелкоочаговой диссеминацией с очагами до 2-3 мм в диаметре вблизи плевры и в междольковых перегородках, а также по ходу бронхов и сосудистых пучков.


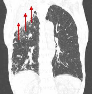
Гематогенные метастазы саркомы мягких тканей бедра на КТ (справа) и рентгенограмме (слева).
Контактные метастазы обычно единичны и располагаются на границе с другими органами, реже со стороны диафрагмы.
Отдельно рассматриваются метастазы первичного рака легкого - гематогенного и лимфогенного характера. Гематогенные могут быть локализованы на стороне поражения или с обеих сторон. Лимфогенные — в лимфоузлах корня на стороне поражения, а также на противоположной стороне. Чем дальше расположены метастазы от основной опухоли, тем хуже прогноз.

Обратите внимание на увеличение и нарушение структуры корня правого легкого. Это центральный рак. Кроме того, выявлены очаговые тени в обоих легочных полях (гематогенное распространение), а также «лучи», идущие радиально от опухоли корня (лимфогенное распространение).
КАК ОТЛИЧИТЬ МЕТАСТАЗЫ В ЛЕГКИХ ОТ САРКОИДОЗА ИЛИ ТУБЕРКУЛЕЗА?
Крайне важно уметь отличить на КТ-изображениях метастазы в легких и следующие очаговые образования:
Первичными злокачественными опухолями
- первичным периферическим раком
- бронхиоло-альвеолярным раком
- лимфомой, саркомой Капоши
Доброкачественными опухолями
Гранулематозами
Воспалительными заболеваниями
- септической очаговой пневмонией и множественными абсцессами
Сосудистыми аномалиями
Нормальными анатомическими образованиями
Отличительные признаки гематогенных метастазов при компьютерной томографии (КТ)
Сделать КТ легких в Санкт-Петербурге
Василий Вишняков, врач-радиолог
Кандидат медицинских наук, член Европейского общества радиологов
2 комментария много:
Dorogoi Pavel! zdravstvuite. u menia takoi diletantni vopros k vam . u moego sina posle lechenia seminomi:bili sdelani dve operacii, pravaia orxeqtomia, potom ximioterapia BEP , potom nabludenie 3-x mesiachnoe,
posle, nabludenia okazalos odin limfouzel stal progressirovat a dva naoborot umenshilis. potom spomoshu
laparaskopii dlia diagnostiki udalili limfadenopatiu i sdelali imunohistologiu, kotori pokazal
opiat metastaz seminomi,i pozitivnie kletki razmnojenia 40%-ov. posle naznachili luchevuu terapiu
i cheraz dva mesiaca pozavchera sdelali kate. kate pokazal metastazi v liogkix i vseredinke
shei , a v jivote tishina , limfouzli unichtojilis.
za ves etot period nekogda v liogkix nichego ne bilo, bilo vsio chisto, i vse organi chistii v chom mi vo vremia lechenii dopustili oshibku, i mojno ili net, chtobi sdelali operaciu peresadki moegoego liogkogo,
moemu sinu, i u oboix budet odno liogkoe. ogromnoe spasibo zaranee
Метастазы в лёгких
Метастатическим или вторичным раком легких называются опухоли, которым дают начало раковые клетки, попавшие в легочную ткань из других органов.
Лёгкие - излюбленная мишень для метастазирования опухолей
Статистика говорит о том, что у 30-55% онкологических больных обнаруживаются метастазы в легких. Злокачественные опухоли дают отсевы в лёгочную ткань: рак любого органа, саркомы, меланомы, заболевания кроветворной и лимфатической системы. Через лёгкие проходит вся кровь, и условия благоприятны для выживания бактерий, вирусов, грибов и опухолевых клеток.
Собирающий лимфу общий лимфатический проток несёт её в крупные вены, которые впадают в верхнюю полую вену. При посредстве правых отделов сердца венозная кровь, смешанная с лимфой, тоже проходит через лёгкие. Площадь структурных единиц, составляющих то, что мы называем лёгкими - лёгочных альвеол - более 150 квадратных метров. Достаточно места, изумительное полнокровие, прекрасные условия для размножения злокачественных клеток.
Иными словами, присутствуют благоприятные условия для распространения раковых клеток в легкие гематогенным (через кровь) и лимфогенным (через лимфатическую систему) путем.

Классификация метастаз в лёгких
Метастатические узлы бывают очень разными, считают, что по плотности они полное отражение первичной опухоли. Если определять плотность на ощупь, то все опухоли тяготеют к каменистости или, по крайней мере, к костной плотности. Но плотность для очагов в лёгких понятие относительное, прощупать их можно только во время операции, которую в метастатической стадии делают чрезвычайно редко. Плотность определяют при рентгенологическом исследовании преимущественно для дифференциальной диагностики, то есть поиска признаков характерных отличий одного заболевания от другого.
Формально метастазы делят на лимфогенные и гематогенные, то есть занесенные в лёгочную ткань с лимфой или кровью, но в каждом конкретном случае разобрать, что принесло раковую клетку в альвеолу вряд ли можно, и практикующему онкологу совсем ненужно, ведь это уже ничего не изменит. Какие бы ни были метастазы по пути распространения, их надо лечить.
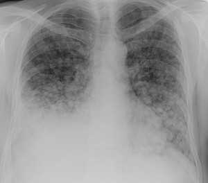
Метастазы в лёгких бывают разными по форме, ее определяют по рентгеновским снимкам:
- Очаговые метастазы, которые на рентгеновском снимке видны образования разного диаметра. Традиционно этот вариант метастазирования считается проявлением менее агрессивной злокачественной опухоли. При небольшом распространении более благоприятно протекают именно очаговые образования. Они как раз считаются преимущественно гематогенными, то есть занесёнными кровью.
- Инфильтративные метастазы, когда опухолевые клетки расползаются по эпителиальной выстилке альвеол, что на рентгенограмме проявляется в виде сетки или разной формы затемнений. Такой вариант традиционно считают вариантом более агрессивной опухоли - агрессивные по течению меланомы и саркомы дают преимущественно очаговые, а не инфильтративные метастазы в лёгких. Эти вторичные проявления относят к лимфогенным.
- Смешанные метастазы - сочетание очаговых и инфильтративных «теней» в лёгких - частое явление в клинической практике.
По числу метастазы могут быть:
- солитарными - один очаг;
- единичными - не более десяти;
- множественными.
Метастатические узлы бывают мелкими и крупными, а ещё сливающимися друг с другом, односторонними, когда поражено одно лёгкое и двухсторонними.
Вокруг метастазов тоже могут жить бактерии, всё-таки по бронхиальному дереву проходит нестерильный воздух, а опухоль меняет местный иммунитет, и возникает воспаление. Когда внутренняя часть опухоли не получает достаточного питания - она отмирает, и в центре образуется полость распада. Если такая полость соединится с бронхом, то в неё могут попасть бактерии, и полость заполнится гноем.
В чем разница между метастазами в легких и метастазами в плевре?
Плевра - пленка из соединительной ткани. Она состоит из двух листков: один покрывает снаружи легкие, а другой выстилает изнутри стенки грудной полости. Плевра интимно спаяна с лёгким. В ней тоже могут возникнуть метастазы, но намного реже. Опухоли из легких могут прорастать в плевру и наоборот. Зачастую в легких обнаруживаются метастазы, а плевра не поражена.
Диагностика
При подозрении на метастазы в легких прибегают к следующим методам диагностики:
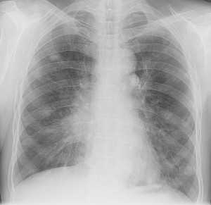
- Рентгенография. Простой и быстрый, но не самый информативный метод диагностики. Обычно на снимках можно увидеть только опухоли размером более 1 см;
- Компьютерная томография. Позволяет обнаружить очаги менее 5 мм. Это недоступно для рентгенографии и МРТ;
- Биопсия легкого. Обычно проводится при помощи иглы. Получают небольшой фрагмент ткани опухоли для исследования;
- Бронхоскопия. Эндоскопическое исследование, во время которого специальный инструмент с источником света и видеокамерой - бронхоскоп - вводят в бронхиальное дерево. Во время процедуры можно провести биопсию.
Как правило, динамическое наблюдение за онкологическим пациентом после лечения первичной опухоли предполагает регулярную рентгенографию органов грудной клетки. При выявлении теней в лёгких, правильно будет сделать компьютерную томографию с введением контрастного вещества. КТ способна выявить очаги меньше 5 мм, что недоступно магнитно-резонансной томографии. В дальнейшем для контроля динамики процесса после лечения также необходимо будет делать КТ.

Бессмысленно перед лечением делать КТ, а после перейти на обычную рентгенографию лёгких, пытаясь сравнивать снимки, чтобы выявить отличие прошлого состояния лёгких с настоящим. КТ обнаружит более мелкие образования, рентген способен в лучшем варианте выявить очаги более 1 см, то есть опухоли меньше сантиметра «выпадают» из-под контроля, когда нет возможности сделать контрольное КТ-обследование. Нельзя оценивать эффект лечения по паре видимых крупных очагов. Некоторые опухоли от химиотерапии уменьшаются, какие-то увеличиваются, а другие месяцами стабильны.
Клиническая симптоматика
Клинические признаки метастазов в лёгких зависят от обширности поражения и присоединения воспалительных изменений.
- боль в груди;
- упорный кашель;
- примесь крови в мокроте;
- ослабленное дыхание;
- хрипы;
- слабость;
- снижение веса.
При одиночных очагах округлой формы, небольшого размера никаких признаков поражения может и не быть, их часто случайно обнаруживают при контрольном обследовании. Площадь лёгких огромна, и несколько квадратных сантиметров опухолевого поражения альвеол не отразятся на газообмене и состоянии пациента. Множество теней, когда их уже не пересчитать, ухудшат самочувствие, провоцируя сухой кашель, плохо откликающийся на средства от кашля.
Инфильтративные метастазы раньше меняют самочувствие, поскольку к ним часто присоединяется воспаление окружающей опухоль ткани - пневмонит. Появляется кашель, может быть температура, слабость, почти как пневмония, но чуть-чуть полегче. Закупорка бронха опухолью приведёт к ателектазу - полной безвоздушности части лёгкого, присоединение инфекции существенно ухудшит состояние, повысится температура, появится одышка. Приём антибиотиков помогает снять воспаление и самочувствие улучшается, но ненадолго, потому что опухоль растёт, и безвоздушная часть лёгкого тоже увеличивается. И опять воспаляется, так и идёт по замкнутому кругу.
Лечение метастазов в лёгкие
Сегодня оперировать метастазы в лёгких стали чаще, чем раньше, но всё-таки операции делают довольно редко. Радикальное лечение метастазов в лёгкие - оперативное в принципе возможно при определённых условиях:
- не должно быть первичной опухоли или рецидива;
- не должно быть метастазов в других органах;
- метастаз в лёгком очаговый и единственный или не более 3 очагов;
- скорость прогрессирования опухолевого процесса должна быть невысокой, как правило, после радикального лечения первичной опухоли до появления метастаза должно пройти более года;
- со времени появления метастаза в лёгком в течение полугода не должно появиться других метастазов;
- состояние пациента должно позволять довольно сложное оперативное вмешательство, потому что во время операции реальная ситуация может оказаться значительно хуже, чем описывалась при компьютерной томографии, и придётся удалять больше запланированного.
Основное лечение метастазов в лёгких - химиотерапия, схема которой определяется первичной опухолью, при раке молочной железы ещё и гормональная терапия, естественно, при наличии чувствительности к ней.
Лучевая терапия множественных метастазов в лёгких проводилась в экспериментальных группах, результаты неудовлетворительные. При единственном довольно крупном очаге облучение возможно, но эффективность много хуже, чем при раке лёгкого. Наличие метастаза, где бы то ни было, показатель диссеминации - разброса злокачественных клеток, что не предполагает хорошего прогноза в отношении возможности полного излечения.
Каковы прогнозы выживаемости?
Метастазы в любом органе говорят о том, что защитные силы организма исчерпаны, опухолевые клетки успели распространиться по разным органам. Ремиссия в большинстве случаев невозможна. Но это не означает, что врач совсем ничего не может сделать. Паллиативное лечение поможет продлить жизнь, избавит от мучительных симптомов.
Паллиативная помощь при метастазах рака в легкие
Часть легкого, занятая опухолью, выключается из процесса дыхания. Поначалу оставшаяся здоровая ткань успешно справляется и работает за целое легкое. Но постепенно опухоль растет, перестает реагировать на химиотерапию и занимает все больше места.Наступает момент, когда оставшаяся здоровая ткань перестает справляться. Легкие больше не могут обеспечить организм нужным количеством кислорода, развивается дыхательная недостаточность. Кислородное голодание затрагивает все органы, в первую очередь — сердечно-сосудистую систему.

Симптомы дыхательной недостаточности нарастают постепенно:
- Поначалу возникает лишь одышка после ходьбы и физических нагрузок;
- Затем одышка начинает беспокоить при минимальных нагрузках, при любой движении;
- В тяжелых случаях человек задыхается постоянно, даже когда лежит в постели. Больного мучит постоянный кашель, слабость, на ногах появляются отеки, сердцебиение учащается. Стоит совершить небольшое движение, и все симптомы усиливаются на порядок.
Страдания больного может облегчить кислородотерапия. Но проводить ее нужно по 15 часов в день. Существуют специальные дыхательные маски, их можно приобрести, и все же проводить такое лечение в домашних условиях очень сложно.
Государственные онкологические клиники не госпитализируют таких пациентов в экстренном порядке. Помощь можно получить в отделении паллиативной медицины, но таких в России пока еще очень мало. В обычном стационаре практически ничем не помогут. Кислородотерапию можно получить в хосписе, но там практически нет симптоматической терапии. При тяжелой дыхательной недостаточности одной кислородотерапии недостаточно. Нужна дыхательная поддержка — искусственная вентиляция легких. В данном случае ИВЛ проводят через маску, интубацию трахеи не проводят.
Такое лечение не избавит от рака и не уничтожит метастазы, но оно способно сильно облегчить состояние больного:
- уменьшится одышка;
- отдохнуть дыхательные мышцы, которым в последнее время пришлось интенсивно работать;
- нормализуется состав крови, уменьшится кислородное голодание;
- уменьшатся даже воспалительные изменения в легких;
- в конце концов, человек перестанет задыхаться, улучшится качество жизни.
Помочь человеку с тяжелым нарушением дыхания в домашних условиях невозможно. Родные постоянно слышат, как он тяжело дышит, хрипит, кашляет, но помочь ничем не могут. Страдают все.
Врачи онкологи и реаниматологи клиник «Евроонко» знают, как помочь пациенту с метастатическим раком легких в рамках паллиативной помощи. Грамотное лечение избавит от тяжелых симптомов, подарит драгоценное время.
Читайте также:
