Возрастная дегенерация макулы. Причины, диагностика, лечение
Добавил пользователь Владимир З. Обновлено: 31.12.2025
Макулодегенерация глаза (возрастная макулярная дистрофия) — заболевание, которое поражает центральную область сетчатой оболочки, — макулу, или желтое пятно. Это опасная патология, которая неизбежно ведет к полной потере зрения. Рассмотрим, по каким причинам она начинает развиваться и какие существуют способы диагностики и лечения.
Причины появления заболевания
При развитии возрастной макулодегенерации (ВМД) страдает центральная часть сетчатки. Именно на ней фокусируется световой поток, попадающий в наш глаз. Она имеет слегка овальную форму и расположена напротив зрачка. Второе название макулы обусловлено ее характерным желтым оттенком из-за содержания в клетках пигментов лютеина и зеаксантина. Именно в макуле находятся важные фоторецепторы: палочки отвечают за четкость видения в условиях пониженного освещения, колбочки — за остроту дневного зрения и цветовосприятие. Дистрофия сетчатки — это нарушение питания макулы, вследствие чего ее клетки начинают отмирать. Обычно макулодистрофия поражает оба глаза, но происходит это в разные периоды. Как правило, у большинства пациентов сначала ухудшается состояние одного органа зрения, потом второго.

Каковы же главные причины, приводящие к развитию ВМД? Макулодегенерация — это болезнь пожилых людей, не зря в ее полном названии есть слово «возрастная». Основные факторы риска — возраст и наследственность. Диагностируют ее обычно у людей старше 50 лет. Однако последние статистические данные говорят о том, что болезнь значительно «помолодела». Медики объясняют это тем, что наши органы зрения стали получать гораздо больше негативного излучения:
- ультрафиолетовый свет;
- галогеновые, ксеноновые, светодиодные источники освещения;
- излучение от экранов гаджетов и компьютеров.
Современного человека со всех сторон окружает яркий свет. Огни рекламы, яркое освещение городов, лампы дневного света в рабочих помещениях, мониторы дома и на работе — наши глаза подвергаются интенсивному яркому освещению большую часть времени, когда мы бодрствуем. Неудивительно, что макулодегенерацию стали диагностировать у людей более молодого возраста. Другими причинами заболевания также могут стать следующие факторы:
- многолетнее курение;
- высокое артериальное давление;
- несбалансированный рацион;
- высокая степень близорукости;
- ожирение;
- сердечно-сосудистые заболевания;
- катаракта;
- частое и длительное пребывание на солнце без очков;
- прием некоторых лекарственных препаратов.

Большое значение играет наследственность. Если у человека будет обнаружено это заболевание, то с большой долей вероятности оно может развиться со временем у детей и внуков. Следует иметь это в виду, чтобы выявить болезнь на ранней стадии.
Все перечисленные факторы могут повлиять на нарушение кровообращения в сосудах сетчатой оболочки глаза, а это, в свою очередь, приводит к неполноценному питанию клеток желтого пятна. Возрастная макулярная дистрофия является основной причиной необратимого ухудшения зрения и слепоты среди населения в развитых стран мира в возрасте от 50 лет и старше.
Сухая форма макулодегенерации?
Сухая (атрофическая) форма этого заболевания диагностируется в 85% всех случаев ВМД. Небольшого размера отложения (друзы) начинают скапливаться в слоях сетчатки глаза. Они считаются частью естественного процесса возрастных изменений в зрительных органах. При этом на начальном этапе ухудшения могут остаться незаметными: здоровый глаз работает более интенсивно для компенсации недостатка зрения в пораженном органе. С течением времени заболевание прогрессирует до развитой стадии. В этом случае у человека отмечается разрушение светочувствительных клеток и тканей, окружающих макулу. Это вызывает уже заметные проблемы со зрением. Сухая форма возрастной макулодегенерации с течением времени может трансформироваться в географическую атрофию. При этом заболевании происходит серьезная деградация клеток сетчатки.

В современной офтальмологии радикального метода лечения сухой формы макулодистрофии не существует, хотя в лабораториях постоянно ищут новые способы, способные остановить разрушение клеток сетчатки. Однако проведенные до этого клинические исследования сумели доказать, что при регулярном употреблении некоторых витаминов, полезных для глаз, действительно можно замедлить прогрессирование заболевания. Это витамины А, С и Е. Если включать в рацион продукты с этими элементами, то можно замедлить или приостановить процесс разрушения желтого пятна.
Влажная форма макулодегенерации
Данный вид болезни в 15-20% случаев перерастает из сухой формы. В хориокапиллярном слое под макулой начинают образовываться новые патологические кровеносные сосуды. Их стенки весьма тонкие и пористые, пропускают кровь и экссудат, которые затем накапливаются в пространстве под сетчаткой, именно на этих местах образуются рубцы. Такой патологический рост новых сосудов — реакция организма, который подобным образом пытается обеспечить поступление достаточного объема питательных веществ и кислорода к сетчатой оболочке.
Симптомы макулярной дистрофии сетчатки
На начальном этапе признаки ВМД могут быть незаметны, так как этот процесс протекает медленно и безболезненно, но необратимо. Только в очень редких случаях потеря зрения может произойти стремительными темпами. Вот какие симптомы могут указывать на развитие этой зрительной патологии:
- появление темных пятен в области центрального видения;
- заметное ухудшение зрения при низкой освещенности в помещении или на улице;
- искажение контура предметов;
- размытость, нечеткость изображения;
- ухудшение цветовосприятие — становится трудно с первого взгляда различить оттенок;
- нарушение пространственного зрения.

При появлении даже одного признака заболевания нужно обязательно посетить офтальмолога для полной диагностики зрительных органов. Помните, макулярная дистрофия сетчатой оболочки — процесс необратимый, но вовремя начатая терапия способна приостановить и замедлить течение болезни.
Диагностика и лечение макулодегенерации сетчатки
Самым простым способ для определения признаков ВМД является тест Амслера. Он представляет собой сетку из тонких черных линий с точкой посередине. Необходимо смотреть на эту точку в течение нескольких секунд, прикрыв один глаз рукой, а затем провести проверку второго глаза. При отсутствии заболевания сетка останется в первоначальном виде, а при наличии какой-либо стадии ВМД линии будут искривляться, в поле зрения появятся темные пятна. Такой тест можно пройти дома самостоятельно, распечатав сетку на бумаге.
Клиническая диагностика возрастной макулодегенерации сетчатки основана на следующих данных:
- полный анамнез;
- жалобы пациента;
- оценка зрительных функций;
- осмотр глазного дна с помощью различных приборов.
Очень эффективным способом обнаружения заболевания является ангиография. Ее проведение позволяет врачу исследовать сосуды и капилляры сетчатки, переднего отдела глазного дна и хориоидеи. Ангиография представляет собой следующую процедуру: в вену пациента вводят либо флюоресцеин (флюоресцентная ангиография), либо индоцианин (индоцианиновая ангиография). Эти вещества по кровеносной системе проникают во все сосуды организма, в том числе и глазные. Затем при помощи специальной фотокамеры делают серию снимков глазного дна. Полученные данные анализирует врач, определяя существующие патологии. Посредством ангиографии можно распознать такие глазные заболевания, как диабетическая ретинопатия, возрастная макулярная дистрофия, различные сосудистые заболевания сетчатки. Еще один метод — оптическая когерентная томография — позволяет выявить структурные изменения в сетчатой оболочке на начальных этапах ее дегенерации.

Несмотря на значительный прогресс в усовершенствовании методов диагностики ВМД, ее лечение по-прежнему представляет сложную проблему. Однако с помощью вовремя начатой терапии можно существенно замедлить ее развитие, а порой даже добиться улучшения состояния глаз. Вот какие методы на сегодняшний день предлагает современная офтальмология.
Сбалансированный рацион
Доказано, что риск развития макулодегенерации значительно снижает здоровая, богатая полезными для глаз веществами диета. В нее рекомендуется включать продукты, содержащие следующие витамины и микроэлементы:
- ретинол (витамин А) — брокколи, зелень морковь, тыква, красный перец;
- рибофлавин (витамин В2) — капуста, миндаль, зеленая фасоль, помидоры, говяжья печень, яичный желток, кисломолочные продукты, творог;
- аскорбиновую кислоту (витамин С) — цитрусовые, лесные и садовые ягоды, перец болгарский, кориандр, соя;
- селен — орехи, бобовые, гречневая крупа;
- цинк — морепродукты (ламинария, креветки), твердые сыры.
Не реже 2-3 раз в неделю нужно включать в рацион морскую рыбу (лосось, тунец, макрель) и орехи, которые богаты Омега-3 жирными кислотами и медью. Имеются данные, что диета с достаточным содержанием Омега-3 жирных кислот, лютеина и зеаксантина способна снизить риск ВМД.

Если Вы курите, то при обнаружении возрастной макулодегенерации от этой вредной привычки стоит категорически отказаться. Никотин, попадающий в организм, способен ускорить процесс разрушения клеток сетчатки. Ожирение и повышенное артериальное давление также могут усугубить течение заболевания. Полезно будет чаще гулять на свежем воздухе, увеличить физическую активность. Обязательно следует заботиться о защите глаз при выходе на улицу в солнечный день или при поездке в отпуск в страны с жарким климатом. Приобретите солнцезащитные очки с хорошим УФ-фильтром, который надежно защитит глаза от попадания ультрафиолета. Практика доказывает, что профилактика дистрофии сетчатки значительно улучшает шансы сохранить зрение.
В некоторых случаях может быть назначена лазерная коагуляция. Этот метод позволяет блокировать кровеносные сосуды, из которых просачивается кровь и экссудат. Еще одним эффективным способом лечения влажной формы ВМД можно назвать инъекции ингибиторов ангиогенеза внутрь глаза. Они направлены на прекращение образования новых неполноценных кровеносных сосудов. Если начать применять уколы до начала образования рубцов, то есть шанс сохранить хорошее зрение.

Для таких эндовитреальных инъекций используют современные препараты-ингибиторы ангиогенеза. Клинические применения показывают, что наилучшие результаты достигаются при их введении несколько раз в месяц на протяжении минимум двух лет. Например, при лечении таким образом качество зрения стабилизируется примерно у 90% пациентов, что является значительным показателем.
Макулодистрофия (возрастная макулярная дегенерация) - симптомы и лечение
Что такое макулодистрофия (возрастная макулярная дегенерация)? Причины возникновения, диагностику и методы лечения разберем в статье доктора Казанцевой Екатерины Игоревны, офтальмолога со стажем в 6 лет.
Над статьей доктора Казанцевой Екатерины Игоревны работали литературный редактор Маргарита Тихонова , научный редактор Сергей Федосов и шеф-редактор Лада Родчанина

Определение болезни. Причины заболевания
Макулодистрофия (макулярная дегенерация, или макулопатия) — это обширная группа хронических прогрессирующих заболеваний, при которых постепенно поражается центральная зона нервной ткани глаза — макулярная область сетчатки. Сопровождается снижением центрального зрения. Как правило, поражает оба глаза.

Заболевания, разрушающие макулярную область, входят в пятёрку главных причин снижения остроты зрения у взрослого населения России [1] . Одной из распространённых форм макулодистрофии является возрастная макулярная дегенерация, или, как её ещё называют, сенильная (старческая) макулодистрофия. Этой форме и посвящена данная статья.
Возрастная макулодистрофия — одна из основных причин необратимого ухудшения и потери зрения у людей старше 50 лет во всём мире [1] .
В основном данное заболевание поражает женщин, причём после 75 лет оно встречается в два раза чаще. Причина такой закономерности пока неизвестна.
В основе возрастной макулодистрофии лежит нарушение питания центральной зоны сетчатки. Причин такого нарушения множество. Прежде всего оно возникает в результате старения, о чём говорит связь частоты появления болезни с возрастом. Отдельная роль отводится наследственности [5] .
Другим доказанным фактором риска является курение. Отказ от этой пагубной привычки может снизить риск развития макулодистрофии в несколько раз [4] .
Также риск появления возрастной макулодистрофии повышают сердечно-сосудистые заболевания, особенно атеросклероз, атеросклеротические бляшки на сонной артерии и гипертоническая болезнь [6] .
Вероятность развития дистрофии повышается у людей, которые употребляют больше насыщенных жиров и холестерина, а также при высоком индексе массы тела. Ниже риск разрушения макулы у людей, потребляющих достаточное количество омега-3 полиненасыщенных жирных кислот — содержатся в морской рыбе, мясе диких животных, морских водорослях и др.
Одной из важных причин появления макулодистрофии является избыточная инсоляция — облучение солнечным светом. При попадании на сетчатку ультрафиолета коротковолнового или синего спектра видимого света в ходе фотохимических реакций формируются свободные радикалы. Они повреждают мембраны клеток, т. е. фоторецепторов [19] . В норме для защиты сетчатки от действия свободных радикалов в тканях присутствует антиоксидантная защита. При макулодистрофии в системе формирования свободных радикалов и антиоксидантной защиты возникает дисбаланс [8] .
При обнаружении схожих симптомов проконсультируйтесь у врача. Не занимайтесь самолечением - это опасно для вашего здоровья!
Симптомы макулодистрофии
При возрастной макулодистрофии зрение снижается постепенно и безболезненно в течение нескольких лет. Пациенты замечают снижение остроты зрения, которое не получается скорректировать подбором очков. Также появляются жалобы на затуманивание зрения, трудности при чтении, снижение контрастной чувствительности, особенно в помещении с плохим освещением или в сумерках.
Иногда при запущенных стадиях центральное зрение снижается до такой степени, что пациенты видят лишь боковым зрением или эксцентрично, а в центре — только чёрное или серое пятно.

На начальных стадиях развития возрастной макулодистрофии жалоб у пациентов может и не быть, поэтому заболевание становится находкой во время офтальмологического осмотра, проводимого по другому поводу [15] .
Патогенез макулодистрофии
Несмотря на многочисленные исследования возрастной макулодистрофии, патогенез этого заболевания до сих пор остаётся невыясненным. Но часть основных звеньев патогенеза всё же изучена.
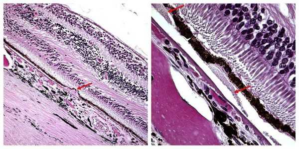
C возрастом между слоями сетчатки откладываются продукты жизнедеятельности фоторецепторов — липофусцин, или пигмент "старости". Их называют друзами. Они возникают из-за ухудшения питания тканей и замедленного выведения из них продуктов обмена.
![Друзы [13]](/pimg3/vozrastnaya-degeneratsiya-makuli-C56F6.jpg)
Механизм формирования друз похож на процесс образования атеросклеротических бляшек артерий. Избыточное отложение липофусцина способствует повреждению пигментного эпителия и фоторецепторов, так как это вещество способно под воздействием света производить активные формы кислорода, включая перекисное окисление липидов. Этот процесс ещё больше усугубляется при большом количестве ультрафиолета [19] . В итоге повреждаются окружающие клетки и ткани.
Далее патогенез может пойти по одному из путей:
- возникают обширные участки атрофии сетчатки — формируется сухая форма заболевания;
- высвобождаются факторы роста сосудов или VEGF с развитием неоваскуляризации — формируется влажная форма макулодистрофии.
Все эти процессы протекают с выраженной дисфункцией макулы и резким ухудшением центрального зрения.

Классификация и стадии развития макулодистрофии
Разные подходы и взгляды на патогенез макулодистрофии, развитие методов диагностики стали причиной появления нескольких вариантов классификаций возрастной макулодистрофии.
Одна из международных классификаций была принята в 1995 году. В ней разделяли обширное понятие "возрастная макулодистрофия" следующим образом:
- ранние формы заболевания, или возрастная макулопатия — образование друз, диспигментация;
- поздние формы заболевания, или, собственно, сама возрастная макулярная дегенерация — географическая атрофия и хориоидальная неоваскуляризация — разрастание сосудов.
Но большинство офтальмологов в России используют в своей практике классификацию макулодистрофии, основанную на этапах развития дистрофического процесса. Кацнельсон Л. А. с соавторами выделяют три формы (стадии) заболевания [9] :
- Сухая форма (неэкссудативная). На начальном этапе может никак себя не клинически проявлять либо сопровождаться снижением центрального зрения при плохом освещении или в сумерках. Далее нарушение центрального зрения прогрессирует. Это проявляется наличием друз, дефектов пигментного эпителия, перераспределением пигмента, атрофией пигментного эпителия. На данном этапе заболевание может остановиться в своём развитии и не переходить в другие формы.
- Влажная форма (экссудативная). Она отличается процессами, которые возникают в ответ на прогрессивную отёк и ишемию сетчатки в виде неоваскуляризации сетчатки — разрастания сосудов. Является более агрессивной формой, чем сухая, и влечет за собой более быстрое и прогрессивное ухудшение центрального зрения. Проявляется быстрым снижением центрального зрения, искривлением предметов, появлением серого пятна перед глазом.
- Рубцовая форма. Является финалом заболевания. Проявляется стойким снижением остроты зрения вплоть до потери центрального зрения. Пациенты зачастую видят периферией или эксцентрично. Под сетчаткой формируется грубая соединительная ткань на фоне ранее новообразованных сосудов. Атрофируется пигментный эпителий и слой фоторецепторов, в результате чего макулярная зона становится нефункциональной или малофункциональной.

Осложнения макулодистрофии
Так как заболевание на начальных стадиях протекает практически бессимптомно, очень высок риск того, что впервые макулодистрофия обнаружится только тогда, когда сетчатка уже будет достаточно повреждена. Это состояние будет сопровождаться стойким снижением остроты и качества центрального зрения.
К тому же при нерегулярных осмотрах врача-офтальмолога можно пропустить переход возрастной макулодистрофии из сухой формы во влажную, из-за чего пациент не получит своевременное и эффективное лечение.
Осложняет ситуацию то, что сетчатка очень чувствительна к ишемии, которая усугубляется из-за прогрессирующей болезни. Если не провести эффективное лечение, то время до полного ухудшения макулодистрофии может исчисляться в месяцах. Поэтому при несвоевременном обращении за специализированной помощью пациент необратимо теряет центральное зрение на один глаз, и получает высокий риск развития данного заболевания и аналогичного исхода на втором глазу. В результате человек становится инвалидом [16] .
Диагностика макулодистрофии
Первым этапом диагностики является самодиагностика с помощью теста Амслера. Для этого пациент располагает тест на расстоянии 15-20 см от лица, сосредотачивает свой взгляд на центральной точке, прикрывает ладонью один глаз и оценивает квадраты и линии вокруг точки: есть ли искривления, искажения, все ли квадраты одинаковое или появились серые пятна. Потом тоже самое он повторяет и для второго глаза.
Такой периодический самоконтроль должен проводить каждый пациент с сухой формой возрастной макулодистрофии. При первых признаках искажений линий требуется немедленное обратиться к специалисту.

На картинке справа проиллюстрировано то, как видит тест Амслера пациент с сухой макулодистрофией развитой стадии или с рисками перехода из сухой формы во влажную; слева — зрение пациента без макулодистрофии или на начальных стадиях сухой формы болезни.
В целом диагностика возрастной макулодистрофии базируется на основных и дополнительных методах исследования.
Основные данные врач получает при стандартном офтальмологическом осмотре:
- сбор жалоб;
- уточнение истории болезни;
- оценка зрительных функций и данных офтальмоскопии, а лучше — биомикроофтальмоскопии (осмотр глазного дна).

К дополнительным методам диагностики относятся:
- флуоресцентная ангиография;
- ангиография с индоцианином зелёным;
- оптическая когерентная томография сетчатки;
- электроретинография.
Наиболее информативными методами выявления патологии сетчатки являются флуоресцентная ангиография и ангиография с индоцианином зелёным. Они визуализируют новообразованные сосуды, состояние пигментного эпителия и кровеносного русла глазного дна в целом. Для проведения этих двух методик использую различные модели фотокамер, а также флуоресцеин или индоцианин зелёный, которые вводят внутривенно перед исследованием. Однако при планировании и проведении данных манипуляций стоит помнить, что эти препараты могут вызывать аллергические реакции и другие побочные эффекты. Поэтому отбор пациентов для таких видов исследований должен быть тщательным.

Противопоказания к ангиографии:
- а ллергические реакции в анамнезе; в стадии обострения;
- заболевания сердечно-сосудистой системы в стадии обострения;
- острый и хронический гломерулонефрит ; в стадии обострения;
- хроническая почечная недостаточность в стадии обострения;
- беременность и кормление грудью.
Наиболее информативным и безопасным методом диагностики для пациента является оптическая когерентная томография (ОКТ). Она используется для оценки морфологической и топографической оценки макулярной зоны, показывает структурные изменения сетчатки. Этот способ позволяет не только выявить начальные проявления возрастной макулодистрофии, такие как друзы и дефекты пигментного эпителия, но и уже явные признаки влажной формы болезни — отслойку пигментного эпителия и нейроэпителия, появление новых сосудов под сетчаткой. Эти данные являются основными показателями эффективности лечения, с помощью который оценивается дальнейшая тактика ведения пациента [2] .

Для определения степени функционального поражения сетчатки центральной зоны используется электроретинография (ЭРГ). Она может проводиться на начальных этапах болезни, когда морфологические изменения ещё не заметны, но уже присутствуют симптомы. Хотя, как показывает практика, функциональные нарушения в слоях сетчатки при возрастной макулодистрофии в явной степени появляются только на развитых и далеко зашедших стадиях заболевания [10] [11] .

Лечение макулодистрофии
Несмотря на большие успехи в диагностике возрастной макулодистрофии на ранних этапах развития, лечение этой патологии остаётся проблемой. Ни один из существующих вариантов лечения не способен полностью предупредить развитие возрастной макулодистрофии. FDA (управление по санитарному надзору за качеством пищевых продуктов и медикаментов) не одобрило ни одного лекарства от сухой макулодистрофии [14] .
При высоких рисках развития и начальных стадиях сухой макулодистрофии в первую очередь рекомендуется проводить курсы антиоксидантной терапии [18] . Они позволяют нормализовать обменные процессы и увеличить антиоксидантную защиту сетчатки. Согласно результатам исследований, лечение антиоксидантами и микроэлементами (цинком и медью) при продолжительных курсах снижают частоту развития поздних стадий возрастной макулодистрофии почти на четверть [12] .
Среди веществ с антиоксидантным эффектом, защищающих сетчатку от окислительного стресса и развития макулодистрофии, главное место занимают каротиноиды. Организм человека не способен синтезировать данные вещества, поэтому их количество в клетках сетчатки напрямую зависит от качества пищи. Каротиноиды содержатся в моркови, цитрусах, томатах, шпинате, кукурузе. Из поступаемой пищи только зеаксантин и лютеин транспортируются белками плазмы крови в фоторецепторы сетчатки, где они уже формируют жёлтый пигмент — ксантофилл. Он как раз и является главной защитой при окислительном стрессе, блокируя ультрафиолет [9] [13] . Также антиоксидантным воздействием на сетчатку обладают антоцианозиды, которые содержатся в экстракте плодов черники.
Для того, чтобы данные витаминно-минеральные комплексы работали, необходимо, чтобы все компоненты находились в правильных пропорциях: лютеин — минимум 2 мг, антоцианы — минимум 10 мг, цинк — более 10 мг, медь — менее 1 мг.
Однозначного ответа о длительности курсового лечения нет. По мнению некоторых авторов, витаминно-минеральные комплексы идут как заместительная терапия, их следует принимать постоянно [4] .

Как показали результаты всемирных клинических исследований, анти-VEGF препараты эффективны в отношении остроты зрения по сравнению с другими методами лечения — использования глюкокортикостероидов, лазерного лечения и др. Поэтому они заслуженно стали препаратами первой линии выбора при лечения влажной макулодистрофии, причиной которой является образование новых кровеносных сосудов.
Прогноз. Профилактика
Пациентам с сухой возрастной макулодистрофией рекомендуется принимать добавки с антиоксидантами — каротиноиды, витамины, микроэлементы. При лечении влажной формы болезни одним из главных и решающих факторов является время, так как перспектива лечения будет напрямую зависеть от своевременно начатой эффективной терапии, т. е. от начала постановки ингибиторов VEGF. Чем раньше начато правильное лечение, тем лучше результат. Терапевтическим окном считают один год от начала заболевания. Важен ежемесячный мониторинг показателей остроты зрения, данных ОКТ и биомикроофтальмоскопии для оценки необходимости повторных инъекций после стандартной "загрузочной дозы".
Стандартное ведение сухой возрастной макулодистрофии предполагает самоконтроль пациента с помощью теста Амслера, регулярные осмотры один раз в 6-12 месяцев с контролем остроты зрения и проведением биомикроофтальмоскопии, а также приём антиоксидантов. Регулярные осмотры позволят как можно раньше выявить признаки перехода болезни из сухой формы во влажную.
Не смотря на довольно простые меры профилактики влажной формы заболевания, меньше половины пациентов в России получают регулярное лечение сухой макулодистрофии, остальные либо получают его нерегулярно, либо оставляют заболевание вовсе бесконтрольным (18,2 %) [14] .
Курсовое лечение сухой макулодистрофии в условиях стационара не имеет смысла, так как весь объём наблюдений и необходимой замещающей терапии можно выполнять на уровне поликлиники.
Для профилактики возрастной макулодистрофии требуется ещё в молодом возрасте исключить факторы риска: курение, наличие в рационе большого количества насыщенных жирных кислот, избыточную инсоляцию. Если факторы риска не удалось исключить, то после 50-ти лет нужно начинать профилактический приём витаминно-минеральных комплексов с каротиноидами.
Болезнь Беста - симптомы и лечение
Что такое болезнь Беста? Причины возникновения, диагностику и методы лечения разберем в статье доктора Рытик Нины Петровны, офтальмолога со стажем в 13 лет.
Над статьей доктора Рытик Нины Петровны работали литературный редактор Маргарита Тихонова , научный редактор Сергей Федосов и шеф-редактор Лада Родчанина
Болезнь Беста — это генетическое заболевание глаз, которое вызывает изменения в центральной области сетчатки, так называемой макуле. Первоначально оно протекает бессимптомно, но постепенно приводит к ухудшению остроты зрения и появлению слепого участка в центре поля зрения.

Возникновение и развитие болезни связано с дефектами в наследственном аппарате — мутациями гена VMD2 [3] . Область, в которой локализуется ген VMD2, известна врачам как область скопления генов, отвечающих за развитие большой группы гетерогенных генетических заболеваний с поражением глаз в комплексе с умственной отсталостью , ожирением , тугоухостью и другими патологиями органов и систем [11] .
Болезнь Беста наследуется по аутосомно-доминантному пути, т. е. вероятность возникновения заболевания не зависит от пола и тяжести течения болезни у родителей.
У данного заболевания высокая пенетрантность, т. е. болезнь развивается у большинства людей с патологическим геном. Несмотря на это, выраженность клинических проявлений у родственников варьирует от минимальных изменений и сохранения 100 % зрения до выраженного снижения остроты зрения (вплоть до 0,02) и инвалидизации. Проследить семейную отягощённость удаётся не всегда, даже при комплексном обследовании [2] .
Заболевание считается редким. Его распространённость составляет около 1 случая на 10000 населения [1] . Впервые упоминание о нём в литературе появилось в 1905 году: офтальмолог Ф. Бест описал его как двустороннюю макулодистрофию, которую он наблюдал у восьми членов одной семьи.
Факторов, способствующих манифестации заболевания при наличии наследственной предрасположенности, не выявлено.
Симптомы болезни Беста
На начальных стадиях заболевание никак не проявляется, поэтому обычно оно диагностируется случайно при медицинском осмотре. Симптомы появляются только на более поздних стадиях патологии.
Манифестирует болезнь в возрасте 5-15 лет. Ребёнок жалуется на прогрессирующее, обязательно двустороннее снижение чёткости зрения: он начинает испытывать затруднение при чтении мелкого шрифта вблизи. Также его беспокоят "вспышки", "мерцание огоньков" и ухудшение цветовосприятия (в основном наблюдается цветослабость на жёлто-зелёный, зелёный, сине-зелёный цвета).
Изменения в большинстве случаев несимметричные, но возникают на обоих глазах. Острота зрения в зависимости от стадии болезни значительно колеблется: от 0,01 до 1,0.
Важно отличать болезнь Беста от вителлиформной макулодистрофии взрослых. Это заболевание также является генетическим, но возникает и прогрессирует оно в зрелом возрасте (около 40-50 лет). Для него характерно двустороннее, как правило, симметричное субретинальное поражение в центральной области сетчатки. Изменения так же, как при болезни Беста, имеют локальную, очерченную, круглую форму, желтоватый оттенок, но их размер всегда значительно меньше и они не прогрессируют [10] .
Патогенез болезни Беста
Патофизиологический механизм болезни Беста на данный момент неизвестен. Предполагается, что при данной патологии происходит аномальное накопление вещества, подобного липофусцину — жёлто-коричневому пигменту гликопротеиновой природы, который встречается во всех тканях и органах человека. Это вещество скапливается между пигментным эпителием сетчатки и слоем светочувствительных клеток — фоторецепторов. В результате нарушается мембрана Бруха (самый внутренний слой сосудистой оболочки глаза) и разрушаются нервные элементы сетчатки.

Большинство наружных сегментов фоторецепторов разрушается полностью, при этом во внутренних сегментах светочувствительных клеток скапливаются продукты кислых мукополисахаридов, вызывая изменения в сетчатке. Слой пигментного эпителия отделяется от слоя фоторецепторов, из-за чего формируется немного проминирующее (выбухающее) жёлтоватое образование, т.е. киста, которая локализуется в центральной или околоцентральной области сетчатки [3] .
Классификация и стадии развития болезни Беста
Заболевание относится к наследственным ретинальным дистрофиям. В Международной классификации болезней (МКБ-10) ему присвоен код H35.5.
Болезнь Беста всегда протекает с прохождением четырёх определённых стадий, которые завершаются образованием рубца в центральной области сетчатки [1] .
- Первая стадия — превителлиформная. Она предшествует формированию кисты. В макуле наблюдаются изменения пигментации в виде множества маленьких желтоватых очажков. Во время электроокулографии фиксируются аномальные изменения.
- Вторая стадия — вителлиформная. Формируется классическая вителлиформная киста, которая при осмотре очень похожа на "яичный желток" довольно крупных размеров (до 1 диаметра диска зрительного нерва). Изменения асимметричны и практически всегда поражают оба глаза. Офтальмоскопические изменения не соответствуют высокой остроте зрения: даже у пожилых пациентов этот показатель находится в пределах от 0,4 до 0,9.
- Третья стадия — разрыв кисты и её резорбция, т. е. рассасывание. Острота зрения снижается, пациентам становится трудно читать мелкий текст.
- Четвёртая стадия — формирование фиброглиального рубца на месте кисты. Также на этой стадии возможно развитие субретинальной неоваскуляризации — образование новых сосудов под сетчаткой [3] . Острота зрение падает ещё сильнее, в поле зрения появляются слепые зоны.

Осложнения болезни Беста
На поздних стадиях заболевания начинают развиваться осложнения. Самые частые — это образование сквозных разрывов в макулярной области, потеря центральной остроты зрения и формирование "пятна перед глазами". Возникновение отслойки сетчатки встречается реже.

Одним из частых осложнений так же является субретинальная неоваскуляризация — образование новых сосудов в зоне глазного дна [11] . Она является одной из причин инвалидизации при болезни Беста, так как приводит к стойкому снижению центральной остроты зрения. При этом полная слепота не развивается.
Диагностика болезни Беста
Для постановки диагноза "болезнь Беста" необходим ряд обследований. В первую очередь нужно зарегистрировать специфическую офтальмоскопическую картину глазного дна, характерную для каждой стадии заболевания. Затем, чтобы оценить состояние сетчатки, следует выполнить электроокулографию (ЭОГ) и электроретинографию (ЭРГ). В последние годы, с развитием генетики, стало обязательным молекулярное генетическое исследование пациента. Вместе с этим производят офтальмологическое и генетическое обследование других членов семьи.
Офтальмоскопия позволяет обнаружить первые признаки болезни Беста на первом и втором десятилетии жизни. На первых стадиях в макуле появляются желтоватые очажки, затем формируются виттелиформные кисты, при разрывах которых глазное дно напоминает картину "яичницы-глазуньи". На последних стадиях в макуле формируется атрофические глиальные рубцы, а при осложнениях — неоваскулярная мембрана и сквозные макулярные отверстия.

Электроокулография является очень важным методом диагностики при болезни Беста. С её помощью можно выявить такой специфический признак заболевания, как снижение коэффициента Ардена — соотношения биопотенциала глаз в темноте и при свете. Данный показатель будет снижен даже на нулевой стадии болезни при нормальной офтальмоскопической картине. В случае вителлиформной макулодистрофии взрослых электроокулография изменений не выявит.

Флюоресцентная ангиография позволяет диагностировать болезнь Беста даже на доклиническом этапе. Изменения сетчатки зависят от стадии заболевания. На начальном этапе болезни видны мелкие окончатые дефекты и участки с локальной гиперфлюоресценцией (свечением). При наличии сформированной кисты флюоресценция полностью отсутствует. На третьей стадии болезни гиперфлюоресценция наблюдается только в верхней части кисты, а в нижней её части отсутствует [8] .

При электроретинографии (общей и ритмичной) наблюдается снижение амплитуды "а" волн, увеличение латентных периодов "а" и "b" волн, а также угнетение ответа от центральных отделов сетчатки [9] .
Статическая компьютерная периметрия выявляет снижение чувствительности макулярной области, а при разорвавшейся вителлиформной кисте — центральную абсолютную скотому (слепое пятно) . При этом границы поля зрения по периферии остаются в норме.

Дифференциальная диагностика
Болезнь Беста необходимо отличить от других заболеваний:
- болезни Коатса и других макулярных дистрофий пигментного эпителия сетчатки (Х-образной макулярной дистрофии);
- острого хориоретинита (в первую очередь токсоплазмозной этиологии);
- болезни Штаргардта;
- вителлиформной дистрофии взрослых;
- отслойки пигментного эпителия сетчатки [11] .
Болезнь Коатса — врождённая ненаследственная патология, при котором наблюдаются аномалии сосудов сетчатки глаза. Она может стать причиной частичной или полной слепоты. На первых стадиях болезнь Коатса так же, как и болезнь Беста, течёт без симптомов и в большинстве случаев диагностируется у детей 2-8 лет при случайных профилактических осмотрах, проводимых в детских садах или школах. В отличие от болезни Беста, при болезни Коатса, как правило, в патологический процесс вовлекается только один глаз. Лишь у 5-8 % больных наблюдаются двусторонние изменения. Мальчики заболевают им в 3 раза чаще, чем девочки [9] .
У большинства пациентов с заболеванием Коатса во время первого офтальмологического обследования в центральной области сетчатки выявляют возвышающийся округлый очаг твёрдого желтоватого экссудата, очень похожий на вителлиформные изменения, встречающиеся при болезни Беста. Данные экссудаты в центральной области сетчатки очень часто сочетаются с кровоизлияниями за сетчаткой и образованием новых сосудов, что тоже характерно для болезни Беста.
Диагностика болезни Коатса основывается на результатах осмотра глазного дна (офтальмоскопии), а также центральной области и периферии глазного дна с применением или налобного офтальмоскопа с линзами 20-30 дптр, или офтальмобиомикроскопии с трёхзеркальной линзой Гольдмана. У большинства пациентов с болезнью Коатса во время данного обследования обязательно выявляются аномалии сосудов: микро- и макроаневризмы, телеангиэктазии ( сосудистые звёздочки ), артериовенозные шунты. Чаще всего эти аномалии располагаются в височной половине сетчатки.

Изменения при электроокулографии в начальной и развитой стадиях заболевания, как и при болезни Беста, не выявляются. Но острота зрения у больных с ретинитом Коатса низкая: при наличии изменений в центральной области сетчатки она не превышает 0,4, а при болезни Беста длительно сохраняются в норме [7] .
Острый токсоплазмозный хориоретинит — это паразитарное заболевание глаз, для которого характерно в основном скрытое или хроническое течение. Как правило, оно поражает только один глаз, в отличие от болезни Беста. При неадекватном и несвоевременном лечении может привести к стабильному снижению остроты зрения.
Трудности при диагностике обычно возникают при обследовании больных с приобретённым токсоплазмозом и экссудативно-геморрагическими изменениями в центральной области сетчатки, которые похожи на вителлиформные очажки с субретинальными геморрагиями, как при болезни Беста. Хориоретинальные поражения при токсоплазмозе сочетаются с выпотом в стекловидное тело различной степени тяжести, а порой и изменениями переднего отрезка глаза.

Пациенты, как правило, предъявляют жалобы на внезапное, резкое и значительное снижение центральной остроты зрения, которая в ряде случаев изменяется до 0,01-0,2. При статической периметрии регистрируется повышенный порог яркостной чувствительности, относительная или абсолютная центральная скотома. Электроокулография, как правило, не изменена.
Для подтверждения и верификации токсоплазмоза необходимо выполнить иммунологические исследования, определить антитела к токсоплазме или выделить её методом ПЦР (полимеразной цепной реакции). В 95 % случаев токсосплазмозный хориоретинит хорошо поддаётся лечению, острота зрения может восстановиться до исходных значений [12] .
Болезнь Штаргардта иначе называют ювенильной макулярной дегенерацией. Впервые это заболевание описал немецкий врач-офтальмолог К. Штаргардт как врождённое поражение макулы, которое передавалось по наследству в одной семье.
Как правило, болезнь Штаргардта начинается в молодом (ювенильном) возрасте и сопровождается поражением центральной области сетчатки, как и болезнь Беста. Её отличает быстрое прогрессирование, вплоть до инвалидизации. Медленное ухудшение зрения встречается крайне редко (при доминантном типе наследования) [9] .
Данное заболевание всегда двустороннее и симметричное. Его характерными признаками являются различные процессы: атрофия хориоидеи (сосудистой оболочки глаза), "бычий глаз", очаг дистрофии цвета "битой (кованой) бронзы" и др. При далеко зашедшем процессе фовеолярный рефлекс (центральная ямка макулы) отсутствует. В макулярной области на уровне пигментного эпителия сетчатки наблюдаются скопления коричневатого, тёмного пигмента, который окружён участками гипер- и депигментации. Эти скопления отличаются от вителлиформных жёлтых очагов при болезни Беста.

Вителлиформная макулодистрофия взрослых , в отличие от болезни Беста, развивается у людей 40-50 лет. Для неё характерно двустороннее симметричное поражение макулы с локальными изменениями. Очаги патологии, как правило, имеют округлую форму и жёлтый оттенок. Их отличает отсутствие прогрессирования и небольшие размеры: диаметр поражений достигает 0,3-0,5 размера диска зрительного нерва. При этом нарушения зрительных функций минимальны.
Вещества, подобные липофусцину, скапливаются диффузно в различных местах: в пигментном эпителии, внутренней части фоторецепторов, мюллеровских клетках и даже в стекловидном теле.

Отслойка пигментного эпителия сетчатки возникает при нарушении нормального соединения пигментного эпителия сетчатки с мембраной Бруха. К причинным факторам относятся сосудистые, воспалительные и дистрофические процессы.
Длительное время болезнь может существовать без какой-либо динамики, спонтанно исчезать, а вследствие инвазии сосудов из хориоидеи трансформироваться в геморрагическую отслойку. Сложности в диагностике могут возникнуть при атипичной клинической картине заболевания и экссудативных изменениях в центральной области сетчатки.
Обычно болезнь поражает только один глаз. Общая электроретинография не меняется, локальная — может быть снижена. Электроокулография, как правило, в норме. При флюоресцентной ангиографии на последней стадии отслойки регистрируется гиперфлюоресценция.

Лечение болезни Беста
Лечения болезни Беста на сегодняшний момент не существует. Можно лишь затормозить формирование кист, предотвратить их разрывы и наступление осложнений, которые сильно влияют на остроту зрения пациента. С этой целью применяется антиоксидантная и вазоактивная терапия, а также витамины С, Е и А. Вазоактивные препараты улучшают кровоснабжение сетчатки, а витамины являются мощными антиоксидантами [5] .
Вероятно, что в будущем при лечении болезни Беста будет применяться генная инженерия или терапия, направленная на нормализацию тока жидкости через пигментный эпителий сетчатки, торможение накопления липофусцина и воздействия на другие этапы патогенеза [13] .
Прогноз для зрения относительно благоприятный. Так как заболевание протекает медленно, острота зрения снижается постепенно, при этом страдает только центральное зрение. Благодаря сохранению периферического зрения человек хорошо адаптируется, часто сохраняя работоспособность и возможность чтения.
При обнаружении заболевания врач должен проинформировать больного о вариабельности течения заболевания, рисках его возникновения у будущих детей и функциональных прогнозах. Желательно проконсультироваться с врачом-генетиком.
Все члены семьи пациента обязательно должны пройти обследование у офтальмолога. Сам пациент должен регулярно наблюдаться у своего лечащего врача [14] .Чтобы дети и подростки не отставали в развитии, необходимо вовремя применять технические средства реабилитации слабовидящих [1] .
Все о возрастной макулярной дегенерации: причины появления, диагностика, лечение
Возрастная макулярная дегенерация — одна из распространенных причин слабовидения и слепоты у людей после 50 лет. Эта болезнь связана с развитием патологических процессов, поражающих фоторецепторы, мембрану Бруха и пигментный эпителий сетчатой оболочки. Рассмотрим, по каким причинам возникает и как лечится макулярная дегенерация сетчатки.

Примерно после 45 лет в организме человека неизбежно происходят возрастные изменения. Зрительная система не является исключением. По статистике, около 300 человек на 100 тысяч населения ежегодно обращаются к офтальмологам с проблемой появления возрастной макулярной дегенерации (ВМД). Это серьезная болезнь, которая при отсутствии своевременного профессионального лечения неизбежно провоцирует появление полной слепоты. Чаще всего она наблюдается у людей старшей возрастной группы. Патология возникает вследствие замедления обмена веществ в структуре сетчатки, из-за которых поражаются клетки в ее центральной части (макуле), где фокусируется пучок света. Заболевание может локализоваться только на одном глазу, но в тяжелых случаях наблюдается двустороннее поражение органов зрения. Следует отметить, что дегенеративные нарушения в работе макулярной зоны сетчатой оболочки приводят к слабовидению и полной слепоте. Поэтому важно своевременно получить квалифицированную медицинскую помощь.

Возрастная макулярная дегенерация: сухая форма
Макула, или желтое пятно, представляет собой центральную часть сетчатки, состоящую из нескольких слоев: фоторецепторы, пигментный эпителий и мембрана Бруха, выполняющая функцию перегородки между верхними слоями и кровеносными сосудами (хориокапиллярами). Со временем в организме человека замедляются обменные процессы. Это приводит к тому, что в макуле накапливаются продукты жизнедеятельности клеток. В результате чего в слоях желтого пятна образуются специальные уплотнения — друзы. Наличие множества подобных мелких образований является признаком ранней сухой формы ВМД. На данном этапе практически не наблюдается ухудшение зрения, особенно если патология локализуется с одной стороны. Это связано с тем, что здоровый глаз компенсирует работу зрительной системы за счет более интенсивного функционирования. С течением времени возрастная макулярная дегенерация (сухая форма) прогрессирует до развитой стадии. При этом наблюдается увеличение размера друз и их количество. Кроме того, начинают происходить деструктивные процессы в светочувствительных клетках и тканях, окружающих макулу. Это приводит к существенному снижению остроты зрения и контрастной чувствительности глаз. Также у многих пациентов в центре поля зрения появляется сперва расплывчатое, а затем темное пятно. В связи с этим прямые линии воспринимаются частично надломленными, и картинка сильно искажается, например, прямой дверной проем может казаться перекошенным. Кроме того, на развитой стадии сухой формы ВМД может наблюдаться повышенная чувствительность глаз к свету, нарушение пространственного зрения и сложность в различении цветовой гаммы. Все вышеперечисленные симптомы накладывают ограничения на выполнение любой работы, требующей хорошей видимости вблизи и вдали. При отсутствии лечения сухая форма ВМД стремительно прогрессирует и переходит во влажную.

Сухая форма ВМД: стадии
Ранняя стадия. Зачастую протекает бессимптомно и не вызывает снижение остроты зрения. На данном этапе в структурных слоях макулы происходит образование уплотнений (друз).
Развитая стадия. Характеризуется увеличением размера и количества друз. На этой стадии наблюдается затуманенность и резкое снижение остроты зрения, а также другие дискомфортные симптомы.
Прогрессирующая стадия. Характеризуется трансформацией патологии во влажную форму.

Возрастная макулярная дегенерация (влажная форма)
Наиболее агрессивной и серьезной является влажная (экссудативная) форма ВМД, характеризующаяся образованием новых патологических кровеносных сосудов в макуле. По мере накопления друзов в структуре желтого пятна сетчатки начинают развиваться воспалительные процессы, сопровождающиеся выработкой белка VEGF. Он способствует ангиогенезу — росту новых кровеносных сосудов, которые являются аномальными для тканей макулы. С течением времени они прорастают сквозь мембрану Бруха и внедряются в структуру тканей желтого пятна сетчатки. Далее по патологическим сосудам начинает течь кровь и жидкость (плазма), что приводит к образованию пузырьков. Возрастная макулярная дегенерация (влажная форма) опасна тем, что данные отложения застаиваются и накапливаются между мембраной Бруха и слоем фоторецепторов, тем самым поражая уязвимые нервы. Если своевременно не получить медицинскую помощь, начнется процесс образования рубцовой ткани и отслоек в области макулы. Это грозит невосполнимой потерей зрения. Следует отметить, что влажная форма заболевания встречается реже, чем сухая, в 1-2 случаях из 10. Однако она является наиболее опасной, поскольку прогрессирует достаточно быстро.

Диагностика ВМД
Макулодистрофия — серьезное заболевание, которое может вызвать полную слепоту. Поэтому в возрасте от 45 до 50 лет рекомендуется минимум раз в 2-3 года проходить офтальмологическое обследование, а после 60 лет — не реже 1 раза в год. Современные компьютеризированные методы диагностики сетчатки позволяют выявить заболевание на самой ранней стадии сухой формы ВМД. Для этого, как правило, используется метод оптической когерентной томографии (ОКТ). С его помощью специалист может получить детальную информацию об изменениях, происходящих в тканевых структурах макулы.
При появлении симптомов заболевания, например, возникновении расплывчатого пятна в центре поля зрения, можно провести тест на ВМД в домашних условиях. Для этого потребуется таблица Амслера, которую можно легко найти в интернете. Данный тест предназначен для выявления патологий макулы, а также оценки динамики лечения ранее диагностированного заболевания центральной части сетчатки. Таблицу необходимо расположить на расстоянии 30 см и прикрыть один глаз рукой. Затем следует сосредоточиться на жирной точке, которая находится в центре клетчатой страницы. При наличии ВМД клетки, находящиеся вокруг фокусной точки, начнут искажаться. Офтальмологи рекомендуют отметить эти деформации на листе (зарисовать) и взять с собой на прием. Это может пригодиться в процессе диагностики.

Многие интересуются, какие факторы влияют на развитие ВМД. В настоящее время врачи определяют несколько причин, способствующих увеличению риска появления и агрессивного прогрессирования этого заболевания.
Факторы, влияющие на появление макулодистрофии:
- Половой признак. У женщин риск появления заболевания в 2 раза выше;
- Возраст. ВМБ зачастую диагностируют у людей в возрасте от 50 лет;
- Ожирение (избыточный вес);
- Курение;
- Хронические заболевания (атеросклероз, гипертония, сахарный диабет);
- Негативные профессиональные факторы (ионизирующее излучение);
- Плохая экология.

Лечение ВМД (возрастной макулярной дегенерации)
В настоящее время лечение макулярной дегенерации осуществляется достаточно эффективно. Ранее для остановки разрастания патологических сосудов в макуле использовали метод лазерной коагуляции. Он позволял частично удалить аномальную ткань, но никак не влиял на причину ее появления, а именно — выработку белка VEGF. Поэтому такая процедура являлась лишь временной мерой. В начале 2000-х годов был разработан революционный способ борьбы с ВМД, который базировался на разрушении белка VEGF с помощью специальных медицинских препаратов. Он зарекомендовал свою эффективность, поэтому успешно применяется по сей день, позволяя миллионам людей во всем мире избежать наступление слепоты. Однако следует отметить, что на самой поздней стадии заболевания данный метод лечения уже неэффективен. Анти-VEGF терапия не может помочь при появлении рубцовой ткани в зоне макулы. В такой ситуации потеря зрения неизбежна. В остальных случаях инъекции позволяют уменьшить прогрессирование ВМД и восстановить четкость зрения. Контроль ангиогенеза с помощью данных препаратов снимает отечность и предотвращает дальнейшее повреждение желтого пятна, что стабилизирует зрительную функцию.

Лечение макулярной дегенерации: Анти-VEGF терапия
Препарат «Луцентис». Данное вещество включает в себе молекулы ранибизумаба. Действие этого препарата направлено на снижение избыточной стимуляции роста патологических сосудов при ВМД. Он уменьшает макулярный отек сетчатки, предотвращает прорастание патологических сосудов, новые кровоизлияния и значительно уменьшает зону локализации патологии.
Эйла. Данный препарат содержит афлиберцепт — активное вещество, молекулы которого сращиваются с патологическими клетками и разрушают их. Применяется только при влажной форме заболевания.
Данные препараты противодействуют развитию новых патологических сосудов в центре сетчатки. Для максимально эффективного воздействия инъекцию производят непосредственно в стекловидное тело глаза. Процедура занимает несколько минут и не требует специальной подготовки. Она проводится в стерильных условиях опытным врачом-офтальмологом. По мере проникновения активных веществ в ткани макулы снижается уровень активности VEGF-белка, в результате чего патологические сосуды начинают распадаться. При нескольких инъекциях аномальная жидкость также рассасывается. Курс лечения проводится под строгим наблюдением офтальмолога. Категорически запрещено пытаться самостоятельно применить данные препараты. Это может повлечь за собой непоправимые последствия, вплоть до полной слепоты.

Профилактика заболевания
С целью профилактики появления ВМД рекомендуется систематически проходить офтальмологическое обследование, особенно после 45 лет. Также специалисты советуют предохранять глаза от чрезмерного воздействия ультрафиолета (использовать солнцезащитные очки). Доказано, что у людей, проводящих много времени на солнце, в 4 раза чаще диагностируют макулодистрофию. Офтальмологи настоятельно советуют отказаться от сигарет. Доказано, что курение значительно увеличивает риск развития и прогрессирования ВМД (примерно в 5 раз). Кроме того, врачи рекомендуют ограничить употребление жирной пищи и контролировать уровень холестерина (повышенное его содержание нарушает кровообращение глаз). Следует ввести в рацион продукты, полезные для зрения: черника, салат, капуста, шпинат, рыба, яйца, грейпфрут и прочие. Осенью и зимой желательно принимать витаминные комплексы. В целом специалисты советуют вести активный образ жизни, больше времени проводить на свежем воздухе и по мере возможности снизить зрительные нагрузки.

На нашем сайте представлен широкий выбор контактных линз, многофункциональных растворов и увлажняющих капель для глаз. Вы сможете приобрести мировые бестселлеры по выгодной цене. Быстрая доставка продукции и высокий уровень сервиса Очков.Нет приятно удивят Вас!
Читайте также:
