Синдром Потрие-Воренже (Pautrier-Woringer) - синонимы, авторы, клиника
Добавил пользователь Евгений Кузнецов Обновлено: 21.01.2026
ЛИПОМЕЛАНОТИЧЕСКИЙ РЕТИКУЛЁЗ (греч. lipos жир + melas, melanos черный; лат. reticulum сеточка + -osis; син.: синдром Потрие—Воренже, липомеланотический гиперпластический ретикулит, липомеланотическая лимфаденопатия, пигментированная лимфогранулема с генерализованными кожными явлениями, доброкачественный гиперпластический ретикулогистиоцитоз с меланодермией, лимфаденическая эритродермия, дерматопатическая лимфаденопатия, дерматопатический лимфаденит) — неспецифическая доброкачественная реактивная ретикулярная гиперплазия поверхностных лимфатических узлов, сопровождающая различные хронические болезни кожи.
В 1932 г. Потрие и Воренже (L. М. Pautrier, F. Woringer) сообщили о своеобразной гистопатологической структуре лимф, узлов у больных генерализованными зудящими дерматозами, к-рую они в 1937 г. на основании наиболее характерного признака (гиперплазии ретикулярных клеток с накоплением в них липидов и меланина) назвали липомеланотическим ретикулезом. В 1942 г. Хервитт (E. S. Hurwitt) описал аналогичный синдром как дерматопатический лимфаденит. Последнее название представляется более целесообразным, т. к. оно отражает сущность патол, процесса, который не является ретикулезом в истинном смысле слова.
Этиология и патогенез
Причинами развития Л. р. являются различные хрон, дерматозы (см.), особенно протекающие с явлениями эритродермии и сопровождающиеся упорным зудом. Так, Л. р. наблюдается у больных эритродермией, развившейся при рецидивах экземы, нейродермита, красного плоского лишая, псориаза, а также при упорном генерализованном зуде, грибовидном микозе и др.
Развитие Л. р. связывают с проникновением в лимф, узлы меланина, что подтверждается в экспериментах при парентеральном введении морским свинкам экстракта меланина, вызывающего у них трансформацию лимф, узлов по типу дерматопатического лимфаденита. По мнению Потрие и Воренже, при развитии Л. р. в пораженной коже активизируются меланофаги и усиливается транспортировка меланина по лимф, сосудам в регионарные узлы. Происхождение жировых веществ, обнаруживаемых в лимф, узлах, остается неясным. Однако накопление липидов и меланина в лимф, узлах не является строго обязательным.
Патогистология

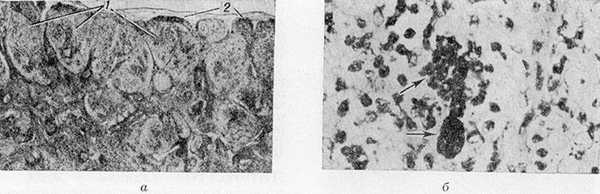
Микропрепараты лимфатического узла больного липомеланотическим ретикулезом: а — обширная ретикулярная гиперплазия (1) и сохранившаяся капсула (2), X 13; б — отложения меланина внутри и внеклеточно (указано стрелками), х 750.
Капсула лимф, узла сохранена, периаденит отсутствует. Структура узла, как правило, не нарушена. Иногда она может быть стертой. В корковом веществе — скопление ретикулярных клеток с веерообразно расположенными новообразованными капиллярами. Синусы сохранены, хотя нередко бывают замаскированы воспалительным инфильтратом, состоящим из лимфоцитов и в меньшей степени эозинофилов, нейтрофилов и плазматических клеток. Лимф, фолликулы могут быть гиперплазированы (рис., а), однако в периферических зонах лимф, узла они чаще кажутся атрофичными в результате их сдавливания ретикулярными клетками. В большинстве случаев часть ретикулярных клеток содержит фагоцитированные меланин, липиды, иногда гемосидерин. Меланин обнаруживается и внеклеточно (рис., б).
Описаны случаи трансформации Л. р. в лейкоз, лимфогранулематоз, лимфосаркому. Блюфарб и Уэбстер (S. М. Bluefarb, G. R. Webster, 1950) отождествляли Л. р. с фолликулярной лимфомой Брилла—Симмерса. Ряд исследователей, напр. Раппопорт (Н. Rappoport, 1966) и Добреску (G. Dobrescu) с соавт. (1975), рассматривает Л. р. как процесс, который не малигнизируется даже в тех случаях, когда сопровождает злокачественно текущие заболевания.
Некоторые авторы полагают, что дерматопатический лимфаденит, развивающийся при системных опухолевых или лейкемических поражениях кожи, относить к Л. р. не следует.
Понятие «липомеланотический ретикулез» они ограничивают лишь аденопатией, сопровождающей «банальные» дерматозы.
Клинические проявления
В наибольшей степени страдают подмышечные и шейные лимфатические узлы. При локализации дерматоза на нижних конечностях Л. р. ограничивается пахово-бедренной областью. С другой стороны, Л. р. может проявляться полиаденопатией. Глубокие лимф, узлы в процесс не вовлекаются. Лимф, узлы увеличиваются до размеров 3—4 см в диаметре, плотные, безболезненные, друг с другом не спаиваются и не нагнаиваются. С разрешением причинного дерматоза аденопатия регрессирует.
Ряд авторов отмечает как характерный признак Л. р. гиперпигментацию кожного покрова, подчеркивая параллелизм ее развития с отложением меланина в лимф, узлах.
Диагноз основывается на клин. проявлениях, обязательно подтвержденных гистол, исследованием лимф, узлов.
Л. р. дифференцируют с лимфогранулематозом (см.), фолликулярной лимфомой Брилла—Симмерса (см. Лимфома гигантофолликулярная) и специфическим поражением лимф, узлов при грибовидном микозе (см. Микоз грибовидный). Для Л. р. характерна сохранность структуры и капсулы лимф, узлов и интенсивный фагоцитоз меланина и липидов ретикулярными клетками, для лимфогранулематоза — клетки Березовского—Штернберга, для грибовидного микоза — «микозные» клетки. Ретикулярные клетки при Л. р. обычно крупнее, чем опухолевые клетки грибовидного микоза, и имеют четко выраженную вакуолизированную и часто пенистую цитоплазму.
Лечение и прогноз зависят от характера дерматоза, на фоне к-рого развился Л. р. (напр., экзема, нейродермит, псориаз и др.).
Профилактика состоит в своевременном лечении дерматозов, сопровождающихся Л. р.
Библиография: Шапошников О. К. и Родионов А. Н. Дерматопатический лимфаденит, Вестн, дерм, и вен., № 9, с. 22, 1978, библиогр.; Dobrescu G., Dobrescu AI. si Petrescu-B a r s u M. Consideratii anatomoclinice asupra reticulozei lipomelanice (Pautrier— Woringer), Derm.-Yener. (Buc.), y. 20, p. 187, 1975; Pautrier L. M. et Woringer F. Note preliminaire sur un tableau histologique particulier de lesions ganglionnaires accompagnant des eruptions dermatologiques generalisees, prurigineu-ses, de types cliniques differents, Bull. Soc. frang. Derm. Syph., t. 39, p. 947, 1932; o н и ш e, A propos de la r^ticulose lipo-melanique, ibid., p. 456, 1954.
Синдром Потрие-Воренже
Потрие-Воренже синдром — (L. М. Pautrier, 1876 1959, франц. дерматолог; F. Woringer, совр. франц. дерматолог; син.: лимфаденопатия дерматопатическая, ретикулез кожи липомеланотический) локальное или диффузное увеличение лимфатических узлов, наблюдающееся при некоторых… … Большой медицинский словарь
Список заболеваний и синдромов — Это служебный список статей, созданный для координации работ по развитию темы. Данное предупреждение не ус … Википедия
лимфаденопатия дерматопатическая — (lymphadenopathia dermatopathica; лимфадено + греч. pathos страдание, болезнь) см. Потрие Воренже синдром … Большой медицинский словарь
ретикулез кожи липомеланотический — (reticulosis cutis lipomelanotica) см. Потрие Воренже синдром … Большой медицинский словарь
Лимфаденопати́я дерматопати́ческая — (lymphadenopathia dermatopathica; Лимфадено + греч. pathos страдание, болезнь) см. Потрие Воренже синдром … Медицинская энциклопедия
Ретикулёз ко́жи липомеланоти́ческий — (reticulosis cutis lipomelanotica) см. Потрие Воренже синдром … Медицинская энциклопедия
Липомеланотический ретикулёз
Липомеланоти́ческий ретикулёз (синонимы: синдром По́трие—Воренже́, липомеланотический гиперпластический ретикулит, липомеланотическая лимфоаденопатия, пигментированная лимфогранулема с распространенными кожными явлениями, доброкачественный гиперпластический ретикулогистиоцитоз с меланодермией, лимфаденическая эритродермия, дерматопатическая лимфаденопатия, дерматопатический лимфаденит) — неспецифическая доброкачественная реактивная ретикулярная гиперплазия (увеличение) поверхностных лимфатических узлов, сопровождающая различные хронические болезни кожи.
Липомеланотический ретикулёз, или дерматопатопатический лимфаденит, отражает сущность патологического процесса, который не является истинным ретикулёзом.
Содержание
Этиология
Причинами развития липомеланотического ретикулёза являются различные хронические дерматозы, особенно протекающие с явлениями эритродермии и сопровождающиеся упорным зудом. Так, липомеланотический ретикулёз наблюдается у больных эритродермией, развившейся при рецидивах экземы, нейродермита, красного плоского лишая, псориаза, а также при упорном распространенном зуде, грибковом микозе. Развитие липомеланотического ретикулёза связывают с проникновением в лимфатические узлы меланина. При развитии этого процесса в пораженной коже активизируются меланофаги и усиливается транспортировка меланина по лимфатическим сосудам в регионарные узлы. Происхождение жировых веществ, обнаруживаемых в лимфатических узлах, остается неясным.
Клиническая картина
В наибольшей степени страдают подмышечные и шейные лимфатические узлы. При локализации дерматоза на нижних конечностях липомеланотический ретикулёз ограничивается пахово-бедренной областью. С другой стороны, липомеланотический ретикулёз может проявляться полиаденопатией. Глубокие лимфатические узлы в процесс не вовлекаются. Лимфатические узлы увеличиваются до размеров 3—4 см в диметре, плотные, безболезненные, друг с другом не спаиваются и не нагнаиваются. С разрешением причинного дерматоза аденопатия подвергается обратному развитию. Ряд авторов отмечает как характерный признак липомеланотического ретикулёза — повышенную пигментацию кожного покрова, подчеркивая параллелизм ее развития с отложением меланина в лимфатических узлах.
Диагностика и дифдиагностика
Диагноз основывается на клинических проявлениях, обязательно подтвержденных тканевым исследованием лимфатических узлов. Липомеланотический ретикулёз дифференцируют с лимфогранулематозом , фолликулярной лимфомой Брилла—Симмерса и специфическим поражением лимфатических узлов при грибковом микозе. Для липомеланотического ретикулёза характерна сохранность структуры и капсулы лимфатических узлов и интенсивное поглощение меланина и липидов ретикулярными клетками, для лимфогранулематоза — клетки Березовского—Штернберга, для грибкового микоза — «микозные» клетки. Ретикулярные клетки при липомеланотическом ретикулёзе обычно крупнее, чем опухолевые клетки грибовидного микоза.
Лечение и профилактика
Лечение и прогноз зависит от характера дерматоза, на фоне которого развился липомеланотический ретикулёз (экзема, нейродермит, псориаз). Профилактика состоит в своевременном лечении дерматозов.
Потрие — Воренже синдром
локальное или диффузное увеличение лимфатических узлов, наблюдающееся при некоторых дерматозах (диффузном нейродермите, эритродермиях, экземах и др.) и обусловленное гиперплазией стромы.
1. Малая медицинская энциклопедия. — М.: Медицинская энциклопедия. 1991—96 гг. 2. Первая медицинская помощь. — М.: Большая Российская Энциклопедия. 1994 г. 3. Энциклопедический словарь медицинских терминов. — М.: Советская энциклопедия. — 1982—1984 гг .
Смотреть что такое "Потрие — Воренже синдром" в других словарях:
Липомеланотический ретикулез (синонимы: синдром Потрие-Воренже, липомеланотический гиперпластический ретикулит, липомеланотическая лимфоаденопатия, пигментированная лимфогранулема с распространенными кожными явлениями, доброкачественный гиперпластический ретикулогистиоцитоз с меланодермией, лимфаденическая эритродермия, дерматопатическая лимфаденопатия, дерматопатический лимфаденит) — неспецифическая доброкачественная реактивная ретикулярная гиперплазия (увеличение) поверхностных лимфатических узлов, сопровождающая различные хронические болезни кожи. Липомеланотический ретикулез, или дерматоланотический лимфаденит, отражает сущность патологического процесса, который не является истинным …
Причинами развития липомеланотического ретикулеза являются различные хронические дерматозы, особенно протекающие с явлениями эритродермии и сопровождающиеся упорным зудом. Липомеланотический ретикулез наблюдается у больных эритродермией, развившейся при рецидивах: экземы; нейродермита; красного плоского лишая; псориаза; а также при упорном распространенном зуде, грибковом микозе. Развитие липомеланотического ретикулеза связывают с проникновением в лимфатические узлы меланина. При развитии этого процесса в …
В наибольшей степени страдают подмышечные и шейные лимфатические узлы. При локализации дерматоза на нижних конечностях Липомеланотический ретикулез ограничивается пахово-бедренной областью. С другой стороны, Липомеланотический ретикулез может проявляться полиаденопатией. Глубокие лимфатические узлы в процесс не вовлекаются. Лимфатические узлы увеличиваются до размеров 3-4 см в диметре, плотные, безболезненные, друг с другом не спаиваются и не нагнаиваются. С …
Диагноз основывается на клинических проявлениях, обязательно подтвержденных тканевым исследованием лимфатических узлов. Липомеланотический ретикулез дифференцируют с: лимфогранулематозом; фолликулярной лимфомой Брилла-Симмерса; специфическим поражением лимфатических узлов при грибковом микозе. Для липомеланотического ретикулеза характерна сохранность структуры и капсулы лимфатических узлов и интенсивное поглощение меланина и липидов ретикулярными клетками, для лимфогранулематоза — клетки Березовского-Штернберга, для грибкового микоза — "микозные" клетки. …
Лечение и прогноз зависит от характера дерматоза, на фоне которого развился липомеланотический ретикулез (экзема, нейродермит, псориаз). Профилактика состоит в своевременном лечении дерматозов.
Ретикулёз ко́жи — (reticulosis cutis) прогрессирующая пролиферация так называемых ретикулярных клеток, преимущественно кожи; проявляется полиморфной сыпью (эритемой, папулами, узлами и др.) … Медицинская энциклопедия
Ретикулёма доброка́чественная лимфо́идно-кле́точная — (reticuloma lymphoidocellulare benignum) см. Лимфоцитома кожи … Медицинская энциклопедия
Липомеланотический ретикулёз — (синонимы: синдром Потрие Воренже, липомеланотический гиперпластический ретикулит, липомеланотическая лимфоаденопатия, пигментированная лимфогранулема с распространенными кожными явлениями, доброкачественный гиперпластический ретикулогистиоцитоз… … Википедия
Липомеланотический ретикулез — Содержание 1 Определение 2 Этиология 3 Клиническая картина 4 Диагностика и дифдиагностика … Википедия
Спинно́й мозг — (medulla spinalis) часть центральной нервной системы, расположенная в позвоночном канале. С. м. имеет вид тяжа белого цвета, несколько сплющенного спереди назад в области утолщений и почти круглого в других отделах. В позвоночном канале… … Медицинская энциклопедия
ЛИМФАТИЧЕСКАЯ СИСТЕМА — (ЖЕЛЕЗЫ, СОСУДЫ), система щелей, каналов, сосудов и специальных образований (лимфатич. желез) по ходу их, отводящих из тканей т. н. лимфу (см.). Понятие Л. с. включает в себя также нек рые образования из аденоидной ткани (см.). Сюда принадлежат… … Большая медицинская энциклопедия
ЛИМФОЦИТОМА — мед. Лимфоцитома кожи хронический доброкачественный дерматоз, поражающий преимущественно кожу лица. Типично образование опухолей (псевдолимфом), состоящих в основном из лимфоцитов и гистиоцитов. Имеет общее происхождение с хронической мигрирующей … Справочник по болезням
Саркоидоз — (Sarcoidosis) болезнь Бенье Бека Шаумана, системное гранулематозное (см. Гранулёма) заболевание человека; поражает различные органы и ткани, отличается многообразием клинических проявлений. Впервые описано как болезнь кожи в 1889… … Большая советская энциклопедия
Лекарственные растения — обширная группа растений, используемых в медицинской или ветеринарной практике с лечебными или профилактическими целями. Литературные источники свидетельствуют об употреблении Л. р. в Древней Ассирии, Египте, Индии, Китае примерно за 3000 … Большая советская энциклопедия
ЛИМФОГРАНУЛЕМАТОЗ — мед. Лимфогранулематоз (болезнь Ходжкена) заболевание, характеризующееся злокачественной гиперплазией лимфоидной ткани с образованием в лимфатических узлах и внутренних органах лимфогранулём. Наиболее частая форма лимфом. Частота. Ежегодно… … Справочник по болезням
ТРАВМАТИЧЕСКИЙ РЕТИКУЛИТ — (Reticulitis traumatica), воспаление сетки вследствие повреждения её стенки острым инородным телом. При перфорации сетки возникает травматический ретикулоперитонит. Т. р. вызывают острые инородные (чаще металлические) предметы, попадающие в… … Ветеринарный энциклопедический словарь
КЕТОЗЫ — (Ketosis), болезни, характеризующиеся расстройством обмена веществ и проявляющиеся появлением ацетоновых тел в крови (кетонемия), моче (кетонурия), молоке (кетонолактия). Чаще болеют высокомолочные коровы, суягные овцы, свиноматки (в промышленных … Ветеринарный энциклопедический словарь
МАСТИТ — (Mastitis), воспаление молочной железы преимущественно у коров и коз, реже у самок другие млекопитающих.Этиология. Причины М. — механические (например, ушибы и ранения вымени, нарушения правил машинного доения), термические (охлаждение,… … Ветеринарный энциклопедический словарь
ПЕРИТОНИТ — (Peritonitis), воспаление брюшины. Наблюдается у всех видов домашних и сельскохозяйственных животных, чаще у лошадей, крупного рогатого скота и птиц.Инфекционный неспецифический П. бывает при открытых и закрытых повреждениях органов брюшной… … Ветеринарный энциклопедический словарь
ПЛЕВРОПНЕВМОНИЯ — (Pleuropneumonia), одновременное воспаление лёгких и плевры. Может быть у всех видов животных. Наблюдается при некоторых инфекционных болезнях: у рогатого скота при пастереллёзе и перипневмонии, диплококковой септицемии молодняка и др., у… … Ветеринарный энциклопедический словарь
РЕТИКУЛОПЕРИТОНИТ — (Reticuloperitonitis), воспаление сетки и прилегающих к ней листков брюшины. Встречается преим. у кр. рог. скота, реже у коз и овец. Различают Р. острый и хронический. Вызывается острыми, колющими предметами (гвозди, иголки, куски проволоки и… … Ветеринарный энциклопедический словарь
ЭНЗООТИЧЕСКАЯ ОСТЕОДИСТРОФИЯ — энзоотическая остеодистрофия, болезнь сельскохозяйственных животных, характеризующаяся нарушением фосфорно кальциевого обмена и структурными изменениями скелета.Причина болезни в зоне Южного Урала — недостаточность в почве, воде и кормах… … Ветеринарный энциклопедический словарь
Перикардит — воспаление перикарда с эпикардом. Чаще всего выявляются вторичные перикардиты, возникающие под воздействием инфекционных и неинфекционных болезней (пастереллез, пневмонии, пироплазмидозы, травматический ретикулит и др.). Источник: Ветеринарно… … Официальная терминология
Wikipedia — see also
sens a gent ‘s content
- definitions
- synonyms
- antonyms
- encyclopedia
- определение
- синоним
A windows (pop-into) of information (full-content of Sensagent) triggered by double-clicking any word on your webpage. Give contextual explanation and translation from your sites !
Try here or get the code
Improve your site content
Add new content to your site from Sensagent by XML.
Crawl products or adds
Get XML access to reach the best products.
Index images and define metadata
Get XML access to fix the meaning of your metadata.
Please, email us to describe your idea.
Lettris is a curious tetris-clone game where all the bricks have the same square shape but different content. Each square carries a letter. To make squares disappear and save space for other squares you have to assemble English words (left, right, up, down) from the falling squares.
Boggle gives you 3 minutes to find as many words (3 letters or more) as you can in a grid of 16 letters. You can also try the grid of 16 letters. Letters must be adjacent and longer words score better. See if you can get into the grid Hall of Fame !
English dictionary
Main references
Most English definitions are provided by WordNet .
English thesaurus is mainly derived from The Integral Dictionary (TID).
English Encyclopedia is licensed by Wikipedia (GNU).
Change the target language to find translations.
Tips: browse the semantic fields (see From ideas to words) in two languages to learn more.
computed in 0.047s
Copyright © 2012 sensagent Corporation: Online Encyclopedia, Thesaurus, Dictionary definitions and more. All rights reserved. Di
Читайте также:
