Рентгенограмма с областью затемнения в правом легочном поле при выпоте: описание, заключение
Добавил пользователь Евгений Кузнецов Обновлено: 22.11.2025

Рентгенография применяется для обследования органов грудной клетки, оценки состояния лёгких, бронхов, трахеи, лимфоузлов, костей, сердечно-сосудистой системы. Современное медицинское оборудование позволяет получить четкое изображение внутренних органов в нужной проекции, что значительно упрощает и ускоряет постановку точного диагноза. Рентгенография даёт возможность выявить различные патологии, новообразования, воспаления, механические повреждения и пр.
Порядок проведения рентгенографии грудной клетки
Предварительная подготовка пациента перед проведением обследования не требуется. Не допускается наличие на теле металлических предметов (нательные кресты, украшения и пр.).
Обследование проходит в отдельном кабинете, где расположено соответствующее оборудование. Необходимо следовать указаниям врача, занять требуемое положение перед сканирующим аппаратом, по команде задержать дыхание. Чаще всего перед задержкой требуется сделать неглубокий вдох. Пациент не должен сильно напрягаться при вдохе, так как это приводит к искаженному расположению органов грудной клетки на снимке.
Чаще всего врачу требуется рентгенограмма в прямой проекции, изображение в боковой проекции нужно значительно реже. При правильно проведённом обследовании четко заметны рёбра, сердце, органы дыхания, частично — кости плечевого пояса.
Длительность исследования — около 1 минуты. После получения снимка, врач делает расшифровку, и доводит до пациента результаты обследования, передает подробное заключение.
Доктора отделения


Результаты исследования органов грудной клетки и расшифровка рентгенограммы
После получения снимка, рентгенолог делает заключение и передаёт его лечащему врачу, который направил пациента для прохождения рентгенографии. Описание содержит информацию о расположении и размере сердца, органах дыхания, состоянии сосудистой и лимфатической системы. При наличии инородных предметов, затемнений, новообразований, это также отмечается в описании результатов исследования.
Рентгенография легких позволяет оценить их состояние размер, форму, структуру тканей, а также расположение прочих органов грудной клетки. Для получения наиболее полной информации о состоянии лёгких, врачу необходима рентгенограмма в 2 проекциях, где чётко просматривается лёгочная ткань, купола диафрагмы, тень сердца и органов средостения, кости позвоночника, плечевого пояса, грудины. Изображение различных органов и костей наложено друг на друга.
Для корректной расшифровки изображения необходимо четкое представление о том, как на рентгенограмме выглядят здоровые органы грудной клетки. К примеру, даже малозаметные затемнения, просветления, ассиметричный легочный рисунок может свидетельствовать о серьёзном заболевании. Регулярное проведение обследований позволяет выявить патологии на ранней стадии и незамедлительно приступить к лечению.
При расшифровке рентгенолог оценивает качество снимка. Неправильное проведение процедуры (некорректное расположение пациента, неверная проекция и пр.) не позволяет составить точное заключение, поэтому может потребоваться повторное обследование.
Причиной некорректного результата обследования могут стать:
- Дополнительные артефакты — тени различных металлических изделий, которые могут заслонять собой очаги патологий и нарушают целостное восприятие снимка врачом
- Полнота снимка — из-за неправильного расположения экрана могут быть некорректно отображены верхушки, поля, синусы диафрагмы
- Недостаточно четкое и контрастное изображение — проявляется при неправильном выборе режима рентген-аппарата. Современное оборудование позволяет выбирать дозу излучения для людей различной комплекции. К примеру, для пациентов со значительной массой тела, ожирением, требуется более сильное излучение для получения четкой рентгенограммы. При оцифровке изображения возможно изменение контрастности снимка
- Положение тела — при неправильном расположении пациента, несвоевременном выдохе, раскрытии лопаток, некорректной установке экрана или рентгенологической трубки рентгенограмма с большой вероятностью будет искажена
Протокол расшифровки рентгенограммы
Любой квалифицированный врач-терапевт распознает на рентгенограмме серьёзные патологические изменения и повреждения. Однако для составления подробного заключения и выявления заболеваний на ранней стадии необходим детальный анализ рентгенограммы. Для удобства рентгенологов разработан алгоритм, по которому составляется протокол расшифровки.
- Точное название обследования — указывается анатомическая область снимка, в какой проекции (боковая, прямая) он выполнен
- Оценка симметрии лёгочных полей
- Выявлены или нет патологические поля (очаговые, диффузные инфильтративные), просветления в ткани лёгких
- Описание лёгочного рисунка (если он нарушен, то это указывает на патологические изменения сосудов лёгких)
- Описание корней лёгких — нарушена или нет структура лимфоузлов, присутствуют или нет патологические изменения крупных бронхов
- Описание тени органов средостения — особенно важно при диагностике заболеваний сердца
- Описание дуги желудочков сердца, крупных сосудов
- Состояние диафрагмы и легочно-диафрагмальных узлов синусов — даётся оценка симметрии стояния диафрагмы, угол синуса, заполнен он или нет (присутствие выпота при плеврите)
Воспалительные процессы и туберкулёз
При анализе рентгенограммы следует чётко разделять заболевания, связанные с воспалением тканей, и туберкулёз лёгких. Туберкулома в большинстве случаев локализована на верхушках лёгочных путей, тень от неё округлая, чаще с просветлением в центре — очагом деструкции. Чётко заметны расширенные корни лёгких.
Воспаление лёгких (пневмония) чётко визуализируется на рентгенограмме. Выглядит как инфильтративная тень на фоне усиления рисунка лёгких, очаг пневмонии нередко окружен просветлениями — локальная компенсаторная эмфизема.
Стоимость услуг
Рентгенограмма с областью затемнения в правом легочном поле при выпоте: описание, заключение
Затмение в легких на рентгене: что это может быть какие бывают болезни
Затмение в легких на рентгене: что это может быть какие бывают болезни
Флюорография легких - это обязательное мероприятие в рамках ежегодного профилактического осмотра. Она необходима для того, чтобы своевременно выявить патологические состояния легких и начать их лечение как можно раньше.
Нередко, на снимках бывают заметными некоторые области затемнения в легких. Большинство пациентов, узнав об этом, начинают паниковать.
Тем не менее, паника - не всегда уместна, ведь требуется определить причину подобного изменения. Не всегда затемненные области органа на флюорографии являются показателями серьезного патологического процесса - они могут возникать исходя из множества причин.

Что такое затмение легких
Легочные патологии по большей части сопровождаются возникновением областей с уплотненными легочными тканями - данное явление происходит вследствие понижения либо полного отсутствия воздушной проходимости на определенных зонах органа, что отображается на рентгеновском снимке в качестве затемненного участка. Описанное симптоматическое проявление способно указывать на патологические процессы как непосредственно в тканях, так и за пределами органа.
Изменения, которые возникли вследствие патологических процессов легочных тканей, могут иметь отличия по собственной интенсивности, количеству, размерным данным и четкости границ.
- Изменения способны указывать на следующие патологии:
- воспалительные процессы и последующее уплотнение тканей;
- опухолевые новообразования;
- спадание, которое образовало непроходимый для воздуха участок;
- прогрессирование туберкулезной инфекции;
- жидкость в плевральной полости;
- воспалительные процессы плевральной области, в том числе и гнойные (абсцессы).
Изменения легких, которые возникают под влиянием нарушений в прочих органах, также могут отображаться на снимках.
К подобным нарушениям относятся такие:
- новообразования ребер и позвоночника;
- нарушения в области пищевода, к примеру - его расширение;
- увеличение размеров лимфатических узлов.
Перечисленные причины затемнения в легких на рентген снимке не говорят о каких-либо патологических процессах непосредственно в дыхательных органах.

Разновидности затемнений
Лёгочным заболеваниям в массе своей сопутствуют уплотнения в тканях лёгких. Это происходит из-за снижения или отсутствия воздушной проходимости на отдельных участках органа. На рентгеновском снимки видны затемнённые пятна. Данный симптом может указывать не только на патологические процессы в самом лёгком.
Затемнения, причины которых связаны с лёгочными патологиями, различаются по своей интенсивности, чёткости, количеству и размерам. Затемнение могут указывать:
- на воспалительные процессы и уплотнение тканей;
- на узлы опухолевых образований;
- на непроходимый для воздуха участок — спадение легкого;
- на развитие туберкулёза;
- на нахождение жидкости в плевральной области лёгких (плевра — оболочка, покрывающая лёгкие и грудную полость);
- на воспаления в плевральной области, возможно, гнойные (абсцессы).
Лёгочные затемнения, которые проявляются под влиянием проблем с другими органами, также могут быть видны на снимках. К ним могут относиться:
- увеличение лимфатических узлов;
- образования на рёбрах или позвоночнике;
- проблемы с пищеводом, например, его расширение.

Типы затемнений
Расположение затемнений, их величина и форма зависят от развившегося патологического поражения лёгкого. Существует несколько типов затемнений в лёгких:
- Очаговое
- Фокусное
- Сегментарное
- Затемнение неопределённой формы
- Долевое
- Затемнение с наличием жидкости
Синдром тотального затемнения
Тотальное затемнение легкого на рентгеновском снимке представляет собой полное или частичное затемнение (не менее 2/3 легочного поля). При этом возможны просветы в верхней или нижней части легкого. Основными физиологическими причинами проявления такого синдрома являются отсутствие воздуха в полости легкого, увеличение плотности ткани всей поверхности легкого, содержание в плевральной полости жидкости или какого-либо патологического содержимого.
К болезням, способным вызвать подобный синдром можно отнести:
- Бронхоскоп в бронхахЧто такое бронхоскопия?
- ателектаз;
- цирроз;
- экссудативный плеврит;
- пневмония.
Для осуществления дифференциальной диагностики заболеваний, опираться необходимо на два основных признака. Первый признак заключается в оценке расположения органов средостения. Оно может быть правильным или со смещением, обычно в сторону противоположную очагу затемнения. Основным ориентиром при выявлении оси смещения является тень сердца, находящаяся большей частью левее средней линии груди, а меньшей правее, и желудок, наиболее информативной частью которого, является воздушный пузырь, всегда четко просматриваемый на снимках.
Второй признак, позволяющий идентифицировать патологическое состояние - это оценка однородности затемнения. Так, при однородном затемнении, с высокой долей вероятности можно диагностировать ателектаз, а при неоднородном - цирроз. Расшифровка результатов, полученных при помощи рентгенографического метода, заключается в комплексной оценке всех визуально обнаруженных патологических элементов в сопоставлении с анатомическими особенностями каждого конкретного пациента.

Синдром ограниченного затемнения
Для выявления причин появления ограниченного затемнения легочного поля, необходимо выполнить снимок в двух направлениях - в прямой проекции и боковой. По результатам полученных изображений, важно оценить какова локализация очага затемнения. Если тень на всех снимках находится внутри легочного поля, и сходится размерами с его контурами или имеет меньший объем, логично предположить поражение легкого.
При затемнении, примыкающем широким основанием к диафрагме или органам средостения можно диагностировать внелегочные патологии (жидкостные включения в плевральной полости). Другой критерий оценки ограниченных затемнений - это размер. В этом случае следует рассматривать два возможных варианта:
Размер затемнения четко повторяет контуры пораженной части легкого, что может свидетельствовать о воспалительном процессе;
Размер затемнения меньше нормальных размеров, пораженного сегмента легкого, что говорит о циррозе легочной ткани или закупорке бронха.
Особо следует выделить случаи, при которых имеется затемнение нормальных размеров, в структуре которых прослеживаются светлые очаги (полости). В первую очередь, в этом случае, необходимо уточнить, содержится ли в полости жидкость. Для этого выполняют серию снимков в различных положениях больного (стоя, лежа или при наклоне) и оценивают изменения в уровне, предполагаемой верхней границы жидкостного содержимого. Если жидкость присутствует, диагностируют абсцесс легкого, а если ее нет, то вероятный диагноз - туберкулез.
Важно! Обнаружение нескольких полостей при ограниченном затемнении легкого характерно для пневмонии, вызванной стафилококком. Такое поражение имеет неблагоприятный прогноз, и часто лечение возможно только с помощью оперативного вмешательства.

Синдром круглой тени
Синдром круглой тени констатирую тогда, когда пятно на легких имеет круглую или овальную форму на двух выполненных перпендикулярно друг другу снимках, то есть спереди и сбоку. Для расшифровки результатов рентгенографии при обнаружении круглой тени опираются на 4 признака:
- форма затемнения;
- локализация затемнения относительно близлежащих органов;
- четкость и толщина ее контуров;
- структура внутреннего поля тени.
Поскольку тень, отраженная на снимке, в пределах легочного поля, может в действительности находиться за его пределами, оценка формы затемнения может существенно облегчить диагностику. Так, округлая форма характерна для внутрилегочных образований (опухоль, киста, инфильтрат, наполненный воспалительным содержимым). Овальная тень в большинстве случаев является результатом сдавливания круглого образования, стенками легкого.
Высокую информативность имеет, и структура внутреннего поля тени. Если при анализе результатов, очевидна неоднородность тени, например, более светлые очаги, то с высокой степенью вероятности, можно диагностировать распад некрозированной ткани (при распадающемся раке или распаде туберкулезного инфильтрата) или формирование полости. Более темные участки, могут говорить о частичной кальцинации туберкуломы.
Четкий и плотный контур, свидетельствует о наличии фиброзной капсулы, характерной для эхинококковой кисты. К синдрому круглой тени относят только те тени, которые имеют в диаметре более 1 см, тени меньшего диаметра считаются очагами.

Синдром кольцевидной тени
Кольцевидное пятно на легком на рентгене, является наиболее простым для выполнения анализа синдромом. Как правило, кольцевидная тень появляется на рентгене в результате формирования полости, наполненной воздухом. Обязательным условием, при котором обнаруженное затемнение относят к синдрому кольцевидной тени - это сохранение замкнутого кольца при выполнении снимков во всех проекциях и в различных положениях тела пациента. Если хотя бы на одном из серии снимков кольцо не будет иметь замкнутое строение, тень можно считать оптической иллюзией.
При обнаружении полости в легком следует оценить равномерность и толщину ее стенок. Так, при большой и равномерной толщине контура, можно предполагать воспалительное происхождение полости, например, туберкулезная каверна. Аналогичная картина наблюдается при абсцессе, когда происходит гнойное расплавление тканей с удаление содержимого через бронхи. Однако при абсцессе, остатки гноя, чаще всего, продолжают находиться в полости и их полное удаление довольно редкое явление, поэтому обычно такая полость - это туберкулезная каверна.
Неравномерно широкие стенки кольца свидетельствуют о процессе распада рака легкого. Некротические процессы в опухолевой ткани, могут вызвать образование полости, но поскольку некроз развивается неравномерно, опухолевые массы остаются на внутренних стенках полости, создавая эффект «неравномерности» кольца.
Важно! Основной сложностью при оценке кольцевидной тени, является определение локализации образования, так как в большинстве случаев подобный синдром наблюдается при внелегочных процессах (деформация ребер, газы в кишечнике, газы в плевральной полости).

Синдром очагового затемнения
Пятна на легких размером более 1 мм и менее 1 см считаются очагами. На рентгеновском снимке можно увидеть от 1 до нескольких очагов, расположенных на значительном расстоянии друг от друга или группой. Если площадь распределения очагов не превышает по площади 2 межреберных пространства, поражение (диссеминация) считается ограниченным, а при распределении очагов на большей площади - диффузным.
Основными критериями оценки очаговых затемнений считаются:
- площадь распространения и расположение очагов;
- контуры затемнений;
- интенсивность затемнений.
При расположении одного или нескольких затемнений в верхних отделах легкого - однозначный признак туберкулеза. Множество очагов при ограниченном распространении является признаком очаговой пневмонии или результатом распада туберкулезной каверны, расположенной, как правило, несколько выше обнаруженных очагов. В последнем случае, на снимке может наблюдаться еще и круглая или кольцевидная тень.
В качестве причины появления одиночного затемнения в любой части легкого, в первую очередь, рассматривают вероятность развития рака или метастаза опухоли. Об этом же свидетельствуют четкие контуры тени. Нечеткие контуры свидетельствуют о воспалительном происхождении затемнений.
Для оценки интенсивности затемнений, их сравнивают с изображением сосудов, визуализирующихся на снимке. Если выраженность очага уступает тени сосуда - это малоинтенсивное затемнение, характерное для очаговой пневмонии или инфильтрированного туберкулеза. При среднем и сильном затемнении очага, когда выраженность равна или темнее сосудистого рисунка, можно судить о затухании туберкулезного процесса.
Поскольку обширная диссеминация очагов может свидетельствовать о более 100 заболеваниях, для разграничения причин, следует оценивать размеры затемнений. Так, мельчайшие очаги, покрывающие всю площадь легкого, могут означать пневмокониоз, милиарный туберкулез или очаговую пневмонию.
Важно! Независимо от того, какие изменения наблюдаются на рентгеновском снимке легких, при анализе результатов следует учитывать присутствие нормального легочного рисунка, для которого характерно присутствие теней сосудистой системы.
В подавляющем большинстве случаев на основании рентгенографии легких нельзя поставить окончательный диагноз, так как анализ полученного снимка позволяет выявить лишь синдром, характерный для того или иного заболевания. Если рентген показал затемнение какого-либо участка, то для уточнения диагноза и оценки динамики развития болезни, необходимо провести комплекс лабораторных исследований и дополнительную диагностику с помощью МСКТ, бронхографии, биопсии и т. д.
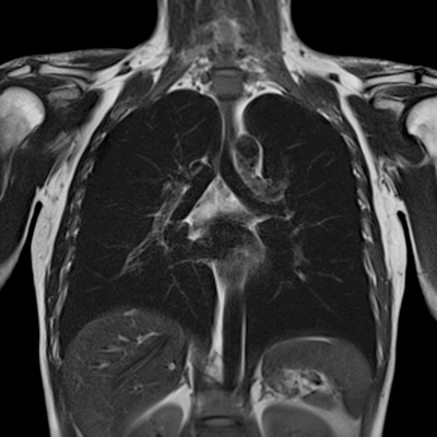
Затемнение в легких на МРТ

МРТ грудной клетки (фронтальная проекция)
Многих пациентов интересует вопрос, что такое затемнение легких, и видно ли патологию на МРТ.
Магнитно-резонансную томографию не часто используют для диагностики органов дыхания. Легочная ткань состоит из заполненных воздухом альвеол, которые визуализируются на снимках размыто. Дыхательные движения и пульсация сердца создают множество артефактов, снижающих качество МР-изображений. При подозрении на воспалительные процессы выполняют, в первую очередь, рентген и КТ легких. Метод магнитно-резонансной диагностики используют для обследования:
- детей;
- беременных женщин (МРТ делают со второго триместра);
- молодых и пожилых пациентов, нуждающихся в регулярном контроле;
- людей с непереносимостью рентгеноконтрастных веществ;
- при подготовке к хирургическому вмешательству;
- с целью стадирования опухолевых процессов.
Что значит затемнение в легких на фотоснимке МРТ?
На изображениях, полученных с помощью рентгена и компьютерной томографии грудной клетки, затемнение в легких означает замещение здоровой части органа патологическим образованием, вытесняющим воздух более плотными массами. Наблюдается при:
- закупорке бронхов, вызывающей ателектаз; ; ;
- злокачественных и доброкачественных опухолях.
В отличие от вышеупомянутых методов диагностики на томографических МР-снимках затемнения и светлые зоны связаны не с заболеваниями, а с режимом сканирования. На фото одни и те же образования могут иметь разный цвет в зависимости от использованной импульсной последовательности при получении сигнала.
МРТ легких наиболее информативна при:
- опухолях в грудной клетке с инвазией в плевру и окружающие ткани;
- дифференциальной диагностике ателектаза, гидроторакса, новообразований и других патологических процессов;
- оценке перфузионных нарушений;
- муковисцидозе.

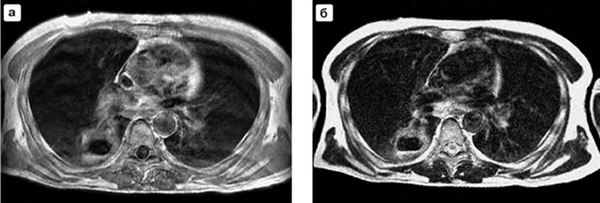
МРТ легких в аксиальной проекции при абсцессе правого легкого (нижняя доля): а - Т1-взвешенное изображение; б - Т2-взвешенное изображение
МР-снимки легких визуализируют:
- скопление жидкости в плевральной полости;
- очаги фиброза;
- новообразования;
- плевриты;
- абсцессы;
- кисты;
- нарушение кровотока в сосудах;
- инфаркт легкого и др.
На МРТ жидкость вокруг легкого, что делать?
Если МРТ показывает жидкость вокруг легкого, речь может идти о выпоте в плевральной полости. Чаще патология развивается в следующих случаях:
- повышенное гидростатическое давление при сердечной недостаточности;
- инфекционные заболевания легких (туберкулез и пр.);
- пониженное осмотическое давление при циррозе печени, почечной недостаточности, нефротическом синдроме и иных вариантах гипопротеинемии;
- пневмония.
Реже избыточное количество жидкости вокруг легкого связано с опухолями (центральный, периферический рак, метастазы из других органов в плевру и лимфатические узлы), системными заболеваниями соединительной ткани. При асците возможно пропотевание через диафрагму. Повреждение сосудов при травмах приводит к скоплению в плевральной полости крови или лимфы.

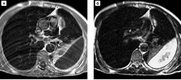
Эмпиема плевры (скопление гноя) слева на МР-снимках легких в аксиальной проекции: а - Т1-взвешенное изображение; б - Т2-взвешенное изображение
Когда МРТ обнаруживает жидкость вокруг или около легкого, следующим этапом диагностики является пункция. Процедуру выполняют под местной анестезией. В грудную клетку вводят тонкую иглу и забирают жидкость для лабораторного анализа. Тактику терапии разрабатывают в зависимости от результатов.
Затемнение на рентгене у взрослых и детей

Весь контент iLive проверяется медицинскими экспертами, чтобы обеспечить максимально возможную точность и соответствие фактам.
У нас есть строгие правила по выбору источников информации и мы ссылаемся только на авторитетные сайты, академические исследовательские институты и, по возможности, доказанные медицинские исследования. Обратите внимание, что цифры в скобках ([1], [2] и т. д.) являются интерактивными ссылками на такие исследования.
Если вы считаете, что какой-либо из наших материалов является неточным, устаревшим или иным образом сомнительным, выберите его и нажмите Ctrl + Enter.

Достаточно часто в рамках диагностических мероприятий врач назначает пациенту рентгенографию. Эту процедуру проводят для выявления патологий, повреждений тканей и органов, а также для уточнения результатов других исследований. Расшифровкой рентгеновского снимка занимается специалист-рентгенолог, который затем направляет полученную информацию лечащему врачу. А вот для рядового пациента такая «расшифровка» часто оказывается непонятной. Так, если обнаруживается какое-либо затемнение на рентгене, многие больные начинают излишне переживать, поскольку не знают сути ситуации. Стоит ли паниковать, если снимок содержит пятна или затемнения, и что это означает?
Что означает затемнение на рентгене?
Когда пациентам говорят о присутствии затемнения на рентгене, то многие из них начинают переживать, предполагая у себя злокачественные процессы. В действительности, опухоль проявляется некоторым затемнением, однако она - лишь одна из многочисленных причин такого симптома. Поэтому не стоит сразу бояться: важно получить как можно больше информации об этом явлении и ознакомиться со всеми возможными факторами возникновения затемнений на рентгене.
А причины могут быть следующими:
- Неправильная работа рентгеновского аппарата, применение низкосортной пленки, неправильная процедура проявления снимка.
- Присутствие инородных тел в органах и тканях.
- Следы от предыдущих хирургических операций (рубцы).
- Воспалительные очаги.
- Скопления гельминтов, паразитов.
- Следы от переломов и других костных повреждений.
- Присутствие жидкостей.
- Доброкачественные и злокачественные опухоли, метастазы.
Если врач обнаруживает затемнение на рентгене, может потребоваться дополнительная диагностика. Это необходимо для уточнения причин и нюансов заболевания. Лечение может назначаться только после завершения всех исследований. Кроме этого, учитываются жалобы больного, клиническая симптоматика, общее самочувствие.
Каким может быть затемнение в легких на рентгене?
Затемнение в легких оценивается доктором по таким показателям:
- Локализация затемнения - вверху, внизу, в средней части легкого. Кроме этого, затемнение может находиться в области наружной, средней или внутренней легочной доли.
- Размер затемнения важен для оценки площади патологического процесса.
- Интенсивность затемнения помогает определить плотность очага (средняя, слабая и выраженная).
- Общие характеристики очертаний: границы ровные, рваные и пр. Часто именно этот показатель дает возможность заподозрить то или иное заболевание.
Это наиболее важные, но не все признаки, на которые доктор обращает внимание в ходе расшифровки и постановки диагноза. Кроме этого, обязательно учитывается тип и форма затемнения на рентгене:
- Долевое затемнение имеет четкие границы, своеобразную вогнутость или выпуклость. Может быть признаком воспалительного или деструктивного процесса. Локализация долевого затемнения в средне-нижней зоне легкого может говорить об опухолевом образовании.
- Очаговое затемнение в легких на рентгене представляет собой небольшое (около 10 мм) пятнышко, указывающие на воспалительный процесс, сосудистую патологию, либо на развитие периферического рака, туберкулеза или легочного инфаркта. Если очаги обнаруживаются наряду с жалобами больного на боли в голове, кашель и давление в грудной клетке, то можно заподозрить бронхопневмонию.
- Затемнения неопределенной формы, как правило, неинтенсивны и не имеют явной конфигурации. Для того чтобы поставить диагноз в подобной ситуации назначают дополнительную диагностику - в частности, магнитно-резонансную или компьютерную томографию. Чаще всего расплывчатые пятна становятся признаком плеврита, воспаления легких, либо некоторых опухолевых процессов.
- Жидкостное затемнение - это верный признак легочного отека. Влага может собираться вследствие высокого сосудистого давления, при повышении проницаемости сосудов. В подобной ситуации наблюдается выраженное нарушение легочной функции.
- Сегментарное затемнение имеет схожесть с треугольником. Подобное случается как при злокачественных заболеваниях, так и при туберкулезе, пневмонии и пр. В такой ситуации важна достаточная квалификация доктора - и в плане диагностики, и относительно грамотного назначения лечения.
- Фокусное затемнение представляет собой одинокое пятно размером до 10 мм. Такой признак часто указывает на пневмонию, туберкулез, кистозные и гнойные образования.
Адекватный специалист никогда не будет ставить диагноз только лишь по типу и локализации темных пятен на рентгене. Обычно требуется полная комплексная диагностика, в том числе и лабораторные анализы.
Когда доктор сталкивается с сочетанием патологических симптомов, дополнительная диагностика должна следовать обязательно. Более того, при выявлении затемнения врачу следует дифференцировать заболевание и ответить на такие вопросы:
- Обнаруженное пятно специфично или нет (туберкулез)?
- Имеет ли затемнение признаки воспалительной реакции?
- Может ли идти речь о злокачественном процессе?
- Имеются ли признаки какой-либо нераспространенной (редкой) патологии?
Затемнение правого легкого на рентгене
Важно понимать, что любое затемнение легких, справа или слева - это не диагноз, а только один из признаков заболевания. О каком заболевании идет речь, станет понятно после проведения всего комплекса диагностики. По итогам доктор сопоставит все результаты и симптомы и только после этого поставит окончательный диагноз.
Легочным патологиям в большинстве своем сопутствуют различные очаги уплотнения в тканях легких. Подобное случается в результате ухудшения или полной блокировки воздушной циркуляции в некоторых зонах органа. Такие уплотнения на рентгеновском изображении имеют вид затемнений.
Небольшие затемнения очагового характера преимущественно справа могут свидетельствовать о начале развития какого-либо легочного заболевания. При рассмотрении всего одного снимка нельзя четко ответить на вопросы о причине появления неполадки и её происхождении. Поэтому обязательно должны быть назначены вспомогательные виды диагностики - например, КТ, МРТ, либо та же рентгенография, однако выполненная в других ракурсах. Дополнительно в лаборатории исследуются моча, кровь, мокротные выделения и пр.
Если небольшие затемнения на рентгене отмечаются одновременно с такими симптомами, как высокая температура, слабость, боль в голове, кашель, боль в грудной клетке, то можно заподозрить пневмонию (бронхопневмонию).
Если лабораторные исследования не обнаружили в крови явных изменений, то это позволяет задуматься о наличии очагового туберкулеза. В подобной ситуации пациент озвучивает жалобы на плохой аппетит, ощущение усталости, сухой кашель, боль в груди. Для исключения или подтверждения подозрения назначают соответствующие исследования.
При легочном инфаркте в у большинства пациентов обнаруживаются тромбофлебит нижних конечностей, нарушения со стороны сердечно-сосудистой системы, боли сбоку грудной клетки, иногда - кровохарканье.
Рак легких - это злокачественное заболевание, которое развивается чаще в правом легком. При этом верхние доли поражаются чаще, чем нижние. Стало быть, затемнение верхней части легкого на рентгене должно насторожить и стать поводом для дальнейшей тщательной диагностики, в том числе и дифференциальной: подобное явление следует отличать от туберкулеза.
Это наиболее частые патологии, которые фиксируются на рентгеновском снимке в виде затемнений. Однако существует и ряд других, менее распространенных, и вероятность их развития также необходимо учитывать.
Затемнение в легких на рентгене у ребенка
Особого подхода требует обнаружение затемнения в легких у пациентов детского возраста. Расшифровка снимка должна быть максимально подробной, с полными характеристиками всех патологических изменений.
- Увеличенные корни легкого слева или справа чаще всего говорят о бронхите или пневмонии.
- Углубленный сосудистый рисунок легкого слева или справа указывает на нарушенное кровообращение в дыхательной системе, на сердечно-сосудистые проблемы, однако может быть признаком бронхита, пневмонии или начальной стадии онкопатологии.
- Наличие фиброза (фиброзной ткани) - это результат выполненных ранее операций или травм органов дыхания.
- Наличие фокусных теней с одновременным усилением сосудистого рисунка - это типичная картина воспаления легких.
Обнаруженное затемнение может свидетельствовать о массе различных болезней. Поэтому не стоит самостоятельно ставить ребенку диагноз. Важно продолжить диагностику. К примеру, доктор может назначить такие виды исследований:
- диаскин-тест (предпочтительнее), либо проба Манту;
- анализ мокроты;
- компьютерная томография легких;
- бронхоскопия, трахеобронхоскопия;
- общий анализ крови, биохимический анализ крови, анализ на онкомаркеры.
Необходимость в тех или иных исследованиях определяется индивидуально.
Затемнение на кости на рентгене
Рентген костно-суставной системы - это один из распространенных методов диагностики, который помогает установить диагноз, выявить осложнения и определиться с дальнейшим лечением. В первую очередь, такое исследование выполняют при подозрении переломов, костных трещин, вывихов и подвывихов, повреждений связок. Также можно обнаружить вторичные костно-суставные нарушения, процессы дегенерации и пр.
При костном переломе отмечается линейное осветление поврежденного места, на фоне остального структурного затемнения. Линия излома заметна не во всех случаях.
При остеопорозе уменьшается плотность кальциевых солей в ткани кости, что отмечается на рентгене в виде участков затемнения. Если нарушение имеет выраженный характер, то структура хорошо пропускает рентгеновские лучи, что приводит к появлению явных темных пятен.
При ассимилированном периостите обнаруживаются сочленения кальциевых отложений с основной костью, что следует отличать от избыточной костной мозоли после сросшегося перелома.
Повреждение фасций, сухожилий, связок вызывает формирование гематом, в которых происходит отложение кальциевых солей, поэтому этот процесс просматривается затемнениями на снимке. Причинами такой патологии могут стать травмы, физические перегрузки и пр.
Затемнение на ребре на рентгене, как и на других костях, появляется в ходе формирования костной мозоли после перелома. В данном случае мозоль представляет собой участок соединительной ткани, который образуется при заживлении кости. Рентгенологически процесс регенерации выглядит следующим образом:
- через несколько недель появляется слабоинтенсивное муфтообразное затемнение по костной окружности;
- постепенно интенсивность затемнения нарастает;
- по завершению формирования костной мозоли определяется выраженное затемнение по окружности, а между отломками появляются костные балки.
Затемнение пазух носа на рентгене
Насколько может быть опасным затемнение носа на рентгене? Подобное заключение часто озвучивают при диагностике различных патологий ЛОР-органов. Если сказать проще, то затемнение чаще всего указывает на воспалительную реакцию в том или ином отделе (пазухе) с появлением выделений. Рентгеновское исследование зачастую рекомендуют для пациентов с гайморитами, фронтитами и синуситами.
На снимке, полученном на рентгене, удается рассмотреть верхнечелюстные и лобные пазухи, решетчатый лабиринт. А интенсивность затемнения дает возможность оценить стадию заболевания и его запущенность. Выраженные тени указывают на сильные скопления гнойных выделений - то есть, на активное размножение патогенной флоры. Возбудителями гайморитов и фронтитов чаще всего становятся пневмококки и стрептококки, которые становятся особенно активными на фоне продолжительного ринита, если лечение не проводилось, либо было неграмотным. Воспалительная реакция вызывает отек слизистой, который блокирует выведение скопившихся выделений, что становится дополнительным фактором усиленного размножения микробов.
Затемнение гайморовой пазухи на рентгене может сочетаться с утолщением слизистых тканей, что случается в результате:
- острого воспалительного процесса;
- аллергического процесса;
- продолжительного хронического воспаления.
Однако проблема может быть вызвана не только воспалением - например, затемнение лобной пазухи на рентгене может означать кисту, которая хорошо визуализируется на снимке. Другими причинами могут стать аденоиды и полипы, которые провоцируют особую склонность к насморкам и со временем способны привести к развитию синуситов.
Рентгенографию придаточных пазух назначают для оценки стадии развития патологии. К примеру, если процесс достаточно запущенный, то на рентгеновском снимке он может иметь вид субтотального или тотального затемнения.
Характерным рентгеновским признаком различного рода выделений в пазухах является «молоко в стакане». Этот симптом произошел из-за свойства жидкости всегда принимать горизонтальное положение, вне зависимости от положения пациента. Затемнение на рентгене в этом случае может быть одностороннее или двустороннее.
При расшифровке снимка пациента, у которого подозревается гайморит, обращают внимание на наличие жидкости, которая отображается на темном фоне со светлым контуром. При сильном воспалительном процессе затемнение будет обнаружено над носом, а если тени присутствуют одновременно в нескольких полостях, то говорят не о гайморите, а о фронтите. Поскольку не всегда затемнение пазух носа на рентгене значит наличие воспаления, врач может дополнительно назначить контрастную рентгенографию. Это необходимо для определения кистозных и опухолевых новообразований, которые будут четко отображаться в виде выраженного округлого контура.
Затемнения случаются в случае попадания в носовую полость инородного тела.
Затемнение на рентгене зубов
Рентгенография широко применяется в сфере лечебной и ортопедической стоматологии, челюстно-лицевой хирургии, травматологии, а также для обнаружения кистозных и опухолевых образований. Данный диагностический метод помогает определить состояние зубов без их вскрытия, прояснить численность корневых каналов. Особенно незаменим рентген перед зубной имплантацией: снимок позволяет оценить объем и рассмотреть структуру костной ткани, что необходимо для правильной и качественной постановки имплантата.
Легкие стадии кариозного поражения зубов без сильного повреждения эмали на рентгене не отображаются. Кариес можно обнаружить только при средней или глубокой степени, либо при развитии осложнений:
- кариес имеет вид ограниченного затемнения на рентгене, с пониженной плотностью;
- осложненный кариес выглядит, как нарушение формы и анатомической структуры зуба с многочисленными гранулемами и дентиклями.
Пульпит на рентгеновском снимке обозначается затемнением в центральном или нижнем участке зуба. Если речь идет о тяжелом течении заболевания, то на изображении появляются дентикли - разного количества уплотненные полости в зоне корневого канала.
Кисты зуба имеют вид затемненных очагов, локализованных в районе зубного корня. Такие очаги имеют ровные границы и не спаиваются с близлежащими тканями. В некоторых случаях кисты могут затрагивать одновременно два зуба.
Периодонтит представляет собой гнойный процесс в прикорневой зоне, который на рентгене выглядит, как затемнение в виде небольшого мешочка.
Затемнение на сердце на рентгене
В ходе рентгенологического исследования органов грудной клетки можно определить сердечную тень, которая похожа на овал, расположенный по косой линии слева. Миокард дает плотное затемнение, однородное по структуре, с четкими и ровными очертаниями и дугообразной конфигурацией. Каждая из дуг отображает определенную сердечную камеру, а при распрямлении говорят о наличии миокардиальной патологии.
Кроме непосредственно затемнения сердца, на рентгеновском снимке могут просматриваться:
- сосудистые или клапанные кальцификации;
- изменения легочного рисунка;
- расширение околосердечной бурсы.
Существуют такие варианты тени сердца:
- правое расположение;
- со сдвигом в плевральную полость (из-за выпота);
- со смещением из-за опухоли или диафрагмальной грыжи;
- с перемещением из-за легочного сморщивания.
Затемнения на рентгене обнаруживаются при воспалительных процессах в околосердечной оболочке (отмечается присутствие жидкости вокруг сердца, между перикардиальными листками), при отложении кальция на стенках сосудов (кальциноз коронарной артерии).
Рентген сердца могут выполнять в двух вариантах: стандартное бесконтрастное исследование или с контрастом, для лучшей подсветки границы левого предсердия.
Затемнение на рентгене может говорить как об опасных легочных и прочих патологиях, так и о низкосортной пленке. Поэтому в подобной ситуации не стоит паниковать, поскольку рентгенограмма является лишь одним из методов диагностики, и только по одному полученному изображению врач никогда не поставит окончательный диагноз.
В целом, затемнение на рентгене имеет вид белого пятна (так как используется негативная картинка), а вот происхождение его может быть вызвано массой причин. Для уточнения ситуации в обязательном порядке назначают ряд дополнительных исследований, а также, при необходимости, рентген в другой проекции.
Затемнение легочного поля или его части

Большинство заболеваний легких сопровождается уплотнением легочной ткани, т.е. снижением или отсутствием ее воздушности. Уплотненная ткань сильнее поглощает рентгеновское излучение. На фоне светлого легочного поля появляется тень или, как принято говорить, затемнение. Положение, величина и форма затемнения зависят, естественно, от объема поражения. Различают несколько типовых вариантов затемнения. Если патологический процесс захватил все легкое, то на рентгенограмме в той или иной степени затемнено все легочное поле. Этот синдром обозначают термином «обширное затемнение легочного поля». Обнаружить его не составляет труда - он бросается в глаза при первом взгляде на снимок. Однако нужно сразу же определить его субстрат. Затемнение всего легочного поля чаще всего вызывается закупоркой главноео бронха и ателектазом соответствующего легкого.
Ателектазированное легкое безвоздушно, поэтому тень его однородна. Кроме того, оно уменьшено, поэтому органы средостения смещены в сторону затемнения. Этих двух признаков достаточно, чтобы распознать ателектаз легкого и с помощью томографии и фибробронхоскопии точно установить его происхождение (опухоль главного бронха, его повреждение, инородное тело). Схожая картина может быть получена после удаления легкого (пневмонэктомии), но такой вариант ясен из анамнеза.
Другим патологическим процессом, при котором органы средостения смещены в сторону обширного затемнения, является фиброторакс с циррозом легкого. Однако при этой патологии затемнение никогда не бывает однородным: на его фоне различимы участки сохранившейся легочной ткани, вздутые дольки, иногда полости, грубые фиброзные тяжи и т.д.
Воспалительная инфильтрация очень редко распространяется на все легкое. Если это все же произошло, то также наблюдается обширное затемнение легочного поля. Его отличают от ателектаза не только по клинической картине, но и по рентгенологическим симптомам. Органы средостения при пневмонии остаются на месте, а на фоне затемнения можно уловить просветы бронхов, заполненных воздухом.
Наконец, очень важно указать, что затемнение легочного поля может быть обусловлено не только уплотнением легочной ткани, но и жидкостью, скопившейся в плевральной полости. При большом выпоте затемнение становится обширным и однородным, как при ателектазе, но органы средостения при этом смещены в противоположную сторону.
Неизмеримо чаще патологический процесс поражает не все легкое, а только долю, часть доли, сегмент или даже субсегмент. На рентгенограммах обнаруживают тень, по положению, величине и форме совпадающую с измененной долей, сегментом или субсегментом. Этот синдром получил наименование «ограниченное затемнение легочного поля». Субстратом его являются инфильтрация легочной ткани (накопление любого экссудата в альвеолах), ателектаз или склероз легочной ткани, опухолевое разрастание.
Обнаружив ограниченное затемнение на рентгенограммах, нужно прежде всего установить его топографию, т.е. определить, какая доля, сегмент или субсегмент уплотнен. Задача по существу простая, если имеются снимки в двух проекциях, поскольку каждая доля и каждый сегмент занимают определенное место в грудной полости. Сложнее установить субстрат затемнения. Разумеется, данные анамнеза, результаты клинического и лабораторного исследований нередко проливают свет на природу уплотнения легочной ткани. Однако, учитывая клинические сведения, рентгенолог всегда составляет собственное мнение, руководствуясь рядом соображений. Их удобно перечислить на примере поражения верхней доли правого легкого.
При пневмонической инфильтрации затемнение по размерам соответствует доле, имеет четкую прямую или выпуклую книзу границу, отделяющую ее от средней доли (междолевая плевра). На фоне затемнения могут быть видны просветы бронхов. Положение средостения не изменено. При ателектазе доля уменьшена, нижняя граница втянута, тень однородна, а средостение слегка смещено в сторону затемнения. При пневмосклерозе доля также уменьшена, а средостение перетянуто в ее сторону, но затемнение неоднородно: на его фоне видны просветления, соответствующие вздутым участкам сохранившейся легочной ткани или полостям, а также переплетающиеся темные полоски фиброзной ткани. В отличие от ателектаза проходимость бронхов сохранена, что прекрасно отображается на томограммах.
Приведенные соображения по дифференциальной диагностике полностью относятся к внутридолевым сегментарным патологическим процессам. Однако чем меньше объем поражения, тем обычно труднее разгадать его природу. Наиболее общие соображения здесь таковы. Пневмоническая и туберкулезная инфильтрация имеет вид разлитых или очаговых затемнений с нерезкими очертаниями (подробнее см. ниже). Об опухолевом разрастании свидетельствует более или менее отграниченная тень с неровными контурами. В ней не прослеживаются просветы бронхов, могут быть видны увеличенные лимфатические узлы в корне легкого. Уплотнение, обусловленное крупным инфарктом легкого, дает треугольную тень, основанием примыкающую к грудной стенке или междолевой границе. Конечно, диагностике инфаркта помогают такие факты, как наличие явного источника тромбоэмболии (например, тромбофлебит нижней конечности), боли в груди, одышка, кровохарканье, перегрузка правых отделов сердца, выявляемые при электрокардиографи и.
Затемнение части легочного поля совсем не обязательно связано с уплотнением легочной ткани: опухоль, растущая из ребра или плевры, плевральная шварта и плевральный выпот также вызовут затемнение легочного поля, поскольку они тоже поглощают большое количество рентгеновского излучения. Однако с помощью рентгенограмм в разных проекциях и тем более компьютерных томограмм всегда можно установить краевую локализацию поражения, вне легочной ткани.
Ограниченное затемнение части легочного поля может быть обусловлено диафрагмальной грыжей, т.е. выходом органов брюшной полости в грудную полость через дефект в диафрагме. В этом случае затемнение неотделимо от контура диафрагмы, резко отграничено от легочной ткани. Если в составе грыжи находятся часть желудка или кишечные петли, то затемнение неоднородно из-за наличия просветлений, обусловленных скоплениями газа в этих органах. Все сомнения устраняет исследование, проведенное после приема больным бариевой взвеси, которая последовательно заполняет желудок и кишечник. В этом случае на снимке видно, какая часть пищеварительного канала находится в составе грыжи, и можно установить локализацию грыжевых ворот.
В особый синдром круглой тени в легочном поле выделяют ограниченные затемнения легочного поля, при которых тень патологического образования на снимках во всех проекциях имеет форму круга, полукруга или овала диаметром более 1 см. Такую тень обусловливает фокус поражения шаровидной или овоидной формы. Субстратом могут быть эозинофильный инфильтрат, туберкулезный инфильтрат или туберкулема, округлый участок пневмонической инфильтрации, инфаркт легкого, закрытая киста (бронхиальная, ретенционная, эхинококковая, альвеококковая), аневризма, доброкачественная опухоль, злокачественная опухоль (первичная или метастатическая) и многие другие патологические состояния.
Дифференциальная диагностика одиночных и множественных круглых теней в легких иногда затруднена. В этих случаях важную роль играют данные анамнеза и клиническая картина заболевания (например, при пневмонии, инфаркте легкого, метастатических опухолях). Кроме того, большую помощь оказывает то обстоятельство, что многие заболевания, при которых на рентгенограмме видны круглые тени, встречаются редко. «Что часто, то часто, а что редко, то редко», - любят повторять старые рентгенологи. Практически приходится различать главным образом закрытые кисты, туберкулемы и опухоли легких.
Закрытая киста определяется как тень круглой или овоидной формы, резко отграниченная от окружающей легочной ткани. При КТ киста сразу выдает себя, так как, по данным денситометрии, содержимым ее оказывается жидкость.
Дифференцирование туберкулемы, доброкачественной опухоли и ракового узпа облегчается, если имеются рентгенограммы, выполненные ранее, поскольку можно установить темп роста образования. В противном случае может возникнуть необходимость в трансторакальной пункционной биопсии, поскольку рентгенологическая картина при этих патологических состояниях может быть очень схожей. Однако существуют и надежные опорные пункты для рентгенологической дифференциальной диагностики. Из доброкачественных опухолей легкого наиболее часто наблюдается гамартома. Она, так же как туберкулема и рак, дает на рентгенограмме округлую тень с резкими и не совсем ровными очертаниями, но ее легко распознать, если в глубине узла имеются известковые или костные включения. Признаками туберкулемы в известной степени можно считать туберкулезные очаги вокруг нее или в других отделах легких, а также наличие шелевидной полости в том месте, где в туберкулему входит дренирующий бронх. О первичном раке легкого свидетельствуют быстрый рост, появление узких полосок лимфангита к периферии от узла и в направлении корня легкого, увеличение лимфатических узлов в корне. При обнаружении в легком одиночного шаровидного образования рекомендуется применять следующую диагностическую программу.
Своеобразной формой затемнения является кольцевидная тень в легочном поле - рентгенологическое отображение полости, содержащий газ или газ и жидкость. Обязательным требованием для выделения такого синдрома служит замкнутость кольца на рентгено граммах в разных проекциях. Дело в том, что на снимке в какой либо одной проекции пересекающиеся тени сосудов могут напоминать кольцо. Иногда кольцевидные фигуры на снимке в одной проекции могут быть образованы костными мостиками между ребрами.
Полость абсцесса содержит газ и жидкость; в ней виден характерный горизонтальный уровень жидкости. Стенки абсцесса толстые, а в окружающей легочной ткани расположена зона инфильтрации с нерезкими расплывчатыми очертаниями. Свежая туберкулезная каверна имеет вид кольцевидной тени, вокруг которой разбросаны туберкулезные очаги или расположен пояс уплотненной легочной ткани. Внутренний контур полости вначале неровный, бухтообразный, затем становится гладким. Размеры каверны колеблются от нескольких миллиметров до нескольких сантиметров. Периферический рак легкого отнюдь не редко дает симптом полости. В результате распада некротизированной опухолевой ткани в нем возникает одна или несколько полостей с фестончатыми краями. По мере отторжения некротических масс полость может стать округлой с ровными очертаниями, но всегда хотя бы на ограниченном участке остается бугристая масса на стенке полости. Наружные контуры полости неровные и сравнительно резко отграничены от окружающей легочной ткани.
Наиболее часто наблюдающимся видом затемнений являются очаговые тени. Этим термином обозначают округлые или неправильной формы теневые образования, размеры которых варьируют от 0,5 мм до I см. Условно принято считать очаги до 2 мм милиарными, от 2 до 4 мм мелкими, от 4 до 8 мм средними и от 8 до 12 мм крупными. Заметим лишь, что одиночный круглый очаг размером более 1 см обычно относят к синдрому круглой тени в легочном поле.
Число очаговых теней может быть разным. В одних случаях это одиночное образование, в других - группа рядом расположенных очагов. Иногда имеется множество очагов. Если они охватывают довольно значительную область, но не большую, чем верхушка легкого и два прилежащих межреберья на прямой рентгенограмме, говорят об ограниченной диссеминации. Большее по территории рассеяние очагов именуют распространенной диссеминацией. Встречаются, наконец, случаи диффузной диссеминации, когда очаги густо усеивают оба легких.
При анализе рентгенограмм следует прежде всего учитывать локализацию очагов. Расположение их в верхушках и наружных отделах подключичной зоны в большинстве случаев указывает на туберкулезную природу заболевания - очаговый туберкулез легких. Наличие очагов в средних и нижних отделах легких характерно для очаговой пневмонии. С особой тщательностью необходимо анализировать контуры и структуру очагов, а также легочный фон вокруг них. Нерезкие очертания очагов - признак активного воспалительного процесса. Об этом же свидетельствуют усиленный рисунок в той же зоне и склонность очагов к слиянию. Плотные четко очерченные очаги - свидетельство гранулематозного или же затихшего воспалительного поражения. Часть туберкулезных очагов в неактивную фазу заболевания обызвествляется.
Обычно диагностика и установление природы очаговых образований в легких при должном внимании к клиническим данным больших трудностей не вызывают. Сложности возникают главным образом при диффузных диссеминациях. Как правило, решение выносят на основании результатов анализа обзорных рентгенограмм легких, но при наличии клинических признаков активности туберкулезного процесса или тесно сгруппированных очагов целесообразно выполнить томографию с целью выявления полостей, невидимых на обзорных снимках.
Читайте также:
